Sign in
Sign up
home
>
LifeSpan Biosciences
> LifeSpan Biosciences BRCA1 antibody
BRCA1 Antibody (aa762-1315, clone 17F8) LS-C19931
LifeSpan Biosciences
catalog: LS-C19931
mouse monoclonal (17F8)
reactivity:
human
application:
western blot
,
ELISA
,
immunohistochemistry
,
immunocytochemistry
,
immunoprecipitation
,
immunohistochemistry - paraffin section
quantity:
price:
to the supplier
BRCA1 Antibody (aa1314-1864, clone MU) LS-C2618
LifeSpan Biosciences
catalog: LS-C2618
mouse monoclonal (MU)
reactivity:
human
application:
western blot
,
immunocytochemistry
,
immunoprecipitation
quantity:
price:
to the supplier
BRCA1 Antibody (aa1314-1864, clone KEN) LS-C2619
LifeSpan Biosciences
catalog: LS-C2619
mouse monoclonal (KEN)
reactivity:
human
application:
western blot
,
immunocytochemistry
,
immunoprecipitation
quantity:
price:
to the supplier
BRCA1 Antibody (aa1314-1864, clone RAY) LS-C2620
LifeSpan Biosciences
catalog: LS-C2620
mouse monoclonal (RAY)
reactivity:
human
application:
western blot
,
immunocytochemistry
,
immunoprecipitation
quantity:
price:
to the supplier
BRCA1 Antibody (aa341-748, clone 6B4) LS-C19935
LifeSpan Biosciences
catalog: LS-C19935
mouse monoclonal (6B4)
reactivity:
human
application:
western blot
,
immunoprecipitation
quantity:
price:
to the supplier
BRCA1 Antibody (aa1301-1863) LS-C20961
LifeSpan Biosciences
catalog: LS-C20961
domestic rabbit polyclonal
reactivity:
human
application:
western blot
,
immunohistochemistry
,
immunoprecipitation
quantity:
price:
to the supplier
IHC-plus™ BRCA1 Antibody (Ser1423) LS-B1176
LifeSpan Biosciences
catalog: LS-B1176
domestic rabbit polyclonal
reactivity:
human
application:
western blot
,
immunohistochemistry
,
immunohistochemistry - paraffin section
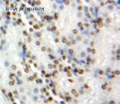
Anti-BRCA1 antibody IHC of human breast. Immunohistochemistry of formalin-fixed, paraffin-embedded tissue after heat-induced antigen retrieval. Antibody concentration 20 ug/ml.
Western blot of extracts from HeLa and HT29 cells using BRCA1(Ab-1423) antibody.
quantity:
price:
to the supplier
BRCA1 Antibody (phospho-Ser1189) LS-C48616
LifeSpan Biosciences
catalog: LS-C48616
domestic rabbit polyclonal
reactivity:
human
modification: phosphorylated
application:
western blot
quantity:
price:
to the supplier
BRCA1 Antibody (aa1314-1864) LS-C77221
LifeSpan Biosciences
catalog: LS-C77221
mouse monoclonal
reactivity:
human
application:
western blot
,
immunocytochemistry
,
immunoprecipitation
quantity:
price:
to the supplier
BRCA1 Antibody (aa1314-1864) LS-C77222
LifeSpan Biosciences
catalog: LS-C77222
mouse monoclonal
reactivity:
human
application:
western blot
,
immunocytochemistry
,
immunoprecipitation
quantity:
price:
to the supplier
BRCA1 Antibody (aa1314-1864) LS-C77223
