Sign in
Sign up
home
>
LifeSpan Biosciences
> LifeSpan Biosciences LGALS2 antibody
LGALS2 / Galectin 2 Antibody (aa31-80) LS-C119567
LifeSpan Biosciences
catalog: LS-C119567
domestic rabbit polyclonal
reactivity:
human
application:
immunohistochemistry
,
immunocytochemistry
Immunofluorescence analysis of COS7 cells, using LEG2 Antibody. The picture on the right is blocked with the synthesized peptide.
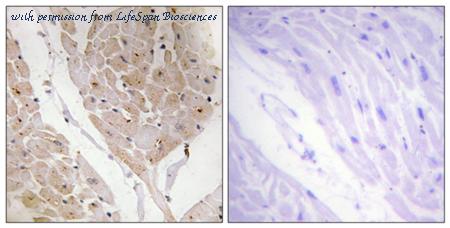
Immunohistochemistry analysis of paraffin-embedded human heart tissue, using LEG2 Antibody. The picture on the right is blocked with the synthesized peptide.
quantity:
price:
to the supplier
LGALS2 / Galectin 2 Antibody LS-C123598
LifeSpan Biosciences
catalog: LS-C123598
domestic rabbit polyclonal
reactivity:
human
application:
western blot
,
ELISA
,
immunohistochemistry
,
immunoprecipitation
quantity:
price:
to the supplier
LGALS2 / Galectin 2 Antibody (aa85-111) LS-C165746
LifeSpan Biosciences
catalog: LS-C165746
domestic rabbit polyclonal
reactivity:
human
application:
western blot
,
immunohistochemistry
,
flow cytometry
,
immunohistochemistry - paraffin section
Western blot of LGALS2 Antibody in mouse stomach tissue lysates (35 ug/lane). LGALS2 (arrow) was detected using the purified antibody.
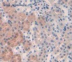
Formalin-fixed and paraffin-embedded human colon carcinoma reacted with LGALS2 Antibody , which was peroxidase-conjugated to the secondary antibody, followed by DAB staining. This data demonstrates the use of this antibody for immunohistochemistry; clinical relevance has not been evaluated.
LGALS2 Antibody flow cytometry of WiDr cells (right histogram) compared to a negative control cell (left histogram). FITC-conjugated goat-anti-rabbit secondary antibodies were used for the analysis.
quantity:
price:
to the supplier
LGALS2 / Galectin 2 Antibody (aa85-111, APC) LS-C219437
LifeSpan Biosciences
catalog: LS-C219437
domestic rabbit polyclonal
reactivity:
human
conjugate: APC
application:
western blot
,
ELISA
,
immunohistochemistry
quantity:
price:
to the supplier
LGALS2 / Galectin 2 Antibody (aa85-111, AP) LS-C219438
LifeSpan Biosciences
catalog: LS-C219438
domestic rabbit polyclonal
reactivity:
human
conjugate: AP
application:
western blot
,
ELISA
,
immunohistochemistry
quantity:
price:
to the supplier
LGALS2 / Galectin 2 Antibody (aa85-111, Biotin) LS-C219439
LifeSpan Biosciences
catalog: LS-C219439
domestic rabbit polyclonal
reactivity:
human
conjugate: biotin
application:
western blot
,
ELISA
,
immunohistochemistry
quantity:
price:
to the supplier
LGALS2 / Galectin 2 Antibody (aa85-111, FITC) LS-C219440
LifeSpan Biosciences
catalog: LS-C219440
domestic rabbit polyclonal
reactivity:
human
conjugate: FITC
application:
western blot
,
ELISA
,
immunohistochemistry
quantity:
price:
to the supplier
LGALS2 / Galectin 2 Antibody (aa85-111, Azide-free, HRP) LS-C219441
LifeSpan Biosciences
catalog: LS-C219441
domestic rabbit polyclonal
reactivity:
human
conjugate: HRP
application:
western blot
,
ELISA
,
immunohistochemistry
quantity:
price:
to the supplier
LGALS2 / Galectin 2 Antibody (aa85-111, PE) LS-C219442
LifeSpan Biosciences
catalog: LS-C219442
domestic rabbit polyclonal
reactivity:
human
conjugate: PE
application:
western blot
,
ELISA
,
immunohistochemistry
quantity:
price:
to the supplier
LGALS2 / Galectin 2 Antibody (aa1-132) LS-C292428
LifeSpan Biosciences
catalog: LS-C292428
mouse monoclonal
reactivity:
human
application:
western blot
Western Blot; Sample: Rat Stomach lysate; Primary Ab: 3µg/ml Mouse Anti-Human GAL2 Antibody Second Ab: 0.2µg/mL HRP-Linked Caprine Anti-Mouse IgG Polyclonal Antibody
quantity:
price:
to the supplier
LGALS2 / Galectin 2 Antibody (aa1-132) LS-C293997
LifeSpan Biosciences
catalog: LS-C293997
domestic rabbit polyclonal
reactivity:
human
application:
western blot
Western Blot; Sample: Lane1: Mouse Pancreas Tissue; Lane2: Mouse Intestine Tissue; Lane3: Mouse Stomach Tissue.
