Sign in
Sign up
home
>
LifeSpan Biosciences
> LifeSpan Biosciences GMP synthetase antibody
IHC-plus™ GMPS / GMP Synthase Antibody (clone 1D10) LS-B4476
LifeSpan Biosciences
catalog: LS-B4476
mouse monoclonal (1D10)
reactivity:
human
application:
western blot
,
ELISA
,
immunohistochemistry
,
immunohistochemistry - paraffin section
Detection limit for recombinant GST tagged GMPS is approximately 0.1 ng/ml as a capture antibody.
Anti-GMPS antibody IHC of human heart. Immunohistochemistry of formalin-fixed, paraffin-embedded tissue after heat-induced antigen retrieval. Antibody concentration 5 ug/ml.
quantity:
price:
to the supplier
GMPS / GMP Synthase Antibody (aa251-300) LS-C102309
LifeSpan Biosciences
catalog: LS-C102309
domestic rabbit polyclonal
reactivity:
human
application:
western blot
quantity:
price:
to the supplier
GMPS / GMP Synthase Antibody (aa602-630) LS-C166539
LifeSpan Biosciences
catalog: LS-C166539
domestic rabbit polyclonal
reactivity:
human
application:
western blot
,
immunohistochemistry
,
flow cytometry
,
immunohistochemistry - paraffin section
Western blot of GMPS (arrow) using rabbit polyclonal GMPS Antibody. 293 cell lysates (2 ug/lane) either nontransfected (Lane 1) or transiently transfected with the GMPS gene (Lane 2) (Origene Technologies).
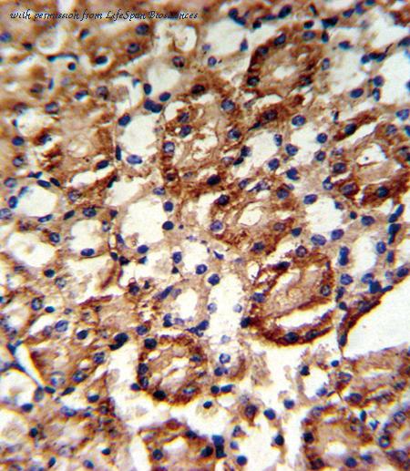
Formalin-fixed and paraffin-embedded kidney tissue reacted with GMPS Antibody , which was peroxidase-conjugated to the secondary antibody, followed by DAB staining. This data demonstrates the use of this antibody for immunohistochemistry; clinical relevance has not been evaluated.
Flow cytometric of HeLa cells using GMPS Antibody (bottom histogram) compared to a negative control cell (top histogram)FITC-conjugated goat-anti-rabbit secondary antibodies were used for the analysis.
quantity:
price:
to the supplier
GMPS / GMP Synthase Antibody (aa296-325) LS-C166540
LifeSpan Biosciences
catalog: LS-C166540
domestic rabbit polyclonal
reactivity:
human
application:
western blot
,
immunohistochemistry
,
flow cytometry
,
immunohistochemistry - paraffin section
Western blot of GMPS (arrow) using rabbit polyclonal GMPS Antibody. 293 cell lysates (2 ug/lane) either nontransfected (Lane 1) or transiently transfected with the GMPS gene (Lane 2) (Origene Technologies).
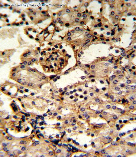
Formalin-fixed and paraffin-embedded kidney tissue reacted with GMPS Antibody , which was peroxidase-conjugated to the secondary antibody, followed by DAB staining. This data demonstrates the use of this antibody for immunohistochemistry; clinical relevance has not been evaluated.
Flow cytometric of HeLa cells using GMPS Antibody (bottom histogram) compared to a negative control cell (top histogram)FITC-conjugated goat-anti-rabbit secondary antibodies were used for the analysis.
quantity:
price:
to the supplier
GMPS / GMP Synthase Antibody (aa600-650) LS-C286112
LifeSpan Biosciences
catalog: LS-C286112
domestic rabbit polyclonal
reactivity:
human
application:
immunoprecipitation
quantity:
price:
to the supplier
GMPS / GMP Synthase Antibody (aa650-693) LS-C286113
LifeSpan Biosciences
catalog: LS-C286113
domestic rabbit polyclonal
reactivity:
human
application:
western blot
,
immunoprecipitation
quantity:
price:
to the supplier
GMPS / GMP Synthase Antibody LS-C308102
LifeSpan Biosciences
catalog: LS-C308102
mouse polyclonal
reactivity:
human
application:
western blot
quantity:
price:
to the supplier
GMPS / GMP Synthase Antibody LS-C310510
LifeSpan Biosciences
catalog: LS-C310510
domestic rabbit polyclonal
reactivity:
human
application:
western blot
quantity:
price:
to the supplier
GMPS / GMP Synthase Antibody LS-C334825
LifeSpan Biosciences
catalog: LS-C334825
domestic rabbit polyclonal
reactivity:
human
application:
western blot
,
immunohistochemistry
Western blot analysis of extracts of various cell lines.
quantity:
price:
to the supplier