LifeSpan Biosciences
catalog: LS-C77223
mouse monoclonal
reactivity:
human
application:
western blot
,
immunocytochemistry
,
immunoprecipitation
quantity:
price:
to the supplier
BRCA1 Antibody (aa341-748) LS-C83426
LifeSpan Biosciences
catalog: LS-C83426
mouse monoclonal
reactivity:
human
application:
western blot
,
immunoprecipitation
quantity:
price:
to the supplier
BRCA1 Antibody (aa762-1315) LS-C83427
LifeSpan Biosciences
catalog: LS-C83427
mouse monoclonal
reactivity:
human
application:
western blot
,
immunohistochemistry
,
immunoprecipitation
quantity:
price:
to the supplier
BRCA1 Antibody LS-C96175
LifeSpan Biosciences
catalog: LS-C96175
chicken polyclonal
reactivity:
human
application:
western blot
,
immunohistochemistry
quantity:
price:
to the supplier
BRCA1 Antibody (aa1151-1200) LS-C109777
LifeSpan Biosciences
catalog: LS-C109777
domestic rabbit polyclonal
reactivity:
human
application:
western blot
quantity:
price:
to the supplier
BRCA1 Antibody (phospho-Ser1423) LS-C117310
LifeSpan Biosciences
catalog: LS-C117310
domestic rabbit polyclonal
reactivity:
human
modification: phosphorylated
application:
immunohistochemistry
,
immunohistochemistry - paraffin section
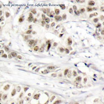
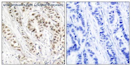
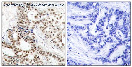
Immunohistochemistry analysis of paraffin-embedded human breast carcinoma, using BRCA1 (Phospho-Ser1423) Antibody. The picture on the right is blocked with the phospho peptide.
quantity:
price:
to the supplier
BRCA1 Antibody (phospho-Ser1524) LS-C117311
LifeSpan Biosciences
catalog: LS-C117311
domestic rabbit polyclonal
reactivity:
human
modification: phosphorylated
application:
immunohistochemistry
,
immunohistochemistry - paraffin section
Immunohistochemistry analysis of paraffin-embedded human breast carcinoma, using BRCA1 (Phospho-Ser1524) Antibody. The picture on the right is blocked with the phospho peptide.
quantity:
price:
to the supplier
BRCA1 Antibody (aa1423-1472) LS-C118350
LifeSpan Biosciences
catalog: LS-C118350
domestic rabbit polyclonal
reactivity:
human
application:
western blot
Western blot analysis of lysates from 293 cells treated with epo 20U/ml 15', using BRCA1 Antibody. The lane on the right is blocked with the synthesized peptide.
quantity:
price:
to the supplier
PathPlus™ BRCA1 Antibody (aa341-748, clone 8F7) LS-B4783
LifeSpan Biosciences
catalog: LS-B4783
mouse monoclonal (8F7)
reactivity:
human
application:
western blot
,
immunohistochemistry
,
immunoprecipitation
,
immunohistochemistry - paraffin section
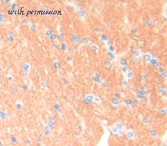
Anti-BRCA1 antibody IHC of human brain. Immunohistochemistry of formalin-fixed, paraffin-embedded tissue after heat-induced antigen retrieval. Antibody concentration 5 ug/ml.
