Sign in
Sign up
home
>
LifeSpan Biosciences
> LifeSpan Biosciences c-Met antibody
c-Met Antibody (phospho-Tyr1349/1356) LS-C60102
LifeSpan Biosciences
catalog: LS-C60102
domestic rabbit polyclonal
reactivity:
human
modification: phosphorylated
application:
western blot
,
ELISA
quantity:
price:
to the supplier
IHC-plus™ c-Met Antibody (Cytoplasmic Domain) LS-B2812
LifeSpan Biosciences
catalog: LS-B2812
mouse monoclonal
reactivity:
human
application:
immunohistochemistry
,
immunohistochemistry - paraffin section
,
immunohistochemistry - frozen section
citations: 4
Anti-c-Met antibody IHC of human uterus. Immunohistochemistry of formalin-fixed, paraffin-embedded tissue after heat-induced antigen retrieval. Antibody concentration 10 ug/ml.
quantity:
price:
to the supplier
c-Met Antibody (clone 6AT203) LS-C96426
LifeSpan Biosciences
catalog: LS-C96426
mouse monoclonal (6AT203)
reactivity:
human
application:
western blot
,
immunohistochemistry
,
immunocytochemistry
,
immunohistochemistry - paraffin section
citations: 1
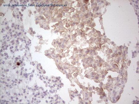
MET/HGFR Antibody immunohistochemistry of formalin-fixed and paraffin-embedded human hepatocarcinoma followed by peroxidase-conjugated secondary antibody and DAB staining.
Detection of endogenous Met in HepG2 cell line. 10 ug/lane of HepG2 cell lysate was used to examine the expression of human Met. Lanes 1-5 represent different anti-Met monoclonal antibodies. Lane 6 represents auto-phosphorylated-Met in HepG2 cell line detected by anti-phospho-Met antibody.
quantity:
price:
to the supplier
c-Met Antibody (phospho-Tyr1356) LS-C96910
LifeSpan Biosciences
catalog: LS-C96910
domestic rabbit polyclonal
reactivity:
human
modification: phosphorylated
Dot blot of anti-Phospho-MET-pY1356 Phospho-specific antibody on nitrocellulose membrane. 50ng of Phospho-peptide or Non Phospho-peptide per dot were adsorbed. Antibody working concentrations are 0.5ug per ml.
quantity:
price:
to the supplier
c-Met Antibody (phospho-Tyr1230/Tyr1234/Tyr1235) LS-C16513
LifeSpan Biosciences
catalog: LS-C16513
domestic rabbit polyclonal
reactivity:
human
modification: phosphorylated
application:
western blot
,
ELISA
quantity:
price:
to the supplier
c-Met Antibody (C-Terminus) LS-C16510
LifeSpan Biosciences
catalog: LS-C16510
domestic rabbit polyclonal
reactivity:
human
application:
western blot
,
ELISA
,
immunohistochemistry
,
immunohistochemistry - paraffin section
quantity:
price:
to the supplier
c-Met Antibody (C-Terminus) LS-C16511
LifeSpan Biosciences
catalog: LS-C16511
domestic rabbit polyclonal
reactivity:
human
application:
western blot
,
ELISA
,
immunohistochemistry
,
immunohistochemistry - paraffin section
quantity:
price:
to the supplier
c-Met Antibody (phospho-Tyr1234/Tyr1235) LS-C25605
LifeSpan Biosciences
catalog: LS-C25605
domestic rabbit polyclonal
reactivity:
human
modification: phosphorylated
application:
western blot
,
ELISA
,
immunocytochemistry
,
immunoprecipitation
quantity:
price:
to the supplier
c-Met Antibody (phospho-Tyr1349) LS-C25606
LifeSpan Biosciences
catalog: LS-C25606
domestic rabbit polyclonal
reactivity:
human
modification: phosphorylated
application:
western blot
,
ELISA
,
immunoprecipitation
quantity:
price:
to the supplier
c-Met Antibody (phospho-Tyr1230/Tyr1234/Tyr1235) LS-C37357
LifeSpan Biosciences
catalog: LS-C37357
domestic rabbit polyclonal
reactivity:
human
modification: phosphorylated
application:
western blot
,
ELISA
quantity:
price:
to the supplier
c-Met Antibody (phospho-Tyr1234/Tyr1235) LS-C37358
LifeSpan Biosciences
catalog: LS-C37358
domestic rabbit polyclonal
reactivity:
human
modification: phosphorylated
application:
western blot
,
flow cytometry
quantity:
price:
to the supplier
c-Met Antibody (phospho-Tyr1003) LS-C37359
LifeSpan Biosciences
catalog: LS-C37359
domestic rabbit monoclonal
reactivity:
human
modification: phosphorylated
application:
western blot
,
ELISA
quantity:
price:
to the supplier
c-Met Antibody (phospho-Tyr1003) LS-C37360
LifeSpan Biosciences
catalog: LS-C37360
domestic rabbit polyclonal
reactivity:
human
modification: phosphorylated
application:
western blot
quantity:
price:
to the supplier
c-Met Antibody (phospho-Tyr1349) LS-C37361
LifeSpan Biosciences
catalog: LS-C37361
domestic rabbit polyclonal
reactivity:
human
modification: phosphorylated
application:
western blot
quantity:
price:
to the supplier
c-Met Antibody (clone 4AT44) LS-C45687
LifeSpan Biosciences
catalog: LS-C45687
mouse monoclonal (4AT44)
reactivity:
human
application:
western blot
,
ELISA
quantity:
price:
to the supplier
c-Met Antibody (Tyr1234, Azide-free) LS-C72459
LifeSpan Biosciences
catalog: LS-C72459
mouse monoclonal
reactivity:
human
application:
western blot
,
ELISA
,
immunoprecipitation
quantity:
price:
to the supplier
c-Met Antibody (phospho-Tyr1234/Tyr1235, clone 6AT1877) LS-C96424
LifeSpan Biosciences
catalog: LS-C96424
mouse monoclonal (6AT1877)
reactivity:
human
modification: phosphorylated
application:
western blot
Detection of endogenous Met in HepG2 cell line. 10 ug/lane of HepG2 cell lysate was used to examine the expression of human Met. Lanes 1-5 represent different anti-Met monoclonal antibodies. Lane 6 represents auto-phosphorylated-Met in HepG2 cell line detected by anti-phospho-Met antibody.
