Sign in
Sign up
home
>
LifeSpan Biosciences
> LifeSpan Biosciences c-Jun antibody
JUN / c-Jun Antibody (phospho-Ser63) LS-C117322
LifeSpan Biosciences
catalog: LS-C117322
domestic rabbit polyclonal
reactivity:
human
modification: phosphorylated
application:
western blot
,
immunohistochemistry
,
immunohistochemistry - paraffin section
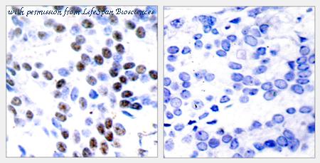
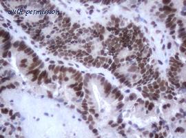
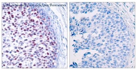
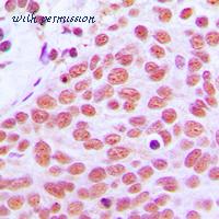
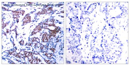
Immunohistochemistry analysis of paraffin-embedded human breast carcinoma, using c-Jun (Phospho-Ser63) Antibody. The picture on the right is blocked with the phospho peptide.
Western blot analysis of lysates from HeLa cells treated with UV, using c-Jun (Phospho-Ser63) Antibody. The lane on the right is blocked with the phospho peptide.
quantity:
price:
to the supplier
JUN / c-Jun Antibody (clone OTI1B10) LS-C336995
LifeSpan Biosciences
catalog: LS-C336995
mouse monoclonal (OTI1B10)
reactivity:
human
application:
western blot
,
immunohistochemistry
,
immunohistochemistry - paraffin section
citations: 1
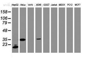
Western blot of extracts (35ug) from 9 different cell lines by using anti-JUN monoclonal antibody (HepG2: human; HeLa: human; SVT2: mouse; A549: human; COS7: monkey; Jurkat: human; MDCK: canine; PC12: rat; MCF7: human).
IHC of paraffin-embedded Adenocarcinoma of Human colon tissue using anti-JUN mouse monoclonal antibody. (Heat-induced epitope retrieval by 10mM citric buffer, pH6.0, 100C for 10min).
quantity:
price:
to the supplier
JUN / c-Jun Antibody (N-Terminus) LS-C30797
LifeSpan Biosciences
catalog: LS-C30797
domestic rabbit polyclonal
reactivity:
human
application:
western blot
quantity:
price:
to the supplier
JUN / c-Jun Antibody (phospho-Ser73) LS-C14492
LifeSpan Biosciences
catalog: LS-C14492
domestic rabbit polyclonal
reactivity:
human
modification: phosphorylated
application:
western blot
,
ELISA
,
immunohistochemistry
,
immunocytochemistry
,
immunohistochemistry - paraffin section
quantity:
price:
to the supplier
JUN / c-Jun Antibody (phospho-Ser243) LS-C37105
LifeSpan Biosciences
catalog: LS-C37105
domestic rabbit polyclonal
reactivity:
human
modification: phosphorylated
application:
western blot
,
ELISA
,
immunohistochemistry
,
immunocytochemistry
quantity:
price:
to the supplier
JUN / c-Jun Antibody (phospho-Ser73) LS-C48482
LifeSpan Biosciences
catalog: LS-C48482
domestic rabbit polyclonal
reactivity:
human
modification: phosphorylated
application:
western blot
,
immunohistochemistry
quantity:
price:
to the supplier
JUN / c-Jun Antibody LS-C48641
LifeSpan Biosciences
catalog: LS-C48641
domestic rabbit polyclonal
reactivity:
human
application:
western blot
,
immunohistochemistry
quantity:
price:
to the supplier
JUN / c-Jun Antibody (phospho-Thr91, clone C-J 4C4) LS-C49058
LifeSpan Biosciences
catalog: LS-C49058
mouse monoclonal (C-J 4C4)
reactivity:
human
modification: phosphorylated
application:
western blot
quantity:
price:
to the supplier
JUN / c-Jun Antibody (N-Terminus) LS-C79358
LifeSpan Biosciences
catalog: LS-C79358
domestic rabbit polyclonal
reactivity:
human
application:
western blot
,
immunohistochemistry
,
immunoprecipitation
quantity:
price:
to the supplier
JUN / c-Jun Antibody (N-Terminus) LS-C82038
LifeSpan Biosciences
catalog: LS-C82038
domestic rabbit polyclonal
reactivity:
human
application:
western blot
quantity:
price:
to the supplier
JUN / c-Jun Antibody (phospho-Ser63) LS-C97442
LifeSpan Biosciences
catalog: LS-C97442
domestic rabbit polyclonal
reactivity:
human
modification: phosphorylated
application:
western blot
,
immunohistochemistry
,
immunohistochemistry - paraffin section
Dot blot of anti-Phospho-cJun-S63 Antibody on nitrocellulose membrane. 50ng of Phospho-peptide or Non Phospho-peptide per dot were adsorbed. Antibody working concentrations are 0.5ug per ml.
Western blot of anti-Phospho-cJun-pS63 antibody in mouse kidney tissue lysate (35 ug/lane). cJun-pS63 (arrow) was detected using the purified antibody.
Formalin-fixed and paraffin-embedded human cancer tissue reacted with the primary antibody, which was peroxidase-conjugated to the secondary antibody, followed by AEC staining. This data demonstrates the use of this antibody for immunohistochemistry; clinical relevance has not been evaluated. BC = breast carcinoma; HC = hepatocarcinoma.
quantity:
price:
to the supplier
JUN / c-Jun Antibody (phospho-Ser63) LS-C97443
LifeSpan Biosciences
catalog: LS-C97443
domestic rabbit polyclonal
reactivity:
human
modification: phosphorylated
application:
western blot
,
immunohistochemistry
,
immunohistochemistry - paraffin section
Dot blot of anti-Phospho-cJun-S63 Antibody on nitrocellulose membrane. 50ng of Phospho-peptide or Non Phospho-peptide per dot were adsorbed. Antibody working concentrations are 0.5ug per ml.
Western blot of anti-Phospho-cJun-pS63 antibody in mouse brain tissue lysate (35 ug/lane). Mouse Phospho-cJun-pS63(arrow) was detected using the purified antibody.
Formalin-fixed and paraffin-embedded human cancer tissue reacted with the primary antibody, which was peroxidase-conjugated to the secondary antibody, followed by AEC staining. This data demonstrates the use of this antibody for immunohistochemistry; clinical relevance has not been evaluated. BC = breast carcinoma; HC = hepatocarcinoma.
quantity:
price:
to the supplier
JUN / c-Jun Antibody LS-C14483
LifeSpan Biosciences
catalog: LS-C14483
domestic rabbit polyclonal
reactivity:
human
,
chicken
application:
western blot
,
immunocytochemistry
,
immunoprecipitation
quantity:
price:
to the supplier
JUN / c-Jun Antibody (aa251-300) LS-C110244
LifeSpan Biosciences
catalog: LS-C110244
domestic rabbit polyclonal
reactivity:
human
application:
western blot
quantity:
price:
to the supplier
JUN / c-Jun Antibody (phospho-Ser243) LS-C117396
LifeSpan Biosciences
catalog: LS-C117396
domestic rabbit polyclonal
reactivity:
human
modification: phosphorylated
application:
western blot
,
immunohistochemistry
,
immunoprecipitation
,
immunohistochemistry - paraffin section
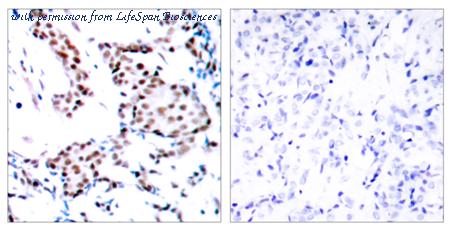
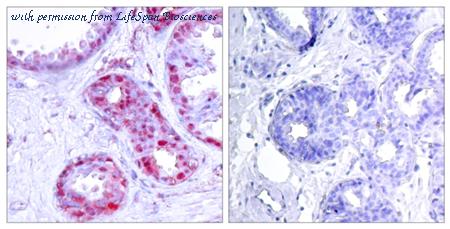
Immunohistochemistry analysis of paraffin-embedded human breast carcinoma, using c-Jun (Phospho-Ser243) Antibody. The picture on the right is blocked with the phospho peptide.
Western blot analysis of lysates from HeLa cells treated with UV, using c-Jun (Phospho-Ser243) Antibody. The lane on the right is blocked with the phospho peptide.
quantity:
price:
to the supplier
JUN / c-Jun Antibody (phospho-Thr239) LS-C117397
LifeSpan Biosciences
catalog: LS-C117397
domestic rabbit polyclonal
reactivity:
human
modification: phosphorylated
application:
western blot
,
immunohistochemistry
,
immunoprecipitation
,
immunohistochemistry - paraffin section
Immunohistochemistry analysis of paraffin-embedded human breast carcinoma, using c-Jun (Phospho-Thr239) Antibody. The picture on the right is blocked with the phospho peptide.
Western blot analysis of lysates from HeLa cells treated with UV, using c-Jun (Phospho-Thr239) Antibody. The lane on the left is blocked with the phospho peptide.
quantity:
price:
to the supplier
JUN / c-Jun Antibody (phospho-Thr91) LS-C117398
LifeSpan Biosciences
catalog: LS-C117398
domestic rabbit polyclonal
reactivity:
human
modification: phosphorylated
application:
western blot
,
immunohistochemistry
,
immunohistochemistry - paraffin section
Immunohistochemistry analysis of paraffin-embedded human breast carcinoma, using c-Jun (Phospho-Thr91) Antibody. The picture on the right is blocked with the phospho peptide.
