Sign in
Sign up
home
>
LifeSpan Biosciences
> LifeSpan Biosciences Bcl 2 antibody
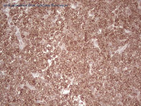
BCL2 / Bcl-2 Antibody (aa75-110) LS-C98842
LifeSpan Biosciences
catalog: LS-C98842
domestic rabbit polyclonal
reactivity:
human
application:
western blot
,
immunohistochemistry
,
immunocytochemistry
,
immunohistochemistry - paraffin section
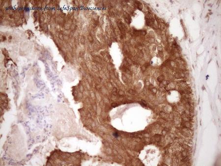
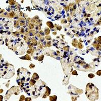
Formalin-fixed and paraffin-embedded human testis tissue reacted with Bcl-2 BH3 Domain Antibody, which was peroxidase-conjugated to the secondary antibody, followed by DAB staining. This data demonstrates the use of this antibody for immunohistochemistry; clinical relevance has not been evaluated.
Confocal immunofluorescence of Bcl-2 Antibody (BH3 Domain Specific) with HeLa cell followed by Alexa Fluor 488-conjugated goat anti-rabbit lgG (green). DAPI was used to stain the cell nuclear (blue).
Left panel, of Bcl-2 BH3 domain exposure in HEK293 cells transfected with a plasmid coding for a DNA-binding domain-deleted construct of Nur77 (GFP-Nur77/dDBD) by using this antibody for immunoprecipitation (IP) and a different Bcl-2 antibody for western blot. Right panel, same analysis using antibody in flow cytometry. Data courtesy Dr Quan Chen, Chinese Academy of Sciences.
quantity:
price:
to the supplier
IHC-plus™ BCL2 / Bcl-2 Antibody (aa46-95) LS-B6548
LifeSpan Biosciences
catalog: LS-B6548
domestic rabbit polyclonal
reactivity:
human
application:
western blot
,
immunohistochemistry
,
immunocytochemistry
,
immunohistochemistry - paraffin section
citations: 1
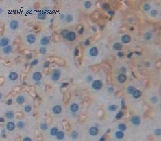
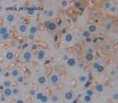
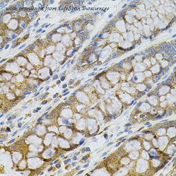
Anti-BCL2 / Bcl-2 antibody IHC of human kidney, tubules. Immunohistochemistry of formalin-fixed, paraffin-embedded tissue after heat-induced antigen retrieval. Antibody dilution 1:100.
Immunofluorescence analysis of HepG2 cells, using BCL-2 Antibody. The picture on the right is blocked with the synthesized peptide.
Western blot analysis of lysates from K562 cells, using BCL-2 Antibody. The lane on the right is blocked with the synthesized peptide.
quantity:
price:
to the supplier
BCL2 / Bcl-2 Antibody (aa4-18) LS-C20131
LifeSpan Biosciences
catalog: LS-C20131
domestic goat polyclonal
reactivity:
human
application:
western blot
Staining (1 ug/ml) of Human Lymph Node lysate (RIPA buffer, 35 ug total protein per lane). Primary incubated for 1 hour. Detected using chemiluminescence.
quantity:
price:
to the supplier
BCL2 / Bcl-2 Antibody (N-Terminus) LS-C20859
LifeSpan Biosciences
catalog: LS-C20859
domestic rabbit polyclonal
reactivity:
human
application:
western blot
,
ELISA
,
immunohistochemistry
quantity:
price:
to the supplier
BCL2 / Bcl-2 Antibody (Internal) LS-C20860
LifeSpan Biosciences
catalog: LS-C20860
domestic rabbit polyclonal
reactivity:
human
application:
western blot
quantity:
price:
to the supplier
BCL2 / Bcl-2 Antibody LS-C20863
LifeSpan Biosciences
catalog: LS-C20863
mouse monoclonal
reactivity:
human
,
mouse
application:
western blot
,
ELISA
quantity:
price:
to the supplier
BCL2 / Bcl-2 Antibody (N-Terminus) LS-C20865
LifeSpan Biosciences
catalog: LS-C20865
mouse monoclonal
reactivity:
human
,
mouse
application:
western blot
,
ELISA
quantity:
price:
to the supplier
BCL2 / Bcl-2 Antibody (aa54-103) LS-C29877
LifeSpan Biosciences
catalog: LS-C29877
domestic rabbit polyclonal
reactivity:
human
application:
western blot
,
immunohistochemistry
,
immunohistochemistry - paraffin section
quantity:
price:
to the supplier
BCL2 / Bcl-2 Antibody (clone Bcl-2/100) LS-C35117
LifeSpan Biosciences
catalog: LS-C35117
mouse monoclonal (Bcl-2/100)
reactivity:
human
application:
western blot
,
immunohistochemistry
,
immunocytochemistry
,
immunoprecipitation
,
flow cytometry
quantity:
price:
to the supplier
BCL2 / Bcl-2 Antibody (N-Terminus) LS-C48144
LifeSpan Biosciences
catalog: LS-C48144
domestic rabbit polyclonal
reactivity:
human
application:
western blot
,
immunohistochemistry
,
immunoprecipitation
quantity:
price:
to the supplier
BCL2 / Bcl-2 Antibody LS-C48241
LifeSpan Biosciences
catalog: LS-C48241
mouse monoclonal
reactivity:
human
application:
western blot
,
immunohistochemistry
,
immunoprecipitation
,
flow cytometry
quantity:
price:
to the supplier
BCL2 / Bcl-2 Antibody LS-C26455
LifeSpan Biosciences
catalog: LS-C26455
domestic sheep polyclonal
reactivity:
human
,
dogs
application:
western blot
,
immunocytochemistry
,
immunoprecipitation
quantity:
price:
to the supplier
BCL2 / Bcl-2 Antibody (aa61-76) LS-C26460
LifeSpan Biosciences
catalog: LS-C26460
mouse monoclonal
reactivity:
human
,
mouse
application:
western blot
quantity:
price:
to the supplier
BCL2 / Bcl-2 Antibody (clone 124) LS-C95304
LifeSpan Biosciences
catalog: LS-C95304
mouse monoclonal (124)
reactivity:
human
application:
western blot
quantity:
price:
to the supplier
BCL2 / Bcl-2 Antibody (clone 100/D5) LS-C95395
LifeSpan Biosciences
catalog: LS-C95395
mouse monoclonal (100/D5)
reactivity:
human
application:
immunohistochemistry
,
immunohistochemistry - paraffin section
quantity:
price:
to the supplier
BCL2 / Bcl-2 Antibody (aa85-134) LS-C117075
LifeSpan Biosciences
catalog: LS-C117075
domestic rabbit polyclonal
reactivity:
human
application:
western blot
quantity:
price:
to the supplier
BCL2 / Bcl-2 Antibody (phospho-Ser70) LS-C117306
LifeSpan Biosciences
catalog: LS-C117306
domestic rabbit polyclonal
reactivity:
human
modification: phosphorylated
application:
western blot
,
immunohistochemistry
,
immunoprecipitation
,
immunohistochemistry - paraffin section
Immunohistochemistry analysis of paraffin-embedded human breast carcinoma, using BCL-2 (Phospho-Ser70) Antibody. The picture on the right is blocked with the phospho peptide.
Western blot analysis of lysates from HeLa cells treated with LPS (40nM, 30mins), K562 cells treated with calyculin A (50ng/ml, 30mins) and COS-7 cells treated with H2O2 (1ng/ml, 15mins), using BCL-2 (Phospho-Ser70) Antibody. The lane on the right is blocked with the phospho peptide.
quantity:
price:
to the supplier
BCL2 / Bcl-2 Antibody (phospho-Thr56) LS-C117307
LifeSpan Biosciences
catalog: LS-C117307
domestic rabbit polyclonal
reactivity:
human
modification: phosphorylated
application:
western blot
,
immunohistochemistry
,
immunocytochemistry
,
immunoprecipitation
,
immunohistochemistry - paraffin section
Immunofluorescence analysis of A549 cells, using BCL-2 (Phospho-Thr56) Antibody. The picture on the right is blocked with the phospho peptide.
Immunohistochemistry analysis of paraffin-embedded human breast carcinoma, using BCL-2 (Phospho-Thr56) Antibody. The picture on the right is blocked with the phospho peptide.
