Sign in
Sign up
home
>
LifeSpan Biosciences
> LifeSpan Biosciences ALDH6A1 antibody
ALDH6A1 Antibody (C-Terminus) LS-C111111
LifeSpan Biosciences
catalog: LS-C111111
domestic rabbit polyclonal
reactivity:
human
application:
western blot
quantity:
price:
to the supplier
ALDH6A1 Antibody LS-C155382
LifeSpan Biosciences
catalog: LS-C155382
domestic rabbit polyclonal
reactivity:
human
application:
western blot
,
immunohistochemistry
,
immunohistochemistry - paraffin section
Sample (30 ug of whole cell lysate) A: Jurkat 7.5% SDS PAGE ALDH6A1 antibody diluted at 1:1000
IHC of paraffin-embedded Breast ca, using ALDH6A1 antibody at 1:250 dilution.
quantity:
price:
to the supplier
ALDH6A1 Antibody LS-C156268
LifeSpan Biosciences
catalog: LS-C156268
mouse monoclonal
reactivity:
human
application:
western blot
,
immunohistochemistry
,
immunocytochemistry
,
immunohistochemistry - paraffin section
Immunohistochemical of paraffin-embedded H.colon section using ALDH6A1 Antibody. Antibody was diluted at 1:25 dilution. A peroxidase-conjugated goat anti-rabbit IgG at 1:400 dilution was used as the secondary antibody, followed by DAB staining.
ALDH6A1 Antibody western blot of MCF-7 cell lysate (35 ug/lane). This demonstrates that the ALDH6A1 antibody detected ALDH6A1 protein (arrow).
quantity:
price:
to the supplier
IHC-plus™ ALDH6A1 Antibody (aa30-59) LS-B8998
LifeSpan Biosciences
catalog: LS-B8998
domestic rabbit polyclonal
reactivity:
human
application:
western blot
,
immunohistochemistry
,
flow cytometry
,
immunohistochemistry - paraffin section
Western blot of ALDH6A1 Antibody in T47D cell line lysates (35 ug/lane). ALDH6A1 (arrow) was detected using the purified antibody.
Flow cytometric of ATDC5 cells using ALDH6A1 Antibody (bottom histogram) compared to a negative control cell (top histogram). FITC-conjugated goat-anti-rabbit secondary antibodies were used for the analysis.
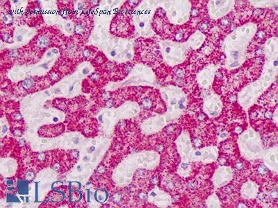
Human Liver: Formalin-Fixed, Paraffin-Embedded (FFPE)
quantity:
price:
to the supplier
IHC-plus™ ALDH6A1 Antibody (aa367-396) LS-B8999
LifeSpan Biosciences
catalog: LS-B8999
domestic rabbit polyclonal
reactivity:
human
application:
western blot
,
immunohistochemistry
,
immunohistochemistry - paraffin section
Western blot of ALDH6A1 (arrow) using rabbit polyclonal ALDH6A1 Antibody (RB11957). 293 cell lysates (2 ug/lane) either nontransfected (Lane 1) or transiently transfected with the ALDH6A1 gene (Lane 2) (Origene Technologies).
Human Liver: Formalin-Fixed, Paraffin-Embedded (FFPE)
quantity:
price:
to the supplier
IHC-plus™ ALDH6A1 Antibody (aa487-496) LS-B9531
LifeSpan Biosciences
catalog: LS-B9531
domestic goat polyclonal
reactivity:
human
application:
western blot
,
immunohistochemistry
,
immunohistochemistry - paraffin section
ALDH6A1 antibody (0.1 ug/ml) staining of Mouse Kidney lysate (35 ug protein/ml in RIPA buffer). Primary incubation was 1 hour. Detected by chemiluminescence.
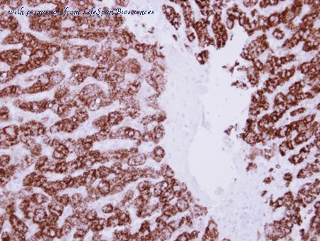
Anti-ALDH6A1 antibody IHC staining of human liver. Immunohistochemistry of formalin-fixed, paraffin-embedded tissue after heat-induced antigen retrieval. Antibody concentration 5 ug/ml.
quantity:
price:
to the supplier
IHC-plus™ ALDH6A1 Antibody (aa262-272) LS-B9532
LifeSpan Biosciences
catalog: LS-B9532
domestic goat polyclonal
reactivity:
human
application:
western blot
,
immunohistochemistry
,
immunohistochemistry - paraffin section
ALDH6A1 antibody (0.1 ug/ml) staining of Mouse Kidney lysate (35 ug protein/ml in RIPA buffer). Primary incubation was 1 hour. Detected by chemiluminescence.