Western blot analysis of lysates from HeLa cells treated with UV, using c-Jun (Phospho-Thr91) Antibody. The lane on the left is blocked with the phospho peptide.
quantity:
price:
to the supplier
JUN / c-Jun Antibody (phospho-Thr93) LS-C117399
LifeSpan Biosciences
catalog: LS-C117399
domestic rabbit polyclonal
reactivity:
human
modification: phosphorylated
application:
western blot
,
immunohistochemistry
,
immunoprecipitation
,
immunohistochemistry - paraffin section
Immunohistochemistry analysis of paraffin-embedded human breast carcinoma, using c-Jun (Phospho-Thr93) Antibody. The picture on the right is blocked with the phospho peptide.
Western blot analysis of lysates from HeLa cells treated with UV, using c-Jun (Phospho-Thr93) Antibody. The lane on the right is blocked with the phospho peptide.
quantity:
price:
to the supplier
JUN / c-Jun Antibody (phospho-Tyr170) LS-C117400
LifeSpan Biosciences
catalog: LS-C117400
domestic rabbit polyclonal
reactivity:
human
modification: phosphorylated
application:
western blot
Western blot analysis of lysates from HeLa cells treated with UV, using c-Jun (Phospho-Tyr170) Antibody. The lane on the left is blocked with the phospho peptide.
quantity:
price:
to the supplier
JUN / c-Jun Antibody (aa221-270) LS-C117861
LifeSpan Biosciences
catalog: LS-C117861
domestic rabbit polyclonal
reactivity:
human
application:
western blot
,
immunohistochemistry
,
immunohistochemistry - paraffin section
Immunohistochemistry analysis of paraffin-embedded human brain tissue, using c-Jun Antibody. The picture on the right is blocked with the synthesized peptide.
Western blot analysis of lysates from Jurkat cells, treated with UV 15', using c-Jun Antibody. The lane on the right is blocked with the synthesized peptide.
quantity:
price:
to the supplier
JUN / c-Jun Antibody (aa31-80) LS-C118079
LifeSpan Biosciences
catalog: LS-C118079
domestic rabbit polyclonal
reactivity:
human
application:
western blot
Western blot analysis of lysates from 293 cells, using c-Jun Antibody. The lane on the right is blocked with the synthesized peptide.
quantity:
price:
to the supplier
JUN / c-Jun Antibody (aa40-89) LS-C118080
LifeSpan Biosciences
catalog: LS-C118080
domestic rabbit polyclonal
reactivity:
human
application:
western blot
,
immunohistochemistry
Immunohistochemistry analysis of paraffin-embedded human breast carcinoma tissue, using c-Jun Antibody. The picture on the right is blocked with the synthesized peptide.
Western blot analysis of lysates from HeLa cells, using c-Jun Antibody. The lane on the right is blocked with the synthesized peptide.
quantity:
price:
to the supplier
JUN / c-Jun Antibody (aa206-255) LS-C118163
LifeSpan Biosciences
catalog: LS-C118163
domestic rabbit polyclonal
reactivity:
human
application:
western blot
,
immunohistochemistry
,
immunohistochemistry - paraffin section
Immunohistochemistry analysis of paraffin-embedded human breast carcinoma tissue, using c-Jun Antibody. The picture on the right is blocked with the synthesized peptide.
Western blot analysis of lysates from HeLa cells, using c-Jun Antibody. The lane on the right is blocked with the synthesized peptide.
quantity:
price:
to the supplier
JUN / c-Jun Antibody (aa58-107) LS-C118164
LifeSpan Biosciences
catalog: LS-C118164
domestic rabbit polyclonal
reactivity:
human
application:
western blot
,
immunohistochemistry
,
immunoprecipitation
,
immunohistochemistry - paraffin section
Immunohistochemistry analysis of paraffin-embedded human breast carcinoma tissue, using c-Jun Antibody. The picture on the right is blocked with the synthesized peptide.
Western blot analysis of lysates from HeLa cells, using c-Jun Antibody. The lane on the right is blocked with the synthesized peptide.
quantity:
price:
to the supplier
JUN / c-Jun Antibody (aa61-110) LS-C118165
LifeSpan Biosciences
catalog: LS-C118165
domestic rabbit polyclonal
reactivity:
human
application:
western blot
,
immunohistochemistry
,
immunohistochemistry - paraffin section
Immunohistochemistry analysis of paraffin-embedded human breast carcinoma tissue, using c-Jun Antibody. The picture on the right is blocked with the synthesized peptide.
Western blot analysis of lysates from HeLa cells, using c-Jun Antibody. The lane on the right is blocked with the synthesized peptide.
quantity:
price:
to the supplier
JUN / c-Jun Antibody (aa137-186) LS-C118166
LifeSpan Biosciences
catalog: LS-C118166
domestic rabbit polyclonal
reactivity:
human
application:
western blot
,
immunohistochemistry
,
immunoprecipitation
,
immunohistochemistry - paraffin section
Immunohistochemistry analysis of paraffin-embedded human breast carcinoma tissue, using c-Jun Antibody. The picture on the right is blocked with the synthesized peptide.
Western blot analysis of lysates from HeLa, 293, and 3T3 cells, using c-Jun Antibody. The lane on the right is blocked with the synthesized peptide.
quantity:
price:
to the supplier
JUN / c-Jun Antibody (phospho-Ser73) LS-C123254
LifeSpan Biosciences
catalog: LS-C123254
domestic rabbit polyclonal
reactivity:
human
modification: phosphorylated
application:
western blot
,
immunohistochemistry
quantity:
price:
to the supplier
JUN / c-Jun Antibody (phospho-Thr91) LS-C123255
LifeSpan Biosciences
catalog: LS-C123255
domestic rabbit polyclonal
reactivity:
human
modification: phosphorylated
application:
western blot
,
immunohistochemistry
quantity:
price:
to the supplier
JUN / c-Jun Antibody (phospho-Thr93) LS-C123256
LifeSpan Biosciences
catalog: LS-C123256
domestic rabbit polyclonal
reactivity:
human
modification: phosphorylated
application:
western blot
,
immunohistochemistry
quantity:
price:
to the supplier
JUN / c-Jun Antibody (phospho-Ser243) LS-C123258
LifeSpan Biosciences
catalog: LS-C123258
domestic rabbit polyclonal
reactivity:
human
modification: phosphorylated
application:
western blot
,
immunohistochemistry
,
immunocytochemistry
quantity:
price:
to the supplier
JUN / c-Jun Antibody LS-C123259
LifeSpan Biosciences
catalog: LS-C123259
domestic rabbit polyclonal
reactivity:
human
application:
western blot
,
immunohistochemistry
quantity:
price:
to the supplier
JUN / c-Jun Antibody LS-C123260
LifeSpan Biosciences
catalog: LS-C123260
domestic rabbit polyclonal
reactivity:
human
application:
western blot
,
immunohistochemistry
,
immunocytochemistry
quantity:
price:
to the supplier
JUN / c-Jun Antibody LS-C123262
LifeSpan Biosciences
catalog: LS-C123262
domestic rabbit polyclonal
reactivity:
human
application:
western blot
,
immunohistochemistry
quantity:
price:
to the supplier
JUN / c-Jun Antibody LS-C123263
LifeSpan Biosciences
catalog: LS-C123263
domestic rabbit polyclonal
reactivity:
human
application:
western blot
,
immunohistochemistry
quantity:
price:
to the supplier
JUN / c-Jun Antibody LS-C123264
LifeSpan Biosciences
catalog: LS-C123264
domestic rabbit polyclonal
reactivity:
human
application:
western blot
,
immunohistochemistry
quantity:
price:
to the supplier
JUN / c-Jun Antibody LS-C125370
LifeSpan Biosciences
catalog: LS-C125370
mouse monoclonal
reactivity:
human
application:
western blot
,
immunocytochemistry
quantity:
price:
to the supplier
JUN / c-Jun Antibody (aa218-267) LS-C145685
LifeSpan Biosciences
catalog: LS-C145685
domestic rabbit polyclonal
reactivity:
human
application:
western blot
quantity:
price:
to the supplier
JUN / c-Jun Antibody LS-C146824
LifeSpan Biosciences
catalog: LS-C146824
domestic rabbit polyclonal
reactivity:
human
application:
western blot
quantity:
price:
to the supplier
PathPlus™ JUN / c-Jun Antibody (aa210-259) LS-B7572
LifeSpan Biosciences
catalog: LS-B7572
domestic rabbit polyclonal
reactivity:
human
application:
western blot
,
immunohistochemistry
,
immunoprecipitation
,
immunohistochemistry - paraffin section
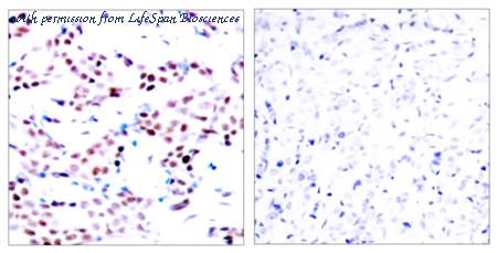
Anti-JUN antibody IHC of human brain, cortex. Immunohistochemistry of formalin-fixed, paraffin-embedded tissue after heat-induced antigen retrieval. Antibody dilution 1:100.
Western blot analysis of lysates from HeLa cells, using c-Jun Antibody. The lane on the right is blocked with the synthesized peptide.
quantity:
price:
to the supplier
IHC-plus™ JUN / c-Jun Antibody (aa201-250) LS-B7642
LifeSpan Biosciences
catalog: LS-B7642
domestic rabbit polyclonal
reactivity:
human
application:
western blot
,
immunohistochemistry
,
immunocytochemistry
,
immunohistochemistry - paraffin section
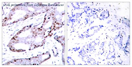
Anti-JUN antibody IHC of human testis. Immunohistochemistry of formalin-fixed, paraffin-embedded tissue after heat-induced antigen retrieval. Antibody dilution 1:100.
Immunofluorescence analysis of HeLa cells, using c-Jun Antibody. The picture on the right is blocked with the synthesized peptide.
