Sign in
Sign up
home
>
LifeSpan Biosciences
> LifeSpan Biosciences ATG9A antibody
IHC-plus™ ATG9A Antibody (aa750-839) LS-B661
LifeSpan Biosciences
catalog: LS-B661
domestic rabbit polyclonal
reactivity:
human
application:
western blot
,
immunohistochemistry
,
immunohistochemistry - paraffin section
Anti-ATG9A antibody IHC of human brain, cortex. Immunohistochemistry of formalin-fixed, paraffin-embedded tissue after heat-induced antigen retrieval. Antibody concentration 5 ug/ml. This image was taken for the unconjugated form of this product. Other forms have not been tested.
quantity:
price:
to the supplier
ATG9A Antibody (C-Terminus) LS-C74354
LifeSpan Biosciences
catalog: LS-C74354
domestic rabbit polyclonal
reactivity:
human
application:
western blot
,
ELISA
,
immunohistochemistry
,
immunocytochemistry
quantity:
price:
to the supplier
ATG9A Antibody (C-Terminus) LS-C74353
LifeSpan Biosciences
catalog: LS-C74353
domestic rabbit polyclonal
reactivity:
human
application:
western blot
quantity:
price:
to the supplier
ATG9A Antibody (aa648-697) LS-C111001
LifeSpan Biosciences
catalog: LS-C111001
domestic rabbit polyclonal
reactivity:
human
application:
western blot
quantity:
price:
to the supplier
ATG9A Antibody (aa443-492) LS-C145291
LifeSpan Biosciences
catalog: LS-C145291
domestic rabbit polyclonal
reactivity:
human
,
mouse
application:
western blot
quantity:
price:
to the supplier
IHC-plus™ ATG9A Antibody LS-B6984
LifeSpan Biosciences
catalog: LS-B6984
domestic rabbit polyclonal
reactivity:
human
application:
western blot
,
ELISA
,
immunohistochemistry
,
immunocytochemistry
,
immunohistochemistry - paraffin section
Anti-ATG9A antibody IHC of human brain, cerebellum. Immunohistochemistry of formalin-fixed, paraffin-embedded tissue after heat-induced antigen retrieval. Antibody concentration 5 ug/ml.
Immunofluorescence of ATG9A in human heart tissue with ATG9A antibody at 20 ug/ml.
Western blot analysis of ATG9A in mouse heart tissue lysate with ATG9A antibody at 1 ug/ml.
quantity:
price:
to the supplier
ATG9A Antibody (aa717-746) LS-C156622
LifeSpan Biosciences
catalog: LS-C156622
domestic rabbit polyclonal
reactivity:
human
application:
western blot
,
immunohistochemistry
,
immunocytochemistry
,
immunohistochemistry - paraffin section
Fluorescent image of U251 cells stained with ATG9A antibody. U251 cells were treated with Chloroquine (50 mu M,16h), then fixed with 4% PFA (20 min), permeabilized with Triton X-100 (0.2%, 30 min). Cells were then incubated ATG9A primary antibody (1:100, 2 h at room temperature). For secondary antibody, Alexa Fluor 488 conjugated donkey anti-rabbit antibody (green) was used (1:1000, 1h). Nuclei were counterstained with Hoechst 33342 (blue) (10 ug/ml, 5 min). ATG9A immunoreactivity is localized to autophagic vacuoles in the cytoplasm of U251 cells.
Western blot of anti-Autophagy APG9L1 Antibody in A2058 and A375 cell line lysates (35 ug/lane). APG9L1(arrow) was detected using the purified antibody.
Formalin-fixed and paraffin-embedded human cancer tissue reacted with the primary antibody, which was peroxidase-conjugated to the secondary antibody, followed by DAB staining. This data demonstrates the use of this antibody for immunohistochemistry; clinical relevance has not been evaluated. BC = breast carcinoma; HC = hepatocarcinoma.
quantity:
price:
to the supplier
ATG9A Antibody (aa252-281) LS-C156623
LifeSpan Biosciences
catalog: LS-C156623
domestic rabbit polyclonal
reactivity:
human
application:
western blot
,
immunohistochemistry
,
immunohistochemistry - paraffin section
Formalin-fixed and paraffin-embedded human cancer tissue reacted with the primary antibody, which was peroxidase-conjugated to the secondary antibody, followed by DAB staining. This data demonstrates the use of this antibody for immunohistochemistry; clinical relevance has not been evaluated. BC = breast carcinoma; HC = hepatocarcinoma.
APG9L1 Antibody (W267) western blot of A2058 cell line lysates (35 ug/lane). The APG9L1 antibody detected the APG9L1 protein (arrow).
quantity:
price:
to the supplier
ATG9A Antibody (C-Terminus) LS-C187451
LifeSpan Biosciences
catalog: LS-C187451
domestic rabbit polyclonal
reactivity:
human
application:
western blot
,
ELISA
,
immunohistochemistry
,
immunohistochemistry - paraffin section
quantity:
price:
to the supplier
ATG9A Antibody (Ser738) LS-C319673
LifeSpan Biosciences
catalog: LS-C319673
domestic rabbit polyclonal
reactivity:
human
application:
ELISA
,
immunohistochemistry
quantity:
price:
to the supplier
ATG9A Antibody (aa515-548) LS-C356567
LifeSpan Biosciences
catalog: LS-C356567
domestic rabbit polyclonal
reactivity:
human
application:
western blot
Anti-atg9a Antibody at 1:2000 dilution + mouse heart lysates Lysates/proteins at 20 ug per lane. Secondary Goat Anti-Rabbit IgG, (H+L), Peroxidase conjugated at 1/10000 dilution Predicted band size : 96 kDa Blocking/Dilution buffer: 5% NFDM/TBST.
quantity:
price:
to the supplier
ATG9A Antibody (aa180-290) LS-C378005
LifeSpan Biosciences
catalog: LS-C378005
domestic rabbit polyclonal
reactivity:
human
application:
ELISA
,
immunohistochemistry
,
immunohistochemistry - paraffin section
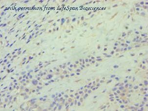
Immunohistochemistry of paraffin-embedded human breast cancer using antibody at 1:100 dilution.
quantity:
price:
to the supplier