Western blot analysis of lysates from K562 cells treated with H2O2 100uM 30', using BCL-2 (Phospho-Thr56) Antibody. The lane on the right is blocked with the phospho peptide.
quantity:
price:
to the supplier
IHC-plus™ BCL2 / Bcl-2 Antibody (clone Bcl-2/100, FITC) LS-B4769
LifeSpan Biosciences
catalog: LS-B4769
mouse monoclonal (Bcl-2/100)
reactivity:
human
conjugate: FITC
application:
immunohistochemistry
,
flow cytometry
,
immunohistochemistry - paraffin section
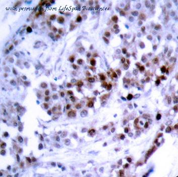
Anti-BCL2 / Bcl-2 antibody IHC of human breast. Immunohistochemistry of formalin-fixed, paraffin-embedded tissue after heat-induced antigen retrieval. Antibody dilution 1:50. This image was taken for the unconjugated form of this product. Other forms have not been tested.
quantity:
price:
to the supplier
BCL2 / Bcl-2 Antibody (aa41-54) LS-C121403
LifeSpan Biosciences
catalog: LS-C121403
mouse monoclonal
reactivity:
human
application:
western blot
,
immunohistochemistry
,
immunocytochemistry
,
immunoprecipitation
,
immunohistochemistry - paraffin section
,
immunohistochemistry - frozen section
quantity:
price:
to the supplier
BCL2 / Bcl-2 Antibody (clone 124) LS-C121404
LifeSpan Biosciences
catalog: LS-C121404
mouse monoclonal (124)
reactivity:
human
application:
immunohistochemistry
,
immunohistochemistry - paraffin section
,
immunohistochemistry - frozen section
quantity:
price:
to the supplier
BCL2 / Bcl-2 Antibody (phospho-Thr56) LS-C125164
LifeSpan Biosciences
catalog: LS-C125164
pigs
polyclonal
reactivity:
human
modification: phosphorylated
application:
ELISA
quantity:
price:
to the supplier
BCL2 / Bcl-2 Antibody (clone Bcl-2/100) LS-C134742
LifeSpan Biosciences
catalog: LS-C134742
mouse monoclonal (Bcl-2/100)
reactivity:
human
application:
western blot
,
immunohistochemistry
,
flow cytometry
,
immunohistochemistry - paraffin section
quantity:
price:
to the supplier
BCL2 / Bcl-2 Antibody (clone Bcl-2/100, Biotin) LS-C134743
LifeSpan Biosciences
catalog: LS-C134743
mouse monoclonal (Bcl-2/100)
reactivity:
human
conjugate: biotin
application:
western blot
,
immunohistochemistry
,
flow cytometry
,
immunohistochemistry - paraffin section
Flow cytometry of BCL2 / Bcl-2 antibody This image was taken for the unconjugated form of this product. Other forms have not been tested.
quantity:
price:
to the supplier
BCL2 / Bcl-2 Antibody (clone Bcl-2/100, FITC) LS-C134744
LifeSpan Biosciences
catalog: LS-C134744
mouse monoclonal (Bcl-2/100)
reactivity:
human
conjugate: FITC
application:
western blot
,
immunohistochemistry
,
flow cytometry
,
immunohistochemistry - paraffin section
quantity:
price:
to the supplier
BCL2 / Bcl-2 Antibody (clone Bcl-2/100, RPE) LS-C134745
LifeSpan Biosciences
catalog: LS-C134745
mouse monoclonal (Bcl-2/100)
reactivity:
human
conjugate: RPE
application:
western blot
,
immunohistochemistry
,
flow cytometry
,
immunohistochemistry - paraffin section
quantity:
price:
to the supplier
BCL2 / Bcl-2 Antibody (aa1-195) LS-C137578
LifeSpan Biosciences
catalog: LS-C137578
mouse monoclonal
reactivity:
human
application:
western blot
,
ELISA
quantity:
price:
to the supplier
BCL2 / Bcl-2 Antibody (clone AT1B5) LS-C139543
LifeSpan Biosciences
catalog: LS-C139543
mouse monoclonal (AT1B5)
reactivity:
human
application:
western blot
,
ELISA
,
immunocytochemistry
quantity:
price:
to the supplier
BCL2 / Bcl-2 Antibody (aa41-54) LS-C148227
LifeSpan Biosciences
catalog: LS-C148227
domestic rabbit polyclonal
reactivity:
human
application:
western blot
,
immunohistochemistry
,
immunoprecipitation
,
immunohistochemistry - paraffin section
,
immunohistochemistry - frozen section
quantity:
price:
to the supplier
BCL2 / Bcl-2 Antibody (aa41-54) LS-C148228
LifeSpan Biosciences
catalog: LS-C148228
domestic rabbit polyclonal
reactivity:
human
application:
western blot
,
immunohistochemistry
,
immunoprecipitation
,
immunohistochemistry - paraffin section
,
immunohistochemistry - frozen section
quantity:
price:
to the supplier
BCL2 / Bcl-2 Antibody (aa67-86) LS-C148229
LifeSpan Biosciences
catalog: LS-C148229
domestic rabbit polyclonal
reactivity:
human
,
mouse
application:
western blot
,
immunohistochemistry
,
immunoprecipitation
,
immunohistochemistry - paraffin section
,
immunohistochemistry - frozen section
quantity:
price:
to the supplier
BCL2 / Bcl-2 Antibody (aa67-86) LS-C148230
LifeSpan Biosciences
catalog: LS-C148230
domestic rabbit polyclonal
reactivity:
human
,
mouse
application:
western blot
,
immunohistochemistry
,
immunoprecipitation
,
immunohistochemistry - paraffin section
,
immunohistochemistry - frozen section
quantity:
price:
to the supplier
BCL2 / Bcl-2 Antibody (aa61-76) LS-C148231
LifeSpan Biosciences
catalog: LS-C148231
domestic rabbit polyclonal
reactivity:
human
application:
western blot
,
immunohistochemistry
,
immunoprecipitation
,
immunohistochemistry - paraffin section
,
immunohistochemistry - frozen section
quantity:
price:
to the supplier
BCL2 / Bcl-2 Antibody (N-term, clone 13G6.D3, Preservative Free) LS-C149224
LifeSpan Biosciences
catalog: LS-C149224
mouse polyclonal (13G6.D3)
reactivity:
human
application:
western blot
,
ELISA
quantity:
price:
to the supplier
BCL2 / Bcl-2 Antibody (clone 10C2) LS-C149462
LifeSpan Biosciences
catalog: LS-C149462
mouse monoclonal (10C2)
reactivity:
human
,
mouse
application:
western blot
,
ELISA
quantity:
price:
to the supplier
IHC-plus™ BCL2 / Bcl-2 Antibody (clone 11C5) LS-B7085
LifeSpan Biosciences
catalog: LS-B7085
mouse monoclonal (11C5)
reactivity:
human
application:
western blot
,
ELISA
,
immunohistochemistry
,
immunoprecipitation
,
immunohistochemistry - paraffin section
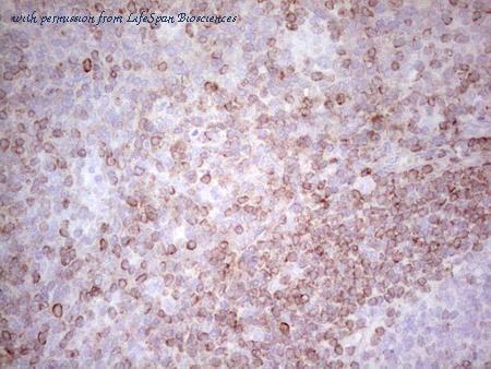
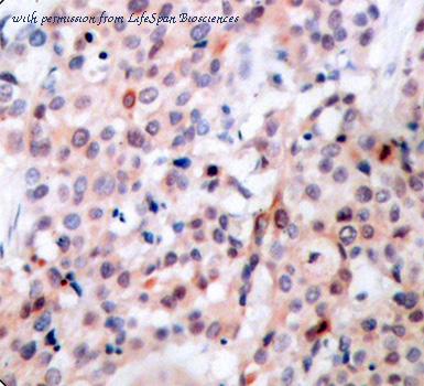
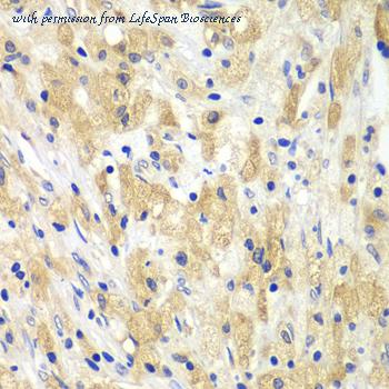
Anti-BCL2 / Bcl-2 antibody IHC of human colon, lymphocytes. Immunohistochemistry of formalin-fixed, paraffin-embedded tissue after heat-induced antigen retrieval. Antibody dilution 1:100.
quantity:
price:
to the supplier
BCL2 / Bcl-2 Antibody (N-term, Preservative Free) LS-C150323
LifeSpan Biosciences
catalog: LS-C150323
domestic rabbit polyclonal
reactivity:
human
application:
western blot
,
ELISA
quantity:
price:
to the supplier
BCL2 / Bcl-2 Antibody (C-term, Preservative Free) LS-C150324
LifeSpan Biosciences
catalog: LS-C150324
domestic rabbit polyclonal
reactivity:
human
conjugate: biotin
application:
western blot
,
ELISA
quantity:
price:
to the supplier
BCL2 / Bcl-2 Antibody (aa86-114) LS-C156771
LifeSpan Biosciences
catalog: LS-C156771
domestic rabbit polyclonal
reactivity:
human
application:
western blot
BCL2 Antibody western blot of Jurkat cell line lysates (35 ug/lane). The BCL2 antibody detected the BCL2 protein (arrow).