Western blot analysis of lysates from Jurkat cells, treated with Paclitaxel 1uM 60', using c-Jun Antibody. The lane on the right is blocked with the synthesized peptide.
quantity:
price:
to the supplier
JUN / c-Jun Antibody (phospho-Thr289) LS-C158222
LifeSpan Biosciences
catalog: LS-C158222
domestic rabbit polyclonal
reactivity:
human
,
mouse
modification: phosphorylated
Dot blot of Phospho-mouse JUN-T289 Antibody Phospho-specific antibody on nitrocellulose membrane. 50ng of Phospho-peptide or Non Phospho-peptide per dot were adsorbed. Antibody working concentrations are 0.6ug per ml.
quantity:
price:
to the supplier
JUN / c-Jun Antibody (clone 5B1) LS-C169396
LifeSpan Biosciences
catalog: LS-C169396
mouse monoclonal (5B1)
reactivity:
human
application:
western blot
,
ELISA
,
immunohistochemistry
,
immunocytochemistry
,
flow cytometry
quantity:
price:
to the supplier
JUN / c-Jun Antibody (clone 4H9) LS-C169404
LifeSpan Biosciences
catalog: LS-C169404
mouse monoclonal (4H9)
reactivity:
human
application:
western blot
,
ELISA
,
immunohistochemistry
,
immunocytochemistry
quantity:
price:
to the supplier
JUN / c-Jun Antibody (clone OTI3G2) LS-C172330
LifeSpan Biosciences
catalog: LS-C172330
mouse monoclonal (OTI3G2)
reactivity:
human
application:
western blot
,
immunocytochemistry
,
flow cytometry
HEK293T cells were transfected with the pCMV6-ENTRY control (Left lane) or pCMV6-ENTRY JUN (Right lane) cDNA for 48 hrs and lysed. Equivalent amounts of cell lysates (5 ug per lane) were separated by SDS-PAGE and immunoblotted with anti-JUN.
Anti-JUN mouse monoclonal antibody immunofluorescent staining of COS7 cells transiently transfected by pCMV6-ENTRY JUN.
HEK293T cells transfected with either overexpress plasmid (Red) or empty vector control plasmid (Blue) were immunostained by anti-JUN antibody, and then analyzed by flow cytometry.
quantity:
price:
to the supplier
JUN / c-Jun Antibody (clone OTI2G4) LS-C175382
LifeSpan Biosciences
catalog: LS-C175382
mouse monoclonal (OTI2G4)
reactivity:
human
application:
western blot
,
immunohistochemistry
,
immunohistochemistry - paraffin section
HEK293T cells were transfected with the pCMV6-ENTRY control (Left lane) or pCMV6-ENTRY JUN (Right lane) cDNA for 48 hrs and lysed. Equivalent amounts of cell lysates (5 ug per lane) were separated by SDS-PAGE and immunoblotted with anti-JUN.
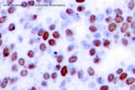
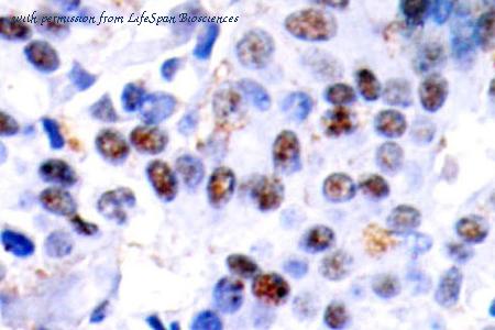
IHC of paraffin-embedded Adenocarcinoma of Human colon tissue using anti-JUN mouse monoclonal antibody.
quantity:
price:
to the supplier
JUN / c-Jun Antibody (clone OTI2D11) LS-C175383
LifeSpan Biosciences
catalog: LS-C175383
mouse monoclonal (OTI2D11)
reactivity:
human
application:
western blot
,
immunohistochemistry
,
immunohistochemistry - paraffin section
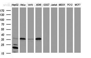
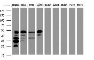
Western blot of extracts (35 ug) from 9 different cell lines by using anti-JUN monoclonal antibody (HepG2: human; HeLa: human; SVT2: mouse; A549: human; COS7: monkey; Jurkat: human; MDCK: canine; PC12: rat; MCF7: human).
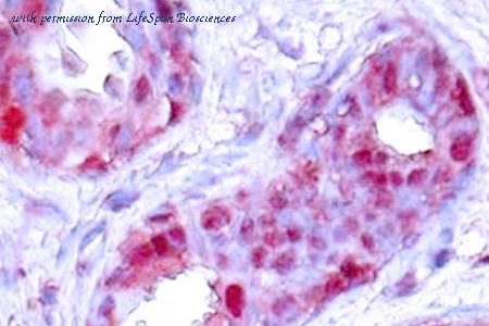
IHC of paraffin-embedded Human breast tissue using anti-JUN mouse monoclonal antibody.
quantity:
price:
to the supplier
JUN / c-Jun Antibody (clone OTI8A6) LS-C175390
LifeSpan Biosciences
catalog: LS-C175390
mouse monoclonal (OTI8A6)
reactivity:
human
application:
western blot
HEK293T cells were transfected with the pCMV6-ENTRY control (Left lane) or pCMV6-ENTRY JUN (Right lane) cDNA for 48 hrs and lysed. Equivalent amounts of cell lysates (5 ug per lane) were separated by SDS-PAGE and immunoblotted with anti-JUN.
quantity:
price:
to the supplier
JUN / c-Jun Antibody (clone OTI3C1) LS-C175391
LifeSpan Biosciences
catalog: LS-C175391
mouse monoclonal (OTI3C1)
reactivity:
human
application:
western blot
,
immunohistochemistry
,
immunohistochemistry - paraffin section
HEK293T cells were transfected with the pCMV6-ENTRY control (Left lane) or pCMV6-ENTRY JUN (Right lane) cDNA for 48 hrs and lysed. Equivalent amounts of cell lysates (5 ug per lane) were separated by SDS-PAGE and immunoblotted with anti-JUN.
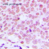
IHC of paraffin-embedded Human breast tissue using anti-JUN mouse monoclonal antibody.
quantity:
price:
to the supplier
JUN / c-Jun Antibody (clone OTI3C2) LS-C175392
LifeSpan Biosciences
catalog: LS-C175392
mouse monoclonal (OTI3C2)
reactivity:
human
application:
western blot
HEK293T cells were transfected with the pCMV6-ENTRY control (Left lane) or pCMV6-ENTRY JUN (Right lane) cDNA for 48 hrs and lysed. Equivalent amounts of cell lysates (5 ug per lane) were separated by SDS-PAGE and immunoblotted with anti-JUN.
quantity:
price:
to the supplier
JUN / c-Jun Antibody (clone OTI10A1) LS-C175394
LifeSpan Biosciences
catalog: LS-C175394
mouse monoclonal (OTI10A1)
reactivity:
human
application:
western blot
HEK293T cells were transfected with the pCMV6-ENTRY control (Left lane) or pCMV6-ENTRY JUN (Right lane) cDNA for 48 hrs and lysed. Equivalent amounts of cell lysates (5 ug per lane) were separated by SDS-PAGE and immunoblotted with anti-JUN.
quantity:
price:
to the supplier
JUN / c-Jun Antibody (clone OTI3B3) LS-C175395
LifeSpan Biosciences
catalog: LS-C175395
mouse monoclonal (OTI3B3)
reactivity:
human
application:
western blot
HEK293T cells were transfected with the pCMV6-ENTRY control (Left lane) or pCMV6-ENTRY JUN (Right lane) cDNA for 48 hrs and lysed. Equivalent amounts of cell lysates (5 ug per lane) were separated by SDS-PAGE and immunoblotted with anti-JUN.
quantity:
price:
to the supplier
JUN / c-Jun Antibody (clone OTI7B10) LS-C175397
LifeSpan Biosciences
catalog: LS-C175397
mouse monoclonal (OTI7B10)
reactivity:
human
application:
western blot
,
immunohistochemistry
,
immunohistochemistry - paraffin section
Western blot of extracts (35 ug) from 9 different cell lines by using anti-JUN monoclonal antibody (HepG2: human; HeLa: human; SVT2: mouse; A549: human; COS7: monkey; Jurkat: human; MDCK: canine; PC12: rat; MCF7: human).
IHC of paraffin-embedded Carcinoma of Human pancreas tissue using anti-JUN mouse monoclonal antibody.
quantity:
price:
to the supplier
JUN / c-Jun Antibody (clone OTI7H5) LS-C175398
LifeSpan Biosciences
catalog: LS-C175398
mouse monoclonal (OTI7H5)
reactivity:
human
application:
western blot
HEK293T cells were transfected with the pCMV6-ENTRY control (Left lane) or pCMV6-ENTRY JUN (Right lane) cDNA for 48 hrs and lysed. Equivalent amounts of cell lysates (5 ug per lane) were separated by SDS-PAGE and immunoblotted with anti-JUN.
quantity:
price:
to the supplier
JUN / c-Jun Antibody (clone OTI9A11) LS-C175401
LifeSpan Biosciences
catalog: LS-C175401
mouse monoclonal (OTI9A11)
reactivity:
human
application:
western blot
HEK293T cells were transfected with the pCMV6-ENTRY control (Left lane) or pCMV6-ENTRY JUN (Right lane) cDNA for 48 hrs and lysed. Equivalent amounts of cell lysates (5 ug per lane) were separated by SDS-PAGE and immunoblotted with anti-JUN.
quantity:
price:
to the supplier
JUN / c-Jun Antibody (clone OTI9F5) LS-C175402
LifeSpan Biosciences
catalog: LS-C175402
mouse monoclonal (OTI9F5)
reactivity:
human
application:
western blot
,
immunohistochemistry
,
immunohistochemistry - paraffin section
Western blot of extracts (35 ug) from 9 different cell lines by using anti-JUN monoclonal antibody (HepG2: human; HeLa: human; SVT2: mouse; A549: human; COS7: monkey; Jurkat: human; MDCK: canine; PC12: rat; MCF7: human).
