Sign in
Sign up
home
>
LifeSpan Biosciences
> LifeSpan Biosciences FADS2 antibody
Delta-6 Desaturase / FADS2 Antibody (N-Terminus) LS-C65945
LifeSpan Biosciences
catalog: LS-C65945
domestic rabbit polyclonal
reactivity:
human
,
mouse
application:
western blot
,
ELISA
quantity:
price:
to the supplier
Delta-6 Desaturase / FADS2 Antibody (aa96-122) LS-C165915
LifeSpan Biosciences
catalog: LS-C165915
domestic rabbit polyclonal
reactivity:
human
application:
western blot
,
immunohistochemistry
,
flow cytometry
,
immunohistochemistry - paraffin section
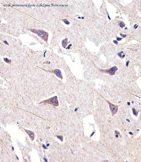
Immunohistochemical of paraffin-embedded H.brain section using FADS2 Antibody. Antibody was diluted at 1:25 dilution. A peroxidase-conjugated goat anti-rabbit IgG at 1:400 dilution was used as the secondary antibody, followed by DAB staining.
FADS2 Antibody western blot of CEM cell line lysates (35 ug/lane). The FADS2 antibody detected the FADS2 protein (arrow).
FADS2 Antibody flow cytometry of CEM cells (right histogram) compared to a negative control cell (left histogram). FITC-conjugated goat-anti-rabbit secondary antibodies were used for the analysis.
quantity:
price:
to the supplier
Delta-6 Desaturase / FADS2 Antibody (aa79-108) LS-C165916
LifeSpan Biosciences
catalog: LS-C165916
domestic rabbit polyclonal
reactivity:
human
application:
western blot
,
immunohistochemistry
,
immunocytochemistry
,
flow cytometry
,
immunohistochemistry - paraffin section
Fluorescent image of A549 cell stained with FADS2 Antibody. A549 cells were fixed with 4% PFA (20 min), permeabilized with Triton X-100 (0.1%, 10 min), then incubated with FADS2 primary antibody (1:25, 1 h at 37°C). For secondary antibody, Alexa Fluor 488 conjugated donkey anti-rabbit antibody (green) was used (1:400, 50 min at 37°C). Cytoplasmic actin was counterstained with Alexa Fluor 555 (red) conjugated Phalloidin (7units/ml, 1 h at 37°C). FADS2 immunoreactivity is localized to Cytoplasm and Vesicles significantly.
FADS2 Antibody western blot of HepG2 cell line lysates (35 ug/lane). The FADS2 antibody detected the FADS2 protein (arrow).
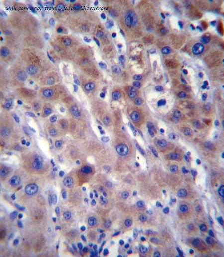
FADS2 Antibody immunohistochemistry of formalin-fixed and paraffin-embedded human liver tissue followed by peroxidase-conjugated secondary antibody and DAB staining.
quantity:
price:
to the supplier
Delta-6 Desaturase / FADS2 Antibody (aa96-122, AP) LS-C206993
LifeSpan Biosciences
catalog: LS-C206993
domestic rabbit polyclonal
reactivity:
human
conjugate: AP
application:
western blot
,
ELISA
,
flow cytometry
quantity:
price:
to the supplier
Delta-6 Desaturase / FADS2 Antibody (aa96-122, APC) LS-C206998
LifeSpan Biosciences
catalog: LS-C206998
domestic rabbit polyclonal
reactivity:
human
conjugate: APC
application:
western blot
,
ELISA
,
flow cytometry
quantity:
price:
to the supplier
Delta-6 Desaturase / FADS2 Antibody (aa96-122, Biotin) LS-C206999
LifeSpan Biosciences
catalog: LS-C206999
domestic rabbit polyclonal
reactivity:
human
conjugate: biotin
application:
western blot
,
ELISA
,
flow cytometry
quantity:
price:
to the supplier
Delta-6 Desaturase / FADS2 Antibody (aa96-122, FITC) LS-C207000
LifeSpan Biosciences
catalog: LS-C207000
domestic rabbit polyclonal
reactivity:
human
conjugate: FITC
