Sign in
Sign up
home
>
LifeSpan Biosciences
> LifeSpan Biosciences MEK1 antibody
MAP2K1 / MKK1 / MEK1 Antibody (phospho-Ser218/Ser222) LS-C25552
LifeSpan Biosciences
catalog: LS-C25552
mouse monoclonal
reactivity:
human
modification: phosphorylated
application:
western blot
,
ELISA
quantity:
price:
to the supplier
MAP2K1 / MKK1 / MEK1 Antibody (aa1-12) LS-C25542
LifeSpan Biosciences
catalog: LS-C25542
domestic rabbit polyclonal
reactivity:
human
,
rat
application:
western blot
,
ELISA
,
immunohistochemistry
,
immunocytochemistry
quantity:
price:
to the supplier
MAP2K1 / MKK1 / MEK1 Antibody LS-C25563
LifeSpan Biosciences
catalog: LS-C25563
mouse monoclonal
reactivity:
human
,
mouse
application:
western blot
,
immunoprecipitation
quantity:
price:
to the supplier
MAP2K1 / MKK1 / MEK1 Antibody (phospho-Ser218/Ser222) LS-C186
LifeSpan Biosciences
catalog: LS-C186
domestic rabbit polyclonal
reactivity:
human
modification: phosphorylated
application:
western blot
quantity:
price:
to the supplier
MAP2K1 / MKK1 / MEK1 Antibody (phospho-Thr292) LS-C187
LifeSpan Biosciences
catalog: LS-C187
domestic rabbit polyclonal
reactivity:
human
modification: phosphorylated
application:
western blot
quantity:
price:
to the supplier
MAP2K1 / MKK1 / MEK1 Antibody (phospho-Thr386) LS-C188
LifeSpan Biosciences
catalog: LS-C188
domestic rabbit polyclonal
reactivity:
human
modification: phosphorylated
application:
western blot
quantity:
price:
to the supplier
MAP2K1 / MKK1 / MEK1 Antibody LS-C16482
LifeSpan Biosciences
catalog: LS-C16482
domestic rabbit polyclonal
reactivity:
human
application:
western blot
,
ELISA
,
flow cytometry
quantity:
price:
to the supplier
MAP2K1 / MKK1 / MEK1 Antibody LS-C25534
LifeSpan Biosciences
catalog: LS-C25534
mouse monoclonal
reactivity:
human
application:
western blot
,
ELISA
quantity:
price:
to the supplier
MAP2K1 / MKK1 / MEK1 Antibody (phospho-Ser298) LS-C25550
LifeSpan Biosciences
catalog: LS-C25550
domestic rabbit polyclonal
reactivity:
human
modification: phosphorylated
application:
western blot
quantity:
price:
to the supplier
MAP2K1 / MKK1 / MEK1 Antibody (phospho-Ser222) LS-C25553
LifeSpan Biosciences
catalog: LS-C25553
domestic rabbit polyclonal
reactivity:
human
modification: phosphorylated
application:
western blot
quantity:
price:
to the supplier
MAP2K1 / MKK1 / MEK1 Antibody LS-C25564
LifeSpan Biosciences
catalog: LS-C25564
domestic rabbit polyclonal
reactivity:
human
,
mouse
application:
western blot
,
immunoprecipitation
quantity:
price:
to the supplier
MAP2K1 / MKK1 / MEK1 Antibody LS-C25565
LifeSpan Biosciences
catalog: LS-C25565
domestic rabbit polyclonal
reactivity:
human
,
mouse
application:
western blot
,
immunoprecipitation
quantity:
price:
to the supplier
MAP2K1 / MKK1 / MEK1 Antibody (phospho-Ser218) LS-C25566
LifeSpan Biosciences
catalog: LS-C25566
domestic rabbit polyclonal
reactivity:
human
modification: phosphorylated
application:
western blot
quantity:
price:
to the supplier
MAP2K1 / MKK1 / MEK1 Antibody LS-C37342
LifeSpan Biosciences
catalog: LS-C37342
domestic rabbit monoclonal
reactivity:
human
application:
western blot
,
ELISA
quantity:
price:
to the supplier
MEK1 + MEK2 Antibody LS-C48487
LifeSpan Biosciences
catalog: LS-C48487
domestic rabbit polyclonal
reactivity:
human
application:
western blot
quantity:
price:
to the supplier
MEK1 + MEK2 Antibody (phospho-Ser217) LS-C48488
LifeSpan Biosciences
catalog: LS-C48488
domestic rabbit polyclonal
reactivity:
human
modification: phosphorylated
application:
western blot
,
immunocytochemistry
quantity:
price:
to the supplier
MAP2K1 / MKK1 / MEK1 Antibody LS-C25540
LifeSpan Biosciences
catalog: LS-C25540
domestic rabbit polyclonal
reactivity:
human
application:
western blot
quantity:
price:
to the supplier
MAP2K1 / MKK1 / MEK1 Antibody LS-C88700
LifeSpan Biosciences
catalog: LS-C88700
domestic rabbit polyclonal
reactivity:
human
application:
western blot
quantity:
price:
to the supplier
MAP2K1 / MKK1 / MEK1 Antibody (Azide-free) LS-C88701
LifeSpan Biosciences
catalog: LS-C88701
domestic rabbit polyclonal
reactivity:
human
application:
western blot
quantity:
price:
to the supplier
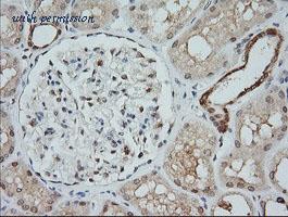
MAP2K1 / MKK1 / MEK1 Antibody (Ser217) LS-C89502
LifeSpan Biosciences
catalog: LS-C89502
domestic rabbit polyclonal
reactivity:
human
application:
western blot
,
immunohistochemistry
quantity:
price:
to the supplier
MAP2K1 / MKK1 / MEK1 Antibody (phospho-Ser222) LS-C97132
LifeSpan Biosciences
catalog: LS-C97132
domestic rabbit polyclonal
reactivity:
human
modification: phosphorylated
application:
western blot
Western blot of extracts from A431 cell,untreated or treated with EGF, 100ng/ml,using Phospho-MEK1-pS222(left) or MEK1-pS222 antibody(right).
Dot blot of anti-Phospho-MEK1-pS222 Antibody on nitrocellulose membrane. 50ng of Phospho-peptide or Non Phospho-peptide per dot were adsorbed. Antibody working concentrations are 0.5ug per ml.
quantity:
price:
to the supplier
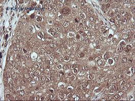
IHC-plus™ MAP2K1 / MKK1 / MEK1 Antibody (N-Terminus) LS-B3271
LifeSpan Biosciences
catalog: LS-B3271
domestic rabbit polyclonal
reactivity:
human
application:
western blot
,
immunohistochemistry
,
immunocytochemistry
,
immunohistochemistry - paraffin section
Anti-MAP2K1 / MEK1 antibody IHC of human brain, cerebellum. Immunohistochemistry of formalin-fixed, paraffin-embedded tissue after heat-induced antigen retrieval. Antibody concentration 10 ug/ml.
Western blot of human thymus HS67 cell lysate.
Confocal immunofluorescent staining of HeLa cells using MAP2K1 / MKK1 / MEK1 Antibody (green); nuclei are stained in blue pseudocolor using DRAQ5.
quantity:
price:
to the supplier
MAP2K1 / MKK1 / MEK1 Antibody (phospho-Thr291) LS-C117413
LifeSpan Biosciences
catalog: LS-C117413
domestic rabbit polyclonal
reactivity:
human
modification: phosphorylated
application:
western blot
Western blot analysis of lysates from K562 cells, using MEK1 (Phospho-Thr291) Antibody. The lane on the right is blocked with the phospho peptide.
quantity:
price:
to the supplier
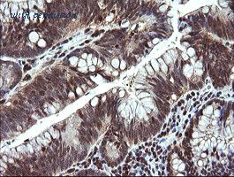
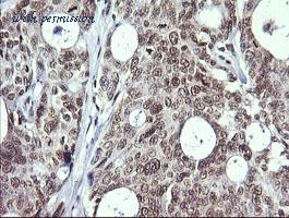
MAP2K1 / MKK1 / MEK1 Antibody (aa261-310) LS-C118179
LifeSpan Biosciences
catalog: LS-C118179
domestic rabbit polyclonal
reactivity:
human
application:
western blot
,
immunohistochemistry
Immunohistochemistry analysis of paraffin-embedded human breast carcinoma tissue, using MEK1 Antibody. The picture on the right is blocked with the synthesized peptide.