quantity:
price:
to the supplier
c-Met Antibody (clone 4AT247) LS-C96429
LifeSpan Biosciences
catalog: LS-C96429
mouse monoclonal (4AT247)
reactivity:
human
application:
western blot
,
immunocytochemistry
Western blot of lysates from HepG2, H. liver, HT-29 cell line (from left to right), using MET/HGFR Antibody(4AT247. 86. 63). 4AT247. 86. 63 was diluted at 1:1000 at each lane. A goat anti-mouse IgG H&L (HRP) at 1:3000 dilution was used as the secondary antibody. Lysates at 35ug per lane.
quantity:
price:
to the supplier
c-Met Antibody (phospho-Tyr1349) LS-C96909
LifeSpan Biosciences
catalog: LS-C96909
domestic rabbit polyclonal
reactivity:
human
modification: phosphorylated
application:
western blot
,
immunohistochemistry
,
immunohistochemistry - paraffin section
The anti-MET-Y1349 antibody is used in Western blot to detect MET-Y1349 in mouse kidney tissue lysate.
Formalin-fixed and paraffin-embedded human cancer tissue reacted with the primary antibody, which was peroxidase-conjugated to the secondary antibody, followed by AEC staining. This data demonstrates the use of this antibody for immunohistochemistry; clinical relevance has not been evaluated. BC = breast carcinoma; HC = hepatocarcinoma.
quantity:
price:
to the supplier
IHC-plus™ c-Met Antibody (C-Terminus) LS-B3345
LifeSpan Biosciences
catalog: LS-B3345
domestic rabbit polyclonal
reactivity:
human
application:
immunohistochemistry
,
immunohistochemistry - paraffin section
Anti-c-Met antibody IHC of human liver. Immunohistochemistry of formalin-fixed, paraffin-embedded tissue after heat-induced antigen retrieval. Antibody concentration 15 ug/ml.
quantity:
price:
to the supplier
c-Met Antibody (phospho-Tyr1234) LS-C117416
LifeSpan Biosciences
catalog: LS-C117416
domestic rabbit polyclonal
reactivity:
human
modification: phosphorylated
application:
western blot
Western blot analysis of lysates from HUVEC cells and COS7cells, using Met (Phospho-Tyr1234) Antibody. The lane on the right is blocked with the phospho peptide.
quantity:
price:
to the supplier
c-Met Antibody (phospho-Tyr1349) LS-C117417
LifeSpan Biosciences
catalog: LS-C117417
domestic rabbit polyclonal
reactivity:
human
modification: phosphorylated
application:
western blot
Western blot analysis of lysates from HepG2 cells, using Met (Phospho-Tyr1349) Antibody. The lane on the right is blocked with the phospho peptide.
quantity:
price:
to the supplier
c-Met Antibody (aa976-1025) LS-C117863
LifeSpan Biosciences
catalog: LS-C117863
domestic rabbit polyclonal
reactivity:
human
application:
western blot
,
immunocytochemistry
Immunofluorescence analysis of A549 cells, using c-Met Antibody. The picture on the right is blocked with the synthesized peptide.
Western blot analysis of lysates from HepG2 cells, using c-Met Antibody. The lane on the right is blocked with the synthesized peptide.
quantity:
price:
to the supplier
c-Met Antibody (aa1201-1250) LS-C118181
LifeSpan Biosciences
catalog: LS-C118181
domestic rabbit polyclonal
reactivity:
human
application:
western blot
Western blot analysis of lysates from HepG2 cells, using Met Antibody. The lane on the right is blocked with the synthesized peptide.
