Sign in
Sign up
home
>
LifeSpan Biosciences
> LifeSpan Biosciences vimentin antibody
IHC-plus™ Vimentin Antibody (clone VI-10) LS-B1870
LifeSpan Biosciences
catalog: LS-B1870
mouse monoclonal (VI-10)
reactivity:
human
application:
western blot
,
immunohistochemistry
,
immunocytochemistry
,
immunoprecipitation
,
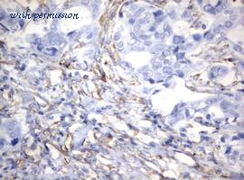
immunohistochemistry - paraffin section
Anti-Vimentin antibody IHC of human skin. Immunohistochemistry of formalin-fixed, paraffin-embedded tissue after heat-induced antigen retrieval. Antibody concentration 5 ug/ml.
quantity:
price:
to the supplier
IHC-plus™ Vimentin Antibody LS-B291
LifeSpan Biosciences
catalog: LS-B291
chicken polyclonal
reactivity:
human
application:
immunohistochemistry
,
immunohistochemistry - paraffin section
citations: 1
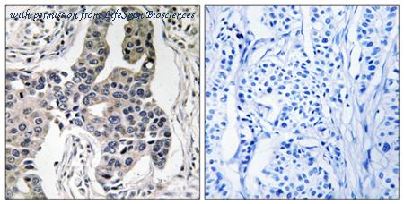
Anti-Vimentin antibody IHC of human placenta. Immunohistochemistry of formalin-fixed, paraffin-embedded tissue after heat-induced antigen retrieval. Antibody dilution 1:500.
quantity:
price:
to the supplier
Vimentin Antibody LS-C40195
LifeSpan Biosciences
catalog: LS-C40195
mouse monoclonal
reactivity:
human
,
rat
modification: phosphorylated
application:
western blot
,
immunohistochemistry
,
immunocytochemistry
,
flow cytometry
,
immunohistochemistry - paraffin section
,
immunohistochemistry - frozen section
citations: 1
quantity:
price:
to the supplier
Vimentin Antibody (aa300-350) LS-C92412
LifeSpan Biosciences
catalog: LS-C92412
domestic rabbit polyclonal
reactivity:
human
application:
western blot
,
ELISA
,
immunohistochemistry
quantity:
price:
to the supplier
IHC-plus™ Vimentin Antibody (clone RV203) LS-B7191
LifeSpan Biosciences
catalog: LS-B7191
mouse monoclonal (RV203)
reactivity:
human
application:
western blot
,
immunohistochemistry
,
immunocytochemistry
,
flow cytometry
,
immunohistochemistry - paraffin section
,
immunohistochemistry - frozen section
citations: 1
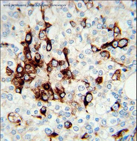
Anti-Vimentin antibody IHC of human prostate. Immunohistochemistry of formalin-fixed, paraffin-embedded tissue after heat-induced antigen retrieval. Antibody concentration 20 ug/ml.
quantity:
price:
to the supplier
Vimentin Antibody LS-C204593
LifeSpan Biosciences
catalog: LS-C204593
chicken polyclonal
reactivity:
human
application:
western blot
,
immunohistochemistry
,
immunocytochemistry
citations: 1
Western blot of crude extract of human embryonic kidney Hek293 cells stained with Vimentin antibody, showing a single strong clean band at ~50kDa.
View of mixed neuron/glial cultures stained with Vimentin antibody (green) and rabbit antibody to GFAP antibody (red). Vimentin is the sole cytoplasmic intermediate filament subunit expressed in fibroblastic, microglial and endothelial cells. The flattened cells in the middle of the image which appear green are fibroblasts. Astrocytes may express primarily GFAP, or a mix of GFAP and vimentin, and so appear red (GFAP only) or golden yellow (GFAP and Vimentin). In cells which express both GFAP and vimentin, the two protein assemble to produce heteropolymer filaments.
quantity:
price:
to the supplier
Vimentin Antibody LS-C40181
LifeSpan Biosciences
catalog: LS-C40181
mouse monoclonal
reactivity:
human
modification: phosphorylated
application:
immunohistochemistry
,
immunohistochemistry - paraffin section
quantity:
price:
to the supplier
Vimentin Antibody LS-C40185
LifeSpan Biosciences
catalog: LS-C40185
mouse monoclonal
reactivity:
human
,
bovine
modification: phosphorylated
application:
western blot
,
immunohistochemistry
,
immunohistochemistry - paraffin section
,
immunohistochemistry - frozen section
quantity:
price:
to the supplier
Vimentin Antibody LS-C40186
LifeSpan Biosciences
catalog: LS-C40186
mouse monoclonal
reactivity:
human
,
bovine
modification: phosphorylated
application:
western blot
,
ELISA
,
immunohistochemistry
,
immunocytochemistry
,
immunohistochemistry - paraffin section
,
immunohistochemistry - frozen section
quantity:
price:
to the supplier
Vimentin Antibody (FITC) LS-C40188
LifeSpan Biosciences
catalog: LS-C40188
mouse monoclonal
reactivity:
human
,
bovine
conjugate: FITC
application:
western blot
,
ELISA
,
immunohistochemistry
,
immunocytochemistry
,
immunohistochemistry - paraffin section
,
immunohistochemistry - frozen section
quantity:
price:
to the supplier
Vimentin Antibody LS-C40192
LifeSpan Biosciences
catalog: LS-C40192
mouse monoclonal
reactivity:
human
modification: phosphorylated
application:
western blot
,
immunohistochemistry
,
immunocytochemistry
,
immunohistochemistry - paraffin section
quantity:
price:
to the supplier
Vimentin Antibody LS-C40194
LifeSpan Biosciences
catalog: LS-C40194
mouse monoclonal
reactivity:
human
modification: phosphorylated
application:
western blot
,
immunohistochemistry
,
immunocytochemistry
,
flow cytometry
,
immunohistochemistry - frozen section
quantity:
price:
to the supplier
Vimentin Antibody LS-C40197
LifeSpan Biosciences
catalog: LS-C40197
domestic goat polyclonal
reactivity:
human
application:
western blot
,
immunohistochemistry
,
immunocytochemistry
,
immunohistochemistry - paraffin section
,
immunohistochemistry - frozen section
quantity:
price:
to the supplier
Vimentin Antibody LS-C40200
LifeSpan Biosciences
catalog: LS-C40200
mouse monoclonal
reactivity:
human
modification: phosphorylated
application:
immunohistochemistry
,
immunohistochemistry - paraffin section
quantity:
price:
to the supplier
Vimentin Antibody LS-C40201
LifeSpan Biosciences
catalog: LS-C40201
mouse monoclonal
reactivity:
human
modification: phosphorylated
application:
immunohistochemistry
,
immunocytochemistry
,
immunohistochemistry - paraffin section
quantity:
price:
to the supplier
Vimentin Antibody (N-Terminus) LS-C40203
LifeSpan Biosciences
catalog: LS-C40203
domestic sheep polyclonal
reactivity:
human
application:
ELISA
quantity:
price:
to the supplier
Vimentin Antibody (N-Terminus) LS-C40204
LifeSpan Biosciences
catalog: LS-C40204
domestic sheep polyclonal
reactivity:
human
application:
ELISA
quantity:
price:
to the supplier
Vimentin Antibody (N-Terminus, HRP) LS-C40205
LifeSpan Biosciences
catalog: LS-C40205
domestic sheep polyclonal
reactivity:
human
conjugate: HRP
application:
ELISA
quantity:
price:
to the supplier
Vimentin Antibody LS-C40207
LifeSpan Biosciences
catalog: LS-C40207
domestic rabbit polyclonal
reactivity:
human
application:
immunohistochemistry
,
immunohistochemistry - paraffin section
quantity:
price:
to the supplier
Vimentin Antibody LS-C40209
LifeSpan Biosciences
catalog: LS-C40209
guinea-pigs polyclonal
reactivity:
human
,
bovine
application:
western blot
,
immunohistochemistry
,
immunohistochemistry - paraffin section
,
immunohistochemistry - frozen section
quantity:
price:
to the supplier
Vimentin Antibody (clone VI-01) LS-C45871
LifeSpan Biosciences
catalog: LS-C45871
mouse monoclonal (VI-01)
reactivity:
human
application:
western blot
,
immunocytochemistry
quantity:
price:
to the supplier
Vimentin Antibody (clone VI-RE/1) LS-C46022
LifeSpan Biosciences
catalog: LS-C46022
mouse monoclonal (VI-RE/1)
reactivity:
human
application:
western blot
,
ELISA
,
immunocytochemistry
,
flow cytometry
quantity:
price:
to the supplier
Vimentin Antibody (clone VI-RE/1, PE) LS-C46506
LifeSpan Biosciences
catalog: LS-C46506
mouse monoclonal (VI-RE/1)
reactivity:
human
conjugate: PE
application:
western blot
,
ELISA
,
immunocytochemistry
,
