Sign in
Sign up
home
>
LifeSpan Biosciences
> LifeSpan Biosciences beta1 integrin antibody
IHC-plus™ ITGB1 / Integrin Beta 1 / CD29 Antibody (Extracellular Domain) LS-A9 ...
LifeSpan Biosciences
catalog: LS-A9393
domestic rabbit polyclonal
reactivity:
human
application:
immunohistochemistry
,
immunohistochemistry - paraffin section
Anti-Integrin Beta 1 antibody IHC of human skin. Immunohistochemistry of formalin-fixed, paraffin-embedded tissue after heat-induced antigen retrieval.
quantity:
price:
to the supplier
ITGB1 / Integrin Beta 1 / CD29 Antibody (clone HM beta 1-1) LS-C44638
LifeSpan Biosciences
catalog: LS-C44638
hamsters monoclonal (HM beta 1-1)
reactivity:
human
,
mouse
application:
immunoprecipitation
,
flow cytometry
quantity:
price:
to the supplier
ITGB1 / Integrin Beta 1 / CD29 Antibody (clone TS2/16) LS-C40964
LifeSpan Biosciences
catalog: LS-C40964
mouse monoclonal (TS2/16)
reactivity:
human
application:
immunohistochemistry
,
immunoprecipitation
,
flow cytometry
,
immunohistochemistry - frozen section
citations: 3
Human peripheral blood lymphocytes stained with purified TS2/16, followed by anti-mouse IgGs FITC
BT474 breast cancer cells were stained with anti-CD29 (clone TS2/16) followed by DyLight 649 Goat anti-mouse Ig secondary antibody (red), plus DAPI staining for nuclei (blue). Images were taken under 20x bin4 (Filter set: EX647/10x, Dichroic 665LP, EM 700/70x) at exposure 4s. Data provided by Er Liu and John Nolan, La Jolla Institute for Bioengineering.
quantity:
price:
to the supplier
IHC-plus™ ITGB1 / Integrin Beta 1 / CD29 Antibody (clone HUTS-4) LS-B2861
LifeSpan Biosciences
catalog: LS-B2861
mouse monoclonal (HUTS-4)
reactivity:
human
,
rat
application:
western blot
,
ELISA
,
immunohistochemistry
,
flow cytometry
,
immunohistochemistry - paraffin section
citations: 3
Anti-Integrin Beta 1 antibody IHC of human prostate. Immunohistochemistry of formalin-fixed, paraffin-embedded tissue after heat-induced antigen retrieval. Antibody concentration 10 ug/ml.
quantity:
price:
to the supplier
ITGB1 / Integrin Beta 1 / CD29 Antibody (clone 4B7R) LS-C134368
LifeSpan Biosciences
catalog: LS-C134368
mouse monoclonal (4B7R)
reactivity:
human
application:
western blot
,
immunohistochemistry
,
flow cytometry
,
immunohistochemistry - paraffin section
citations: 1
Flow cytometry of ITGB1 / Integrin Beta 1 / CD29 antibody
quantity:
price:
to the supplier
ITGB1 / Integrin Beta 1 / CD29 Antibody (clone MB1.2) LS-C15979
LifeSpan Biosciences
catalog: LS-C15979
rat monoclonal (MB1.2)
reactivity:
human
,
mouse
application:
western blot
,
immunohistochemistry
,
immunoprecipitation
,
flow cytometry
,
immunohistochemistry - frozen section
quantity:
price:
to the supplier
IHC-plus™ ITGB1 / Integrin Beta 1 / CD29 Antibody (Extracellular Domain) LS-A9 ...
LifeSpan Biosciences
catalog: LS-A9449
domestic rabbit polyclonal
reactivity:
human
application:
immunohistochemistry
,
immunohistochemistry - paraffin section
Anti-Integrin Beta 1 antibody IHC of human placenta, terminal villi. Immunohistochemistry of formalin-fixed, paraffin-embedded tissue after heat-induced antigen retrieval.
quantity:
price:
to the supplier
ITGB1 / Integrin Beta 1 / CD29 Antibody (Cytoplasmic Domain, clone 2B1) LS-C2478 ...
LifeSpan Biosciences
catalog: LS-C24780
mouse monoclonal (2B1)
reactivity:
human
application:
western blot
,
immunohistochemistry
,
immunocytochemistry
,
immunohistochemistry - frozen section
quantity:
price:
to the supplier
ITGB1 / Integrin Beta 1 / CD29 Antibody LS-C36925
LifeSpan Biosciences
catalog: LS-C36925
mouse monoclonal
reactivity:
human
application:
ELISA
,
immunohistochemistry
,
immunocytochemistry
,
immunoprecipitation
,
flow cytometry
,
immunohistochemistry - paraffin section
,
immunohistochemistry - frozen section
quantity:
price:
to the supplier
ITGB1 / Integrin Beta 1 / CD29 Antibody (clone JB1B) LS-C43332
LifeSpan Biosciences
catalog: LS-C43332
mouse monoclonal (JB1B)
reactivity:
human
application:
western blot
,
ELISA
,
immunoprecipitation
,
flow cytometry
,
immunohistochemistry - frozen section
quantity:
price:
to the supplier
ITGB1 / Integrin Beta 1 / CD29 Antibody (clone 12G10) LS-C43968
LifeSpan Biosciences
catalog: LS-C43968
mouse monoclonal (12G10)
reactivity:
human
application:
western blot
,
ELISA
,
immunocytochemistry
,
immunoprecipitation
,
flow cytometry
,
immunohistochemistry - frozen section
quantity:
price:
to the supplier
ITGB1 / Integrin Beta 1 / CD29 Antibody (clone 4B7R) LS-C44115
LifeSpan Biosciences
catalog: LS-C44115
mouse monoclonal (4B7R)
reactivity:
human
application:
immunocytochemistry
,
immunoprecipitation
,
flow cytometry
,
immunohistochemistry - paraffin section
quantity:
price:
to the supplier
ITGB1 / Integrin Beta 1 / CD29 Antibody (clone 4B7R, RPE) LS-C44116
LifeSpan Biosciences
catalog: LS-C44116
mouse monoclonal (4B7R)
reactivity:
human
conjugate: RPE
application:
flow cytometry
quantity:
price:
to the supplier
ITGB1 / Integrin Beta 1 / CD29 Antibody (clone HM beta 1-1, Low Endotoxin) LS-C4 ...