Anti-ALDH6A1 antibody IHC staining of human liver. Immunohistochemistry of formalin-fixed, paraffin-embedded tissue after heat-induced antigen retrieval. Antibody concentration 5 ug/ml.
quantity:
price:
to the supplier
ALDH6A1 Antibody (clone 147CT8.3.4, AP) LS-C250119
LifeSpan Biosciences
catalog: LS-C250119
mouse monoclonal (147CT8.3.4)
reactivity:
human
conjugate: AP
application:
western blot
,
ELISA
,
immunohistochemistry
,
immunocytochemistry
quantity:
price:
to the supplier
ALDH6A1 Antibody (clone 147CT8.3.4, APC) LS-C250121
LifeSpan Biosciences
catalog: LS-C250121
mouse monoclonal (147CT8.3.4)
reactivity:
human
conjugate: APC
application:
western blot
,
ELISA
,
immunohistochemistry
,
immunocytochemistry
quantity:
price:
to the supplier
ALDH6A1 Antibody (clone 147CT8.3.4, Biotin) LS-C250123
LifeSpan Biosciences
catalog: LS-C250123
mouse monoclonal (147CT8.3.4)
reactivity:
human
conjugate: biotin
application:
western blot
,
ELISA
,
immunohistochemistry
,
immunocytochemistry
quantity:
price:
to the supplier
ALDH6A1 Antibody (clone 147CT8.3.4, Azide-free, HRP) LS-C250124
LifeSpan Biosciences
catalog: LS-C250124
mouse monoclonal (147CT8.3.4)
reactivity:
human
conjugate: HRP
application:
western blot
,
ELISA
,
immunohistochemistry
,
immunocytochemistry
quantity:
price:
to the supplier
ALDH6A1 Antibody (clone 147CT8.3.4, PE) LS-C250125
LifeSpan Biosciences
catalog: LS-C250125
mouse monoclonal (147CT8.3.4)
reactivity:
human
conjugate: PE
application:
western blot
,
ELISA
,
immunohistochemistry
,
immunocytochemistry
quantity:
price:
to the supplier
ALDH6A1 Antibody (clone 147CT8.3.4, FITC) LS-C250126
LifeSpan Biosciences
catalog: LS-C250126
mouse monoclonal (147CT8.3.4)
reactivity:
human
conjugate: FITC
application:
western blot
,
ELISA
,
immunohistochemistry
,
immunocytochemistry
quantity:
price:
to the supplier
ALDH6A1 Antibody (aa367-396, AP) LS-C251183
LifeSpan Biosciences
catalog: LS-C251183
domestic rabbit polyclonal
reactivity:
human
conjugate: AP
application:
western blot
,
ELISA
,
immunohistochemistry
quantity:
price:
to the supplier
ALDH6A1 Antibody (aa367-396, APC) LS-C251184
LifeSpan Biosciences
catalog: LS-C251184
domestic rabbit polyclonal
reactivity:
human
conjugate: APC
application:
western blot
,
ELISA
,
immunohistochemistry
quantity:
price:
to the supplier
ALDH6A1 Antibody (aa367-396, Biotin) LS-C251185
LifeSpan Biosciences
catalog: LS-C251185
domestic rabbit polyclonal
reactivity:
human
conjugate: biotin
application:
western blot
,
ELISA
,
immunohistochemistry
quantity:
price:
to the supplier
ALDH6A1 Antibody (aa367-396, FITC) LS-C251186
LifeSpan Biosciences
catalog: LS-C251186
domestic rabbit polyclonal
reactivity:
human
conjugate: FITC
application:
western blot
,
ELISA
,
immunohistochemistry
quantity:
price:
to the supplier
ALDH6A1 Antibody (aa367-396, Azide-free, HRP) LS-C251187
LifeSpan Biosciences
catalog: LS-C251187
domestic rabbit polyclonal
reactivity:
human
conjugate: HRP
application:
western blot
,
ELISA
,
immunohistochemistry
quantity:
price:
to the supplier
ALDH6A1 Antibody (aa367-396, PE) LS-C251188
LifeSpan Biosciences
catalog: LS-C251188
domestic rabbit polyclonal
reactivity:
human
conjugate: PE
application:
western blot
,
ELISA
,