quantity:
price:
to the supplier
BCL2 / Bcl-2 Antibody (phospho-Thr56) LS-C157577
LifeSpan Biosciences
catalog: LS-C157577
domestic rabbit polyclonal
reactivity:
human
modification: phosphorylated
Dot blot of bcl-2 Antibody (Phospho T56) Phospho-specific antibody on nitrocellulose membrane. 50ng of Phospho-peptide or Non Phospho-peptide per dot were adsorbed. Antibody working concentrations are 0.6ug per ml.
quantity:
price:
to the supplier
BCL2 / Bcl-2 Antibody (aa144-171) LS-C157578
LifeSpan Biosciences
catalog: LS-C157578
domestic rabbit polyclonal
reactivity:
human
application:
western blot
BCL2 Antibody western blot of MDA-MB453 cell line lysates (35 ug/lane). The BCL2 antibody detected the BCL2 protein (arrow).
quantity:
price:
to the supplier
BCL2 / Bcl-2 Antibody (aa87-116) LS-C157579
LifeSpan Biosciences
catalog: LS-C157579
domestic rabbit polyclonal
reactivity:
human
application:
western blot
BCL2 Antibody pre-incubated without(lane 1) and with(lane 2) blocking peptide in 293 cell line lysate. BCL2 Antibody (arrow) was detected using the purified antibody.
quantity:
price:
to the supplier
BCL2 / Bcl-2 Antibody (phospho-Ser70) LS-C159170
LifeSpan Biosciences
catalog: LS-C159170
domestic rabbit polyclonal
reactivity:
human
modification: phosphorylated
application:
western blot
Dot blot of Phospho-bcl-2-S70 Antibody Phospho-specific antibody on nitrocellulose membrane. 50ng of Phospho-peptide or Non Phospho-peptide per dot were adsorbed. Antibody working concentrations are 0.6ug per ml.
Western blot of extracts from Jurkat cells,untreated or treated with paclitaxel,using phospho-Bcl2(Ser70)(left) or Bcl2 antibody(right).
quantity:
price:
to the supplier
BCL2 / Bcl-2 Antibody (clone 8E+12) LS-C169228
LifeSpan Biosciences
catalog: LS-C169228
mouse monoclonal (8E+12)
reactivity:
human
application:
ELISA
,
immunohistochemistry
,
immunocytochemistry
,
flow cytometry
quantity:
price:
to the supplier
BCL2 / Bcl-2 Antibody (aa41-54, clone BL-2) LS-C171045
LifeSpan Biosciences
catalog: LS-C171045
mouse monoclonal (BL-2)
reactivity:
human
application:
western blot
,
immunohistochemistry
,
immunocytochemistry
,
immunohistochemistry - paraffin section
,
immunohistochemistry - frozen section
This image was taken for the unconjugated form of this product. Other forms have not been tested.
quantity:
price:
to the supplier
BCL2 / Bcl-2 Antibody (aa41-54, clone BL-2, Magnetic beads) LS-C171046
LifeSpan Biosciences
catalog: LS-C171046
mouse monoclonal (BL-2)
reactivity:
human
conjugate: Bead
application:
immunoprecipitation
This image was taken for the unconjugated form of this product. Other forms have not been tested.
quantity:
price:
to the supplier
BCL2 / Bcl-2 Antibody (aa41-54, clone BL-2, Sepharose) LS-C171047
LifeSpan Biosciences
catalog: LS-C171047
mouse monoclonal (BL-2)
reactivity:
human
application:
immunoprecipitation
This image was taken for the unconjugated form of this product. Other forms have not been tested.
quantity:
price:
to the supplier
BCL2 / Bcl-2 Antibody (Pro65) LS-C176387
LifeSpan Biosciences
catalog: LS-C176387
domestic rabbit polyclonal
reactivity:
human
modification: phosphorylated
application:
western blot
,
immunohistochemistry
,
immunocytochemistry
,
immunohistochemistry - paraffin section
Western blot of BCL-2 (P65) pAb in extracts from PC12 cells.
IHC of BCL-2 (P65) pAb in paraffin-embedded human colon carcinoma tissue.
quantity:
price:
to the supplier
BCL2 / Bcl-2 Antibody (phospho-Ser70) LS-C177877
LifeSpan Biosciences
catalog: LS-C177877
domestic rabbit polyclonal
reactivity:
human
modification: phosphorylated
application:
western blot
,
immunohistochemistry
,
immunoprecipitation
quantity:
price:
to the supplier
BCL2 / Bcl-2 Antibody (phospho-Thr56) LS-C177878
LifeSpan Biosciences
catalog: LS-C177878
domestic rabbit polyclonal
reactivity:
human
modification: phosphorylated
application:
western blot
,
immunohistochemistry
,
immunocytochemistry
,
immunoprecipitation
,
immunohistochemistry - paraffin section
IHC of p-BCL-2 (T56) pAb in paraffin-embedded human breast carcinoma tissue.
quantity:
price:
to the supplier
BCL2 / Bcl-2 Antibody (clone 83-8B) LS-C179288
LifeSpan Biosciences
catalog: LS-C179288
mouse monoclonal (83-8B)
reactivity:
human
,
rat
application:
western blot
,
flow cytometry
quantity:
price:
to the supplier
BCL2 / Bcl-2 Antibody (clone 10C4) LS-C179685
LifeSpan Biosciences
catalog: LS-C179685
mouse monoclonal (10C4)
reactivity:
human
,
mouse
application:
western blot
quantity:
price:
to the supplier
BCL2 / Bcl-2 Antibody (aa61-76, clone G1/G1-4) LS-C189651
LifeSpan Biosciences
catalog: LS-C189651
mouse monoclonal (G1/G1-4)
reactivity:
human
,
mouse
application:
western blot
,
immunocytochemistry
,
immunoprecipitation
quantity:
price:
to the supplier
BCL2 / Bcl-2 Antibody (aa44, clone GF1) LS-C190173
LifeSpan Biosciences
catalog: LS-C190173
mouse monoclonal (GF1)
reactivity:
human
application:
western blot
,
immunohistochemistry
,
immunoprecipitation
,
flow cytometry
quantity:
price:
to the supplier
BCL2 / Bcl-2 Antibody (phospho-Ser87) LS-C198675
LifeSpan Biosciences
catalog: LS-C198675
domestic rabbit polyclonal
reactivity:
human
modification: phosphorylated
application:
western blot
,
immunohistochemistry
,
immunohistochemistry - paraffin section
Immunohistochemistry analysis of paraffin-embedded human thyroid gland, using BCL-2 (Phospho-Ser87) Antibody. The picture on the right is blocked with the phospho peptide.
Western blot analysis of lysates from HeLa cells treated with nocodazole 1ug/ml 18h, using BCL-2 (Phospho-Ser87) Antibody. The lane on the right is blocked with the phospho peptide.
quantity:
price:
to the supplier
BCL2 / Bcl-2 Antibody (phospho-Thr69) LS-C198676
LifeSpan Biosciences
catalog: LS-C198676
domestic rabbit polyclonal
reactivity:
human
modification: phosphorylated
application:
immunohistochemistry
,
immunocytochemistry
,
immunohistochemistry - paraffin section
Immunofluorescence analysis of HeLa cells, using BCL-2 (Phospho-Thr69) Antibody. The picture on the right is blocked with the phospho peptide.