LifeSpan Biosciences
catalog: LS-C44635
hamsters monoclonal (HM beta 1-1)
reactivity:
human
,
mouse
application:
immunoprecipitation
,
flow cytometry
quantity:
price:
to the supplier
ITGB1 / Integrin Beta 1 / CD29 Antibody (clone HM beta 1-1, FITC) LS-C44636
LifeSpan Biosciences
catalog: LS-C44636
hamsters monoclonal (HM beta 1-1)
reactivity:
human
,
mouse
conjugate: FITC
application:
flow cytometry
quantity:
price:
to the supplier
ITGB1 / Integrin Beta 1 / CD29 Antibody (clone HM beta 1-1, RPE) LS-C44639
LifeSpan Biosciences
catalog: LS-C44639
hamsters monoclonal (HM beta 1-1)
reactivity:
human
,
mouse
conjugate: RPE
application:
flow cytometry
quantity:
price:
to the supplier
ITGB1 / Integrin Beta 1 / CD29 Antibody (clone MEM-101A) LS-C45808
LifeSpan Biosciences
catalog: LS-C45808
mouse monoclonal (MEM-101A)
reactivity:
human
application:
western blot
,
immunoprecipitation
,
flow cytometry
quantity:
price:
to the supplier
ITGB1 / Integrin Beta 1 / CD29 Antibody (clone MEM-101A, APC) LS-C46191
LifeSpan Biosciences
catalog: LS-C46191
mouse monoclonal (MEM-101A)
reactivity:
human
conjugate: APC
application:
western blot
,
immunoprecipitation
,
flow cytometry
quantity:
price:
to the supplier
ITGB1 / Integrin Beta 1 / CD29 Antibody (clone MEM-101A, Biotin) LS-C46278
LifeSpan Biosciences
catalog: LS-C46278
mouse monoclonal (MEM-101A)
reactivity:
human
conjugate: biotin
application:
western blot
,
immunoprecipitation
,
flow cytometry
quantity:
price:
to the supplier
ITGB1 / Integrin Beta 1 / CD29 Antibody (clone MEM-101A, FITC) LS-C46351
LifeSpan Biosciences
catalog: LS-C46351
mouse monoclonal (MEM-101A)
reactivity:
human
conjugate: FITC
application:
western blot
,
immunoprecipitation
,
flow cytometry
quantity:
price:
to the supplier
ITGB1 / Integrin Beta 1 / CD29 Antibody (clone MEM-101A, PE) LS-C46444
LifeSpan Biosciences
catalog: LS-C46444
mouse monoclonal (MEM-101A)
reactivity:
human
conjugate: PE
application:
western blot
,
immunoprecipitation
,
flow cytometry
quantity:
price:
to the supplier
ITGB1 / Integrin Beta 1 / CD29 Antibody (clone P4C10) LS-C84969
LifeSpan Biosciences
catalog: LS-C84969
mouse monoclonal (P4C10)
reactivity:
human
application:
western blot
,
ELISA
,
immunocytochemistry
,
immunoprecipitation
quantity:
price:
to the supplier
IHC-plus™ ITGB1 / Integrin Beta 1 / CD29 Antibody LS-B2860
LifeSpan Biosciences
catalog: LS-B2860
mouse monoclonal
reactivity:
human
application:
western blot
,
ELISA
,
immunohistochemistry
,
immunoprecipitation
,
flow cytometry
,
immunohistochemistry - paraffin section
,
immunohistochemistry - frozen section
Anti-Integrin Beta 1 antibody IHC of human prostate. Immunohistochemistry of formalin-fixed, paraffin-embedded tissue after heat-induced antigen retrieval. Antibody concentration 10 ug/ml.
quantity:
price:
to the supplier
IHC-plus™ ITGB1 / Integrin Beta 1 / CD29 Antibody (aa34-141, clone K2D5) LS-B2 ...
LifeSpan Biosciences
catalog: LS-B2953
mouse monoclonal (k2D5)
reactivity:
human
application:
western blot
,
ELISA
,
immunohistochemistry
,
immunohistochemistry - paraffin section
Anti-Integrin Beta 1 antibody IHC of human colon. Immunohistochemistry of formalin-fixed, paraffin-embedded tissue after heat-induced antigen retrieval. Antibody concentration 10 ug/ml.
