Sign in
Sign up
home
>
LifeSpan Biosciences
> LifeSpan Biosciences IKKbeta antibody
IKBKB / IKK2 / IKK Beta Antibody (clone 10A9B6) LS-C555
LifeSpan Biosciences
catalog: LS-C555
mouse monoclonal (10A9B6)
reactivity:
human
application:
western blot
,
immunoprecipitation
quantity:
price:
to the supplier
IKBKB / IKK2 / IKK Beta Antibody (aa161-210) LS-C117618
LifeSpan Biosciences
catalog: LS-C117618
domestic rabbit polyclonal
reactivity:
human
application:
western blot
,
immunohistochemistry
Western blot of extracts from 293 cells, treated with LPS 100 ng/ml 30', using IKK-beta (Ab-188) Antibody. The lane on the right is treated with the synthesized peptide.
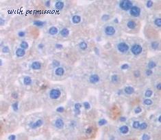
Immunohistochemistry analysis of paraffin-embedded human brain tissue, using IKK-beta Antibody. The picture on the right is blocked with the synthesized peptide.
quantity:
price:
to the supplier
IKBKB / IKK2 / IKK Beta Antibody (C-Terminus) LS-C15917
LifeSpan Biosciences
catalog: LS-C15917
domestic rabbit polyclonal
reactivity:
human
application:
western blot
,
ELISA
,
immunohistochemistry
quantity:
price:
to the supplier
IHC-plus™ IKBKB / IKK2 / IKK Beta Antibody LS-B1362
LifeSpan Biosciences
catalog: LS-B1362
domestic rabbit polyclonal
reactivity:
human
application:
western blot
,
ELISA
,
immunohistochemistry
,
immunocytochemistry
,
immunohistochemistry - paraffin section
citations: 1
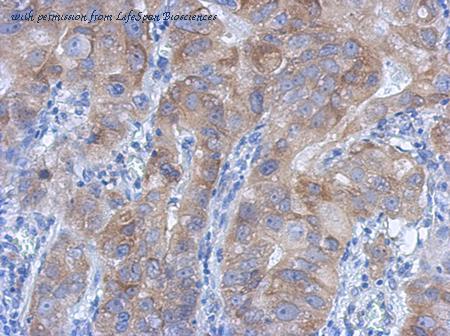
Anti-IKBKB / IKK Beta antibody IHC of human pancreas. Immunohistochemistry of formalin-fixed, paraffin-embedded tissue after heat-induced antigen retrieval. Antibody concentration 5 ug/ml.
Immunofluorescence of IKK beta in HeLa cells with IKK beta antibody at 10 ug/ml.
quantity:
price:
to the supplier
IKBKB / IKK2 / IKK Beta Antibody (clone 10AG2) LS-C554
LifeSpan Biosciences
catalog: LS-C554
mouse monoclonal (10AG2)
reactivity:
human
application:
western blot
,
immunoprecipitation
,
flow cytometry
quantity:
price:
to the supplier
IKBKB / IKK2 / IKK Beta Antibody (C-Terminus) LS-C15916
LifeSpan Biosciences
catalog: LS-C15916
domestic rabbit polyclonal
reactivity:
human
application:
western blot
,
ELISA
,
immunoprecipitation
quantity:
price:
to the supplier
IKBKB / IKK2 / IKK Beta Antibody (C-Terminus) LS-C24631
LifeSpan Biosciences
catalog: LS-C24631
domestic rabbit polyclonal
reactivity:
human
application:
western blot
,
ELISA
,
immunoprecipitation
quantity:
price:
to the supplier
IHC-plus™ IKBKB / IKK2 / IKK Beta Antibody (C-Terminus) LS-B715
LifeSpan Biosciences
catalog: LS-B715
domestic rabbit polyclonal
reactivity:
human
application:
western blot
,
ELISA
,
immunohistochemistry
,
immunohistochemistry - paraffin section
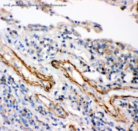
Anti-IKBKB / IKK Beta antibody IHC of human placenta. Immunohistochemistry of formalin-fixed, paraffin-embedded tissue after heat-induced antigen retrieval. Antibody dilution 1:500.
quantity:
price:
to the supplier
IHC-plus™ IKBKB / IKK2 / IKK Beta Antibody (aa310-376) LS-B742
LifeSpan Biosciences
catalog: LS-B742
chicken polyclonal
reactivity:
human
application:
western blot
,
immunohistochemistry
,
immunohistochemistry - paraffin section
Anti-IKBKB / IKK Beta antibody IHC of human heart. Immunohistochemistry of formalin-fixed, paraffin-embedded tissue after heat-induced antigen retrieval. Antibody concentration 5 ug/ml.
quantity:
price:
to the supplier
IKBKB / IKK2 / IKK Beta Antibody (phospho-Ser177/Ser181) LS-C15901
LifeSpan Biosciences
catalog: LS-C15901
domestic rabbit polyclonal
reactivity:
human
modification: phosphorylated
application:
western blot
quantity:
price:
to the supplier
IKBKB / IKK2 / IKK Beta Antibody (Leu570) LS-C36867
LifeSpan Biosciences
catalog: LS-C36867
domestic rabbit polyclonal
reactivity:
human
application:
western blot
,
ELISA
,
immunoprecipitation
quantity:
price:
to the supplier
IKBKB / IKK2 / IKK Beta Antibody LS-C70493
LifeSpan Biosciences
catalog: LS-C70493
mouse monoclonal
reactivity:
human
application:
western blot
,
immunoprecipitation
quantity:
price:
to the supplier
IKBKB / IKK2 / IKK Beta Antibody LS-C96014
LifeSpan Biosciences
catalog: LS-C96014
chicken polyclonal
reactivity:
human
application:
western blot
quantity:
price:
to the supplier
IKBKB / IKK2 / IKK Beta Antibody (clone 62AT216) LS-C96495
LifeSpan Biosciences
catalog: LS-C96495
mouse monoclonal (62AT216)
reactivity:
human
application:
western blot
The anti-IKKbeta antibody is used in Western blot to detect IKKbeta in Jurkat cell lysate.