quantity:
price:
to the supplier
BRCA1 Antibody (N-Terminus) LS-C134907
LifeSpan Biosciences
catalog: LS-C134907
domestic rabbit polyclonal
reactivity:
human
application:
western blot
quantity:
price:
to the supplier
BRCA1 Antibody LS-C136841
LifeSpan Biosciences
catalog: LS-C136841
domestic rabbit polyclonal
reactivity:
human
application:
western blot
,
ELISA
quantity:
price:
to the supplier
BRCA1 Antibody (aa1314-1864, clone RAY, Biotin) LS-C141229
LifeSpan Biosciences
catalog: LS-C141229
mouse monoclonal (RAY)
reactivity:
human
conjugate: biotin
application:
western blot
,
immunocytochemistry
,
immunoprecipitation
quantity:
price:
to the supplier
BRCA1 Antibody (aa1314-1864, clone RAY, DY650) LS-C141230
LifeSpan Biosciences
catalog: LS-C141230
mouse monoclonal (RAY)
reactivity:
human
application:
western blot
,
immunocytochemistry
,
immunoprecipitation
quantity:
price:
to the supplier
BRCA1 Antibody (aa1314-1864, clone RAY, DY488) LS-C141231
LifeSpan Biosciences
catalog: LS-C141231
mouse monoclonal (RAY)
reactivity:
human
application:
western blot
,
immunocytochemistry
,
immunoprecipitation
quantity:
price:
to the supplier
BRCA1 Antibody (aa1314-1864, clone RAY, DY550) LS-C141233
LifeSpan Biosciences
catalog: LS-C141233
mouse monoclonal (RAY)
reactivity:
human
application:
western blot
,
immunocytochemistry
,
immunoprecipitation
quantity:
price:
to the supplier
BRCA1 Antibody (aa1314-1864, clone KEN, Biotin) LS-C141234
LifeSpan Biosciences
catalog: LS-C141234
mouse monoclonal (KEN)
reactivity:
human
conjugate: biotin
application:
western blot
,
immunocytochemistry
,
immunoprecipitation
quantity:
price:
to the supplier
BRCA1 Antibody (aa1314-1864, clone KEN, DY650) LS-C141235
LifeSpan Biosciences
catalog: LS-C141235
mouse monoclonal (KEN)
reactivity:
human
application:
western blot
,
immunocytochemistry
,
immunoprecipitation
quantity:
price:
to the supplier
BRCA1 Antibody (aa1314-1864, clone KEN, DY488) LS-C141236
LifeSpan Biosciences
catalog: LS-C141236
mouse monoclonal (KEN)
reactivity:
human
application:
western blot
,
immunocytochemistry
,
immunoprecipitation
quantity:
price:
to the supplier
BRCA1 Antibody (aa1314-1864, clone KEN, DY550) LS-C141238
LifeSpan Biosciences
catalog: LS-C141238
mouse monoclonal (KEN)
reactivity:
human
application:
western blot
,
immunocytochemistry
,
immunoprecipitation
quantity:
price:
to the supplier
BRCA1 Antibody (aa1314-1864, clone MU, Biotin) LS-C141239
LifeSpan Biosciences
catalog: LS-C141239
mouse monoclonal (MU)
reactivity:
human
conjugate: biotin
application:
western blot
,
immunocytochemistry
,
immunoprecipitation
quantity:
price:
to the supplier
BRCA1 Antibody (aa1314-1864, clone MU, DY650) LS-C141240
LifeSpan Biosciences
catalog: LS-C141240
mouse monoclonal (MU)
reactivity:
human
application:
western blot
,
immunocytochemistry
,
immunoprecipitation
quantity:
price:
to the supplier
BRCA1 Antibody (aa1314-1864, clone MU, DY488) LS-C141241
LifeSpan Biosciences
catalog: LS-C141241
mouse monoclonal (MU)
reactivity:
human
application:
western blot
,
immunocytochemistry
,
immunoprecipitation
quantity:
price:
to the supplier
BRCA1 Antibody (aa1314-1864, clone MU, DY550) LS-C141243
LifeSpan Biosciences
catalog: LS-C141243
mouse monoclonal (MU)
reactivity:
human
application:
western blot
,
immunocytochemistry
,
immunoprecipitation
quantity:
price:
to the supplier
BRCA1 Antibody (aa443-472) LS-C156856
LifeSpan Biosciences
catalog: LS-C156856
domestic rabbit polyclonal
reactivity:
human
application:
western blot
BRCA1 Antibody western blot of HeLa cell line lysates (35 ug/lane). The BRCA1 antibody detected the BRCA1 protein (arrow).