Cell lysates of U937(40 ug) were resolved by SDS-PAGE, transferred to NC membrane and probed with anti-human CD29 (1:500). Proteins were visualized using a goat anti-mouse secondary antibody conjugated to HRP and an ECL detection system.
quantity:
price:
to the supplier
ITGB1 / Integrin Beta 1 / CD29 Antibody (clone 4B7R, Biotin) LS-C86796
LifeSpan Biosciences
catalog: LS-C86796
mouse monoclonal (4B7R)
reactivity:
human
conjugate: biotin
application:
western blot
,
flow cytometry
quantity:
price:
to the supplier
ITGB1 / Integrin Beta 1 / CD29 Antibody (clone 7F10) LS-C87525
LifeSpan Biosciences
catalog: LS-C87525
mouse monoclonal (7F10)
reactivity:
human
application:
immunohistochemistry
,
immunohistochemistry - paraffin section
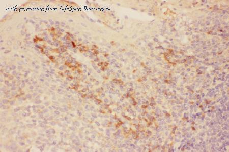
Formalin-fixed, paraffin-embedded human tonsil stained with peroxidase-conjugate and AEC chromogen. Note membrane staining of mucosal epithelial cells.
quantity:
price:
to the supplier
ITGB1 / Integrin Beta 1 / CD29 Antibody (clone 4B7R) LS-C88265
LifeSpan Biosciences
catalog: LS-C88265
mouse monoclonal (4B7R)
reactivity:
human
application:
immunohistochemistry
,
immunocytochemistry
,
flow cytometry
,
immunohistochemistry - frozen section
quantity:
price:
to the supplier
ITGB1 / Integrin Beta 1 / CD29 Antibody (clone 4B7R, Azide-free) LS-C88266
LifeSpan Biosciences
catalog: LS-C88266
mouse monoclonal (4B7R)
reactivity:
human
application:
immunohistochemistry
,
immunocytochemistry
,
flow cytometry
,
immunohistochemistry - frozen section
quantity:
price:
to the supplier
ITGB1 / Integrin Beta 1 / CD29 Antibody LS-C96069
LifeSpan Biosciences
catalog: LS-C96069
chicken polyclonal
reactivity:
human
application:
western blot
quantity:
price:
to the supplier
IHC-plus™ ITGB1 / Integrin Beta 1 / CD29 Antibody LS-B3164
LifeSpan Biosciences
catalog: LS-B3164
mouse monoclonal
reactivity:
human
application:
western blot
,
immunohistochemistry
,
immunoprecipitation
,
flow cytometry
,
immunohistochemistry - paraffin section
,
immunohistochemistry - frozen section
Anti-Integrin Beta 1 antibody IHC of human vessel. Immunohistochemistry of formalin-fixed, paraffin-embedded tissue after heat-induced antigen retrieval. Antibody concentration 10 ug/ml.
quantity:
price:
to the supplier
ITGB1 / Integrin Beta 1 / CD29 Antibody (clone TS2/16, FITC) LS-C106056
LifeSpan Biosciences
catalog: LS-C106056
mouse monoclonal (TS2/16)
reactivity:
human
conjugate: FITC
application:
flow cytometry
quantity:
price:
to the supplier
ITGB1 / Integrin Beta 1 / CD29 Antibody (clone HMb1-1) LS-C106673
LifeSpan Biosciences
catalog: LS-C106673
hamsters monoclonal (HMb1-1)
reactivity:
human
,
mouse
application:
immunoprecipitation
,
flow cytometry
quantity:
price:
to the supplier
ITGB1 / Integrin Beta 1 / CD29 Antibody (aa749-798) LS-C117621
LifeSpan Biosciences
catalog: LS-C117621
domestic rabbit polyclonal
reactivity:
human
application:
western blot
Western blot analysis of lysates from 3T3 and HeLa cells, treated with H2O2 100uM 30', using Integrin beta1 Antibody. The lane on the right is blocked with the synthesized peptide.
