Sign in
Sign up
home
>
LifeSpan Biosciences
> LifeSpan Biosciences PDZK1 antibody
IHC-plus™ PDZK1 Antibody (clone 1C3-2B11) LS-B6114
LifeSpan Biosciences
catalog: LS-B6114
mouse monoclonal (1C3-2B11)
reactivity:
human
application:
western blot
,
ELISA
,
immunohistochemistry
,
immunohistochemistry - paraffin section
PDZK1 monoclonal antibody LS-b6114. Western blot of PDZK1 expression in human kidney.
Detection limit for recombinant GST tagged PDZK1 is approximately 0.03 ng/ml as a capture antibody.
Anti-PDZK1 antibody IHC of human kidney. Immunohistochemistry of formalin-fixed, paraffin-embedded tissue after heat-induced antigen retrieval. Antibody concentration 5 ug/ml.
quantity:
price:
to the supplier
IHC-plus™ PDZK1 Antibody (C-Terminus) LS-B89
LifeSpan Biosciences
catalog: LS-B89
domestic rabbit polyclonal
reactivity:
human
application:
western blot
,
immunohistochemistry
,
immunocytochemistry
,
immunohistochemistry - paraffin section
Anti-PDZK1 antibody IHC of human kidney cortex. Immunohistochemistry of formalin-fixed, paraffin-embedded tissue after heat-induced antigen retrieval. Antibody concentration 5 ug/ml.
quantity:
price:
to the supplier
PDZK1 Antibody (C-Terminus) LS-C93150
LifeSpan Biosciences
catalog: LS-C93150
domestic rabbit polyclonal
reactivity:
human
application:
western blot
,
immunocytochemistry
quantity:
price:
to the supplier
PDZK1 Antibody (N-Terminus) LS-C101918
LifeSpan Biosciences
catalog: LS-C101918
domestic rabbit polyclonal
reactivity:
human
application:
western blot
quantity:
price:
to the supplier
PDZK1 Antibody (aa80-129) LS-C116974
LifeSpan Biosciences
catalog: LS-C116974
domestic rabbit polyclonal
reactivity:
human
application:
western blot
quantity:
price:
to the supplier
PDZK1 Antibody (aa1-519) LS-C131342
LifeSpan Biosciences
catalog: LS-C131342
domestic goat polyclonal
reactivity:
human
,
mouse
application:
western blot
quantity:
price:
to the supplier
PDZK1 Antibody (aa196-224) LS-C163509
LifeSpan Biosciences
catalog: LS-C163509
domestic rabbit polyclonal
reactivity:
human
application:
western blot
,
immunohistochemistry
,
immunohistochemistry - paraffin section
PDZK1 Antibody western blot of NCI-H292 cell line lysates (35 ug/lane). The PDZK1 antibody detected the PDZK1 protein (arrow).
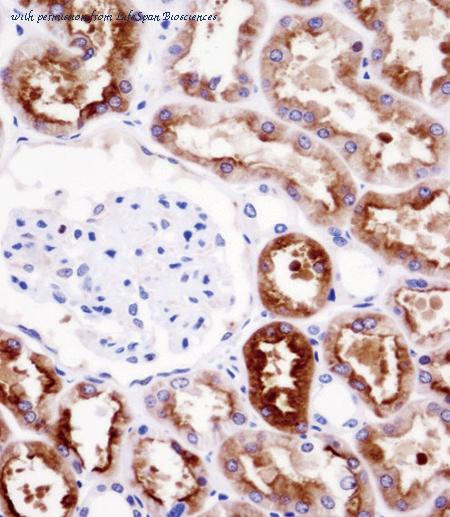
PDZK1 Antibody immunohistochemistry of formalin-fixed and paraffin-embedded human kidney tissue followed by peroxidase-conjugated secondary antibody and DAB staining.
quantity:
price:
to the supplier
IHC-plus™ PDZK1 Antibody (clone AT1A2) LS-B9662
LifeSpan Biosciences
catalog: LS-B9662
mouse monoclonal (AT1A2)
reactivity:
human
application:
western blot
,
ELISA
,
immunohistochemistry
,
immunohistochemistry - paraffin section
Western Blot: The cell lysates of HeLa (40 ug) and 293T (40 ug) were resolved by SDS-PAGE, transferred to PVDF membrane and probed with anti-human PDZK1 antibody (1:1000). Proteins were visualized using a goat anti-mouse secondary antibody conjugated to HRP and an ECL detection system.
