Sign in
Sign up
home
>
reagent
> acetylated lysine
product
Acetyl-Lysine Antibody LS-C71872
LifeSpan Biosciences
catalog: LS-C71872
total number of products:
46
quantity:
price:
to the supplier
Acetyl-Lysine Antibody LS-C71873
LifeSpan Biosciences
catalog: LS-C71873
total number of products:
46
quantity:
price:
to the supplier
Acetyl-Lysine Antibody (clone 15G10) LS-C41115
LifeSpan Biosciences
catalog: LS-C41115
total number of products:
46
citations: 1
Untreated Hela cells (lane 1) and sodium butyrate-treated Hela cells (24 hr treatment, lane 2) were lysed and cell extracts resolved by electrophoresis, transferred to nitrocellulose and probed with anti-acetylated lysine antibody (clone 15G10). Protein.
Untreated Hela cells (Upper Panel), or overnight nocodazole treated Hela cells (Lower Panel) stained with purified mouse monoclonal antibody against Acetylated Lysine (clone 15G10), followed by Rhodamine Red-X conjugated Donkey anti-mouse IgG and DAPI.
quantity:
price:
to the supplier
Ac-lysine (AKL5C1) Antibody
Santa Cruz Biotechnology
catalog: sc-32268
total number of products:
4
citations: 12
quantity: 200 µg/ml
price: 279 USD
to the supplier
Ac-lysine (7F8) Antibody
Santa Cruz Biotechnology
catalog: sc-81623
total number of products:
4
citations: 1
quantity: 200 µg/ml
price: 279 USD
to the supplier
Ac-lysine (7F8) L Antibody
Santa Cruz Biotechnology
catalog: sc-81623 L
total number of products:
4
quantity: 200 µg/0.1 ml
price: 279 USD
to the supplier
Acetylated Lysine Antibody (7F8)
Novus Biologicals
catalog: NB110-96876
citations: 4
Western Blot: Acetylated Lysine Antibody (7F8) [NB110-96876] - Analysis of acetylated lysine showing detection of Acetylated Lysine protein using Mouse Anti-Acetylated Lysine Monoclonal Antibody, Clone 7F8 . Primary Antibody: Mouse Anti-Acetylated Lysine Monoclonal Antibody at 1:1000. (1) acetylated BSA (75ng of protein), (2) non-acetylated BSA, and (3) marker.
quantity: 0.1 mg (also 0.025 mg)
price: 349 USD
to the supplier
Acetylated Lysine Antibody (1C6)
Novus Biologicals
catalog: NB100-74339
citations: 2
Immunoprecipitation: Acetylated Lysine Antibody (1C6) [NB100-74339] - Analysis of acetylated Histone H3 (Lys9) was performed using whole cell lysates from cells left untreated (DMSO only) or cells treated with 0.3uM or 3uM Trichostatin A (TSA) for 16 hours. Antigen-antibody complexes were formed by incubating 500ug of the indicated lysate with 3ug of an Acetyl Lysine monoclonal antibody overnight on a rocking platform at 4C. The immune complexes were captured on 50ul Protein A/G Agarose, washed extensively, and eluted with 5X Lane Marker Reducing Sample Buffer. Samples were resolved on a 4-20% Tris-HCl polyacrylamide gel, transferred to a PVDF membrane, and blocked with 5% BSA/TBS-0.1%Tween for at least 1 hour. The membrane was probed with an Acetyl-Histone H3 (Lys9) monoclonal antibody at a dilution of 1:1000 overnight rotating at 4C, washed in TBST, and probed with Clean-blot IP Detection Reagent at a dilution of 1:2000 for at least 1 hour. Chemiluminescent detection was performed using SuperSignal West Pico.
Immunoprecipitation: Acetylated Lysine Antibody (1C6) [NB100-74339] - Immunoprecipitation of acetylated alpha-Tubulin was performed.3uM or 3uM Trichostatin A (TSA) for 16 hours. Antigen-antibody complexes were formed by incubating 500ug of lysate with 3ug of an Acetyl Lysine monoclonal antibody overnight on a rocking platform at 4C. The immune complexes were captured on 50ul Protein A/G Agarose at a dilution of 1:1000 overnight rotating at 4C, washed in TBST, and probed with Clean-blot IP Detection Reagent at a dilution of 1:2000 for at least 1 hour.