quantity:
price:
to the supplier
ITGB1 / Integrin Beta 1 / CD29 Antibody (clone DF5) LS-C121997
LifeSpan Biosciences
catalog: LS-C121997
mouse monoclonal (DF5)
reactivity:
human
application:
western blot
,
ELISA
,
immunohistochemistry
,
immunohistochemistry - paraffin section
,
immunohistochemistry - frozen section
quantity:
price:
to the supplier
ITGB1 / Integrin Beta 1 / CD29 Antibody (clone MOON-4) LS-C123854
LifeSpan Biosciences
catalog: LS-C123854
mouse monoclonal (Moon-4)
reactivity:
human
application:
immunohistochemistry
,
immunohistochemistry - frozen section
quantity:
price:
to the supplier
ITGB1 / Integrin Beta 1 / CD29 Antibody (clone DF7) LS-C123855
LifeSpan Biosciences
catalog: LS-C123855
mouse monoclonal (DF7)
reactivity:
human
application:
western blot
,
ELISA
,
immunohistochemistry
quantity:
price:
to the supplier
ITGB1 / Integrin Beta 1 / CD29 Antibody (FITC) LS-C125777
LifeSpan Biosciences
catalog: LS-C125777
mouse monoclonal
reactivity:
human
conjugate: FITC
application:
western blot
,
flow cytometry
quantity:
price:
to the supplier
ITGB1 / Integrin Beta 1 / CD29 Antibody (PE) LS-C130079
LifeSpan Biosciences
catalog: LS-C130079
hamsters monoclonal
reactivity:
human
,
mouse
conjugate: PE
application:
flow cytometry
quantity:
price:
to the supplier
ITGB1 / Integrin Beta 1 / CD29 Antibody (clone BV7) LS-C130082
LifeSpan Biosciences
catalog: LS-C130082
mouse monoclonal (BV7)
reactivity:
human
application:
western blot
,
ELISA
,
immunoprecipitation
,
flow cytometry
quantity:
price:
to the supplier
ITGB1 / Integrin Beta 1 / CD29 Antibody (clone 4B7R, Biotin) LS-C134369
LifeSpan Biosciences
catalog: LS-C134369
mouse monoclonal (4B7R)
reactivity:
human
conjugate: biotin
application:
western blot
,
immunohistochemistry
,
flow cytometry
,
immunohistochemistry - paraffin section
quantity:
price:
to the supplier
ITGB1 / Integrin Beta 1 / CD29 Antibody (clone 4B7R, FITC) LS-C134370
LifeSpan Biosciences
catalog: LS-C134370
mouse monoclonal (4B7R)
reactivity:
human
conjugate: FITC
application:
western blot
,
immunohistochemistry
,
flow cytometry
,
immunohistochemistry - paraffin section
quantity:
price:
to the supplier
ITGB1 / Integrin Beta 1 / CD29 Antibody (clone 4B7R, RPE) LS-C134371
LifeSpan Biosciences
catalog: LS-C134371
mouse monoclonal (4B7R)
reactivity:
human
conjugate: RPE
application:
western blot
,
immunohistochemistry
,
flow cytometry
,
immunohistochemistry - paraffin section
Flow cytometry of ITGB1 / Integrin Beta 1 / CD29 antibody This image was taken for the unconjugated form of this product. Other forms have not been tested.
quantity:
price:
to the supplier
ITGB1 / Integrin Beta 1 / CD29 Antibody (clone BV7, Concentrated) LS-C134829
LifeSpan Biosciences
catalog: LS-C134829
mouse monoclonal (BV7)
reactivity:
human
application:
western blot
,
immunoprecipitation
,
flow cytometry
quantity:
price:
to the supplier
IHC-plus™ ITGB1 / Integrin Beta 1 / CD29 Antibody (clone 4B7R, FITC) LS-B5324
LifeSpan Biosciences
catalog: LS-B5324
mouse monoclonal (4B7R)
reactivity:
human
conjugate: FITC
application:
immunohistochemistry
,
flow cytometry
,
immunohistochemistry - paraffin section
Anti-Integrin Beta 1 antibody IHC of human placenta. Immunohistochemistry of formalin-fixed, paraffin-embedded tissue after heat-induced antigen retrieval. Antibody dilution 1:50. This image was taken for the unconjugated form of this product. Other forms have not been tested.
quantity:
price:
to the supplier
ITGB1 / Integrin Beta 1 / CD29 Antibody (clone BV7) LS-C139966
LifeSpan Biosciences
catalog: LS-C139966
mouse monoclonal (BV7)
reactivity:
human
application:
western blot
,
flow cytometry
quantity:
price:
to the supplier
ITGB1 / Integrin Beta 1 / CD29 Antibody (clone BV7, FITC) LS-C139967
LifeSpan Biosciences
catalog: LS-C139967
mouse monoclonal (BV7)
reactivity:
human
conjugate: FITC
application:
western blot
,
flow cytometry
quantity:
price:
to the supplier
ITGB1 / Integrin Beta 1 / CD29 Antibody (aa727-776) LS-C145242
LifeSpan Biosciences
catalog: LS-C145242
domestic rabbit polyclonal
reactivity:
human
,
mouse
application:
western blot
quantity:
price:
to the supplier
ITGB1 / Integrin Beta 1 / CD29 Antibody (clone 1G2) LS-C146763
LifeSpan Biosciences
catalog: LS-C146763
mouse monoclonal (1G2)
reactivity:
human
application:
western blot
,
immunohistochemistry
,
immunocytochemistry
,
immunohistochemistry - frozen section
quantity:
price:
to the supplier
ITGB1 / Integrin Beta 1 / CD29 Antibody (aa759-785) LS-C159937
LifeSpan Biosciences
catalog: LS-C159937
domestic rabbit polyclonal
reactivity:
human
application:
western blot
ITGB1 Antibody western blot of NCI-H292 cell line lysates (35 ug/lane). The ITGB1 antibody detected the ITGB1 protein (arrow).
