Sign in
Sign up
home
>
LifeSpan Biosciences
> LifeSpan Biosciences TCF7L1 antibody
IHC-plus™ TCF7L1 / TCF-3 Antibody (aa35-84) LS-B3476
LifeSpan Biosciences
catalog: LS-B3476
domestic rabbit polyclonal
reactivity:
human
application:
western blot
,
immunohistochemistry
,
immunohistochemistry - paraffin section
Anti-TCF7L1 antibody IHC of human colon. Immunohistochemistry of formalin-fixed, paraffin-embedded tissue after heat-induced antigen retrieval. Antibody concentration 5 ug/ml. This image was taken for the unconjugated form of this product. Other forms have not been tested.
quantity:
price:
to the supplier
TCF7L1 / TCF-3 Antibody (aa72-121) LS-C82001
LifeSpan Biosciences
catalog: LS-C82001
domestic rabbit polyclonal
reactivity:
human
application:
western blot
quantity:
price:
to the supplier
TCF7L1 / TCF-3 Antibody (aa429-581) LS-C132609
LifeSpan Biosciences
catalog: LS-C132609
domestic sheep polyclonal
reactivity:
human
application:
western blot
quantity:
price:
to the supplier
TCF7L1 / TCF-3 Antibody (aa303-352) LS-C200770
LifeSpan Biosciences
catalog: LS-C200770
domestic rabbit polyclonal
reactivity:
human
application:
western blot
Western blot analysis of the lysates from HUVECcells using TCF7L1 antibody.
quantity:
price:
to the supplier
TCF7L1 / TCF-3 Antibody (aa70-98) LS-C203898
LifeSpan Biosciences
catalog: LS-C203898
domestic rabbit polyclonal
reactivity:
human
application:
western blot
TCF7L1 Antibody western blot of HepG2 cell line lysates (35 ug/lane). The TCF7L1 antibody detected the TCF7L1 protein (arrow).
quantity:
price:
to the supplier
TCF7L1 / TCF-3 Antibody (aa321-370) LS-C291429
LifeSpan Biosciences
catalog: LS-C291429
domestic rabbit polyclonal
reactivity:
human
application:
western blot
quantity:
price:
to the supplier
TCF7L1 / TCF-3 Antibody (C-Terminus) LS-C345344
LifeSpan Biosciences
catalog: LS-C345344
domestic rabbit polyclonal
reactivity:
human
application:
western blot
quantity:
price:
to the supplier
TCF7L1 / TCF-3 Antibody (290-370 aa, Internal) LS-C386343
LifeSpan Biosciences
catalog: LS-C386343
domestic rabbit polyclonal
reactivity:
human
application:
western blot
,
ELISA
quantity:
price:
to the supplier
TCF7L1 / TCF-3 Antibody (aa561-588) LS-C408109
LifeSpan Biosciences
catalog: LS-C408109
domestic rabbit polyclonal
reactivity:
human
application:
western blot
,
immunohistochemistry
,
immunohistochemistry - paraffin section
Western blot analysis of TCF7L1 expression in COLO320 whole cell lysates (lane 1). TCF7L1 at 63 kD was detected using rabbit anti- TCF7L1 Antigen Affinity purified polyclonal antibody at 0.5 ug/mL. The blot was developed using chemiluminescence (ECL) method.
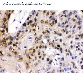
TCF7L1 was detected in paraffin-embedded sections of human esophagus squama cancer tissues using rabbit anti- TCF7L1 Antigen Affinity purified polyclonal antibody at 1 ug/mL. The immunohistochemical section was developed using SABC method.
quantity:
price:
to the supplier