quantity:
price:
to the supplier
BRCA1 Antibody (phospho-Ser1524) LS-C177880
LifeSpan Biosciences
catalog: LS-C177880
domestic rabbit polyclonal
reactivity:
human
modification: phosphorylated
application:
immunohistochemistry
,
immunohistochemistry - paraffin section
IHC of p-BRCA1 (S1524) pAb in paraffin-embedded human breast carcinoma tissue.
quantity:
price:
to the supplier
BRCA1 Antibody (phospho-Ser1423) LS-C178031
LifeSpan Biosciences
catalog: LS-C178031
domestic rabbit polyclonal
reactivity:
human
modification: phosphorylated
application:
immunohistochemistry
,
immunohistochemistry - paraffin section
IHC of p-BRCA1 (S1423) pAb in paraffin-embedded human breast carcinoma tissue.
quantity:
price:
to the supplier
BRCA1 Antibody (aa1634-1863) LS-C182772
LifeSpan Biosciences
catalog: LS-C182772
domestic sheep polyclonal
reactivity:
human
application:
immunohistochemistry
quantity:
price:
to the supplier
BRCA1 Antibody (aa229-335, clone 6C6D2) LS-C191861
LifeSpan Biosciences
catalog: LS-C191861
mouse monoclonal (6C6D2)
reactivity:
human
application:
western blot
,
ELISA
,
immunohistochemistry
quantity:
price:
to the supplier
BRCA1 Antibody (phospho-Ser1457) LS-C198698
LifeSpan Biosciences
catalog: LS-C198698
domestic rabbit polyclonal
reactivity:
human
modification: phosphorylated
application:
western blot
Western blot analysis of lysates from 293 cells treated with epo 20U/ml 15', using BRCA1 (Phospho-Ser1457) Antibody. The lane on the right is blocked with the phospho peptide.
quantity:
price:
to the supplier
BRCA1 Antibody (FITC) LS-C210782
LifeSpan Biosciences
catalog: LS-C210782
domestic rabbit polyclonal
reactivity:
human
conjugate: FITC
application:
western blot
,
ELISA
quantity:
price:
to the supplier
BRCA1 Antibody (Biotin) LS-C210783
LifeSpan Biosciences
catalog: LS-C210783
domestic rabbit polyclonal
reactivity:
human
conjugate: biotin
application:
western blot
,
ELISA
quantity:
price:
to the supplier
BRCA1 Antibody (HRP) LS-C210784
LifeSpan Biosciences
catalog: LS-C210784
domestic rabbit polyclonal
reactivity:
human
conjugate: HRP
application:
western blot
,
ELISA
quantity:
price:
to the supplier
BRCA1 Antibody LS-C211465
LifeSpan Biosciences
catalog: LS-C211465
domestic rabbit polyclonal
reactivity:
human
application:
western blot
,
ELISA
quantity:
price:
to the supplier
BRCA1 Antibody (aa443-472, APC) LS-C252668
LifeSpan Biosciences
catalog: LS-C252668
domestic rabbit polyclonal
reactivity:
human
conjugate: APC
application:
western blot
,
ELISA
quantity:
price:
to the supplier
BRCA1 Antibody (aa443-472, AP) LS-C252669
LifeSpan Biosciences
catalog: LS-C252669
domestic rabbit polyclonal
reactivity:
human
conjugate: AP
application:
western blot
,
ELISA
quantity:
price:
to the supplier
BRCA1 Antibody (aa443-472, Biotin) LS-C252670
LifeSpan Biosciences
catalog: LS-C252670
domestic rabbit polyclonal
reactivity:
human
conjugate: biotin
application:
western blot
,
ELISA
quantity:
price:
to the supplier
BRCA1 Antibody (aa443-472, FITC) LS-C252671
LifeSpan Biosciences
catalog: LS-C252671
domestic rabbit polyclonal
reactivity:
human
conjugate: FITC
application:
western blot
,
ELISA
quantity:
price:
to the supplier
BRCA1 Antibody (aa443-472, Azide-free, HRP) LS-C252672
LifeSpan Biosciences
catalog: LS-C252672
domestic rabbit polyclonal
