Sign in
Sign up
home
>
LifeSpan Biosciences
> LifeSpan Biosciences UMP CMP kinase antibody
CMPK / CMPK1 Antibody (aa18-48) LS-C101245
LifeSpan Biosciences
catalog: LS-C101245
domestic rabbit polyclonal
reactivity:
human
application:
western blot
,
immunohistochemistry
,
immunohistochemistry - paraffin section
The anti-UCK antibody is used in Western blot to detect UCK in mouse cerebellum tissue lysate (Lane 1) and HepG2 cell lysate (Lane 2).
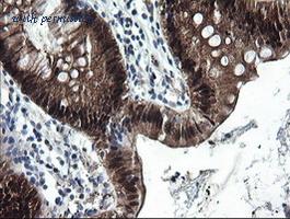
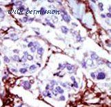
Formalin-fixed and paraffin-embedded human cancer tissue reacted with the primary antibody, which was peroxidase-conjugated to the secondary antibody, followed by AEC staining. This data demonstrates the use of this antibody for immunohistochemistry; clinical relevance has not been evaluated. BC = breast carcinoma; HC = hepatocarcinoma.
quantity:
price:
to the supplier
CMPK / CMPK1 Antibody (aa132-162) LS-C101246
LifeSpan Biosciences
catalog: LS-C101246
domestic rabbit polyclonal
reactivity:
human
application:
western blot
,
immunohistochemistry
,
immunohistochemistry - paraffin section
The anti-UCK antibody is used in Western blot to detect UCK in HepG2 cell lysate (Lane 1) and mouse cerebellum tissue lysate (Lane 2).
Formalin-fixed and paraffin-embedded human cancer tissue reacted with the primary antibody, which was peroxidase-conjugated to the secondary antibody, followed by AEC staining. This data demonstrates the use of this antibody for immunohistochemistry; clinical relevance has not been evaluated. BC = breast carcinoma; HC = hepatocarcinoma.
quantity:
price:
to the supplier
IHC-plus™ CMPK / CMPK1 Antibody (clone 1D7) LS-B5994
LifeSpan Biosciences
catalog: LS-B5994
mouse monoclonal (1D7)
reactivity:
human
application:
western blot
,
ELISA
,
immunohistochemistry
,
immunohistochemistry - paraffin section
citations: 1
CMPK monoclonal antibody, clone 1D7. Western blot of CMPK expression in K-562.
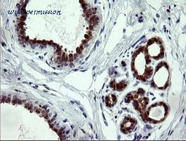
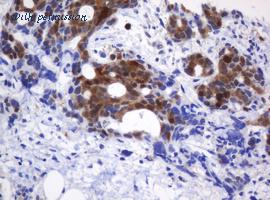
Anti-CMPK1 / CMPK antibody IHC of human prostate. Immunohistochemistry of formalin-fixed, paraffin-embedded tissue after heat-induced antigen retrieval. Antibody concentration 10 ug/ml.
quantity:
price:
to the supplier
CMPK / CMPK1 Antibody (clone OTI1D7) LS-C174314
LifeSpan Biosciences
catalog: LS-C174314
mouse monoclonal (OTI1D7)
reactivity:
human
application:
western blot
,
immunohistochemistry
,
immunocytochemistry
,
immunohistochemistry - paraffin section
citations: 1
HEK293T cells were transfected with the pCMV6-ENTRY control (Left lane) or pCMV6-ENTRY CMPK1 (Right lane) cDNA for 48 hrs and lysed. Equivalent amounts of cell lysates (5 ug per lane) were separated by SDS-PAGE and immunoblotted with anti-CMPK1.
IHC of paraffin-embedded Carcinoma of Human prostate tissue using anti-CMPK1 mouse monoclonal antibody.
Anti-CMPK1 mouse monoclonal antibody immunofluorescent staining of COS7 cells transiently transfected by pCMV6-ENTRY CMPK1.
quantity:
price:
to the supplier
CMPK / CMPK1 Antibody (aa1-50) LS-C118852
LifeSpan Biosciences
catalog: LS-C118852
domestic rabbit polyclonal
reactivity:
human
application:
western blot
Western blot analysis of lysates from HeLa cells, using KCY Antibody. The lane on the right is blocked with the synthesized peptide.
quantity:
price:
to the supplier
CMPK / CMPK1 Antibody (aa152-201) LS-C151460
LifeSpan Biosciences
catalog: LS-C151460
domestic rabbit polyclonal
reactivity:
human
,
mouse
application:
western blot
quantity:
price:
to the supplier
CMPK / CMPK1 Antibody (clone OTI2A2) LS-C174290
LifeSpan Biosciences
catalog: LS-C174290
mouse monoclonal (OTI2A2)
reactivity:
human
application:
western blot
,
immunohistochemistry
,
immunohistochemistry - paraffin section
Western blot of extracts (35 ug) from 9 different cell lines by using anti-CMPK1 monoclonal antibody (HepG2: human; HeLa: human; SVT2: mouse; A549: human; COS7: monkey; Jurkat: human; MDCK: canine; PC12: rat; MCF7: human).