flow cytometry
quantity:
price:
to the supplier
Vimentin Antibody (clone 9E7E7, 5G3F10) LS-C47207
LifeSpan Biosciences
catalog: LS-C47207
mouse monoclonal (9E7E7, 5G3F10)
reactivity:
human
application:
western blot
,
ELISA
,
immunohistochemistry
quantity:
price:
to the supplier
Vimentin Antibody LS-C76823
LifeSpan Biosciences
catalog: LS-C76823
chicken polyclonal
reactivity:
human
,
rat
application:
immunohistochemistry
quantity:
price:
to the supplier
Vimentin Antibody (aa110-159) LS-C81188
LifeSpan Biosciences
catalog: LS-C81188
domestic rabbit polyclonal
reactivity:
human
application:
western blot
quantity:
price:
to the supplier
Vimentin Antibody (clone VIM 3B4) LS-C85521
LifeSpan Biosciences
catalog: LS-C85521
mouse monoclonal (VIM 3B4)
reactivity:
human
,
bovine
application:
ELISA
,
immunocytochemistry
quantity:
price:
to the supplier
Vimentin Antibody (clone V9) LS-C95348
LifeSpan Biosciences
catalog: LS-C95348
mouse monoclonal (V9)
reactivity:
human
application:
western blot
,
immunohistochemistry
,
immunoprecipitation
quantity:
price:
to the supplier
Vimentin Antibody LS-C48577
LifeSpan Biosciences
catalog: LS-C48577
domestic rabbit polyclonal
reactivity:
human
application:
western blot
quantity:
price:
to the supplier
Vimentin Antibody LS-C86288
LifeSpan Biosciences
catalog: LS-C86288
guinea-pigs polyclonal
reactivity:
human
application:
western blot
,
immunohistochemistry
,
immunohistochemistry - paraffin section
,
immunohistochemistry - frozen section
quantity:
price:
to the supplier
Vimentin Antibody (clone VIM 3B4, FITC) LS-C86895
LifeSpan Biosciences
catalog: LS-C86895
mouse monoclonal (VIM 3B4)
reactivity:
human
,
bovine
conjugate: FITC
application:
western blot
,
ELISA
,
immunohistochemistry
,
immunocytochemistry
,
immunohistochemistry - paraffin section
,
immunohistochemistry - frozen section
quantity:
price:
to the supplier
Vimentin Antibody (clone V9) LS-C87666
LifeSpan Biosciences
catalog: LS-C87666
mouse monoclonal (V9)
reactivity:
human
quantity:
price:
to the supplier
Vimentin Antibody (aa400-500) LS-C92410
LifeSpan Biosciences
catalog: LS-C92410
domestic rabbit polyclonal
reactivity:
human
application:
western blot
,
ELISA
,
immunohistochemistry
quantity:
price:
to the supplier
Vimentin Antibody (aa70-120) LS-C92411
LifeSpan Biosciences
catalog: LS-C92411
domestic rabbit polyclonal
reactivity:
human
application:
western blot
,
ELISA
,
immunohistochemistry
quantity:
price:
to the supplier
Vimentin Antibody LS-C92419
LifeSpan Biosciences
catalog: LS-C92419
chicken polyclonal
reactivity:
human
application:
western blot
,
immunohistochemistry
,
immunocytochemistry
,
immunohistochemistry - paraffin section
quantity:
price:
to the supplier
IHC-plus™ Vimentin Antibody (Azide-free) LS-B3037
LifeSpan Biosciences
catalog: LS-B3037
mouse monoclonal
reactivity:
human
application:
immunohistochemistry
,
immunohistochemistry - paraffin section
Anti-Vimentin antibody IHC of human uterus. Immunohistochemistry of formalin-fixed, paraffin-embedded tissue after heat-induced antigen retrieval. Antibody concentration 10 ug/ml. This image was taken for the unmodified form of this product. Other forms have not been tested.
quantity:
price:
to the supplier
Vimentin Antibody (Ser82) LS-C98612
LifeSpan Biosciences
catalog: LS-C98612
domestic rabbit polyclonal
reactivity:
human
application:
western blot
,
immunohistochemistry
,
immunocytochemistry
,
immunohistochemistry - paraffin section
Fluorescent confocal image of SY5Y cells stained with Vimentin (S82) antibody. SY5Y cells were fixed with 4% PFA (20 min), permeabilized with Triton X-100 (0.2%, 30 min). Cells were then incubated Vimentin (S82) primary antibody (1:200, 2 h at room temperature). For secondary antibody, Alexa Fluor 488 conjugated donkey anti-rabbit antibody (green) was used (1:1000, 1h). Nuclei were counterstained with Hoechst 33342 (blue) (10 ug/ml, 5 min). Note the highly specific localization of the Vimentin immunosignal to the cytoskeleton, supported by Human Protein Atlas Data (http://www.proteinatlas.org/ENSG00000026025).
Western blot of VIM(arrow) using rabbit polyclonal Vimentin Antibody (S82). 293 cell lysates (2 ug/lane) either nontransfected (Lane 1) or transiently transfected with the VIM gene (Lane 2) (Origene Technologies).
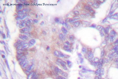
Formalin-fixed and paraffin-embedded human breast carcinoma tissue reacted with Vimentin Antibody (S82) , which was peroxidase-conjugated to the secondary antibody, followed by DAB staining. This data demonstrates the use of this antibody for immunohistochemistry; clinical relevance has not been evaluated.
quantity:
price:
to the supplier
Vimentin Antibody (aa430-457) LS-C98613
LifeSpan Biosciences
catalog: LS-C98613
domestic rabbit polyclonal
reactivity:
human
application:
western blot
,
immunohistochemistry
,
immunocytochemistry
,
flow cytometry
,
immunohistochemistry - paraffin section
Fluorescent confocal image of SY5Y cells stained with Vimentin antibody. SY5Y cells were fixed with 4% PFA (20 min), permeabilized with Triton X-100 (0.2%, 30 min). Cells were then incubated Vimentin primary antibody (1:100, 2 h at room temperature). For secondary antibody, Alexa Fluor 488 conjugated donkey anti-rabbit antibody (green) was used (1:1000, 1h). Nuclei were counterstained with Hoechst 33342 (blue) (10 ug/ml, 5 min). Note the highly specific localization of the Vimentin immunosignal to the cytoskeleton, supported by Human Protein Atlas Data (http://www.proteinatlas.org/ENSG00000026025).
Western blot of Vimentin antibody in NCI-H460 cell line lysates (35 ug/lane). Vimentin (arrow) was detected using the purified antibody.
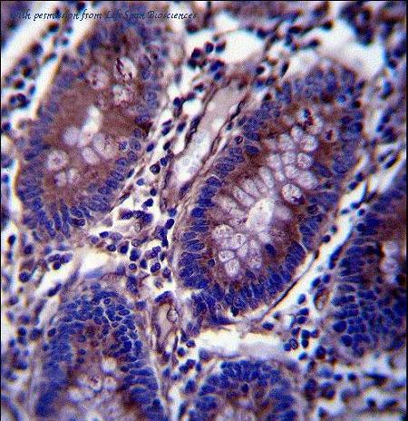
Vimentin Antibody immunohistochemistry of formalin-fixed and paraffin-embedded human colon tissue followed by peroxidase-conjugated secondary antibody and DAB staining.
quantity:
price:
to the supplier
Vimentin Antibody (aa152-181) LS-C98614
LifeSpan Biosciences
catalog: LS-C98614
domestic rabbit polyclonal
reactivity:
human
application:
western blot
,
immunohistochemistry
,
flow cytometry
,
immunohistochemistry - paraffin section
Western blot of Vimentin Antibody in A2058,A375 cell line lysates (35 ug/lane). Vimentin (arrow) was detected using the purified antibody.
Vimentin Antibody immunohistochemistry of formalin-fixed and paraffin-embedded human prostate tissue followed by peroxidase-conjugated secondary antibody and DAB staining.
Vimentin Antibody flow cytometry of HeLa cells (right histogram) compared to a negative control cell (left histogram). FITC-conjugated donkey-anti-rabbit secondary antibodies were used for the analysis.
quantity:
price:
to the supplier
Vimentin Antibody (aa56-105) LS-C118035
LifeSpan Biosciences
catalog: LS-C118035
domestic rabbit polyclonal
reactivity:
human
application:
western blot
Western blot analysis of lysates from 293 cells, treated with EGF 200ng/ml 30', using Vimentin Antibody. The lane on the right is blocked with the synthesized peptide.
quantity:
price:
to the supplier
Vimentin Antibody (aa31-80) LS-C118036
LifeSpan Biosciences
catalog: LS-C118036
domestic rabbit polyclonal
reactivity:
human
application:
western blot
,
immunohistochemistry
,
immunohistochemistry - paraffin section
Immunohistochemistry analysis of paraffin-embedded human breast carcinoma tissue, using Vimentin Antibody. The picture on the right is blocked with the synthesized peptide.