Western Blot: Acetylated Lysine Antibody (1C6) [NB100-74339] - Analysis of Acetyl Lysine was performed by loading various amounts of acetylated BSA or non-acetylated BSA per well and 10ul of PageRuler Prestained Protein Ladder onto a 4-20% Tris-HCl polyacrylamide gel. Proteins were transferred to a PVDF membrane and blocked with 5% BSA/TBST for at least 1 hour. The membrane was probed with an Acetyl Lysine monoclonal antibody at a dilution of 1:1000 overnight at 4C on a rocking platform, washed in TBS-0.1%Tween-20, and probed with a goat anti-mouse IgG-HRP secondary antibody at a dilution of 1:20,000 for 1 hour. Chemiluminescent detection was performed using SuperSignal West Pico.
quantity: 100 ug
price: 329 USD
to the supplier
Acetylated Lysine Antibody (RM101)
Novus Biologicals
catalog: NBP2-77397
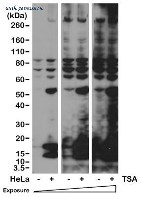
Western Blot: Acetylated Lysine Antibody (RM101) [NBP2-77397] - Analysis of HeLa cells nontreated or treated with Trichostatin A (TSA), using NBP2-77397.
quantity: 100 ug
price: 379 USD
to the supplier
Purified anti-Acetylated Lysine
BioLegend
catalog: 623401
citations: 3
quantity: 25 ug
price: 85 USD
to the supplier
Purified anti-Acetylated Lysine
BioLegend
catalog: 623402
citations: 3
quantity: 100 ug
price: 185 USD
to the supplier
Anti-Acetyl Lysine antibody
St John's Laboratory
catalog: STJ97181
Western Blot (WB) analysis of 1) HeLa, 2) 3T3, 3) Rat Brain, diluted at 1:2000.
quantity: 100μl
price: 150 USD
to the supplier
Anti-Acetylated Lysine, Biotin
MyBioSource
catalog: MBS330021
quantity: 0.1 mg
price: 490 USD
to the supplier
Acetyl-lysine polyclonal antibody
MyBioSource
catalog: MBS565248
quantity: 0.1 mL
price: 425 USD
to the supplier
Acetylated Lysine (monoclonal)
Agrisera
catalog: AS10 707-100
total number of products:
5
quantity: 100 µl
price:
to the supplier
Acetylated lysine (25 µl)
Agrisera
catalog: AS10 707-25
total number of products:
5
quantity: 25 µl
price:
to the supplier
Acetylated Lysine (polyclonal)
Agrisera
catalog: AS15 3018
total number of products:
5
quantity: 100 µg (1 mg/ml)
price:
to the supplier
Acetylated Lysine Monoclonal Antibody (1C6)
Invitrogen
catalog: MA1-2021
citations: 6
Immunofluorescent analysis of lysine acetylated proteins (green) in HeLa cells left untreated (left panels) or treated with 0.3uM Trichostatin A for 16 hours (right panels). Formalin fixed cells were permeabilized with 0.1% Triton X-100 in TBS for 10 minutes at room temperature and blocked with 1% Blocker BSA (Product # 37525) for 15 minutes at room temperature. Cells were probed with an Acetyl Lysine monoclonal antibody (Product # MA1-2021) at a dilution of 1:100 for 1 hour at room temperature, washed with PBS, and incubated with DyLight 488 goat anti-mouse IgG secondary antibody (Product # 35502) at a dilution of 1:400 for 30 minutes at room temperature. F-Actin (red) was stained with DyLight 554 Phalloidin (Product # 21834). A merged image with nuclei staining (blue) using Hoechst 33342 dye (Product # 62249) is shown on bottom panels. Images were taken on a Thermo Scientific ArrayScan at 20X magnification.
Western blot analysis of Acetyl Lysine was performed by loading various amounts of acetylated BSA or non-acetylated BSA per well and 10ul of PageRuler Prestained Protein Ladder (Product # 26616) onto a 4-20% Tris-HCl polyacrylamide gel. Proteins were transferred to a PVDF membrane and blocked with 5% BSA/TBST for at least 1 hour. The membrane was probed with an Acetyl Lysine monoclonal antibody (Product # MA1-2021) at a dilution of 1:1000 overnight at 4°C on a rocking platform, washed in TBS-0.1%Tween-20, and probed with a goat anti-mouse IgG-HRP secondary antibody (Product # 31430) at a dilution of 1:20,000 for 1 hour. Chemiluminescent detection was performed using SuperSignal West Pico (Product # 34087).
quantity: 100µg
price: US 390
to the supplier
Acetylated Lysine Antibody
StressMarq Biosciences
catalog: SPC-155D
quantity: 100 µg
price: 304.00 USD
to the supplier
Acetylated Lysine Antibody
StressMarq Biosciences
catalog: SMC-153D
quantity: 100 µg
price: 294.00 USD
to the supplier
Lysine Acetylated Antibody
Rockland Immunochemicals
catalog: 600-401-939
total number of products:
4
Figure 1. Rockland's Affinity Purified anti-Acetylated Lysine (AcK) antibody is shown to detect acetylated histone in TSA-treated mouse spleen cell lysate (Panel A); control (left lane) and TSA-treated mouse spleen cell lysate (right lane) in panel B; and in acetylated BSA loaded as indicated (panel C).