Western blot analysis of lysates from K562 cells, treated with, using MEK1 Antibody. The lane on the right is blocked with the synthesized peptide.
quantity:
price:
to the supplier
MAP2K1 / MKK1 / MEK1 Antibody (N-Terminus) LS-C121257
LifeSpan Biosciences
catalog: LS-C121257
domestic rabbit polyclonal
reactivity:
human
application:
immunohistochemistry
,
immunohistochemistry - paraffin section
quantity:
price:
to the supplier
MAP2K1 / MKK1 / MEK1 Antibody (phospho-Ser221) LS-C124078
LifeSpan Biosciences
catalog: LS-C124078
domestic rabbit polyclonal
reactivity:
human
modification: phosphorylated
application:
western blot
,
immunohistochemistry
quantity:
price:
to the supplier
MAP2K1 / MKK1 / MEK1 Antibody (phospho-Ser217) LS-C124079
LifeSpan Biosciences
catalog: LS-C124079
domestic rabbit polyclonal
reactivity:
human
modification: phosphorylated
application:
immunohistochemistry
quantity:
price:
to the supplier
MAP2K1 / MKK1 / MEK1 Antibody LS-C124080
LifeSpan Biosciences
catalog: LS-C124080
domestic rabbit polyclonal
reactivity:
human
application:
western blot
,
immunohistochemistry
quantity:
price:
to the supplier
MAP2K1 / MKK1 / MEK1 Antibody LS-C124081
LifeSpan Biosciences
catalog: LS-C124081
domestic rabbit polyclonal
reactivity:
human
application:
western blot
,
immunohistochemistry
quantity:
price:
to the supplier
MAP2K1 / MKK1 / MEK1 Antibody LS-C124082
LifeSpan Biosciences
catalog: LS-C124082
domestic rabbit polyclonal
reactivity:
human
application:
western blot
,
immunohistochemistry
quantity:
price:
to the supplier
MAP2K1 / MKK1 / MEK1 Antibody (phospho-Thr291) LS-C130701
LifeSpan Biosciences
catalog: LS-C130701
domestic rabbit polyclonal
reactivity:
human
modification: phosphorylated
application:
western blot
quantity:
price:
to the supplier
MAP2K1 / MKK1 / MEK1 Antibody LS-C130702
LifeSpan Biosciences
catalog: LS-C130702
domestic rabbit polyclonal
reactivity:
human
application:
western blot
,
ELISA
quantity:
price:
to the supplier
MAP2K1 / MKK1 / MEK1 Antibody (N-Terminus) LS-C137064
LifeSpan Biosciences
catalog: LS-C137064
domestic rabbit polyclonal
reactivity:
human
application:
western blot
,
ELISA
,
immunohistochemistry
quantity:
price:
to the supplier
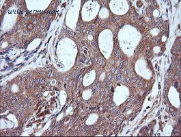
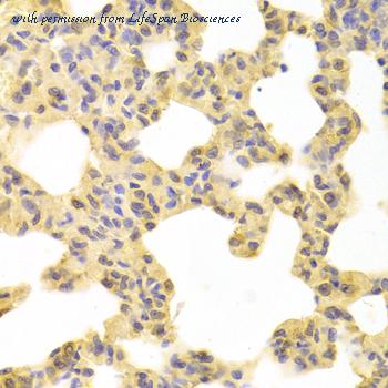
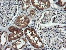
IHC-plus™ MAP2K1 / MKK1 / MEK1 Antibody (aa264-313) LS-B7631
LifeSpan Biosciences
catalog: LS-B7631
domestic rabbit polyclonal
reactivity:
human
application:
western blot
,
immunohistochemistry
,
immunohistochemistry - paraffin section
Anti-MAP2K1 / MEK1 antibody IHC of human adrenal. Immunohistochemistry of formalin-fixed, paraffin-embedded tissue after heat-induced antigen retrieval. Antibody dilution 1:100.
Western blot analysis of lysates from HUVEC cells, using MEK1 Antibody. The lane on the right is blocked with the synthesized peptide.
quantity:
price:
to the supplier
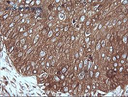
IHC-plus™ MAP2K1 / MKK1 / MEK1 Antibody (aa252-301) LS-B7632
LifeSpan Biosciences
catalog: LS-B7632
domestic rabbit polyclonal
reactivity:
human
application:
western blot
,
immunohistochemistry
,
immunohistochemistry - paraffin section
Anti-MAP2K1 / MEK1 antibody IHC of human breast. Immunohistochemistry of formalin-fixed, paraffin-embedded tissue after heat-induced antigen retrieval. Antibody dilution 1:100.
Western blot analysis of lysates from NIH/3T3 cells, treated with PMA 250ng/ml 5', using MEK1 Antibody. The lane on the right is blocked with the synthesized peptide.
quantity:
price:
to the supplier
MAP2K1 / MKK1 / MEK1 Antibody (C-Terminus) LS-C151421
LifeSpan Biosciences
catalog: LS-C151421
domestic rabbit polyclonal
reactivity:
human
,
mouse
application:
western blot
quantity:
price:
to the supplier
MAP2K1 / MKK1 / MEK1 Antibody (aa269-296) LS-C164442
LifeSpan Biosciences
catalog: LS-C164442
domestic rabbit polyclonal
reactivity:
human
,
mouse
application:
western blot
,
immunohistochemistry
,
immunohistochemistry - paraffin section
Western blot of Map2k1 (arrow) using rabbit polyclonal Mouse Map2k1 Antibody. 293 cell lysates (2 ug/lane) either nontransfected (Lane 1) or transiently transfected (Lane 2) with the Map2k1 gene.
Mouse Map2k1 Antibody immunohistochemistry of formalin-fixed and paraffin-embedded mouse stomach tissue followed by peroxidase-conjugated secondary antibody and DAB staining.
quantity:
price:
to the supplier
MAP2K1 / MKK1 / MEK1 Antibody (N-Terminus) LS-C170346
LifeSpan Biosciences
catalog: LS-C170346
domestic rabbit polyclonal
reactivity:
human
,
mouse
application:
western blot
quantity:
price:
to the supplier
MAP2K1 / MKK1 / MEK1 Antibody (aa353-367) LS-C172279
LifeSpan Biosciences
catalog: LS-C172279
domestic rabbit polyclonal
reactivity:
human
application:
western blot
,
immunohistochemistry
,
immunocytochemistry
,
immunohistochemistry - paraffin section
quantity:
price:
to the supplier
MAP2K1 / MKK1 / MEK1 Antibody (aa353-367, Magnetic beads) LS-C172280
LifeSpan Biosciences
catalog: LS-C172280
domestic rabbit polyclonal
reactivity:
human
conjugate: Bead
application:
immunoprecipitation
quantity:
price:
to the supplier
MAP2K1 / MKK1 / MEK1 Antibody (aa353-367, Sepharose) LS-C172281
LifeSpan Biosciences
catalog: LS-C172281
domestic rabbit polyclonal
reactivity:
human
application:
immunoprecipitation
quantity:
price:
to the supplier
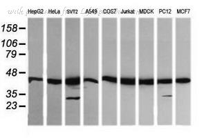
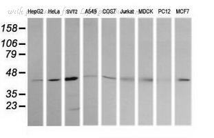
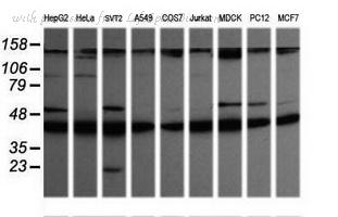
MAP2K1 / MKK1 / MEK1 Antibody (clone OTI2H3) LS-C174379
LifeSpan Biosciences
catalog: LS-C174379
mouse monoclonal (OTI2H3)
reactivity:
human
application:
western blot
,
immunohistochemistry
,
immunocytochemistry
,
immunohistochemistry - paraffin section
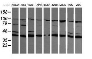
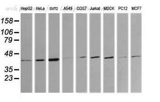
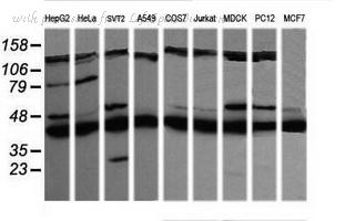
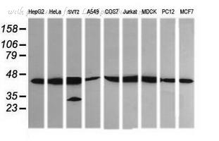
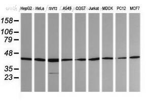
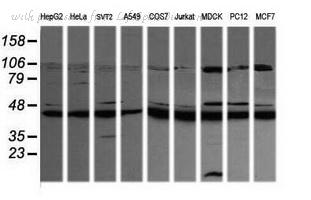
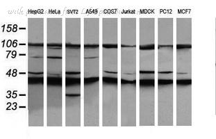
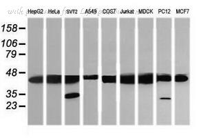
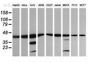
Western blot of extracts (35 ug) from 9 different cell lines by using g anti-MAP2K1 monoclonal antibody (HepG2: human; HeLa: human; SVT2: mouse; A549: human; COS7: monkey; Jurkat: human; MDCK: canine; PC12: rat; MCF7: human).
IHC of paraffin-embedded Carcinoma of Human lung tissue using anti-MAP2K1 mouse monoclonal antibody.
Anti-MAP2K1 mouse monoclonal antibody immunofluorescent staining of COS7 cells transiently transfected by pCMV6-ENTRY MAP2K1.
quantity:
price:
to the supplier
MAP2K1 / MKK1 / MEK1 Antibody (clone OTI3B4) LS-C174487
LifeSpan Biosciences
catalog: LS-C174487
mouse monoclonal (OTI3B4)
reactivity:
human
application:
western blot
,
immunohistochemistry
,
immunocytochemistry
,
immunohistochemistry - paraffin section
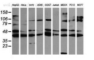
Western blot of extracts (35 ug) from 9 different cell lines by using g anti-MAP2K1 monoclonal antibody (HepG2: human; HeLa: human; SVT2: mouse; A549: human; COS7: monkey; Jurkat: human; MDCK: canine; PC12: rat; MCF7: human).
IHC of paraffin-embedded Human pancreas tissue using anti-MAP2K1 mouse monoclonal antibody.
Anti-MAP2K1 mouse monoclonal antibody immunofluorescent staining of COS7 cells transiently transfected by pCMV6-ENTRY MAP2K1.
quantity:
price:
to the supplier
MAP2K1 / MKK1 / MEK1 Antibody (clone OTI2B2) LS-C174496
LifeSpan Biosciences
catalog: LS-C174496
mouse monoclonal (OTI2B2)
reactivity:
human
application:
western blot
,
immunohistochemistry
,
immunocytochemistry
,
immunohistochemistry - paraffin section
Western blot of extracts (35 ug) from 9 different cell lines by using g anti-MAP2K1 monoclonal antibody (HepG2: human; HeLa: human; SVT2: mouse; A549: human; COS7: monkey; Jurkat: human; MDCK: canine; PC12: rat; MCF7: human).