quantity:
price:
to the supplier
IKBKB / IKK2 / IKK Beta Antibody (phospho-Tyr199) LS-C96886
LifeSpan Biosciences
catalog: LS-C96886
domestic rabbit polyclonal
reactivity:
human
modification: phosphorylated
application:
western blot
The anti-Phospho-IKKb-Y199 antibody is used in Western blot to detect Phospho-IKKb-Y199 in Y79 tissue lysate
quantity:
price:
to the supplier
IKBKB / IKK2 / IKK Beta Antibody (aa395-444) LS-C109629
LifeSpan Biosciences
catalog: LS-C109629
domestic rabbit polyclonal
reactivity:
human
application:
western blot
quantity:
price:
to the supplier
IKBKB / IKK2 / IKK Beta Antibody (aa215-264) LS-C109694
LifeSpan Biosciences
catalog: LS-C109694
domestic rabbit polyclonal
reactivity:
human
application:
western blot
quantity:
price:
to the supplier
IKBKB / IKK2 / IKK Beta Antibody LS-C129950
LifeSpan Biosciences
catalog: LS-C129950
domestic rabbit polyclonal
reactivity:
human
application:
immunocytochemistry
quantity:
price:
to the supplier
IKBKB / IKK2 / IKK Beta Antibody (phospho-Tyr199) LS-C129951
LifeSpan Biosciences
catalog: LS-C129951
domestic rabbit polyclonal
reactivity:
human
modification: phosphorylated
application:
immunocytochemistry
quantity:
price:
to the supplier
IHC-plus™ IKBKB / IKK2 / IKK Beta Antibody (aa166-215) LS-B7563
LifeSpan Biosciences
catalog: LS-B7563
domestic rabbit polyclonal
reactivity:
human
application:
immunohistochemistry
,
immunohistochemistry - paraffin section
Anti-IKBKB / IKK Beta antibody IHC of human testis. Immunohistochemistry of formalin-fixed, paraffin-embedded tissue after heat-induced antigen retrieval. Antibody dilution 1:100.
quantity:
price:
to the supplier
IKBKB / IKK2 / IKK Beta Antibody (phospho-Ser177) LS-C157828
LifeSpan Biosciences
catalog: LS-C157828
domestic rabbit polyclonal
reactivity:
human
modification: phosphorylated
Dot blot of IKKB Antibody (Phospho S177) Phospho-specific antibody on nitrocellulose membrane. 50ng of Phospho-peptide or Non Phospho-peptide per dot were adsorbed. Antibody working concentrations are 0.6ug per ml.
quantity:
price:
to the supplier
IKBKB / IKK2 / IKK Beta Antibody (phospho-Ser733) LS-C157829
LifeSpan Biosciences
catalog: LS-C157829
domestic rabbit polyclonal
reactivity:
human
modification: phosphorylated
Dot blot of IKKB Antibody (Phospho S733) Phospho-specific antibody on nitrocellulose membrane. 50ng of Phospho-peptide or Non Phospho-peptide per dot were adsorbed. Antibody working concentrations are 0.6ug per ml.
quantity:
price:
to the supplier
IKBKB / IKK2 / IKK Beta Antibody (phospho-Thr180) LS-C157830
LifeSpan Biosciences
catalog: LS-C157830
domestic rabbit polyclonal
reactivity:
human
modification: phosphorylated
Dot blot of IKKB Antibody (Phospho T180) Phospho-specific antibody on nitrocellulose membrane. 50ng of Phospho-peptide or Non Phospho-peptide per dot were adsorbed. Antibody working concentrations are 0.6ug per ml.
quantity:
price:
to the supplier
IKBKB / IKK2 / IKK Beta Antibody (phospho-Tyr609) LS-C157831
LifeSpan Biosciences
catalog: LS-C157831
domestic rabbit polyclonal
reactivity:
human
modification: phosphorylated
Dot blot of IKKB Antibody (Phospho Y609) Phospho-specific antibody on nitrocellulose membrane. 50ng of Phospho-peptide or Non Phospho-peptide per dot were adsorbed. Antibody working concentrations are 0.6ug per ml.
quantity:
price:
to the supplier
IKBKB / IKK2 / IKK Beta Antibody (phospho-Ser701) LS-C157917
LifeSpan Biosciences
catalog: LS-C157917
domestic rabbit polyclonal
reactivity:
human
,
mouse
modification: phosphorylated
Dot blot of mouse IKKB Antibody (Phospho S701) Phospho-specific antibody on nitrocellulose membrane. 50ng of Phospho-peptide or Non Phospho-peptide per dot were adsorbed. Antibody working concentrations are 0.6ug per ml.
quantity:
price:
to the supplier
IKBKB / IKK2 / IKK Beta Antibody (phospho-Ser466) LS-C158612
LifeSpan Biosciences
catalog: LS-C158612
domestic rabbit polyclonal
reactivity:
human
modification: phosphorylated
Dot blot of Phospho-IKKB-S466 Antibody Phospho-specific antibody on nitrocellulose membrane. 50ng of Phospho-peptide or Non Phospho-peptide per dot were adsorbed. Antibody working concentrations are 0.6ug per ml.
quantity:
price:
to the supplier
IKBKB / IKK2 / IKK Beta Antibody (phospho-Ser670) LS-C158613
LifeSpan Biosciences
catalog: LS-C158613
domestic rabbit polyclonal
reactivity:
human
modification: phosphorylated
Dot blot of Phospho-IKKB-S670 Antibody Phospho-specific antibody on nitrocellulose membrane. 50ng of Phospho-peptide or Non Phospho-peptide per dot were adsorbed. Antibody working concentrations are 0.6ug per ml.
quantity:
price:
to the supplier
IKBKB / IKK2 / IKK Beta Antibody (phospho-Ser672) LS-C158614
LifeSpan Biosciences
catalog: LS-C158614
domestic rabbit polyclonal
reactivity:
human
modification: phosphorylated
Dot blot of Phospho-IKKB-S672 Antibody Phospho-specific antibody on nitrocellulose membrane. 50ng of Phospho-peptide or Non Phospho-peptide per dot were adsorbed. Antibody working concentrations are 0.6ug per ml.
quantity:
price:
to the supplier
IKBKB / IKK2 / IKK Beta Antibody (phospho-Ser675) LS-C158615
LifeSpan Biosciences
catalog: LS-C158615
domestic rabbit polyclonal
reactivity:
human
modification: phosphorylated
Dot blot of Phospho-IKKB-S675 Antibody Phospho-specific antibody on nitrocellulose membrane. 50ng of Phospho-peptide or Non Phospho-peptide per dot were adsorbed. Antibody working concentrations are 0.6ug per ml.
quantity:
price:
to the supplier
IKBKB / IKK2 / IKK Beta Antibody (phospho-Ser689) LS-C158616
LifeSpan Biosciences
catalog: LS-C158616
domestic rabbit polyclonal
reactivity:
human
modification: phosphorylated
Dot blot of Phospho-IKKB-S689 Antibody Phospho-specific antibody on nitrocellulose membrane. 50ng of Phospho-peptide or Non Phospho-peptide per dot were adsorbed. Antibody working concentrations are 0.6ug per ml.
