Sign in
Sign up
home
>
LifeSpan Biosciences
> LifeSpan Biosciences NKX3 1 antibody
IHC-plus™ NKX3-1 Antibody (clone 4H4) LS-B4156
LifeSpan Biosciences
catalog: LS-B4156
mouse monoclonal (4H4)
reactivity:
human
application:
western blot
,
ELISA
,
immunohistochemistry
,
flow cytometry
,
immunohistochemistry - paraffin section
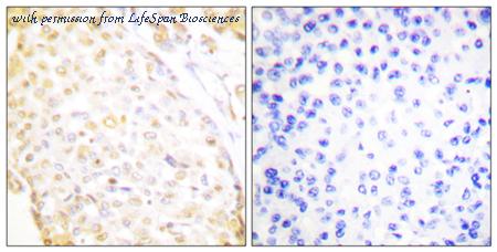
Anti-NKX3-1 antibody IHC of human placenta. Immunohistochemistry of formalin-fixed, paraffin-embedded tissue after heat-induced antigen retrieval. Antibody dilution 1:200.
quantity:
price:
to the supplier
IHC-plus™ NKX3-1 Antibody (N-Terminus, clone 3-9) LS-B3435
LifeSpan Biosciences
catalog: LS-B3435
mouse monoclonal (3-9)
reactivity:
human
application:
western blot
,
ELISA
,
immunohistochemistry
,
immunohistochemistry - paraffin section
,
immunohistochemistry - frozen section
citations: 1
Anti-NKX3-1 antibody IHC of human prostate. Immunohistochemistry of formalin-fixed, paraffin-embedded tissue after heat-induced antigen retrieval. Antibody concentration 10 ug/ml.
quantity:
price:
to the supplier
NKX3-1 Antibody (clone OTI4B12) LS-C339454
LifeSpan Biosciences
catalog: LS-C339454
mouse monoclonal (OTI4B12)
reactivity:
human
application:
western blot
citations: 1
HEK293T cells were transfected with the pCMV6-ENTRY control (Left lane) or pCMV6-ENTRY NKX3-1 (Right lane) cDNA for 48 hrs and lysed. Equivalent amounts of cell lysates (5 ug per lane) were separated by SDS-PAGE and immunoblotted with anti-NKX3-1.
quantity:
price:
to the supplier
NKX3-1 Antibody (clone 0361) LS-C2732
LifeSpan Biosciences
catalog: LS-C2732
mouse monoclonal (0361)
reactivity:
human
application:
western blot
,
immunohistochemistry
quantity:
price:
to the supplier
NKX3-1 Antibody LS-C73616
LifeSpan Biosciences
catalog: LS-C73616
mouse monoclonal
reactivity:
human
application:
western blot
,
immunohistochemistry
quantity:
price:
to the supplier
NKX3-1 Antibody (C-Terminus) LS-C101371
LifeSpan Biosciences
catalog: LS-C101371
domestic rabbit polyclonal
reactivity:
human
application:
western blot
quantity:
price:
to the supplier
NKX3-1 Antibody (aa143-192) LS-C110315
LifeSpan Biosciences
catalog: LS-C110315
domestic rabbit polyclonal
reactivity:
human
application:
western blot
quantity:
price:
to the supplier
NKX3-1 Antibody (aa1-50) LS-C118532
LifeSpan Biosciences
catalog: LS-C118532
domestic rabbit polyclonal
reactivity:
human
application:
immunohistochemistry
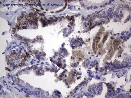
Immunohistochemistry analysis of paraffin-embedded human breast carcinoma, using NKX3.1 Antibody. The picture on the right is blocked with the synthesized peptide.