IHC of paraffin-embedded Carcinoma of Human lung tissue using anti-MAP2K1 mouse monoclonal antibody.
Anti-MAP2K1 mouse monoclonal antibody immunofluorescent staining of COS7 cells transiently transfected by pCMV6-ENTRY MAP2K1.
quantity:
price:
to the supplier
MAP2K1 / MKK1 / MEK1 Antibody (clone OTI2A1) LS-C174505
LifeSpan Biosciences
catalog: LS-C174505
mouse monoclonal (OTI2A1)
reactivity:
human
application:
western blot
,
immunohistochemistry
,
immunocytochemistry
,
immunohistochemistry - paraffin section
Western blot of extracts (35 ug) from 9 different cell lines by using g anti-MAP2K1 monoclonal antibody (HepG2: human; HeLa: human; SVT2: mouse; A549: human; COS7: monkey; Jurkat: human; MDCK: canine; PC12: rat; MCF7: human).
IHC of paraffin-embedded Adenocarcinoma of Human colon tissue using anti-MAP2K1 mouse monoclonal antibody.
Anti-MAP2K1 mouse monoclonal antibody immunofluorescent staining of COS7 cells transiently transfected by pCMV6-ENTRY MAP2K1.
quantity:
price:
to the supplier
MAP2K1 / MKK1 / MEK1 Antibody (clone OTI2A9) LS-C174506
LifeSpan Biosciences
catalog: LS-C174506
mouse monoclonal (OTI2A9)
reactivity:
human
application:
western blot
,
immunohistochemistry
,
immunocytochemistry
,
immunohistochemistry - paraffin section
Western blot of extracts (35 ug) from 9 different cell lines by using g anti-MAP2K1 monoclonal antibody (HepG2: human; HeLa: human; SVT2: mouse; A549: human; COS7: monkey; Jurkat: human; MDCK: canine; PC12: rat; MCF7: human).
IHC of paraffin-embedded Human pancreas tissue using anti-MAP2K1 mouse monoclonal antibody.
Anti-MAP2K1 mouse monoclonal antibody immunofluorescent staining of COS7 cells transiently transfected by pCMV6-ENTRY MAP2K1.
quantity:
price:
to the supplier
MAP2K1 / MKK1 / MEK1 Antibody (clone OTI3H5) LS-C174507
LifeSpan Biosciences
catalog: LS-C174507
mouse monoclonal (OTI3H5)
reactivity:
human
application:
western blot
,
immunohistochemistry
,
immunocytochemistry
,
immunohistochemistry - paraffin section
Western blot of extracts (35 ug) from 9 different cell lines by using g anti-MAP2K1 monoclonal antibody (HepG2: human; HeLa: human; SVT2: mouse; A549: human; COS7: monkey; Jurkat: human; MDCK: canine; PC12: rat; MCF7: human).
IHC of paraffin-embedded Human lung tissue using anti-MAP2K1 mouse monoclonal antibody.
Anti-MAP2K1 mouse monoclonal antibody immunofluorescent staining of COS7 cells transiently transfected by pCMV6-ENTRY MAP2K1.
quantity:
price:
to the supplier
MAP2K1 / MKK1 / MEK1 Antibody (clone OTI4H8) LS-C174508
LifeSpan Biosciences
catalog: LS-C174508
mouse monoclonal (OTI4H8)
reactivity:
human
application:
western blot
,
immunohistochemistry
,
immunocytochemistry
,
immunohistochemistry - paraffin section
Western blot of extracts (35 ug) from 9 different cell lines by using g anti-MAP2K1 monoclonal antibody (HepG2: human; HeLa: human; SVT2: mouse; A549: human; COS7: monkey; Jurkat: human; MDCK: canine; PC12: rat; MCF7: human).
IHC of paraffin-embedded Human pancreas tissue using anti-MAP2K1 mouse monoclonal antibody.
Anti-MAP2K1 mouse monoclonal antibody immunofluorescent staining of COS7 cells transiently transfected by pCMV6-ENTRY MAP2K1.
quantity:
price:
to the supplier
MAP2K1 / MKK1 / MEK1 Antibody (clone OTI4F1) LS-C174509
LifeSpan Biosciences
catalog: LS-C174509
mouse monoclonal (OTI4F1)
reactivity:
human
application:
western blot
,
immunohistochemistry
,
immunocytochemistry
,
immunohistochemistry - paraffin section
Western blot of extracts (35 ug) from 9 different cell lines by using g anti-MAP2K1 monoclonal antibody (HepG2: human; HeLa: human; SVT2: mouse; A549: human; COS7: monkey; Jurkat: human; MDCK: canine; PC12: rat; MCF7: human).
IHC of paraffin-embedded Adenocarcinoma of Human ovary tissue using anti-MAP2K1 mouse monoclonal antibody.
Anti-MAP2K1 mouse monoclonal antibody immunofluorescent staining of COS7 cells transiently transfected by pCMV6-ENTRY MAP2K1.
quantity:
price:
to the supplier
MAP2K1 / MKK1 / MEK1 Antibody (clone OTI3H3) LS-C174510
LifeSpan Biosciences
catalog: LS-C174510
mouse monoclonal (OTI3H3)
reactivity:
human
application:
western blot
,
immunohistochemistry
,
immunocytochemistry
,
immunohistochemistry - paraffin section
Western blot of extracts (35 ug) from 9 different cell lines by using g anti-MAP2K1 monoclonal antibody (HepG2: human; HeLa: human; SVT2: mouse; A549: human; COS7: monkey; Jurkat: human; MDCK: canine; PC12: rat; MCF7: human).
IHC of paraffin-embedded Human liver tissue using anti-MAP2K1 mouse monoclonal antibody.
Anti-MAP2K1 mouse monoclonal antibody immunofluorescent staining of COS7 cells transiently transfected by pCMV6-ENTRY MAP2K1.
quantity:
price:
to the supplier
MAP2K1 / MKK1 / MEK1 Antibody (clone OTI4B1) LS-C174512
LifeSpan Biosciences
catalog: LS-C174512
mouse monoclonal (OTI4B1)
reactivity:
human
application:
western blot
,
immunohistochemistry
,
immunocytochemistry
,
immunohistochemistry - paraffin section
Western blot of extracts (35 ug) from 9 different cell lines by using g anti-MAP2K1 monoclonal antibody (HepG2: human; HeLa: human; SVT2: mouse; A549: human; COS7: monkey; Jurkat: human; MDCK: canine; PC12: rat; MCF7: human).
IHC of paraffin-embedded Human lung tissue using anti-MAP2K1 mouse monoclonal antibody.
Anti-MAP2K1 mouse monoclonal antibody immunofluorescent staining of COS7 cells transiently transfected by pCMV6-ENTRY MAP2K1.
quantity:
price:
to the supplier
MAP2K1 / MKK1 / MEK1 Antibody (clone OTI4E4) LS-C174513
LifeSpan Biosciences
catalog: LS-C174513
mouse monoclonal (OTI4E4)
reactivity:
human
application:
western blot
,
immunohistochemistry
,
immunocytochemistry
,
immunohistochemistry - paraffin section
Western blot of extracts (35 ug) from 9 different cell lines by using g anti-MAP2K1 monoclonal antibody (HepG2: human; HeLa: human; SVT2: mouse; A549: human; COS7: monkey; Jurkat: human; MDCK: canine; PC12: rat; MCF7: human).
IHC of paraffin-embedded Human pancreas tissue using anti-MAP2K1 mouse monoclonal antibody.
Anti-MAP2K1 mouse monoclonal antibody immunofluorescent staining of COS7 cells transiently transfected by pCMV6-ENTRY MAP2K1.
quantity:
price:
to the supplier
MAP2K1 / MKK1 / MEK1 Antibody (clone OTI2F1) LS-C174635
LifeSpan Biosciences
catalog: LS-C174635
mouse monoclonal (OTI2F1)
reactivity:
human
application:
western blot
,
immunohistochemistry
,
immunocytochemistry
,
immunohistochemistry - paraffin section
Western blot of extracts (35 ug) from 9 different cell lines by using anti-MAP2K1 monoclonal antibody (HepG2: human; HeLa: human; SVT2: mouse; A549: human; COS7: monkey; Jurkat: human; MDCK: canine; PC12: rat; MCF7: human).
IHC of paraffin-embedded Adenocarcinoma of Human breast tissue using anti-MAP2K1 mouse monoclonal antibody.
Anti-MAP2K1 mouse monoclonal antibody immunofluorescent staining of COS7 cells transiently transfected by pCMV6-ENTRY MAP2K1.
quantity:
price:
to the supplier
MAP2K1 / MKK1 / MEK1 Antibody (clone OTI2F12) LS-C174636
LifeSpan Biosciences
catalog: LS-C174636
mouse monoclonal (OTI2F12)
reactivity:
human
application:
western blot
,
immunohistochemistry
,
immunocytochemistry
,
immunohistochemistry - paraffin section
HEK293T cells were transfected with the pCMV6-ENTRY control (Left lane) or pCMV6-ENTRY MAP2K1 (Right lane) cDNA for 48 hrs and lysed. Equivalent amounts of cell lysates (5 ug per lane) were separated by SDS-PAGE and immunoblotted with anti-MAP2K1.
IHC of paraffin-embedded Human Kidney tissue using anti-MAP2K1 mouse monoclonal antibody.
Immunofluorescent staining of HeLa cells using anti-MAP2K1 mouse monoclonal antibody.
quantity:
price:
to the supplier
MAP2K1 / MKK1 / MEK1 Antibody (clone OTI1B4) LS-C174637
LifeSpan Biosciences
catalog: LS-C174637
mouse monoclonal (OTI1B4)
reactivity:
human
application:
western blot
,
immunohistochemistry
,
immunocytochemistry
,
immunohistochemistry - paraffin section
Western blot of extracts (35 ug) from 9 different cell lines by using anti-MAP2K1 monoclonal antibody (HepG2: human; HeLa: human; SVT2: mouse; A549: human; COS7: monkey; Jurkat: human; MDCK: canine; PC12: rat; MCF7: human).
