mouse monoclonal (5F5)
reactivity: human
application: western blot, ELISA, immunohistochemistry, immunoprecipitation, immunohistochemistry - paraffin section
reactivity: human
application: western blot, ELISA, immunohistochemistry, immunoprecipitation, immunohistochemistry - paraffin section

Western blot of QARS expression in transfected 293T cell line by QARS monoclonal antibody (M01), clone 5F5.

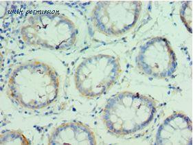
Immunoperoxidase of monoclonal antibody to QARS on formalin-fixed paraffin-embedded human colon. [antibody concentration 3 ug/ml]

Immunoprecipitation of QARS transfected lysate using anti-QARS monoclonal antibody and Protein A Magnetic Bead.
quantity:
price:
to the supplier
rabbit polyclonal
reactivity: human
application: western blot
reactivity: human
application: western blot
rabbit polyclonal
reactivity: human
application: western blot, immunohistochemistry, immunohistochemistry - paraffin section
reactivity: human
application: western blot, immunohistochemistry, immunohistochemistry - paraffin section
rabbit polyclonal
reactivity: human
application: western blot, immunohistochemistry, immunocytochemistry
reactivity: human
application: western blot, immunohistochemistry, immunocytochemistry
rabbit polyclonal
reactivity: human
application: western blot, ELISA, immunohistochemistry, immunohistochemistry - paraffin section
reactivity: human
application: western blot, ELISA, immunohistochemistry, immunohistochemistry - paraffin section

Western blot. All lanes: Glutamine--tRNA ligase antibody at 2 ug/ml. Lane 1: PC-3 whole cell lysate. Lane 2: HeLa whole cell lysate. Secondary antibody: Goat polyclonal to rabbit at 1:10000 dilution. Predicted band size: 88 kDa. Observed band size: 88 kDa Immunohistochemistry.

Immunohistochemistry of paraffin-embedded human rectal cancer using antibody at 1:100 dilution.
quantity:
price:
to the supplier





