Sign in
Sign up
home
>
LifeSpan Biosciences
> LifeSpan Biosciences CARMA1 antibody
IHC-plus™ CARMA1 / CARD11 Antibody LS-B471
LifeSpan Biosciences
catalog: LS-B471
domestic rabbit polyclonal
reactivity:
human
application:
western blot
,
ELISA
,
immunohistochemistry
,
immunocytochemistry
,
immunohistochemistry - paraffin section
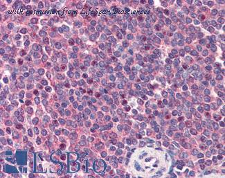
Anti-CARD11 antibody IHC of human spleen. Immunohistochemistry of formalin-fixed, paraffin-embedded tissue after heat-induced antigen retrieval. Antibody concentration 5 ug/ml.
Immunofluorescence of CARMA1 in Mouse Spleen cells with CARMA1 antibody at 20 ug/ml.
quantity:
price:
to the supplier
IHC-plus™ CARMA1 / CARD11 Antibody LS-B4794
LifeSpan Biosciences
catalog: LS-B4794
domestic rabbit polyclonal
reactivity:
human
application:
western blot
,
immunohistochemistry
,
immunohistochemistry - paraffin section
Sample (30 ug of whole cell lysate). A: A431. B: Raji. 5% SDS PAGE. CARD11 antibody diluted at 1:1000.
Anti-CARD11 antibody IHC of human liver. Immunohistochemistry of formalin-fixed, paraffin-embedded tissue after heat-induced antigen retrieval. Antibody concentration 10 ug/ml.
quantity:
price:
to the supplier
CARMA1 / CARD11 Antibody (N-Terminus) LS-C368868
LifeSpan Biosciences
catalog: LS-C368868
domestic rabbit polyclonal
reactivity:
human
application:
western blot
,
immunohistochemistry
,
immunocytochemistry
,
immunohistochemistry - paraffin section
citations: 1
Western blot analysis of CARD11 expression in K562 (A); Ramos (B); Jurkat (C) whole cell lysates.
Immunohistochemical analysis of CARD11 staining in human brain formalin fixed paraffin embedded tissue section. The section was pre-treated using heat mediated antigen retrieval with sodium citrate buffer (pH 6.0). The section was then incubated with the antibody at room temperature and detected with HRP and DAB as chromogen. The section was then counterstained with hematoxylin and mounted with DPX.
Immunofluorescent analysis of CARD11 staining in K562 cells. Formalin-fixed cells were permeabilized with 0.1% Triton X-100 in TBS for 5-10 minutes and blocked with 3% BSA-PBS for 30 minutes at room temperature. Cells were probed with the primary antibody in 3% BSA-PBS and incubated overnight at 4 deg C in a humidified chamber. Cells were washed with PBST and incubated with a DyLight 594-conjugated secondary antibody (red) in PBS at room temperature in the dark. DAPI was used to stain the cell nuclei (blue).
quantity:
price:
to the supplier
CARMA1 / CARD11 Antibody (C-Terminus) LS-C4322
LifeSpan Biosciences
catalog: LS-C4322
domestic rabbit polyclonal
reactivity:
human
application:
western blot
,
ELISA
,
immunohistochemistry
quantity:
price:
to the supplier
CARMA1 / CARD11 Antibody (Thr175) LS-C35281
LifeSpan Biosciences
catalog: LS-C35281
domestic rabbit monoclonal
reactivity:
human
,
rat
modification: phosphorylated
application:
western blot
,
ELISA
quantity:
price:
to the supplier
IHC-plus™ CARMA1 / CARD11 Antibody (aa1160-1171) LS-B3030
LifeSpan Biosciences
catalog: LS-B3030
domestic goat polyclonal
reactivity:
human
application:
western blot
,
immunohistochemistry
,
immunohistochemistry - paraffin section
Antibody staining (1 ug/ml) of human Jurkat cells (RIPA buffer, 35 ug total protein per lane). Primary incubated for 1 hour. Detected by Western blot of chemiluminescence.
Anti-CARD11 antibody IHC of human spleen. Immunohistochemistry of formalin-fixed, paraffin-embedded tissue after heat-induced antigen retrieval. Antibody concentration 2 ug/ml.
quantity:
price:
to the supplier
CARMA1 / CARD11 Antibody (aa10-59) LS-C119427
LifeSpan Biosciences
catalog: LS-C119427
domestic rabbit polyclonal
reactivity:
human
application:
western blot
Western blot analysis of lysates from COLO205 cells, using CARD11 Antibody. The lane on the right is blocked with the synthesized peptide.
quantity:
price:
to the supplier
CARMA1 / CARD11 Antibody (aa475-525) LS-C289274
LifeSpan Biosciences
catalog: LS-C289274
domestic rabbit polyclonal
reactivity:
human
application:
western blot
,
immunoprecipitation
quantity:
price:
to the supplier
CARMA1 / CARD11 Antibody (aa275-325) LS-C289275
LifeSpan Biosciences
catalog: LS-C289275
domestic rabbit polyclonal
reactivity:
human
application:
western blot
,
immunoprecipitation
quantity:
price:
to the supplier
CARMA1 / CARD11 Antibody (aa575-625) LS-C289276
LifeSpan Biosciences
catalog: LS-C289276
domestic rabbit polyclonal
reactivity:
human
application:
western blot
,
immunoprecipitation
quantity:
price:
to the supplier
CARMA1 / CARD11 Antibody (aa1-221) LS-C344843
LifeSpan Biosciences
catalog: LS-C344843
domestic rabbit polyclonal
reactivity:
human
application:
western blot
,
immunohistochemistry
,
immunocytochemistry
quantity:
price:
to the supplier
CARMA1 / CARD11 Antibody (aa985-1154) LS-C379436
LifeSpan Biosciences
catalog: LS-C379436
domestic rabbit polyclonal
reactivity:
human
application:
western blot
,
ELISA
Western blot. All lanes: CARD11 antibody at 4 ug/ml+K562 whole cell lysate. Secondary antibody: Goat polyclonal to rabbit at 1:10000 dilution. Predicted band size: 133 kDa. Observed band size: 133 kDa.
quantity:
price:
to the supplier
CARMA1 / CARD11 Antibody (10-90 aa, N-terminal) LS-C382428
LifeSpan Biosciences
catalog: LS-C382428
domestic rabbit polyclonal
reactivity:
human
application:
western blot
,
ELISA
,
immunohistochemistry
,
immunocytochemistry
Western blot of CARD 11 antibody
quantity:
price:
to the supplier