Sign in
Sign up
home
>
LifeSpan Biosciences
> LifeSpan Biosciences USP10 antibody
IHC-plus™ USP10 Antibody LS-B5278
LifeSpan Biosciences
catalog: LS-B5278
domestic rabbit polyclonal
reactivity:
human
application:
western blot
,
ELISA
,
immunohistochemistry
,
immunocytochemistry
,
immunohistochemistry - paraffin section
Anti-USP10 antibody IHC of human brain, cortex. Immunohistochemistry of formalin-fixed, paraffin-embedded tissue after heat-induced antigen retrieval. Antibody concentration 5 ug/ml.
Immunocytochemistry of USP10 in Jurkat cells with USP10 antibody at 20 ug/ml.
Immunofluorescence of USP10 in Jurkat cells with USP10 antibody at 20 ug/ml.
quantity:
price:
to the supplier
USP10 Antibody (aa301-350) LS-C116825
LifeSpan Biosciences
catalog: LS-C116825
domestic rabbit polyclonal
reactivity:
human
application:
western blot
quantity:
price:
to the supplier
USP10 Antibody (aa487-536) LS-C145246
LifeSpan Biosciences
catalog: LS-C145246
domestic rabbit polyclonal
reactivity:
human
,
rat
application:
western blot
quantity:
price:
to the supplier
USP10 Antibody (aa500-529) LS-C157333
LifeSpan Biosciences
catalog: LS-C157333
domestic rabbit polyclonal
reactivity:
human
application:
western blot
USP10 Antibody western blot of SK-BR-3 cell line lysates (35 ug/lane). The USP10 antibody detected the USP10 protein (arrow).
quantity:
price:
to the supplier
USP10 Antibody (clone OTI2E1) LS-C173493
LifeSpan Biosciences
catalog: LS-C173493
mouse monoclonal (OTI2E1)
reactivity:
human
application:
western blot
,
immunohistochemistry
,
immunocytochemistry
,
flow cytometry
,
immunohistochemistry - paraffin section
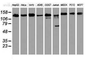
Western blot of extracts (35 ug) from 9 different cell lines by using anti-USP10 monoclonal antibody.
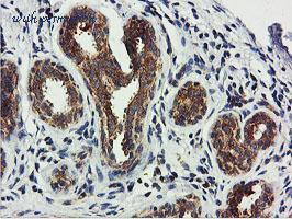
IHC of paraffin-embedded Human breast tissue using anti-USP10 mouse monoclonal antibody.
Anti-USP10 mouse monoclonal antibody immunofluorescent staining of COS7 cells transiently transfected by pCMV6-ENTRY USP10.
quantity:
price:
to the supplier
USP10 Antibody (clone OTI1H9) LS-C173574
LifeSpan Biosciences
catalog: LS-C173574
mouse monoclonal (OTI1H9)
reactivity:
human
application:
western blot
,
immunohistochemistry
,
flow cytometry
,
immunohistochemistry - paraffin section
Western blot of extracts (35 ug) from 9 different cell lines by using anti-USP10 monoclonal antibody.
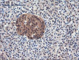
IHC of paraffin-embedded Human pancreas tissue using anti-USP10 mouse monoclonal antibody.
Flow cytometry of Jurkat cells, using anti-USP10 antibody (Red), compared to a nonspecific negative control antibody (Blue).
quantity:
price:
to the supplier
USP10 Antibody (clone OTI1A10) LS-C173656
LifeSpan Biosciences
catalog: LS-C173656
mouse monoclonal (OTI1A10)
reactivity:
human
application:
western blot
,
immunohistochemistry
,
flow cytometry
,
immunohistochemistry - paraffin section
HEK293T cells were transfected with the pCMV6-ENTRY control (Left lane) or pCMV6-ENTRY USP10 (Right lane) cDNA for 48 hrs and lysed. Equivalent amounts of cell lysates (5 ug per lane) were separated by SDS-PAGE and immunoblotted with anti-USP10.
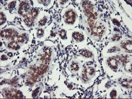
IHC of paraffin-embedded Human breast tissue using anti-USP10 mouse monoclonal antibody.
Flow cytometry of HeLa cells, using anti-USP10 antibody (Red), compared to a nonspecific negative control antibody (Blue).
quantity:
price:
to the supplier
USP10 Antibody LS-C191378
LifeSpan Biosciences
catalog: LS-C191378
domestic rabbit polyclonal
reactivity:
human
application:
western blot
,
immunocytochemistry
,
immunoprecipitation
quantity:
price:
to the supplier
USP10 Antibody (aa500-529, AP) LS-C273151
LifeSpan Biosciences
catalog: LS-C273151
domestic rabbit polyclonal
reactivity:
human
conjugate: AP
application:
western blot
,
ELISA
quantity:
price:
to the supplier
USP10 Antibody (aa500-529, APC) LS-C273152
LifeSpan Biosciences
catalog: LS-C273152
domestic rabbit polyclonal
reactivity:
human
conjugate: APC
application:
western blot
,
ELISA
quantity:
price:
to the supplier
USP10 Antibody (aa500-529, Biotin) LS-C273153
LifeSpan Biosciences
catalog: LS-C273153
domestic rabbit polyclonal
reactivity:
human
conjugate: biotin
application:
western blot
,
ELISA
quantity:
price:
to the supplier
USP10 Antibody (aa500-529, FITC) LS-C273154
LifeSpan Biosciences
catalog: LS-C273154
domestic rabbit polyclonal
reactivity:
human
conjugate: FITC
application:
western blot
,
ELISA
quantity:
price:
to the supplier
USP10 Antibody (aa500-529, Azide-free, HRP) LS-C273155
LifeSpan Biosciences
catalog: LS-C273155
domestic rabbit polyclonal
reactivity:
human
conjugate: HRP
application:
western blot
,
ELISA
quantity:
price:
to the supplier
USP10 Antibody (aa500-529, PE) LS-C273157
LifeSpan Biosciences
catalog: LS-C273157
domestic rabbit polyclonal
reactivity:
human
conjugate: PE
application:
western blot
,
ELISA
quantity:
price:
to the supplier
USP10 Antibody (aa50-100) LS-C286435
LifeSpan Biosciences
catalog: LS-C286435
domestic rabbit polyclonal
reactivity:
human
application:
immunohistochemistry
quantity:
price:
to the supplier
USP10 Antibody (aa300-3500) LS-C287738
LifeSpan Biosciences
catalog: LS-C287738
domestic rabbit polyclonal
reactivity:
human
application:
western blot
,
immunohistochemistry
,
immunoprecipitation
quantity:
price:
to the supplier
USP10 Antibody (aa500-529) LS-C326224
LifeSpan Biosciences
catalog: LS-C326224
domestic rabbit polyclonal
reactivity:
human
application:
western blot
,
ELISA
quantity:
price:
to the supplier
USP10 Antibody LS-C349200
LifeSpan Biosciences
catalog: LS-C349200
domestic rabbit polyclonal
reactivity:
human
application:
western blot
,
immunohistochemistry
,
immunocytochemistry
Western blot analysis of extracts of various cell lines.
Immunofluorescence analysis of A549 cells.
quantity:
price:
to the supplier