Western blot analysis of lysates from A549 cells, treated with Nocodazole 1ug/ml 16h, using Vimentin Antibody. The lane on the right is blocked with the synthesized peptide.
quantity:
price:
to the supplier
Vimentin Antibody (aa411-460) LS-C118634
LifeSpan Biosciences
catalog: LS-C118634
domestic rabbit polyclonal
reactivity:
human
application:
western blot
,
immunohistochemistry
,
immunohistochemistry - paraffin section
Immunohistochemistry analysis of paraffin-embedded human breast carcinoma tissue, using Vimentin Antibody. The picture on the right is blocked with the synthesized peptide.
Western blot analysis of lysates from HepG2 cells, treated with Adriamycin 0.5uM 5h, using Vimentin Antibody. The lane on the right is blocked with the synthesized peptide.
quantity:
price:
to the supplier
PathPlus™ Vimentin Antibody (C-Terminus) LS-B4669
LifeSpan Biosciences
catalog: LS-B4669
domestic rabbit polyclonal
reactivity:
human
application:
western blot
,
immunohistochemistry
,
immunohistochemistry - paraffin section
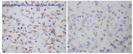
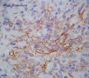
Anti-Vimentin antibody IHC of human kidney. Immunohistochemistry of formalin-fixed, paraffin-embedded tissue after heat-induced antigen retrieval. Antibody concentration 5 ug/ml. This image was taken for the unconjugated form of this product. Other forms have not been tested.
quantity:
price:
to the supplier
Vimentin Antibody LS-C122543
LifeSpan Biosciences
catalog: LS-C122543
mouse monoclonal
reactivity:
human
application:
western blot
,
immunohistochemistry
,
immunohistochemistry - paraffin section
quantity:
price:
to the supplier
Vimentin Antibody (clone 65) LS-C124789
LifeSpan Biosciences
catalog: LS-C124789
mouse monoclonal (65)
reactivity:
human
application:
western blot
,
immunohistochemistry
,
immunohistochemistry - frozen section
quantity:
price:
to the supplier
Vimentin Antibody (clone VI-RE/1) LS-C124790
LifeSpan Biosciences
catalog: LS-C124790
mouse monoclonal (VI-RE/1)
reactivity:
human
application:
western blot
,
ELISA
quantity:
price:
to the supplier
Vimentin Antibody LS-C124791
LifeSpan Biosciences
catalog: LS-C124791
chicken polyclonal
reactivity:
human
,
mouse
application:
western blot
,
immunohistochemistry
,
immunocytochemistry
quantity:
price:
to the supplier
Vimentin Antibody (PE) LS-C132891
LifeSpan Biosciences
catalog: LS-C132891
rat monoclonal
reactivity:
human
conjugate: PE
application:
flow cytometry
quantity:
price:
to the supplier
Vimentin Antibody (Internal) LS-C137109
LifeSpan Biosciences
catalog: LS-C137109
domestic rabbit polyclonal
reactivity:
human
application:
western blot
,
ELISA
,
immunohistochemistry
quantity:
price:
to the supplier
PathPlus™ Vimentin Antibody (clone 23H2) LS-B7093
LifeSpan Biosciences
catalog: LS-B7093
mouse monoclonal (23H2)
reactivity:
human
application:
western blot
,
immunohistochemistry
,
immunoprecipitation
,
immunohistochemistry - paraffin section
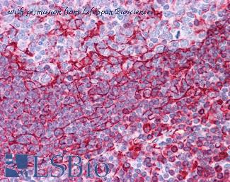
Anti-Vimentin antibody IHC of human spleen. Immunohistochemistry of formalin-fixed, paraffin-embedded tissue after heat-induced antigen retrieval. Antibody dilution 1:400.
quantity:
price:
to the supplier
IHC-plus™ Vimentin Antibody (clone 33C7) LS-B7094
LifeSpan Biosciences
catalog: LS-B7094
mouse monoclonal (33C7)
reactivity:
human
application:
western blot
,
ELISA
,
immunohistochemistry
,
immunoprecipitation
,
immunohistochemistry - paraffin section
Anti-Vimentin antibody IHC of human spleen. Immunohistochemistry of formalin-fixed, paraffin-embedded tissue after heat-induced antigen retrieval. Antibody dilution 1:400.
quantity:
price:
to the supplier
PathPlus™ Vimentin Antibody (clone 35E2) LS-B7135
LifeSpan Biosciences
catalog: LS-B7135
mouse monoclonal (35E2)
reactivity:
human
application:
western blot
,
immunohistochemistry
,
immunohistochemistry - paraffin section
Anti-Vimentin antibody IHC of human spleen. Immunohistochemistry of formalin-fixed, paraffin-embedded tissue after heat-induced antigen retrieval. Antibody dilution 1:400.
quantity:
price:
to the supplier
IHC-plus™ Vimentin Antibody (clone V9) LS-B7192
LifeSpan Biosciences
catalog: LS-B7192
mouse monoclonal (V9)
reactivity:
human
application:
western blot
,
immunohistochemistry
,
immunocytochemistry
,
flow cytometry
,
immunohistochemistry - paraffin section
,
immunohistochemistry - frozen section
Anti-Vimentin antibody IHC of human prostate. Immunohistochemistry of formalin-fixed, paraffin-embedded tissue after heat-induced antigen retrieval. Antibody concentration 20 ug/ml.
quantity:
price:
to the supplier
PathPlus™ Vimentin Antibody (clone RV202) LS-B7202
LifeSpan Biosciences
catalog: LS-B7202
mouse monoclonal (RV202)
reactivity:
human
,
bovine
application:
western blot
,
immunocytochemistry
,
flow cytometry
,
immunohistochemistry - paraffin section
,
immunohistochemistry - frozen section
Anti-Vimentin antibody IHC of human prostate. Immunohistochemistry of formalin-fixed, paraffin-embedded tissue after heat-induced antigen retrieval. Antibody concentration 10 ug/ml.
quantity:
price:
to the supplier
Vimentin Antibody LS-C160528
LifeSpan Biosciences
catalog: LS-C160528
domestic rabbit polyclonal
reactivity:
human
application:
western blot
,
immunohistochemistry
,
flow cytometry
,
immunohistochemistry - paraffin section
Western blot of VIME Antibody in A375 cell line lysates (35 ug/lane). VIME (arrow) was detected using the purified antibody.
VIME Antibody immunohistochemistry of formalin-fixed and paraffin-embedded human rectum tissue followed by peroxidase-conjugated secondary antibody and DAB staining.
VIME Antibody flow cytometry of HeLa cells (right histogram) compared to a negative control cell (left histogram). FITC-conjugated goat-anti-rabbit secondary antibodies were used for the analysis.
quantity:
price:
to the supplier
Vimentin Antibody LS-C160529
LifeSpan Biosciences
catalog: LS-C160529
mouse monoclonal
reactivity:
human
application:
western blot
VIME Antibody western blot of HeLa cell line lysates (35 ug/lane). The VIME antibody detected the VIME protein (arrow).
quantity:
price:
to the supplier
Vimentin Antibody (Ready-to-Use) LS-C170864
LifeSpan Biosciences
catalog: LS-C170864
domestic rabbit polyclonal
reactivity:
human
application:
immunohistochemistry
quantity:
price:
to the supplier
Vimentin Antibody (clone VMT-24) LS-C171294
LifeSpan Biosciences
catalog: LS-C171294
mouse monoclonal (VMT-24)
reactivity:
human
application:
western blot
,
immunohistochemistry
,
immunohistochemistry - paraffin section
This image was taken for the unconjugated form of this product. Other forms have not been tested.
quantity:
price:
to the supplier
Vimentin Antibody (clone VMT-24, Magnetic beads) LS-C171295
LifeSpan Biosciences
catalog: LS-C171295
mouse monoclonal (VMT-24)
reactivity:
human
conjugate: Bead
application:
immunoprecipitation
This image was taken for the unconjugated form of this product. Other forms have not been tested.
quantity:
price:
to the supplier
Vimentin Antibody (clone VMT-24, Sepharose) LS-C171296
LifeSpan Biosciences
catalog: LS-C171296
mouse monoclonal (VMT-24)
reactivity:
human
application:
immunoprecipitation
This image was taken for the unconjugated form of this product. Other forms have not been tested.
quantity:
price:
to the supplier
Vimentin Antibody (clone 9E7E7,) LS-C171373
LifeSpan Biosciences
catalog: LS-C171373
mouse monoclonal (9E7E7,)
reactivity:
human
application:
western blot
,
ELISA
,
immunohistochemistry
,
immunohistochemistry - paraffin section
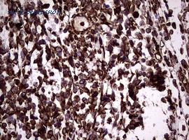
IHC of paraffin- embedded human lung carcinoma tissue, showing cytoplasmic localization using Vimentin mouse mAb with DAB staining.