Immunohistochemistry analysis of paraffin-embedded human colon carcinoma, using BCL-2 (Phospho-Thr69) Antibody. The picture on the right is blocked with the phospho peptide.
quantity:
price:
to the supplier
BCL2 / Bcl-2 Antibody (clone 124, Concentrated) LS-C202808
LifeSpan Biosciences
catalog: LS-C202808
mouse monoclonal (124)
reactivity:
human
application:
immunohistochemistry
,
immunohistochemistry - paraffin section
,
immunohistochemistry - frozen section
quantity:
price:
to the supplier
BCL2 / Bcl-2 Antibody (clone E17, Concentrated) LS-C202809
LifeSpan Biosciences
catalog: LS-C202809
domestic rabbit monoclonal (E17)
reactivity:
human
application:
immunohistochemistry
,
immunohistochemistry - paraffin section
,
immunohistochemistry - frozen section
quantity:
price:
to the supplier
BCL2 / Bcl-2 Antibody (aa49-76) LS-C203810
LifeSpan Biosciences
catalog: LS-C203810
domestic rabbit polyclonal
reactivity:
human
application:
western blot
Bcl-2 Antibody (Center Ser70) western blot of HeLa cell line lysates (35 ug/lane). The Bcl-2 (Ser70) antibody detected the Bcl-2 (Ser70) protein (arrow).
quantity:
price:
to the supplier
BCL2 / Bcl-2 Antibody (aa41-54, clone Bcl-2/100, APC) LS-C204405
LifeSpan Biosciences
catalog: LS-C204405
mouse monoclonal (Bcl-2/100)
reactivity:
human
conjugate: APC
application:
western blot
,
immunocytochemistry
,
immunoprecipitation
,
flow cytometry
,
immunohistochemistry - paraffin section
,
immunohistochemistry - frozen section
quantity:
price:
to the supplier
BCL2 / Bcl-2 Antibody (aa41-54, clone Bcl-2/100, FITC) LS-C204434
LifeSpan Biosciences
catalog: LS-C204434
mouse monoclonal (Bcl-2/100)
reactivity:
human
conjugate: FITC
application:
western blot
,
immunocytochemistry
,
immunoprecipitation
,
flow cytometry
,
immunohistochemistry - paraffin section
,
immunohistochemistry - frozen section
quantity:
price:
to the supplier
BCL2 / Bcl-2 Antibody (aa41-54, clone Bcl-2/100, PE) LS-C204472
LifeSpan Biosciences
catalog: LS-C204472
mouse monoclonal (Bcl-2/100)
reactivity:
human
conjugate: PE
application:
western blot
,
immunocytochemistry
,
immunoprecipitation
,
flow cytometry
,
immunohistochemistry - paraffin section
,
immunohistochemistry - frozen section
quantity:
price:
to the supplier
BCL2 / Bcl-2 Antibody (aa75-110, AP) LS-C252445
LifeSpan Biosciences
catalog: LS-C252445
domestic rabbit polyclonal
reactivity:
human
conjugate: AP
application:
western blot
,
ELISA
,
immunohistochemistry
,
immunocytochemistry
,
immunoprecipitation
,
flow cytometry
quantity:
price:
to the supplier
BCL2 / Bcl-2 Antibody (aa75-110, Azide-free, HRP) LS-C252446
LifeSpan Biosciences
catalog: LS-C252446
domestic rabbit polyclonal
reactivity:
human
conjugate: HRP
application:
western blot
,
ELISA
,
immunohistochemistry
,
immunocytochemistry
,
immunoprecipitation
,
flow cytometry
quantity:
price:
to the supplier
BCL2 / Bcl-2 Antibody (aa75-110, FITC) LS-C252447
LifeSpan Biosciences
catalog: LS-C252447
domestic rabbit polyclonal
reactivity:
human
conjugate: FITC
application:
western blot
,
ELISA
,
immunohistochemistry
,
immunocytochemistry
,
immunoprecipitation
,
flow cytometry
quantity:
price:
to the supplier
BCL2 / Bcl-2 Antibody (aa75-110, APC) LS-C252448
LifeSpan Biosciences
catalog: LS-C252448
domestic rabbit polyclonal
reactivity:
human
conjugate: APC
application:
western blot
,
ELISA
,
immunohistochemistry
,
immunocytochemistry
,
immunoprecipitation
,
flow cytometry
quantity:
price:
to the supplier
BCL2 / Bcl-2 Antibody (aa75-110, PE) LS-C252449
LifeSpan Biosciences
catalog: LS-C252449
domestic rabbit polyclonal
reactivity:
human
conjugate: PE
application:
western blot
,
ELISA
,
immunohistochemistry
,
immunocytochemistry
,
immunoprecipitation
,
flow cytometry
quantity:
price:
to the supplier
BCL2 / Bcl-2 Antibody (phospho-Thr56, APC) LS-C252450
LifeSpan Biosciences
catalog: LS-C252450
domestic rabbit polyclonal
reactivity:
human
conjugate: APC
modification: phosphorylated
application:
ELISA
quantity:
price:
to the supplier
BCL2 / Bcl-2 Antibody (phospho-Thr56, AP) LS-C252451
LifeSpan Biosciences
catalog: LS-C252451
domestic rabbit polyclonal
reactivity:
human
conjugate: AP
modification: phosphorylated
application:
ELISA
quantity:
price:
to the supplier
BCL2 / Bcl-2 Antibody (phospho-Thr56, Biotin) LS-C252452
LifeSpan Biosciences
catalog: LS-C252452
domestic rabbit polyclonal
reactivity:
human
conjugate: biotin
modification: phosphorylated
application:
ELISA
quantity:
price:
to the supplier
BCL2 / Bcl-2 Antibody (phospho-Thr56, FITC) LS-C252453
LifeSpan Biosciences
catalog: LS-C252453
domestic rabbit polyclonal
reactivity:
human
conjugate: FITC
modification: phosphorylated
application:
ELISA
quantity:
price:
to the supplier
BCL2 / Bcl-2 Antibody (phospho-Thr56, Azide-free, HRP) LS-C252454
LifeSpan Biosciences
catalog: LS-C252454
domestic rabbit polyclonal
reactivity:
human
conjugate: HRP
modification: phosphorylated
application:
ELISA
quantity:
price:
to the supplier
BCL2 / Bcl-2 Antibody (aa86-114, AP) LS-C252462
LifeSpan Biosciences
catalog: LS-C252462
domestic rabbit polyclonal
reactivity:
human
conjugate: AP
application:
western blot
,
ELISA
quantity:
price:
to the supplier
BCL2 / Bcl-2 Antibody (aa86-114, FITC) LS-C252463
LifeSpan Biosciences
catalog: LS-C252463
domestic rabbit polyclonal
reactivity:
human
conjugate: FITC
application:
western blot
,
ELISA
quantity:
price:
to the supplier
BCL2 / Bcl-2 Antibody (aa86-114, APC) LS-C252464
LifeSpan Biosciences
catalog: LS-C252464
domestic rabbit polyclonal
reactivity:
human
conjugate: APC
application:
western blot
,
ELISA
quantity:
price:
to the supplier
BCL2 / Bcl-2 Antibody (aa86-114, Azide-free, HRP) LS-C252465
LifeSpan Biosciences
catalog: LS-C252465
domestic rabbit polyclonal
reactivity:
human
conjugate: HRP
application:
western blot
,
ELISA
quantity:
price:
to the supplier
BCL2 / Bcl-2 Antibody (aa86-114, PE) LS-C252466
LifeSpan Biosciences
catalog: LS-C252466
domestic rabbit polyclonal
reactivity:
human
conjugate: PE
application:
western blot
,
ELISA
quantity:
price:
to the supplier
BCL2 / Bcl-2 Antibody (aa144-171, AP) LS-C252467
LifeSpan Biosciences
catalog: LS-C252467
domestic rabbit polyclonal
reactivity:
human
conjugate: AP
application:
western blot
,
ELISA
quantity:
price:
to the supplier
BCL2 / Bcl-2 Antibody (aa144-171, FITC) LS-C252468
LifeSpan Biosciences
catalog: LS-C252468
domestic rabbit polyclonal
reactivity:
human
conjugate: FITC
application:
western blot
,
ELISA
quantity:
price:
to the supplier
BCL2 / Bcl-2 Antibody (aa144-171, APC) LS-C252469
LifeSpan Biosciences
catalog: LS-C252469
domestic rabbit polyclonal
reactivity:
human
conjugate: APC
application:
western blot
,
ELISA
quantity:
price:
to the supplier
BCL2 / Bcl-2 Antibody (aa144-171, Azide-free, HRP) LS-C252470
LifeSpan Biosciences
catalog: LS-C252470
domestic rabbit polyclonal
reactivity:
human
conjugate: HRP
application:
western blot
,
ELISA
quantity:
price:
to the supplier
BCL2 / Bcl-2 Antibody (aa144-171, PE) LS-C252471
LifeSpan Biosciences
catalog: LS-C252471
domestic rabbit polyclonal
reactivity:
human
conjugate: PE
application:
western blot
,
ELISA
quantity:
price:
to the supplier
BCL2 / Bcl-2 Antibody (aa87-116, AP) LS-C252472
LifeSpan Biosciences
catalog: LS-C252472
domestic rabbit polyclonal
reactivity:
human
conjugate: AP
application:
western blot
,
ELISA
quantity:
price:
to the supplier
BCL2 / Bcl-2 Antibody (aa87-116, FITC) LS-C252473
LifeSpan Biosciences
catalog: LS-C252473
domestic rabbit polyclonal
reactivity:
human
conjugate: FITC
application:
western blot
,
ELISA
quantity:
price:
to the supplier
BCL2 / Bcl-2 Antibody (aa87-116, APC) LS-C252474
LifeSpan Biosciences
catalog: LS-C252474
domestic rabbit polyclonal
reactivity:
human
conjugate: APC
application:
western blot
,
ELISA
quantity:
price:
to the supplier
BCL2 / Bcl-2 Antibody (aa87-116, Azide-free, HRP) LS-C252475
LifeSpan Biosciences
catalog: LS-C252475
domestic rabbit polyclonal
reactivity:
human
conjugate: HRP
application:
western blot
,
ELISA
quantity:
price:
to the supplier