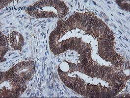
IHC of paraffin-embedded Adenocarcinoma of Human breast tissue using anti-CMPK1 mouse monoclonal antibody.
quantity:
price:
to the supplier
CMPK / CMPK1 Antibody (clone OTI2B2) LS-C174295
LifeSpan Biosciences
catalog: LS-C174295
mouse monoclonal (OTI2B2)
reactivity:
human
application:
western blot
,
immunohistochemistry
,
immunocytochemistry
,
immunohistochemistry - paraffin section
HEK293T cells were transfected with the pCMV6-ENTRY control (Left lane) or pCMV6-ENTRY CMPK1 (Right lane) cDNA for 48 hrs and lysed. Equivalent amounts of cell lysates (5 ug per lane) were separated by SDS-PAGE and immunoblotted with anti-CMPK1.
IHC of paraffin-embedded Adenocarcinoma of Human colon tissue using anti-CMPK1 mouse monoclonal antibody.
Anti-CMPK1 mouse monoclonal antibody immunofluorescent staining of COS7 cells transiently transfected by pCMV6-ENTRY CMPK1.
quantity:
price:
to the supplier
CMPK / CMPK1 Antibody (clone OTI1A1) LS-C174302
LifeSpan Biosciences
catalog: LS-C174302
mouse monoclonal (OTI1A1)
reactivity:
human
application:
western blot
,
immunohistochemistry
,
immunocytochemistry
,
immunohistochemistry - paraffin section
HEK293T cells were transfected with the pCMV6-ENTRY control (Left lane) or pCMV6-ENTRY CMPK1 (Right lane) cDNA for 48 hrs and lysed. Equivalent amounts of cell lysates (5 ug per lane) were separated by SDS-PAGE and immunoblotted with anti-CMPK1.
IHC of paraffin-embedded Human colon tissue using anti-CMPK1 mouse monoclonal antibody.
Anti-CMPK1 mouse monoclonal antibody immunofluorescent staining of COS7 cells transiently transfected by pCMV6-ENTRY CMPK1.
quantity:
price:
to the supplier
CMPK / CMPK1 Antibody (clone OTI1H8) LS-C174303
LifeSpan Biosciences
catalog: LS-C174303
mouse monoclonal (OTI1H8)
reactivity:
human
application:
western blot
,
immunohistochemistry
,
immunocytochemistry
,
immunohistochemistry - paraffin section
HEK293T cells were transfected with the pCMV6-ENTRY control (Left lane) or pCMV6-ENTRY CMPK1 (Right lane) cDNA for 48 hrs and lysed. Equivalent amounts of cell lysates (5 ug per lane) were separated by SDS-PAGE and immunoblotted with anti-CMPK1.
IHC of paraffin-embedded Human colon tissue using anti-CMPK1 mouse monoclonal antibody.
Anti-CMPK1 mouse monoclonal antibody immunofluorescent staining of COS7 cells transiently transfected by pCMV6-ENTRY CMPK1.
quantity:
price:
to the supplier
CMPK / CMPK1 Antibody (clone OTI2F5) LS-C174313
LifeSpan Biosciences
catalog: LS-C174313
mouse monoclonal (OTI2F5)
reactivity:
human
application:
western blot
,
immunohistochemistry
,
immunocytochemistry
,
immunohistochemistry - paraffin section
HEK293T cells were transfected with the pCMV6-ENTRY control (Left lane) or pCMV6-ENTRY CMPK1 (Right lane) cDNA for 48 hrs and lysed. Equivalent amounts of cell lysates (5 ug per lane) were separated by SDS-PAGE and immunoblotted with anti-CMPK1.
IHC of paraffin-embedded Human breast tissue using anti-CMPK1 mouse monoclonal antibody.