quantity:
price:
to the supplier
c-Met Antibody LS-C125714
LifeSpan Biosciences
catalog: LS-C125714
domestic sheep polyclonal
reactivity:
human
,
dogs
application:
western blot
,
ELISA
quantity:
price:
to the supplier
c-Met Antibody LS-C130714
LifeSpan Biosciences
catalog: LS-C130714
domestic rabbit polyclonal
reactivity:
human
application:
western blot
quantity:
price:
to the supplier
c-Met Antibody LS-C130717
LifeSpan Biosciences
catalog: LS-C130717
domestic rabbit polyclonal
reactivity:
human
application:
western blot
quantity:
price:
to the supplier
c-Met Antibody (phospho-Tyr1234/Tyr1235) LS-C130718
LifeSpan Biosciences
catalog: LS-C130718
mouse monoclonal
reactivity:
human
application:
western blot
,
ELISA
quantity:
price:
to the supplier
c-Met Antibody (phospho-Tyr1234/Tyr1235, Agarose) LS-C130724
LifeSpan Biosciences
catalog: LS-C130724
domestic rabbit monoclonal
reactivity:
human
conjugate: agarose
application:
immunoprecipitation
quantity:
price:
to the supplier
c-Met Antibody (C-Terminus) LS-C145057
LifeSpan Biosciences
catalog: LS-C145057
domestic rabbit polyclonal
reactivity:
human
application:
western blot
,
immunohistochemistry
quantity:
price:
to the supplier
IHC-plus™ c-Met Antibody (clone 4AT44) LS-B6889
LifeSpan Biosciences
catalog: LS-B6889
mouse monoclonal (4AT44)
reactivity:
human
application:
western blot
,
immunohistochemistry
,
immunocytochemistry
,
immunohistochemistry - paraffin section
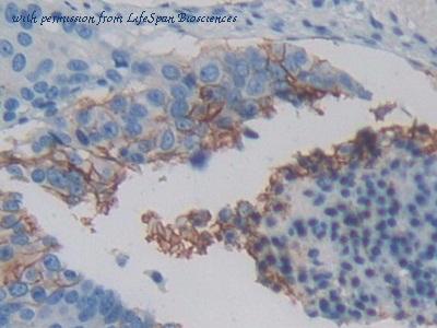
Anti-c-Met antibody IHC of human liver. Immunohistochemistry of formalin-fixed, paraffin-embedded tissue after heat-induced antigen retrieval. Antibody concentration 10 ug/ml.
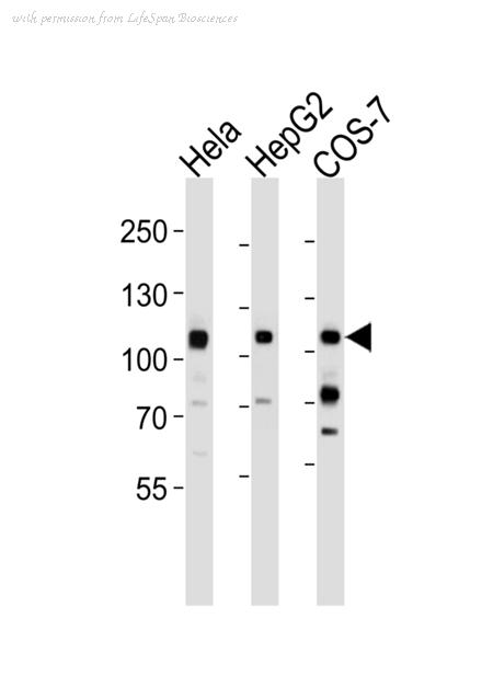
Western blot of lysates from HeLa, HepG2, COS-7 cell line (from left to right), using MET/HGFR Antibody(4AT44). 4AT44 was diluted at 1:1000 at each lane. A goat anti-mouse IgG H&L (HRP) at 1:3000 dilution was used as the secondary antibody. Lysates at 35ug per lane.
quantity:
price:
to the supplier
IHC-plus™ c-Met Antibody (aa1316-1365) LS-B8031
LifeSpan Biosciences
catalog: LS-B8031
domestic rabbit polyclonal
reactivity:
human
application:
western blot
,
immunohistochemistry
,
immunohistochemistry - paraffin section
Anti-c-Met antibody IHC of human liver. Immunohistochemistry of formalin-fixed, paraffin-embedded tissue after heat-induced antigen retrieval. Antibody dilution 10 ug/ml.
Western blot analysis of lysates from HepG2 cells, using Met Antibody. The lane on the right is blocked with the synthesized peptide.
quantity:
price:
to the supplier
c-Met Antibody (Glu999) LS-C176635
LifeSpan Biosciences
catalog: LS-C176635
domestic rabbit polyclonal
reactivity:
human
application:
western blot
,
immunocytochemistry
Western blot of c-Met (E999) pAb in extracts from HepG2 cells.
quantity:
price:
to the supplier
c-Met Antibody (Thr1343) LS-C177667
LifeSpan Biosciences
catalog: LS-C177667
domestic rabbit polyclonal
reactivity:
human
application:
western blot
,
immunocytochemistry
quantity:
price:
to the supplier
c-Met Antibody (phospho-Tyr1234) LS-C178028
LifeSpan Biosciences
catalog: LS-C178028
domestic rabbit polyclonal
reactivity:
human
modification: phosphorylated
application:
western blot
Western blot of p-Met (Y1234) pAb in extracts from HepG2 cells.
quantity:
price:
to the supplier
c-Met Antibody (phospho-Tyr1349) LS-C178029
LifeSpan Biosciences
catalog: LS-C178029
domestic rabbit polyclonal
reactivity:
human
modification: phosphorylated
application:
western blot
Western blot of p-Met (Y1349) pAb in extracts from HepG2 cells.
quantity:
price:
to the supplier
c-Met Antibody (aa586-601) LS-C178757
LifeSpan Biosciences
catalog: LS-C178757
domestic rabbit polyclonal
reactivity:
human
application:
western blot
,
ELISA
,
immunohistochemistry
quantity:
price:
to the supplier
c-Met Antibody (phospho-Tyr1356) LS-C199257
LifeSpan Biosciences
catalog: LS-C199257
domestic rabbit polyclonal
reactivity:
human
modification: phosphorylated
application:
western blot
Western blot analysis of lysates from NIH/3T3 cells, using Met (Phospho-Tyr1356) Antibody. The lane on the right is blocked with the phospho peptide.