IHC of paraffin-embedded Human pancreas tissue using anti-MAP2K1 mouse monoclonal antibody.
Anti-MAP2K1 mouse monoclonal antibody immunofluorescent staining of COS7 cells transiently transfected by pCMV6-ENTRY MAP2K1.
quantity:
price:
to the supplier
MAP2K1 / MKK1 / MEK1 Antibody (clone OTI7E2) LS-C174639
LifeSpan Biosciences
catalog: LS-C174639
mouse monoclonal (OTI7E2)
reactivity:
human
application:
western blot
,
immunohistochemistry
,
immunocytochemistry
,
immunohistochemistry - paraffin section
Western blot of extracts (35 ug) from 9 different cell lines by using anti-MAP2K1 monoclonal antibody (HepG2: human; HeLa: human; SVT2: mouse; A549: human; COS7: monkey; Jurkat: human; MDCK: canine; PC12: rat; MCF7: human).
IHC of paraffin-embedded Human Kidney tissue using anti-MAP2K1 mouse monoclonal antibody.
Anti-MAP2K1 mouse monoclonal antibody immunofluorescent staining of COS7 cells transiently transfected by pCMV6-ENTRY MAP2K1.
quantity:
price:
to the supplier
MAP2K1 / MKK1 / MEK1 Antibody (clone OTI6C6) LS-C174644
LifeSpan Biosciences
catalog: LS-C174644
mouse monoclonal (OTI6C6)
reactivity:
human
application:
western blot
,
immunohistochemistry
,
immunocytochemistry
,
immunohistochemistry - paraffin section
Western blot of extracts (35 ug) from 9 different cell lines by using anti-MAP2K1 monoclonal antibody (HepG2: human; HeLa: human; SVT2: mouse; A549: human; COS7: monkey; Jurkat: human; MDCK: canine; PC12: rat; MCF7: human).
IHC of paraffin-embedded Human Ovary tissue using anti-MAP2K1 mouse monoclonal antibody.
Anti-MAP2K1 mouse monoclonal antibody immunofluorescent staining of COS7 cells transiently transfected by pCMV6-ENTRY MAP2K1.
quantity:
price:
to the supplier
MAP2K1 / MKK1 / MEK1 Antibody (clone OTI7F3) LS-C174645
LifeSpan Biosciences
catalog: LS-C174645
mouse monoclonal (OTI7F3)
reactivity:
human
application:
western blot
,
immunocytochemistry
Western blot of extracts (35 ug) from 9 different cell lines by using anti-MAP2K1 monoclonal antibody (HepG2: human; HeLa: human; SVT2: mouse; A549: human; COS7: monkey; Jurkat: human; MDCK: canine; PC12: rat; MCF7: human).
Anti-MAP2K1 mouse monoclonal antibody immunofluorescent staining of COS7 cells transiently transfected by pCMV6-ENTRY MAP2K1.
quantity:
price:
to the supplier
MAP2K1 / MKK1 / MEK1 Antibody (clone OTI8H1) LS-C174647
LifeSpan Biosciences
catalog: LS-C174647
mouse monoclonal (OTI8H1)
reactivity:
human
application:
western blot
,
immunocytochemistry
Western blot of extracts (35 ug) from 9 different cell lines by using anti-MAP2K1 monoclonal antibody (HepG2: human; HeLa: human; SVT2: mouse; A549: human; COS7: monkey; Jurkat: human; MDCK: canine; PC12: rat; MCF7: human).
Anti-MAP2K1 mouse monoclonal antibody immunofluorescent staining of COS7 cells transiently transfected by pCMV6-ENTRY MAP2K1.
quantity:
price:
to the supplier
MAP2K1 / MKK1 / MEK1 Antibody (clone OTI7B1) LS-C174648
LifeSpan Biosciences
catalog: LS-C174648
mouse monoclonal (OTI7B1)
reactivity:
human
application:
western blot
,
immunohistochemistry
,
immunocytochemistry
,
immunohistochemistry - paraffin section
Western blot of extracts (35 ug) from 9 different cell lines by using anti-MAP2K1 monoclonal antibody (HepG2: human; HeLa: human; SVT2: mouse; A549: human; COS7: monkey; Jurkat: human; MDCK: canine; PC12: rat; MCF7: human).
IHC of paraffin-embedded Human Kidney tissue using anti-MAP2K1 mouse monoclonal antibody.
Anti-MAP2K1 mouse monoclonal antibody immunofluorescent staining of COS7 cells transiently transfected by pCMV6-ENTRY MAP2K1.
quantity:
price:
to the supplier
MAP2K1 / MKK1 / MEK1 Antibody (clone OTI8A6) LS-C174649
LifeSpan Biosciences
catalog: LS-C174649
mouse monoclonal (OTI8A6)
reactivity:
human
application:
western blot
,
immunohistochemistry
,
immunocytochemistry
,
immunohistochemistry - paraffin section
Western blot of extracts (35 ug) from 9 different cell lines by using anti-MAP2K1 monoclonal antibody (HepG2: human; HeLa: human; SVT2: mouse; A549: human; COS7: monkey; Jurkat: human; MDCK: canine; PC12: rat; MCF7: human).
IHC of paraffin-embedded Human Kidney tissue using anti-MAP2K1 mouse monoclonal antibody.
Anti-MAP2K1 mouse monoclonal antibody immunofluorescent staining of COS7 cells transiently transfected by pCMV6-ENTRY MAP2K1.
quantity:
price:
to the supplier
MAP2K1 / MKK1 / MEK1 Antibody (clone OTI1A10) LS-C174657
LifeSpan Biosciences
catalog: LS-C174657
mouse monoclonal (OTI1A10)
reactivity:
human
application:
western blot
,
immunohistochemistry
,
immunocytochemistry
,
immunohistochemistry - paraffin section
Western blot of extracts (35 ug) from 9 different cell lines by using anti-MAP2K1 monoclonal antibody (HepG2: human; HeLa: human; SVT2: mouse; A549: human; COS7: monkey; Jurkat: human; MDCK: canine; PC12: rat; MCF7: human).
IHC of paraffin-embedded Human Kidney tissue using anti-MAP2K1 mouse monoclonal antibody.
Anti-MAP2K1 mouse monoclonal antibody immunofluorescent staining of COS7 cells transiently transfected by pCMV6-ENTRY MAP2K1.
quantity:
price:
to the supplier
MAP2K1 / MKK1 / MEK1 Antibody (clone OTI3C1) LS-C174664
LifeSpan Biosciences
catalog: LS-C174664
mouse monoclonal (OTI3C1)
reactivity:
human
application:
western blot
,
immunohistochemistry
,
immunocytochemistry
,
immunohistochemistry - paraffin section
Western blot of extracts (35 ug) from 9 different cell lines by using anti-MAP2K1 monoclonal antibody (HepG2: human; HeLa: human; SVT2: mouse; A549: human; COS7: monkey; Jurkat: human; MDCK: canine; PC12: rat; MCF7: human).
IHC of paraffin-embedded Human pancreas tissue using anti-MAP2K1 mouse monoclonal antibody.
Anti-MAP2K1 mouse monoclonal antibody immunofluorescent staining of COS7 cells transiently transfected by pCMV6-ENTRY MAP2K1.
quantity:
price:
to the supplier
MAP2K1 / MKK1 / MEK1 Antibody (clone OTI3E6) LS-C174688
LifeSpan Biosciences
catalog: LS-C174688
mouse monoclonal (OTI3E6)
reactivity:
human
application:
western blot
,
immunohistochemistry
,
immunocytochemistry
,
immunohistochemistry - paraffin section
Western blot of extracts (35 ug) from 9 different cell lines by using anti-MAP2K1 monoclonal antibody (HepG2: human; HeLa: human; SVT2: mouse; A549: human; COS7: monkey; Jurkat: human; MDCK: canine; PC12: rat; MCF7: human).
IHC of paraffin-embedded Human Kidney tissue using anti-MAP2K1 mouse monoclonal antibody.
Anti-MAP2K1 mouse monoclonal antibody immunofluorescent staining of COS7 cells transiently transfected by pCMV6-ENTRY MAP2K1.
quantity:
price:
to the supplier
MAP2K1 / MKK1 / MEK1 Antibody (phospho-Ser298) LS-C175872
LifeSpan Biosciences
catalog: LS-C175872
domestic rabbit polyclonal
reactivity:
human
modification: phosphorylated
application:
western blot
Western blot of p-MEK1 (S298) pAb in extracts from HeLa and HepG2 cells.
quantity:
price:
to the supplier
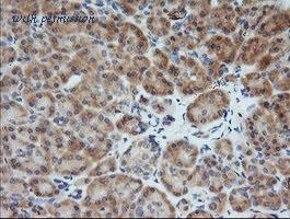
MAP2K1 / MKK1 / MEK1 Antibody (Pro293) LS-C175894
LifeSpan Biosciences
catalog: LS-C175894
domestic rabbit polyclonal
reactivity:
human
modification: phosphorylated
application:
western blot
,
immunohistochemistry
,
immunohistochemistry - paraffin section
Western blot of MEK1 (P293) pAb in extracts from HepG2 cells.
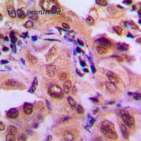
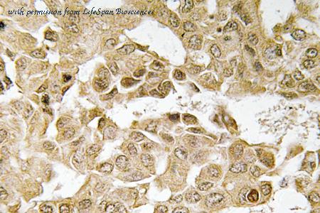
IHC of MEK1 (P293) pAb in paraffin-embedded human hepatic carcinoma tissue.
quantity:
price:
to the supplier
MAP2K1 / MKK1 / MEK1 Antibody (Pro293) LS-C177427
LifeSpan Biosciences
catalog: LS-C177427
domestic rabbit polyclonal
reactivity:
human
modification: phosphorylated
application:
western blot
,
immunohistochemistry
,
immunohistochemistry - paraffin section
Western blot of MEK1 (P293) pAb in extracts from HUVEC cells.