BCL2 / Bcl-2 Antibody (aa87-116, PE) LS-C252476
LifeSpan Biosciences
catalog: LS-C252476
domestic rabbit polyclonal
reactivity:
human
conjugate: PE
application:
western blot
,
ELISA
quantity:
price:
to the supplier
BCL2 / Bcl-2 Antibody (phospho-Ser70, APC) LS-C252477
LifeSpan Biosciences
catalog: LS-C252477
domestic rabbit polyclonal
reactivity:
human
conjugate: APC
modification: phosphorylated
application:
ELISA
quantity:
price:
to the supplier
BCL2 / Bcl-2 Antibody (phospho-Ser70, AP) LS-C252478
LifeSpan Biosciences
catalog: LS-C252478
domestic rabbit polyclonal
reactivity:
human
conjugate: AP
modification: phosphorylated
application:
ELISA
quantity:
price:
to the supplier
BCL2 / Bcl-2 Antibody (phospho-Ser70, Biotin) LS-C252479
LifeSpan Biosciences
catalog: LS-C252479
domestic rabbit polyclonal
reactivity:
human
conjugate: biotin
modification: phosphorylated
application:
ELISA
quantity:
price:
to the supplier
BCL2 / Bcl-2 Antibody (phospho-Ser70, FITC) LS-C252480
LifeSpan Biosciences
catalog: LS-C252480
domestic rabbit polyclonal
reactivity:
human
conjugate: FITC
modification: phosphorylated
application:
ELISA
quantity:
price:
to the supplier
BCL2 / Bcl-2 Antibody (phospho-Ser70, Azide-free, HRP) LS-C252482
LifeSpan Biosciences
catalog: LS-C252482
domestic rabbit polyclonal
reactivity:
human
conjugate: HRP
modification: phosphorylated
application:
ELISA
quantity:
price:
to the supplier
BCL2 / Bcl-2 Antibody (phospho-Ser70, PE) LS-C252492
LifeSpan Biosciences
catalog: LS-C252492
domestic rabbit polyclonal
reactivity:
human
conjugate: PE
modification: phosphorylated
application:
ELISA
quantity:
price:
to the supplier
BCL2 / Bcl-2 Antibody (phospho-Thr56, PE) LS-C252951
LifeSpan Biosciences
catalog: LS-C252951
domestic rabbit polyclonal
reactivity:
human
conjugate: PE
modification: phosphorylated
application:
ELISA
quantity:
price:
to the supplier
BCL2 / Bcl-2 Antibody LS-C285466
LifeSpan Biosciences
catalog: LS-C285466
domestic rabbit polyclonal
reactivity:
human
,
mouse
application:
western blot
,
ELISA
,
immunohistochemistry
quantity:
price:
to the supplier
BCL2 / Bcl-2 Antibody (aa50-100) LS-C290346
LifeSpan Biosciences
catalog: LS-C290346
domestic rabbit polyclonal
reactivity:
human
application:
immunohistochemistry
,
immunoprecipitation
quantity:
price:
to the supplier
BCL2 / Bcl-2 Antibody (phospho-Ser70) LS-C291219
LifeSpan Biosciences
catalog: LS-C291219
domestic rabbit polyclonal
reactivity:
human
modification: phosphorylated
application:
western blot
quantity:
price:
to the supplier
BCL2 / Bcl-2 Antibody (aa2-211) LS-C292985
LifeSpan Biosciences
catalog: LS-C292985
domestic rabbit polyclonal
reactivity:
human
application:
western blot
,
immunocytochemistry
,
immunoprecipitation
Knockout Varification: Lane 1: Wild-type Jurkat cell lysate; Lane 2: Bcl2 knockout Jurkat cell lysate; Predicted MW: 26kDa ; Observed MW: 28kDa; Primary Ab: 3µg/ml Rabbit Anti-Human Bcl2 Ab; Second Ab: 0.2µg/mL HRP-Linked Caprine Anti-Rabbit IgG Polyclonal Antibody;
quantity:
price:
to the supplier
BCL2 / Bcl-2 Antibody (aa2-208) LS-C292988
LifeSpan Biosciences
catalog: LS-C292988
domestic rabbit polyclonal
reactivity:
human
,
mouse
application:
western blot
,
immunocytochemistry
,
immunoprecipitation
Knockout Varification: Lane 1: Wild-type HL-60 cell lysate; Lane 2: Bcl2 knockout HL-60 cell lysate; Predicted MW: 22,26kDa ; Observed MW: 26kDa; Primary Ab: 5µg/ml Rabbit Anti-Mouse Bcl2 Antibody; Second Ab: 0.2µg/mL HRP-Linked Caprine Anti-Rabbit IgG Polyclonal Antibody;
quantity:
price:
to the supplier
BCL2 / Bcl-2 Antibody (aa2-211, Biotin) LS-C297408
LifeSpan Biosciences
catalog: LS-C297408
domestic rabbit polyclonal
reactivity:
human
conjugate: biotin
application:
western blot
Western blot of recombinant BCL2 / Bcl-2. This image was taken for the unconjugated form of this product. Other forms have not been tested.
quantity:
price:
to the supplier
BCL2 / Bcl-2 Antibody (aa2-208, Biotin) LS-C297410
LifeSpan Biosciences
catalog: LS-C297410
domestic rabbit polyclonal
reactivity:
human
,
mouse
conjugate: biotin
application:
western blot
Western blot of recombinant BCL2 / Bcl-2. This image was taken for the unconjugated form of this product. Other forms have not been tested.
quantity:
price:
to the supplier
BCL2 / Bcl-2 Antibody (aa2-211, FITC) LS-C301765
LifeSpan Biosciences
catalog: LS-C301765
domestic rabbit polyclonal
reactivity:
human
conjugate: FITC
application:
western blot
Western blot of recombinant BCL2 / Bcl-2. This image was taken for the unconjugated form of this product. Other forms have not been tested.
quantity:
price:
to the supplier
BCL2 / Bcl-2 Antibody (aa2-208, FITC) LS-C301768
LifeSpan Biosciences
catalog: LS-C301768
domestic rabbit polyclonal
reactivity:
human
,
mouse
conjugate: FITC
application:
western blot
Western blot of recombinant BCL2 / Bcl-2. This image was taken for the unconjugated form of this product. Other forms have not been tested.
quantity:
price:
to the supplier
BCL2 / Bcl-2 Antibody LS-C311948
LifeSpan Biosciences
catalog: LS-C311948
mouse monoclonal (BSB-5 (BCL2/A4))
reactivity:
human
application:
immunohistochemistry - paraffin section
,
immunohistochemistry - frozen section
IHC of bcl-2 on FFPE Tonsil tissue.
quantity:
price:
to the supplier
BCL2 / Bcl-2 Antibody (aa1-211) LS-C313452
LifeSpan Biosciences
catalog: LS-C313452
domestic rabbit polyclonal
reactivity:
human
application:
western blot
,
ELISA
,
neutralization
,
immunoprecipitation
Western blot - Anti-human BCL-2 Antibody
quantity:
price:
to the supplier
BCL2 / Bcl-2 Antibody (FITC) LS-C316776
LifeSpan Biosciences
catalog: LS-C316776
domestic rabbit polyclonal
reactivity:
human
,
mouse
conjugate: FITC
application:
western blot
,
ELISA
,
immunohistochemistry
quantity:
price:
to the supplier
BCL2 / Bcl-2 Antibody (HRP) LS-C316779
LifeSpan Biosciences
catalog: LS-C316779
domestic rabbit polyclonal
reactivity:
human
,
mouse
conjugate: HRP
application:
western blot
,
ELISA
,
immunohistochemistry
quantity:
price:
to the supplier
BCL2 / Bcl-2 Antibody (Biotin) LS-C317104
LifeSpan Biosciences
catalog: LS-C317104
domestic rabbit polyclonal
reactivity:
human
,
mouse
conjugate: biotin
application:
western blot
,
ELISA
,
immunohistochemistry
quantity:
price:
to the supplier
BCL2 / Bcl-2 Antibody (phospho-Thr56) LS-C319803
LifeSpan Biosciences
catalog: LS-C319803
domestic rabbit polyclonal
reactivity:
human
application:
ELISA
quantity:
price:
to the supplier
BCL2 / Bcl-2 Antibody (aa86-114) LS-C319804
LifeSpan Biosciences
catalog: LS-C319804
domestic rabbit polyclonal
reactivity:
human
application:
western blot
,
ELISA
quantity:
price:
to the supplier
BCL2 / Bcl-2 Antibody (aa144-171) LS-C319805
LifeSpan Biosciences
catalog: LS-C319805
domestic rabbit polyclonal
reactivity:
human
application:
western blot
,
ELISA
quantity:
price:
to the supplier
BCL2 / Bcl-2 Antibody (aa87-116) LS-C319806
LifeSpan Biosciences
catalog: LS-C319806
domestic rabbit polyclonal
reactivity:
human
application:
western blot
,
ELISA
quantity:
price:
to the supplier
BCL2 / Bcl-2 Antibody (aa75-110) LS-C319807
LifeSpan Biosciences
catalog: LS-C319807
domestic rabbit polyclonal
reactivity:
human
application:
western blot
,
ELISA
,
immunohistochemistry
,
immunocytochemistry
,
immunoprecipitation
quantity:
price:
to the supplier
BCL2 / Bcl-2 Antibody (phospho-Ser70) LS-C319809
LifeSpan Biosciences
catalog: LS-C319809
domestic rabbit polyclonal
reactivity:
human
application:
ELISA
quantity:
price:
to the supplier
BCL2 / Bcl-2 Antibody LS-C330836
LifeSpan Biosciences
catalog: LS-C330836
domestic rabbit polyclonal
reactivity:
human
application:
western blot
,
immunohistochemistry
,
immunocytochemistry
,
immunoprecipitation
Western blot analysis of extracts of various cell lines, using BCL2 antibody at 1:500 dilution. The secondary antibody used was an HRP Goat Anti-Rabbit IgG (H+L) at 1:10000 dilution. Lysates were loaded 25ug per lane and 3% nonfat dry milk in TBST was used for blocking. An ECL Kit was used for detection and the exposure time was 90s.