quantity:
price:
to the supplier
IKBKB / IKK2 / IKK Beta Antibody (phospho-Ser705) LS-C158617
LifeSpan Biosciences
catalog: LS-C158617
domestic rabbit polyclonal
reactivity:
human
modification: phosphorylated
Dot blot of Phospho-IKKB-S705 Antibody Phospho-specific antibody on nitrocellulose membrane. 50ng of Phospho-peptide or Non Phospho-peptide per dot were adsorbed. Antibody working concentrations are 0.6ug per ml.
quantity:
price:
to the supplier
IKBKB / IKK2 / IKK Beta Antibody (phospho-Ser682) LS-C159906
LifeSpan Biosciences
catalog: LS-C159906
domestic rabbit polyclonal
reactivity:
human
modification: phosphorylated
Dot blot of Phospho-IKKB-S682 Antibody Phospho-specific antibody on nitrocellulose membrane. 50ng of Phospho-peptide or Non Phospho-peptide per dot were adsorbed. Antibody working concentrations are 0.6ug per ml.
quantity:
price:
to the supplier
IKBKB / IKK2 / IKK Beta Antibody (phospho-Ser692) LS-C159907
LifeSpan Biosciences
catalog: LS-C159907
domestic rabbit polyclonal
reactivity:
human
modification: phosphorylated
Dot blot of Phospho-IKKB-S692 Antibody Phospho-specific antibody on nitrocellulose membrane. 50ng of Phospho-peptide or Non Phospho-peptide per dot were adsorbed. Antibody working concentrations are 0.6ug per ml.
quantity:
price:
to the supplier
IKBKB / IKK2 / IKK Beta Antibody (phospho-Ser697) LS-C159908
LifeSpan Biosciences
catalog: LS-C159908
domestic rabbit polyclonal
reactivity:
human
modification: phosphorylated
Dot blot of Phospho-IKKB-S697 Antibody Phospho-specific antibody on nitrocellulose membrane. 50ng of Phospho-peptide or Non Phospho-peptide per dot were adsorbed. Antibody working concentrations are 0.6ug per ml.
quantity:
price:
to the supplier
IKBKB / IKK2 / IKK Beta Antibody (Phe182) LS-C176285
LifeSpan Biosciences
catalog: LS-C176285
domestic rabbit polyclonal
reactivity:
human
modification: phosphorylated
application:
western blot
,
immunohistochemistry
,
immunohistochemistry - paraffin section
Western blot of IKK- (F182) pAb in extracts from 293 cells treated with LPS 100ng/ml, 30mins.
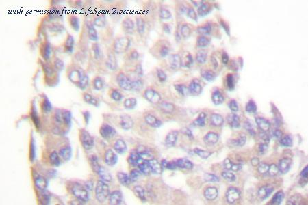
IHC of IKK- (F182) pAb in paraffin-embedded human breast carcinoma tissue.
quantity:
price:
to the supplier
IKBKB / IKK2 / IKK Beta Antibody (Leu193) LS-C176415
LifeSpan Biosciences
catalog: LS-C176415
domestic rabbit polyclonal
reactivity:
human
application:
immunohistochemistry
,
immunohistochemistry - paraffin section
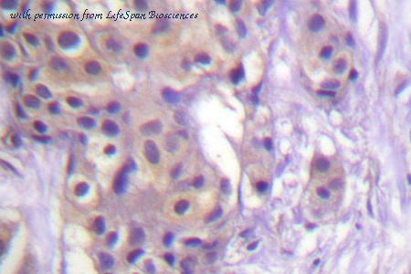
IHC of IKK- (L193) pAb in paraffin-embedded human breast carcinoma tissue.
quantity:
price:
to the supplier
IKBKB / IKK2 / IKK Beta Antibody (aa493-739) LS-C185726
LifeSpan Biosciences
catalog: LS-C185726
domestic rabbit polyclonal
reactivity:
human
application:
western blot
,
immunohistochemistry
,
immunocytochemistry
,
immunohistochemistry - paraffin section
Sample (30 ug of whole cell lysate). A: A431 . 7.5% SDS PAGE. IKK2 / IKK Beta antibody diluted at 1:1000.
Immunofluorescence of paraformaldehyde-fixed A431 using IKK beta antibody at 1:200 dilution.
IHC of paraffin-embedded Colon ca using IKK beta antibody at 1:500 dilution.
quantity:
price:
to the supplier
IKBKB / IKK2 / IKK Beta Antibody (aa530-757, clone 12K106) LS-C182874
LifeSpan Biosciences
catalog: LS-C182874
rat monoclonal (12K106)
reactivity:
human
,
mouse
application:
western blot
quantity:
price:
to the supplier
IKBKB / IKK2 / IKK Beta Antibody (clone 2F4) LS-C197508
LifeSpan Biosciences
catalog: LS-C197508
mouse monoclonal (2F4)
reactivity:
human
application:
western blot
,
ELISA
Detection limit for recombinant GST tagged IKBKB is approximately 0.03 ng/ml as a capture antibody.
quantity:
price:
to the supplier
IKBKB / IKK2 / IKK Beta Antibody (phospho-Tyr188) LS-C199104
LifeSpan Biosciences
catalog: LS-C199104
domestic rabbit polyclonal
reactivity:
human
modification: phosphorylated
application:
western blot
,
immunohistochemistry
,
immunohistochemistry - paraffin section
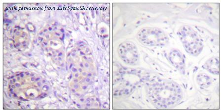
Immunohistochemistry analysis of paraffin-embedded human breast carcinoma, using IKK-beta (Phospho-Tyr188) Antibody. The picture on the right is blocked with the phospho peptide.
Western blot analysis of lysates from COS7 cells, using IKK-beta (Phospho-Tyr188) Antibody. The lane on the right is blocked with the phospho peptide.
quantity:
price:
to the supplier
IKBKB / IKK2 / IKK Beta Antibody (phospho-Tyr199) LS-C199105
LifeSpan Biosciences
catalog: LS-C199105
domestic rabbit polyclonal
reactivity:
human
modification: phosphorylated
application:
western blot
,
immunohistochemistry
,
immunohistochemistry - paraffin section
Immunohistochemistry analysis of paraffin-embedded human breast carcinoma, using IKK-beta (Phospho-Tyr199) Antibody. The picture on the right is blocked with the phospho peptide.