IHC of MEK1 (P293) pAb in paraffin-embedded human brain tissue.
quantity:
price:
to the supplier
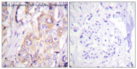
MAP2K1 / MKK1 / MEK1 Antibody (Thr286) LS-C177703
LifeSpan Biosciences
catalog: LS-C177703
domestic rabbit polyclonal
reactivity:
human
application:
western blot
,
immunohistochemistry
,
immunohistochemistry - paraffin section
Western blot of MEK1 (T286) pAb in extracts from Jurkat cells.
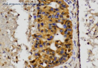
IHC of MEK1 (T286) pAb in paraffin-embedded human breast carcinoma tissue.
quantity:
price:
to the supplier
MAP2K1 / MKK1 / MEK1 Antibody (phospho-Thr292) LS-C177990
LifeSpan Biosciences
catalog: LS-C177990
domestic rabbit polyclonal
reactivity:
human
modification: phosphorylated
application:
western blot
,
immunohistochemistry
,
immunocytochemistry
,
immunohistochemistry - paraffin section
Western blot of p-MEK1 (T292) pAb in extracts from A549 cells.
IHC of p-MEK1 (T292) pAb in paraffin-embedded human breast carcinoma tissue.
quantity:
price:
to the supplier
MAP2K1 / MKK1 / MEK1 Antibody (clone 4A5) LS-C179871
LifeSpan Biosciences
catalog: LS-C179871
mouse monoclonal (4A5)
reactivity:
human
application:
western blot
,
immunoprecipitation
quantity:
price:
to the supplier
MAP2K1 / MKK1 / MEK1 Antibody (aa200-250) LS-C191023
LifeSpan Biosciences
catalog: LS-C191023
domestic rabbit polyclonal
reactivity:
human
application:
western blot
quantity:
price:
to the supplier
MAP2K1 / MKK1 / MEK1 Antibody LS-C194985
LifeSpan Biosciences
catalog: LS-C194985
domestic rabbit polyclonal
reactivity:
human
application:
western blot
,
immunocytochemistry
quantity:
price:
to the supplier
MAP2K1 / MKK1 / MEK1 Antibody (clone 1B5) LS-C197997
LifeSpan Biosciences
catalog: LS-C197997
mouse monoclonal (1B5)
reactivity:
human
application:
western blot
,
ELISA
Western Blot analysis of MAP2K1 expression in transfected 293T cell line by MAP2K1 monoclonal antibody (M01), clone 1B5.Lane 1: MAP2K1 transfected lysate (Predicted MW: 43.439 KDa).Lane 2: Non-transfected lysate.
quantity:
price:
to the supplier
MAP2K1 / MKK1 / MEK1 Antibody (phospho-Ser298) LS-C199250
LifeSpan Biosciences
catalog: LS-C199250
domestic rabbit polyclonal
reactivity:
human
modification: phosphorylated
application:
western blot
Western blot analysis of lysates from NIH/3T3 cells treated with PDGF 50ng/ml 20', using MEK1 (Phospho-Ser298) Antibody. The lane on the right is blocked with the phospho peptide.
quantity:
price:
to the supplier
MAP2K1 / MKK1 / MEK1 Antibody (phospho-Thr286) LS-C199251
LifeSpan Biosciences
catalog: LS-C199251
domestic rabbit polyclonal
reactivity:
human
modification: phosphorylated
application:
western blot
,
immunohistochemistry
,
immunohistochemistry - paraffin section
Immunohistochemistry analysis of paraffin-embedded human breast carcinoma, using MEK1 (Phospho-Thr286) Antibody. The picture on the right is blocked with the phospho peptide.
Western blot analysis of lysates from K562 cells, using MEK1 (Phospho-Thr286) Antibody. The lane on the right is blocked with the phospho peptide.
quantity:
price:
to the supplier
MAP2K1 / MKK1 / MEK1 Antibody (aa244-293) LS-C200201
LifeSpan Biosciences
catalog: LS-C200201
domestic rabbit polyclonal
reactivity:
human
application:
western blot
,
immunohistochemistry
Western blot analysis of the lysates from K562 cells using MEK1 antibody.
quantity:
price:
to the supplier
MAP2K1 / MKK1 / MEK1 Antibody (aa269-296, AP) LS-C223159
LifeSpan Biosciences
catalog: LS-C223159
domestic rabbit polyclonal
reactivity:
human
conjugate: AP
application:
western blot
,
ELISA
,
immunohistochemistry
quantity:
price:
to the supplier
MAP2K1 / MKK1 / MEK1 Antibody (aa269-296, APC) LS-C223160
LifeSpan Biosciences
catalog: LS-C223160
domestic rabbit polyclonal
reactivity:
human
conjugate: APC
application:
western blot
,
ELISA
,
immunohistochemistry
quantity:
price:
to the supplier
MAP2K1 / MKK1 / MEK1 Antibody (aa269-296, Biotin) LS-C223161
LifeSpan Biosciences
catalog: LS-C223161
domestic rabbit polyclonal
reactivity:
human
conjugate: biotin
application:
western blot
,
ELISA
,
immunohistochemistry
quantity:
price:
to the supplier
MAP2K1 / MKK1 / MEK1 Antibody (aa269-296, Azide-free, HRP) LS-C223162
LifeSpan Biosciences
catalog: LS-C223162
domestic rabbit polyclonal
reactivity:
human
conjugate: HRP
application:
western blot
,
ELISA
,
immunohistochemistry
quantity:
price:
to the supplier
MAP2K1 / MKK1 / MEK1 Antibody (aa269-296, FITC) LS-C223163
LifeSpan Biosciences
catalog: LS-C223163
domestic rabbit polyclonal
reactivity:
human
conjugate: FITC
application:
western blot
,
ELISA
,
immunohistochemistry
quantity:
price:
to the supplier
MAP2K1 / MKK1 / MEK1 Antibody (aa269-296, PE) LS-C223168
LifeSpan Biosciences
catalog: LS-C223168
domestic rabbit polyclonal
reactivity:
human
conjugate: PE
application:
western blot
,
ELISA
,
immunohistochemistry
quantity:
price:
to the supplier
MAP2K1 / MKK1 / MEK1 Antibody (phospho-Ser217/Ser221, AP) LS-C225863
LifeSpan Biosciences
catalog: LS-C225863
domestic rabbit polyclonal
reactivity:
human
conjugate: AP
modification: phosphorylated
application:
western blot
,
ELISA
,
immunohistochemistry
quantity:
price:
to the supplier
MAP2K1 / MKK1 / MEK1 Antibody (phospho-Ser217/Ser221, APC) LS-C225864
LifeSpan Biosciences
catalog: LS-C225864
domestic rabbit polyclonal
reactivity:
human
conjugate: APC
modification: phosphorylated
application:
western blot
,
ELISA
,
immunohistochemistry
quantity:
price:
to the supplier
MAP2K1 / MKK1 / MEK1 Antibody (phospho-Ser217/Ser221, Biotin) LS-C225865
LifeSpan Biosciences
catalog: LS-C225865
domestic rabbit polyclonal
reactivity:
human
conjugate: biotin
modification: phosphorylated
application:
western blot
,
ELISA
,
immunohistochemistry
quantity:
price:
to the supplier
MAP2K1 / MKK1 / MEK1 Antibody (phospho-Ser217/Ser221, FITC) LS-C225866
LifeSpan Biosciences
catalog: LS-C225866
domestic rabbit polyclonal
reactivity:
human
conjugate: FITC
modification: phosphorylated
application:
western blot
,
ELISA
,
immunohistochemistry
quantity:
price:
to the supplier
MAP2K1 / MKK1 / MEK1 Antibody (phospho-Ser217/Ser221, Azide-free, HRP) LS-C22586 ...
