Sign in
Sign up
home
>
LifeSpan Biosciences
> LifeSpan Biosciences sex hormone binding globulin antibody
SHBG Antibody LS-C10128
LifeSpan Biosciences
catalog: LS-C10128
domestic goat polyclonal
reactivity:
human
application:
western blot
,
ELISA
,
radioimmunoassay
quantity:
price:
to the supplier
SHBG Antibody LS-C132074
LifeSpan Biosciences
catalog: LS-C132074
mouse monoclonal
reactivity:
human
application:
western blot
,
ELISA
quantity:
price:
to the supplier
SHBG Antibody LS-C132075
LifeSpan Biosciences
catalog: LS-C132075
mouse monoclonal
reactivity:
human
application:
western blot
,
ELISA
quantity:
price:
to the supplier
SHBG Antibody (aa69-96) LS-C169069
LifeSpan Biosciences
catalog: LS-C169069
domestic rabbit polyclonal
reactivity:
human
application:
western blot
SHBG Antibody western blot of 293 cell line lysates (35 ug/lane). The SHBG antibody detected the SHBG protein (arrow).
quantity:
price:
to the supplier
SHBG Antibody (C-Terminus) LS-C169722
LifeSpan Biosciences
catalog: LS-C169722
domestic rabbit polyclonal
reactivity:
human
application:
western blot
quantity:
price:
to the supplier
SHBG Antibody (N-Terminus) LS-C201774
LifeSpan Biosciences
catalog: LS-C201774
domestic rabbit polyclonal
reactivity:
human
application:
western blot
quantity:
price:
to the supplier
IHC-plus™ SHBG Antibody (clone 5E6) LS-B9938
LifeSpan Biosciences
catalog: LS-B9938
mouse monoclonal (5E6)
reactivity:
human
application:
western blot
,
ELISA
,
immunohistochemistry
,
immunohistochemistry - paraffin section
SHBG monoclonal antibody (M01), clone 5E6 Western Blot analysis of SHBG expression in HepG2.
Detection limit for recombinant GST tagged SHBG is 1 ng/ml as a capture antibody.
Anti-SHBG antibody IHC staining of human liver. Immunohistochemistry of formalin-fixed, paraffin-embedded tissue after heat-induced antigen retrieval. Antibody concentration 10 ug/ml.
quantity:
price:
to the supplier
SHBG Antibody (aa69-96, AP) LS-C269323
LifeSpan Biosciences
catalog: LS-C269323
domestic rabbit polyclonal
reactivity:
human
conjugate: AP
application:
western blot
,
ELISA
quantity:
price:
to the supplier
SHBG Antibody (aa69-96, APC) LS-C269324
LifeSpan Biosciences
catalog: LS-C269324
domestic rabbit polyclonal
reactivity:
human
conjugate: APC
application:
western blot
,
ELISA
quantity:
price:
to the supplier
SHBG Antibody (aa69-96, Biotin) LS-C269325
LifeSpan Biosciences
catalog: LS-C269325
domestic rabbit polyclonal
reactivity:
human
conjugate: biotin
application:
western blot
,
ELISA
quantity:
price:
to the supplier
SHBG Antibody (aa69-96, FITC) LS-C269326
LifeSpan Biosciences
catalog: LS-C269326
domestic rabbit polyclonal
reactivity:
human
conjugate: FITC
application:
western blot
,
ELISA
quantity:
price:
to the supplier
SHBG Antibody (aa69-96, Azide-free, HRP) LS-C269327
LifeSpan Biosciences
catalog: LS-C269327
domestic rabbit polyclonal
reactivity:
human
conjugate: HRP
application:
western blot
,
ELISA
quantity:
price:
to the supplier
SHBG Antibody (aa69-96, PE) LS-C269328
LifeSpan Biosciences
catalog: LS-C269328
domestic rabbit polyclonal
reactivity:
human
conjugate: PE
application:
western blot
,
ELISA
quantity:
price:
to the supplier
SHBG Antibody (aa222-358) LS-C292511
LifeSpan Biosciences
catalog: LS-C292511
mouse monoclonal
reactivity:
human
,
rat
application:
western blot
Western blot of recombinant SHBG. This image was taken for the unconjugated form of this product. Other forms have not been tested.