quantity:
price:
to the supplier
c-Met Antibody (aa276-325) LS-C199258
LifeSpan Biosciences
catalog: LS-C199258
domestic rabbit polyclonal
reactivity:
human
application:
immunocytochemistry
Immunofluorescence analysis of A549 cells, using MET Antibody. The picture on the right is blocked with the synthesized peptide.
quantity:
price:
to the supplier
c-Met Antibody (Biotin) LS-C263032
LifeSpan Biosciences
catalog: LS-C263032
domestic rabbit polyclonal
reactivity:
human
conjugate: biotin
application:
western blot
,
ELISA
quantity:
price:
to the supplier
c-Met Antibody (Azide-free, HRP) LS-C263034
LifeSpan Biosciences
catalog: LS-C263034
domestic rabbit polyclonal
reactivity:
human
conjugate: HRP
application:
western blot
,
ELISA
quantity:
price:
to the supplier
c-Met Antibody (phospho-Tyr1349, AP) LS-C279467
LifeSpan Biosciences
catalog: LS-C279467
domestic rabbit polyclonal
reactivity:
human
conjugate: AP
modification: phosphorylated
application:
western blot
,
ELISA
,
immunohistochemistry
quantity:
price:
to the supplier
c-Met Antibody (phospho-Tyr1349, APC) LS-C279468
LifeSpan Biosciences
catalog: LS-C279468
domestic rabbit polyclonal
reactivity:
human
conjugate: APC
modification: phosphorylated
application:
western blot
,
ELISA
,
immunohistochemistry
quantity:
price:
to the supplier
c-Met Antibody (phospho-Tyr1349, Biotin) LS-C279469
LifeSpan Biosciences
catalog: LS-C279469
domestic rabbit polyclonal
reactivity:
human
conjugate: biotin
modification: phosphorylated
application:
western blot
,
ELISA
,
immunohistochemistry
quantity:
price:
to the supplier
c-Met Antibody (phospho-Tyr1349, FITC) LS-C279470
LifeSpan Biosciences
catalog: LS-C279470
domestic rabbit polyclonal
reactivity:
human
conjugate: FITC
modification: phosphorylated
application:
western blot
,
ELISA
,
immunohistochemistry
quantity:
price:
to the supplier
c-Met Antibody (phospho-Tyr1349, Azide-free, HRP) LS-C279471
LifeSpan Biosciences
catalog: LS-C279471
domestic rabbit polyclonal
reactivity:
human
conjugate: HRP
modification: phosphorylated
application:
western blot
,
ELISA
,
immunohistochemistry
quantity:
price:
to the supplier
c-Met Antibody (phospho-Tyr1349, PE) LS-C279472
LifeSpan Biosciences
catalog: LS-C279472
domestic rabbit polyclonal
reactivity:
human
conjugate: PE
modification: phosphorylated
application:
western blot
,
ELISA
,
immunohistochemistry
quantity:
price:
to the supplier
c-Met Antibody (phospho-Tyr1356, APC) LS-C279473
LifeSpan Biosciences
catalog: LS-C279473
domestic rabbit polyclonal
reactivity:
human
conjugate: APC
modification: phosphorylated
application:
ELISA
quantity:
price:
to the supplier
c-Met Antibody (phospho-Tyr1356, AP) LS-C279474
LifeSpan Biosciences
catalog: LS-C279474
domestic rabbit polyclonal
reactivity:
human
conjugate: AP
modification: phosphorylated
application:
ELISA
quantity:
price:
to the supplier
c-Met Antibody (phospho-Tyr1356, Biotin) LS-C279475
LifeSpan Biosciences
catalog: LS-C279475
domestic rabbit polyclonal
reactivity:
human
conjugate: biotin
modification: phosphorylated
application:
ELISA
quantity:
price:
to the supplier
c-Met Antibody (phospho-Tyr1356, FITC) LS-C279476
LifeSpan Biosciences
catalog: LS-C279476
domestic rabbit polyclonal
reactivity:
human
conjugate: FITC
modification: phosphorylated
application:
ELISA
quantity:
price:
to the supplier
c-Met Antibody (phospho-Tyr1356, Azide-free, HRP) LS-C279477
LifeSpan Biosciences
catalog: LS-C279477
domestic rabbit polyclonal
reactivity:
human
conjugate: HRP
modification: phosphorylated
application:
ELISA
quantity:
price:
to the supplier
c-Met Antibody (phospho-Tyr1356, PE) LS-C279478
LifeSpan Biosciences
catalog: LS-C279478
domestic rabbit polyclonal
reactivity:
human
conjugate: PE
modification: phosphorylated
application:
ELISA
quantity:
price:
to the supplier
c-Met Antibody (phospho-Tyr1234/Tyr1235, AP) LS-C279479
LifeSpan Biosciences
catalog: LS-C279479
mouse monoclonal
reactivity:
human
conjugate: AP
modification: phosphorylated
application:
western blot
,
ELISA
quantity:
price:
to the supplier
c-Met Antibody (phospho-Tyr1234/Tyr1235, APC) LS-C279480
LifeSpan Biosciences
catalog: LS-C279480
mouse monoclonal
reactivity:
human
conjugate: APC
modification: phosphorylated
application:
western blot
,
ELISA
quantity:
price:
to the supplier