Western blot analysis of lysates from HeLa cells treated with TNF-a 20ng/ml+Calyculin A 50nM 5', using IKK-beta (Phospho-Tyr199) Antibody. The lane on the right is blocked with the phospho peptide.
quantity:
price:
to the supplier
IKBKB / IKK2 / IKK Beta Antibody (aa587-615) LS-C203814
LifeSpan Biosciences
catalog: LS-C203814
domestic rabbit polyclonal
reactivity:
human
application:
western blot
IKKB Antibody (Center Y609) western blot of CEM cell line lysates (35 ug/lane). The IKKB antibody detected the IKKB protein (arrow).
quantity:
price:
to the supplier
IKBKB / IKK2 / IKK Beta Antibody (clone 62AT216, APC) LS-C250262
LifeSpan Biosciences
catalog: LS-C250262
mouse monoclonal (62AT216)
reactivity:
human
conjugate: APC
application:
western blot
,
ELISA
quantity:
price:
to the supplier
IKBKB / IKK2 / IKK Beta Antibody (clone 62AT216, AP) LS-C250263
LifeSpan Biosciences
catalog: LS-C250263
mouse monoclonal (62AT216)
reactivity:
human
conjugate: AP
application:
western blot
,
ELISA
quantity:
price:
to the supplier
IKBKB / IKK2 / IKK Beta Antibody (clone 62AT216, Biotin) LS-C250264
LifeSpan Biosciences
catalog: LS-C250264
mouse monoclonal (62AT216)
reactivity:
human
conjugate: biotin
application:
western blot
,
ELISA
quantity:
price:
to the supplier
IKBKB / IKK2 / IKK Beta Antibody (clone 62AT216, FITC) LS-C250265
LifeSpan Biosciences
catalog: LS-C250265
mouse monoclonal (62AT216)
reactivity:
human
conjugate: FITC
application:
western blot
,
ELISA
quantity:
price:
to the supplier
IKBKB / IKK2 / IKK Beta Antibody (clone 62AT216, Azide-free, HRP) LS-C250266
LifeSpan Biosciences
catalog: LS-C250266
mouse monoclonal (62AT216)
reactivity:
human
conjugate: HRP
application:
western blot
,
ELISA
quantity:
price:
to the supplier
IKBKB / IKK2 / IKK Beta Antibody (clone 62AT216, PE) LS-C250273
LifeSpan Biosciences
catalog: LS-C250273
mouse monoclonal (62AT216)
reactivity:
human
conjugate: PE
application:
western blot
,
ELISA
quantity:
price:
to the supplier
IKBKB / IKK2 / IKK Beta Antibody (phospho-Ser177, AP) LS-C259099
LifeSpan Biosciences
catalog: LS-C259099
domestic rabbit polyclonal
reactivity:
human
conjugate: AP
modification: phosphorylated
application:
ELISA
quantity:
price:
to the supplier
IKBKB / IKK2 / IKK Beta Antibody (phospho-Ser177, APC) LS-C259101
LifeSpan Biosciences
catalog: LS-C259101
domestic rabbit polyclonal
reactivity:
human
conjugate: APC
modification: phosphorylated
application:
ELISA
quantity:
price:
to the supplier
IKBKB / IKK2 / IKK Beta Antibody (phospho-Ser177, Biotin) LS-C259102
LifeSpan Biosciences
catalog: LS-C259102
domestic rabbit polyclonal
reactivity:
human
conjugate: biotin
modification: phosphorylated
application:
ELISA
quantity:
price:
to the supplier
IKBKB / IKK2 / IKK Beta Antibody (phospho-Ser177, FITC) LS-C259103
LifeSpan Biosciences
catalog: LS-C259103
domestic rabbit polyclonal
reactivity:
human
conjugate: FITC
modification: phosphorylated
application:
ELISA
quantity:
price:
to the supplier
IKBKB / IKK2 / IKK Beta Antibody (phospho-Ser177, Azide-free, HRP) LS-C259104
LifeSpan Biosciences
catalog: LS-C259104
domestic rabbit polyclonal
reactivity:
human
conjugate: HRP
modification: phosphorylated
application:
ELISA
quantity:
price:
to the supplier
IKBKB / IKK2 / IKK Beta Antibody (phospho-Ser177, PE) LS-C259105
LifeSpan Biosciences
catalog: LS-C259105
domestic rabbit polyclonal
reactivity:
human
conjugate: PE
modification: phosphorylated
application:
ELISA
quantity:
price:
to the supplier
IKBKB / IKK2 / IKK Beta Antibody (phospho-Ser466, AP) LS-C259106
LifeSpan Biosciences
catalog: LS-C259106
domestic rabbit polyclonal
reactivity:
human
conjugate: AP
modification: phosphorylated
application:
ELISA
quantity:
price:
to the supplier
IKBKB / IKK2 / IKK Beta Antibody (phospho-Ser466, Biotin) LS-C259107
LifeSpan Biosciences
catalog: LS-C259107
domestic rabbit polyclonal
reactivity:
human
conjugate: biotin
modification: phosphorylated
application:
ELISA
quantity:
price:
to the supplier
IKBKB / IKK2 / IKK Beta Antibody (phospho-Ser466, APC) LS-C259108
LifeSpan Biosciences
catalog: LS-C259108
domestic rabbit polyclonal
reactivity:
human
conjugate: APC
modification: phosphorylated
application:
ELISA
quantity:
price:
to the supplier
IKBKB / IKK2 / IKK Beta Antibody (phospho-Ser466, FITC) LS-C259109
LifeSpan Biosciences
catalog: LS-C259109
domestic rabbit polyclonal
reactivity:
human
conjugate: FITC
modification: phosphorylated
application:
ELISA
quantity:
price:
to the supplier
IKBKB / IKK2 / IKK Beta Antibody (phospho-Ser466, Azide-free, HRP) LS-C259110
LifeSpan Biosciences
catalog: LS-C259110
domestic rabbit polyclonal
reactivity:
human
conjugate: HRP
modification: phosphorylated
application:
ELISA
quantity:
price:
to the supplier
IKBKB / IKK2 / IKK Beta Antibody (phospho-Ser466, PE) LS-C259111
LifeSpan Biosciences
catalog: LS-C259111
domestic rabbit polyclonal
reactivity:
human
conjugate: PE
modification: phosphorylated
application:
ELISA
quantity:
price:
to the supplier
IKBKB / IKK2 / IKK Beta Antibody (phospho-Ser670, AP) LS-C259112
LifeSpan Biosciences
catalog: LS-C259112
domestic rabbit polyclonal
reactivity:
human
conjugate: AP
