Sign in
Sign up
home
>
LifeSpan Biosciences
> LifeSpan Biosciences HDAC10 antibody
HDAC10 Antibody (N-Terminus) LS-C48567
LifeSpan Biosciences
catalog: LS-C48567
domestic rabbit polyclonal
reactivity:
human
application:
western blot
quantity:
price:
to the supplier
HDAC10 Antibody LS-C7420
LifeSpan Biosciences
catalog: LS-C7420
domestic rabbit polyclonal
reactivity:
human
application:
western blot
quantity:
price:
to the supplier
HDAC10 Antibody (aa10-59) LS-C118478
LifeSpan Biosciences
catalog: LS-C118478
domestic rabbit polyclonal
reactivity:
human
application:
western blot
,
immunohistochemistry
,
immunohistochemistry - paraffin section
Immunohistochemistry analysis of paraffin-embedded human lung carcinoma tissue, using HDAC10 Antibody. The picture on the right is blocked with the synthesized peptide.
Western blot analysis of lysates from COS7 cells, using HDAC10 Antibody. The lane on the right is blocked with the synthesized peptide.
quantity:
price:
to the supplier
HDAC10 Antibody LS-C2681
LifeSpan Biosciences
catalog: LS-C2681
domestic rabbit polyclonal
reactivity:
human
application:
western blot
quantity:
price:
to the supplier
HDAC10 Antibody LS-C7419
LifeSpan Biosciences
catalog: LS-C7419
domestic rabbit polyclonal
reactivity:
human
application:
western blot
,
ELISA
quantity:
price:
to the supplier
HDAC10 Antibody LS-C40705
LifeSpan Biosciences
catalog: LS-C40705
domestic rabbit polyclonal
reactivity:
human
application:
western blot
,
ELISA
quantity:
price:
to the supplier
HDAC10 Antibody (aa16-46) LS-C96663
LifeSpan Biosciences
catalog: LS-C96663
domestic rabbit polyclonal
reactivity:
human
application:
western blot
Western blot of HDAC10 (arrow) using rabbit polyclonal HDAC10 Antibody (RB02583). 293 cell lysates (2 ug/lane) either nontransfected (Lane 1) or transiently transfected with the HDAC10 gene (Lane 2) (Origene Technologies).
quantity:
price:
to the supplier
HDAC10 Antibody (clone OTI6G5) LS-C114807
LifeSpan Biosciences
catalog: LS-C114807
mouse monoclonal (OTI6G5)
reactivity:
human
application:
western blot
,
immunohistochemistry
,
immunohistochemistry - paraffin section
HEK293T cells were transfected with the pCMV6-ENTRY control (Left lane) or pCMV6-ENTRY HDAC10 (Right lane) cDNA for 48 hrs and lysed. Equivalent amounts of cell lysates (5 ug per lane) were separated by SDS-PAGE and immunoblotted with anti-HDAC10.
IHC of paraffin-embedded Adenocarcinoma of breast tissue using anti-HDAC10 mouse monoclonal antibody. (Dilution 1:50).
quantity:
price:
to the supplier
HDAC10 Antibody (clone OTI9B5) LS-C114828
LifeSpan Biosciences
catalog: LS-C114828
mouse monoclonal (OTI9B5)
reactivity:
human
application:
western blot
,
immunohistochemistry
,
immunohistochemistry - paraffin section
HEK293T cells were transfected with the pCMV6-ENTRY control (Left lane) or pCMV6-ENTRY HDAC10 (Right lane) cDNA for 48 hrs and lysed. Equivalent amounts of cell lysates (5 ug per lane) were separated by SDS-PAGE and immunoblotted with anti-HDAC10.
IHC of paraffin-embedded Kidney tissue using anti-HDAC10 mouse monoclonal antibody. (Dilution 1:50).
quantity:
price:
to the supplier
HDAC10 Antibody (clone OTI8G5) LS-C114829
LifeSpan Biosciences
catalog: LS-C114829
mouse monoclonal (OTI8G5)
reactivity:
human
application:
western blot
,
immunohistochemistry
,
immunocytochemistry
,
immunohistochemistry - paraffin section
HEK293T cells were transfected with the pCMV6-ENTRY control (Left lane) or pCMV6-ENTRY HDAC10 (Right lane) cDNA for 48 hrs and lysed. Equivalent amounts of cell lysates (5 ug per lane) were separated by SDS-PAGE and immunoblotted with anti-HDAC10.
