Sign in
Sign up
home
>
LifeSpan Biosciences
> LifeSpan Biosciences THOC5 antibody
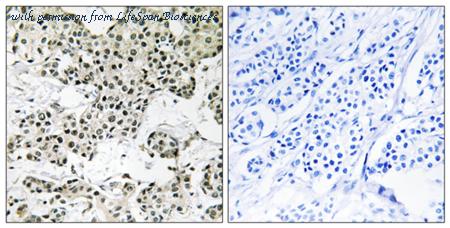
THOC5 Antibody (aa561-610) LS-C120458
LifeSpan Biosciences
catalog: LS-C120458
domestic rabbit polyclonal
reactivity:
human
application:
immunohistochemistry
Immunohistochemistry analysis of paraffin-embedded human breast carcinoma tissue, using THOC5 Antibody. The picture on the right is blocked with the synthesized peptide.
quantity:
price:
to the supplier
THOC5 Antibody (Glu602) LS-C193167
LifeSpan Biosciences
catalog: LS-C193167
domestic rabbit polyclonal
reactivity:
human
application:
western blot
,
immunohistochemistry
quantity:
price:
to the supplier
THOC5 Antibody (aa25-75) LS-C286774
LifeSpan Biosciences
catalog: LS-C286774
domestic rabbit polyclonal
reactivity:
human
application:
immunohistochemistry
quantity:
price:
to the supplier
THOC5 Antibody (aa300-325) LS-C288875
LifeSpan Biosciences
catalog: LS-C288875
domestic rabbit polyclonal
reactivity:
human
application:
western blot
,
immunoprecipitation
quantity:
price:
to the supplier
THOC5 Antibody (aa25-75) LS-C288877
LifeSpan Biosciences
catalog: LS-C288877
domestic rabbit polyclonal
reactivity:
human
application:
western blot
,
immunohistochemistry
,
immunoprecipitation
,
immunohistochemistry - paraffin section
quantity:
price:
to the supplier
THOC5 Antibody (N-Terminus) LS-C346013
LifeSpan Biosciences
catalog: LS-C346013
domestic rabbit polyclonal
reactivity:
human
application:
western blot
quantity:
price:
to the supplier
THOC5 Antibody (530-610 aa, C-terminal) LS-C383510
LifeSpan Biosciences
catalog: LS-C383510
domestic rabbit polyclonal
reactivity:
human
application:
western blot
,
ELISA
,
immunohistochemistry
quantity:
price:
to the supplier