Western blot of Vimentin mouse mAb against truncated Vimentin recombinant protein.
quantity:
price:
to the supplier
Vimentin Antibody (clone OTI1H10) LS-C175342
LifeSpan Biosciences
catalog: LS-C175342
mouse monoclonal (OTI1H10)
reactivity:
human
application:
western blot
HEK293T cells were transfected with the pCMV6-ENTRY control (Left lane) or pCMV6-ENTRY VIM (Right lane) cDNA for 48 hrs and lysed. Equivalent amounts of cell lysates (5 ug per lane) were separated by SDS-PAGE and immunoblotted with anti-VIM.
quantity:
price:
to the supplier
Vimentin Antibody (clone OTI7A9) LS-C175343
LifeSpan Biosciences
catalog: LS-C175343
mouse monoclonal (OTI7A9)
reactivity:
human
application:
western blot
HEK293T cells were transfected with the pCMV6-ENTRY control (Left lane) or pCMV6-ENTRY VIM (Right lane) cDNA for 48 hrs and lysed. Equivalent amounts of cell lysates (5 ug per lane) were separated by SDS-PAGE and immunoblotted with anti-VIM.
quantity:
price:
to the supplier
Vimentin Antibody (clone OTI2F7) LS-C175349
LifeSpan Biosciences
catalog: LS-C175349
mouse monoclonal (OTI2F7)
reactivity:
human
application:
western blot
HEK293T cells were transfected with the pCMV6-ENTRY control (Left lane) or pCMV6-ENTRY VIM (Right lane) cDNA for 48 hrs and lysed. Equivalent amounts of cell lysates (5 ug per lane) were separated by SDS-PAGE and immunoblotted with anti-VIM.
quantity:
price:
to the supplier
Vimentin Antibody (clone OTI11C11) LS-C175552
LifeSpan Biosciences
catalog: LS-C175552
mouse monoclonal (OTI11C11)
reactivity:
human
application:
western blot
HEK293T cells were transfected with the pCMV6-ENTRY control (Left lane) or pCMV6-ENTRY VIM (Right lane) cDNA for 48 hrs and lysed. Equivalent amounts of cell lysates (5 ug per lane) were separated by SDS-PAGE and immunoblotted with anti-VIM.
quantity:
price:
to the supplier
Vimentin Antibody (clone OTI13B1) LS-C175553
LifeSpan Biosciences
catalog: LS-C175553
mouse monoclonal (OTI13B1)
reactivity:
human
application:
western blot
HEK293T cells were transfected with the pCMV6-ENTRY control (Left lane) or pCMV6-ENTRY VIM (Right lane) cDNA for 48 hrs and lysed. Equivalent amounts of cell lysates (5 ug per lane) were separated by SDS-PAGE and immunoblotted with anti-VIM.
quantity:
price:
to the supplier
Vimentin Antibody (clone OTI7F5) LS-C175564
LifeSpan Biosciences
catalog: LS-C175564
mouse monoclonal (OTI7F5)
reactivity:
human
application:
western blot
HEK293T cells were transfected with the pCMV6-ENTRY control (Left lane) or pCMV6-ENTRY VIM (Right lane) cDNA for 48 hrs and lysed. Equivalent amounts of cell lysates (5 ug per lane) were separated by SDS-PAGE and immunoblotted with anti-VIM.
quantity:
price:
to the supplier
Vimentin Antibody (clone OTI5D7) LS-C175573
LifeSpan Biosciences
catalog: LS-C175573
mouse monoclonal (OTI5D7)
reactivity:
human
application:
western blot
,
immunohistochemistry
,
immunohistochemistry - paraffin section
HEK293T cells were transfected with the pCMV6-ENTRY control (Left lane) or pCMV6-ENTRY VIM (Right lane) cDNA for 48 hrs and lysed. Equivalent amounts of cell lysates (5 ug per lane) were separated by SDS-PAGE and immunoblotted with anti-VIM.
IHC of paraffin-embedded Adenocarcinoma of Human breast tissue using anti-VIM mouse monoclonal antibody.
quantity:
price:
to the supplier
Vimentin Antibody (clone OTI2C4) LS-C175586
LifeSpan Biosciences
catalog: LS-C175586
mouse monoclonal (OTI2C4)
reactivity:
human
application:
western blot
HEK293T cells were transfected with the pCMV6-ENTRY control (Left lane) or pCMV6-ENTRY VIM (Right lane) cDNA for 48 hrs and lysed. Equivalent amounts of cell lysates (5 ug per lane) were separated by SDS-PAGE and immunoblotted with anti-VIM.
quantity:
price:
to the supplier
Vimentin Antibody (clone OTI5C10) LS-C175589
LifeSpan Biosciences
catalog: LS-C175589
mouse monoclonal (OTI5C10)
reactivity:
human
application:
western blot
,
immunohistochemistry
,
immunohistochemistry - paraffin section
HEK293T cells were transfected with the pCMV6-ENTRY control (Left lane) or pCMV6-ENTRY VIM (Right lane) cDNA for 48 hrs and lysed. Equivalent amounts of cell lysates (5 ug per lane) were separated by SDS-PAGE and immunoblotted with anti-VIM.
.
quantity:
price:
to the supplier
Vimentin Antibody (clone OTI6B12) LS-C175590
LifeSpan Biosciences
catalog: LS-C175590
mouse monoclonal (OTI6B12)
reactivity:
human
application:
western blot
HEK293T cells were transfected with the pCMV6-ENTRY control (Left lane) or pCMV6-ENTRY VIM (Right lane) cDNA for 48 hrs and lysed. Equivalent amounts of cell lysates (5 ug per lane) were separated by SDS-PAGE and immunoblotted with anti-VIM.
quantity:
price:
to the supplier
Vimentin Antibody (clone OTI7B10) LS-C175595
LifeSpan Biosciences
catalog: LS-C175595
mouse monoclonal (OTI7B10)
reactivity:
human
application:
western blot
HEK293T cells were transfected with the pCMV6-ENTRY control (Left lane) or pCMV6-ENTRY VIM (Right lane) cDNA for 48 hrs and lysed. Equivalent amounts of cell lysates (5 ug per lane) were separated by SDS-PAGE and immunoblotted with anti-VIM.
quantity:
price:
to the supplier
Vimentin Antibody (clone OTI7B8) LS-C175596
LifeSpan Biosciences
catalog: LS-C175596
mouse monoclonal (OTI7B8)
reactivity:
human
application:
western blot
HEK293T cells were transfected with the pCMV6-ENTRY control (Left lane) or pCMV6-ENTRY VIM (Right lane) cDNA for 48 hrs and lysed. Equivalent amounts of cell lysates (5 ug per lane) were separated by SDS-PAGE and immunoblotted with anti-VIM.
quantity:
price:
to the supplier
Vimentin Antibody (clone OTI1F10) LS-C175597
LifeSpan Biosciences
catalog: LS-C175597
mouse monoclonal (OTI1F10)
reactivity:
human
application:
western blot
HEK293T cells were transfected with the pCMV6-ENTRY control (Left lane) or pCMV6-ENTRY VIM (Right lane) cDNA for 48 hrs and lysed. Equivalent amounts of cell lysates (5 ug per lane) were separated by SDS-PAGE and immunoblotted with anti-VIM.
quantity:
price:
to the supplier
Vimentin Antibody (clone OTI1G6) LS-C175598
LifeSpan Biosciences
catalog: LS-C175598
mouse monoclonal (OTI1G6)
reactivity:
human
application:
western blot
HEK293T cells were transfected with the pCMV6-ENTRY control (Left lane) or pCMV6-ENTRY VIM (Right lane) cDNA for 48 hrs and lysed. Equivalent amounts of cell lysates (5 ug per lane) were separated by SDS-PAGE and immunoblotted with anti-VIM.
quantity:
price:
to the supplier
Vimentin Antibody (clone OTI2C5) LS-C175603
LifeSpan Biosciences
catalog: LS-C175603
mouse monoclonal (OTI2C5)
reactivity:
human
application:
western blot
HEK293T cells were transfected with the pCMV6-ENTRY control (Left lane) or pCMV6-ENTRY VIM (Right lane) cDNA for 48 hrs and lysed. Equivalent amounts of cell lysates (5 ug per lane) were separated by SDS-PAGE and immunoblotted with anti-VIM.
quantity:
price:
to the supplier
Vimentin Antibody (Ile444) LS-C176368
LifeSpan Biosciences
catalog: LS-C176368
domestic rabbit polyclonal
reactivity:
human
application:
western blot
,
immunohistochemistry
,
immunocytochemistry
,
immunohistochemistry - paraffin section
Western blot of VIM(I444) pAb in extracts from MCF-7 whole cell lysate treated with UV,Raw264.7 whole cell lysate treated with LPS and PC12 whole cells.