reactivity:
human
conjugate: HRP
application:
western blot
,
ELISA
quantity:
price:
to the supplier
BRCA1 Antibody (aa443-472, PE) LS-C252680
LifeSpan Biosciences
catalog: LS-C252680
domestic rabbit polyclonal
reactivity:
human
conjugate: PE
application:
western blot
,
ELISA
quantity:
price:
to the supplier
BRCA1 Antibody (aa700-750) LS-C286528
LifeSpan Biosciences
catalog: LS-C286528
domestic rabbit polyclonal
reactivity:
human
application:
immunohistochemistry
,
immunocytochemistry
quantity:
price:
to the supplier
BRCA1 Antibody (aa1800-C-term) LS-C286948
LifeSpan Biosciences
catalog: LS-C286948
domestic rabbit polyclonal
reactivity:
human
application:
western blot
,
immunoprecipitation
quantity:
price:
to the supplier
BRCA1 Antibody (phospho-Ser1524) LS-C286949
LifeSpan Biosciences
catalog: LS-C286949
domestic rabbit polyclonal
reactivity:
human
modification: phosphorylated
application:
western blot
quantity:
price:
to the supplier
BRCA1 Antibody (phospho-Ser1189) LS-C286950
LifeSpan Biosciences
catalog: LS-C286950
domestic rabbit polyclonal
reactivity:
human
modification: phosphorylated
application:
western blot
quantity:
price:
to the supplier
BRCA1 Antibody (phospho-Ser1387) LS-C286951
LifeSpan Biosciences
catalog: LS-C286951
domestic rabbit polyclonal
reactivity:
human
modification: phosphorylated
application:
western blot
,
immunoprecipitation
quantity:
price:
to the supplier
BRCA1 Antibody (phospho-Ser1423) LS-C286953
LifeSpan Biosciences
catalog: LS-C286953
domestic rabbit polyclonal
reactivity:
human
modification: phosphorylated
application:
western blot
quantity:
price:
to the supplier
BRCA1 Antibody (phospho-Ser1457) LS-C286955
LifeSpan Biosciences
catalog: LS-C286955
domestic rabbit polyclonal
reactivity:
human
modification: phosphorylated
application:
western blot
,
immunoprecipitation
quantity:
price:
to the supplier
BRCA1 Antibody (phospho-Ser1466) LS-C286957
LifeSpan Biosciences
catalog: LS-C286957
domestic rabbit polyclonal
reactivity:
human
modification: phosphorylated
application:
western blot
quantity:
price:
to the supplier
BRCA1 Antibody (phospho-Ser1280) LS-C286972
LifeSpan Biosciences
catalog: LS-C286972
domestic rabbit polyclonal
reactivity:
human
modification: phosphorylated
application:
western blot
,
immunoprecipitation
quantity:
price:
to the supplier
BRCA1 Antibody (aa250-300) LS-C288176
LifeSpan Biosciences
catalog: LS-C288176
domestic rabbit polyclonal
reactivity:
human
application:
western blot
,
immunohistochemistry
,
immunoprecipitation
quantity:
price:
to the supplier
BRCA1 Antibody (aa700-750) LS-C288178
LifeSpan Biosciences
catalog: LS-C288178
domestic rabbit polyclonal
reactivity:
human
application:
western blot
,
immunohistochemistry
,
immunoprecipitation
quantity:
price:
to the supplier
BRCA1 Antibody (aa955-1004) LS-C291234
LifeSpan Biosciences
catalog: LS-C291234
domestic rabbit polyclonal
reactivity:
human
application:
immunohistochemistry
quantity:
price:
to the supplier
BRCA1 Antibody (aa1579-1811, Biotin) LS-C297744
LifeSpan Biosciences
catalog: LS-C297744
domestic rabbit polyclonal
reactivity:
human
,
rat
conjugate: biotin
application:
western blot
Western blot of recombinant BRCA1. This image was taken for the unconjugated form of this product. Other forms have not been tested.
