Sign in
Sign up
home
>
LifeSpan Biosciences
> LifeSpan Biosciences PAFAH1B1 antibody
IHC-plus™ PAFAH1B1 / LIS1 Antibody LS-B1383
LifeSpan Biosciences
catalog: LS-B1383
domestic rabbit polyclonal
reactivity:
human
application:
western blot
,
ELISA
,
immunohistochemistry
,
immunocytochemistry
,
immunohistochemistry - paraffin section
Anti-PAFAH1B1 / LIS1 antibody IHC of human thymus. Immunohistochemistry of formalin-fixed, paraffin-embedded tissue after heat-induced antigen retrieval. Antibody concentration 5 ug/ml.
Immunocytochemistry of LIS1 in Jurkat cells with LIS1 antibody at 2.5 ug/ml.
Immunofluorescence of LIS1 in Jurkat cells with LIS1 antibody at 20 ug/ml.
quantity:
price:
to the supplier
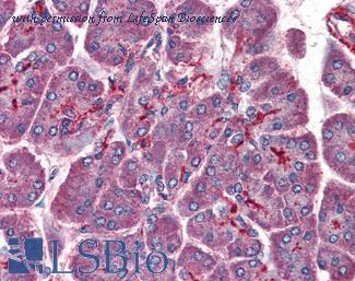
IHC-plus™ PAFAH1B1 / LIS1 Antibody (aa397-410) LS-B3029
LifeSpan Biosciences
catalog: LS-B3029
domestic goat polyclonal
reactivity:
human
application:
western blot
,
immunohistochemistry
,
immunohistochemistry - paraffin section
Anti-PAFAH1B1 / LIS1 antibody IHC of human pancreas. Immunohistochemistry of formalin-fixed, paraffin-embedded tissue after heat-induced antigen retrieval. Antibody concentration 75 ug/ml.
PAFAH1B1 / LIS1 antibody (0.1µg/ml) staining of Rat Ovary lysate (35µg protein in RIPA buffer). Primary incubation was 1 hour. Detected by chemiluminescence.
quantity:
price:
to the supplier
PAFAH1B1 / LIS1 Antibody LS-C125887
LifeSpan Biosciences
catalog: LS-C125887
mouse monoclonal
reactivity:
human
application:
western blot
,
ELISA
quantity:
price:
to the supplier
IHC-plus™ PAFAH1B1 / LIS1 Antibody (N-Terminus) LS-B8228
LifeSpan Biosciences
catalog: LS-B8228
domestic rabbit polyclonal
reactivity:
human
application:
western blot
,
immunohistochemistry
,
immunohistochemistry - paraffin section
Anti-LIS1 antibody IHC of human brain, cortex. Immunohistochemistry of formalin-fixed, paraffin-embedded tissue after heat-induced antigen retrieval. Antibody dilution 5-7.5 ug/ml. This image was taken for the unconjugated form of this product. Other forms have not been tested.
quantity:
price:
to the supplier
PAFAH1B1 / LIS1 Antibody (clone 2C12) LS-C197836
LifeSpan Biosciences
catalog: LS-C197836
mouse monoclonal (2C12)
reactivity:
human
application:
western blot
,
ELISA
Detection limit for recombinant GST tagged PAFAH1B1 is approximately 0.03 ng/ml as a capture antibody.
quantity:
price:
to the supplier
PAFAH1B1 / LIS1 Antibody (aa1-50) LS-C287304
LifeSpan Biosciences
catalog: LS-C287304
domestic rabbit polyclonal
reactivity:
human
application:
western blot
quantity:
price:
to the supplier
PAFAH1B1 / LIS1 Antibody (aa76-110) LS-C344456
LifeSpan Biosciences
catalog: LS-C344456
domestic rabbit polyclonal
reactivity:
human
application:
western blot
Western blot of lysates from HeLa, mouse C2C12, rat C6 cell line (from left to right) with PAFAH1B1 Antibody. Antibody was diluted at 1:1000 at each lane. A goat anti-rabbit IgG H&L (HRP) at 1:10000 dilution was used as the secondary antibody. Lysates at 20 ug per lane.
quantity:
price:
to the supplier
PAFAH1B1 / LIS1 Antibody (aa91-125) LS-C344547
LifeSpan Biosciences
catalog: LS-C344547
domestic rabbit polyclonal
reactivity:
human
application:
western blot
Western blot of lysates from HeLa, K562, SH-SY5Y, rat C6 cell line (from left to right) with PAFAH1B1 Antibody. Antibody was diluted at 1:1000 at each lane. A goat anti-rabbit IgG H&L (HRP) at 1:10000 dilution was used as the secondary antibody. Lysates at 20 ug per lane.
quantity:
price:
to the supplier