modification: phosphorylated
application:
ELISA
quantity:
price:
to the supplier
IKBKB / IKK2 / IKK Beta Antibody (phospho-Ser670, APC) LS-C259113
LifeSpan Biosciences
catalog: LS-C259113
domestic rabbit polyclonal
reactivity:
human
conjugate: APC
modification: phosphorylated
application:
ELISA
quantity:
price:
to the supplier
IKBKB / IKK2 / IKK Beta Antibody (phospho-Ser670, Biotin) LS-C259114
LifeSpan Biosciences
catalog: LS-C259114
domestic rabbit polyclonal
reactivity:
human
conjugate: biotin
modification: phosphorylated
application:
ELISA
quantity:
price:
to the supplier
IKBKB / IKK2 / IKK Beta Antibody (phospho-Ser670, Azide-free, HRP) LS-C259115
LifeSpan Biosciences
catalog: LS-C259115
domestic rabbit polyclonal
reactivity:
human
conjugate: HRP
modification: phosphorylated
application:
ELISA
quantity:
price:
to the supplier
IKBKB / IKK2 / IKK Beta Antibody (phospho-Ser670, FITC) LS-C259116
LifeSpan Biosciences
catalog: LS-C259116
domestic rabbit polyclonal
reactivity:
human
conjugate: FITC
modification: phosphorylated
application:
ELISA
quantity:
price:
to the supplier
IKBKB / IKK2 / IKK Beta Antibody (phospho-Ser670, PE) LS-C259117
LifeSpan Biosciences
catalog: LS-C259117
domestic rabbit polyclonal
reactivity:
human
conjugate: PE
modification: phosphorylated
application:
ELISA
quantity:
price:
to the supplier
IKBKB / IKK2 / IKK Beta Antibody (phospho-Ser672, AP) LS-C259118
LifeSpan Biosciences
catalog: LS-C259118
domestic rabbit polyclonal
reactivity:
human
conjugate: AP
modification: phosphorylated
application:
ELISA
quantity:
price:
to the supplier
IKBKB / IKK2 / IKK Beta Antibody (phospho-Ser672, APC) LS-C259119
LifeSpan Biosciences
catalog: LS-C259119
domestic rabbit polyclonal
reactivity:
human
conjugate: APC
modification: phosphorylated
application:
ELISA
quantity:
price:
to the supplier
IKBKB / IKK2 / IKK Beta Antibody (phospho-Ser672, Biotin) LS-C259120
LifeSpan Biosciences
catalog: LS-C259120
domestic rabbit polyclonal
reactivity:
human
conjugate: biotin
modification: phosphorylated
application:
ELISA
quantity:
price:
to the supplier
IKBKB / IKK2 / IKK Beta Antibody (phospho-Ser672, FITC) LS-C259121
LifeSpan Biosciences
catalog: LS-C259121
domestic rabbit polyclonal
reactivity:
human
conjugate: FITC
modification: phosphorylated
application:
ELISA
quantity:
price:
to the supplier
IKBKB / IKK2 / IKK Beta Antibody (phospho-Ser672, PE) LS-C259122
LifeSpan Biosciences
catalog: LS-C259122
domestic rabbit polyclonal
reactivity:
human
conjugate: PE
modification: phosphorylated
application:
ELISA
quantity:
price:
to the supplier
IKBKB / IKK2 / IKK Beta Antibody (phospho-Ser675, Biotin) LS-C259125
LifeSpan Biosciences
catalog: LS-C259125
domestic rabbit polyclonal
reactivity:
human
conjugate: biotin
modification: phosphorylated
application:
ELISA
quantity:
price:
to the supplier
IKBKB / IKK2 / IKK Beta Antibody (phospho-Ser672, Azide-free, HRP) LS-C259126
LifeSpan Biosciences
catalog: LS-C259126
domestic rabbit polyclonal
reactivity:
human
conjugate: HRP
modification: phosphorylated
application:
ELISA
quantity:
price:
to the supplier
IKBKB / IKK2 / IKK Beta Antibody (phospho-Ser675, FITC) LS-C259937
LifeSpan Biosciences
catalog: LS-C259937
domestic rabbit polyclonal
reactivity:
human
conjugate: FITC
modification: phosphorylated
application:
ELISA
quantity:
price:
to the supplier
IKBKB / IKK2 / IKK Beta Antibody (phospho-Ser675, Azide-free, HRP) LS-C259938
LifeSpan Biosciences
catalog: LS-C259938
domestic rabbit polyclonal
reactivity:
human
conjugate: HRP
modification: phosphorylated
application:
ELISA
quantity:
price:
to the supplier
IKBKB / IKK2 / IKK Beta Antibody (phospho-Ser675, PE) LS-C259939
LifeSpan Biosciences
catalog: LS-C259939
domestic rabbit polyclonal
reactivity:
human
conjugate: PE
modification: phosphorylated
application:
ELISA
quantity:
price:
to the supplier
IKBKB / IKK2 / IKK Beta Antibody (phospho-Ser682, AP) LS-C259940
LifeSpan Biosciences
catalog: LS-C259940
domestic rabbit polyclonal
reactivity:
human
conjugate: AP
modification: phosphorylated
application:
ELISA
quantity:
price:
to the supplier
IKBKB / IKK2 / IKK Beta Antibody (phospho-Ser682, APC) LS-C259941
LifeSpan Biosciences
catalog: LS-C259941
domestic rabbit polyclonal
reactivity:
human
conjugate: APC
modification: phosphorylated
application:
ELISA
quantity:
price:
to the supplier
IKBKB / IKK2 / IKK Beta Antibody (phospho-Ser682, Biotin) LS-C259942
LifeSpan Biosciences
catalog: LS-C259942
domestic rabbit polyclonal
reactivity:
human
conjugate: biotin
modification: phosphorylated
application:
ELISA
quantity:
price:
to the supplier
IKBKB / IKK2 / IKK Beta Antibody (phospho-Ser682, FITC) LS-C259943
LifeSpan Biosciences
catalog: LS-C259943
domestic rabbit polyclonal
reactivity:
human
conjugate: FITC
modification: phosphorylated
application:
ELISA
quantity:
price:
to the supplier
IKBKB / IKK2 / IKK Beta Antibody (phospho-Ser682, Azide-free, HRP) LS-C259944
LifeSpan Biosciences
catalog: LS-C259944
domestic rabbit polyclonal
reactivity:
human
conjugate: HRP
modification: phosphorylated
application:
ELISA
quantity:
price:
to the supplier
IKBKB / IKK2 / IKK Beta Antibody (phospho-Ser682, PE) LS-C259945