Anti-PDZK1 antibody IHC staining of human kidney. Immunohistochemistry of formalin-fixed, paraffin-embedded tissue after heat-induced antigen retrieval. Antibody concentration 10 ug/ml.
quantity:
price:
to the supplier
PDZK1 Antibody (aa196-224, AP) LS-C266024
LifeSpan Biosciences
catalog: LS-C266024
domestic rabbit polyclonal
reactivity:
human
conjugate: AP
application:
western blot
,
ELISA
,
immunohistochemistry
quantity:
price:
to the supplier
PDZK1 Antibody (aa196-224, APC) LS-C266025
LifeSpan Biosciences
catalog: LS-C266025
domestic rabbit polyclonal
reactivity:
human
conjugate: APC
application:
western blot
,
ELISA
,
immunohistochemistry
quantity:
price:
to the supplier
PDZK1 Antibody (aa196-224, FITC) LS-C266026
LifeSpan Biosciences
catalog: LS-C266026
domestic rabbit polyclonal
reactivity:
human
conjugate: FITC
application:
western blot
,
ELISA
,
immunohistochemistry
quantity:
price:
to the supplier
PDZK1 Antibody (aa196-224, Biotin) LS-C266027
LifeSpan Biosciences
catalog: LS-C266027
domestic rabbit polyclonal
reactivity:
human
conjugate: biotin
application:
western blot
,
ELISA
,
immunohistochemistry
quantity:
price:
to the supplier
PDZK1 Antibody (aa196-224, Azide-free, HRP) LS-C266028
LifeSpan Biosciences
catalog: LS-C266028
domestic rabbit polyclonal
reactivity:
human
conjugate: HRP
application:
western blot
,
ELISA
,
immunohistochemistry
quantity:
price:
to the supplier
PDZK1 Antibody (aa196-224, PE) LS-C266030
LifeSpan Biosciences
catalog: LS-C266030
domestic rabbit polyclonal
reactivity:
human
conjugate: PE
application:
western blot
,
ELISA
,
immunohistochemistry
quantity:
price:
to the supplier
PDZK1 Antibody (Biotin) LS-C317606
LifeSpan Biosciences
catalog: LS-C317606
domestic rabbit polyclonal
reactivity:
human
conjugate: biotin
application:
western blot
,
ELISA
quantity:
price:
to the supplier
PDZK1 Antibody (FITC) LS-C317607
LifeSpan Biosciences
catalog: LS-C317607
domestic rabbit polyclonal
reactivity:
human
conjugate: FITC
application:
western blot
,
ELISA
quantity:
price:
to the supplier
PDZK1 Antibody (HRP) LS-C317609
LifeSpan Biosciences
catalog: LS-C317609
domestic rabbit polyclonal
reactivity:
human
conjugate: HRP
application:
western blot
,
ELISA
quantity:
price:
to the supplier
PDZK1 Antibody (aa196-224) LS-C323926
LifeSpan Biosciences
catalog: LS-C323926
domestic rabbit polyclonal
reactivity:
human
application:
western blot
,
ELISA
,
immunohistochemistry
quantity:
price:
to the supplier
PDZK1 Antibody LS-C333983
LifeSpan Biosciences
catalog: LS-C333983
domestic rabbit polyclonal
reactivity:
human
application:
western blot
,
immunohistochemistry
Western blot analysis of extracts of various cell lines.
quantity:
price:
to the supplier
PDZK1 Antibody LS-C341575
LifeSpan Biosciences
catalog: LS-C341575
domestic rabbit polyclonal
reactivity:
human
application:
western blot
,
immunohistochemistry
quantity:
price:
to the supplier