quantity:
price:
to the supplier
SHBG Antibody (aa224-388) LS-C296398
LifeSpan Biosciences
catalog: LS-C296398
domestic rabbit polyclonal
reactivity:
human
application:
western blot
Western blot of recombinant SHBG. This image was taken for the unconjugated form of this product. Other forms have not been tested.
quantity:
price:
to the supplier
SHBG Antibody (aa219-358) LS-C296399
LifeSpan Biosciences
catalog: LS-C296399
domestic rabbit polyclonal
reactivity:
human
,
mouse
application:
western blot
Western Blot; Sample: Mouse Liver lysate; Primary Ab: 5µg/ml Rabbit Anti-Mouse SHBG Antibody Second Ab: 0.2µg/mL HRP-Linked Caprine Anti-Rabbit IgG Polyclonal Antibody
quantity:
price:
to the supplier
SHBG Antibody (aa222-358) LS-C296401
LifeSpan Biosciences
catalog: LS-C296401
domestic rabbit polyclonal
reactivity:
human
,
rat
application:
western blot
Western blot of recombinant SHBG. This image was taken for the unconjugated form of this product. Other forms have not been tested.
quantity:
price:
to the supplier
SHBG Antibody (aa224-388, Biotin) LS-C298556
LifeSpan Biosciences
catalog: LS-C298556
domestic rabbit polyclonal
reactivity:
human
conjugate: biotin
application:
western blot
Western blot of recombinant SHBG. This image was taken for the unconjugated form of this product. Other forms have not been tested.
quantity:
price:
to the supplier
SHBG Antibody (aa219-358, Biotin) LS-C298558
LifeSpan Biosciences
catalog: LS-C298558
domestic rabbit polyclonal
reactivity:
human
,
mouse
conjugate: biotin
application:
western blot
Western Blot; Sample: Mouse Liver lysate; Primary Ab: 5µg/ml Rabbit Anti-Mouse SHBG Antibody Second Ab: 0.2µg/mL HRP-Linked Caprine Anti-Rabbit IgG Polyclonal Antibody
quantity:
price:
to the supplier
SHBG Antibody (aa222-358, Biotin) LS-C298559
LifeSpan Biosciences
catalog: LS-C298559
domestic rabbit polyclonal
reactivity:
human
,
rat
conjugate: biotin
application:
western blot
Western blot of recombinant SHBG. This image was taken for the unconjugated form of this product. Other forms have not been tested.
quantity:
price:
to the supplier
SHBG Antibody (aa222-358, Biotin) LS-C298921
LifeSpan Biosciences
catalog: LS-C298921
mouse monoclonal
reactivity:
human
,
rat
conjugate: biotin
application:
western blot
Western blot of recombinant SHBG. This image was taken for the unconjugated form of this product. Other forms have not been tested.
quantity:
price:
to the supplier
SHBG Antibody (aa222-358, FITC) LS-C302875
LifeSpan Biosciences
catalog: LS-C302875
mouse monoclonal
reactivity:
human
,
rat
conjugate: FITC
application:
western blot
Western blot of recombinant SHBG. This image was taken for the unconjugated form of this product. Other forms have not been tested.
quantity:
price:
to the supplier
SHBG Antibody (aa224-388, FITC) LS-C305175
LifeSpan Biosciences
catalog: LS-C305175
domestic rabbit polyclonal
reactivity:
human
conjugate: FITC
application:
western blot
Western blot of recombinant SHBG. This image was taken for the unconjugated form of this product. Other forms have not been tested.