IHC of paraffin-embedded Adenocarcinoma of colon tissue using anti-HDAC10 mouse monoclonal antibody. (Dilution 1:50).
Anti-HDAC10 mouse monoclonal antibody immunofluorescent staining of COS7 cells transiently transfected by pCMV6-ENTRY HDAC10.
quantity:
price:
to the supplier
HDAC10 Antibody (clone OTI5A1) LS-C114831
LifeSpan Biosciences
catalog: LS-C114831
mouse monoclonal (OTI5A1)
reactivity:
human
application:
western blot
,
immunohistochemistry
,
immunohistochemistry - paraffin section
HEK293T cells were transfected with the pCMV6-ENTRY control (Left lane) or pCMV6-ENTRY HDAC10 (Right lane) cDNA for 48 hrs and lysed. Equivalent amounts of cell lysates (5 ug per lane) were separated by SDS-PAGE and immunoblotted with anti-HDAC10.
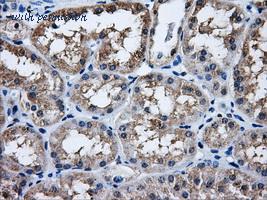
IHC of paraffin-embedded pancreas tissue using anti-HDAC10 mouse monoclonal antibody. (Dilution 1:50).
quantity:
price:
to the supplier
HDAC10 Antibody (clone OTI3C2) LS-C114837
LifeSpan Biosciences
catalog: LS-C114837
mouse monoclonal (OTI3C2)
reactivity:
human
application:
western blot
,
immunohistochemistry
,
flow cytometry
,
immunohistochemistry - paraffin section
HEK293T cells were transfected with the pCMV6-ENTRY control (Left lane) or pCMV6-ENTRY HDAC10 (Right lane) cDNA for 48 hrs and lysed. Equivalent amounts of cell lysates (5 ug per lane) were separated by SDS-PAGE and immunoblotted with anti-HDAC10.
IHC of paraffin-embedded colon tissue using anti-HDAC10 mouse monoclonal antibody. (Dilution 1:50).
Flow cytometry of HeLa cells, using anti-HDAC10 antibody, (Red) compared to a nonspecific negative control antibody (Blue).
quantity:
price:
to the supplier
HDAC10 Antibody (clone OTI5E2) LS-C114863
LifeSpan Biosciences
catalog: LS-C114863
mouse monoclonal (OTI5E2)
reactivity:
human
application:
western blot
,
immunohistochemistry
,
flow cytometry
,
immunohistochemistry - paraffin section
HEK293T cells were transfected with the pCMV6-ENTRY control (Left lane) or pCMV6-ENTRY HDAC10 (Right lane) cDNA for 48 hrs and lysed. Equivalent amounts of cell lysates (5 ug per lane) were separated by SDS-PAGE and immunoblotted with anti-HDAC10.
IHC of paraffin-embedded liver tissue using anti-HDAC10 mouse monoclonal antibody. (Dilution 1:50).
Flow cytometry of HeLa cells, using anti-HDAC10 antibody, (Red) compared to a nonspecific negative control antibody (Blue).
quantity:
price:
to the supplier
HDAC10 Antibody (Glu24) LS-C176056
LifeSpan Biosciences
catalog: LS-C176056
domestic rabbit polyclonal
reactivity:
human
application:
western blot
,
immunohistochemistry
,
immunohistochemistry - paraffin section
Western blot of HDAC10 (E24) pAb in extracts from HeLa cells.
IHC of HDAC10 (E24) pAb in paraffin-embedded human lung carcinoma tissue.