IHC of Vimentin (I444) pAb in paraffin-embedded human colon carcinoma tissue.
quantity:
price:
to the supplier
Vimentin Antibody (Leu79) LS-C176688
LifeSpan Biosciences
catalog: LS-C176688
domestic rabbit polyclonal
reactivity:
human
application:
western blot
,
immunohistochemistry
,
immunocytochemistry
quantity:
price:
to the supplier
Vimentin Antibody (Ser55) LS-C177400
LifeSpan Biosciences
catalog: LS-C177400
domestic rabbit polyclonal
reactivity:
human
application:
western blot
Western blot of Vimentin (S55) pAb in extracts from A549 cells.
quantity:
price:
to the supplier
Vimentin Antibody LS-C178795
LifeSpan Biosciences
catalog: LS-C178795
mouse monoclonal
reactivity:
human
application:
western blot
,
ELISA
quantity:
price:
to the supplier
Vimentin Antibody (phospho-Ser55, clone 4A4) LS-C179339
LifeSpan Biosciences
catalog: LS-C179339
mouse monoclonal (4A4)
reactivity:
human
,
mouse
modification: phosphorylated
application:
western blot
,
ELISA
,
immunocytochemistry
quantity:
price:
to the supplier
Vimentin Antibody (phospho-Ser71, clone TM71) LS-C179366
LifeSpan Biosciences
catalog: LS-C179366
rat monoclonal (TM71)
reactivity:
human
modification: phosphorylated
application:
western blot
,
immunohistochemistry
,
immunocytochemistry
quantity:
price:
to the supplier
Vimentin Antibody (phospho-Ser82, clone MO82) LS-C179368
LifeSpan Biosciences
catalog: LS-C179368
mouse monoclonal (MO82)
reactivity:
human
modification: phosphorylated
application:
western blot
,
immunocytochemistry
quantity:
price:
to the supplier
Vimentin Antibody (phospho-Ser6, clone MO6) LS-C179369
LifeSpan Biosciences
catalog: LS-C179369
mouse monoclonal (MO6)
reactivity:
human
modification: phosphorylated
application:
western blot
,
immunohistochemistry
,
immunocytochemistry
quantity:
price:
to the supplier
Vimentin Antibody LS-C179892
LifeSpan Biosciences
catalog: LS-C179892
domestic rabbit polyclonal
reactivity:
human
application:
western blot
,
immunohistochemistry
,
immunohistochemistry - paraffin section
quantity:
price:
to the supplier
Vimentin Antibody (clone 2D1) LS-C180202
LifeSpan Biosciences
catalog: LS-C180202
mouse monoclonal (2D1)
reactivity:
human
application:
western blot
,
immunocytochemistry
quantity:
price:
to the supplier
Vimentin Antibody (clone 2A52) LS-C180203
LifeSpan Biosciences
catalog: LS-C180203
mouse monoclonal (2A52)
reactivity:
human
application:
western blot
,
immunocytochemistry
quantity:
price:
to the supplier
Vimentin Antibody LS-C189481
LifeSpan Biosciences
catalog: LS-C189481
domestic rabbit polyclonal
reactivity:
human
application:
western blot
,
immunoprecipitation
quantity:
price:
to the supplier
Vimentin Antibody (aa2-466, clone GF1) LS-C190315
LifeSpan Biosciences
catalog: LS-C190315
mouse monoclonal (GF1)
reactivity:
human
application:
ELISA
,
immunohistochemistry
quantity:
price:
to the supplier
Vimentin Antibody (clone VIM 3B4) LS-C193364
LifeSpan Biosciences
catalog: LS-C193364
mouse monoclonal (VIM 3B4)
reactivity:
human
,
bovine
application:
western blot
,
ELISA
,
immunohistochemistry
,
immunocytochemistry
quantity:
price:
to the supplier
Vimentin Antibody (clone XL-VIM-14.13) LS-C193408
LifeSpan Biosciences
catalog: LS-C193408
mouse monoclonal (XL-VIM-14.13)
reactivity:
human
application:
western blot
,
immunohistochemistry
quantity:
price:
to the supplier
Vimentin Antibody LS-C193661
LifeSpan Biosciences
catalog: LS-C193661
domestic sheep polyclonal
reactivity:
human
quantity:
price:
to the supplier
Vimentin Antibody (HRP) LS-C193826
LifeSpan Biosciences
catalog: LS-C193826
domestic sheep polyclonal
reactivity:
human
conjugate: HRP
quantity:
price:
to the supplier
Vimentin Antibody LS-C193900
LifeSpan Biosciences
catalog: LS-C193900
domestic sheep polyclonal
reactivity:
human
quantity:
price:
to the supplier
Vimentin Antibody (clone hVimentin) LS-C194892
LifeSpan Biosciences
catalog: LS-C194892
mouse monoclonal (hVimentin)
reactivity:
human
application:
western blot
,
ELISA
,
immunohistochemistry
,
immunoprecipitation
quantity:
price:
to the supplier
Vimentin Antibody LS-C195034
LifeSpan Biosciences
catalog: LS-C195034
chicken polyclonal
reactivity:
human
application:
western blot
,
immunocytochemistry
quantity:
price:
to the supplier
Vimentin Antibody LS-C195161
LifeSpan Biosciences
catalog: LS-C195161
domestic rabbit polyclonal
reactivity:
human
application:
immunohistochemistry
,
immunocytochemistry
quantity:
price:
to the supplier
Vimentin Antibody LS-C195784
LifeSpan Biosciences
catalog: LS-C195784
domestic goat polyclonal
reactivity:
human
application:
western blot
,
immunohistochemistry
quantity:
price:
to the supplier
Vimentin Antibody (clone 3E9) LS-C198430
LifeSpan Biosciences
catalog: LS-C198430
mouse monoclonal (3E9)
reactivity:
human
application:
western blot
,
ELISA
,
immunocytochemistry
,
immunoprecipitation
Western Blot analysis of VIM expression in transfected 293T cell line by VIM monoclonal antibody (M01), clone 3E9.Lane 1: VIM transfected lysate(53.7 KDa).Lane 2: Non-transfected lysate.
Immunofluorescence of monoclonal antibody to VIM on HeLa cell. [antibody concentration 40 ug/ml]
Immunoprecipitation of VIM transfected lysate using anti-VIM monoclonal antibody and Protein A Magnetic Bead, and immunoblotted with VIM rabbit polyclonal antibody.
quantity:
price:
to the supplier
Vimentin Antibody (phospho-Ser56) LS-C199723
LifeSpan Biosciences
catalog: LS-C199723
domestic rabbit polyclonal
reactivity:
human
modification: phosphorylated
application:
western blot
,
immunohistochemistry
,
immunohistochemistry - paraffin section
Immunohistochemistry analysis of paraffin-embedded human breast carcinoma, using Vimentin (Phospho-Ser56) Antibody. The picture on the right is blocked with the phospho peptide.
Western blot analysis of lysates from A549 cells treated with Nocodazole 1ug/ml 16h, using Vimentin (Phospho-Ser56) Antibody. The lane on the right is blocked with the phospho peptide.
quantity:
price:
to the supplier
Vimentin Antibody (phospho-Ser83) LS-C199724
LifeSpan Biosciences
catalog: LS-C199724
domestic rabbit polyclonal
reactivity:
human
modification: phosphorylated
application:
western blot
,
immunohistochemistry
,
immunohistochemistry - paraffin section
Immunohistochemistry analysis of paraffin-embedded human breast carcinoma, using Vimentin (Phospho-Ser83) Antibody. The picture on the right is blocked with the phospho peptide.