immunohistochemistry
quantity:
price:
to the supplier
ALDH6A1 Antibody (aa30-59, APC) LS-C251189
LifeSpan Biosciences
catalog: LS-C251189
domestic rabbit polyclonal
reactivity:
human
conjugate: APC
application:
western blot
,
ELISA
,
immunohistochemistry
,
flow cytometry
quantity:
price:
to the supplier
ALDH6A1 Antibody (aa30-59, AP) LS-C251190
LifeSpan Biosciences
catalog: LS-C251190
domestic rabbit polyclonal
reactivity:
human
conjugate: AP
application:
western blot
,
ELISA
,
immunohistochemistry
,
flow cytometry
quantity:
price:
to the supplier
ALDH6A1 Antibody (aa30-59, Biotin) LS-C251191
LifeSpan Biosciences
catalog: LS-C251191
domestic rabbit polyclonal
reactivity:
human
conjugate: biotin
application:
western blot
,
ELISA
,
immunohistochemistry
,
flow cytometry
quantity:
price:
to the supplier
ALDH6A1 Antibody (aa30-59, FITC) LS-C251192
LifeSpan Biosciences
catalog: LS-C251192
domestic rabbit polyclonal
reactivity:
human
conjugate: FITC
application:
western blot
,
ELISA
,
immunohistochemistry
,
flow cytometry
quantity:
price:
to the supplier
ALDH6A1 Antibody (aa30-59, Azide-free, HRP) LS-C251193
LifeSpan Biosciences
catalog: LS-C251193
domestic rabbit polyclonal
reactivity:
human
conjugate: HRP
application:
western blot
,
ELISA
,
immunohistochemistry
,
flow cytometry
quantity:
price:
to the supplier
ALDH6A1 Antibody (aa30-59, PE) LS-C251195
LifeSpan Biosciences
catalog: LS-C251195
domestic rabbit polyclonal
reactivity:
human
conjugate: PE
application:
western blot
,
ELISA
,
immunohistochemistry
,
flow cytometry
quantity:
price:
to the supplier
ALDH6A1 Antibody LS-C306199
LifeSpan Biosciences
catalog: LS-C306199
mouse polyclonal
reactivity:
human
application:
western blot
quantity:
price:
to the supplier
ALDH6A1 Antibody LS-C309411
LifeSpan Biosciences
catalog: LS-C309411
domestic rabbit polyclonal
reactivity:
human
application:
western blot
quantity:
price:
to the supplier
ALDH6A1 Antibody (clone 147CT8.3.4) LS-C319110
LifeSpan Biosciences
catalog: LS-C319110
mouse monoclonal (147CT8.3.4)
reactivity:
human
application:
western blot
,
ELISA
,
immunohistochemistry
,
immunocytochemistry
quantity:
price:
to the supplier
ALDH6A1 Antibody (aa367-396) LS-C319422
LifeSpan Biosciences
catalog: LS-C319422
domestic rabbit polyclonal
reactivity:
human
application:
western blot
,
ELISA
,
immunohistochemistry
quantity:
price:
to the supplier
ALDH6A1 Antibody (aa30-59) LS-C319428
LifeSpan Biosciences
catalog: LS-C319428
domestic rabbit polyclonal
reactivity:
human
application:
western blot
,
ELISA
,
immunohistochemistry
,
flow cytometry
quantity:
price:
to the supplier
IHC-plus™ ALDH6A1 Antibody (aa323-372) LS-B11511
LifeSpan Biosciences
catalog: LS-B11511
domestic rabbit polyclonal
reactivity:
human
application:
western blot
,
immunohistochemistry
,
immunohistochemistry - paraffin section
Human Liver: Formalin-Fixed, Paraffin-Embedded (FFPE). This image was taken for the unconjugated form of this product. Other forms have not been tested.
quantity:
price:
to the supplier
ALDH6A1 Antibody LS-C332481
LifeSpan Biosciences
catalog: LS-C332481
domestic rabbit polyclonal
reactivity:
human
application:
western blot
Western blot analysis of extracts of various cells.
quantity:
price:
to the supplier