quantity:
price:
to the supplier
HDAC10 Antibody (aa50-100) LS-C209405
LifeSpan Biosciences
catalog: LS-C209405
domestic rabbit polyclonal
reactivity:
human
application:
western blot
,
ELISA
,
immunohistochemistry
quantity:
price:
to the supplier
HDAC10 Antibody (aa500-550) LS-C209406
LifeSpan Biosciences
catalog: LS-C209406
domestic rabbit polyclonal
reactivity:
human
application:
western blot
,
ELISA
,
immunohistochemistry
quantity:
price:
to the supplier
HDAC10 Antibody (C-Terminus) LS-C209407
LifeSpan Biosciences
catalog: LS-C209407
domestic rabbit polyclonal
reactivity:
human
application:
western blot
,
ELISA
,
immunohistochemistry
quantity:
price:
to the supplier
HDAC10 Antibody (aa16-46, AP) LS-C244612
LifeSpan Biosciences
catalog: LS-C244612
domestic rabbit polyclonal
reactivity:
human
conjugate: AP
application:
western blot
,
ELISA
quantity:
price:
to the supplier
HDAC10 Antibody (aa16-46, APC) LS-C244613
LifeSpan Biosciences
catalog: LS-C244613
domestic rabbit polyclonal
reactivity:
human
conjugate: APC
application:
western blot
,
ELISA
quantity:
price:
to the supplier
HDAC10 Antibody (aa16-46, Biotin) LS-C244615
LifeSpan Biosciences
catalog: LS-C244615
domestic rabbit polyclonal
reactivity:
human
conjugate: biotin
application:
western blot
,
ELISA
quantity:
price:
to the supplier
HDAC10 Antibody (aa16-46, FITC) LS-C244616
LifeSpan Biosciences
catalog: LS-C244616
domestic rabbit polyclonal
reactivity:
human
conjugate: FITC
application:
western blot
,
ELISA
quantity:
price:
to the supplier
HDAC10 Antibody (aa16-46, PE) LS-C244620
LifeSpan Biosciences
catalog: LS-C244620
domestic rabbit polyclonal
reactivity:
human
conjugate: PE
application:
western blot
,
ELISA
quantity:
price:
to the supplier
HDAC10 Antibody (aa16-46, Azide-free, HRP) LS-C247624
LifeSpan Biosciences
catalog: LS-C247624
domestic rabbit polyclonal
reactivity:
human
conjugate: HRP
application:
western blot
,
ELISA
quantity:
price:
to the supplier
IHC-plus™ HDAC10 Antibody (N-Terminus) LS-B10812
LifeSpan Biosciences
catalog: LS-B10812
domestic rabbit polyclonal
reactivity:
human
application:
western blot
,
ELISA
,
immunohistochemistry
,
immunohistochemistry - paraffin section
Anti-HDAC10 antibody IHC staining of human testis. Immunohistochemistry of formalin-fixed, paraffin-embedded tissue after heat-induced antigen retrieval. Antibody concentration 5 ug/ml.
quantity:
price:
to the supplier
HDAC10 Antibody (aa16-46) LS-C327519
LifeSpan Biosciences
catalog: LS-C327519
domestic rabbit polyclonal
reactivity:
human
application:
western blot
,
ELISA
quantity:
price:
to the supplier
HDAC10 Antibody (N-Terminus) LS-C353583
LifeSpan Biosciences
catalog: LS-C353583
domestic rabbit polyclonal
reactivity:
human
application:
western blot
,
immunohistochemistry
,
immunocytochemistry
,
immunohistochemistry - paraffin section
Western blot analysis of Histone Deacetylase 10 expression in HeLa (A); Jurkat (B); mouse liver (C); rat liver (D) whole cell lysates.
Immunohistochemical analysis of Histone Deacetylase 10 staining in human lung cancer formalin fixed paraffin embedded tissue section. The section was pre-treated using heat mediated antigen retrieval with sodium citrate buffer (pH 6.0). The section was then incubated with the antibody at room temperature and detected using an HRP conjugated compact polymer system. DAB was used as the chromogen. The section was then counterstained with hematoxylin and mounted with DPX.
Immunofluorescent analysis of Histone Deacetylase 10 staining in Jurkat cells. Formalin-fixed cells were permeabilized with 0.1% Triton X-100 in TBS for 5-10 minutes and blocked with 3% BSA-PBS for 30 minutes at room temperature. Cells were probed with the primary antibody in 3% BSA-PBS and incubated overnight at 4 C in a humidified chamber. Cells were washed with PBST and incubated with a DyLight 594-conjugated secondary antibody (red) in PBS at room temperature in the dark. DAPI was used to stain the cell nuclei (blue).
quantity:
price:
to the supplier
HDAC10 Antibody (10-90 aa, N-terminal) LS-C383928
LifeSpan Biosciences
catalog: LS-C383928
domestic rabbit polyclonal
reactivity:
human
application:
western blot
,
ELISA
,
immunohistochemistry
Western blot of Histone deacetylase 10 antibody
quantity:
price:
to the supplier