quantity:
price:
to the supplier
NKX3-1 Antibody (clone 361, Biotin) LS-C140876
LifeSpan Biosciences
catalog: LS-C140876
mouse monoclonal (361)
reactivity:
human
conjugate: biotin
application:
western blot
,
immunohistochemistry
quantity:
price:
to the supplier
NKX3-1 Antibody (clone 361, DY650) LS-C140877
LifeSpan Biosciences
catalog: LS-C140877
mouse monoclonal (361)
reactivity:
human
application:
western blot
,
immunohistochemistry
quantity:
price:
to the supplier
NKX3-1 Antibody (clone 361, DY488) LS-C140878
LifeSpan Biosciences
catalog: LS-C140878
mouse monoclonal (361)
reactivity:
human
application:
western blot
,
immunohistochemistry
quantity:
price:
to the supplier
NKX3-1 Antibody (clone 361, DY550) LS-C140880
LifeSpan Biosciences
catalog: LS-C140880
mouse monoclonal (361)
reactivity:
human
application:
western blot
,
immunohistochemistry
quantity:
price:
to the supplier
NKX3-1 Antibody LS-C153068
LifeSpan Biosciences
catalog: LS-C153068
domestic rabbit polyclonal
reactivity:
human
application:
western blot
quantity:
price:
to the supplier
NKX3-1 Antibody (aa58-86) LS-C158233
LifeSpan Biosciences
catalog: LS-C158233
domestic rabbit polyclonal
reactivity:
human
,
mouse
application:
western blot
Mouse Nkx3-1 Antibody western blot of mouse stomach tissue lysates (35 ug/lane). The Nkx3-1 antibody detected the Nkx3-1 protein (arrow).
quantity:
price:
to the supplier
NKX3-1 Antibody (aa159-187) LS-C158395
LifeSpan Biosciences
catalog: LS-C158395
domestic rabbit polyclonal
reactivity:
human
application:
western blot
NKX3-1 Antibody western blot of U251 cell line lysates (35 ug/lane). The NKX3-1 antibody detected the NKX3-1 protein (arrow).
quantity:
price:
to the supplier
NKX3-1 Antibody (aa90-139) LS-C170147
LifeSpan Biosciences
catalog: LS-C170147
domestic rabbit polyclonal
reactivity:
human
,
mouse
application:
western blot
quantity:
price:
to the supplier
NKX3-1 Antibody (Leu2) LS-C176332
LifeSpan Biosciences
catalog: LS-C176332
domestic rabbit polyclonal
reactivity:
human
application:
western blot
,
immunohistochemistry
,
immunohistochemistry - paraffin section
IHC of NKX3.1 (L2) pAb in paraffin-embedded human breast carcinoma tissue.
quantity:
price:
to the supplier
NKX3-1 Antibody (clone 820C3a) LS-C184461
LifeSpan Biosciences
catalog: LS-C184461
mouse monoclonal (820C3a)
reactivity:
human
quantity:
price:
to the supplier
NKX3-1 Antibody (clone 3H6) LS-C197786
LifeSpan Biosciences
catalog: LS-C197786
mouse monoclonal (3H6)
reactivity:
human
application:
western blot
,
ELISA
NKX3-1 monoclonal antibody (M01), clone 3H6. Western Blot analysis of NKX3-1 expression in human colon.
Detection limit for recombinant GST tagged NKX3-1 is approximately 1 ng/ml as a capture antibody.
quantity:
price:
to the supplier
NKX3-1 Antibody (aa159-187, AP) LS-C264454
LifeSpan Biosciences
catalog: LS-C264454
domestic rabbit polyclonal
reactivity:
human
conjugate: AP
application:
western blot
,
ELISA
quantity:
price:
to the supplier
NKX3-1 Antibody (aa159-187, APC) LS-C264455
LifeSpan Biosciences
catalog: LS-C264455
domestic rabbit polyclonal
reactivity:
human
conjugate: APC
application:
western blot
,
ELISA
quantity:
price:
to the supplier
NKX3-1 Antibody (aa159-187, Biotin) LS-C264456
LifeSpan Biosciences
catalog: LS-C264456
domestic rabbit polyclonal
reactivity:
human
conjugate: biotin
application:
western blot
,
ELISA
quantity:
price:
to the supplier
NKX3-1 Antibody (aa159-187, FITC) LS-C264457
LifeSpan Biosciences
catalog: LS-C264457
domestic rabbit polyclonal
reactivity:
human
conjugate: FITC
application:
western blot
,
ELISA