quantity:
price:
to the supplier
ITGB1 / Integrin Beta 1 / CD29 Antibody (clone 3B6) LS-C169162
LifeSpan Biosciences
catalog: LS-C169162
mouse monoclonal (3B6)
reactivity:
human
application:
western blot
,
ELISA
,
immunohistochemistry
,
flow cytometry
quantity:
price:
to the supplier
ITGB1 / Integrin Beta 1 / CD29 Antibody (clone 3B6B2) LS-C169163
LifeSpan Biosciences
catalog: LS-C169163
mouse monoclonal (3B6B2)
reactivity:
human
application:
western blot
,
ELISA
,
flow cytometry
quantity:
price:
to the supplier
ITGB1 / Integrin Beta 1 / CD29 Antibody (aa94-356) LS-C178690
LifeSpan Biosciences
catalog: LS-C178690
domestic rabbit polyclonal
reactivity:
human
application:
western blot
,
ELISA
,
immunohistochemistry
quantity:
price:
to the supplier
ITGB1 / Integrin Beta 1 / CD29 Antibody (clone AG89) LS-C179296
LifeSpan Biosciences
catalog: LS-C179296
mouse monoclonal (AG89)
reactivity:
human
application:
western blot
,
immunoprecipitation
,
flow cytometry
quantity:
price:
to the supplier
ITGB1 / Integrin Beta 1 / CD29 Antibody (clone AG89, PE) LS-C179297
LifeSpan Biosciences
catalog: LS-C179297
mouse monoclonal (AG89)
reactivity:
human
conjugate: PE
application:
flow cytometry
quantity:
price:
to the supplier
ITGB1 / Integrin Beta 1 / CD29 Antibody (phospho-Thr788) LS-C199123
LifeSpan Biosciences
catalog: LS-C199123
domestic rabbit polyclonal
reactivity:
human
modification: phosphorylated
application:
western blot
,
immunohistochemistry
,
immunohistochemistry - paraffin section
Immunohistochemistry analysis of paraffin-embedded human breast carcinoma, using Integrin beta1 (Phospho-Thr788) Antibody. The picture on the right is blocked with the phospho peptide.
Western blot analysis of lysates from HeLa cells treated with UV 15', using Integrin beta1 (Phospho-Thr788) Antibody. The lane on the right is blocked with the phospho peptide.
quantity:
price:
to the supplier
ITGB1 / Integrin Beta 1 / CD29 Antibody (phospho-Thr789) LS-C199124
LifeSpan Biosciences
catalog: LS-C199124
domestic rabbit polyclonal
reactivity:
human
modification: phosphorylated
application:
western blot
,
immunohistochemistry
,
immunocytochemistry
,
immunohistochemistry - paraffin section
Immunofluorescence analysis of COS7 cells, using Integrin beta1 (Phospho-Thr789) Antibody. The picture on the right is blocked with the phospho peptide.
Immunohistochemistry analysis of paraffin-embedded human breast carcinoma, using Integrin beta1 (Phospho-Thr789) Antibody. The picture on the right is blocked with the phospho peptide.
Western blot analysis of lysates from HepG2 cells treated with Ca2+ 40uM 30', using Integrin beta1 (Phospho-Thr789) Antibody. The lane on the right is blocked with the phospho peptide.
quantity:
price:
to the supplier
IHC-plus™ ITGB1 / Integrin Beta 1 / CD29 Antibody LS-B9378
LifeSpan Biosciences
catalog: LS-B9378
domestic rabbit polyclonal
reactivity:
human
application:
western blot
,
immunohistochemistry
,
immunohistochemistry - paraffin section
Anti-ITGB1 / Integrin Beta 1 / CD29 antibody IHC staining of human colon. Immunohistochemistry of formalin-fixed, paraffin-embedded tissue after heat-induced antigen retrieval.
quantity:
price:
to the supplier
ITGB1 / Integrin Beta 1 / CD29 Antibody (clone MEM-101A, Concentrated) LS-C20199 ...
LifeSpan Biosciences
catalog: LS-C201990
mouse monoclonal (MEM-101A)
reactivity:
human
application:
western blot
,
immunoprecipitation
,
flow cytometry
quantity:
price:
to the supplier
ITGB1 / Integrin Beta 1 / CD29 Antibody (clone Moon-4, Concentrated) LS-C202006
LifeSpan Biosciences
catalog: LS-C202006
mouse monoclonal (Moon-4)
reactivity:
human
,
mouse
application:
immunohistochemistry
,
immunohistochemistry - frozen section
quantity:
price:
to the supplier
ITGB1 / Integrin Beta 1 / CD29 Antibody (clone DF5, Concentrated) LS-C202516
LifeSpan Biosciences
catalog: LS-C202516
mouse monoclonal (DF5)
reactivity:
human
application:
western blot
,
immunohistochemistry
,
immunohistochemistry - paraffin section
,
immunohistochemistry - frozen section
quantity:
price:
to the supplier
ITGB1 / Integrin Beta 1 / CD29 Antibody (clone DF7, Concentrated) LS-C202517
LifeSpan Biosciences
catalog: LS-C202517
mouse monoclonal (DF7)
reactivity:
human
application:
western blot
,
immunohistochemistry
quantity:
price:
to the supplier
ITGB1 / Integrin Beta 1 / CD29 Antibody (aa759-785, AP) LS-C215302
LifeSpan Biosciences
catalog: LS-C215302
domestic rabbit polyclonal
reactivity:
human
conjugate: AP
application:
western blot
,
ELISA
quantity:
price:
to the supplier
ITGB1 / Integrin Beta 1 / CD29 Antibody (aa759-785, APC) LS-C215303
LifeSpan Biosciences
catalog: LS-C215303
domestic rabbit polyclonal
reactivity:
human
conjugate: APC
application:
western blot
,
ELISA
quantity:
price:
to the supplier
ITGB1 / Integrin Beta 1 / CD29 Antibody (aa759-785, Biotin) LS-C215304
LifeSpan Biosciences
catalog: LS-C215304
domestic rabbit polyclonal
reactivity:
human
conjugate: biotin
application:
western blot
,
ELISA
quantity:
price:
to the supplier
ITGB1 / Integrin Beta 1 / CD29 Antibody (aa759-785, FITC) LS-C215305
LifeSpan Biosciences
catalog: LS-C215305
domestic rabbit polyclonal
reactivity:
human
conjugate: FITC
application:
western blot
,
ELISA
quantity:
price:
to the supplier
ITGB1 / Integrin Beta 1 / CD29 Antibody (aa759-785, Azide-free, HRP) LS-C215306
LifeSpan Biosciences
catalog: LS-C215306
domestic rabbit polyclonal
reactivity:
human
conjugate: HRP
application:
western blot
,
ELISA
quantity:
price:
to the supplier
ITGB1 / Integrin Beta 1 / CD29 Antibody (aa759-785, PE) LS-C215318
LifeSpan Biosciences
catalog: LS-C215318
domestic rabbit polyclonal
reactivity:
human
conjugate: PE
application:
western blot
,
ELISA
quantity:
price:
to the supplier
IHC-plus™ ITGB1 / Integrin Beta 1 / CD29 Antibody (clone 4B7R, Azide-free) LS- ...
