Sign in
Sign up
home
>
LifeSpan Biosciences
> LifeSpan Biosciences gigaxonin antibody
GAN Antibody (aa503-552) LS-C112199
LifeSpan Biosciences
catalog: LS-C112199
domestic rabbit polyclonal
reactivity:
human
application:
western blot
quantity:
price:
to the supplier
GAN Antibody (clone 4G7) LS-C198530
LifeSpan Biosciences
catalog: LS-C198530
mouse monoclonal (4G7)
reactivity:
human
application:
western blot
,
ELISA
,
immunocytochemistry
Immunofluorescence of monoclonal antibody to GAN on HeLa cell . [antibody concentration 10 ug/ml]
Detection limit for recombinant GST tagged GAN is approximately 3 ng/ml as a capture antibody.
quantity:
price:
to the supplier
GAN Antibody (aa50-100) LS-C289615
LifeSpan Biosciences
catalog: LS-C289615
domestic rabbit polyclonal
reactivity:
human
application:
immunoprecipitation
quantity:
price:
to the supplier
GAN Antibody (aa150-200) LS-C289616
LifeSpan Biosciences
catalog: LS-C289616
domestic rabbit polyclonal
reactivity:
human
application:
immunoprecipitation
quantity:
price:
to the supplier
GAN Antibody (aa30-326) LS-C373632
LifeSpan Biosciences
catalog: LS-C373632
domestic rabbit polyclonal
reactivity:
human
application:
western blot
Western blot of GAN antibody.
quantity:
price:
to the supplier
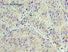
GAN Antibody (aa1-240) LS-C375751
LifeSpan Biosciences
catalog: LS-C375751
domestic rabbit polyclonal
reactivity:
human
application:
ELISA
,
immunohistochemistry
,
immunohistochemistry - paraffin section
Immunohistochemistry of paraffin-embedded human liver cancer using antibody at 1:100 dilution.
quantity:
price:
to the supplier