quantity:
price:
to the supplier
NKX3-1 Antibody (aa159-187, PE) LS-C264458
LifeSpan Biosciences
catalog: LS-C264458
domestic rabbit polyclonal
reactivity:
human
conjugate: PE
application:
western blot
,
ELISA
quantity:
price:
to the supplier
NKX3-1 Antibody (aa58-86, AP) LS-C264459
LifeSpan Biosciences
catalog: LS-C264459
domestic rabbit polyclonal
reactivity:
human
,
mouse
conjugate: AP
application:
western blot
,
ELISA
quantity:
price:
to the supplier
NKX3-1 Antibody (aa58-86, APC) LS-C264460
LifeSpan Biosciences
catalog: LS-C264460
domestic rabbit polyclonal
reactivity:
human
,
mouse
conjugate: APC
application:
western blot
,
ELISA
quantity:
price:
to the supplier
NKX3-1 Antibody (aa58-86, Biotin) LS-C264461
LifeSpan Biosciences
catalog: LS-C264461
domestic rabbit polyclonal
reactivity:
human
,
mouse
conjugate: biotin
application:
western blot
,
ELISA
quantity:
price:
to the supplier
NKX3-1 Antibody (aa58-86, FITC) LS-C264462
LifeSpan Biosciences
catalog: LS-C264462
domestic rabbit polyclonal
reactivity:
human
,
mouse
conjugate: FITC
application:
western blot
,
ELISA
quantity:
price:
to the supplier
NKX3-1 Antibody (aa58-86, Azide-free, HRP) LS-C264463
LifeSpan Biosciences
catalog: LS-C264463
domestic rabbit polyclonal
reactivity:
human
,
mouse
conjugate: HRP
application:
western blot
,
ELISA
quantity:
price:
to the supplier
NKX3-1 Antibody (aa159-187, Azide-free, HRP) LS-C264465
LifeSpan Biosciences
catalog: LS-C264465
domestic rabbit polyclonal
reactivity:
human
conjugate: HRP
application:
western blot
,
ELISA
quantity:
price:
to the supplier
NKX3-1 Antibody (aa58-86, PE) LS-C264466
LifeSpan Biosciences
catalog: LS-C264466
domestic rabbit polyclonal
reactivity:
human
,
mouse
conjugate: PE
application:
western blot
,
ELISA
quantity:
price:
to the supplier
NKX3-1 Antibody (aa118-145, AP) LS-C280132
LifeSpan Biosciences
catalog: LS-C280132
domestic rabbit polyclonal
reactivity:
human
conjugate: AP
application:
western blot
,
ELISA
quantity:
price:
to the supplier
NKX3-1 Antibody (aa118-145, APC) LS-C280133
LifeSpan Biosciences
catalog: LS-C280133
domestic rabbit polyclonal
reactivity:
human
conjugate: APC
application:
western blot
,
ELISA
quantity:
price:
to the supplier
NKX3-1 Antibody (aa118-145, Biotin) LS-C280134
LifeSpan Biosciences
catalog: LS-C280134
domestic rabbit polyclonal
reactivity:
human
conjugate: biotin
application:
western blot
,
ELISA
quantity:
price:
to the supplier
NKX3-1 Antibody (aa118-145, FITC) LS-C280135
LifeSpan Biosciences
catalog: LS-C280135
domestic rabbit polyclonal
reactivity:
human
conjugate: FITC
application:
western blot
,
ELISA
quantity:
price:
to the supplier
NKX3-1 Antibody (aa118-145, Azide-free, HRP) LS-C280136
LifeSpan Biosciences
catalog: LS-C280136
domestic rabbit polyclonal
reactivity:
human
conjugate: HRP
application:
western blot
,
ELISA
quantity:
price:
to the supplier
NKX3-1 Antibody (aa118-145, PE) LS-C280137
LifeSpan Biosciences
catalog: LS-C280137
domestic rabbit polyclonal
reactivity:
human
conjugate: PE
application:
western blot
,
ELISA
quantity:
price:
to the supplier
IHC-plus™ NKX3-1 Antibody (aa118-145) LS-B11115
LifeSpan Biosciences
catalog: LS-B11115
domestic rabbit polyclonal
reactivity:
human
application:
western blot
,
immunohistochemistry
,
flow cytometry
,
immunohistochemistry - paraffin section
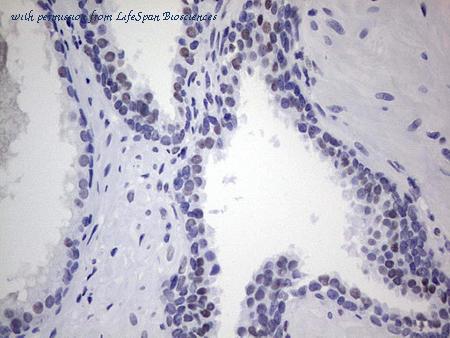
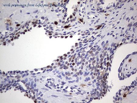
Anti-NKX3-1 antibody IHC staining of human kidney. Immunohistochemistry of formalin-fixed, paraffin-embedded tissue after heat-induced antigen retrieval. Antibody dilution 1:100.