LifeSpan Biosciences
catalog: LS-C225867
domestic rabbit polyclonal
reactivity:
human
conjugate: HRP
modification: phosphorylated
application:
western blot
,
ELISA
,
immunohistochemistry
quantity:
price:
to the supplier
MAP2K1 / MKK1 / MEK1 Antibody (phospho-Ser217/Ser221, PE) LS-C225868
LifeSpan Biosciences
catalog: LS-C225868
domestic rabbit polyclonal
reactivity:
human
conjugate: PE
modification: phosphorylated
application:
western blot
,
ELISA
,
immunohistochemistry
quantity:
price:
to the supplier
MAP2K1 / MKK1 / MEK1 Antibody (phospho-Ser222, AP) LS-C225869
LifeSpan Biosciences
catalog: LS-C225869
domestic rabbit polyclonal
reactivity:
human
conjugate: AP
modification: phosphorylated
application:
ELISA
quantity:
price:
to the supplier
MAP2K1 / MKK1 / MEK1 Antibody (phospho-Ser222, APC) LS-C225870
LifeSpan Biosciences
catalog: LS-C225870
domestic rabbit polyclonal
reactivity:
human
conjugate: APC
modification: phosphorylated
application:
ELISA
quantity:
price:
to the supplier
MAP2K1 / MKK1 / MEK1 Antibody (phospho-Ser222, FITC) LS-C225871
LifeSpan Biosciences
catalog: LS-C225871
domestic rabbit polyclonal
reactivity:
human
conjugate: FITC
modification: phosphorylated
application:
ELISA
quantity:
price:
to the supplier
MAP2K1 / MKK1 / MEK1 Antibody (phospho-Ser222, Biotin) LS-C225872
LifeSpan Biosciences
catalog: LS-C225872
domestic rabbit polyclonal
reactivity:
human
conjugate: biotin
modification: phosphorylated
application:
ELISA
quantity:
price:
to the supplier
MAP2K1 / MKK1 / MEK1 Antibody (phospho-Ser222, Azide-free, HRP) LS-C225873
LifeSpan Biosciences
catalog: LS-C225873
domestic rabbit polyclonal
reactivity:
human
conjugate: HRP
modification: phosphorylated
application:
ELISA
quantity:
price:
to the supplier
MAP2K1 / MKK1 / MEK1 Antibody (phospho-Ser222, PE) LS-C225875
LifeSpan Biosciences
catalog: LS-C225875
domestic rabbit polyclonal
reactivity:
human
conjugate: PE
modification: phosphorylated
application:
ELISA
quantity:
price:
to the supplier
MAP2K1 / MKK1 / MEK1 Antibody (aa343-393) LS-C286844
LifeSpan Biosciences
catalog: LS-C286844
domestic rabbit polyclonal
reactivity:
human
application:
immunohistochemistry
quantity:
price:
to the supplier
MAP2K1 / MKK1 / MEK1 Antibody (aa343-393) LS-C288909
LifeSpan Biosciences
catalog: LS-C288909
domestic rabbit polyclonal
reactivity:
human
application:
western blot
,
immunohistochemistry
quantity:
price:
to the supplier
MAP2K1 / MKK1 / MEK1 Antibody (phospho-Thr286) LS-C290284
LifeSpan Biosciences
catalog: LS-C290284
domestic goat polyclonal
reactivity:
human
modification: phosphorylated
application:
immunohistochemistry
,
immunoprecipitation
quantity:
price:
to the supplier
MAP2K1 / MKK1 / MEK1 Antibody (phospho-Thr286) LS-C290288
LifeSpan Biosciences
catalog: LS-C290288
domestic rabbit polyclonal
reactivity:
human
modification: phosphorylated
application:
immunohistochemistry
,
immunoprecipitation
quantity:
price:
to the supplier
MAP2K1 / MKK1 / MEK1 Antibody (phospho-Thr386) LS-C291196
LifeSpan Biosciences
catalog: LS-C291196
domestic rabbit polyclonal
reactivity:
human
modification: phosphorylated
application:
western blot
quantity:
price:
to the supplier
MAP2K1 / MKK1 / MEK1 Antibody (aa54-369) LS-C295398
LifeSpan Biosciences
catalog: LS-C295398
domestic rabbit polyclonal
reactivity:
human
application:
western blot
Western Blot; Sample: Lane1: Mouse Heart Tissue; Lane2: Mouse Brain Tissue.
quantity:
price:
to the supplier
MAP2K1 / MKK1 / MEK1 Antibody (phospho-Thr286) LS-C313614
LifeSpan Biosciences
catalog: LS-C313614
domestic rabbit polyclonal
reactivity:
human
modification: phosphorylated
application:
western blot
,
immunohistochemistry
quantity:
price:
to the supplier
MAP2K1 / MKK1 / MEK1 Antibody (phospho-Ser297) LS-C192575
LifeSpan Biosciences
catalog: LS-C192575
domestic rabbit polyclonal
reactivity:
human
application:
western blot
quantity:
price:
to the supplier
MAP2K1 / MKK1 / MEK1 Antibody (phospho-Thr285) LS-C192577
LifeSpan Biosciences
catalog: LS-C192577
domestic rabbit polyclonal
reactivity:
human
application:
western blot
quantity:
price:
to the supplier
MAP2K1 / MKK1 / MEK1 Antibody LS-C192655
LifeSpan Biosciences
catalog: LS-C192655
domestic rabbit polyclonal
reactivity:
human
application:
western blot
Western blot of MEK1 pAb in extracts from mouse lung, stomach and brain tissues.
quantity:
price:
to the supplier
MAP2K1 / MKK1 / MEK1 Antibody (aa269-296) LS-C322831
LifeSpan Biosciences
catalog: LS-C322831
domestic rabbit polyclonal
reactivity:
human
,
mouse
application:
western blot
,
ELISA
,
immunohistochemistry
quantity:
price:
to the supplier
MAP2K1 / MKK1 / MEK1 Antibody (phospho-Ser217/Ser221) LS-C327875
LifeSpan Biosciences
catalog: LS-C327875
domestic rabbit polyclonal
reactivity:
human
application:
western blot
,
ELISA
,
immunohistochemistry
quantity:
price:
to the supplier
MAP2K1 / MKK1 / MEK1 Antibody (phospho-Ser222) LS-C327878
LifeSpan Biosciences
catalog: LS-C327878
domestic rabbit polyclonal
reactivity:
human
application:
ELISA
quantity:
price:
to the supplier
MAP2K1 / MKK1 / MEK1 Antibody LS-C330882
LifeSpan Biosciences
catalog: LS-C330882
domestic rabbit polyclonal
reactivity:
human
application:
western blot
,
immunohistochemistry
,
immunocytochemistry
Western blot analysis of extracts of various cell lines, using MAP2K1 antibody at 1:1000 dilution. The secondary antibody used was an HRP Goat Anti-Rabbit IgG (H+L) at 1:10000 dilution. Lysates were loaded 25ug per lane and 3% nonfat dry milk in TBST was used for blocking.
Immunohistochemistry of paraffin-embedded rat lung using MAP2K1 antibodyat dilution of 1:100 (40x lens).
Immunofluorescence analysis of U2OS cells using MAP2K1 antibody. Blue: DAPI for nuclear staining.
quantity:
price:
to the supplier
MAP2K1 / MKK1 / MEK1 Antibody (phospho-Ser221) LS-C335010
LifeSpan Biosciences
catalog: LS-C335010
domestic rabbit polyclonal
reactivity:
human
application:
western blot
,
immunohistochemistry
,
immunocytochemistry
Western blot analysis of extracts from Hela cells.
Immunohistochemical analysis of paraffin-embedded human breast carcinoma tissue.
Immunofluorescence staining of methanol-fixed Hela cells.
quantity:
price:
to the supplier
MAP2K1 / MKK1 / MEK1 Antibody (phospho-Thr291) LS-C335919
LifeSpan Biosciences
catalog: LS-C335919
domestic rabbit polyclonal
reactivity:
human
application:
western blot
Western blot analysis of extracts from HepG2 cells.
quantity:
price:
to the supplier
MAP2K1 / MKK1 / MEK1 Antibody (clone OTI2G5) LS-C337956
LifeSpan Biosciences
catalog: LS-C337956
mouse monoclonal (OTI2G5)
reactivity:
human
application:
western blot
,
immunohistochemistry
,
immunocytochemistry
,
immunohistochemistry - paraffin section
Western blot of extracts (35ug) from 9 different cell lines by using anti-MAP2K1 monoclonal antibody (HepG2: human; HeLa: human; SVT2: mouse; A549: human; COS7: monkey; Jurkat: human; MDCK: canine; PC12: rat; MCF7: human).
IHC of paraffin-embedded Human pancreas tissue using anti-MAP2K1 mouse monoclonal antibody. (Heat-induced epitope retrieval by 10mM citric buffer, pH6.0, 120°C for 3min).
Anti-MAP2K1 mouse monoclonal antibody immunofluorescent staining of COS7 cells transiently transfected by pCMV6-ENTRY MAP2K1.
quantity:
price:
to the supplier
MAP2K1 / MKK1 / MEK1 Antibody (clone OTI1E5) LS-C337958
LifeSpan Biosciences
catalog: LS-C337958
mouse monoclonal (OTI1E5)
reactivity:
human
application:
western blot
,
immunohistochemistry
,
immunocytochemistry
,
immunohistochemistry - paraffin section
Western blot of extracts (35ug) from 9 different cell lines by using anti-MAP2K1 monoclonal antibody (HepG2: human; HeLa: human; SVT2: mouse; A549: human; COS7: monkey; Jurkat: human; MDCK: canine; PC12: rat; MCF7: human).
IHC of paraffin-embedded Human pancreas tissue using anti-MAP2K1 mouse monoclonal antibody. (Heat-induced epitope retrieval by 10mM citric buffer, pH6.0, 120°C for 3min).
Anti-MAP2K1 mouse monoclonal antibody immunofluorescent staining of COS7 cells transiently transfected by pCMV6-ENTRY MAP2K1.
quantity:
price:
to the supplier
MAP2K1 / MKK1 / MEK1 Antibody (clone OTI2D4) LS-C337959
LifeSpan Biosciences
catalog: LS-C337959
mouse monoclonal (OTI2D4)
reactivity:
human
application:
western blot
,
immunohistochemistry
,
immunocytochemistry
,
immunohistochemistry - paraffin section
Western blot of extracts (35ug) from 9 different cell lines by using anti-MAP2K1 monoclonal antibody (HepG2: human; HeLa: human; SVT2: mouse; A549: human; COS7: monkey; Jurkat: human; MDCK: canine; PC12: rat; MCF7: human).
IHC of paraffin-embedded Adenocarcinoma of Human ovary tissue using anti-MAP2K1 mouse monoclonal antibody. (Heat-induced epitope retrieval by 10mM citric buffer, pH6.0, 100C for 10min).
Anti-MAP2K1 mouse monoclonal antibody immunofluorescent staining of COS7 cells transiently transfected by pCMV6-ENTRY MAP2K1.
quantity:
price:
to the supplier
MAP2K1 / MKK1 / MEK1 Antibody (clone OTI2D2) LS-C337969
LifeSpan Biosciences
catalog: LS-C337969
mouse monoclonal (OTI2D2)
reactivity:
human
application:
western blot
,
immunohistochemistry
,
immunocytochemistry
,
immunohistochemistry - paraffin section
Western blot of extracts (35ug) from 9 different cell lines by using anti-MAP2K1 monoclonal antibody (HepG2: human; HeLa: human; SVT2: mouse; A549: human; COS7: monkey; Jurkat: human; MDCK: canine; PC12: rat; MCF7: human).