c-Met Antibody (phospho-Tyr1234/Tyr1235, Biotin) LS-C279481
LifeSpan Biosciences
catalog: LS-C279481
mouse monoclonal
reactivity:
human
conjugate: biotin
modification: phosphorylated
application:
western blot
,
ELISA
quantity:
price:
to the supplier
c-Met Antibody (phospho-Tyr1234/Tyr1235, FITC) LS-C279482
LifeSpan Biosciences
catalog: LS-C279482
mouse monoclonal
reactivity:
human
conjugate: FITC
modification: phosphorylated
application:
western blot
,
ELISA
quantity:
price:
to the supplier
c-Met Antibody (phospho-Tyr1234/Tyr1235, Azide-free, HRP) LS-C279483
LifeSpan Biosciences
catalog: LS-C279483
mouse monoclonal
reactivity:
human
conjugate: HRP
modification: phosphorylated
application:
western blot
,
ELISA
quantity:
price:
to the supplier
c-Met Antibody (phospho-Tyr1234/Tyr1235, PE) LS-C279484
LifeSpan Biosciences
catalog: LS-C279484
mouse monoclonal
reactivity:
human
conjugate: PE
modification: phosphorylated
application:
western blot
,
ELISA
quantity:
price:
to the supplier
c-Met Antibody (AP) LS-C279485
LifeSpan Biosciences
catalog: LS-C279485
mouse monoclonal
reactivity:
human
conjugate: AP
application:
western blot
,
ELISA
,
immunohistochemistry
quantity:
price:
to the supplier
c-Met Antibody (APC) LS-C279486
LifeSpan Biosciences
catalog: LS-C279486
mouse monoclonal
reactivity:
human
conjugate: APC
application:
western blot
,
ELISA
,
immunohistochemistry
quantity:
price:
to the supplier
c-Met Antibody (Biotin) LS-C279487
LifeSpan Biosciences
catalog: LS-C279487
mouse monoclonal
reactivity:
human
conjugate: biotin
application:
western blot
,
ELISA
,
immunohistochemistry
quantity:
price:
to the supplier
c-Met Antibody (FITC) LS-C279488
LifeSpan Biosciences
catalog: LS-C279488
mouse monoclonal
reactivity:
human
conjugate: FITC
application:
western blot
,
ELISA
,
immunohistochemistry
quantity:
price:
to the supplier
c-Met Antibody (Azide-free, HRP) LS-C279489
LifeSpan Biosciences
catalog: LS-C279489
mouse monoclonal
reactivity:
human
conjugate: HRP
application:
western blot
,
ELISA
,
immunohistochemistry
quantity:
price:
to the supplier
c-Met Antibody (AP) LS-C279490
LifeSpan Biosciences
catalog: LS-C279490
mouse monoclonal
reactivity:
human
conjugate: AP
application:
western blot
,
ELISA
quantity:
price:
to the supplier
c-Met Antibody (PE) LS-C279491
LifeSpan Biosciences
catalog: LS-C279491
mouse monoclonal
reactivity:
human
conjugate: PE
application:
western blot
,
ELISA
,
immunohistochemistry
quantity:
price:
to the supplier
c-Met Antibody (APC) LS-C279492
LifeSpan Biosciences
catalog: LS-C279492
mouse monoclonal
reactivity:
human
conjugate: APC
application:
western blot
,
ELISA
quantity:
price:
to the supplier
c-Met Antibody (Biotin) LS-C279493
LifeSpan Biosciences
catalog: LS-C279493
mouse monoclonal
reactivity:
human
conjugate: biotin
application:
western blot
,
ELISA
quantity:
price:
to the supplier
c-Met Antibody (FITC) LS-C279494
LifeSpan Biosciences
catalog: LS-C279494
mouse monoclonal
reactivity:
human
conjugate: FITC
application:
western blot
,
ELISA
quantity:
price:
to the supplier
c-Met Antibody (PE) LS-C279495
LifeSpan Biosciences
catalog: LS-C279495
mouse monoclonal
reactivity:
human
conjugate: PE
application:
western blot
,
ELISA
quantity:
price:
to the supplier
c-Met Antibody (Azide-free, HRP) LS-C279496
LifeSpan Biosciences
catalog: LS-C279496
mouse monoclonal
reactivity:
human
conjugate: HRP
application:
western blot
,
ELISA
quantity:
price:
to the supplier
c-Met Antibody (APC) LS-C279497
LifeSpan Biosciences
catalog: LS-C279497
mouse monoclonal
reactivity:
human
conjugate: APC
application:
western blot
,
ELISA
,
immunohistochemistry
quantity:
price:
to the supplier
c-Met Antibody (Biotin) LS-C279498
LifeSpan Biosciences
catalog: LS-C279498
mouse monoclonal
reactivity:
human
conjugate: biotin
application:
western blot
,
ELISA
,
immunohistochemistry
quantity:
price:
to the supplier
c-Met Antibody (AP) LS-C279499
LifeSpan Biosciences
catalog: LS-C279499
mouse monoclonal
reactivity:
human
conjugate: AP
application:
western blot
,
ELISA
,
immunohistochemistry
quantity:
price:
to the supplier
c-Met Antibody (FITC) LS-C279500
LifeSpan Biosciences
catalog: LS-C279500
mouse monoclonal
reactivity:
human
conjugate: FITC
application:
western blot
,
ELISA
,
immunohistochemistry
quantity:
price:
to the supplier
c-Met Antibody (Azide-free, HRP) LS-C279501