Western blot of NKX3-1 Antibody in MCF-7 cell line lysates (35 ug/lane). NKX3-1 (arrow) was detected using the purified antibody.
NKX3-1 Antibody flow cytometry of MDA-MB231 cells (bottom histogram) compared to a negative control cell (top histogram). FITC-conjugated goat-anti-rabbit secondary antibodies were used for the analysis.
quantity:
price:
to the supplier
NKX3-1 Antibody (aa159-187) LS-C323360
LifeSpan Biosciences
catalog: LS-C323360
domestic rabbit polyclonal
reactivity:
human
application:
western blot
,
ELISA
quantity:
price:
to the supplier
NKX3-1 Antibody (aa58-86) LS-C323362
LifeSpan Biosciences
catalog: LS-C323362
domestic rabbit polyclonal
reactivity:
human
,
mouse
application:
western blot
,
ELISA
quantity:
price:
to the supplier
NKX3-1 Antibody (aa118-145) LS-C328035
LifeSpan Biosciences
catalog: LS-C328035
domestic rabbit polyclonal
reactivity:
human
application:
western blot
,
ELISA
quantity:
price:
to the supplier
NKX3-1 Antibody (clone OTI1B4) LS-C339453
LifeSpan Biosciences
catalog: LS-C339453
mouse monoclonal (OTI1B4)
reactivity:
human
application:
western blot
,
immunohistochemistry
,
immunohistochemistry - paraffin section
HEK293T cells were transfected with the pCMV6-ENTRY control (Left lane) or pCMV6-ENTRY NKX3-1 (Right lane) cDNA for 48 hrs and lysed. Equivalent amounts of cell lysates (5 ug per lane) were separated by SDS-PAGE and immunoblotted with anti-NKX3-1.
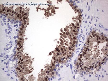
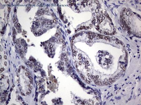
IHC of paraffin-embedded Carcinoma of Human prostate tissue using anti-NKX3-1 mouse monoclonal antibody. (Heat-induced epitope retrieval by 1 mM EDTA in 10mM Tris, pH8.5, 120°C for 3min).
quantity:
price:
to the supplier
NKX3-1 Antibody (clone OTI1C11) LS-C339456
LifeSpan Biosciences
catalog: LS-C339456
mouse monoclonal (OTI1C11)
reactivity:
human
application:
western blot
HEK293T cells were transfected with the pCMV6-ENTRY control (Left lane) or pCMV6-ENTRY NKX3-1 (Right lane) cDNA for 48 hrs and lysed. Equivalent amounts of cell lysates (5 ug per lane) were separated by SDS-PAGE and immunoblotted with anti-NKX3-1.
quantity:
price:
to the supplier
NKX3-1 Antibody (clone OTI6D1) LS-C339457
LifeSpan Biosciences
catalog: LS-C339457
mouse monoclonal (OTI6D1)
reactivity:
human
application:
western blot
,
immunohistochemistry
,
immunohistochemistry - paraffin section
HEK293T cells were transfected with the pCMV6-ENTRY control (Left lane) or pCMV6-ENTRY NKX3-1 (Right lane) cDNA for 48 hrs and lysed. Equivalent amounts of cell lysates (5 ug per lane) were separated by SDS-PAGE and immunoblotted with anti-NKX3-1.
