Sign in
Sign up
home
>
LifeSpan Biosciences
> LifeSpan Biosciences UPF1 antibody
RENT1 / UPF1 Antibody (aa299-348) LS-C120322
LifeSpan Biosciences
catalog: LS-C120322
domestic rabbit polyclonal
reactivity:
human
application:
western blot
,
immunohistochemistry
,
immunohistochemistry - paraffin section
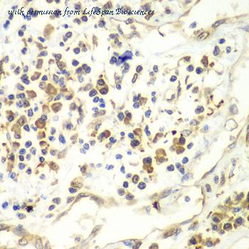
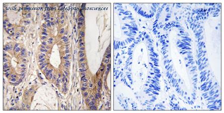
Immunohistochemistry analysis of paraffin-embedded human colon carcinoma tissue, using UPF1 Antibody. The picture on the right is blocked with the synthesized peptide.
Western blot analysis of lysates from K562 and HeLa cells, using UPF1 Antibody. The lane on the right is blocked with the synthesized peptide.
quantity:
price:
to the supplier
RENT1 / UPF1 Antibody (aa1008-1057) LS-C101625
LifeSpan Biosciences
catalog: LS-C101625
domestic rabbit polyclonal
reactivity:
human
application:
western blot
quantity:
price:
to the supplier
RENT1 / UPF1 Antibody LS-C126218
LifeSpan Biosciences
catalog: LS-C126218
domestic rabbit polyclonal
reactivity:
human
application:
western blot
quantity:
price:
to the supplier
RENT1 / UPF1 Antibody (aa7-37) LS-C97887
LifeSpan Biosciences
catalog: LS-C97887
domestic rabbit polyclonal
reactivity:
human
application:
western blot
Western blot of RENT1 (arrow) using rabbit polyclonal RENT1 Antibody (N-term E22). 293 cell lysates (2 ug/lane) either nontransfected (Lane 1) or transiently transfected with the RENT1 gene (Lane 2) (Origene Technologies).
quantity:
price:
to the supplier
RENT1 / UPF1 Antibody (clone 4G3) LS-C198078
LifeSpan Biosciences
catalog: LS-C198078
mouse monoclonal (4G3)
reactivity:
human
application:
western blot
,
ELISA
Detection limit for recombinant GST tagged UPF1 is 0.1 ng/ml as a capture antibody.
quantity:
price:
to the supplier
RENT1 / UPF1 Antibody (aa250-300) LS-C286975
LifeSpan Biosciences
catalog: LS-C286975
domestic goat polyclonal
reactivity:
human
application:
western blot
quantity:
price:
to the supplier
RENT1 / UPF1 Antibody (N-Terminus) LS-C97613
LifeSpan Biosciences
catalog: LS-C97613
domestic rabbit polyclonal
reactivity:
human
,
roundworm
quantity:
price:
to the supplier
RENT1 / UPF1 Antibody (C-Terminus) LS-C97614
LifeSpan Biosciences
catalog: LS-C97614
domestic rabbit polyclonal
reactivity:
human
,
roundworm
quantity:
price:
to the supplier
RENT1 / UPF1 Antibody LS-C193005
LifeSpan Biosciences
catalog: LS-C193005
domestic rabbit polyclonal
reactivity:
human
application:
western blot
,
immunohistochemistry
Western blot.
quantity:
price:
to the supplier
RENT1 / UPF1 Antibody LS-C335164
LifeSpan Biosciences
catalog: LS-C335164
domestic rabbit polyclonal
reactivity:
human
application:
western blot
,
immunohistochemistry
,
immunocytochemistry
Immunohistochemistry of paraffin-embedded human liver cancer tissue.
Western blot analysis of extracts of various cell lines, using UPF1 antibody at 1:500 dilution. The secondary antibody used was an HRP Goat Anti-Rabbit IgG (H+L) at 1:10000 dilution. Lysates were loaded 25ug per lane and 3% nonfat dry milk in TBST was used for blocking.
Immunofluorescence analysis of HeLa cells using UPF1 antibody. Blue: DAPI for nuclear staining.
quantity:
price:
to the supplier
RENT1 / UPF1 Antibody (270-350 aa, Internal) LS-C385810
LifeSpan Biosciences
catalog: LS-C385810
domestic rabbit polyclonal
reactivity:
human
application:
western blot
,
ELISA
,
immunohistochemistry
quantity:
price:
to the supplier