Immunohistochemistry of paraffin-embedded human lung cancer tissue.
Immunofluorescence analysis of A549 cells.
quantity:
price:
to the supplier
BCL2 / Bcl-2 Antibody LS-C332263
LifeSpan Biosciences
catalog: LS-C332263
domestic rabbit polyclonal
reactivity:
human
application:
western blot
,
immunohistochemistry
,
immunocytochemistry
Western blot analysis of extracts of various cell lines.
Immunohistochemistry of paraffin-embedded human colon tissue.
Immunofluorescence analysis of MCF7 cells.
quantity:
price:
to the supplier
BCL2 / Bcl-2 Antibody (phospho-Ser70) LS-C335960
LifeSpan Biosciences
catalog: LS-C335960
domestic rabbit polyclonal
reactivity:
human
application:
immunohistochemistry
Immunohistochemical analysis of paraffin-embedded human breast carcinoma.
quantity:
price:
to the supplier
BCL2 / Bcl-2 Antibody (phospho-Thr56) LS-C335961
LifeSpan Biosciences
catalog: LS-C335961
domestic rabbit polyclonal
reactivity:
human
application:
immunohistochemistry
Immunohistochemical analysis of paraffin-embedded human breast carcinoma tissue.
quantity:
price:
to the supplier
BCL2 / Bcl-2 Antibody (clone OTI2E5) LS-C338636
LifeSpan Biosciences
catalog: LS-C338636
mouse monoclonal (OTI2E5)
reactivity:
human
application:
western blot
,
immunohistochemistry
,
immunohistochemistry - paraffin section
Western blot of extracts (35ug) from 9 different cell lines by using anti-BCL2 monoclonal antibody at 1:200 (HepG2: human; HeLa: human; SVT2: mouse; A549: human; COS7: monkey; Jurkat: human; MDCK: canine; PC12: rat; MCF7: human).
IHC of paraffin-embedded Human lymphoma tissue using anti-BCL2 mouse monoclonal antibody. (Heat-induced epitope retrieval by 1 mM EDTA in 10mM Tris, pH8.5, 120°C for 3min).
quantity:
price:
to the supplier
BCL2 / Bcl-2 Antibody (clone OTI1E9) LS-C338651
LifeSpan Biosciences
catalog: LS-C338651
mouse monoclonal (OTI1E9)
reactivity:
human
application:
western blot
HEK293T cells were transfected with the pCMV6-ENTRY control (Left lane) or pCMV6-ENTRY BCL2 (Right lane) cDNA for 48 hrs and lysed. Equivalent amounts of cell lysates (5 ug per lane) were separated by SDS-PAGE and immunoblotted with anti-BCL2.
quantity:
price:
to the supplier
BCL2 / Bcl-2 Antibody (clone OTI9D3) LS-C340025
LifeSpan Biosciences
catalog: LS-C340025
mouse monoclonal (OTI9D3)
reactivity:
human
application:
western blot
,
immunohistochemistry
,
immunohistochemistry - paraffin section
HEK293T cells were transfected with the pCMV6-ENTRY control (Left lane) or pCMV6-ENTRY BCL2 (Right lane) cDNA for 48 hrs and lysed. Equivalent amounts of cell lysates (5 ug per lane) were separated by SDS-PAGE and immunoblotted with anti-BCL2.
IHC of paraffin-embedded Adenocarcinoma of Human breast tissue using anti-BCL2 mouse monoclonal antibody. (Heat-induced epitope retrieval by 1 mM EDTA in 10mM Tris, pH8.5, 120°C for 3min).
quantity:
price:
to the supplier
BCL2 / Bcl-2 Antibody (clone OTI10C7) LS-C340027
LifeSpan Biosciences
catalog: LS-C340027
mouse monoclonal (OTI10C7)
reactivity:
human
application:
western blot
,
immunohistochemistry
,
immunohistochemistry - paraffin section
Western blot of extracts (35ug) from 9 different cell lines by using anti-BCL2 monoclonal antibody at 1:200 (HepG2: human; HeLa: human; SVT2: mouse; A549: human; COS7: monkey; Jurkat: human; MDCK: canine; PC12: rat; MCF7: human).
IHC of paraffin-embedded Human lymphoma tissue using anti-BCL2 mouse monoclonal antibody. (Heat-induced epitope retrieval by 1 mM EDTA in 10mM Tris, pH8.5, 120°C for 3min).
quantity:
price:
to the supplier
BCL2 / Bcl-2 Antibody (clone OTI7H9) LS-C340029
LifeSpan Biosciences
catalog: LS-C340029
mouse monoclonal (OTI7H9)
reactivity:
human
application:
western blot
,
immunohistochemistry
,
immunohistochemistry - paraffin section
Western blot of extracts (35ug) from 9 different cell lines by using anti-BCL2 monoclonal antibody at 1:200 (HepG2: human; HeLa: human; SVT2: mouse; A549: human; COS7: monkey; Jurkat: human; MDCK: canine; PC12: rat; MCF7: human).
IHC of paraffin-embedded Human tonsil using anti-BCL2 mouse monoclonal antibody. (Heat-induced epitope retrieval by 1 mM EDTA in 10mM Tris, pH8.5, 120°C for 3min).
quantity:
price:
to the supplier
BCL2 / Bcl-2 Antibody (clone OTI3H10) LS-C340031
LifeSpan Biosciences
catalog: LS-C340031
mouse monoclonal (OTI3H10)
reactivity:
human
application:
western blot
,
immunohistochemistry
,
immunohistochemistry - paraffin section
HEK293T cells were transfected with the pCMV6-ENTRY control (Left lane) or pCMV6-ENTRY BCL2 (Right lane) cDNA for 48 hrs and lysed. Equivalent amounts of cell lysates (5 ug per lane) were separated by SDS-PAGE and immunoblotted with anti-BCL2.
IHC of paraffin-embedded Human lymphoma tissue using anti-BCL2 mouse monoclonal antibody. (Heat-induced epitope retrieval by 1 mM EDTA in 10mM Tris, pH8.5, 120°C for 3min).
quantity:
price:
to the supplier
BCL2 / Bcl-2 Antibody (clone OTI1H1) LS-C340046
LifeSpan Biosciences
catalog: LS-C340046
mouse monoclonal (OTI1H1)
reactivity:
human
application:
western blot
HEK293T cells were transfected with the pCMV6-ENTRY control (Left lane) or pCMV6-ENTRY BCL2 (Right lane) cDNA for 48 hrs and lysed. Equivalent amounts of cell lysates (5 ug per lane) were separated by SDS-PAGE and immunoblotted with anti-BCL2.
quantity:
price:
to the supplier
BCL2 / Bcl-2 Antibody (clone OTI3B8) LS-C340047
LifeSpan Biosciences
catalog: LS-C340047
mouse monoclonal (OTI3B8)
reactivity:
human
application:
western blot
,
immunohistochemistry
,
immunohistochemistry - paraffin section
Western blot of extracts (35ug) from 9 different cell lines by using anti-BCL2 monoclonal antibody at 1:200 (HepG2: human; HeLa: human; SVT2: mouse; A549: human; COS7: monkey; Jurkat: human; MDCK: canine; PC12: rat; MCF7: human).
