Sign in
Sign up
home
>
LifeSpan Biosciences
> LifeSpan Biosciences RAD51B antibody
RAD51B Antibody (clone 1 H3/13) LS-C2862
LifeSpan Biosciences
catalog: LS-C2862
mouse monoclonal (1 H3/13)
reactivity:
human
application:
western blot
quantity:
price:
to the supplier
RAD51B Antibody (aa201-250) LS-C119591
LifeSpan Biosciences
catalog: LS-C119591
domestic rabbit polyclonal
reactivity:
human
application:
western blot
,
immunohistochemistry
,
immunohistochemistry - paraffin section
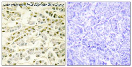
Immunohistochemistry analysis of paraffin-embedded human pancreas tissue, using RAD51L1 Antibody. The picture on the right is blocked with the synthesized peptide.
Western blot analysis of lysates from COS7 cells, using RAD51L1 Antibody. The lane on the right is blocked with the synthesized peptide.
quantity:
price:
to the supplier
RAD51B Antibody LS-C17563
LifeSpan Biosciences
catalog: LS-C17563
mouse monoclonal
reactivity:
human
application:
ELISA
quantity:
price:
to the supplier
RAD51B Antibody (aa2-14) LS-C55356
LifeSpan Biosciences
catalog: LS-C55356
domestic goat polyclonal
reactivity:
human
quantity:
price:
to the supplier
RAD51B Antibody (aa251-300) LS-C135463
LifeSpan Biosciences
catalog: LS-C135463
domestic rabbit polyclonal
reactivity:
human
application:
western blot
quantity:
price:
to the supplier
RAD51B Antibody (clone OTI7H4) LS-C173301
LifeSpan Biosciences
catalog: LS-C173301
mouse monoclonal (OTI7H4)
reactivity:
human
application:
western blot
,
immunocytochemistry
,
flow cytometry
HEK293T cells were transfected with the pCMV6-ENTRY control (Left lane) or pCMV6-ENTRY RAD51L1 (Right lane) cDNA for 48 hrs and lysed. Equivalent amounts of cell lysates (5 ug per lane) were separated by SDS-PAGE and immunoblotted with anti-RAD51L1.
Anti-RAD51L1 mouse monoclonal antibody immunofluorescent staining of COS7 cells transiently transfected by pCMV6-ENTRY RAD51L1.
HEK293T cells transfected with either overexpress plasmid (Red) or empty vector control plasmid (Blue) were immunostained by anti-RAD51L1 antibody, and then analyzed by flow cytometry.
quantity:
price:
to the supplier
RAD51B Antibody (Gly226) LS-C177051
LifeSpan Biosciences
catalog: LS-C177051
domestic rabbit polyclonal
reactivity:
human
application:
western blot
,
immunohistochemistry
,
immunohistochemistry - paraffin section
Western blot of Rad51B (G226) pAb in extracts from COS-7 cells.
IHC of Rad51B (G226) pAb in paraffin-embedded human pancreas tissue.
quantity:
price:
to the supplier
IHC-plus™ RAD51B Antibody (aa143-192) LS-B9754
LifeSpan Biosciences
catalog: LS-B9754
domestic rabbit polyclonal
reactivity:
human
application:
western blot
,
immunohistochemistry
,
immunohistochemistry - paraffin section
Anti-RAD51B antibody IHC staining of human tonsil. Immunohistochemistry of formalin-fixed, paraffin-embedded tissue after heat-induced antigen retrieval. Antibody concentration 10 ug/ml. This image was taken for the unconjugated form of this product. Other forms have not been tested.
quantity:
price:
to the supplier
RAD51B Antibody LS-C346157
LifeSpan Biosciences
catalog: LS-C346157
domestic rabbit polyclonal
reactivity:
human
application:
western blot
,
immunohistochemistry
,
immunocytochemistry
Immunofluorescence analysis of GFP-RNF168 trangenic U2OS cells.
quantity:
price:
to the supplier
RAD51B Antibody (180-260 aa, Internal) LS-C385729
LifeSpan Biosciences
catalog: LS-C385729
domestic rabbit polyclonal
reactivity:
human
application:
western blot
,
ELISA
,
immunohistochemistry
quantity:
price:
to the supplier