IHC of paraffin-embedded Human breast tissue using anti-JUN mouse monoclonal antibody.
quantity:
price:
to the supplier
JUN / c-Jun Antibody (clone OTI9H10) LS-C175403
LifeSpan Biosciences
catalog: LS-C175403
mouse monoclonal (OTI9H10)
reactivity:
human
application:
western blot
,
immunohistochemistry
,
immunohistochemistry - paraffin section
Western blot of extracts (35 ug) from 9 different cell lines by using anti-JUN monoclonal antibody (HepG2: human; HeLa: human; SVT2: mouse; A549: human; COS7: monkey; Jurkat: human; MDCK: canine; PC12: rat; MCF7: human).
IHC of paraffin-embedded Adenocarcinoma of Human colon tissue using anti-JUN mouse monoclonal antibody.
quantity:
price:
to the supplier
JUN / c-Jun Antibody (clone OTI3E2) LS-C175404
LifeSpan Biosciences
catalog: LS-C175404
mouse monoclonal (OTI3E2)
reactivity:
human
application:
western blot
,
immunohistochemistry
,
immunohistochemistry - paraffin section
Western blot of extracts (35 ug) from 9 different cell lines by using anti-JUN monoclonal antibody (HepG2: human; HeLa: human; SVT2: mouse; A549: human; COS7: monkey; Jurkat: human; MDCK: canine; PC12: rat; MCF7: human).
IHC of paraffin-embedded Human breast tissue using anti-JUN mouse monoclonal antibody.
quantity:
price:
to the supplier
JUN / c-Jun Antibody (clone OTI2E11) LS-C175405
LifeSpan Biosciences
catalog: LS-C175405
mouse monoclonal (OTI2E11)
reactivity:
human
application:
western blot
Western blot of extracts (35 ug) from 9 different cell lines by using anti-JUN monoclonal antibody (HepG2: human; HeLa: human; SVT2: mouse; A549: human; COS7: monkey; Jurkat: human; MDCK: canine; PC12: rat; MCF7: human).
quantity:
price:
to the supplier
JUN / c-Jun Antibody (clone OTI10C2) LS-C175408
LifeSpan Biosciences
catalog: LS-C175408
mouse monoclonal (OTI10C2)
reactivity:
human
application:
western blot
Western blot of extracts (35 ug) from 9 different cell lines by using g anti-JUN monoclonal antibody (HepG2: human; HeLa: human; SVT2: mouse; A549: human; COS7: monkey; Jurkat: human; MDCK: canine; PC12: rat; MCF7: human).
quantity:
price:
to the supplier
JUN / c-Jun Antibody (clone OTI2A4) LS-C175412
LifeSpan Biosciences
catalog: LS-C175412
mouse monoclonal (OTI2A4)
reactivity:
human
application:
western blot
Western blot of extracts (35 ug) from 9 different cell lines by using g anti-JUN monoclonal antibody (HepG2: human; HeLa: human; SVT2: mouse; A549: human; COS7: monkey; Jurkat: human; MDCK: canine; PC12: rat; MCF7: human).
quantity:
price:
to the supplier
JUN / c-Jun Antibody (clone OTI3F2) LS-C175413
LifeSpan Biosciences
catalog: LS-C175413
mouse monoclonal (OTI3F2)
reactivity:
human
application:
western blot
Western blot of extracts (35 ug) from 9 different cell lines by using g anti-JUN monoclonal antibody (HepG2: human; HeLa: human; SVT2: mouse; A549: human; COS7: monkey; Jurkat: human; MDCK: canine; PC12: rat; MCF7: human).
quantity:
price:
to the supplier
JUN / c-Jun Antibody (clone OTI1B3) LS-C175414
LifeSpan Biosciences
catalog: LS-C175414
mouse monoclonal (OTI1B3)
reactivity:
human
application:
western blot
Western blot of extracts (35 ug) from 9 different cell lines by using g anti-JUN monoclonal antibody (HepG2: human; HeLa: human; SVT2: mouse; A549: human; COS7: monkey; Jurkat: human; MDCK: canine; PC12: rat; MCF7: human).
quantity:
price:
to the supplier
JUN / c-Jun Antibody (clone OTI1D6) LS-C175417
LifeSpan Biosciences
catalog: LS-C175417
mouse monoclonal (OTI1D6)
reactivity:
human
application:
western blot
Western blot of extracts (35 ug) from 9 different cell lines by using g anti-JUN monoclonal antibody (HepG2: human; HeLa: human; SVT2: mouse; A549: human; COS7: monkey; Jurkat: human; MDCK: canine; PC12: rat; MCF7: human).
quantity:
price:
to the supplier
JUN / c-Jun Antibody (clone OTI2A9) LS-C175422
LifeSpan Biosciences
catalog: LS-C175422
mouse monoclonal (OTI2A9)
reactivity:
human
application:
western blot
,
immunohistochemistry
,
immunohistochemistry - paraffin section
Western blot of extracts (35 ug) from 9 different cell lines by using anti-JUN monoclonal antibody (HepG2: human; HeLa: human; SVT2: mouse; A549: human; COS7: monkey; Jurkat: human; MDCK: canine; PC12: rat; MCF7: human).
IHC of paraffin-embedded Adenocarcinoma of Human colon tissue using anti-JUN mouse monoclonal antibody.
quantity:
price:
to the supplier
JUN / c-Jun Antibody (clone OTI2B2) LS-C175425
LifeSpan Biosciences
catalog: LS-C175425
mouse monoclonal (OTI2B2)
reactivity:
human
application:
western blot
,
immunohistochemistry
,
immunohistochemistry - paraffin section
Western blot of extracts (35 ug) from 9 different cell lines by using g anti-JUN monoclonal antibody (HepG2: human; HeLa: human; SVT2: mouse; A549: human; COS7: monkey; Jurkat: human; MDCK: canine; PC12: rat; MCF7: human).
IHC of paraffin-embedded Adenocarcinoma of Human colon tissue using anti-JUN mouse monoclonal antibody.
quantity:
price:
to the supplier
JUN / c-Jun Antibody (His164) LS-C175958
LifeSpan Biosciences
catalog: LS-C175958
domestic rabbit polyclonal
reactivity:
human
application:
western blot
,
immunohistochemistry
,
immunoprecipitation
,
immunohistochemistry - paraffin section
Western blot of AP1 (H164) pAb in extracts from A549 cells.
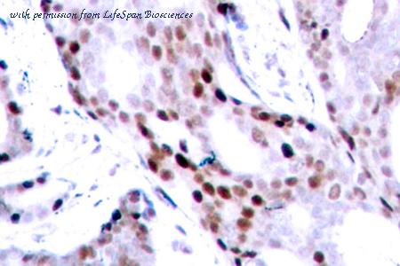
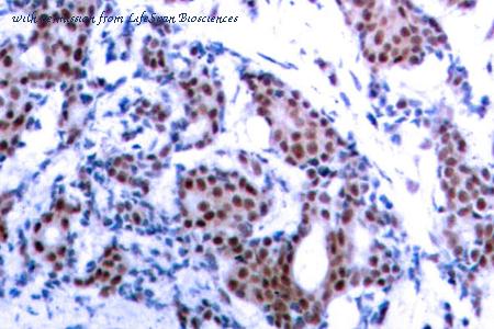
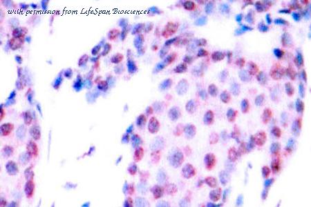
IHC of AP1 (H164) pAb in paraffin-embedded human breast carcinoma tissue.
quantity:
price:
to the supplier
JUN / c-Jun Antibody (Gly237) LS-C175959
LifeSpan Biosciences
catalog: LS-C175959
domestic rabbit polyclonal
reactivity:
human
application:
western blot
,
immunohistochemistry
,
immunoprecipitation
,
immunohistochemistry - paraffin section
Western blot of c-Jun (G237)pAb in extracts from HeLa cells.
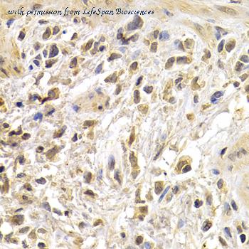
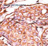
IHC of c-Jun (G237) pAb in paraffin-embedded human breast carcinoma tissue.
quantity:
price:
to the supplier
JUN / c-Jun Antibody (Asn57) LS-C175960
LifeSpan Biosciences
catalog: LS-C175960
domestic rabbit polyclonal
reactivity:
human
application:
western blot
,
immunohistochemistry
Western blot of c-Jun (N57) pAb in extracts from NIH/3T3 cells.
quantity:
price:
to the supplier
JUN / c-Jun Antibody (Gly67) LS-C175961
LifeSpan Biosciences
catalog: LS-C175961
domestic rabbit polyclonal
reactivity:
human
application:
western blot
,
immunohistochemistry
,
immunohistochemistry - paraffin section
Western blot of c-Jun (G67) pAb in extracts from HeLa cells.
IHC of c-Jun (G67) pAb in paraffin-embedded human breast carcinoma tissue.
quantity:
price:
to the supplier
JUN / c-Jun Antibody (Asn85) LS-C175962
LifeSpan Biosciences
catalog: LS-C175962
domestic rabbit polyclonal
reactivity:
human
application:
western blot
,
immunohistochemistry
,
immunoprecipitation
,
immunohistochemistry - paraffin section
Western blot of c-Jun (N85) pAb in extracts from HeLa cell.