LifeSpan Biosciences
catalog: LS-C259945
domestic rabbit polyclonal
reactivity:
human
conjugate: PE
modification: phosphorylated
application:
ELISA
quantity:
price:
to the supplier
IKBKB / IKK2 / IKK Beta Antibody (phospho-Ser689, AP) LS-C259946
LifeSpan Biosciences
catalog: LS-C259946
domestic rabbit polyclonal
reactivity:
human
conjugate: AP
modification: phosphorylated
application:
ELISA
quantity:
price:
to the supplier
IKBKB / IKK2 / IKK Beta Antibody (phospho-Ser689, APC) LS-C259947
LifeSpan Biosciences
catalog: LS-C259947
domestic rabbit polyclonal
reactivity:
human
conjugate: APC
modification: phosphorylated
application:
ELISA
quantity:
price:
to the supplier
IKBKB / IKK2 / IKK Beta Antibody (phospho-Ser689, Biotin) LS-C259948
LifeSpan Biosciences
catalog: LS-C259948
domestic rabbit polyclonal
reactivity:
human
conjugate: biotin
modification: phosphorylated
application:
ELISA
quantity:
price:
to the supplier
IKBKB / IKK2 / IKK Beta Antibody (phospho-Ser689, FITC) LS-C259949
LifeSpan Biosciences
catalog: LS-C259949
domestic rabbit polyclonal
reactivity:
human
conjugate: FITC
modification: phosphorylated
application:
ELISA
quantity:
price:
to the supplier
IKBKB / IKK2 / IKK Beta Antibody (phospho-Ser689, Azide-free, HRP) LS-C259950
LifeSpan Biosciences
catalog: LS-C259950
domestic rabbit polyclonal
reactivity:
human
conjugate: HRP
modification: phosphorylated
application:
ELISA
quantity:
price:
to the supplier
IKBKB / IKK2 / IKK Beta Antibody (phospho-Ser689, PE) LS-C259951
LifeSpan Biosciences
catalog: LS-C259951
domestic rabbit polyclonal
reactivity:
human
conjugate: PE
modification: phosphorylated
application:
ELISA
quantity:
price:
to the supplier
IKBKB / IKK2 / IKK Beta Antibody (phospho-Ser692, AP) LS-C259952
LifeSpan Biosciences
catalog: LS-C259952
domestic rabbit polyclonal
reactivity:
human
conjugate: AP
modification: phosphorylated
application:
ELISA
quantity:
price:
to the supplier
IKBKB / IKK2 / IKK Beta Antibody (phospho-Ser692, APC) LS-C259953
LifeSpan Biosciences
catalog: LS-C259953
domestic rabbit polyclonal
reactivity:
human
conjugate: APC
modification: phosphorylated
application:
ELISA
quantity:
price:
to the supplier
IKBKB / IKK2 / IKK Beta Antibody (phospho-Ser692, Biotin) LS-C260027
LifeSpan Biosciences
catalog: LS-C260027
domestic rabbit polyclonal
reactivity:
human
conjugate: biotin
modification: phosphorylated
application:
ELISA
quantity:
price:
to the supplier
IKBKB / IKK2 / IKK Beta Antibody (phospho-Ser692, FITC) LS-C260028
LifeSpan Biosciences
catalog: LS-C260028
domestic rabbit polyclonal
reactivity:
human
conjugate: FITC
modification: phosphorylated
application:
ELISA
quantity:
price:
to the supplier
IKBKB / IKK2 / IKK Beta Antibody (phospho-Ser692, Azide-free, HRP) LS-C260029
LifeSpan Biosciences
catalog: LS-C260029
domestic rabbit polyclonal
reactivity:
human
conjugate: HRP
modification: phosphorylated
application:
ELISA
quantity:
price:
to the supplier
IKBKB / IKK2 / IKK Beta Antibody (phospho-Ser692, PE) LS-C260030
LifeSpan Biosciences
catalog: LS-C260030
domestic rabbit polyclonal
reactivity:
human
conjugate: PE
modification: phosphorylated
application:
ELISA
quantity:
price:
to the supplier
IKBKB / IKK2 / IKK Beta Antibody (phospho-Ser697, AP) LS-C260031
LifeSpan Biosciences
catalog: LS-C260031
domestic rabbit polyclonal
reactivity:
human
conjugate: AP
modification: phosphorylated
application:
ELISA
quantity:
price:
to the supplier
IKBKB / IKK2 / IKK Beta Antibody (phospho-Ser697, APC) LS-C260032
LifeSpan Biosciences
catalog: LS-C260032
domestic rabbit polyclonal
reactivity:
human
conjugate: APC
modification: phosphorylated
application:
ELISA
quantity:
price:
to the supplier
IKBKB / IKK2 / IKK Beta Antibody (phospho-Ser697, Biotin) LS-C260033
LifeSpan Biosciences
catalog: LS-C260033
domestic rabbit polyclonal
reactivity:
human
conjugate: biotin
modification: phosphorylated
application:
ELISA
quantity:
price:
to the supplier
IKBKB / IKK2 / IKK Beta Antibody (phospho-Ser697, FITC) LS-C260034
LifeSpan Biosciences
catalog: LS-C260034
domestic rabbit polyclonal
reactivity:
human
conjugate: FITC
modification: phosphorylated
application:
ELISA
quantity:
price:
to the supplier
IKBKB / IKK2 / IKK Beta Antibody (phospho-Ser697, Azide-free, HRP) LS-C260035
LifeSpan Biosciences
catalog: LS-C260035
domestic rabbit polyclonal
reactivity:
human
conjugate: HRP
modification: phosphorylated
application:
ELISA
quantity:
price:
to the supplier
IKBKB / IKK2 / IKK Beta Antibody (phospho-Ser697, PE) LS-C260036
LifeSpan Biosciences
catalog: LS-C260036
domestic rabbit polyclonal
reactivity:
human
conjugate: PE
modification: phosphorylated
application:
ELISA
quantity:
price:
to the supplier
IKBKB / IKK2 / IKK Beta Antibody (phospho-Ser701, AP) LS-C260037
LifeSpan Biosciences
catalog: LS-C260037
domestic rabbit polyclonal
reactivity:
human
,
mouse
conjugate: AP
modification: phosphorylated
application:
ELISA
quantity:
price:
to the supplier
IKBKB / IKK2 / IKK Beta Antibody (phospho-Ser701, APC) LS-C260038
LifeSpan Biosciences
catalog: LS-C260038
domestic rabbit polyclonal
reactivity:
human
,
mouse
conjugate: APC