Anti-CMPK1 mouse monoclonal antibody immunofluorescent staining of COS7 cells transiently transfected by pCMV6-ENTRY CMPK1.
quantity:
price:
to the supplier
CMPK / CMPK1 Antibody (Glu36) LS-C191962
LifeSpan Biosciences
catalog: LS-C191962
domestic rabbit polyclonal
reactivity:
human
application:
western blot
,
immunohistochemistry
quantity:
price:
to the supplier
CMPK / CMPK1 Antibody (aa61-110) LS-C205834
LifeSpan Biosciences
catalog: LS-C205834
domestic rabbit polyclonal
reactivity:
human
application:
western blot
quantity:
price:
to the supplier
CMPK / CMPK1 Antibody LS-C307004
LifeSpan Biosciences
catalog: LS-C307004
mouse polyclonal
reactivity:
human
application:
western blot
,
immunocytochemistry
quantity:
price:
to the supplier
CMPK / CMPK1 Antibody LS-C309938
LifeSpan Biosciences
catalog: LS-C309938
domestic rabbit polyclonal
reactivity:
human
application:
western blot
quantity:
price:
to the supplier
CMPK / CMPK1 Antibody LS-C334795
LifeSpan Biosciences
catalog: LS-C334795
domestic rabbit polyclonal
reactivity:
human
application:
western blot
,
immunohistochemistry
,
immunocytochemistry
Western blot analysis of extracts of various cell lines.
Immunohistochemistry of paraffin-embedded Mouse lung tissue.
Immunofluorescence analysis of HeLa cells.
quantity:
price:
to the supplier
CMPK / CMPK1 Antibody (clone OTI1H1) LS-C337869
LifeSpan Biosciences
catalog: LS-C337869
mouse monoclonal (OTI1H1)
reactivity:
human
application:
western blot
HEK293T cells were transfected with the pCMV6-ENTRY control (Left lane) or pCMV6-ENTRY CMPK1 (Right lane) cDNA for 48 hrs and lysed. Equivalent amounts of cell lysates (5 ug per lane) were separated by SDS-PAGE and immunoblotted with anti-CMPK1.
quantity:
price:
to the supplier
CMPK / CMPK1 Antibody (clone OTI1H3) LS-C337870
LifeSpan Biosciences
catalog: LS-C337870
mouse monoclonal (OTI1H3)
reactivity:
human
application:
western blot
Western blot of extracts (35ug) from 9 different cell lines by using anti-CMPK1 monoclonal antibody (HepG2: human; HeLa: human; SVT2: mouse; A549: human; COS7: monkey; Jurkat: human; MDCK: canine; PC12: rat; MCF7: human).
quantity:
price:
to the supplier
CMPK / CMPK1 Antibody (clone OTI1A9) LS-C337883
LifeSpan Biosciences
catalog: LS-C337883
mouse monoclonal (OTI1A9)
reactivity:
human
application:
western blot
,
immunohistochemistry
,
immunocytochemistry
,
immunohistochemistry - paraffin section
HEK293T cells were transfected with the pCMV6-ENTRY control (Left lane) or pCMV6-ENTRY CMPK1 (Right lane) cDNA for 48 hrs and lysed. Equivalent amounts of cell lysates (5 ug per lane) were separated by SDS-PAGE and immunoblotted with anti-CMPK1.
IHC of paraffin-embedded Human colon tissue using anti-CMPK1 mouse monoclonal antibody. (Heat-induced epitope retrieval by 10mM citric buffer, pH6.0, 100C for 10min).
Anti-CMPK1 mouse monoclonal antibody immunofluorescent staining of COS7 cells transiently transfected by pCMV6-ENTRY CMPK1.
quantity:
price:
to the supplier
CMPK / CMPK1 Antibody (N-Terminus) LS-C358946
LifeSpan Biosciences
catalog: LS-C358946
domestic rabbit polyclonal
reactivity:
human
application:
western blot
,
immunohistochemistry
,
immunocytochemistry
,
immunohistochemistry - paraffin section
Western blot analysis of CMPK1 expression in HEK293T (A); K562 (B) whole cell lysates.
Immunohistochemical analysis of CMPK1 staining in human breast cancer formalin fixed paraffin embedded tissue section. The section was pre-treated using heat mediated antigen retrieval with sodium citrate buffer (pH 6.0). The section was then incubated with the antibody at room temperature and detected using an HRP conjugated compact polymer system. DAB was used as the chromogen. The section was then counterstained with hematoxylin and mounted with DPX.
Immunofluorescent analysis of CMPK1 staining in HEK293T cells. Formalin-fixed cells were permeabilized with 0.1% Triton X-100 in TBS for 5-10 minutes and blocked with 3% BSA-PBS for 30 minutes at room temperature. Cells were probed with the primary antibody in 3% BSA-PBS and incubated overnight at 4 ??C in a humidified chamber. Cells were washed with PBST and incubated with a DyLight 594-conjugated secondary antibody (red) in PBS at room temperature in the dark. DAPI was used to stain the cell nuclei (blue).
quantity:
price:
to the supplier
CMPK / CMPK1 Antibody (10-90 aa, N-terminal) LS-C386588
LifeSpan Biosciences
catalog: LS-C386588
domestic rabbit polyclonal
reactivity:
human
application:
western blot
,
ELISA
,
immunohistochemistry
,
immunocytochemistry
Western blot of UMP-CMP Kinase antibody
quantity:
price:
to the supplier