IHC of c-Jun (N85) pAb in paraffin-embedded human breast carcinoma tissue.
quantity:
price:
to the supplier
JUN / c-Jun Antibody (Ile245) LS-C176404
LifeSpan Biosciences
catalog: LS-C176404
domestic rabbit polyclonal
reactivity:
human
application:
western blot
,
immunohistochemistry
Western blot of AP1 (I245) pAb in extracts from HeLa cells.
quantity:
price:
to the supplier
JUN / c-Jun Antibody (phospho-Ser243) LS-C177891
LifeSpan Biosciences
catalog: LS-C177891
domestic rabbit polyclonal
reactivity:
human
modification: phosphorylated
application:
western blot
,
immunohistochemistry
,
immunoprecipitation
,
immunohistochemistry - paraffin section
Western blot of p-c-Jun (S243) pAb in extracts from HeLa cells.
IHC of p-c-Jun (S243) pAb in paraffin-embedded human breast carcinoma tissue.
quantity:
price:
to the supplier
JUN / c-Jun Antibody (phospho-Ser73) LS-C177893
LifeSpan Biosciences
catalog: LS-C177893
domestic rabbit polyclonal
reactivity:
human
modification: phosphorylated
application:
western blot
,
immunohistochemistry
,
immunohistochemistry - paraffin section
Western blot of p-c-Jun (S73) pAb in extracts from HeLa cells treated with UV.
IHC of p-c-Jun (S73) pAb in paraffin-embedded human breast carcinoma tissue.
quantity:
price:
to the supplier
JUN / c-Jun Antibody (phospho-Thr91) LS-C177894
LifeSpan Biosciences
catalog: LS-C177894
domestic rabbit polyclonal
reactivity:
human
modification: phosphorylated
application:
western blot
,
immunohistochemistry
,
immunohistochemistry - paraffin section
Western blot of p-c-Jun (T91) pAb in extracts from HeLa cells treated with UV.
IHC of p-c-Jun (T91) pAb in paraffin-embedded human breast carcinoma tissue.
quantity:
price:
to the supplier
JUN / c-Jun Antibody (phospho-Thr93) LS-C177895
LifeSpan Biosciences
catalog: LS-C177895
domestic rabbit polyclonal
reactivity:
human
modification: phosphorylated
application:
western blot
,
immunohistochemistry
,
immunoprecipitation
,
immunohistochemistry - paraffin section
Western blot of p-c-Jun (T93) pAb in extracts from HeLa cells treated with UV.
IHC of p-c-Jun (T93)pAb in paraffin-embedded human breast carcinoma tissue.
quantity:
price:
to the supplier
JUN / c-Jun Antibody (phospho-Tyr170) LS-C177896
LifeSpan Biosciences
catalog: LS-C177896
domestic rabbit polyclonal
reactivity:
human
modification: phosphorylated
application:
western blot
,
immunohistochemistry
Western blot of p-c-Jun (Y170) pAb in extracts from HeLa cells treated with UV.
quantity:
price:
to the supplier
JUN / c-Jun Antibody LS-C178257
LifeSpan Biosciences
catalog: LS-C178257
mouse monoclonal
reactivity:
human
application:
western blot
Western blot detection of JUN in :293 &3T3 cell lysates(1:1000 diluted).
quantity:
price:
to the supplier
JUN / c-Jun Antibody (aa1-79) LS-C190177
LifeSpan Biosciences
catalog: LS-C190177
domestic rabbit polyclonal
reactivity:
human
application:
western blot
,
immunohistochemistry
quantity:
price:
to the supplier
JUN / c-Jun Antibody (phospho-Thr231) LS-C198803
LifeSpan Biosciences
catalog: LS-C198803
domestic rabbit polyclonal
reactivity:
human
modification: phosphorylated
application:
immunohistochemistry
,
immunocytochemistry
,
immunohistochemistry - paraffin section
Immunofluorescence analysis of HeLa cells, using c-Jun (Phospho-Thr231) Antibody. The picture on the right is blocked with the phospho peptide.
Immunohistochemistry analysis of paraffin-embedded human testis, using c-Jun (Phospho-Thr231) Antibody. The picture on the right is blocked with the phospho peptide.
quantity:
price:
to the supplier
JUN / c-Jun Antibody (phospho-Thr289, AP) LS-C260728
LifeSpan Biosciences
catalog: LS-C260728
domestic rabbit polyclonal
reactivity:
human
,
mouse
conjugate: AP
modification: phosphorylated
application:
ELISA
quantity:
price:
to the supplier
JUN / c-Jun Antibody (phospho-Thr289, APC) LS-C260730
LifeSpan Biosciences
catalog: LS-C260730
domestic rabbit polyclonal
reactivity:
human
,
mouse
conjugate: APC
modification: phosphorylated
application:
ELISA
quantity:
price:
to the supplier
JUN / c-Jun Antibody (phospho-Thr289, Biotin) LS-C260731
LifeSpan Biosciences
catalog: LS-C260731
domestic rabbit polyclonal
reactivity:
human
,
mouse
conjugate: biotin
modification: phosphorylated
application:
ELISA
quantity:
price:
to the supplier
JUN / c-Jun Antibody (phospho-Thr289, FITC) LS-C260736
LifeSpan Biosciences
catalog: LS-C260736
domestic rabbit polyclonal
reactivity:
human
,
mouse
conjugate: FITC
modification: phosphorylated
application:
ELISA
quantity:
price:
to the supplier
JUN / c-Jun Antibody (phospho-Thr289, Azide-free, HRP) LS-C260737
LifeSpan Biosciences
catalog: LS-C260737
domestic rabbit polyclonal
reactivity:
human
,
mouse
conjugate: HRP
modification: phosphorylated
application:
ELISA
quantity:
price:
to the supplier
JUN / c-Jun Antibody (phospho-Thr289, PE) LS-C260738
LifeSpan Biosciences
catalog: LS-C260738
domestic rabbit polyclonal
reactivity:
human
,
mouse
conjugate: PE
modification: phosphorylated
application:
ELISA
quantity:
price:
to the supplier
JUN / c-Jun Antibody (phospho-Ser63, AP) LS-C278643
LifeSpan Biosciences
catalog: LS-C278643
domestic rabbit polyclonal
reactivity:
human
conjugate: AP
application:
western blot
,
ELISA
,
immunohistochemistry
quantity:
price:
to the supplier
JUN / c-Jun Antibody (phospho-Ser63, APC) LS-C278644
LifeSpan Biosciences
catalog: LS-C278644
domestic rabbit polyclonal
reactivity:
human
conjugate: APC
application:
western blot
,
ELISA
,
immunohistochemistry
quantity:
price:
to the supplier
JUN / c-Jun Antibody (phospho-Ser63, Biotin) LS-C278645
LifeSpan Biosciences
catalog: LS-C278645
domestic rabbit polyclonal
reactivity:
human
conjugate: biotin
application:
western blot
,
ELISA
,
immunohistochemistry
quantity:
price:
to the supplier
JUN / c-Jun Antibody (phospho-Ser63, FITC) LS-C278646
LifeSpan Biosciences
catalog: LS-C278646
domestic rabbit polyclonal
reactivity:
human
conjugate: FITC
application:
western blot
,
ELISA
,
immunohistochemistry
quantity:
price:
to the supplier
JUN / c-Jun Antibody (phospho-Ser63, Azide-free, HRP) LS-C278647
LifeSpan Biosciences
catalog: LS-C278647
domestic rabbit polyclonal
reactivity:
human
conjugate: HRP
application:
western blot
,
ELISA
,
immunohistochemistry
quantity:
price:
to the supplier
JUN / c-Jun Antibody (phospho-Ser63, AP) LS-C278648
LifeSpan Biosciences
catalog: LS-C278648
domestic rabbit polyclonal
reactivity:
human
conjugate: AP
application:
western blot
,
ELISA
,
immunohistochemistry
quantity:
price:
to the supplier
JUN / c-Jun Antibody (phospho-Ser63, PE) LS-C278649
LifeSpan Biosciences
catalog: LS-C278649
domestic rabbit polyclonal
reactivity:
human
conjugate: PE
application:
western blot
,
ELISA
,
immunohistochemistry
quantity:
price:
to the supplier
JUN / c-Jun Antibody (phospho-Ser63, APC) LS-C278650
LifeSpan Biosciences
catalog: LS-C278650
domestic rabbit polyclonal
reactivity:
human
conjugate: APC
application:
western blot
,
ELISA
,
immunohistochemistry
quantity:
price:
to the supplier
JUN / c-Jun Antibody (phospho-Ser63, Biotin) LS-C278651
LifeSpan Biosciences
catalog: LS-C278651
domestic rabbit polyclonal
reactivity:
human
conjugate: biotin
application:
western blot
,
ELISA
,
immunohistochemistry
quantity:
price:
to the supplier
JUN / c-Jun Antibody (phospho-Ser63, FITC) LS-C278652
LifeSpan Biosciences
catalog: LS-C278652
domestic rabbit polyclonal
reactivity:
human
conjugate: FITC
application:
western blot
,
ELISA
,
immunohistochemistry
quantity:
price:
to the supplier
JUN / c-Jun Antibody (phospho-Ser63, Azide-free, HRP) LS-C278653
LifeSpan Biosciences
catalog: LS-C278653
domestic rabbit polyclonal
reactivity:
human
conjugate: HRP
application:
western blot
,
ELISA
,
immunohistochemistry
quantity:
price:
to the supplier
JUN / c-Jun Antibody (phospho-Ser63, PE) LS-C278654
LifeSpan Biosciences
catalog: LS-C278654
domestic rabbit polyclonal
reactivity:
human
conjugate: PE
application:
western blot
,
ELISA
,
immunohistochemistry
quantity:
price:
to the supplier
IHC-plus™ JUN / c-Jun Antibody (N-Terminus) LS-B10358
LifeSpan Biosciences
catalog: LS-B10358
domestic rabbit polyclonal
reactivity:
human
application:
western blot
,
immunohistochemistry
,
immunohistochemistry - paraffin section
Anti-JUN / c-Jun antibody IHC staining of human lung. Immunohistochemistry of formalin-fixed, paraffin-embedded tissue after heat-induced antigen retrieval. Antibody concentration 10 ug/ml. This image was taken for the unconjugated form of this product. Other forms have not been tested.
quantity:
price:
to the supplier
JUN / c-Jun Antibody (aa40-80) LS-C289677
LifeSpan Biosciences
catalog: LS-C289677
domestic rabbit polyclonal
reactivity:
human
application:
western blot
,
immunoprecipitation
quantity:
price:
to the supplier
JUN / c-Jun Antibody (aa1-40) LS-C289678
LifeSpan Biosciences
catalog: LS-C289678
domestic rabbit polyclonal
reactivity:
human
application:
western blot
,
immunohistochemistry
,
immunoprecipitation
quantity:
price:
to the supplier
JUN / c-Jun Antibody (phospho-Ser73) LS-C117323
LifeSpan Biosciences
catalog: LS-C117323
domestic rabbit polyclonal
reactivity:
human
modification: phosphorylated
application:
western blot
,
immunohistochemistry
,
immunohistochemistry - paraffin section
Immunohistochemistry analysis of paraffin-embedded human breast carcinoma, using c-Jun (Phospho-Ser73) Antibody. The picture on the right is blocked with the phospho peptide.