modification: phosphorylated
application:
ELISA
quantity:
price:
to the supplier
IKBKB / IKK2 / IKK Beta Antibody (phospho-Ser701, Biotin) LS-C260039
LifeSpan Biosciences
catalog: LS-C260039
domestic rabbit polyclonal
reactivity:
human
,
mouse
conjugate: biotin
modification: phosphorylated
application:
ELISA
quantity:
price:
to the supplier
IKBKB / IKK2 / IKK Beta Antibody (phospho-Ser701, FITC) LS-C260040
LifeSpan Biosciences
catalog: LS-C260040
domestic rabbit polyclonal
reactivity:
human
,
mouse
conjugate: FITC
modification: phosphorylated
application:
ELISA
quantity:
price:
to the supplier
IKBKB / IKK2 / IKK Beta Antibody (phospho-Ser701, Azide-free, HRP) LS-C260041
LifeSpan Biosciences
catalog: LS-C260041
domestic rabbit polyclonal
reactivity:
human
,
mouse
conjugate: HRP
modification: phosphorylated
application:
ELISA
quantity:
price:
to the supplier
IKBKB / IKK2 / IKK Beta Antibody (phospho-Ser701, PE) LS-C260043
LifeSpan Biosciences
catalog: LS-C260043
domestic rabbit polyclonal
reactivity:
human
,
mouse
conjugate: PE
modification: phosphorylated
application:
ELISA
quantity:
price:
to the supplier
IKBKB / IKK2 / IKK Beta Antibody (phospho-Ser705, AP) LS-C260044
LifeSpan Biosciences
catalog: LS-C260044
domestic rabbit polyclonal
reactivity:
human
conjugate: AP
modification: phosphorylated
application:
ELISA
quantity:
price:
to the supplier
IKBKB / IKK2 / IKK Beta Antibody (phospho-Ser705, APC) LS-C260045
LifeSpan Biosciences
catalog: LS-C260045
domestic rabbit polyclonal
reactivity:
human
conjugate: APC
modification: phosphorylated
application:
ELISA
quantity:
price:
to the supplier
IKBKB / IKK2 / IKK Beta Antibody (phospho-Ser705, Biotin) LS-C260046
LifeSpan Biosciences
catalog: LS-C260046
domestic rabbit polyclonal
reactivity:
human
conjugate: biotin
modification: phosphorylated
application:
ELISA
quantity:
price:
to the supplier
IKBKB / IKK2 / IKK Beta Antibody (phospho-Ser705, FITC) LS-C260047
LifeSpan Biosciences
catalog: LS-C260047
domestic rabbit polyclonal
reactivity:
human
conjugate: FITC
modification: phosphorylated
application:
ELISA
quantity:
price:
to the supplier
IKBKB / IKK2 / IKK Beta Antibody (phospho-Ser705, PE) LS-C260048
LifeSpan Biosciences
catalog: LS-C260048
domestic rabbit polyclonal
reactivity:
human
conjugate: PE
modification: phosphorylated
application:
ELISA
quantity:
price:
to the supplier
IKBKB / IKK2 / IKK Beta Antibody (phospho-Ser733, AP) LS-C260049
LifeSpan Biosciences
catalog: LS-C260049
domestic rabbit polyclonal
reactivity:
human
conjugate: AP
modification: phosphorylated
application:
ELISA
quantity:
price:
to the supplier
IKBKB / IKK2 / IKK Beta Antibody (phospho-Ser733, Biotin) LS-C260050
LifeSpan Biosciences
catalog: LS-C260050
domestic rabbit polyclonal
reactivity:
human
conjugate: biotin
modification: phosphorylated
application:
ELISA
quantity:
price:
to the supplier
IKBKB / IKK2 / IKK Beta Antibody (phospho-Ser733, APC) LS-C260051
LifeSpan Biosciences
catalog: LS-C260051
domestic rabbit polyclonal
reactivity:
human
conjugate: APC
modification: phosphorylated
application:
ELISA
quantity:
price:
to the supplier
IKBKB / IKK2 / IKK Beta Antibody (phospho-Ser705, Azide-free, HRP) LS-C260052
LifeSpan Biosciences
catalog: LS-C260052
domestic rabbit polyclonal
reactivity:
human
conjugate: HRP
modification: phosphorylated
application:
ELISA
quantity:
price:
to the supplier
IKBKB / IKK2 / IKK Beta Antibody (phospho-Ser733, FITC) LS-C260053
LifeSpan Biosciences
catalog: LS-C260053
domestic rabbit polyclonal
reactivity:
human
conjugate: FITC
modification: phosphorylated
application:
ELISA
quantity:
price:
to the supplier
IKBKB / IKK2 / IKK Beta Antibody (phospho-Ser733, Azide-free, HRP) LS-C260054
LifeSpan Biosciences
catalog: LS-C260054
domestic rabbit polyclonal
reactivity:
human
conjugate: HRP
modification: phosphorylated
application:
ELISA
quantity:
price:
to the supplier
IKBKB / IKK2 / IKK Beta Antibody (phospho-Ser733, PE) LS-C260055
LifeSpan Biosciences
catalog: LS-C260055
domestic rabbit polyclonal
reactivity:
human
conjugate: PE
modification: phosphorylated
application:
ELISA
quantity:
price:
to the supplier
IKBKB / IKK2 / IKK Beta Antibody (phospho-Thr180, AP) LS-C260056
LifeSpan Biosciences
catalog: LS-C260056
domestic rabbit polyclonal
reactivity:
human
conjugate: AP
modification: phosphorylated
application:
ELISA
quantity:
price:
to the supplier
IKBKB / IKK2 / IKK Beta Antibody (phospho-Thr180, APC) LS-C260057
LifeSpan Biosciences
catalog: LS-C260057
domestic rabbit polyclonal
reactivity:
human
conjugate: APC
modification: phosphorylated
application:
ELISA
quantity:
price:
to the supplier
IKBKB / IKK2 / IKK Beta Antibody (phospho-Thr180, Biotin) LS-C260058
LifeSpan Biosciences
catalog: LS-C260058
domestic rabbit polyclonal
reactivity:
human
conjugate: biotin
modification: phosphorylated
application:
ELISA
quantity:
price:
to the supplier
IKBKB / IKK2 / IKK Beta Antibody (phospho-Thr180, FITC) LS-C260059
LifeSpan Biosciences
catalog: LS-C260059
domestic rabbit polyclonal
reactivity:
human
conjugate: FITC
modification: phosphorylated
application:
ELISA
quantity:
price:
to the supplier