quantity:
price:
to the supplier
BRCA1 Antibody (aa19-83, Biotin) LS-C297991
LifeSpan Biosciences
catalog: LS-C297991
domestic rabbit polyclonal
reactivity:
human
conjugate: biotin
application:
western blot
Western Blot; .Sample: Lane1: Human A431 Cells; Lane2: Human Hela Cells; Lane3: Mouse Testis Tissue.
quantity:
price:
to the supplier
BRCA1 Antibody (aa1579-1811, FITC) LS-C302733
LifeSpan Biosciences
catalog: LS-C302733
domestic rabbit polyclonal
reactivity:
human
,
rat
conjugate: FITC
application:
western blot
Western blot of recombinant BRCA1. This image was taken for the unconjugated form of this product. Other forms have not been tested.
quantity:
price:
to the supplier
BRCA1 Antibody (aa1661-1863) LS-C313408
LifeSpan Biosciences
catalog: LS-C313408
domestic rabbit polyclonal
reactivity:
human
application:
western blot
,
immunohistochemistry
,
immunohistochemistry - paraffin section
BRCA1 antibody. IHC(P): Mouse Testis Tissue.
WB of BRCA1 antibody. All lanes: Anti-BRCA1 at 0.5ug/ml. Lane 1: HELA Whole Cell Lysate at 40ug. Lane 2: MCF-7 Whole Cell Lysate at 40ug. Lane 3: A549 Whole Cell Lysate at 40ug. Predicted bind size: 207KD. Observed bind size: 207KD.
quantity:
price:
to the supplier
BRCA1 Antibody (aa1524-1781) LS-C314778
LifeSpan Biosciences
catalog: LS-C314778
domestic rabbit polyclonal
reactivity:
human
,
mouse
application:
western blot
Western blot of recombinant BRCA1.
quantity:
price:
to the supplier
BRCA1 Antibody LS-C192608
LifeSpan Biosciences
catalog: LS-C192608
domestic rabbit polyclonal
reactivity:
human
application:
western blot
Western blot of BRCA1 pAb in extracts from Hela, MCF7, HL60 and HepG2 cells.
quantity:
price:
to the supplier
BRCA1 Antibody (aa443-472) LS-C319880
LifeSpan Biosciences
catalog: LS-C319880
domestic rabbit polyclonal
reactivity:
human
application:
western blot
,
ELISA
quantity:
price:
to the supplier
BRCA1 Antibody LS-C330840
LifeSpan Biosciences
catalog: LS-C330840
domestic rabbit polyclonal
reactivity:
human
application:
western blot
,
immunohistochemistry
,
immunocytochemistry
Western blot analysis of extracts of various cell lines, using BRCA1 antibody. The secondary antibody used was an HRP Goat Anti-Rabbit IgG (H+L) at 1:10000 dilution. Lysates were loaded 25ug per lane and 3% nonfat dry milk in TBST was used for blocking.
Immunohistochemistry of paraffin-embedded human breast cancer using BRCA1 antibodyat dilution of 1:100 (40x lens).
Immunofluorescence analysis of A549 cells using BRCA1 antibody.
quantity:
price:
to the supplier
BRCA1 Antibody (phospho-Ser1423) LS-C335891
LifeSpan Biosciences
catalog: LS-C335891
domestic rabbit polyclonal
reactivity:
human
application:
western blot
Western blot analysis of extracts from HT29 cells.
quantity:
price:
to the supplier
BRCA1 Antibody (phospho-Ser1524) LS-C335959
LifeSpan Biosciences
catalog: LS-C335959
domestic rabbit polyclonal
reactivity:
human
application:
immunohistochemistry
Immunohistochemical analysis of paraffin-embedded human breast carcinoma tissue.