LifeSpan Biosciences
catalog: LS-B10361
mouse monoclonal (4B7R)
reactivity:
human
application:
western blot
,
immunohistochemistry
,
flow cytometry
,
immunohistochemistry - paraffin section
Flow cytometry of ITGB1 / Integrin Beta 1 / CD29 antibody This image was taken for the unmodified form of this product. Other forms have not been tested.
Anti-ITGB1 / Integrin Beta 1 / CD29 antibody IHC staining of human kidney. Immunohistochemistry of formalin-fixed, paraffin-embedded tissue after heat-induced antigen retrieval. Antibody concentration 10 ug/ml. This image was taken for the unmodified form of this product. Other forms have not been tested.
quantity:
price:
to the supplier
ITGB1 / Integrin Beta 1 / CD29 Antibody (aa733-782) LS-C286209
LifeSpan Biosciences
catalog: LS-C286209
domestic rabbit polyclonal
reactivity:
human
application:
western blot
Western blot analysis of the lysates from K562 cells using Integrin beta1 antibody.
quantity:
price:
to the supplier
ITGB1 / Integrin Beta 1 / CD29 Antibody (phospho-Thr789) LS-C286262
LifeSpan Biosciences
catalog: LS-C286262
domestic rabbit polyclonal
reactivity:
human
modification: phosphorylated
application:
western blot
,
ELISA
,
immunohistochemistry
Western blot analysis of lysates from HepG2 cells treated with Ca2+ 40uM 30', using Integrin beta1 (Phospho-Thr789) Antibody.
Enzyme-Linked Immunosorbent Assay (Phospho-ELISA) for Immunogen Phosphopeptide (Phospho-left) and Non-Phosphopeptide (Phospho-right), using Integrin beta1 (Phospho-Thr789) Antibody
quantity:
price:
to the supplier
ITGB1 / Integrin Beta 1 / CD29 Antibody (aa140-383) LS-C294693
LifeSpan Biosciences
catalog: LS-C294693
domestic rabbit polyclonal
reactivity:
human
application:
western blot
Western blot of recombinant ITGB1 / Integrin Beta 1 / CD29. This image was taken for the unconjugated form of this product. Other forms have not been tested.
quantity:
price:
to the supplier
ITGB1 / Integrin Beta 1 / CD29 Antibody (aa467-635) LS-C294694
LifeSpan Biosciences
catalog: LS-C294694
domestic rabbit polyclonal
reactivity:
human
application:
western blot
Western blot of recombinant ITGB1 / Integrin Beta 1 / CD29. This image was taken for the unconjugated form of this product. Other forms have not been tested.
quantity:
price:
to the supplier
ITGB1 / Integrin Beta 1 / CD29 Antibody (aa454-714) LS-C294695
LifeSpan Biosciences
catalog: LS-C294695
domestic rabbit polyclonal
reactivity:
human
,
mouse
application:
western blot
Western Blot; Sample: Lane1: Mouse Liver Tissue; Lane2: Mouse Lung Tissue.
quantity:
price:
to the supplier
ITGB1 / Integrin Beta 1 / CD29 Antibody (aa467-635, Biotin) LS-C297215
LifeSpan Biosciences
catalog: LS-C297215
domestic rabbit polyclonal
reactivity:
human
conjugate: biotin
application:
western blot
Western blot of recombinant ITGB1 / Integrin Beta 1 / CD29. This image was taken for the unconjugated form of this product. Other forms have not been tested.
quantity:
price:
to the supplier
ITGB1 / Integrin Beta 1 / CD29 Antibody (aa140-383, Biotin) LS-C298975
LifeSpan Biosciences
catalog: LS-C298975
domestic rabbit polyclonal
reactivity:
human
conjugate: biotin
application:
western blot
Western blot of recombinant ITGB1 / Integrin Beta 1 / CD29. This image was taken for the unconjugated form of this product. Other forms have not been tested.
quantity:
price:
to the supplier
ITGB1 / Integrin Beta 1 / CD29 Antibody (aa467-635, FITC) LS-C304043
LifeSpan Biosciences
catalog: LS-C304043
domestic rabbit polyclonal
reactivity:
human
conjugate: FITC
application:
western blot
Western blot of recombinant ITGB1 / Integrin Beta 1 / CD29. This image was taken for the unconjugated form of this product. Other forms have not been tested.
