Sign in
Sign up
home
>
LifeSpan Biosciences
> LifeSpan Biosciences TNNI3K antibody
TNNI3K / CARK Antibody (aa301-350) LS-C120373
LifeSpan Biosciences
catalog: LS-C120373
domestic rabbit polyclonal
reactivity:
human
application:
immunohistochemistry
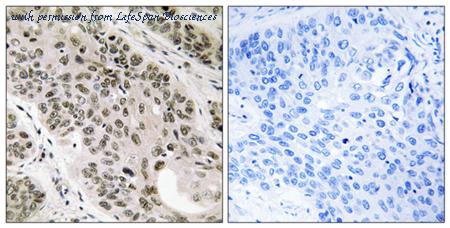
Immunohistochemistry analysis of paraffin-embedded human lung carcinoma tissue, using TNNI3K Antibody. The picture on the right is blocked with the synthesized peptide.
quantity:
price:
to the supplier
TNNI3K / CARK Antibody (aa755-804) LS-C102284
LifeSpan Biosciences
catalog: LS-C102284
domestic rabbit polyclonal
reactivity:
human
application:
western blot
quantity:
price:
to the supplier
TNNI3K / CARK Antibody (aa300-349) LS-C116348
LifeSpan Biosciences
catalog: LS-C116348
domestic rabbit polyclonal
reactivity:
human
application:
western blot
quantity:
price:
to the supplier
TNNI3K / CARK Antibody (aa366-415) LS-C145221
LifeSpan Biosciences
catalog: LS-C145221
domestic rabbit polyclonal
reactivity:
human
,
mouse
application:
western blot
quantity:
price:
to the supplier
TNNI3K / CARK Antibody (aa187-403) LS-C186035
LifeSpan Biosciences
catalog: LS-C186035
domestic rabbit polyclonal
reactivity:
human
application:
western blot
,
immunocytochemistry
Sample (30 ug of whole cell lysate). A: HeLaS3. 7.5% SDS PAGE. TNNI3K / CARK antibody diluted at 1:5000
Immunofluorescence of paraformaldehyde-fixed HeLa using TNNI3K antibody at 1:200 dilution.
quantity:
price:
to the supplier
TNNI3K / CARK Antibody (Internal) LS-C358369
LifeSpan Biosciences
catalog: LS-C358369
domestic rabbit polyclonal
reactivity:
human
application:
western blot
,
immunohistochemistry
,
immunohistochemistry - paraffin section
Western blot analysis of CARK expression in HEK293T (A); Raw264.7 (B); H9C2 (C) whole cell lysates.
Immunohistochemical analysis of CARK staining in human heart formalin fixed paraffin embedded tissue section. The section was pre-treated using heat mediated antigen retrieval with sodium citrate buffer (pH 6.0). The section was then incubated with the antibody at room temperature and detected using an HRP-conjugated compact polymer system. DAB was used as the chromogen. The section was then counterstained with hematoxylin and mounted with DPX.
quantity:
price:
to the supplier
TNNI3K / CARK Antibody (270-350 aa, Internal) LS-C386455
LifeSpan Biosciences
catalog: LS-C386455
domestic rabbit polyclonal
reactivity:
human
application:
western blot
,
ELISA
,
immunohistochemistry
Western blot of TNNI3K antibody
quantity:
price:
to the supplier