LifeSpan Biosciences
catalog: LS-C279501
mouse monoclonal
reactivity:
human
conjugate: HRP
application:
western blot
,
ELISA
,
immunohistochemistry
quantity:
price:
to the supplier
c-Met Antibody (PE) LS-C279502
LifeSpan Biosciences
catalog: LS-C279502
mouse monoclonal
reactivity:
human
conjugate: PE
application:
western blot
,
ELISA
,
immunohistochemistry
quantity:
price:
to the supplier
c-Met Antibody (AP) LS-C279503
LifeSpan Biosciences
catalog: LS-C279503
mouse monoclonal
reactivity:
human
conjugate: AP
application:
western blot
,
ELISA
quantity:
price:
to the supplier
c-Met Antibody (Biotin) LS-C279504
LifeSpan Biosciences
catalog: LS-C279504
mouse monoclonal
reactivity:
human
conjugate: biotin
application:
western blot
,
ELISA
quantity:
price:
to the supplier
c-Met Antibody (APC) LS-C279505
LifeSpan Biosciences
catalog: LS-C279505
mouse monoclonal
reactivity:
human
conjugate: APC
application:
western blot
,
ELISA
quantity:
price:
to the supplier
c-Met Antibody (FITC) LS-C279506
LifeSpan Biosciences
catalog: LS-C279506
mouse monoclonal
reactivity:
human
conjugate: FITC
application:
western blot
,
ELISA
quantity:
price:
to the supplier
c-Met Antibody (Azide-free, HRP) LS-C279507
LifeSpan Biosciences
catalog: LS-C279507
mouse monoclonal
reactivity:
human
conjugate: HRP
application:
western blot
,
ELISA
quantity:
price:
to the supplier
c-Met Antibody (AP) LS-C279508
LifeSpan Biosciences
catalog: LS-C279508
mouse monoclonal
reactivity:
human
conjugate: AP
application:
western blot
,
ELISA
quantity:
price:
to the supplier
c-Met Antibody (PE) LS-C279509
LifeSpan Biosciences
catalog: LS-C279509
mouse monoclonal
reactivity:
human
conjugate: PE
application:
western blot
,
ELISA
quantity:
price:
to the supplier
c-Met Antibody (APC) LS-C279510
LifeSpan Biosciences
catalog: LS-C279510
mouse monoclonal
reactivity:
human
conjugate: APC
application:
western blot
,
ELISA
quantity:
price:
to the supplier
c-Met Antibody (Biotin) LS-C279511
LifeSpan Biosciences
catalog: LS-C279511
mouse monoclonal
reactivity:
human
conjugate: biotin
application:
western blot
,
ELISA
quantity:
price:
to the supplier
c-Met Antibody (FITC) LS-C279512
LifeSpan Biosciences
catalog: LS-C279512
mouse monoclonal
reactivity:
human
conjugate: FITC
application:
western blot
,
ELISA
quantity:
price:
to the supplier
c-Met Antibody (Azide-free, HRP) LS-C279518
LifeSpan Biosciences
catalog: LS-C279518
mouse monoclonal
reactivity:
human
conjugate: HRP
application:
western blot
,
ELISA
quantity:
price:
to the supplier
c-Met Antibody (PE) LS-C279519
LifeSpan Biosciences
catalog: LS-C279519
mouse monoclonal
reactivity:
human
conjugate: PE
application:
western blot
,
ELISA
quantity:
price:
to the supplier
c-Met Antibody LS-C308966
LifeSpan Biosciences
catalog: LS-C308966
mouse polyclonal
reactivity:
human
application:
western blot
quantity:
price:
to the supplier
c-Met Antibody LS-C322976
LifeSpan Biosciences
catalog: LS-C322976
domestic rabbit polyclonal
reactivity:
human
application:
western blot
quantity:
price:
to the supplier
c-Met Antibody (phospho-Tyr1349) LS-C327901
LifeSpan Biosciences
catalog: LS-C327901
domestic rabbit polyclonal
reactivity:
human
application:
western blot
,
ELISA
,
immunohistochemistry
quantity:
price:
to the supplier
c-Met Antibody (phospho-Tyr1356) LS-C327903
LifeSpan Biosciences
catalog: LS-C327903
domestic rabbit polyclonal
reactivity:
human
application:
ELISA
quantity:
price:
to the supplier
c-Met Antibody LS-C327905
LifeSpan Biosciences
catalog: LS-C327905
mouse monoclonal
reactivity:
human
application:
western blot
,
ELISA
,
immunohistochemistry
quantity:
price:
to the supplier
c-Met Antibody LS-C330774
LifeSpan Biosciences
catalog: LS-C330774
domestic rabbit monoclonal
reactivity:
human
application:
western blot
Western blot analysis of extracts of various cells.
quantity:
price:
to the supplier
c-Met Antibody (phospho-Tyr1234) LS-C335013
LifeSpan Biosciences
catalog: LS-C335013
domestic rabbit polyclonal
reactivity:
human
application:
western blot
Western blot analysis of extracts from A431 cells.
quantity:
price:
to the supplier
c-Met Antibody (phospho-Tyr1349) LS-C335015
LifeSpan Biosciences
catalog: LS-C335015
domestic rabbit polyclonal
reactivity:
human
application:
western blot
Western blot analysis of extracts from HepG2 cells.