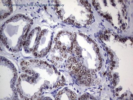
IHC of paraffin-embedded Human prostate tissue using anti-NKX3-1 mouse monoclonal antibody. (Heat-induced epitope retrieval by 1 mM EDTA in 10mM Tris, pH8.5, 120°C for 3min).
quantity:
price:
to the supplier
NKX3-1 Antibody (clone OTI3H7) LS-C339458
LifeSpan Biosciences
catalog: LS-C339458
mouse monoclonal (OTI3H7)
reactivity:
human
application:
immunohistochemistry
,
immunohistochemistry - paraffin section
IHC of paraffin-embedded Human prostate tissue using anti-NKX3-1 mouse monoclonal antibody. (Heat-induced epitope retrieval by 1 mM EDTA in 10mM Tris, pH8.5, 120°C for 3min).
quantity:
price:
to the supplier
NKX3-1 Antibody (clone OTI4C11) LS-C339460
LifeSpan Biosciences
catalog: LS-C339460
mouse monoclonal (OTI4C11)
reactivity:
human
application:
western blot
HEK293T cells were transfected with the pCMV6-ENTRY control (Left lane) or pCMV6-ENTRY NKX3-1 (Right lane) cDNA for 48 hrs and lysed. Equivalent amounts of cell lysates (5 ug per lane) were separated by SDS-PAGE and immunoblotted with anti-NKX3-1.
quantity:
price:
to the supplier
NKX3-1 Antibody (clone OTI4B4) LS-C339464
LifeSpan Biosciences
catalog: LS-C339464
mouse monoclonal (OTI4B4)
reactivity:
human
application:
western blot
HEK293T cells were transfected with the pCMV6-ENTRY control (Left lane) or pCMV6-ENTRY NKX3-1 (Right lane) cDNA for 48 hrs and lysed. Equivalent amounts of cell lysates (5 ug per lane) were separated by SDS-PAGE and immunoblotted with anti-NKX3-1.
quantity:
price:
to the supplier
NKX3-1 Antibody (clone OTI1B9) LS-C339465
LifeSpan Biosciences
catalog: LS-C339465
mouse monoclonal (OTI1B9)
reactivity:
human
application:
western blot
,
immunohistochemistry
,
immunohistochemistry - paraffin section
HEK293T cells were transfected with the pCMV6-ENTRY control (Left lane) or pCMV6-ENTRY NKX3-1 (Right lane) cDNA for 48 hrs and lysed. Equivalent amounts of cell lysates (5 ug per lane) were separated by SDS-PAGE and immunoblotted with anti-NKX3-1.
IHC of paraffin-embedded Carcinoma of Human prostate tissue using anti-NKX3-1 mouse monoclonal antibody. (Heat-induced epitope retrieval by 1 mM EDTA in 10mM Tris, pH8.5, 120°C for 3min).
quantity:
price:
to the supplier
NKX3-1 Antibody (clone OTI1F5) LS-C339466
LifeSpan Biosciences
catalog: LS-C339466
mouse monoclonal (OTI1F5)
reactivity:
human
application:
western blot
HEK293T cells were transfected with the pCMV6-ENTRY control (Left lane) or pCMV6-ENTRY NKX3-1 (Right lane) cDNA for 48 hrs and lysed. Equivalent amounts of cell lysates (5 ug per lane) were separated by SDS-PAGE and immunoblotted with anti-NKX3-1.
quantity:
price:
to the supplier
NKX3-1 Antibody (clone OTI2E4) LS-C339475
LifeSpan Biosciences
catalog: LS-C339475
mouse monoclonal (OTI2E4)
reactivity:
human
application:
immunohistochemistry
,
immunohistochemistry - paraffin section
IHC of paraffin-embedded Human prostate tissue using anti-NKX3-1 mouse monoclonal antibody. (Heat-induced epitope retrieval by 1 mM EDTA in 10mM Tris, pH8.5, 120°C for 3min).
quantity:
price:
to the supplier
NKX3-1 Antibody (clone OTI2A3) LS-C339482
LifeSpan Biosciences
catalog: LS-C339482
mouse monoclonal (OTI2A3)
reactivity:
human
application:
western blot
HEK293T cells were transfected with the pCMV6-ENTRY control (Left lane) or pCMV6-ENTRY NKX3-1 (Right lane) cDNA for 48 hrs and lysed. Equivalent amounts of cell lysates (5 ug per lane) were separated by SDS-PAGE and immunoblotted with anti-NKX3-1.