Western blot analysis of lysates from HUVEC cells treated with TNF 20ng/ml 5' and K562 cells treated with TNF 20ng/ml 5', using c-Jun (Phospho-Ser73) Antibody. The lane on the right is blocked with the phospho peptide.
quantity:
price:
to the supplier
JUN / c-Jun Antibody LS-C308587
LifeSpan Biosciences
catalog: LS-C308587
mouse polyclonal
reactivity:
human
application:
western blot
quantity:
price:
to the supplier
JUN / c-Jun Antibody LS-C310828
LifeSpan Biosciences
catalog: LS-C310828
domestic rabbit polyclonal
reactivity:
human
application:
western blot
quantity:
price:
to the supplier
JUN / c-Jun Antibody (aa11-262) LS-C314752
LifeSpan Biosciences
catalog: LS-C314752
domestic rabbit polyclonal
reactivity:
human
application:
western blot
Western Blot; Sample: Lane1: Human Placenta Tissue; Lane2: Human HepG2 Cells; Lane3: Human U-2 OS Cells.
quantity:
price:
to the supplier
JUN / c-Jun Antibody (phospho-Thr239) LS-C192564
LifeSpan Biosciences
catalog: LS-C192564
domestic rabbit polyclonal
reactivity:
human
application:
western blot
quantity:
price:
to the supplier
JUN / c-Jun Antibody (aa229-259) LS-C322346
LifeSpan Biosciences
catalog: LS-C322346
domestic rabbit polyclonal
reactivity:
human
application:
western blot
,
ELISA
,
immunohistochemistry
,
flow cytometry
quantity:
price:
to the supplier
JUN / c-Jun Antibody (aa79-108) LS-C322347
LifeSpan Biosciences
catalog: LS-C322347
domestic rabbit polyclonal
reactivity:
human
application:
western blot
,
ELISA
quantity:
price:
to the supplier
JUN / c-Jun Antibody (phospho-Thr289) LS-C322348
LifeSpan Biosciences
catalog: LS-C322348
domestic rabbit polyclonal
reactivity:
human
,
mouse
application:
ELISA
quantity:
price:
to the supplier
JUN / c-Jun Antibody (phospho-Ser63) LS-C327699
LifeSpan Biosciences
catalog: LS-C327699
domestic rabbit polyclonal
reactivity:
human
application:
western blot
,
ELISA
,
immunohistochemistry
quantity:
price:
to the supplier
JUN / c-Jun Antibody (phospho-Ser63) LS-C330511
LifeSpan Biosciences
catalog: LS-C330511
domestic rabbit polyclonal
reactivity:
human
application:
western blot
,
ELISA
,
immunohistochemistry
quantity:
price:
to the supplier
JUN / c-Jun Antibody LS-C330871
LifeSpan Biosciences
catalog: LS-C330871
domestic rabbit polyclonal
reactivity:
human
application:
western blot
,
immunohistochemistry
,
immunocytochemistry
Western blot analysis of extracts of various cell lines, using JUN antibody at 1:1000 dilution. The secondary antibody used was an HRP Goat Anti-Rabbit IgG (H+L) at 1:10000 dilution. Lysates were loaded 25ug per lane and 3% nonfat dry milk in TBST was used for blocking. An ECL Kit was used for detection and the exposure time was 90s.
Immunohistochemistry of paraffin-embedded human stomach cancer tissue.
Immunofluorescence analysis of A549 cells.
quantity:
price:
to the supplier
JUN / c-Jun Antibody (phospho-Ser73) LS-C335002
LifeSpan Biosciences
catalog: LS-C335002
domestic rabbit polyclonal
reactivity:
human
application:
western blot
Western blot analysis of extracts from PC14 cells.
quantity:
price:
to the supplier
JUN / c-Jun Antibody (phospho-Ser243) LS-C335003
LifeSpan Biosciences
catalog: LS-C335003
domestic rabbit polyclonal
reactivity:
human
application:
western blot
Western blot analysis of extracts from untreated and UV-treated HepG2 cells.
quantity:
price:
to the supplier
JUN / c-Jun Antibody (phospho-Thr239) LS-C335034
LifeSpan Biosciences
catalog: LS-C335034
domestic rabbit polyclonal
reactivity:
human
application:
western blot
Western blot analysis of extracts from Hela cells.
quantity:
price:
to the supplier
JUN / c-Jun Antibody (phospho-Ser63) LS-C335754
LifeSpan Biosciences
catalog: LS-C335754
domestic rabbit polyclonal
reactivity:
human
application:
western blot
,
immunocytochemistry
Western blot analysis of extracts of 293 cells.
Immunofluorescence analysis of MCF7 cells.
quantity:
price:
to the supplier
JUN / c-Jun Antibody (phospho-Ser73) LS-C335755
LifeSpan Biosciences
catalog: LS-C335755
domestic rabbit polyclonal
reactivity:
human
application:
western blot
,
immunocytochemistry
Western blot analysis of extracts of various cell lines.
Immunofluorescence analysis of U2OS cells.
quantity:
price:
to the supplier
JUN / c-Jun Antibody (phospho-Thr239) LS-C335756
LifeSpan Biosciences
catalog: LS-C335756
domestic rabbit polyclonal
reactivity:
human
application:
western blot
,
immunocytochemistry
Immunofluorescence analysis of U2OS cells.
quantity:
price:
to the supplier
JUN / c-Jun Antibody (phospho-Ser243) LS-C335757
LifeSpan Biosciences
catalog: LS-C335757
domestic rabbit polyclonal
reactivity:
human
application:
western blot
,
immunocytochemistry
Western blot analysis of extracts of various cell lines.
Immunofluorescence analysis of U2OS cells.
quantity:
price:
to the supplier
JUN / c-Jun Antibody (phospho-Thr91) LS-C336019
LifeSpan Biosciences
catalog: LS-C336019
domestic rabbit polyclonal
reactivity:
human
application:
western blot
Western blot analysis of extracts from 293 cells.
quantity:
price:
to the supplier
JUN / c-Jun Antibody (phospho-Thr93) LS-C336022
LifeSpan Biosciences
catalog: LS-C336022
domestic rabbit polyclonal
reactivity:
human
application:
western blot
Western blot analysis of extracts from Hela cells.
quantity:
price:
to the supplier
JUN / c-Jun Antibody (phospho-Tyr170) LS-C336023
LifeSpan Biosciences
catalog: LS-C336023
domestic rabbit polyclonal
reactivity:
human
application:
western blot
Western blot analysis of extracts from Hela cells.
quantity:
price:
to the supplier
JUN / c-Jun Antibody (clone OTI5E9) LS-C336994
LifeSpan Biosciences
catalog: LS-C336994
mouse monoclonal (OTI5E9)
reactivity:
human
application:
western blot
Western blot of extracts (35ug) from 9 different cell lines by using anti-JUN monoclonal antibody (HepG2: human; HeLa: human; SVT2: mouse; A549: human; COS7: monkey; Jurkat: human; MDCK: canine; PC12: rat; MCF7: human).
quantity:
price:
to the supplier
JUN / c-Jun Antibody (clone OTI2A7) LS-C336996
LifeSpan Biosciences
catalog: LS-C336996
mouse monoclonal (OTI2A7)
reactivity:
human
application:
western blot
Western blot of extracts (35ug) from 9 different cell lines by using anti-JUN monoclonal antibody (HepG2: human; HeLa: human; SVT2: mouse; A549: human; COS7: monkey; Jurkat: human; MDCK: canine; PC12: rat; MCF7: human).
quantity:
price:
to the supplier
JUN / c-Jun Antibody (clone OTI1G4) LS-C337007
LifeSpan Biosciences
catalog: LS-C337007
mouse monoclonal (OTI1G4)
reactivity:
human
application:
western blot
Western blot of extracts (35ug) from 9 different cell lines by using anti-JUN monoclonal antibody (HepG2: human; HeLa: human; SVT2: mouse; A549: human; COS7: monkey; Jurkat: human; MDCK: canine; PC12: rat; MCF7: human).
quantity:
price:
to the supplier
JUN / c-Jun Antibody (clone OTI2A10) LS-C337009
LifeSpan Biosciences
catalog: LS-C337009
mouse monoclonal (OTI2A10)
reactivity:
human
application:
western blot
Western blot of extracts (35ug) from 9 different cell lines by using anti-JUN monoclonal antibody (HepG2: human; HeLa: human; SVT2: mouse; A549: human; COS7: monkey; Jurkat: human; MDCK: canine; PC12: rat; MCF7: human).
quantity:
price:
to the supplier
JUN / c-Jun Antibody (clone 1306CT545.208.117) LS-C344163
LifeSpan Biosciences
catalog: LS-C344163
mouse monoclonal (1306CT545.208.117)
reactivity:
human
application:
western blot
Western blot of lysates from 293, mouse NIH/3T3 cell line (from left to right) with JUN Antibody. Antibody was diluted at 1:1000 at each lane. A goat anti-mouse IgG H&L (HRP) at 1:3000 dilution was used as the secondary antibody. Lysates at 35 ug per lane.
quantity:
price:
to the supplier
JUN / c-Jun Antibody (phospho-Tyr170) LS-C352424
LifeSpan Biosciences
catalog: LS-C352424
domestic rabbit polyclonal
reactivity:
human
modification: phosphorylated
application:
western blot
,
immunohistochemistry
,
immunoprecipitation
,
immunohistochemistry - paraffin section
Western blot analysis of c-Jun (pY170) expression in K562 UV-treated (A); HeLa Anisomycin-treated (B) whole cell lysates.