quantity:
price:
to the supplier
ITGB1 / Integrin Beta 1 / CD29 Antibody (aa433-447) LS-C305885
LifeSpan Biosciences
catalog: LS-C305885
domestic goat polyclonal
reactivity:
human
application:
western blot
ITGB1 antibody (0.5 ug/ml) staining of Gastrointestinal cancer (A) and Gall Bladder cancer (B) lysates (35 ug protein in RIPA buffer). Primary incubation was 1 hour. Detected by chemiluminescence.
quantity:
price:
to the supplier
ITGB1 / Integrin Beta 1 / CD29 Antibody LS-C310800
LifeSpan Biosciences
catalog: LS-C310800
domestic rabbit polyclonal
reactivity:
human
application:
western blot
quantity:
price:
to the supplier
ITGB1 / Integrin Beta 1 / CD29 Antibody (FITC) LS-C318561
LifeSpan Biosciences
catalog: LS-C318561
domestic rabbit polyclonal
reactivity:
human
,
rat
conjugate: FITC
application:
western blot
,
ELISA
quantity:
price:
to the supplier
ITGB1 / Integrin Beta 1 / CD29 Antibody (HRP) LS-C318562
LifeSpan Biosciences
catalog: LS-C318562
domestic rabbit polyclonal
reactivity:
human
,
rat
conjugate: HRP
application:
western blot
,
ELISA
quantity:
price:
to the supplier
ITGB1 / Integrin Beta 1 / CD29 Antibody LS-C318567
LifeSpan Biosciences
catalog: LS-C318567
domestic rabbit polyclonal
reactivity:
human
,
rat
application:
western blot
,
ELISA
quantity:
price:
to the supplier
ITGB1 / Integrin Beta 1 / CD29 Antibody (Biotin) LS-C319017
LifeSpan Biosciences
catalog: LS-C319017
domestic rabbit polyclonal
reactivity:
human
,
rat
conjugate: biotin
application:
western blot
,
ELISA
quantity:
price:
to the supplier
ITGB1 / Integrin Beta 1 / CD29 Antibody (aa759-785) LS-C329713
LifeSpan Biosciences
catalog: LS-C329713
domestic rabbit polyclonal
reactivity:
human
application:
western blot
,
ELISA
quantity:
price:
to the supplier
ITGB1 / Integrin Beta 1 / CD29 Antibody (clone OTI2A3) LS-C340137
LifeSpan Biosciences
catalog: LS-C340137
mouse monoclonal (OTI2A3)
reactivity:
human
application:
western blot
HEK293T cells were transfected with the pCMV6-ENTRY control (Left lane) or pCMV6-ENTRY ITGB1 (Right lane) cDNA for 48 hrs and lysed. Equivalent amounts of cell lysates (5 ug per lane) were separated by SDS-PAGE and immunoblotted with anti-ITGB1.
quantity:
price:
to the supplier
IHC-plus™ ITGB1 / Integrin Beta 1 / CD29 Antibody (aa650-700) LS-B11862
LifeSpan Biosciences
catalog: LS-B11862
domestic rabbit polyclonal
reactivity:
human
application:
western blot
,
immunohistochemistry
,
immunoprecipitation
,
immunohistochemistry - paraffin section
Human Colon: Formalin-Fixed, Paraffin-Embedded (FFPE)
quantity:
price:
to the supplier
ITGB1 / Integrin Beta 1 / CD29 Antibody (aa527-728) LS-C343955
LifeSpan Biosciences
catalog: LS-C343955
domestic rabbit polyclonal
reactivity:
human
application:
western blot
,
immunohistochemistry
,
immunohistochemistry - paraffin section
ITGB1 antibody IHC-paraffin: Human Tonsil Tissue.
ITGB1 antibody Western blot. All lanes: Anti-ITGB1 at 0.5 ug/ml. WB: HeLa Whole Cell Lysate at 40 ug. Predicted band size: 88 kD. Observed band size: 130 kD.
quantity:
price:
to the supplier
ITGB1 / Integrin Beta 1 / CD29 Antibody (clone 1084CT17.4.1) LS-C344120
LifeSpan Biosciences
catalog: LS-C344120
mouse monoclonal (1084CT17.4.1)
reactivity:
human
application:
western blot
ITGB1 Antibody western blot of U87-MG cell line lysates (35 ug/lane). The ITGB1 antibody detected the ITGB1 protein (arrow).
quantity:
price:
to the supplier
IHC-plus™ ITGB1 / Integrin Beta 1 / CD29 Antibody (aa746-795) LS-B12418
LifeSpan Biosciences
catalog: LS-B12418
domestic rabbit polyclonal
reactivity:
human
application:
western blot
,
immunohistochemistry
,
immunohistochemistry - paraffin section
Human Small Intestine: Formalin-Fixed, Paraffin-Embedded (FFPE)
Western blot analysis of lysates from Jurkat cells, using Integrin beta1 Antibody. The lane on the right is blocked with the synthesized peptide.
quantity:
price:
to the supplier
ITGB1 / Integrin Beta 1 / CD29 Antibody (phospho-Thr789) LS-C358795
LifeSpan Biosciences
catalog: LS-C358795
domestic rabbit polyclonal
reactivity:
human
application:
western blot
,
immunohistochemistry
,
immunocytochemistry
,
immunohistochemistry - paraffin section
Western blot analysis of CD29 (pT789) expression in HEK293T (A); mouse kidney (B); rat liver (C) whole cell lysates.
