Sign in
Sign up
home
>
LifeSpan Biosciences
> LifeSpan Biosciences LIPC antibody
LIPC / Hepatic Lipase Antibody (aa303-352) LS-C146129
LifeSpan Biosciences
catalog: LS-C146129
domestic rabbit polyclonal
reactivity:
human
application:
western blot
quantity:
price:
to the supplier
LIPC / Hepatic Lipase Antibody (aa310-338) LS-C165791
LifeSpan Biosciences
catalog: LS-C165791
domestic rabbit polyclonal
reactivity:
human
application:
western blot
,
immunohistochemistry
,
flow cytometry
,
immunohistochemistry - paraffin section
LIPC Antibody western blot of K562 cell line lysates (35 ug/lane). The LIPC antibody detected the LIPC protein (arrow).
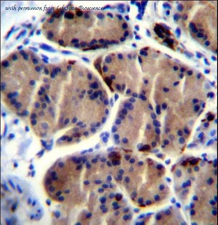
LIPC Antibody immunohistochemistry of formalin-fixed and paraffin-embedded human stomach tissue followed by peroxidase-conjugated secondary antibody and DAB staining.
LIPC Antibody flow cytometry of K562 cells (right histogram) compared to a negative control cell (left histogram). FITC-conjugated goat-anti-rabbit secondary antibodies were used for the analysis.
quantity:
price:
to the supplier
LIPC / Hepatic Lipase Antibody (aa9-36) LS-C165792
LifeSpan Biosciences
catalog: LS-C165792
domestic rabbit polyclonal
reactivity:
human
application:
western blot
,
flow cytometry
LIPC Antibody western blot of CEM cell line lysates (35 ug/lane). The LIPC antibody detected the LIPC protein (arrow).
LIPC Antibody flow cytometry of CEM cells (right histogram) compared to a negative control cell (left histogram). FITC-conjugated goat-anti-rabbit secondary antibodies were used for the analysis.
quantity:
price:
to the supplier
LIPC / Hepatic Lipase Antibody (C-Terminus) LS-C169748
LifeSpan Biosciences
catalog: LS-C169748
domestic rabbit polyclonal
reactivity:
human
application:
western blot
quantity:
price:
to the supplier
LIPC / Hepatic Lipase Antibody (aa310-338, AP) LS-C261967
LifeSpan Biosciences
catalog: LS-C261967
domestic rabbit polyclonal
reactivity:
human
conjugate: AP
application:
western blot
,
ELISA
,
immunohistochemistry
,
flow cytometry
quantity:
price:
to the supplier
LIPC / Hepatic Lipase Antibody (aa310-338, APC) LS-C261968
LifeSpan Biosciences
catalog: LS-C261968
domestic rabbit polyclonal
reactivity:
human
conjugate: APC
application:
western blot
,
ELISA
,
immunohistochemistry
,
flow cytometry
quantity:
price:
to the supplier
LIPC / Hepatic Lipase Antibody (aa310-338, Biotin) LS-C261969
LifeSpan Biosciences
catalog: LS-C261969
domestic rabbit polyclonal
reactivity:
human
conjugate: biotin
application:
western blot
,
ELISA
,
immunohistochemistry
,
flow cytometry
quantity:
price:
to the supplier
LIPC / Hepatic Lipase Antibody (aa310-338, FITC) LS-C261970
LifeSpan Biosciences
catalog: LS-C261970
domestic rabbit polyclonal
reactivity:
human
conjugate: FITC
application:
western blot
,
ELISA
,
immunohistochemistry
,
flow cytometry
quantity:
price:
to the supplier
LIPC / Hepatic Lipase Antibody (aa310-338, Azide-free, HRP) LS-C261971
LifeSpan Biosciences
catalog: LS-C261971
domestic rabbit polyclonal
reactivity:
human
conjugate: HRP
application:
western blot
,
ELISA
,
immunohistochemistry
,
flow cytometry
quantity:
price:
to the supplier
LIPC / Hepatic Lipase Antibody (aa310-338, PE) LS-C261972
LifeSpan Biosciences
catalog: LS-C261972
domestic rabbit polyclonal
reactivity:
human
conjugate: PE
application:
western blot
,
ELISA
,
immunohistochemistry
,
flow cytometry
quantity:
price:
to the supplier
LIPC / Hepatic Lipase Antibody (aa9-36, AP) LS-C261973
LifeSpan Biosciences
catalog: LS-C261973
domestic rabbit polyclonal
reactivity:
human
conjugate: AP
application:
western blot
,
ELISA
,
flow cytometry
quantity:
price:
to the supplier
LIPC / Hepatic Lipase Antibody (aa9-36, APC) LS-C261974
LifeSpan Biosciences
catalog: LS-C261974
domestic rabbit polyclonal
reactivity:
human
conjugate: APC
application:
western blot
,
ELISA
,
flow cytometry
quantity:
price:
to the supplier
LIPC / Hepatic Lipase Antibody (aa9-36, Biotin) LS-C261975
LifeSpan Biosciences
catalog: LS-C261975
domestic rabbit polyclonal
reactivity:
human
conjugate: biotin
application:
western blot
,
ELISA
,
flow cytometry
quantity:
price:
to the supplier
LIPC / Hepatic Lipase Antibody (aa9-36, Azide-free, HRP) LS-C261976
LifeSpan Biosciences
catalog: LS-C261976
domestic rabbit polyclonal
reactivity:
human
conjugate: HRP
application:
western blot
,
ELISA
,
flow cytometry
quantity:
price:
to the supplier
LIPC / Hepatic Lipase Antibody (aa9-36, FITC) LS-C261977
LifeSpan Biosciences
catalog: LS-C261977
domestic rabbit polyclonal
reactivity:
human
conjugate: FITC
application:
western blot
,
ELISA
,
flow cytometry
quantity:
price:
to the supplier
LIPC / Hepatic Lipase Antibody (aa9-36, PE) LS-C261978
LifeSpan Biosciences
catalog: LS-C261978
domestic rabbit polyclonal
reactivity:
human
conjugate: PE
application:
western blot
,
ELISA
,
flow cytometry
quantity:
price:
to the supplier
LIPC / Hepatic Lipase Antibody (aa347-478) LS-C295162
LifeSpan Biosciences
catalog: LS-C295162
domestic rabbit polyclonal
reactivity:
human
application:
western blot
Western Blot; Sample: Recombinant LIPC, Human.
quantity:
price:
to the supplier
LIPC / Hepatic Lipase Antibody (aa191-466) LS-C295165
LifeSpan Biosciences
catalog: LS-C295165
domestic rabbit polyclonal
reactivity:
human
,
rat
application:
western blot
Western blot of recombinant LIPC / Hepatic Lipase. This image was taken for the unconjugated form of this product. Other forms have not been tested.
quantity:
price:
to the supplier
LIPC / Hepatic Lipase Antibody (aa103-356) LS-C295166
LifeSpan Biosciences
catalog: LS-C295166
domestic rabbit polyclonal
reactivity:
human
application:
western blot
Western blot of recombinant LIPC / Hepatic Lipase. This image was taken for the unconjugated form of this product. Other forms have not been tested.
quantity:
price:
to the supplier
LIPC / Hepatic Lipase Antibody (aa347-478, Biotin) LS-C299079
LifeSpan Biosciences
catalog: LS-C299079
domestic rabbit polyclonal
reactivity:
human
conjugate: biotin
application:
western blot
Western Blot; Sample: Recombinant LIPC, Human.
quantity:
price:
to the supplier
LIPC / Hepatic Lipase Antibody (aa191-466, Biotin) LS-C299081
LifeSpan Biosciences
catalog: LS-C299081
domestic rabbit polyclonal
reactivity:
human
,
rat
conjugate: biotin
application:
western blot
Western blot of recombinant LIPC / Hepatic Lipase. This image was taken for the unconjugated form of this product. Other forms have not been tested.
quantity:
price:
to the supplier
LIPC / Hepatic Lipase Antibody (aa103-356, Biotin) LS-C299083
LifeSpan Biosciences
catalog: LS-C299083
domestic rabbit polyclonal
reactivity:
human
conjugate: biotin
application:
western blot
Western blot of recombinant LIPC / Hepatic Lipase. This image was taken for the unconjugated form of this product. Other forms have not been tested.
quantity:
price:
to the supplier
LIPC / Hepatic Lipase Antibody (aa191-466, FITC) LS-C303125
LifeSpan Biosciences
catalog: LS-C303125
domestic rabbit polyclonal
reactivity:
human
,
rat
conjugate: FITC
application:
western blot
Western blot of recombinant LIPC / Hepatic Lipase. This image was taken for the unconjugated form of this product. Other forms have not been tested.