IHC of paraffin-embedded Human Kidney tissue using anti-MAP2K1 mouse monoclonal antibody. (Heat-induced epitope retrieval by 10mM citric buffer, pH6.0, 120°C for 3min).
Anti-MAP2K1 mouse monoclonal antibody immunofluorescent staining of COS7 cells transiently transfected by pCMV6-ENTRY MAP2K1.
quantity:
price:
to the supplier
MAP2K1 / MKK1 / MEK1 Antibody (clone OTI2B7) LS-C337970
LifeSpan Biosciences
catalog: LS-C337970
mouse monoclonal (OTI2B7)
reactivity:
human
application:
western blot
,
immunohistochemistry
,
immunocytochemistry
,
immunohistochemistry - paraffin section
Western blot of extracts (35ug) from 9 different cell lines by using anti-MAP2K1 monoclonal antibody (HepG2: human; HeLa: human; SVT2: mouse; A549: human; COS7: monkey; Jurkat: human; MDCK: canine; PC12: rat; MCF7: human).
IHC of paraffin-embedded Human Kidney tissue using anti-MAP2K1 mouse monoclonal antibody. (Heat-induced epitope retrieval by 10mM citric buffer, pH6.0, 120°C for 3min).
Anti-MAP2K1 mouse monoclonal antibody immunofluorescent staining of COS7 cells transiently transfected by pCMV6-ENTRY MAP2K1.
quantity:
price:
to the supplier
MAP2K1 / MKK1 / MEK1 Antibody (clone OTI4H1) LS-C337971
LifeSpan Biosciences
catalog: LS-C337971
mouse monoclonal (OTI4H1)
reactivity:
human
application:
western blot
,
immunohistochemistry
,
immunocytochemistry
,
immunohistochemistry - paraffin section
Western blot of extracts (35ug) from 9 different cell lines by using anti-MAP2K1 monoclonal antibody (HepG2: human; HeLa: human; SVT2: mouse; A549: human; COS7: monkey; Jurkat: human; MDCK: canine; PC12: rat; MCF7: human).
IHC of paraffin-embedded Human pancreas tissue using anti-MAP2K1 mouse monoclonal antibody. (Heat-induced epitope retrieval by 10mM citric buffer, pH6.0, 120°C for 3min).
Anti-MAP2K1 mouse monoclonal antibody immunofluorescent staining of COS7 cells transiently transfected by pCMV6-ENTRY MAP2K1.
quantity:
price:
to the supplier
MAP2K1 / MKK1 / MEK1 Antibody (clone OTI1F4) LS-C338032
LifeSpan Biosciences
catalog: LS-C338032
mouse monoclonal (OTI1F4)
reactivity:
human
application:
western blot
,
immunocytochemistry
Western blot of extracts (35ug) from 9 different cell lines by using anti-MAP2K1 monoclonal antibody (HepG2: human; HeLa: human; SVT2: mouse; A549: human; COS7: monkey; Jurkat: human; MDCK: canine; PC12: rat; MCF7: human).
Anti-MAP2K1 mouse monoclonal antibody immunofluorescent staining of COS7 cells transiently transfected by pCMV6-ENTRY MAP2K1.
quantity:
price:
to the supplier
MAP2K1 / MKK1 / MEK1 Antibody (clone OTI4E1) LS-C338033
LifeSpan Biosciences
catalog: LS-C338033
mouse monoclonal (OTI4E1)
reactivity:
human
application:
western blot
,
immunohistochemistry
,
immunocytochemistry
,
immunohistochemistry - paraffin section
Western blot of extracts (10ug) from 8 Human tissue by using anti-MAP2K1 monoclonal antibody at 1:200 (1: Testis; 2: Uterus; 3: Breast; 4: Brain; 5: Liver; 6: Ovary; 7: Thyroid gland; 8: Colon).
IHC of paraffin-embedded Adenocarcinoma of Human breast tissue using anti-MAP2K1 mouse monoclonal antibody. (Heat-induced epitope retrieval by 10mM citric buffer, pH6.0, 120°C for 3min).
Anti-MAP2K1 mouse monoclonal antibody immunofluorescent staining of COS7 cells transiently transfected by pCMV6-ENTRY MAP2K1.
quantity:
price:
to the supplier
MAP2K1 / MKK1 / MEK1 Antibody (clone OTI1A9) LS-C338034
LifeSpan Biosciences
catalog: LS-C338034
mouse monoclonal (OTI1A9)
reactivity:
human
application:
western blot
,
immunohistochemistry
,
immunocytochemistry
,
immunohistochemistry - paraffin section
Western blot of extracts (35ug) from 9 different cell lines by using anti-MAP2K1 monoclonal antibody (HepG2: human; HeLa: human; SVT2: mouse; A549: human; COS7: monkey; Jurkat: human; MDCK: canine; PC12: rat; MCF7: human).
IHC of paraffin-embedded Human Kidney tissue using anti-MAP2K1 mouse monoclonal antibody. (Heat-induced epitope retrieval by 10mM citric buffer, pH6.0, 120°C for 3min).
Anti-MAP2K1 mouse monoclonal antibody immunofluorescent staining of COS7 cells transiently transfected by pCMV6-ENTRY MAP2K1.
quantity:
price:
to the supplier
MAP2K1 / MKK1 / MEK1 Antibody (clone OTI1F9) LS-C338035
LifeSpan Biosciences
catalog: LS-C338035
mouse monoclonal (OTI1F9)
reactivity:
human
application:
western blot
,
immunohistochemistry
,
immunocytochemistry
,
immunohistochemistry - paraffin section
Western blot of extracts (35ug) from 9 different cell lines by using anti-MAP2K1 monoclonal antibody (HepG2: human; HeLa: human; SVT2: mouse; A549: human; COS7: monkey; Jurkat: human; MDCK: canine; PC12: rat; MCF7: human).
IHC of paraffin-embedded Human Ovary tissue using anti-MAP2K1 mouse monoclonal antibody. (Heat-induced epitope retrieval by 10mM citric buffer, pH6.0, 120°C for 3min).
Anti-MAP2K1 mouse monoclonal antibody immunofluorescent staining of COS7 cells transiently transfected by pCMV6-ENTRY MAP2K1.
quantity:
price:
to the supplier
MAP2K1 / MKK1 / MEK1 Antibody (clone OTI5D3) LS-C338036
LifeSpan Biosciences
catalog: LS-C338036
mouse monoclonal (OTI5D3)
reactivity:
human
application:
western blot
,
immunohistochemistry
,
immunocytochemistry
,
immunohistochemistry - paraffin section
HEK293T cells were transfected with the pCMV6-ENTRY control (Left lane) or pCMV6-ENTRY MAP2K1 (Right lane) cDNA for 48 hrs and lysed. Equivalent amounts of cell lysates (5 ug per lane) were separated by SDS-PAGE and immunoblotted with anti-MAP2K1.
IHC of paraffin-embedded Carcinoma of Human liver tissue using anti-MAP2K1 mouse monoclonal antibody. (Heat-induced epitope retrieval by 10mM citric buffer, pH6.0, 120°C for 3min).
Anti-MAP2K1 mouse monoclonal antibody immunofluorescent staining of COS7 cells transiently transfected by pCMV6-ENTRY MAP2K1.
quantity:
price:
to the supplier
MAP2K1 / MKK1 / MEK1 Antibody (clone OTI2E8) LS-C338039
LifeSpan Biosciences
catalog: LS-C338039
mouse monoclonal (OTI2E8)
reactivity:
human
application:
western blot
,
immunohistochemistry
,
immunocytochemistry
,
immunohistochemistry - paraffin section
HEK293T cells were transfected with the pCMV6-ENTRY control (Left lane) or pCMV6-ENTRY MAP2K1 (Right lane) cDNA for 48 hrs and lysed. Equivalent amounts of cell lysates (5 ug per lane) were separated by SDS-PAGE and immunoblotted with anti-MAP2K1.
IHC of paraffin-embedded Adenocarcinoma of Human colon tissue using anti-MAP2K1 mouse monoclonal antibody. (Heat-induced epitope retrieval by 10mM citric buffer, pH6.0, 120°C for 3min).
Immunofluorescent staining of HeLa cells using anti-MAP2K1 mouse monoclonal antibody.
quantity:
price:
to the supplier
MAP2K1 / MKK1 / MEK1 Antibody (clone OTI9E9) LS-C338043
LifeSpan Biosciences
catalog: LS-C338043
mouse monoclonal (OTI9E9)
reactivity:
human
application:
western blot
,
immunohistochemistry
,
immunocytochemistry
,
immunohistochemistry - paraffin section
HEK293T cells were transfected with the pCMV6-ENTRY control (Left lane) or pCMV6-ENTRY MAP2K1 (Right lane) cDNA for 48 hrs and lysed. Equivalent amounts of cell lysates (5 ug per lane) were separated by SDS-PAGE and immunoblotted with anti-MAP2K1.
IHC of paraffin-embedded Human liver tissue using anti-MAP2K1 mouse monoclonal antibody. (Heat-induced epitope retrieval by 10mM citric buffer, pH6.0, 120°C for 3min).
Anti-MAP2K1 mouse monoclonal antibody immunofluorescent staining of COS7 cells transiently transfected by pCMV6-ENTRY MAP2K1.
quantity:
price:
to the supplier
MAP2K1 / MKK1 / MEK1 Antibody (clone OTI5A11) LS-C338045
LifeSpan Biosciences
catalog: LS-C338045
mouse monoclonal (OTI5A11)
reactivity:
human
application:
western blot
,
immunohistochemistry
,
immunocytochemistry
,
immunohistochemistry - paraffin section
Western blot of extracts (35ug) from 9 different cell lines by using anti-MAP2K1 monoclonal antibody (HepG2: human; HeLa: human; SVT2: mouse; A549: human; COS7: monkey; Jurkat: human; MDCK: canine; PC12: rat; MCF7: human).