Immunohistochemical analysis of c-Jun (pY170) staining in human breast cancer formalin fixed paraffin embedded tissue section. The section was pre-treated using heat mediated antigen retrieval with sodium citrate buffer (pH 6.0). The section was then incubated with the antibody at room temperature and detected using an HRP conjugated compact polymer system. DAB was used as the chromogen. The section was then counterstained with hematoxylin and mounted with DPX.
quantity:
price:
to the supplier
JUN / c-Jun Antibody (Internal) LS-C352425
LifeSpan Biosciences
catalog: LS-C352425
domestic rabbit polyclonal
reactivity:
human
application:
western blot
,
immunohistochemistry
,
immunoprecipitation
,
flow cytometry
,
immunohistochemistry - paraffin section
Western blot analysis of c-Jun expression in HeLa (A); U2OS (B); HCT116 (C); NIH3T3 (D); PC12 (E); rat kidney (F) whole cell lysates.
Immunohistochemical analysis of c-Jun staining in human breast cancer formalin fixed paraffin embedded tissue section. The section was pre-treated using heat mediated antigen retrieval with sodium citrate buffer (pH 6.0). The section was then incubated with the antibody at room temperature and detected using an HRP conjugated compact polymer system. DAB was used as the chromogen. The section was then counterstained with hematoxylin and mounted with DPX.
Immunoprecipitation of c-Jun from 0.5mg HEK293T whole cell extract lysate using 5ug of Anti-c-Jun Antibody and 50ul of protein G magnetic beads (+). No antibody was added to the control (-). The antibody was incubated under agitation with Protein G beads for 10min HEK293T whole cell extract lysate diluted in RIPA buffer was added to each sample and incubated for a further 10min under agitation. Proteins were eluted by addition of 40ul SDS loading buffer and incubated for 10min at 70 C; 10ul of each sample was separated on a SDS PAGE gel transferred to a nitrocellulose membrane blocked with 5% BSA and probed with Anti-c-Jun Antibody.
quantity:
price:
to the supplier
JUN / c-Jun Antibody (phospho-Thr91) LS-C352427
LifeSpan Biosciences
catalog: LS-C352427
domestic rabbit polyclonal
reactivity:
human
modification: phosphorylated
application:
western blot
,
immunohistochemistry
,
immunohistochemistry - paraffin section
Western blot analysis of c-Jun (pT91) expression in NIH3T3 Anisomycin-treated (A) whole cell lysates.
Immunohistochemical analysis of c-Jun (pT91) staining in human breast cancer formalin fixed paraffin embedded tissue section. The section was pre-treated using heat mediated antigen retrieval with sodium citrate buffer (pH 6.0). The section was then incubated with the antibody at room temperature and detected using an HRP conjugated compact polymer system. DAB was used as the chromogen. The section was then counterstained with hematoxylin and mounted with DPX.
quantity:
price:
to the supplier
JUN / c-Jun Antibody (Internal) LS-C352428
LifeSpan Biosciences
catalog: LS-C352428
domestic rabbit polyclonal
reactivity:
human
application:
western blot
,
immunohistochemistry
,
immunohistochemistry - paraffin section
Western blot analysis of c-Jun expression in HepG2 (A); NIH3T3 (B) whole cell lysates.
Immunohistochemical analysis of c-Jun staining in human breast cancer formalin fixed paraffin embedded tissue section. The section was pre-treated using heat mediated antigen retrieval with sodium citrate buffer (pH 6.0). The section was then incubated with the antibody at room temperature and detected using an HRP conjugated compact polymer system. DAB was used as the chromogen. The section was then counterstained with hematoxylin and mounted with DPX.
quantity:
price:
to the supplier
JUN / c-Jun Antibody (Internal) LS-C352430
LifeSpan Biosciences
catalog: LS-C352430
domestic rabbit polyclonal
reactivity:
human
application:
western blot
,
immunohistochemistry
,
immunoprecipitation
,
immunohistochemistry - paraffin section
Western blot analysis of c-Jun expression in HeLa (A); mouse kidney (B); PC12 (C) whole cell lysates.
Immunohistochemical analysis of c-Jun staining in human breast cancer formalin fixed paraffin embedded tissue section. The section was pre-treated using heat mediated antigen retrieval with sodium citrate buffer (pH 6.0). The section was then incubated with the antibody at room temperature and detected using an HRP conjugated compact polymer system. DAB was used as the chromogen. The section was then counterstained with hematoxylin and mounted with DPX.
quantity:
price:
to the supplier
JUN / c-Jun Antibody (Internal) LS-C352431
LifeSpan Biosciences
catalog: LS-C352431
domestic rabbit polyclonal
reactivity:
human
application:
western blot
,
immunohistochemistry
,
immunoprecipitation
,
immunohistochemistry - paraffin section
Western blot analysis of c-Jun expression in HEK293T (A); SP2/0 (B); H9C2 (C) whole cell lysates.
Immunohistochemical analysis of c-Jun staining in human breast cancer formalin fixed paraffin embedded tissue section. The section was pre-treated using heat mediated antigen retrieval with sodium citrate buffer (pH 6.0). The section was then incubated with the antibody at room temperature and detected using an HRP conjugated compact polymer system. DAB was used as the chromogen. The section was then counterstained with hematoxylin and mounted with DPX.
quantity:
price:
to the supplier
JUN / c-Jun Antibody (Internal) LS-C352433
LifeSpan Biosciences
catalog: LS-C352433
domestic rabbit polyclonal
reactivity:
human
application:
western blot
,
immunohistochemistry
,
immunohistochemistry - paraffin section
Western blot analysis of c-Jun expression in Jurkat (A); HepG2 (B); MCF7 (C) whole cell lysates.
Immunohistochemical analysis of c-Jun staining in human breast cancer formalin fixed paraffin embedded tissue section. The section was pre-treated using heat mediated antigen retrieval with sodium citrate buffer (pH 6.0). The section was then incubated with the antibody at room temperature and detected using an HRP conjugated compact polymer system. DAB was used as the chromogen. The section was then counterstained with hematoxylin and mounted with DPX.
quantity:
price:
to the supplier
JUN / c-Jun Antibody (phospho-Thr93) LS-C354025
LifeSpan Biosciences
catalog: LS-C354025
domestic rabbit polyclonal
reactivity:
human
modification: phosphorylated
application:
western blot
,
immunohistochemistry
,
immunoprecipitation
,
immunohistochemistry - paraffin section
Western blot analysis of c-Jun (pT93) expression in A549 UV-treated (A); NIH3T3 UV-treated (B) whole cell lysates.
Immunohistochemical analysis of c-Jun (pT93) staining in human breast cancer formalin fixed paraffin embedded tissue section. The section was pre-treated using heat mediated antigen retrieval with sodium citrate buffer (pH 6.0). The section was then incubated with the antibody at room temperature and detected using an HRP conjugated compact polymer system. DAB was used as the chromogen. The section was then counterstained with hematoxylin and mounted with DPX.
quantity:
price:
to the supplier
JUN / c-Jun Antibody (phospho-Ser243) LS-C368395
LifeSpan Biosciences
catalog: LS-C368395
domestic rabbit polyclonal
reactivity:
human
modification: phosphorylated
application:
western blot
,
immunohistochemistry
,
immunocytochemistry
,
immunoprecipitation
,
immunohistochemistry - paraffin section
Western blot analysis of c-Jun (pS243) expression in HEK293T UV-treated (A); RAW264.7 UV-treated (B) whole cell lysates.
Immunohistochemical analysis of c-Jun (pS243) staining in human breast cancer formalin fixed paraffin embedded tissue section. The section was pre-treated using heat mediated antigen retrieval with sodium citrate buffer (pH 6.0). The section was then incubated with the antibody at room temperature and detected using an HRP conjugated compact polymer system. DAB was used as the chromogen. The section was then counterstained with hematoxylin and mounted with DPX.
Immunofluorescent analysis of c-Jun (pS243) staining in HEK293T cells. Formalin-fixed cells were permeabilized with 0.1% Triton X-100 in TBS for 5-10 minutes and blocked with 3% BSA-PBS for 30 minutes at room temperature. Cells were probed with the primary antibody in 3% BSA-PBS and incubated overnight at 4 deg C in a humidified chamber. Cells were washed with PBST and incubated with a DyLight 594-conjugated secondary antibody (red) in PBS at room temperature in the dark. DAPI was used to stain the cell nuclei (blue).
quantity:
price:
to the supplier
JUN / c-Jun Antibody (phospho-Thr239) LS-C368396
LifeSpan Biosciences
catalog: LS-C368396
domestic rabbit polyclonal
reactivity:
human
modification: phosphorylated
application:
western blot
,
immunohistochemistry
,
immunocytochemistry
,
immunoprecipitation
,
immunohistochemistry - paraffin section
Western blot analysis of c-Jun (pT239) expression in HEK293T UV-treated (A); HeLa UV-treated (B) whole cell lysates.