Western blot analysis of lysates from 293 cells treated with paclitaxel 1uM 24h, using Vimentin (Phospho-Ser83) Antibody. The lane on the right is blocked with the phospho peptide.
quantity:
price:
to the supplier
Vimentin Antibody (aa6-55) LS-C200050
LifeSpan Biosciences
catalog: LS-C200050
domestic rabbit polyclonal
reactivity:
human
application:
western blot
Western blot analysis of lysate from A549 cells, using Vimentin antibody.
quantity:
price:
to the supplier
Vimentin Antibody (aa38-87) LS-C200051
LifeSpan Biosciences
catalog: LS-C200051
domestic rabbit polyclonal
reactivity:
human
application:
western blot
Western blot analysis of lysates from 293 cells, using Vimentin antibody.
quantity:
price:
to the supplier
Vimentin Antibody (aa23-72) LS-C200052
LifeSpan Biosciences
catalog: LS-C200052
domestic rabbit polyclonal
reactivity:
human
application:
western blot
Western blot analysis of lysates from 293 cells, using Vimentin antibody.
quantity:
price:
to the supplier
Vimentin Antibody (clone VI-RE/1, Concentrated) LS-C202189
LifeSpan Biosciences
catalog: LS-C202189
mouse monoclonal (VI-RE/1)
reactivity:
human
application:
western blot
,
ELISA
,
immunocytochemistry
quantity:
price:
to the supplier
Vimentin Antibody LS-C203041
LifeSpan Biosciences
catalog: LS-C203041
domestic rabbit polyclonal
reactivity:
human
application:
western blot
,
ELISA
,
immunohistochemistry
,
immunohistochemistry - paraffin section
Immunohistochemistry of human spleen tissue slide (Paraffin embedded) using Rabbit Anti-Vimentin Polyclonal Antibody (Left). And Purified Rabbit IgG (Whole molecule) Control (Right).
Western blot of cell lysates using 1 ug/ml Rabbit Anti-Vimentin Polyclonal Antibody. Lane 1, 3: HeLa cell lysate. Lane 2, 4: HEK293 cell lysate. Primary antibody: Lane 1, 2: Rabbit Anti-Vimentin Polyclonal Antibody. Lane 3, 4: Rabbit Anti-Vimentin Polyclonal Antibody pre-incubated with immunizing peptide. The signal was developed with IRDye 800 Conjugated Goat Anti-Rabbit IgG.
quantity:
price:
to the supplier
Vimentin Antibody LS-C203042
LifeSpan Biosciences
catalog: LS-C203042
domestic rabbit polyclonal
reactivity:
human
application:
western blot
,
immunohistochemistry
,
immunohistochemistry - paraffin section
Western blot of cell lysates using Vimentin Antibody, pAb, Rabbit (1 ug/ml). The signal was developed with IRDye 800 Conjugated Goat Anti-Rabbit IgG. Predicted Size: 53 kD. Observed Size: 53 kD.
Immunohistochemistry of human spleen tissue slide (Paraffin embedded) using Rabbit Anti-Vimentin Polyclonal Antibody.
quantity:
price:
to the supplier
Vimentin Antibody LS-C203044
LifeSpan Biosciences
catalog: LS-C203044
domestic rabbit monoclonal
reactivity:
human
application:
western blot
,
ELISA
,
immunohistochemistry
,
flow cytometry
,
immunohistochemistry - paraffin section
Flow cytometry of Ramos cells using Vimentin Antibody, pAb, Rabbit (shaded histogram) or with an isotype control antibody (open histogram), followed by R-PE conjugated anti-rabbit IgG.
Western blot of cell lysates using 1 ug/ml Rabbit Anti-Vimentin Polyclonal Antibody. Lane 1, 3: HeLa cell lysate. Lane 2, 4: HEK293 cell lysate. Primary antibody: Lane 1, 2: Rabbit Anti-Vimentin Polyclonal Antibody. Lane 3, 4: Rabbit Anti-Vimentin Polyclonal Antibody pre-incubated with immunizing peptide. The signal was developed with IRDye 800 Conjugated Goat Anti-Rabbit IgG. Predicted band size 53 kD. Observed band size 53 kD. Additional band size 30 kD (Possible vimentin fragment).
Immunohistochemistry of human spleen tissue slide (Paraffin embedded) using Rabbit Anti-Vimentin Polyclonal Antibody (Left) and Purified Rabbit IgG (Whole molecule) Control (Right).
quantity:
price:
to the supplier
Vimentin Antibody (clone VI-RE/1, APC) LS-C204386
LifeSpan Biosciences
catalog: LS-C204386
mouse monoclonal (VI-RE/1)
reactivity:
human
conjugate: APC
application:
western blot
,
ELISA
,
immunocytochemistry
,
flow cytometry
quantity:
price:
to the supplier
Vimentin Antibody LS-C204598
LifeSpan Biosciences
catalog: LS-C204598
domestic rabbit polyclonal
reactivity:
human
application:
western blot
,
immunocytochemistry
Western blot of crude extract of HeLa cells stained with Vimentin antibody, showing a single strong clean band at 55 kDa.
View of HeLa cells stained with Vimentin antibody (red) and counterstained with Monoclonal antibody to Lamin A/C antibody 4C4 (in green). DNA is blue. Vimentin antibody antibody reveals strong cytoplasmic intermediate filament staining, while MCA-4C4 antibody reveals strong nuclear lamina staining.
quantity:
price:
to the supplier
Vimentin Antibody (clone 2D1) LS-C204599
LifeSpan Biosciences
catalog: LS-C204599
mouse monoclonal (2D1)
reactivity:
human
application:
western blot
,
immunocytochemistry
Western blot of crude extract of the human carcinoma MCA-2A52 clone. Lane 15 was probed with our antibody to actin, giving an SDS-PAGE molecular weight of 42kDa, and lane 16 with MCA-3G12, our antibody to 14-3-3 eta, which has an SDS-PAGE molecular weight of 28kDa.
View of mixed neuron/glial cultures stained with Vimentin antibody (green) our our rabbit antibody to GFAP antibody (RPCA-GFAP, red). Vimentin is expressed alone in fibroblastic and endothelial cells, which are the flattened cells in the middle of the image which appear green. Astrocytes may express primarily GFAP, or GFAP and vimentin, and so appear red (GFAP only) or golden yellow (GFAP and Vimentin). In cells which express both GFAP and vimentin, the two protein assemble to produce heteropolymer filaments.
quantity:
price:
to the supplier
Vimentin Antibody (Ser82, AP) LS-C221106
LifeSpan Biosciences
catalog: LS-C221106
domestic rabbit polyclonal
reactivity:
human
conjugate: AP
application:
western blot
,
ELISA
,
immunohistochemistry
quantity:
price:
to the supplier
Vimentin Antibody (Ser82, APC) LS-C221108
LifeSpan Biosciences
catalog: LS-C221108
domestic rabbit polyclonal
reactivity:
human
conjugate: APC
application:
western blot
,
ELISA
,
immunohistochemistry
quantity:
price:
to the supplier
Vimentin Antibody (Ser82, Biotin) LS-C221109
LifeSpan Biosciences
catalog: LS-C221109
domestic rabbit polyclonal
reactivity:
human
conjugate: biotin
application:
western blot
,
ELISA
,
immunohistochemistry
quantity:
price:
to the supplier
Vimentin Antibody (Ser82, FITC) LS-C221110
LifeSpan Biosciences
catalog: LS-C221110
domestic rabbit polyclonal
reactivity:
human
conjugate: FITC
application:
western blot
,
ELISA
,
immunohistochemistry
quantity:
price:
to the supplier
Vimentin Antibody (Ser82, Azide-free, HRP) LS-C221111
LifeSpan Biosciences
catalog: LS-C221111
domestic rabbit polyclonal
reactivity:
human
conjugate: HRP
application:
western blot
,
ELISA
,
immunohistochemistry
quantity:
price:
to the supplier
Vimentin Antibody (Ser82, PE) LS-C221112
LifeSpan Biosciences
catalog: LS-C221112
domestic rabbit polyclonal
reactivity:
human
conjugate: PE
application:
western blot
,
ELISA
,
immunohistochemistry
quantity:
price:
to the supplier
Vimentin Antibody (AP) LS-C221234
LifeSpan Biosciences
catalog: LS-C221234
domestic rabbit polyclonal
reactivity:
human
conjugate: AP
application:
western blot
,
immunohistochemistry
,
flow cytometry
quantity:
price:
to the supplier
Vimentin Antibody (APC) LS-C221235
LifeSpan Biosciences
catalog: LS-C221235
domestic rabbit polyclonal
reactivity:
human
conjugate: APC
application:
western blot
,
immunohistochemistry
,
flow cytometry
quantity:
price:
to the supplier
Vimentin Antibody (Biotin) LS-C221236
LifeSpan Biosciences
catalog: LS-C221236
domestic rabbit polyclonal
reactivity:
human
conjugate: biotin
application:
western blot
,
immunohistochemistry
,
flow cytometry
quantity:
price:
to the supplier
Vimentin Antibody (FITC) LS-C221237
LifeSpan Biosciences
catalog: LS-C221237
domestic rabbit polyclonal
reactivity:
human
conjugate: FITC
application:
western blot
,
immunohistochemistry
,
flow cytometry
quantity:
price:
to the supplier
Vimentin Antibody (Azide-free, HRP) LS-C221238
LifeSpan Biosciences
catalog: LS-C221238
domestic rabbit polyclonal
reactivity:
human
conjugate: HRP
application:
western blot
,
immunohistochemistry
,
flow cytometry
quantity:
price:
to the supplier
Vimentin Antibody (PE) LS-C221239
LifeSpan Biosciences
catalog: LS-C221239
domestic rabbit polyclonal
reactivity:
human
conjugate: PE
application:
western blot
,
immunohistochemistry
,
flow cytometry
quantity:
price:
to the supplier
Vimentin Antibody (aa416-466) LS-C288421
LifeSpan Biosciences
catalog: LS-C288421
domestic rabbit polyclonal
reactivity:
human
application:
western blot
,
immunohistochemistry
,
immunohistochemistry - paraffin section
quantity:
price:
to the supplier
Vimentin Antibody (phospho-Tyr38) LS-C291540
LifeSpan Biosciences
catalog: LS-C291540
domestic rabbit polyclonal
reactivity:
human
modification: phosphorylated
application:
western blot
,
ELISA
Western blot analysis of lysates from 293 cells treated with paclitaxel, using p-Vimentin (Phospho-Ser38) antibody.