IHC of paraffin-embedded Human tonsil using anti-BCL2 mouse monoclonal antibody. (Heat-induced epitope retrieval by 1 mM EDTA in 10mM Tris, pH8.5, 120°C for 3min).
quantity:
price:
to the supplier
BCL2 / Bcl-2 Antibody (clone OTI5H4) LS-C340048
LifeSpan Biosciences
catalog: LS-C340048
mouse monoclonal (OTI5H4)
reactivity:
human
application:
western blot
HEK293T cells were transfected with the pCMV6-ENTRY control (Left lane) or pCMV6-ENTRY BCL2 (Right lane) cDNA for 48 hrs and lysed. Equivalent amounts of cell lysates (5 ug per lane) were separated by SDS-PAGE and immunoblotted with anti-BCL2.
quantity:
price:
to the supplier
BCL2 / Bcl-2 Antibody (clone OTI4C1) LS-C340049
LifeSpan Biosciences
catalog: LS-C340049
mouse monoclonal (OTI4C1)
reactivity:
human
application:
western blot
,
immunohistochemistry
,
immunohistochemistry - paraffin section
Western blot of extracts (35ug) from 9 different cell lines by using anti-BCL2 monoclonal antibody at 1:200 (HepG2: human; HeLa: human; SVT2: mouse; A549: human; COS7: monkey; Jurkat: human; MDCK: canine; PC12: rat; MCF7: human).
IHC of paraffin-embedded Human lymphoma tissue using anti-BCL2 mouse monoclonal antibody. (Heat-induced epitope retrieval by 1 mM EDTA in 10mM Tris, pH8.5, 120°C for 3min).
quantity:
price:
to the supplier
BCL2 / Bcl-2 Antibody (clone OTI5F8) LS-C340050
LifeSpan Biosciences
catalog: LS-C340050
mouse monoclonal (OTI5F8)
reactivity:
human
application:
western blot
HEK293T cells were transfected with the pCMV6-ENTRY control (Left lane) or pCMV6-ENTRY BCL2 (Right lane) cDNA for 48 hrs and lysed. Equivalent amounts of cell lysates (5 ug per lane) were separated by SDS-PAGE and immunoblotted with anti-BCL2.
quantity:
price:
to the supplier
BCL2 / Bcl-2 Antibody (C-term, Preservative Free, Biotin) LS-C342892
LifeSpan Biosciences
catalog: LS-C342892
domestic rabbit polyclonal
reactivity:
human
conjugate: biotin
application:
western blot
,
ELISA
quantity:
price:
to the supplier
BCL2 / Bcl-2 Antibody (Preservative Free, Biotin) LS-C343134
LifeSpan Biosciences
catalog: LS-C343134
domestic rabbit polyclonal
reactivity:
human
conjugate: biotin
application:
western blot
,
ELISA
quantity:
price:
to the supplier
BCL2 / Bcl-2 Antibody (Preservative Free) LS-C343135
LifeSpan Biosciences
catalog: LS-C343135
domestic rabbit polyclonal
reactivity:
human
application:
western blot
,
ELISA
quantity:
price:
to the supplier
BCL2 / Bcl-2 Antibody (N-term, Preservative Free, Biotin) LS-C343444
LifeSpan Biosciences
catalog: LS-C343444
domestic rabbit polyclonal
reactivity:
human
conjugate: biotin
application:
western blot
,
ELISA
quantity:
price:
to the supplier
BCL2 / Bcl-2 Antibody (N-term, Preservative Free, Biotin) LS-C343557
LifeSpan Biosciences
catalog: LS-C343557
mouse polyclonal
reactivity:
human
conjugate: biotin
application:
western blot
,
ELISA
quantity:
price:
to the supplier
BCL2 / Bcl-2 Antibody (Ready-to-Use) LS-C348326
LifeSpan Biosciences
catalog: LS-C348326
mouse monoclonal (BSB-5 (BCL2/A4))
reactivity:
human
application:
immunohistochemistry - paraffin section
,
immunohistochemistry - frozen section
IHC of bcl-2 on FFPE Tonsil Tissue. This image was taken for the unmodified form of this product. Other forms have not been tested.
quantity:
price:
to the supplier
BCL2 / Bcl-2 Antibody (Internal) LS-C351894
LifeSpan Biosciences
catalog: LS-C351894
domestic rabbit polyclonal
reactivity:
human
application:
western blot
,
immunohistochemistry
,
immunohistochemistry - paraffin section
Western blot analysis of BCL2 expression in MCF7 (A); mouse brain (B); rat kidney (C) whole cell lysates.
Immunohistochemical analysis of BCL2 staining in human brain formalin fixed paraffin embedded tissue section. The section was pre-treated using heat mediated antigen retrieval with sodium citrate buffer (pH 6.0). The section was then incubated with the antibody at room temperature and detected using an HRP conjugated compact polymer system. DAB was used as the chromogen. The section was then counterstained with hematoxylin and mounted with DPX.
quantity:
price:
to the supplier
BCL2 / Bcl-2 Antibody (phospho-Thr69) LS-C351903
LifeSpan Biosciences
catalog: LS-C351903
domestic rabbit polyclonal
reactivity:
human
modification: phosphorylated
application:
western blot
,
immunohistochemistry
,
immunohistochemistry - paraffin section
Western blot analysis of BCL2 (pT69) expression in HepG2 UV-treated (A); HeLa (B); HL60 (C); THP1 (D); Jurkat paclitaxel-treated (E); NIH3T3 H2O2-treated (F); PC12 H2O2-treated (G) whole cell lysates.
Immunohistochemical analysis of BCL2 (pT69) staining in human brain formalin fixed paraffin embedded tissue section. The section was pre-treated using heat mediated antigen retrieval with sodium citrate buffer (pH 6.0). The section was then incubated with the antibody at room temperature and detected using an HRP conjugated compact polymer system. DAB was used as the chromogen. The section was then counterstained with hematoxylin and mounted with DPX.
quantity:
price:
to the supplier
BCL2 / Bcl-2 Antibody (phospho-Ser70) LS-C353923
LifeSpan Biosciences
catalog: LS-C353923
domestic rabbit polyclonal
reactivity:
human
modification: phosphorylated
application:
western blot
,
immunohistochemistry
,
immunoprecipitation
,
immunohistochemistry - paraffin section
Western blot analysis of BCL2 (pS70) expression in Jurkat (A); THP1 (B); A2780 (C) whole cell lysates.
Immunohistochemical analysis of BCL2 (pS70) staining in human lung cancer formalin fixed paraffin embedded tissue section. The section was pre-treated using heat mediated antigen retrieval with sodium citrate buffer (pH 6.0). The section was then incubated with the antibody at room temperature and detected using an HRP conjugated compact polymer system. DAB was used as the chromogen. The section was then counterstained with hematoxylin and mounted with DPX.
quantity:
price:
to the supplier
BCL2 / Bcl-2 Antibody (Internal) LS-C354583
LifeSpan Biosciences
catalog: LS-C354583
domestic rabbit polyclonal
reactivity:
human
application:
western blot
,
immunohistochemistry
,
immunocytochemistry
,
immunohistochemistry - paraffin section
Western blot analysis of BCL2 expression in HeLa (A); A2780 (B) whole cell lysates.
Immunohistochemical analysis of BCL2 staining in human breast cancer formalin fixed paraffin embedded tissue section. The section was pre-treated using heat mediated antigen retrieval with sodium citrate buffer (pH 6.0). The section was then incubated with the antibody at room temperature and detected using an HRP conjugated compact polymer system. DAB was used as the chromogen. The section was then counterstained with hematoxylin and mounted with DPX. w
Immunofluorescent analysis of BCL2 staining in HeLa cells. Formalin-fixed cells were permeabilized with 0.1% Triton X-100 in TBS for 5-10 minutes and blocked with 3% BSA-PBS for 30 minutes at room temperature. Cells were probed with the primary antibody in 3% BSA-PBS and incubated overnight at 4 C in a humidified chamber. Cells were washed with PBST and incubated with a DyLight 594-conjugated secondary antibody (red) in PBS at room temperature in the dark. DAPI was used to stain the cell nuclei (blue).
quantity:
price:
to the supplier
BCL2 / Bcl-2 Antibody (phospho-Ser87) LS-C354584
LifeSpan Biosciences
catalog: LS-C354584
domestic rabbit polyclonal
reactivity:
human
modification: phosphorylated
application:
western blot
,
immunohistochemistry
,
immunohistochemistry - paraffin section
Western blot analysis of BCL2 (pS87) expression in HEK293T UV-treated (A) whole cell lysates.