quantity:
price:
to the supplier
c-Met Antibody (phospho-Tyr1234) LS-C335036
LifeSpan Biosciences
catalog: LS-C335036
domestic rabbit polyclonal
reactivity:
human
application:
western blot
Western blot analysis of extracts from HUVEC cells.
quantity:
price:
to the supplier
c-Met Antibody (phospho-Tyr1003) LS-C335770
LifeSpan Biosciences
catalog: LS-C335770
domestic rabbit polyclonal
reactivity:
human
application:
western blot
,
immunocytochemistry
Immunofluorescence analysis of U2OS cells.
quantity:
price:
to the supplier
c-Met Antibody (phospho-Tyr1349) LS-C335772
LifeSpan Biosciences
catalog: LS-C335772
domestic rabbit polyclonal
reactivity:
human
application:
western blot
,
immunohistochemistry
,
immunocytochemistry
Immunofluorescence analysis of U2OS cells.
quantity:
price:
to the supplier
c-Met Antibody (phospho-Tyr1234) LS-C335773
LifeSpan Biosciences
catalog: LS-C335773
domestic rabbit polyclonal
reactivity:
human
application:
western blot
,
immunocytochemistry
Immunofluorescence analysis of U2OS cells.
quantity:
price:
to the supplier
c-Met Antibody (phospho-Tyr1235) LS-C335774
LifeSpan Biosciences
catalog: LS-C335774
domestic rabbit polyclonal
reactivity:
human
application:
western blot
,
immunocytochemistry
Immunofluorescence analysis of U2OS cells.
quantity:
price:
to the supplier
c-Met Antibody (aa125-421, clone OTI2B5) LS-C339387
LifeSpan Biosciences
catalog: LS-C339387
mouse monoclonal (OTI2B5)
reactivity:
human
application:
western blot
HEK293T cells were transfected with the pCMV6-ENTRY control (Left lane) or pCMV6-ENTRY MET (Right lane) cDNA for 48 hrs and lysed. Equivalent amounts of cell lysates (5 ug per lane) were separated by SDS-PAGE and immunoblotted with anti-MET.
quantity:
price:
to the supplier
c-Met Antibody (aa125-421, clone OTI2H2) LS-C339404
LifeSpan Biosciences
catalog: LS-C339404
mouse monoclonal (OTI2H2)
reactivity:
human
application:
western blot
HEK293T cells were transfected with the pCMV6-ENTRY control (Left lane) or pCMV6-ENTRY MET (Right lane) cDNA for 48 hrs and lysed. Equivalent amounts of cell lysates (5 ug per lane) were separated by SDS-PAGE and immunoblotted with anti-MET.
quantity:
price:
to the supplier
c-Met Antibody (aa125-421, clone OTI18A5) LS-C339427
LifeSpan Biosciences
catalog: LS-C339427
mouse monoclonal (OTI18A5)
reactivity:
human
application:
western blot
HEK293T cells were transfected with the pCMV6-ENTRY control (Left lane) or pCMV6-ENTRY MET (Right lane) cDNA for 48 hrs and lysed. Equivalent amounts of cell lysates (5 ug per lane) were separated by SDS-PAGE and immunoblotted with anti-MET.
quantity:
price:
to the supplier
c-Met Antibody (aa570-885, clone OTI1E6) LS-C339727
LifeSpan Biosciences
catalog: LS-C339727
mouse monoclonal (OTI1E6)
reactivity:
human
application:
western blot
,
immunohistochemistry
,
immunohistochemistry - paraffin section
HEK293T cells were transfected with the pCMV6-ENTRY control (Left lane) or pCMV6-ENTRY MET (Right lane) cDNA for 48 hrs and lysed. Equivalent amounts of cell lysates (5 ug per lane) were separated by SDS-PAGE and immunoblotted with anti-MET.
IHC of paraffin-embedded MET positive Human lung carcinoma tissue using anti-MET mouse monoclonal antibody. (heat-induced epitope retrieval by 1 mM EDTA in 10mM Tris, pH8.5, 120°C for 3min).
quantity:
price:
to the supplier
c-Met Antibody (aa570-885, clone OTI3G5) LS-C339729
LifeSpan Biosciences
catalog: LS-C339729
mouse monoclonal (OTI3G5)
reactivity:
human
application:
western blot
HEK293T cells were transfected with the pCMV6-ENTRY control (Left lane) or pCMV6-ENTRY MET (Right lane) cDNA for 48 hrs and lysed. Equivalent amounts of cell lysates (5 ug per lane) were separated by SDS-PAGE and immunoblotted with anti-MET.
quantity:
price:
to the supplier
c-Met Antibody (aa570-885, clone OTI1A8) LS-C339808
LifeSpan Biosciences
catalog: LS-C339808
mouse monoclonal (OTI1A8)
reactivity:
human
application:
western blot
HEK293T cells were transfected with the pCMV6-ENTRY control (Left lane) or pCMV6-ENTRY MET (Right lane) cDNA for 48 hrs and lysed. Equivalent amounts of cell lysates (5 ug per lane) were separated by SDS-PAGE and immunoblotted with anti-MET.
quantity:
price:
to the supplier
c-Met Antibody (aa208-407) LS-C344046
LifeSpan Biosciences
catalog: LS-C344046
domestic rabbit polyclonal
reactivity:
human
application:
western blot
All lanes: Anti Met (c-Met) at 0.5 ug/ml. WB: Rat Liver Tissue Lysate at 50 ug. Predicted band size: 154 kD . Observed band size: 154 kD.