quantity:
price:
to the supplier
NKX3-1 Antibody (clone OTI7F6) LS-C339483
LifeSpan Biosciences
catalog: LS-C339483
mouse monoclonal (OTI7F6)
reactivity:
human
application:
western blot
HEK293T cells were transfected with the pCMV6-ENTRY control (Left lane) or pCMV6-ENTRY NKX3-1 (Right lane) cDNA for 48 hrs and lysed. Equivalent amounts of cell lysates (5 ug per lane) were separated by SDS-PAGE and immunoblotted with anti-NKX3-1.
quantity:
price:
to the supplier
NKX3-1 Antibody (clone OTI2A5) LS-C339484
LifeSpan Biosciences
catalog: LS-C339484
mouse monoclonal (OTI2A5)
reactivity:
human
application:
western blot
,
immunohistochemistry
,
immunohistochemistry - paraffin section
HEK293T cells were transfected with the pCMV6-ENTRY control (Left lane) or pCMV6-ENTRY NKX3-1 (Right lane) cDNA for 48 hrs and lysed. Equivalent amounts of cell lysates (5 ug per lane) were separated by SDS-PAGE and immunoblotted with anti-NKX3-1.
IHC of paraffin-embedded Human prostate tissue using anti-NKX3-1 mouse monoclonal antibody. (Heat-induced epitope retrieval by 1 mM EDTA in 10mM Tris, pH8.5, 120°C for 3min).
quantity:
price:
to the supplier
NKX3-1 Antibody (clone OTI2D2) LS-C339486
LifeSpan Biosciences
catalog: LS-C339486
mouse monoclonal (OTI2D2)
reactivity:
human
application:
western blot
,
immunohistochemistry
,
immunohistochemistry - paraffin section
HEK293T cells were transfected with the pCMV6-ENTRY control (Left lane) or pCMV6-ENTRY NKX3-1 (Right lane) cDNA for 48 hrs and lysed. Equivalent amounts of cell lysates (5 ug per lane) were separated by SDS-PAGE and immunoblotted with anti-NKX3-1.
IHC of paraffin-embedded Human prostate tissue using anti-NKX3-1 mouse monoclonal antibody. (Heat-induced epitope retrieval by 1 mM EDTA in 10mM Tris, pH8.5, 120°C for 3min).
quantity:
price:
to the supplier
NKX3-1 Antibody (clone OTI4H6) LS-C339497
LifeSpan Biosciences
catalog: LS-C339497
mouse monoclonal (OTI4H6)
reactivity:
human
application:
western blot
HEK293T cells were transfected with the pCMV6-ENTRY control (Left lane) or pCMV6-ENTRY NKX3-1 (Right lane) cDNA for 48 hrs and lysed. Equivalent amounts of cell lysates (5 ug per lane) were separated by SDS-PAGE and immunoblotted with anti-NKX3-1.
quantity:
price:
to the supplier
NKX3-1 Antibody (clone OTI2F2) LS-C339498
LifeSpan Biosciences
catalog: LS-C339498
mouse monoclonal (OTI2F2)
reactivity:
human
application:
western blot
HEK293T cells were transfected with the pCMV6-ENTRY control (Left lane) or pCMV6-ENTRY NKX3-1 (Right lane) cDNA for 48 hrs and lysed. Equivalent amounts of cell lysates (5 ug per lane) were separated by SDS-PAGE and immunoblotted with anti-NKX3-1.
quantity:
price:
to the supplier
NKX3-1 Antibody (clone OTI2D11) LS-C339510
LifeSpan Biosciences
catalog: LS-C339510
mouse monoclonal (OTI2D11)
reactivity:
human
application:
western blot
,
immunohistochemistry
,
immunohistochemistry - paraffin section
HEK293T cells were transfected with the pCMV6-ENTRY control (Left lane) or pCMV6-ENTRY NKX3-1 (Right lane) cDNA for 48 hrs and lysed. Equivalent amounts of cell lysates (5 ug per lane) were separated by SDS-PAGE and immunoblotted with anti-NKX3-1.