Immunohistochemical analysis of BCL2 (pS87) staining in human breast cancer formalin fixed paraffin embedded tissue section. The section was pre-treated using heat mediated antigen retrieval with sodium citrate buffer (pH 6.0). The section was then incubated with the antibody at room temperature and detected using an HRP conjugated compact polymer system. DAB was used as the chromogen. The section was then counterstained with hematoxylin and mounted with DPX. w
quantity:
price:
to the supplier
BCL2 / Bcl-2 Antibody (phospho-Ser70) LS-C357377
LifeSpan Biosciences
catalog: LS-C357377
domestic rabbit polyclonal
reactivity:
human
modification: phosphorylated
application:
western blot
Western blot of extracts from 293 cells. Jurkat cells and NIH/3T3 cells all treated with Paclitaxel, using BCL2 (Phospho-Ser70) antibody.
quantity:
price:
to the supplier
BCL2 / Bcl-2 Antibody (clone 100/D5) LS-C357722
LifeSpan Biosciences
catalog: LS-C357722
mouse monoclonal (100/D5)
reactivity:
human
application:
western blot
,
immunocytochemistry
,
flow cytometry
,
immunohistochemistry - paraffin section
quantity:
price:
to the supplier
BCL2 / Bcl-2 Antibody (aa41-54, clone 8C8) LS-C357723
LifeSpan Biosciences
catalog: LS-C357723
mouse monoclonal (8C8)
reactivity:
human
application:
western blot
,
ELISA
,
immunohistochemistry
,
immunocytochemistry
,
immunoprecipitation
,
flow cytometry
,
immunohistochemistry - paraffin section
quantity:
price:
to the supplier
BCL2 / Bcl-2 Antibody (aa41-54, clone 100/D5 + 124) LS-C357733
LifeSpan Biosciences
catalog: LS-C357733
mouse monoclonal (100/D5 + 124)
reactivity:
human
application:
western blot
,
immunohistochemistry
,
immunocytochemistry
,
immunoprecipitation
,
flow cytometry
,
immunohistochemistry - paraffin section
quantity:
price:
to the supplier
BCL2 / Bcl-2 Antibody (aa41-54, clone ABM3C35) LS-C358108
LifeSpan Biosciences
catalog: LS-C358108
mouse monoclonal (ABM3C35)
reactivity:
human
application:
western blot
,
immunohistochemistry
quantity:
price:
to the supplier
BCL2 / Bcl-2 Antibody (Internal) LS-C358426
LifeSpan Biosciences
catalog: LS-C358426
domestic rabbit polyclonal
reactivity:
human
application:
western blot
,
immunohistochemistry
,
immunocytochemistry
,
immunohistochemistry - paraffin section
Western blot analysis of BCL2 expression in MCF7 (A); Raw264.7 (B); NIH3T3 (C) whole cell lysates.
Immunohistochemical analysis of BCL2 staining in human lymph node formalin fixed paraffin embedded tissue section. The section was pre-treated using heat mediated antigen retrieval with sodium citrate buffer (pH 6.0). The section was then incubated with the antibody at room temperature and detected using an HRP-conjugated compact polymer system. DAB was used as the chromogen. The section was then counterstained with hematoxylin and mounted with DPX.
Immunofluorescent analysis of BCL2 staining in HeLa cells. Formalin-fixed cells were permeabilized with 0.1% Triton X-100 in TBS for 5-10 minutes and blocked with 3% BSA-PBS for 30 minutes at room temperature. Cells were probed with the primary antibody in 3% BSA-PBS and incubated overnight at 4 deg C in a humidified chamber. Cells were washed with PBST and incubated with a DyLight 594-conjugated secondary antibody (red) in PBS at room temperature in the dark. DAPI was used to stain the cell nuclei (blue).
quantity:
price:
to the supplier
BCL2 / Bcl-2 Antibody LS-C358662
LifeSpan Biosciences
catalog: LS-C358662
domestic rabbit polyclonal
reactivity:
human
application:
western blot
,
immunohistochemistry
,
immunoprecipitation
quantity:
price:
to the supplier
BCL2 / Bcl-2 Antibody (aa67-86) LS-C358663
LifeSpan Biosciences
catalog: LS-C358663
domestic rabbit polyclonal
reactivity:
human
,
mouse
application:
western blot
,
immunohistochemistry
,
immunoprecipitation
quantity:
price:
to the supplier
BCL2 / Bcl-2 Antibody (aa41-54) LS-C358664
LifeSpan Biosciences
catalog: LS-C358664
domestic rabbit polyclonal
reactivity:
human
application:
western blot
,
immunohistochemistry
,
immunoprecipitation
quantity:
price:
to the supplier
BCL2 / Bcl-2 Antibody LS-C358665
LifeSpan Biosciences
catalog: LS-C358665
domestic rabbit polyclonal
reactivity:
human
application:
western blot
,
immunohistochemistry
,
immunoprecipitation
quantity:
price:
to the supplier
BCL2 / Bcl-2 Antibody LS-C358667
LifeSpan Biosciences
catalog: LS-C358667
domestic rabbit polyclonal
reactivity:
human
application:
western blot
,
immunohistochemistry
,
immunoprecipitation
quantity:
price:
to the supplier
BCL2 / Bcl-2 Antibody (40-120 aa) LS-C380641
LifeSpan Biosciences
catalog: LS-C380641
domestic rabbit polyclonal
reactivity:
human
modification: phosphorylated
application:
western blot
,
ELISA
,
immunohistochemistry
,
immunocytochemistry
,
immunoprecipitation
Western blot of Phospho-Bcl-2 (T56) antibody
quantity:
price:
to the supplier
BCL2 / Bcl-2 Antibody (20-100 aa) LS-C380643
LifeSpan Biosciences
catalog: LS-C380643
domestic rabbit polyclonal
reactivity:
human
modification: phosphorylated
application:
ELISA
,
immunohistochemistry
,
immunocytochemistry
quantity:
price:
to the supplier
BCL2 / Bcl-2 Antibody (10-90 aa) LS-C380644
LifeSpan Biosciences
catalog: LS-C380644
domestic rabbit polyclonal
reactivity:
human
modification: phosphorylated
application:
western blot
,
ELISA
,
immunohistochemistry
,
immunoprecipitation
Western blot of Phospho-Bcl-2 (S70) antibody
quantity:
price:
to the supplier
BCL2 / Bcl-2 Antibody (10-90 aa) LS-C381108
LifeSpan Biosciences
catalog: LS-C381108
domestic rabbit polyclonal
reactivity:
human
,
mouse
modification: phosphorylated
application:
western blot
,
ELISA
Western blot of Phospho-Bcl-2 (S70) antibody
quantity:
price:
to the supplier
BCL2 / Bcl-2 Antibody (30-110 aa) LS-C381252
LifeSpan Biosciences
catalog: LS-C381252
domestic rabbit polyclonal
reactivity:
human
modification: phosphorylated
application:
western blot
,
ELISA
,
immunohistochemistry
Western blot of Phospho-Bcl-2 (S87) antibody
quantity:
price:
to the supplier
BCL2 / Bcl-2 Antibody (10-90 aa) LS-C381736
LifeSpan Biosciences
catalog: LS-C381736
domestic rabbit polyclonal
reactivity:
human
modification: phosphorylated
application:
ELISA
,
immunohistochemistry
quantity:
price:
to the supplier
BCL2 / Bcl-2 Antibody (40-120 aa) LS-C382276
LifeSpan Biosciences
catalog: LS-C382276
domestic rabbit polyclonal
reactivity:
human
application:
western blot
,
ELISA
,
immunohistochemistry
,
immunocytochemistry
Western blot of Bcl-2 antibody
quantity:
price:
to the supplier
BCL2 / Bcl-2 Antibody (20-100 aa) LS-C382281
LifeSpan Biosciences
catalog: LS-C382281
domestic rabbit polyclonal
reactivity:
human
application:
western blot
,
ELISA
,
immunohistochemistry
,
immunocytochemistry
Western blot of Bcl-2 antibody
quantity:
price:
to the supplier
BCL2 / Bcl-2 Antibody (10-90 aa) LS-C382292
LifeSpan Biosciences
catalog: LS-C382292
domestic rabbit polyclonal
reactivity:
human
application:
western blot
,
ELISA
,
immunohistochemistry
Western blot of Bcl-2 antibody
quantity:
price:
to the supplier
BCL2 / Bcl-2 Antibody (phospho-Thr56) LS-C413176
LifeSpan Biosciences
catalog: LS-C413176
domestic rabbit polyclonal
reactivity:
human
application:
western blot
,
immunohistochemistry
,
immunocytochemistry
,
immunoprecipitation
,
immunohistochemistry - paraffin section
Western blot analysis of BCL2 (pT56) expression in Jurkat (A); rat muscle (B) whole cell lysates.
Immunohistochemical analysis of BCL2 (pT56) staining in human lung cancer formalin fixed paraffin embedded tissue section. The section was pre-treated using heat mediated antigen retrieval with sodium citrate buffer (pH 6.0). The section was then incubated with the antibody at room temperature and detected using an HRP polymer system. DAB was used as the chromogen. The section was then counterstained with hematoxylin and mounted with DPX.
Immunofluorescent analysis of BCL2 (pT56) staining in A549 cells. Formalin-fixed cells were permeabilized with 0.1% Triton X-100 in TBS for 5-10 minutes and blocked with 3% BSA-PBS for 30 minutes at room temperature. Cells were probed with the primary antibody in 3% BSA-PBS and incubated overnight at 4 deg C in a humidified chamber. Cells were washed with PBST and incubated with a DyLight 594-conjugated secondary antibody (red) in PBS at room temperature in the dark. DAPI was used to stain the cell nuclei (blue).
quantity:
price:
to the supplier