quantity:
price:
to the supplier
BRCA1 Antibody (phospho-Ser988) LS-C335963
LifeSpan Biosciences
catalog: LS-C335963
domestic rabbit polyclonal
reactivity:
human
application:
western blot
Western blot analysis of extracts from Hela cells.
quantity:
price:
to the supplier
BRCA1 Antibody (aa1151-1473, clone OTI2A5) LS-C336620
LifeSpan Biosciences
catalog: LS-C336620
mouse monoclonal (OTI2A5)
reactivity:
human
application:
western blot
HEK293T cells were transfected with the pCMV6-ENTRY control (Left lane) or pCMV6-ENTRY BRCA1 (Right lane) cDNA for 48 hrs and lysed. Equivalent amounts of cell lysates (5 ug per lane) were separated by SDS-PAGE and immunoblotted with anti-BRCA1.
quantity:
price:
to the supplier
BRCA1 Antibody (aa1151-1473, clone OTI5D10) LS-C336621
LifeSpan Biosciences
catalog: LS-C336621
mouse monoclonal (OTI5D10)
reactivity:
human
application:
western blot
HEK293T cells were transfected with the pCMV6-ENTRY control (Left lane) or pCMV6-ENTRY BRCA1 (Right lane) cDNA for 48 hrs and lysed. Equivalent amounts of cell lysates (5 ug per lane) were separated by SDS-PAGE and immunoblotted with anti-BRCA1.
quantity:
price:
to the supplier
BRCA1 Antibody (aa1151-1473, clone OTI1C4) LS-C336635
LifeSpan Biosciences
catalog: LS-C336635
mouse monoclonal (OTI1C4)
reactivity:
human
application:
western blot
HEK293T cells were transfected with the pCMV6-ENTRY control (Left lane) or pCMV6-ENTRY BRCA1 (Right lane) cDNA for 48 hrs and lysed. Equivalent amounts of cell lysates (5 ug per lane) were separated by SDS-PAGE and immunoblotted with anti-BRCA1.
quantity:
price:
to the supplier
BRCA1 Antibody (aa1151-1473, clone OTI6H10) LS-C336661
LifeSpan Biosciences
catalog: LS-C336661
mouse monoclonal (OTI6H10)
reactivity:
human
application:
western blot
HEK293T cells were transfected with the pCMV6-ENTRY control (Left lane) or pCMV6-ENTRY BRCA1 (Right lane) cDNA for 48 hrs and lysed. Equivalent amounts of cell lysates (5 ug per lane) were separated by SDS-PAGE and immunoblotted with anti-BRCA1.
quantity:
price:
to the supplier
BRCA1 Antibody (aa1151-1473, clone OTI7B12) LS-C336696
LifeSpan Biosciences
catalog: LS-C336696
mouse monoclonal (OTI7B12)
reactivity:
human
application:
western blot
HEK293T cells were transfected with the pCMV6-ENTRY control (Left lane) or pCMV6-ENTRY BRCA1 (Right lane) cDNA for 48 hrs and lysed. Equivalent amounts of cell lysates (5 ug per lane) were separated by SDS-PAGE and immunoblotted with anti-BRCA1.
quantity:
price:
to the supplier
BRCA1 Antibody (Internal) LS-C351891
LifeSpan Biosciences
catalog: LS-C351891
domestic rabbit polyclonal
reactivity:
human
application:
western blot
,
immunohistochemistry
,
immunohistochemistry - paraffin section
Western blot analysis of BRCA1 expression in HeLa (A); mouse liver (B); rat liver (C) whole cell lysates.