quantity:
price:
to the supplier
LIPC / Hepatic Lipase Antibody (aa103-356, FITC) LS-C303126
LifeSpan Biosciences
catalog: LS-C303126
domestic rabbit polyclonal
reactivity:
human
conjugate: FITC
application:
western blot
Western blot of recombinant LIPC / Hepatic Lipase. This image was taken for the unconjugated form of this product. Other forms have not been tested.
quantity:
price:
to the supplier
LIPC / Hepatic Lipase Antibody (aa1-277) LS-C311701
LifeSpan Biosciences
catalog: LS-C311701
domestic rabbit polyclonal
reactivity:
human
application:
western blot
quantity:
price:
to the supplier
LIPC / Hepatic Lipase Antibody (aa349-394) LS-C313793
LifeSpan Biosciences
catalog: LS-C313793
domestic rabbit polyclonal
reactivity:
human
application:
western blot
quantity:
price:
to the supplier
LIPC / Hepatic Lipase Antibody LS-C192824
LifeSpan Biosciences
catalog: LS-C192824
domestic rabbit polyclonal
reactivity:
human
application:
western blot
,
immunohistochemistry
Western blot of extracts of various cell lines, using LIPC antibody.
quantity:
price:
to the supplier
LIPC / Hepatic Lipase Antibody (aa9-36) LS-C322680
LifeSpan Biosciences
catalog: LS-C322680
domestic rabbit polyclonal
reactivity:
human
application:
western blot
,
ELISA
,
flow cytometry
quantity:
price:
to the supplier
LIPC / Hepatic Lipase Antibody (aa310-338) LS-C322681
LifeSpan Biosciences
catalog: LS-C322681
domestic rabbit polyclonal
reactivity:
human
application:
western blot
,
ELISA
,
immunohistochemistry
,
flow cytometry
quantity:
price:
to the supplier
LIPC / Hepatic Lipase Antibody LS-C331464
LifeSpan Biosciences
catalog: LS-C331464
domestic rabbit polyclonal
reactivity:
human
application:
western blot
,
immunohistochemistry
,
immunocytochemistry
Immunohistochemistry of paraffin-embedded human colon cancer tissue.
Immunofluorescence analysis of A549 cells.
Western blot analysis of extracts of various cell lines, using LIPC antibody at 1:1000 dilution. The secondary antibody used was an HRP Goat Anti-Rabbit IgG (H+L) at 1:10000 dilution. Lysates were loaded 25ug per lane and 3% nonfat dry milk in TBST was used for blocking.
quantity:
price:
to the supplier
LIPC / Hepatic Lipase Antibody (aa25-247) LS-C372591
LifeSpan Biosciences
catalog: LS-C372591
domestic rabbit polyclonal
reactivity:
human
application:
western blot
Western Blot; Sample: Human Liver Tissue.
quantity:
price:
to the supplier
LIPC / Hepatic Lipase Antibody (270-350 aa, Internal) LS-C383916
LifeSpan Biosciences
catalog: LS-C383916
domestic rabbit polyclonal
reactivity:
human
application:
western blot
,
ELISA
,
immunohistochemistry
Western blot of Hepatic Lipase antibody
quantity:
price:
to the supplier
IHC-plus™ LIPC / Hepatic Lipase Antibody (Internal) LS-B13578
LifeSpan Biosciences
catalog: LS-B13578
domestic rabbit polyclonal
reactivity:
human
application:
western blot
,
immunohistochemistry
,
immunohistochemistry - paraffin section
Western blot analysis of Hepatic Lipase expression in HEK293T (A); NIH3T3 (B); H9C2 (C) whole cell lysates.
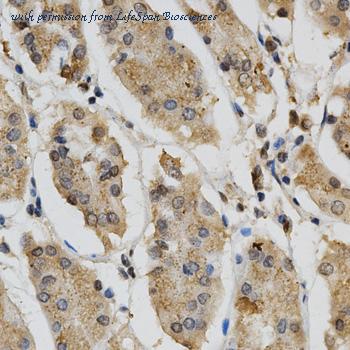
Human Liver: Formalin-Fixed, Paraffin-Embedded (FFPE)
quantity:
price:
to the supplier