Sign in
Sign up
home
>
LifeSpan Biosciences
> LifeSpan Biosciences ROCK1 antibody
Rho Kinase / ROCK1 Antibody (aa1114-1126, clone 154C1465) LS-C511
LifeSpan Biosciences
catalog: LS-C511
mouse monoclonal (154C1465)
reactivity:
human
application:
western blot
quantity:
price:
to the supplier
Rho Kinase / ROCK1 Antibody LS-C48506
LifeSpan Biosciences
catalog: LS-C48506
mouse monoclonal
reactivity:
human
application:
western blot
quantity:
price:
to the supplier
Rho Kinase / ROCK1 Antibody LS-C75509
LifeSpan Biosciences
catalog: LS-C75509
domestic rabbit monoclonal
reactivity:
human
application:
western blot
,
immunoprecipitation
quantity:
price:
to the supplier
Rho Kinase / ROCK1 Antibody LS-C131936
LifeSpan Biosciences
catalog: LS-C131936
domestic rabbit polyclonal
reactivity:
human
application:
western blot
quantity:
price:
to the supplier
IHC-plus™ Rho Kinase / ROCK1 Antibody LS-B7100
LifeSpan Biosciences
catalog: LS-B7100
domestic rabbit polyclonal
reactivity:
human
application:
western blot
,
ELISA
,
immunohistochemistry
,
immunocytochemistry
,
immunohistochemistry - paraffin section
Anti-ROCK1 antibody IHC of human brain, cortex. Immunohistochemistry of formalin-fixed, paraffin-embedded tissue after heat-induced antigen retrieval. Antibody concentration 5 ug/ml.
Immunocytochemistry of ROCK1 in 293 cells with ROCK1 antibody at 10 ug/ml.
Immunofluorescence of ROCK1 in 293 cells with ROCK1 antibody at 20 ug/ml.
quantity:
price:
to the supplier
Rho Kinase / ROCK1 Antibody (Asn311) LS-C177597
LifeSpan Biosciences
catalog: LS-C177597
domestic rabbit polyclonal
reactivity:
human
application:
western blot
,
immunohistochemistry
,
immunohistochemistry - paraffin section
Western blot of Rock-1 (N311) pAb in extracts from COS7 cells.
IHC of Rock-1 (N311) pAb in paraffin-embedded human brain tissue.
quantity:
price:
to the supplier
Rho Kinase / ROCK1 Antibody (aa107-371) LS-C186291
LifeSpan Biosciences
catalog: LS-C186291
domestic rabbit polyclonal
reactivity:
human
application:
western blot
,
immunohistochemistry
,
immunocytochemistry
,
immunohistochemistry - paraffin section
Sample (30 ug of whole cell lysate). A: A431 , B: H1299, C: Molt-4 . 5% SDS PAGE. Rho Kinase / ROCK1 antibody diluted at 1:1000.
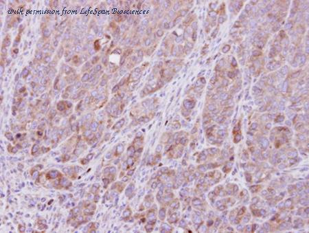
IHC of paraffin-embedded DLD1 xenograft using ROCK1 antibody at 1:500 dilution.
Immunofluorescence of methanol-fixed HeLa using ROCK1 antibody at 1:200 dilution.
quantity:
price:
to the supplier
Rho Kinase / ROCK1 Antibody (clone 2E2) LS-C198099
LifeSpan Biosciences
catalog: LS-C198099
mouse monoclonal (2E2)
reactivity:
human
application:
western blot
,
ELISA
,
immunocytochemistry
ROCK1 monoclonal antibody (M01), clone 2E2 Western Blot analysis of ROCK1 expression in HeLa NE.
Immunofluorescence of monoclonal antibody to ROCK1 on HeLa cell. [antibody concentration 10 ug/ml]
Detection limit for recombinant GST tagged ROCK1 is approximately 0.03 ng/ml as a capture antibody.
quantity:
price:
to the supplier
Rho Kinase / ROCK1 Antibody (aa1300-C-term) LS-C287341
LifeSpan Biosciences
catalog: LS-C287341
domestic rabbit polyclonal
reactivity:
human
application:
western blot
,
immunoprecipitation
quantity:
price:
to the supplier
Rho Kinase / ROCK1 Antibody (aa400-450) LS-C287342
LifeSpan Biosciences
catalog: LS-C287342
domestic rabbit polyclonal
reactivity:
human
application:
immunoprecipitation
quantity:
price:
to the supplier
Rho Kinase / ROCK1 Antibody (aa262-311) LS-C291734
LifeSpan Biosciences
catalog: LS-C291734
domestic rabbit polyclonal
reactivity:
human
application:
western blot
,
immunohistochemistry
Immunohistochemistry analysis of Rock-1 antibody in paraffin-embedded human brain tissue.
Western blot analysis of lysate from COS7 cell, using Rock-1 antibodys.
quantity:
price:
to the supplier
Rho Kinase / ROCK1 Antibody (Internal) LS-C352778
LifeSpan Biosciences
catalog: LS-C352778
domestic rabbit polyclonal
reactivity:
human
application:
western blot
,
immunocytochemistry
Western blot analysis of ROCK1 expression in HeLa (A); NIH3T3 (B); C6 (C); COS7 (D) whole cell lysates.
Immunofluorescent analysis of ROCK1 staining in NIH3T3 cells. Formalin-fixed cells were permeabilized with 0.1% Triton X-100 in TBS for 5-10 minutes and blocked with 3% BSA-PBS for 30 minutes at room temperature. Cells were probed with the primary antibody in 3% BSA-PBS and incubated overnight at 4 C in a humidified chamber. Cells were washed with PBST and incubated with a DyLight 594-conjugated secondary antibody (red) in PBS at room temperature in the dark. DAPI was used to stain the cell nuclei (blue).
quantity:
price:
to the supplier
Rho Kinase / ROCK1 Antibody (aa1094-1323) LS-C374823
LifeSpan Biosciences
catalog: LS-C374823
domestic rabbit polyclonal
reactivity:
human
,
mouse
application:
western blot
Western Blot; Sample: Human Hela cell lysate; Primary Ab: 2µg/ml Rabbit Anti-Mouse Rock1 Antibody Second Ab: 0.2µg/mL HRP-Linked Caprine Anti-Rabbit IgG Polyclonal Antibody
quantity:
price:
to the supplier
Rho Kinase / ROCK1 Antibody (240-320 aa, Internal) LS-C385932
LifeSpan Biosciences
catalog: LS-C385932
domestic rabbit polyclonal
reactivity:
human
application:
western blot
,
ELISA
quantity:
price:
to the supplier
Rho Kinase / ROCK1 Antibody (Internal) LS-C385933
LifeSpan Biosciences
catalog: LS-C385933
domestic rabbit polyclonal
reactivity:
human
application:
western blot
,
ELISA
,
immunohistochemistry
,
immunocytochemistry
Western blot of Rock-1 antibody
quantity:
price:
to the supplier