quantity:
price:
to the supplier
LGALS2 / Galectin 2 Antibody (aa1-130) LS-C293998
LifeSpan Biosciences
catalog: LS-C293998
domestic rabbit polyclonal
reactivity:
human
,
mouse
application:
western blot
Western Blot; Sample: Mouse Stomach lysate; Primary Ab: 5µg/ml Rabbit Anti-Mouse GAL2 Antibody Second Ab: 0.2µg/mL HRP-Linked Caprine Anti-Rabbit IgG Polyclonal Antibody
quantity:
price:
to the supplier
LGALS2 / Galectin 2 Antibody (aa1-132, Biotin) LS-C298023
LifeSpan Biosciences
catalog: LS-C298023
domestic rabbit polyclonal
reactivity:
human
conjugate: biotin
application:
western blot
Western Blot; Sample: Lane1: Mouse Pancreas Tissue; Lane2: Mouse Intestine Tissue; Lane3: Mouse Stomach Tissue.
quantity:
price:
to the supplier
LGALS2 / Galectin 2 Antibody (aa1-132, Biotin) LS-C298920
LifeSpan Biosciences
catalog: LS-C298920
mouse monoclonal
reactivity:
human
conjugate: biotin
application:
western blot
Western Blot; Sample: Rat Stomach lysate; Primary Ab: 3µg/ml Mouse Anti-Human GAL2 Antibody Second Ab: 0.2µg/mL HRP-Linked Caprine Anti-Mouse IgG Polyclonal Antibody
quantity:
price:
to the supplier
LGALS2 / Galectin 2 Antibody (aa1-132, FITC) LS-C302872
LifeSpan Biosciences
catalog: LS-C302872
mouse monoclonal
reactivity:
human
conjugate: FITC
application:
western blot
Western Blot; Sample: Rat Stomach lysate; Primary Ab: 3µg/ml Mouse Anti-Human GAL2 Antibody Second Ab: 0.2µg/mL HRP-Linked Caprine Anti-Mouse IgG Polyclonal Antibody
quantity:
price:
to the supplier
LGALS2 / Galectin 2 Antibody (aa1-132, FITC) LS-C305119
LifeSpan Biosciences
catalog: LS-C305119
domestic rabbit polyclonal
reactivity:
human
conjugate: FITC
application:
western blot
Western Blot; Sample: Lane1: Mouse Pancreas Tissue; Lane2: Mouse Intestine Tissue; Lane3: Mouse Stomach Tissue.
quantity:
price:
to the supplier
LGALS2 / Galectin 2 Antibody (aa1-130) LS-C314461
LifeSpan Biosciences
catalog: LS-C314461
domestic rabbit polyclonal
reactivity:
human
,
rat
application:
western blot
Western blot of recombinant LGALS2 / Galectin 2.
quantity:
price:
to the supplier
LGALS2 / Galectin 2 Antibody (aa85-111) LS-C330448
LifeSpan Biosciences
catalog: LS-C330448
domestic rabbit polyclonal
reactivity:
human
application:
western blot
,
ELISA
,
immunohistochemistry
quantity:
price:
to the supplier
LGALS2 / Galectin 2 Antibody (clone OTI6A8) LS-C338697
LifeSpan Biosciences
catalog: LS-C338697
mouse monoclonal (OTI6A8)
reactivity:
human
application:
western blot
HEK293T cells were transfected with the pCMV6-ENTRY control (Left lane) or pCMV6-ENTRY LGALS2 (Right lane) cDNA for 48 hrs and lysed. Equivalent amounts of cell lysates (5 ug per lane) were separated by SDS-PAGE and immunoblotted with anti-LGALS2.
quantity:
price:
to the supplier
LGALS2 / Galectin 2 Antibody (aa1-123) LS-C373920
LifeSpan Biosciences
catalog: LS-C373920
domestic rabbit polyclonal
reactivity:
human
application:
western blot
Western Blot; Sample: Mouse Stomach lysate; Primary Ab: 1µg/ml Rabbit Anti-Porcine GAL2 Antibody Second Ab: 0.2µg/mL HRP-Linked Caprine Anti-Rabbit IgG Polyclonal Antibody
quantity:
price:
to the supplier
LGALS2 / Galectin 2 Antibody (aa1-132) LS-C376026
LifeSpan Biosciences
catalog: LS-C376026
domestic rabbit polyclonal
reactivity:
human
application:
western blot
,
ELISA
Western blot. All lanes: Galectin-2 antibody at 6 ug/ml+mouse liver tissue. Secondary antibody: Goat polyclonal to rabbit at 1:10000 dilution. Predicted band size: 15 kDa. Observed band size: 15 kDa.
quantity:
price:
to the supplier
LGALS2 / Galectin 2 Antibody (1-80 aa, Internal) LS-C383623
LifeSpan Biosciences
catalog: LS-C383623
domestic rabbit polyclonal
reactivity:
human
application:
ELISA
,
immunohistochemistry
,
immunocytochemistry
quantity:
price:
to the supplier