quantity:
price:
to the supplier
SHBG Antibody (aa222-358, FITC) LS-C305177
LifeSpan Biosciences
catalog: LS-C305177
domestic rabbit polyclonal
reactivity:
human
,
rat
conjugate: FITC
application:
western blot
Western blot of recombinant SHBG. This image was taken for the unconjugated form of this product. Other forms have not been tested.
quantity:
price:
to the supplier
SHBG Antibody (FITC) LS-C318452
LifeSpan Biosciences
catalog: LS-C318452
domestic rabbit polyclonal
reactivity:
human
conjugate: FITC
application:
western blot
,
ELISA
Western blot of Sex hormone-binding globulin Antibody at 2 ug/ml. This image was taken for the unconjugated form of this product. Other forms have not been tested.
quantity:
price:
to the supplier
SHBG Antibody (HRP) LS-C318457
LifeSpan Biosciences
catalog: LS-C318457
domestic rabbit polyclonal
reactivity:
human
conjugate: HRP
application:
western blot
,
ELISA
Western blot of Sex hormone-binding globulin Antibody at 2 ug/ml. This image was taken for the unconjugated form of this product. Other forms have not been tested.
quantity:
price:
to the supplier
SHBG Antibody (Biotin) LS-C318458
LifeSpan Biosciences
catalog: LS-C318458
domestic rabbit polyclonal
reactivity:
human
conjugate: biotin
application:
western blot
,
ELISA
Western blot of Sex hormone-binding globulin Antibody at 2 ug/ml. This image was taken for the unconjugated form of this product. Other forms have not been tested.
quantity:
price:
to the supplier
SHBG Antibody LS-C318459
LifeSpan Biosciences
catalog: LS-C318459
domestic rabbit polyclonal
reactivity:
human
application:
western blot
,
ELISA
Western blot of Sex hormone-binding globulin Antibody at 2 ug/ml. This image was taken for the unconjugated form of this product. Other forms have not been tested.
quantity:
price:
to the supplier
SHBG Antibody (clone OTI1D10) LS-C338381
LifeSpan Biosciences
catalog: LS-C338381
mouse monoclonal (OTI1D10)
reactivity:
human
application:
western blot
,
immunohistochemistry
,
immunohistochemistry - paraffin section
HEK293T cells were transfected with the pCMV6-ENTRY control (Left lane) or pCMV6-ENTRY SHBG (Right lane) cDNA for 48 hrs and lysed. Equivalent amounts of cell lysates (5 ug per lane) were separated by SDS-PAGE and immunoblotted with anti-SHBG.
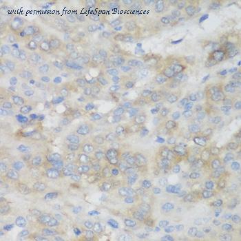
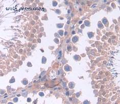
IHC of paraffin-embedded Human colon tissue using anti-SHBG mouse monoclonal antibody. (Heat-induced epitope retrieval by 10mM citric buffer, pH6.0, 120°C for 3min).
quantity:
price:
to the supplier
SHBG Antibody (clone OTI1E7) LS-C338383
LifeSpan Biosciences
catalog: LS-C338383
mouse monoclonal (OTI1E7)
reactivity:
human
application:
western blot
HEK293T cells were transfected with the pCMV6-ENTRY control (Left lane) or pCMV6-ENTRY SHBG (Right lane) cDNA for 48 hrs and lysed. Equivalent amounts of cell lysates (5 ug per lane) were separated by SDS-PAGE and immunoblotted with anti-SHBG.
quantity:
price:
to the supplier
SHBG Antibody (clone OTI1A6) LS-C338409
LifeSpan Biosciences
catalog: LS-C338409
mouse monoclonal (OTI1A6)
reactivity:
human
application:
western blot
,
immunohistochemistry
,
immunohistochemistry - paraffin section
HEK293T cells were transfected with the pCMV6-ENTRY control (Left lane) or pCMV6-ENTRY SHBG (Right lane) cDNA for 48 hrs and lysed. Equivalent amounts of cell lysates (5 ug per lane) were separated by SDS-PAGE and immunoblotted with anti-SHBG.