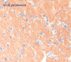
Immunohistochemical analysis of BRCA1 staining in human brain formalin fixed paraffin embedded tissue section. The section was pre-treated using heat mediated antigen retrieval with sodium citrate buffer (pH 6.0). The section was then incubated with the antibody at room temperature and detected using an HRP conjugated compact polymer system. DAB was used as the chromogen. The section was then counterstained with hematoxylin and mounted with DPX.
quantity:
price:
to the supplier
BRCA1 Antibody (C-Terminus) LS-C351912
LifeSpan Biosciences
catalog: LS-C351912
domestic rabbit polyclonal
reactivity:
human
application:
western blot
,
immunohistochemistry
,
immunohistochemistry - paraffin section
Western blot analysis of BRCA1 expression in HeLa (A); mouse kidney (B); rat brain (C) whole cell lysates.
Immunohistochemical analysis of BRCA1 staining in human breast cancer formalin fixed paraffin embedded tissue section. The section was pre-treated using heat mediated antigen retrieval with sodium citrate buffer (pH 6.0). The section was then incubated with the antibody at room temperature and detected using an HRP conjugated compact polymer system. DAB was used as the chromogen. The section was then counterstained with hematoxylin and mounted with DPX.
quantity:
price:
to the supplier
BRCA1 Antibody (phospho-Ser1524) LS-C353916
LifeSpan Biosciences
catalog: LS-C353916
domestic rabbit polyclonal
reactivity:
human
modification: phosphorylated
application:
western blot
,
immunohistochemistry
,
immunohistochemistry - paraffin section
Western blot analysis of BRCA1 (pS1524) expression in A431 (A); NIH3T3 (B); PC12 (C) whole cell lysates.
Immunohistochemical analysis of BRCA1 (pS1524) staining in human breast cancer formalin fixed paraffin embedded tissue section. The section was pre-treated using heat mediated antigen retrieval with sodium citrate buffer (pH 6.0). The section was then incubated with the antibody at room temperature and detected using an HRP conjugated compact polymer system. DAB was used as the chromogen. The section was then counterstained with hematoxylin and mounted with DPX.
quantity:
price:
to the supplier
BRCA1 Antibody (1360-1440 aa) LS-C380645
LifeSpan Biosciences
catalog: LS-C380645
domestic rabbit polyclonal
reactivity:
human
modification: phosphorylated
application:
western blot
,
ELISA
,
immunohistochemistry
quantity:
price:
to the supplier
BRCA1 Antibody (1460-1540 aa) LS-C380646
LifeSpan Biosciences
catalog: LS-C380646
domestic rabbit polyclonal
reactivity:
human
modification: phosphorylated
application:
ELISA
,
immunohistochemistry
quantity:
price:
to the supplier
BRCA1 Antibody (1400-1480 aa) LS-C381084
LifeSpan Biosciences
catalog: LS-C381084
domestic rabbit polyclonal
reactivity:
human
modification: phosphorylated
application:
western blot
,
ELISA
quantity:
price:
to the supplier
BRCA1 Antibody (1460-1540 aa) LS-C382336
LifeSpan Biosciences
catalog: LS-C382336
domestic rabbit polyclonal
reactivity:
human
application:
western blot
,
ELISA
,
immunohistochemistry
Western blot of BRCA1 antibody
quantity:
price:
to the supplier
BRCA1 Antibody (1400-1480 aa) LS-C382337
LifeSpan Biosciences
catalog: LS-C382337
domestic rabbit polyclonal
reactivity:
human
application:
western blot
,
ELISA
Western blot of BRCA1 antibody
quantity:
price:
to the supplier
BRCA1 Antibody (930-1010 aa) LS-C382341
LifeSpan Biosciences
catalog: LS-C382341
domestic rabbit polyclonal
reactivity:
human
application:
ELISA
,
immunohistochemistry
quantity:
price:
to the supplier
BRCA1 Antibody (1360-1440 aa) LS-C382347
LifeSpan Biosciences
catalog: LS-C382347
domestic rabbit polyclonal
reactivity:
human
application:
western blot
,
ELISA
,
immunohistochemistry
,
immunocytochemistry
Western blot of BRCA1 antibody
quantity:
price:
to the supplier