product summary
Loading...
company name :
LifeSpan Biosciences
product type :
antibody
product name :
IHC-plus™ BACH2 Antibody (C-Terminus) LS-B3533
catalog :
LS-B3533
clonality :
polyclonal
host :
domestic rabbit
conjugate :
nonconjugated
reactivity :
human
application :
western blot, immunohistochemistry, immunohistochemistry - paraffin section
more info or order :
citations: 1
| Published Application/Species/Sample/Dilution | Reference |
|---|---|
| von Laffert M, Hänel M, Dietel M, Anagnostopoulos I, Johrens K. Increase of T and B cells and altered BACH2 expression patterns in bone marrow trephines of imatinib-treated patients with chronic myelogenous leukaemia. Oncol Lett. 2016;12:2421-2428 pubmed
|
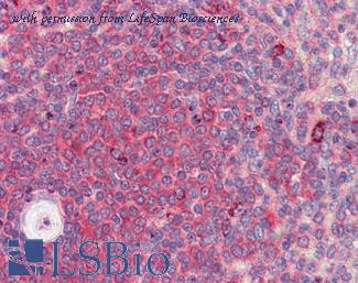
image
image 1 :

Anti-BACH2 antibody IHC of human spleen. Immunohistochemistry of formalin-fixed, paraffin-embedded tissue after heat-induced antigen retrieval. Antibody concentration 2.5 ug/ml. This image was taken for the unconjugated form of this product. Other forms have not been tested.
product information
AntibodyID :
109419
AntibodyName :
LS-B3533
TargetSpecies :
Human
Host Species :
Rabbit
Product Name :
IHC-plus™ BACH2 Antibody (C-Terminus) LS-B3533
Specificity :
Human BACH2
ClonalityDesc :
Polyclonal
AntibodyModification :
Unconjugated
AntigenModification :
C-Terminus
PresentationDesc :
PBS, 0.09% sodium azide, 2% sucrose
ImmunogenType :
Synthetic peptide
ImmunogenDesc :
Synthetic peptide from C-Terminus of human BACH2 (Q9BYV9, NP_068585). Percent identity by BLAST analysis: Human, Chimpanzee, Gorilla, Monkey, Marmoset (100%); Gibbon, Mouse, Rat, Horse, Guinea pig (92%); Galago, Elephant, Rabbit (85%).
PurificationDesc :
Immunoaffinity purified
RecommendedStorageDesc :
Short term: Store at 2-8°C. Long term: Aliquot and store at -20°C. Avoid freeze/thaw cycles.
IsotypeName :
IgG
Gene :
BACH2
BlockingPeptide :
LS-E14293
StandardGeneSymbol :
BACH2
Reactivity :
Rabbit, Human, Monkey
Usage :
IHC, IHC-P (2.5 - 5 µg/ml), WB (0.2 - 1 µg/ml)
ShortWebDescription :
BACH2 antibody LS-B3533 is an unconjugated rabbit polyclonal antibody to BACH2 (C-Terminus) from human. It is reactive with human, monkey and rabbit. Validated for IHC and WB. Tested on 20 paraffin-embedded human tissues. Cited in 1 publication.
UsageText :
Immunohistochemistry: LS-B3533 was validated for use in immunohistochemistry on a panel of 21 formalin-fixed, paraffin-embedded (FFPE) human tissues after heat induced antigen retrieval in pH 6.0 citrate buffer. After incubation with the primary antibody, slides were incubated with biotinylated secondary antibody, followed by alkaline phosphatase-streptavidin and chromogen. The stained slides were evaluated by a pathologist to confirm staining specificity. The optimal working concentration for LS-B3533 was determined to be 2.5 ug/ml. Western Blot: Suggested dilution at 1 ug/ml in 5% skim milk / PBS buffer, and HRP conjugated anti-Rabbit IgG should be diluted in 1:50000 - 100000 as second antibody. ELISA titer in peptide based assay: 1:1562500.
Synonyms :
BACH2, BTBD25, BTB and CNC homolog 2
SalesRegion :
Worldwide
more info or order :
company information

LifeSpan Biosciences
2401 Fourth Avenue, Suite 900
Seattle, WA 98121
Seattle, WA 98121
CustomerSupport@lsbio.com
https://www.lsbio.com1-206-464-1554
headquarters: USA
Since 1995, LifeSpan has been the industry leader in molecular pathology, specializing in the localization of proteins in normal and diseased tissues, both human and non-human. We offer more than 74,000 antibodies, custom designed immunohistochemistry (IHC) studies, immediately available human tissue IHC profiles for more than 500 proteins, and histology and pathology services. Our bank of 2 million specimens is available to support our customers' contract research studies and contains frozen and formalin-fixed (FFPE) normal and diseased tissues. Our contract services are comprehensive; they include study design, antibody sourcing and characterization, tissue sourcing and validation, immunolabeling, trouble shooting, and interpretation of the results by a LifeSpan pathologist.
related products
browse more products
questions and comments