IHC of paraffin-embedded Human prostate tissue using anti-NKX3-1 mouse monoclonal antibody. (Heat-induced epitope retrieval by 1 mM EDTA in 10mM Tris, pH8.5, 120°C for 3min).
quantity:
price:
to the supplier
NKX3-1 Antibody (clone OTI8B2) LS-C339518
LifeSpan Biosciences
catalog: LS-C339518
mouse monoclonal (OTI8B2)
reactivity:
human
application:
western blot
HEK293T cells were transfected with the pCMV6-ENTRY control (Left lane) or pCMV6-ENTRY NKX3-1 (Right lane) cDNA for 48 hrs and lysed. Equivalent amounts of cell lysates (5 ug per lane) were separated by SDS-PAGE and immunoblotted with anti-NKX3-1.
quantity:
price:
to the supplier
NKX3-1 Antibody (clone OTI1C2) LS-C339538
LifeSpan Biosciences
catalog: LS-C339538
mouse monoclonal (OTI1C2)
reactivity:
human
application:
western blot
,
immunohistochemistry
,
immunohistochemistry - paraffin section
HEK293T cells were transfected with the pCMV6-ENTRY control (Left lane) or pCMV6-ENTRY NKX3-1 (Right lane) cDNA for 48 hrs and lysed. Equivalent amounts of cell lysates (5 ug per lane) were separated by SDS-PAGE and immunoblotted with anti-NKX3-1.
IHC of paraffin-embedded Carcinoma of Human prostate tissue using anti-NKX3-1 mouse monoclonal antibody. (Heat-induced epitope retrieval by 1 mM EDTA in 10mM Tris, pH8.5, 120°C for 3min).
quantity:
price:
to the supplier
NKX3-1 Antibody (clone OTI6E7) LS-C339586
LifeSpan Biosciences
catalog: LS-C339586
mouse monoclonal (OTI6E7)
reactivity:
human
application:
western blot
,
immunohistochemistry
,
immunohistochemistry - paraffin section
HEK293T cells were transfected with the pCMV6-ENTRY control (Left lane) or pCMV6-ENTRY NKX3-1 (Right lane) cDNA for 48 hrs and lysed. Equivalent amounts of cell lysates (5 ug per lane) were separated by SDS-PAGE and immunoblotted with anti-NKX3-1.
IHC of paraffin-embedded Human prostate tissue using anti-NKX3-1 mouse monoclonal antibody. (Heat-induced epitope retrieval by 1 mM EDTA in 10mM Tris, pH8.5, 120°C for 3min).
quantity:
price:
to the supplier
NKX3-1 Antibody (clone 820C3a) LS-C342506
LifeSpan Biosciences
catalog: LS-C342506
mouse monoclonal (820C3a)
reactivity:
human
application:
western blot
Western blot analysis of immunized recombinant protein, using anti-NKX3-1 monoclonal antibody.
quantity:
price:
to the supplier
NKX3-1 Antibody (N-Terminus) LS-C352596
LifeSpan Biosciences
catalog: LS-C352596
domestic rabbit polyclonal
reactivity:
human
application:
western blot
,
immunohistochemistry
,
immunohistochemistry - paraffin section
Western blot analysis of NKX3-1 expression in LNCaP (A) whole cell lysates.
Immunohistochemical analysis of NKX3-1 staining in human breast cancer formalin fixed paraffin embedded tissue section. The section was pre-treated using heat mediated antigen retrieval with sodium citrate buffer (pH 6.0). The section was then incubated with the antibody at room temperature and detected using an HRP conjugated compact polymer system. DAB was used as the chromogen. The section was then counterstained with hematoxylin and mounted with DPX.
quantity:
price:
to the supplier
NKX3-1 Antibody (1-80 aa, N-terminal) LS-C384926
LifeSpan Biosciences
catalog: LS-C384926
domestic rabbit polyclonal
reactivity:
human
application:
western blot
,
ELISA
,
immunohistochemistry
Western blot of Nkx-3.1 antibody
quantity:
price:
to the supplier