Immunohistochemical analysis of c-Jun (pT239) staining in human breast cancer formalin fixed paraffin embedded tissue section. The section was pre-treated using heat mediated antigen retrieval with sodium citrate buffer (pH 6.0). The section was then incubated with the antibody at room temperature and detected using an HRP conjugated compact polymer system. DAB was used as the chromogen. The section was then counterstained with hematoxylin and mounted with DPX.
Immunofluorescent analysis of c-Jun (pT239) staining in HeLa cells. Formalin-fixed cells were permeabilized with 0.1% Triton X-100 in TBS for 5-10 minutes and blocked with 3% BSA-PBS for 30 minutes at room temperature. Cells were probed with the primary antibody in 3% BSA-PBS and incubated overnight at 4 deg C in a humidified chamber. Cells were washed with PBST and incubated with a DyLight 594-conjugated secondary antibody (red) in PBS at room temperature in the dark. DAPI was used to stain the cell nuclei (blue).
quantity:
price:
to the supplier
JUN / c-Jun Antibody (C-Terminus) LS-C368398
LifeSpan Biosciences
catalog: LS-C368398
domestic rabbit polyclonal
reactivity:
human
application:
western blot
,
immunohistochemistry
Western blot analysis of c-Jun expression in HeLa (A); Jurkat (B) whole cell lysates.
Immunohistochemical analysis of c-Jun staining in human breast cancer formalin fixed paraffin embedded tissue section. The section was pre-treated using heat mediated antigen retrieval with sodium citrate buffer (pH 6.0). The section was then incubated with the antibody at room temperature and detected using an HRP conjugated compact polymer system. DAB was used as the chromogen. The section was then counterstained with hematoxylin and mounted with DPX.
quantity:
price:
to the supplier
JUN / c-Jun Antibody (phospho-Ser73/100) LS-C368400
LifeSpan Biosciences
catalog: LS-C368400
domestic rabbit polyclonal
reactivity:
human
modification: phosphorylated
application:
western blot
,
immunohistochemistry
,
immunocytochemistry
,
immunoprecipitation
,
immunohistochemistry - paraffin section
Western blot analysis of c-Jun (pS73/100) expression in A549 (A); human brain cancer (B); K562 (C) whole cell lysates.
Immunohistochemical analysis of c-Jun (pS73/100) staining in human breast cancer formalin fixed paraffin embedded tissue section. The section was pre-treated using heat mediated antigen retrieval with sodium citrate buffer (pH 6.0). The section was then incubated with the antibody at room temperature and detected using an HRP conjugated compact polymer system. DAB was used as the chromogen. The section was then counterstained with hematoxylin and mounted with DPX.
Immunofluorescent analysis of c-Jun (pS73/100) staining in HepG2 cells. Formalin-fixed cells were permeabilized with 0.1% Triton X-100 in TBS for 5-10 minutes and blocked with 3% BSA-PBS for 30 minutes at room temperature. Cells were probed with the primary antibody in 3% BSA-PBS and incubated overnight at 4 deg C in a humidified chamber. Cells were washed with PBST and incubated with a DyLight 594-conjugated secondary antibody (red) in PBS at room temperature in the dark. DAPI was used to stain the cell nuclei (blue).
quantity:
price:
to the supplier
JUN / c-Jun Antibody (phospho-Ser63) LS-C368401
LifeSpan Biosciences
catalog: LS-C368401
domestic rabbit polyclonal
reactivity:
human
modification: phosphorylated
application:
western blot
,
immunohistochemistry
,
immunohistochemistry - paraffin section
Western blot analysis of c-Jun (pS63) expression in MCF7 (A); HeLa UV-treated (B); NIH3T3 (C); PC12 (D) whole cell lysates.
Immunohistochemical analysis of c-Jun (pS63) staining in human breast cancer formalin fixed paraffin embedded tissue section. The section was pre-treated using heat mediated antigen retrieval with sodium citrate buffer (pH 6.0). The section was then incubated with the antibody at room temperature and detected using an HRP conjugated compact polymer system. DAB was used as the chromogen. The section was then counterstained with hematoxylin and mounted with DPX.
quantity:
price:
to the supplier
JUN / c-Jun Antibody (180-260 aa) LS-C380612
LifeSpan Biosciences
catalog: LS-C380612
domestic rabbit polyclonal
reactivity:
human
modification: phosphorylated
application:
western blot
,
ELISA
,
immunohistochemistry
,
immunoprecipitation
quantity:
price:
to the supplier
JUN / c-Jun Antibody (10-90 aa) LS-C380613
LifeSpan Biosciences
catalog: LS-C380613
domestic rabbit polyclonal
reactivity:
human
modification: phosphorylated
application:
western blot
,
ELISA
,
immunohistochemistry
Western blot of Phospho-AP-1/Jun D (S73/100) antibody
quantity:
price:
to the supplier
JUN / c-Jun Antibody (30-110 aa) LS-C380615
LifeSpan Biosciences
catalog: LS-C380615
domestic rabbit polyclonal
reactivity:
human
modification: phosphorylated
application:
western blot
,
ELISA
,
immunohistochemistry
,
immunoprecipitation
Western blot of Phospho-AP-1 (T93) antibody
quantity:
price:
to the supplier
JUN / c-Jun Antibody (180-260 aa) LS-C380619
LifeSpan Biosciences
catalog: LS-C380619
domestic rabbit polyclonal
reactivity:
human
modification: phosphorylated
application:
western blot
,
ELISA
,
immunohistochemistry
,
immunoprecipitation
Western blot of Phospho-AP-1 (T239) antibody
quantity:
price:
to the supplier
JUN / c-Jun Antibody (110-190 aa) LS-C380623
LifeSpan Biosciences
catalog: LS-C380623
domestic rabbit polyclonal
reactivity:
human
modification: phosphorylated
application:
western blot
,
ELISA
,
immunohistochemistry
quantity:
price:
to the supplier
JUN / c-Jun Antibody (30-110 aa) LS-C380624
LifeSpan Biosciences
catalog: LS-C380624
domestic rabbit polyclonal
reactivity:
human
modification: phosphorylated
application:
western blot
,
ELISA
,
immunohistochemistry
quantity:
price:
to the supplier
JUN / c-Jun Antibody (180-260 aa) LS-C381747
LifeSpan Biosciences
catalog: LS-C381747
domestic rabbit polyclonal
reactivity:
human
modification: phosphorylated
application:
ELISA
,
immunohistochemistry
,
immunocytochemistry
quantity:
price:
to the supplier
JUN / c-Jun Antibody (180-260 aa) LS-C382057
LifeSpan Biosciences
catalog: LS-C382057
domestic rabbit polyclonal
reactivity:
human
application:
western blot
,
ELISA
,
immunohistochemistry
,
immunocytochemistry
Western blot of AP-1 antibody
quantity:
price:
to the supplier
JUN / c-Jun Antibody (30-110 aa) LS-C382060
LifeSpan Biosciences
catalog: LS-C382060
domestic rabbit polyclonal
reactivity:
human
application:
western blot
,
ELISA
,
immunohistochemistry
Western blot of AP-1 antibody
quantity:
price:
to the supplier
JUN / c-Jun Antibody (190-270 aa) LS-C382063
LifeSpan Biosciences
catalog: LS-C382063
domestic rabbit polyclonal
reactivity:
human
application:
western blot
,
ELISA
,
immunohistochemistry
quantity:
price:
to the supplier
JUN / c-Jun Antibody (180-260 aa) LS-C382067
LifeSpan Biosciences
catalog: LS-C382067
domestic rabbit polyclonal
reactivity:
human
application:
western blot
,
ELISA
,
immunohistochemistry
,
immunoprecipitation
quantity:
price:
to the supplier
JUN / c-Jun Antibody (110-190 aa) LS-C382068
LifeSpan Biosciences
catalog: LS-C382068
domestic rabbit polyclonal
reactivity:
human
application:
western blot
,
ELISA
,
immunohistochemistry
,
immunoprecipitation
Western blot of AP-1 antibody
quantity:
price:
to the supplier
JUN / c-Jun Antibody (10-90 aa) LS-C382069
LifeSpan Biosciences
catalog: LS-C382069
domestic rabbit polyclonal
reactivity:
human
application:
western blot
,
ELISA
,
immunohistochemistry
Western blot of AP-1/Jun D antibody
quantity:
price:
to the supplier
JUN / c-Jun Antibody (30-110 aa) LS-C382071
LifeSpan Biosciences
catalog: LS-C382071
domestic rabbit polyclonal
reactivity:
human
application:
western blot
,
ELISA
,
immunohistochemistry
,
immunoprecipitation
Western blot of AP-1 antibody
quantity:
price:
to the supplier
JUN / c-Jun Antibody (10-90 aa) LS-C382072
LifeSpan Biosciences
catalog: LS-C382072
domestic rabbit polyclonal
reactivity:
human
application:
western blot
,
ELISA
,
immunohistochemistry
Western blot of AP-1 antibody
quantity:
price:
to the supplier
JUN / c-Jun Antibody (180-260 aa) LS-C382076
LifeSpan Biosciences
catalog: LS-C382076
domestic rabbit polyclonal
reactivity:
human
application:
western blot
,
ELISA
,
immunohistochemistry
Western blot of AP-1 antibody
quantity:
price:
to the supplier
JUN / c-Jun Antibody (Internal) LS-C387621
LifeSpan Biosciences
catalog: LS-C387621
domestic rabbit polyclonal
reactivity:
human
application:
western blot
,
ELISA
Western blot of Acetyl-AP-1 (K271) antibody
quantity:
price:
to the supplier
JUN / c-Jun Antibody LS-C387882
LifeSpan Biosciences
catalog: LS-C387882
domestic rabbit polyclonal
reactivity:
human
application:
western blot
,
immunohistochemistry
quantity:
price:
to the supplier