Enzyme-Linked Immunosorbent Assay (Phospho-ELISA) for Immunogen Phosphopeptide (Phospho-left) and Non-Phosphopeptide (Phospho-right), using Vimentin (Phospho-Ser38) Antibody
quantity:
price:
to the supplier
Vimentin Antibody (phospho-Tyr61) LS-C291542
LifeSpan Biosciences
catalog: LS-C291542
domestic rabbit polyclonal
reactivity:
human
modification: phosphorylated
application:
western blot
,
ELISA
Western blot analysis of lysate from Jurkat cells, using phospho-Vimentin (Phospho-Tyr61) antibody.
Enzyme-Linked Immunosorbent Assay (Phospho-ELISA) for Immunogen Phosphopeptide (Phospho-left) and Non-Phosphopeptide (Phospho-right), using Vimentin (Phospho-Tyr61) Antibody
quantity:
price:
to the supplier
Vimentin Antibody (phospho-Ser72) LS-C292256
LifeSpan Biosciences
catalog: LS-C292256
domestic rabbit polyclonal
reactivity:
human
modification: phosphorylated
application:
western blot
,
ELISA
Western blot analysis of lysates from 293 cells treated with paclitaxel, using p-Vimentin (Phospho-Ser72) antibody.
Enzyme-Linked Immunosorbent Assay (Phospho-ELISA) for Immunogen Phosphopeptide (Phospho-left) and Non-Phosphopeptide (Phospho-right), using Vimentin (Phospho-Ser72) Antibody
quantity:
price:
to the supplier
Vimentin Antibody (aa2-466) LS-C296990
LifeSpan Biosciences
catalog: LS-C296990
domestic rabbit polyclonal
reactivity:
human
application:
western blot
quantity:
price:
to the supplier
Vimentin Antibody (aa2-466, Biotin) LS-C298976
LifeSpan Biosciences
catalog: LS-C298976
domestic rabbit polyclonal
reactivity:
human
conjugate: biotin
application:
western blot
quantity:
price:
to the supplier
Vimentin Antibody (clone V9) LS-C312208
LifeSpan Biosciences
catalog: LS-C312208
mouse monoclonal (V9)
reactivity:
human
application:
immunohistochemistry - paraffin section
,
immunohistochemistry - frozen section
IHC of Vimentin on FFPE Cervix tissue.
quantity:
price:
to the supplier
Vimentin Antibody (phospho-Ser56) LS-C313653
LifeSpan Biosciences
catalog: LS-C313653
domestic rabbit polyclonal
reactivity:
human
modification: phosphorylated
application:
western blot
,
immunohistochemistry
quantity:
price:
to the supplier
Vimentin Antibody (Ser82) LS-C329092
LifeSpan Biosciences
catalog: LS-C329092
domestic rabbit polyclonal
reactivity:
human
application:
western blot
,
ELISA
,
immunohistochemistry
quantity:
price:
to the supplier
Vimentin Antibody LS-C329094
LifeSpan Biosciences
catalog: LS-C329094
domestic rabbit polyclonal
reactivity:
human
application:
western blot
,
immunohistochemistry
,
flow cytometry
quantity:
price:
to the supplier
Vimentin Antibody LS-C330922
LifeSpan Biosciences
catalog: LS-C330922
domestic rabbit polyclonal
reactivity:
human
application:
western blot
Western blot analysis of extracts of various cell lines, using VIM antibody at 1:500 dilution. The secondary antibody used was an HRP Goat Anti-Rabbit IgG (H+L) at 1:10000 dilution. Lysates were loaded 25ug per lane and 3% nonfat dry milk in TBST was used for blocking. An ECL Kit was used for detection and the exposure time was 60s.
quantity:
price:
to the supplier
Vimentin Antibody LS-C332200
LifeSpan Biosciences
catalog: LS-C332200
domestic rabbit polyclonal
reactivity:
human
application:
western blot
,
immunohistochemistry
,
immunocytochemistry
Western blot analysis of extracts of various cell lines.
Immunofluorescence analysis of U2OS cells.
quantity:
price:
to the supplier
Vimentin Antibody LS-C332226
LifeSpan Biosciences
catalog: LS-C332226
domestic rabbit polyclonal
reactivity:
human
application:
western blot
,
immunohistochemistry
,
immunocytochemistry
Western blot analysis of extracts of various cell lines.
Immunofluorescence analysis of A549 cells.
quantity:
price:
to the supplier
Vimentin Antibody (aa210-466, clone OTI5B9) LS-C336317
LifeSpan Biosciences
catalog: LS-C336317
mouse monoclonal (OTI5B9)
reactivity:
human
application:
western blot
HEK293T cells were transfected with the pCMV6-ENTRY control (Left lane) or pCMV6-ENTRY VIM (Right lane) cDNA for 48 hrs and lysed. Equivalent amounts of cell lysates (5 ug per lane) were separated by SDS-PAGE and immunoblotted with anti-VIM.
quantity:
price:
to the supplier
Vimentin Antibody (aa210-466, clone OTI3G4) LS-C336318
LifeSpan Biosciences
catalog: LS-C336318
mouse monoclonal (OTI3G4)
reactivity:
human
application:
western blot
HEK293T cells were transfected with the pCMV6-ENTRY control (Left lane) or pCMV6-ENTRY VIM (Right lane) cDNA for 48 hrs and lysed. Equivalent amounts of cell lysates (5 ug per lane) were separated by SDS-PAGE and immunoblotted with anti-VIM.
quantity:
price:
to the supplier
Vimentin Antibody (aa210-466, clone OTI3B11) LS-C336329
LifeSpan Biosciences
catalog: LS-C336329
mouse monoclonal (OTI3B11)
reactivity:
human
application:
western blot
HEK293T cells were transfected with the pCMV6-ENTRY control (Left lane) or pCMV6-ENTRY VIM (Right lane) cDNA for 48 hrs and lysed. Equivalent amounts of cell lysates (5 ug per lane) were separated by SDS-PAGE and immunoblotted with anti-VIM.
quantity:
price:
to the supplier
Vimentin Antibody (clone OTI1A9) LS-C336349
LifeSpan Biosciences
catalog: LS-C336349
mouse monoclonal (OTI1A9)
reactivity:
human
application:
western blot
,
immunohistochemistry
,
immunohistochemistry - paraffin section
HEK293T cells were transfected with the pCMV6-ENTRY control (Left lane) or pCMV6-ENTRY VIM (Right lane) cDNA for 48 hrs and lysed. Equivalent amounts of cell lysates (5 ug per lane) were separated by SDS-PAGE and immunoblotted with anti-VIM.
IHC of paraffin-embedded Adenocarcinoma of Human breast tissue using anti-VIM mouse monoclonal antibody. (Heat-induced epitope retrieval by 10mM citric buffer, pH6.0, 120°C for 3min).
quantity:
price:
to the supplier
Vimentin Antibody (clone OTI1D3) LS-C336355
LifeSpan Biosciences
catalog: LS-C336355
mouse monoclonal (OTI1D3)
reactivity:
human
application:
western blot
HEK293T cells were transfected with the pCMV6-ENTRY control (Left lane) or pCMV6-ENTRY VIM (Right lane) cDNA for 48 hrs and lysed. Equivalent amounts of cell lysates (5 ug per lane) were separated by SDS-PAGE and immunoblotted with anti-VIM.
quantity:
price:
to the supplier
IHC-plus™ Vimentin Antibody (clone 2A52) LS-B11893
LifeSpan Biosciences
catalog: LS-B11893
mouse monoclonal (2A52)
reactivity:
human
application:
western blot
,
immunohistochemistry
,
immunocytochemistry
,
immunohistochemistry - paraffin section
Western blot of crude extract of the human carcinoma HeLa cell line. Lane 18 was probed with Anti-Vimentin Antibody.