Immunohistochemical analysis of CD29 (pT789) staining in human breast cancer formalin fixed paraffin embedded tissue section. The section was pre-treated using heat mediated antigen retrieval with sodium citrate buffer (pH 6.0). The section was then incubated with the antibody at room temperature and detected using an HRP conjugated compact polymer system. DAB was used as the chromogen. The section was then counterstained with hematoxylin and mounted with DPX.
Immunofluorescent analysis of CD29 (pT789) staining in HEK293T cells. Formalin-fixed cells were permeabilized with 0.1% Triton X-100 in TBS for 5-10 minutes and blocked with 3% BSA-PBS for 30 minutes at room temperature. Cells were probed with the primary antibody in 3% BSA-PBS and incubated overnight at 4 deg C in a humidified chamber. Cells were washed with PBST and incubated with a DyLight 594-conjugated secondary antibody (red) in PBS at room temperature in the dark. DAPI was used to stain the cell nuclei (blue).
quantity:
price:
to the supplier
ITGB1 / Integrin Beta 1 / CD29 Antibody (C-Terminus) LS-C368633
LifeSpan Biosciences
catalog: LS-C368633
domestic rabbit polyclonal
reactivity:
human
application:
western blot
Western blot analysis of CD29 expression in HepG2 (A); K562 (B); NIH3T3 (C) whole cell lysates.
quantity:
price:
to the supplier
ITGB1 / Integrin Beta 1 / CD29 Antibody (720-800 aa) LS-C380749
LifeSpan Biosciences
catalog: LS-C380749
domestic rabbit polyclonal
reactivity:
human
modification: phosphorylated
application:
western blot
,
ELISA
,
immunohistochemistry
Western blot of Phospho-Integrin beta1 (T788) antibody
quantity:
price:
to the supplier
ITGB1 / Integrin Beta 1 / CD29 Antibody (720-800 aa) LS-C381111
LifeSpan Biosciences
catalog: LS-C381111
domestic rabbit polyclonal
reactivity:
human
modification: phosphorylated
application:
western blot
,
ELISA
quantity:
price:
to the supplier
ITGB1 / Integrin Beta 1 / CD29 Antibody (720-800 aa) LS-C381480
LifeSpan Biosciences
catalog: LS-C381480
domestic rabbit polyclonal
reactivity:
human
modification: phosphorylated
application:
western blot
,
ELISA
,
immunohistochemistry
,
immunocytochemistry
quantity:
price:
to the supplier
ITGB1 / Integrin Beta 1 / CD29 Antibody (720-800 aa) LS-C384163
LifeSpan Biosciences
catalog: LS-C384163
domestic rabbit polyclonal
reactivity:
human
application:
western blot
,
ELISA
,
immunohistochemistry
,
immunocytochemistry
quantity:
price:
to the supplier
ITGB1 / Integrin Beta 1 / CD29 Antibody (720-800 aa) LS-C384165
LifeSpan Biosciences
catalog: LS-C384165
domestic rabbit polyclonal
reactivity:
human
application:
western blot
,
ELISA
quantity:
price:
to the supplier
ITGB1 / Integrin Beta 1 / CD29 Antibody (720-800 aa) LS-C384169
LifeSpan Biosciences
catalog: LS-C384169
domestic rabbit polyclonal
reactivity:
human
application:
western blot
,
ELISA
Western blot of Integrin beta1 antibody
quantity:
price:
to the supplier
ITGB1 / Integrin Beta 1 / CD29 Antibody (641-690 aa, Internal) LS-C387695
LifeSpan Biosciences
catalog: LS-C387695
domestic rabbit polyclonal
reactivity:
human
application:
western blot
,
ELISA
Western blot of Integrin beta1 antibody
quantity:
price:
to the supplier
ITGB1 / Integrin Beta 1 / CD29 Antibody (C-Terminus) LS-C413122
LifeSpan Biosciences
catalog: LS-C413122
domestic rabbit polyclonal
reactivity:
human
application:
western blot
,
immunohistochemistry
,
immunocytochemistry
,
immunohistochemistry - paraffin section
Western blot analysis of CD29 expression in HepG2 (A); Jurkat (B) whole cell lysates.
Immunohistochemical analysis of CD29 staining in human lung cancer formalin fixed paraffin embedded tissue section. The section was pre-treated using heat mediated antigen retrieval with sodium citrate buffer (pH 6.0). The section was then incubated with the antibody at room temperature and detected using an HRP polymer system. DAB was used as the chromogen. The section was then counterstained with hematoxylin and mounted with DPX.
Immunofluorescent analysis of CD29 staining in NIH3T3 cells. Formalin-fixed cells were permeabilized with 0.1% Triton X-100 in TBS for 5-10 minutes and blocked with 3% BSA-PBS for 30 minutes at room temperature. Cells were probed with the primary antibody in 3% BSA-PBS and incubated overnight at 4 deg C in a humidified chamber. Cells were washed with PBST and incubated with a DyLight 594-conjugated secondary antibody (red) in PBS at room temperature in the dark. DAPI was used to stain the cell nuclei (blue).
quantity:
price:
to the supplier
ITGB1 / Integrin Beta 1 / CD29 Antibody (Biotin) LS-C527096
LifeSpan Biosciences
catalog: LS-C527096
mouse monoclonal
reactivity:
human
conjugate: biotin
application:
western blot
,
ELISA
,
immunohistochemistry
,
flow cytometry
quantity:
price:
to the supplier