quantity: 100 µg
price: 369 USD
to the supplier
Lysine Acetylated Antibody
Rockland Immunochemicals
catalog: 200-301-A97
total number of products:
4
quantity: 100 µg
price: 369 USD
to the supplier
Lysine Acetylated Antibody Peroxidase Conjugated
Rockland Immunochemicals
catalog: 600-403-939
total number of products:
4
Rockland's Affinity Purified anti-Acetylated Lysine (AcK) antibody is shown to detect acetylated histone in TSA-treated mouse spleen cell lysate (Panel A); control (left lane) and TSA-treated mouse spleen cell lysate (right lane) in panel B; and in acetylated BSA loaded as indicated (panel C).
quantity: 100 µg
price: 369 USD
to the supplier
Acetyl Lysine Antibody [7F8]
ImmuQuest
catalog: IQ354
quantity: 50 ul
price: 299 USD
to the supplier
Acetyl Lysine Antibody [7F8]
ImmuQuest
catalog: IQ355
quantity: 0.1 ml
price: 345 USD
to the supplier
Acetyl Lysine Antibody [7F8]: Horseradish Peroxidase (HRP)
ImmuQuest
catalog: IQ354HRP
quantity: 50 ul
price: 380 USD
to the supplier
Anti-acetyl Lysine antibody - ChIP Grade
Abcam
catalog: ab21623
total number of products:
12
citations: 7
quantity: 100 µg
price:
to the supplier
Anti-N-epsilon acetyl Lysine antibody [11A1]
Abcam
catalog: ab409
total number of products:
12
citations: 6
quantity: 100 µg
price:
to the supplier
Anti-acetyl Lysine antibody
Abcam
catalog: ab80178
total number of products:
12
citations: 6
quantity: 100 µg
price:
to the supplier
Acetylated Lysine polyclonal antibody
Enzo Life Sciences
catalog: ADI-KAP-TF120-E
total number of products:
5
citations: 1
Immunoprecipitation analysis of acetylated BSA with Acetylated Lysine (RS1) pAb in ng.
Immunofluorescent analysis of TSA treated (right - 100ng/ml, 24 hours) and non-treated (left) human MMRU melanoma cells using Acetylated Lysine (RS2) pAb.
quantity: 100 µg
price: 307 USD
to the supplier
Acetylated Lysine polyclonal antibody (biotin conjugate)
Enzo Life Sciences
catalog: ADI-KAP-TF1201B-E
total number of products:
5
citations: 1
Western blot analysis of the acetylated protein profile from TSA treated (left) and non-treated (right) human melanoma cell (MMRU) lysates .
quantity: 100 µg
price: 334 USD
to the supplier
Acetylated Lysine polyclonal antibody (HRP conjugate)
Enzo Life Sciences
catalog: ADI-KAP-TF1203-E
total number of products:
5
citations: 1
Immunofluorescent analysis of TSA treated (right- 100ng/ml, 24 hours) and non-treated (left) human MMRU melanoma cells using Acetylated Lysine pAb.
Western blot analysis of the acetylated histone from TSA treated (left) and non-treated (right) melanoma cell lysate with Acetylated Lysine pAb.
quantity: 100 µg
price: 343 USD
to the supplier
Acetylated lysine polyclonal antibody
Abnova
catalog: PAB10348
total number of products:
4
quantity: 100 ug
price:
to the supplier
Acetylated Lysine polyclonal antibody
Abnova
catalog: PAB5854
total number of products:
4
quantity: 100 ug
price:
to the supplier
Acetyl lysine monoclonal antibody
Abnova
catalog: MAB12421
total number of products:
4
quantity: 100 uL
price:
to the supplier
Acetylated-Lysine Antibody
Cell Signaling Technology
catalog: 9441
total number of products:
4
citations: 20
quantity:
price:
to the supplier
acetyl-Lysine Antibody
EMD Millipore
catalog: 06-933
total number of products:
5
citations: 1
quantity: 100 µL
price:
to the supplier
Anti-Acetyl Lysine Mouse Monoclonal Antibody
Cytoskeleton
catalog: AAC01
quantity: 2 x 100 µl
price: 285 USD
to the supplier
other reagents
A549
ampicillin
antibody diluent
AEBSF
D-luciferin
Z-VAD-fmk
epithelial cells
GST
forskolin
Histamine
GABA
questions and comments