application:
western blot
,
ELISA
,
flow cytometry
quantity:
price:
to the supplier
Delta-6 Desaturase / FADS2 Antibody (aa96-122, Azide-free, HRP) LS-C207001
LifeSpan Biosciences
catalog: LS-C207001
domestic rabbit polyclonal
reactivity:
human
conjugate: HRP
application:
western blot
,
ELISA
,
flow cytometry
quantity:
price:
to the supplier
Delta-6 Desaturase / FADS2 Antibody (aa96-122, PE) LS-C207002
LifeSpan Biosciences
catalog: LS-C207002
domestic rabbit polyclonal
reactivity:
human
conjugate: PE
application:
western blot
,
ELISA
,
flow cytometry
quantity:
price:
to the supplier
Delta-6 Desaturase / FADS2 Antibody (aa79-108, AP) LS-C207003
LifeSpan Biosciences
catalog: LS-C207003
domestic rabbit polyclonal
reactivity:
human
conjugate: AP
application:
western blot
,
ELISA
,
immunohistochemistry
,
flow cytometry
quantity:
price:
to the supplier
Delta-6 Desaturase / FADS2 Antibody (aa79-108, APC) LS-C207004
LifeSpan Biosciences
catalog: LS-C207004
domestic rabbit polyclonal
reactivity:
human
conjugate: APC
application:
western blot
,
ELISA
,
immunohistochemistry
,
flow cytometry
quantity:
price:
to the supplier
Delta-6 Desaturase / FADS2 Antibody (aa79-108, Biotin) LS-C207005
LifeSpan Biosciences
catalog: LS-C207005
domestic rabbit polyclonal
reactivity:
human
conjugate: biotin
application:
western blot
,
ELISA
,
immunohistochemistry
,
flow cytometry
quantity:
price:
to the supplier
Delta-6 Desaturase / FADS2 Antibody (aa79-108, FITC) LS-C207006
LifeSpan Biosciences
catalog: LS-C207006
domestic rabbit polyclonal
reactivity:
human
conjugate: FITC
application:
western blot
,
ELISA
,
immunohistochemistry
,
flow cytometry
quantity:
price:
to the supplier
Delta-6 Desaturase / FADS2 Antibody (aa79-108, Azide-free, HRP) LS-C207007
LifeSpan Biosciences
catalog: LS-C207007
domestic rabbit polyclonal
reactivity:
human
conjugate: HRP
application:
western blot
,
ELISA
,
immunohistochemistry
,
flow cytometry
quantity:
price:
to the supplier
Delta-6 Desaturase / FADS2 Antibody (aa79-108, PE) LS-C207008
LifeSpan Biosciences
catalog: LS-C207008
domestic rabbit polyclonal
reactivity:
human
conjugate: PE
application:
western blot
,
ELISA
,
immunohistochemistry
,
flow cytometry
quantity:
price:
to the supplier
Delta-6 Desaturase / FADS2 Antibody (aa96-122) LS-C321258
LifeSpan Biosciences
catalog: LS-C321258
domestic rabbit polyclonal
reactivity:
human
application:
western blot
,
ELISA
,
flow cytometry
quantity:
price:
to the supplier
Delta-6 Desaturase / FADS2 Antibody (aa79-108) LS-C321259
LifeSpan Biosciences
catalog: LS-C321259
domestic rabbit polyclonal
reactivity:
human
application:
western blot
,
ELISA
,
immunohistochemistry
,
flow cytometry
quantity:
price:
to the supplier
IHC-plus™ Delta-6 Desaturase / FADS2 Antibody LS-B13249
LifeSpan Biosciences
catalog: LS-B13249
domestic rabbit polyclonal
reactivity:
human
application:
immunohistochemistry
,
immunohistochemistry - paraffin section
Human Brain, Cortex: Formalin-Fixed, Paraffin-Embedded (FFPE)
quantity:
price:
to the supplier
Delta-6 Desaturase / FADS2 Antibody (aa1-130) LS-C373357
LifeSpan Biosciences
catalog: LS-C373357
domestic rabbit polyclonal
reactivity:
human
application:
western blot
Western blot of Delta-6 Desaturase / FADS2 antibody.
quantity:
price:
to the supplier