Sign in
Sign up
home
>
LifeSpan Biosciences
> LifeSpan Biosciences BACH2 antibody
IHC-plus™ BACH2 Antibody (C-Terminus) LS-B3533
LifeSpan Biosciences
catalog: LS-B3533
domestic rabbit polyclonal
reactivity:
human
application:
western blot
,
immunohistochemistry
,
immunohistochemistry - paraffin section
citations: 1
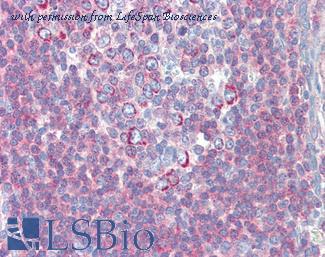
Anti-BACH2 antibody IHC of human spleen. Immunohistochemistry of formalin-fixed, paraffin-embedded tissue after heat-induced antigen retrieval. Antibody concentration 2.5 ug/ml. This image was taken for the unconjugated form of this product. Other forms have not been tested.
quantity:
price:
to the supplier
BACH2 Antibody (C-Terminus) LS-C109760
LifeSpan Biosciences
catalog: LS-C109760
domestic rabbit polyclonal
reactivity:
human
application:
western blot
quantity:
price:
to the supplier
IHC-plus™ BACH2 Antibody (Internal) LS-B7533
LifeSpan Biosciences
catalog: LS-B7533
domestic rabbit polyclonal
reactivity:
human
application:
western blot
,
ELISA
,
immunohistochemistry
,
immunohistochemistry - paraffin section
Anti-BACH2 antibody IHC of human brain, cortex neurons. Immunohistochemistry of formalin-fixed, paraffin-embedded tissue after heat-induced antigen retrieval. Antibody concentration 10 ug/ml.
quantity:
price:
to the supplier
BACH2 Antibody (Internal) LS-C153572
LifeSpan Biosciences
catalog: LS-C153572
domestic rabbit polyclonal
reactivity:
human
application:
western blot
,
ELISA
,
immunohistochemistry
quantity:
price:
to the supplier
BACH2 Antibody (aa283-312) LS-C156727
LifeSpan Biosciences
catalog: LS-C156727
domestic rabbit polyclonal
reactivity:
human
application:
western blot
BACH2 Antibody western blot of K562 cell line lysates (35 ug/lane). The BACH2 antibody detected the BACH2 protein (arrow).
quantity:
price:
to the supplier
BACH2 Antibody (N-Terminus) LS-C209338
LifeSpan Biosciences
catalog: LS-C209338
domestic rabbit polyclonal
reactivity:
human
,
mouse
application:
western blot
,
ELISA
,
immunoprecipitation
quantity:
price:
to the supplier
BACH2 Antibody (aa283-312, AP) LS-C212909
LifeSpan Biosciences
catalog: LS-C212909
domestic rabbit polyclonal
reactivity:
human
conjugate: AP
application:
western blot
,
ELISA
quantity:
price:
to the supplier
BACH2 Antibody (aa283-312, APC) LS-C212910
LifeSpan Biosciences
catalog: LS-C212910
domestic rabbit polyclonal
reactivity:
human
conjugate: APC
application:
western blot
,
ELISA
quantity:
price:
to the supplier
BACH2 Antibody (aa283-312, Biotin) LS-C212911
LifeSpan Biosciences
catalog: LS-C212911
domestic rabbit polyclonal
reactivity:
human
conjugate: biotin
application:
western blot
,
ELISA
quantity:
price:
to the supplier
BACH2 Antibody (aa283-312, FITC) LS-C212912
LifeSpan Biosciences
catalog: LS-C212912
domestic rabbit polyclonal
reactivity:
human
conjugate: FITC
application:
western blot
,
ELISA
quantity:
price:
to the supplier
BACH2 Antibody (aa283-312, Azide-free, HRP) LS-C212913
LifeSpan Biosciences
catalog: LS-C212913
domestic rabbit polyclonal
reactivity:
human
conjugate: HRP
application:
western blot
,
ELISA
quantity:
price:
to the supplier
BACH2 Antibody (aa283-312, PE) LS-C212914
LifeSpan Biosciences
catalog: LS-C212914
domestic rabbit polyclonal
reactivity:
human
conjugate: PE
application:
western blot
,
ELISA
quantity:
price:
to the supplier
BACH2 Antibody (aa283-312) LS-C319749
LifeSpan Biosciences
catalog: LS-C319749
domestic rabbit polyclonal
reactivity:
human
application:
western blot
,
ELISA
quantity:
price:
to the supplier