IHC of paraffin-embedded Human Kidney tissue using anti-MAP2K1 mouse monoclonal antibody. (Heat-induced epitope retrieval by 10mM citric buffer, pH6.0, 120°C for 3min).
Anti-MAP2K1 mouse monoclonal antibody immunofluorescent staining of COS7 cells transiently transfected by pCMV6-ENTRY MAP2K1.
quantity:
price:
to the supplier
MAP2K1 / MKK1 / MEK1 Antibody (clone OTI5F5) LS-C338049
LifeSpan Biosciences
catalog: LS-C338049
mouse monoclonal (OTI5F5)
reactivity:
human
application:
western blot
,
immunocytochemistry
HEK293T cells were transfected with the pCMV6-ENTRY control (Left lane) or pCMV6-ENTRY MAP2K1 (Right lane) cDNA for 48 hrs and lysed. Equivalent amounts of cell lysates (5 ug per lane) were separated by SDS-PAGE and immunoblotted with anti-MAP2K1.
Anti-MAP2K1 mouse monoclonal antibody immunofluorescent staining of COS7 cells transiently transfected by pCMV6-ENTRY MAP2K1.
quantity:
price:
to the supplier
MAP2K1 / MKK1 / MEK1 Antibody (phospho-Thr286) LS-C352742
LifeSpan Biosciences
catalog: LS-C352742
domestic rabbit polyclonal
reactivity:
human
modification: phosphorylated
application:
western blot
Western blot analysis of MKK1 (pT286) expression in HEK293T PMA-treated (A); NIH3T3 UV-treated (B); C2C12 (C); PC12 PMA-treated (D); C6 (E) whole cell lysates.
quantity:
price:
to the supplier
MAP2K1 / MKK1 / MEK1 Antibody (Internal) LS-C352744
LifeSpan Biosciences
catalog: LS-C352744
domestic rabbit polyclonal
reactivity:
human
application:
western blot
,
immunohistochemistry
,
immunohistochemistry - paraffin section
Western blot analysis of MKK1 expression in HeLa (A); A549 (B); MCF7 (C); HepG2 (D); PC12 (E) whole cell lysates.
Immunohistochemical analysis of MKK1 staining in human breast cancer formalin fixed paraffin embedded tissue section. The section was pre-treated using heat mediated antigen retrieval with sodium citrate buffer (pH 6.0). The section was then incubated with the antibody at room temperature and detected using an HRP conjugated compact polymer system. DAB was used as the chromogen. The section was then counterstained with hematoxylin and mounted with DPX.
quantity:
price:
to the supplier
MAP2K1 / MKK1 / MEK1 Antibody (phospho-Thr292) LS-C352750
LifeSpan Biosciences
catalog: LS-C352750
domestic rabbit polyclonal
reactivity:
human
modification: phosphorylated
application:
western blot
,
immunohistochemistry
,
immunocytochemistry
,
immunohistochemistry - paraffin section
Western blot analysis of MKK1 (pT292) expression in A431 EGF-treated (A); HeLa EGF-treated (B) whole cell lysates.
Immunohistochemical analysis of MKK1 (pT292) staining in human breast cancer formalin fixed paraffin embedded tissue section. The section was pre-treated using heat mediated antigen retrieval with sodium citrate buffer (pH 6.0). The section was then incubated with the antibody at room temperature and detected using an HRP conjugated compact polymer system. DAB was used as the chromogen. The section was then counterstained with hematoxylin and mounted with DPX.
Immunofluorescent analysis of MKK1 (pT292) staining in HeLa cells. Formalin-fixed cells were permeabilized with 0.1% Triton X-100 in TBS for 5-10 minutes and blocked with 3% BSA-PBS for 30 minutes at room temperature. Cells were probed with the primary antibody in 3% BSA-PBS and incubated overnight at 4 C in a humidified chamber. Cells were washed with PBST and incubated with a DyLight 594-conjugated secondary antibody (red) in PBS at room temperature in the dark. DAPI was used to stain the cell nuclei (blue).
quantity:
price:
to the supplier
MAP2K1 / MKK1 / MEK1 Antibody (Internal) LS-C356181
LifeSpan Biosciences
catalog: LS-C356181
domestic rabbit polyclonal
reactivity:
human
application:
western blot
,
immunohistochemistry
,
immunohistochemistry - paraffin section
Western blot analysis of MKK1 expression in HepG2 (A); NIH3T3 (B) whole cell lysates.
Immunohistochemical analysis of MKK1 staining in human prostate cancer formalin fixed paraffin embedded tissue section. The section was pre-treated using heat mediated antigen retrieval with sodium citrate buffer (pH 6.0). The section was then incubated with the antibody at room temperature and detected using an HRP conjugated compact polymer system. DAB was used as the chromogen. The section was then counterstained with hematoxylin and mounted with DPX.
quantity:
price:
to the supplier
MAP2K1 / MKK1 / MEK1 Antibody (Internal) LS-C358805
LifeSpan Biosciences
catalog: LS-C358805
domestic rabbit polyclonal
reactivity:
human
application:
western blot
,
immunohistochemistry
,
immunohistochemistry - paraffin section
Western blot analysis of MKK1 expression in HEK293T (A); HepG2 (B) whole cell lysates.
Immunohistochemical analysis of MKK1 staining in human breast cancer formalin fixed paraffin embedded tissue section. The section was pre-treated using heat mediated antigen retrieval with sodium citrate buffer (pH 6.0). The section was then incubated with the antibody at room temperature and detected using an HRP conjugated compact polymer system. DAB was used as the chromogen. The section was then counterstained with hematoxylin and mounted with DPX.
quantity:
price:
to the supplier
MAP2K1 / MKK1 / MEK1 Antibody (phospho-Ser218) LS-C359368
LifeSpan Biosciences
catalog: LS-C359368
domestic rabbit polyclonal
reactivity:
human
modification: phosphorylated
application:
western blot
quantity:
price:
to the supplier
MAP2K1 / MKK1 / MEK1 Antibody (phospho-Ser298) LS-C368430
LifeSpan Biosciences
catalog: LS-C368430
domestic rabbit polyclonal
reactivity:
human
modification: phosphorylated
application:
western blot
,
immunohistochemistry
,
immunohistochemistry - paraffin section
Western blot analysis of MKK1 (pS298) expression in HepG2-UV (A); NIH3T3 (B) whole cell lysates.
Immunohistochemical analysis of MKK1 (pS298) staining in human breast cancer formalin fixed paraffin embedded tissue section. The section was pre-treated using heat mediated antigen retrieval with sodium citrate buffer (pH 6.0). The section was then incubated with the antibody at room temperature and detected using an HRP conjugated compact polymer system. DAB was used as the chromogen. The section was then counterstained with hematoxylin and mounted with DPX.
quantity:
price:
to the supplier
MAP2K1 / MKK1 / MEK1 Antibody (230-310 aa) LS-C380779
LifeSpan Biosciences
catalog: LS-C380779
domestic rabbit polyclonal
reactivity:
human
modification: phosphorylated
application:
western blot
,
ELISA
,
immunohistochemistry
,
immunocytochemistry
Western blot of Phospho-MEK-1 (T292) antibody
quantity:
price:
to the supplier
MAP2K1 / MKK1 / MEK1 Antibody (240-320 aa) LS-C380941
LifeSpan Biosciences
catalog: LS-C380941
domestic rabbit polyclonal
reactivity:
human
modification: phosphorylated
application:
western blot
,
ELISA
,
immunohistochemistry
Western blot of Phospho-MEK-1 (S298) antibody
quantity:
price:
to the supplier
MAP2K1 / MKK1 / MEK1 Antibody (330-410 aa) LS-C381026
LifeSpan Biosciences
catalog: LS-C381026
domestic rabbit polyclonal
reactivity:
human
modification: phosphorylated
application:
western blot
,
ELISA
Western blot of Phospho-MEK-1 (T386) antibody
quantity:
price:
to the supplier
MAP2K1 / MKK1 / MEK1 Antibody (230-310 aa) LS-C381305
LifeSpan Biosciences
catalog: LS-C381305
domestic rabbit polyclonal
reactivity:
human
modification: phosphorylated
application:
western blot
,
ELISA
,
immunohistochemistry
quantity:
price:
to the supplier
MAP2K1 / MKK1 / MEK1 Antibody (230-310 aa) LS-C384517
LifeSpan Biosciences
catalog: LS-C384517
domestic rabbit polyclonal
reactivity:
human
application:
western blot
,
ELISA
,
immunohistochemistry
Western blot of MEK-1 antibody
quantity:
price:
to the supplier
MAP2K1 / MKK1 / MEK1 Antibody (230-310 aa) LS-C384518
LifeSpan Biosciences
catalog: LS-C384518
domestic rabbit polyclonal
reactivity:
human
application:
western blot
,
ELISA
,
immunohistochemistry
Western blot of MEK-1 antibody
quantity:
price:
to the supplier
MAP2K1 / MKK1 / MEK1 Antibody (240-320 aa) LS-C384519
LifeSpan Biosciences
catalog: LS-C384519
domestic rabbit polyclonal
reactivity:
human
application:
western blot
,
ELISA
,
immunohistochemistry
Western blot of MEK-1 antibody
quantity:
price:
to the supplier
MAP2K1 / MKK1 / MEK1 Antibody LS-C387847
LifeSpan Biosciences
catalog: LS-C387847
domestic rabbit polyclonal
reactivity:
human
application:
western blot
,
immunohistochemistry
Immunohistochemistry of MEK-1 antibody
Western blot of MEK-1 antibody
quantity:
price:
to the supplier