Sign in
Sign up
home
>
LifeSpan Biosciences
> LifeSpan Biosciences RASGRF1 antibody
RASGRF1 / CDC25 Antibody (N-Terminus) LS-C17607
LifeSpan Biosciences
catalog: LS-C17607
domestic rabbit polyclonal
reactivity:
human
,
mouse
application:
western blot
quantity:
price:
to the supplier
RASGRF1 / CDC25 Antibody (aa107-156) LS-C111936
LifeSpan Biosciences
catalog: LS-C111936
domestic rabbit polyclonal
reactivity:
human
application:
western blot
quantity:
price:
to the supplier
RASGRF1 / CDC25 Antibody (phospho-Ser916) LS-C17608
LifeSpan Biosciences
catalog: LS-C17608
domestic rabbit polyclonal
reactivity:
human
,
mouse
modification: phosphorylated
application:
western blot
quantity:
price:
to the supplier
RASGRF1 / CDC25 Antibody (aa467-516) LS-C117271
LifeSpan Biosciences
catalog: LS-C117271
domestic rabbit polyclonal
reactivity:
human
application:
western blot
quantity:
price:
to the supplier
RASGRF1 / CDC25 Antibody (aa882-931) LS-C117779
LifeSpan Biosciences
catalog: LS-C117779
domestic rabbit polyclonal
reactivity:
human
application:
immunohistochemistry
,
immunohistochemistry - paraffin section
Immunohistochemistry analysis of paraffin-embedded human brain tissue, using Ras-GRF1 Antibody. The picture on the right is blocked with the synthesized peptide.
quantity:
price:
to the supplier
RASGRF1 / CDC25 Antibody (phospho-Ser916) LS-C199519
LifeSpan Biosciences
catalog: LS-C199519
domestic rabbit polyclonal
reactivity:
human
,
mouse
modification: phosphorylated
application:
immunohistochemistry
,
immunohistochemistry - paraffin section
Immunohistochemistry analysis of paraffin-embedded human brain, using Ras-GRF1 (Phospho-Ser916) Antibody. The picture on the right is blocked with the phospho peptide.
quantity:
price:
to the supplier
RASGRF1 / CDC25 Antibody (N-Terminus) LS-C345255
LifeSpan Biosciences
catalog: LS-C345255
domestic rabbit polyclonal
reactivity:
human
application:
western blot
quantity:
price:
to the supplier
RASGRF1 / CDC25 Antibody LS-C346159
LifeSpan Biosciences
catalog: LS-C346159
domestic rabbit polyclonal
reactivity:
human
application:
western blot
,
immunohistochemistry
,
immunocytochemistry
Western blot analysis of extract of Mouse brain.
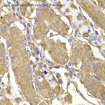
Immunohistochemistry of paraffin-embedded human stomach tissue.
Immunofluorescence analysis of U20S cells.
quantity:
price:
to the supplier
RASGRF1 / CDC25 Antibody (860-940 aa) LS-C381563
LifeSpan Biosciences
catalog: LS-C381563
domestic rabbit polyclonal
reactivity:
human
,
mouse
modification: phosphorylated
application:
ELISA
,
immunohistochemistry
,
immunocytochemistry
quantity:
price:
to the supplier
RASGRF1 / CDC25 Antibody (860-940 aa) LS-C385777
LifeSpan Biosciences
catalog: LS-C385777
domestic rabbit polyclonal
reactivity:
human
,
mouse
application:
ELISA
,
immunohistochemistry
quantity:
price:
to the supplier