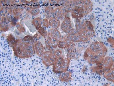
IHC of paraffin-embedded Human liver tissue using anti-SHBG mouse monoclonal antibody. (Heat-induced epitope retrieval by 10mM citric buffer, pH6.0, 120°C for 3min).
quantity:
price:
to the supplier
SHBG Antibody (clone OTI1G2) LS-C338410
LifeSpan Biosciences
catalog: LS-C338410
mouse monoclonal (OTI1G2)
reactivity:
human
application:
western blot
HEK293T cells were transfected with the pCMV6-ENTRY control (Left lane) or pCMV6-ENTRY SHBG (Right lane) cDNA for 48 hrs and lysed. Equivalent amounts of cell lysates (5 ug per lane) were separated by SDS-PAGE and immunoblotted with anti-SHBG.
quantity:
price:
to the supplier
SHBG Antibody (clone OTI1H10) LS-C338413
LifeSpan Biosciences
catalog: LS-C338413
mouse monoclonal (OTI1H10)
reactivity:
human
application:
western blot
,
immunohistochemistry
,
immunohistochemistry - paraffin section
HEK293T cells were transfected with the pCMV6-ENTRY control (Left lane) or pCMV6-ENTRY SHBG (Right lane) cDNA for 48 hrs and lysed. Equivalent amounts of cell lysates (5 ug per lane) were separated by SDS-PAGE and immunoblotted with anti-SHBG.
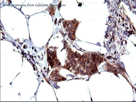
IHC of paraffin-embedded Adenocarcinoma of Human breast tissue using anti-SHBG mouse monoclonal antibody. (Heat-induced epitope retrieval by 10mM citric buffer, pH6.0, 120°C for 3min).
quantity:
price:
to the supplier
IHC-plus™ SHBG Antibody LS-B12124
LifeSpan Biosciences
catalog: LS-B12124
domestic rabbit polyclonal
reactivity:
human
application:
western blot
,
ELISA
,
immunohistochemistry
,
immunocytochemistry
,
immunohistochemistry - paraffin section
Human Placenta: Formalin-Fixed, Paraffin-Embedded (FFPE)
Immunofluorescence of SHBG in mouse liver tissue with SHBG antibody at 20 ug/ml.
quantity:
price:
to the supplier
SHBG Antibody LS-C349154
LifeSpan Biosciences
catalog: LS-C349154
domestic rabbit polyclonal
reactivity:
human
application:
western blot
,
immunohistochemistry
Western blot analysis of extracts of various cell lines.
Immunohistochemistry of paraffin-embedded human liver tissue.
quantity:
price:
to the supplier
SHBG Antibody (aa30-210) LS-C357515
LifeSpan Biosciences
catalog: LS-C357515
domestic rabbit polyclonal
reactivity:
human
application:
western blot
SHBG antibody Western blot. All lanes: Anti SHBG at 0.5 ug/ml. Lane 1: HELA Whole Cell Lysate at 40 ug. Lane 2: COLO320 Whole Cell Lysate at 40 ug. Predicted band size: 44 kD. Observed band size: 70 kD.
quantity:
price:
to the supplier
SHBG Antibody (aa53-214) LS-C372521
LifeSpan Biosciences
catalog: LS-C372521
domestic rabbit polyclonal
reactivity:
human
,
mouse
application:
western blot
Western blot of SHBG antibody.
quantity:
price:
to the supplier
SHBG Antibody (aa51-218) LS-C373950
LifeSpan Biosciences
catalog: LS-C373950
domestic rabbit polyclonal
reactivity:
human
application:
western blot
Western blot of SHBG antibody.
quantity:
price:
to the supplier
SHBG Antibody (aa44-222) LS-C373953
LifeSpan Biosciences
catalog: LS-C373953
domestic rabbit polyclonal
reactivity:
human
,
rat
application:
western blot
Western blot of SHBG antibody.
quantity:
price:
to the supplier