quantity:
price:
to the supplier
c-Met Antibody LS-C344178
LifeSpan Biosciences
catalog: LS-C344178
domestic rabbit polyclonal
reactivity:
human
application:
western blot
MET Antibody western blot of MDA-MB435 cell line lysates (35 ug/lane). The MET antibody detected the MET protein (arrow).
quantity:
price:
to the supplier
c-Met Antibody (phospho-Tyr1235) LS-C353784
LifeSpan Biosciences
catalog: LS-C353784
domestic rabbit polyclonal
reactivity:
human
modification: phosphorylated
application:
western blot
Western blot analysis of c-Met (pY1235) expression in HeLa (A); Raw264.7 (B); H9C2 (C) whole cell lysates.
quantity:
price:
to the supplier
c-Met Antibody (phospho-Tyr1234) LS-C354049
LifeSpan Biosciences
catalog: LS-C354049
domestic rabbit polyclonal
reactivity:
human
modification: phosphorylated
application:
western blot
,
immunoprecipitation
Western blot analysis of c-Met (pY1234) expression in A431 (A); HepG2 (B) whole cell lysates.
quantity:
price:
to the supplier
c-Met Antibody (C-Terminus) LS-C358816
LifeSpan Biosciences
catalog: LS-C358816
domestic rabbit polyclonal
reactivity:
human
application:
western blot
Western blot analysis of c-Met (pY1349) expression in A431 (A); HepG2 (B) whole cell lysates.
quantity:
price:
to the supplier
c-Met Antibody (Internal) LS-C368442
LifeSpan Biosciences
catalog: LS-C368442
domestic rabbit polyclonal
reactivity:
human
application:
western blot
,
immunocytochemistry
Western blot analysis of c-Met expression in HeLa (A); A431 (B) whole cell lysates.
Immunofluorescent analysis of c-Met staining in HeLa cells. Formalin-fixed cells were permeabilized with 0.1% Triton X-100 in TBS for 5-10 minutes and blocked with 3% BSA-PBS for 30 minutes at room temperature. Cells were probed with the primary antibody in 3% BSA-PBS and incubated overnight at 4 deg C in a humidified chamber. Cells were washed with PBST and incubated with a DyLight 594-conjugated secondary antibody (red) in PBS at room temperature in the dark. DAPI was used to stain the cell nuclei (blue).
quantity:
price:
to the supplier
c-Met Antibody (aa1092-1379) LS-C372936
LifeSpan Biosciences
catalog: LS-C372936
domestic rabbit polyclonal
reactivity:
human
application:
western blot
Western blot of c-Met antibody.
quantity:
price:
to the supplier
c-Met Antibody (1170-1250 aa) LS-C380780
LifeSpan Biosciences
catalog: LS-C380780
domestic rabbit polyclonal
reactivity:
human
modification: phosphorylated
application:
western blot
,
ELISA
Western blot of Phospho-Met (Y1234) antibody
quantity:
price:
to the supplier
c-Met Antibody (1290-1370 aa) LS-C380781
LifeSpan Biosciences
catalog: LS-C380781
domestic rabbit polyclonal
reactivity:
human
modification: phosphorylated
application:
western blot
,
ELISA
Western blot of Phospho-Met (Y1349) antibody
quantity:
price:
to the supplier
c-Met Antibody (1300-1380 aa) LS-C380921
LifeSpan Biosciences
catalog: LS-C380921
domestic rabbit polyclonal
reactivity:
human
modification: phosphorylated
application:
western blot
,
ELISA
Western blot of Phospho-Met (Y1356) antibody
quantity:
price:
to the supplier
c-Met Antibody (950-1030 aa) LS-C381530
LifeSpan Biosciences
catalog: LS-C381530
domestic rabbit polyclonal
reactivity:
human
modification: phosphorylated
application:
western blot
,
ELISA
,
immunohistochemistry
,
immunocytochemistry
quantity:
price:
to the supplier
c-Met Antibody (1170-1250 aa) LS-C384540
LifeSpan Biosciences
catalog: LS-C384540
domestic rabbit polyclonal
reactivity:
human
application:
western blot
,
ELISA
Western blot of Met antibody
quantity:
price:
to the supplier
c-Met Antibody (950-1030 aa) LS-C384545
LifeSpan Biosciences
catalog: LS-C384545
domestic rabbit polyclonal
reactivity:
human
application:
western blot
,
ELISA
,
immunocytochemistry
Western blot of Met antibody
quantity:
price:
to the supplier
c-Met Antibody (1290-1370 aa) LS-C384546
LifeSpan Biosciences
catalog: LS-C384546
domestic rabbit polyclonal
reactivity:
human
application:
western blot
,
ELISA
,
immunocytochemistry
Western blot of Met antibody
quantity:
price:
to the supplier
c-Met Antibody (250-330 aa, Internal) LS-C384550
LifeSpan Biosciences
catalog: LS-C384550
domestic rabbit polyclonal
reactivity:
human
application:
ELISA
,
immunocytochemistry
quantity:
price:
to the supplier
c-Met Antibody (1250-1330 aa) LS-C386816
LifeSpan Biosciences
catalog: LS-C386816
domestic rabbit polyclonal
reactivity:
human
application:
western blot
,
ELISA
quantity:
price:
to the supplier
c-Met Antibody LS-C485503
LifeSpan Biosciences
catalog: LS-C485503
domestic rabbit polyclonal
reactivity:
human
application:
ELISA
quantity:
price:
to the supplier