View of mixed neuron/glial cultures stained with vimentin antibody (green) and rabbit antibody to GFAP antibody (red). Vimentin is expressed alone in fibroblastic and endothelial cells, which are the flattened cells in the middle of the image which appear green. Astrocytes may express primarily GFAP, or GFAP and vimentin, and so appear red (GFAP only) or golden yellow (GFAP and Vimentin). In cells which express both GFAP and vimentin, the two protein assemble to produce heteropolymer filaments.
Human Kidney: Formalin-Fixed, Paraffin-Embedded (FFPE)
quantity:
price:
to the supplier
Vimentin Antibody (Preservative Free, Biotin) LS-C342982
LifeSpan Biosciences
catalog: LS-C342982
domestic rabbit polyclonal
reactivity:
human
conjugate: biotin
application:
western blot
,
ELISA
quantity:
price:
to the supplier
Vimentin Antibody (Preservative Free) LS-C343535
LifeSpan Biosciences
catalog: LS-C343535
domestic rabbit polyclonal
reactivity:
human
application:
western blot
,
ELISA
quantity:
price:
to the supplier
Vimentin Antibody (C-Terminus) LS-C347661
LifeSpan Biosciences
catalog: LS-C347661
domestic rabbit polyclonal
reactivity:
human
application:
western blot
,
immunohistochemistry
,
immunocytochemistry
,
flow cytometry
quantity:
price:
to the supplier
Vimentin Antibody (clone V9, Ready-to-Use) LS-C348628
LifeSpan Biosciences
catalog: LS-C348628
mouse monoclonal (V9)
reactivity:
human
application:
immunohistochemistry - paraffin section
,
immunohistochemistry - frozen section
IHC of Vimentin on FFPE Cervix tissue. This image was taken for the unmodified form of this product. Other forms have not been tested.
quantity:
price:
to the supplier
Vimentin Antibody (phospho-Ser56) LS-C353032
LifeSpan Biosciences
catalog: LS-C353032
domestic rabbit polyclonal
reactivity:
human
modification: phosphorylated
application:
western blot
Western blot analysis of Vimentin (pS56) expression in MCF7 UV-treated (A); A10 (B); KNRK (C); NIH3T3 UV-treated (D); H9C2 UV-treated (E) whole cell lysates.
quantity:
price:
to the supplier
Vimentin Antibody (C-Terminus) LS-C353037
LifeSpan Biosciences
catalog: LS-C353037
domestic rabbit polyclonal
reactivity:
human
application:
western blot
,
immunohistochemistry
,
immunocytochemistry
,
immunohistochemistry - paraffin section
Western blot analysis of Vimentin expression in MCF7 (A); MDAMB435 (B); KNRK (C); HeLa (D); Raw264.7 (E); PC12 (F) whole cell lysates.
Immunohistochemical analysis of Vimentin staining in human lung cancer formalin fixed paraffin embedded tissue section. The section was pre-treated using heat mediated antigen retrieval with sodium citrate buffer (pH 6.0). The section was then incubated with the antibody at room temperature and detected using an HRP conjugated compact polymer system. DAB was used as the chromogen. The section was then counterstained with hematoxylin and mounted with DPX.
Immunofluorescent analysis of Vimentin staining in MCF7 cells. Formalin-fixed cells were permeabilized with 0.1% Triton X-100 in TBS for 5-10 minutes and blocked with 3% BSA-PBS for 30 minutes at room temperature. Cells were probed with the primary antibody in 3% BSA-PBS and incubated overnight at 4 C in a humidified chamber. Cells were washed with PBST and incubated with a DyLight 594-conjugated secondary antibody (red) in PBS at room temperature in the dark. DAPI was used to stain the cell nuclei (blue).
quantity:
price:
to the supplier
Vimentin Antibody (aa435-466) LS-C357556
LifeSpan Biosciences
catalog: LS-C357556
domestic rabbit polyclonal
reactivity:
human
application:
western blot
,
immunohistochemistry
,
immunohistochemistry - paraffin section
Vimentin antibody Western blot. All lanes: Anti Vimentin at 0.5 ug/ml. Lane 1: HT1080 Whole Cell Lysate at 40 ug. Lane 2: NIH Whole Cell Lysate at 40 ug. Lane 3: JURKAT Whole Cell Lysate at 40 ug. Lane 4: HUT Whole Cell Lysate at 40 ug. Lane 5: MCF-7 Whole Cell Lysate at 40 ug. Lane 6: HELA Whole Cell Lysate at 40 ug. Lane 7: Human Placenta Tissue Lysate at 50 ug. Lane 8: Rat Testis Tissue Lysate at 50 ug. Lane 9: Mouse Testis Tissue Lysate at 50 ug. Predicted band size: 54 kD. Observed band size: 54 kD.
Vimentin antibody IHC-paraffin: Mouse Cardiac Muscle Tissue.
quantity:
price:
to the supplier
Vimentin Antibody (N-Terminus) LS-C358406
LifeSpan Biosciences
catalog: LS-C358406
domestic rabbit polyclonal
reactivity:
human
application:
western blot
,
immunocytochemistry
Western blot analysis of Vimentin expression in HepG2 (A); A549 (B) whole cell lysates.
Immunofluorescent analysis of Vimentin staining in A549 cells. Formalin-fixed cells were permeabilized with 0.1% Triton X-100 in TBS for 5-10 minutes and blocked with 3% BSA-PBS for 30 minutes at room temperature. Cells were probed with the primary antibody in 3% BSA-PBS and incubated overnight at 4 deg C in a humidified chamber. Cells were washed with PBST and incubated with a DyLight 594-conjugated secondary antibody (red) in PBS at room temperature in the dark. DAPI was used to stain the cell nuclei (blue).
quantity:
price:
to the supplier
Vimentin Antibody (phospho-Tyr61) LS-C380883
LifeSpan Biosciences
catalog: LS-C380883
domestic rabbit polyclonal
reactivity:
human
modification: phosphorylated
application:
western blot
,
ELISA
quantity:
price:
to the supplier
Vimentin Antibody (30-110 aa) LS-C381381
LifeSpan Biosciences
catalog: LS-C381381
domestic rabbit polyclonal
reactivity:
human
modification: phosphorylated
application:
western blot
,
ELISA
,
immunohistochemistry
Western blot of Phospho-Vimentin (S83) antibody
quantity:
price:
to the supplier
Vimentin Antibody (1-80 aa) LS-C381386
LifeSpan Biosciences
catalog: LS-C381386
domestic rabbit polyclonal
reactivity:
human
modification: phosphorylated
application:
western blot
,
ELISA
,
immunohistochemistry
Western blot of Phospho-Vimentin (S56) antibody
quantity:
price:
to the supplier
Vimentin Antibody (380-460 aa, C-terminal) LS-C386680
LifeSpan Biosciences
catalog: LS-C386680
domestic rabbit polyclonal
reactivity:
human
application:
western blot
,
ELISA
,
immunohistochemistry
,
immunocytochemistry
Western blot of VIM antibody
quantity:
price:
to the supplier
Vimentin Antibody LS-C386690
LifeSpan Biosciences
catalog: LS-C386690
domestic rabbit polyclonal
reactivity:
human
application:
western blot
,
ELISA
Western blot of Vimentin antibody
quantity:
price:
to the supplier
Vimentin Antibody (1-80 aa) LS-C386697
LifeSpan Biosciences
catalog: LS-C386697
domestic rabbit polyclonal
reactivity:
human
application:
western blot
,
ELISA
,
immunohistochemistry
,
immunocytochemistry
Western blot of Vimentin antibody
quantity:
price:
to the supplier
Vimentin Antibody (55-105 aa) LS-C386701
LifeSpan Biosciences
catalog: LS-C386701
domestic rabbit polyclonal
reactivity:
human
application:
western blot
,
ELISA
,
immunohistochemistry
,
immunocytochemistry
Western blot of Vimentin antibody
quantity:
price:
to the supplier
Vimentin Antibody (clone 1A7) LS-C387476
LifeSpan Biosciences
catalog: LS-C387476
mouse monoclonal (1A7)
reactivity:
human
application:
western blot
Western blot of Vimentin antibody
quantity:
price:
to the supplier
Vimentin Antibody LS-C387579
LifeSpan Biosciences
catalog: LS-C387579
domestic rabbit polyclonal
reactivity:
human
application:
western blot
Western blot of Vimentin antibody
quantity:
price:
to the supplier