IKBKB / IKK2 / IKK Beta Antibody (phospho-Thr180, Azide-free, HRP) LS-C260060
LifeSpan Biosciences
catalog: LS-C260060
domestic rabbit polyclonal
reactivity:
human
conjugate: HRP
modification: phosphorylated
application:
ELISA
quantity:
price:
to the supplier
IKBKB / IKK2 / IKK Beta Antibody (phospho-Thr180, PE) LS-C260061
LifeSpan Biosciences
catalog: LS-C260061
domestic rabbit polyclonal
reactivity:
human
conjugate: PE
modification: phosphorylated
application:
ELISA
quantity:
price:
to the supplier
IKBKB / IKK2 / IKK Beta Antibody (phospho-Tyr609, AP) LS-C260062
LifeSpan Biosciences
catalog: LS-C260062
domestic rabbit polyclonal
reactivity:
human
conjugate: AP
modification: phosphorylated
application:
ELISA
quantity:
price:
to the supplier
IKBKB / IKK2 / IKK Beta Antibody (phospho-Tyr609, APC) LS-C260063
LifeSpan Biosciences
catalog: LS-C260063
domestic rabbit polyclonal
reactivity:
human
conjugate: APC
modification: phosphorylated
application:
ELISA
quantity:
price:
to the supplier
IKBKB / IKK2 / IKK Beta Antibody (phospho-Tyr609, Biotin) LS-C260064
LifeSpan Biosciences
catalog: LS-C260064
domestic rabbit polyclonal
reactivity:
human
conjugate: biotin
modification: phosphorylated
application:
ELISA
quantity:
price:
to the supplier
IKBKB / IKK2 / IKK Beta Antibody (phospho-Tyr609, FITC) LS-C260065
LifeSpan Biosciences
catalog: LS-C260065
domestic rabbit polyclonal
reactivity:
human
conjugate: FITC
modification: phosphorylated
application:
ELISA
quantity:
price:
to the supplier
IKBKB / IKK2 / IKK Beta Antibody (phospho-Tyr609, Azide-free, HRP) LS-C260068
LifeSpan Biosciences
catalog: LS-C260068
domestic rabbit polyclonal
reactivity:
human
conjugate: HRP
modification: phosphorylated
application:
ELISA
quantity:
price:
to the supplier
IKBKB / IKK2 / IKK Beta Antibody (phospho-Tyr609, PE) LS-C260069
LifeSpan Biosciences
catalog: LS-C260069
domestic rabbit polyclonal
reactivity:
human
conjugate: PE
modification: phosphorylated
application:
ELISA
quantity:
price:
to the supplier
IKBKB / IKK2 / IKK Beta Antibody (phospho-Tyr199, AP) LS-C278295
LifeSpan Biosciences
catalog: LS-C278295
domestic rabbit polyclonal
reactivity:
human
conjugate: AP
application:
western blot
,
ELISA
quantity:
price:
to the supplier
IKBKB / IKK2 / IKK Beta Antibody (phospho-Tyr199, APC) LS-C278296
LifeSpan Biosciences
catalog: LS-C278296
domestic rabbit polyclonal
reactivity:
human
conjugate: APC
application:
western blot
,
ELISA
quantity:
price:
to the supplier
IKBKB / IKK2 / IKK Beta Antibody (phospho-Tyr199, Biotin) LS-C278297
LifeSpan Biosciences
catalog: LS-C278297
domestic rabbit polyclonal
reactivity:
human
conjugate: biotin
application:
western blot
,
ELISA
quantity:
price:
to the supplier
IKBKB / IKK2 / IKK Beta Antibody (phospho-Tyr199, FITC) LS-C278298
LifeSpan Biosciences
catalog: LS-C278298
domestic rabbit polyclonal
reactivity:
human
conjugate: FITC
application:
western blot
,
ELISA
quantity:
price:
to the supplier
IKBKB / IKK2 / IKK Beta Antibody (phospho-Tyr199, Azide-free, HRP) LS-C278299
LifeSpan Biosciences
catalog: LS-C278299
domestic rabbit polyclonal
reactivity:
human
conjugate: HRP
application:
western blot
,
ELISA
quantity:
price:
to the supplier
IKBKB / IKK2 / IKK Beta Antibody (phospho-Tyr199, PE) LS-C278308
LifeSpan Biosciences
catalog: LS-C278308
domestic rabbit polyclonal
reactivity:
human
conjugate: PE
application:
western blot
,
ELISA
quantity:
price:
to the supplier
IKBKB / IKK2 / IKK Beta Antibody (aa706-756) LS-C288608
LifeSpan Biosciences
catalog: LS-C288608
domestic rabbit polyclonal
reactivity:
human
application:
western blot
,
immunoprecipitation
quantity:
price:
to the supplier
IKBKB / IKK2 / IKK Beta Antibody LS-C308447
LifeSpan Biosciences
catalog: LS-C308447
mouse polyclonal
reactivity:
human
application:
western blot
quantity:
price:
to the supplier
IKBKB / IKK2 / IKK Beta Antibody LS-C310739
LifeSpan Biosciences
catalog: LS-C310739
domestic rabbit polyclonal
reactivity:
human
application:
western blot
quantity:
price:
to the supplier
IKBKB / IKK2 / IKK Beta Antibody LS-C193057
LifeSpan Biosciences
catalog: LS-C193057
domestic rabbit polyclonal
reactivity:
human
application:
western blot
,
immunohistochemistry
Western blot of extracts of various cell lines, using IKK beta antibody.
quantity:
price:
to the supplier
IKBKB / IKK2 / IKK Beta Antibody (phospho-Ser177) LS-C322186
LifeSpan Biosciences
catalog: LS-C322186
domestic rabbit polyclonal
reactivity:
human
application:
ELISA
quantity:
price:
to the supplier
IKBKB / IKK2 / IKK Beta Antibody (phospho-Ser466) LS-C322187
LifeSpan Biosciences
catalog: LS-C322187
domestic rabbit polyclonal
reactivity:
human
application:
ELISA
quantity:
price:
to the supplier
IKBKB / IKK2 / IKK Beta Antibody (phospho-Ser670) LS-C322188
LifeSpan Biosciences
catalog: LS-C322188
domestic rabbit polyclonal
reactivity:
human
application:
ELISA
quantity:
price:
to the supplier
IKBKB / IKK2 / IKK Beta Antibody (phospho-Ser675) LS-C322189
LifeSpan Biosciences
catalog: LS-C322189
domestic rabbit polyclonal
reactivity:
human
application:
ELISA
quantity:
price:
to the supplier
IKBKB / IKK2 / IKK Beta Antibody (phospho-Ser682) LS-C322190
LifeSpan Biosciences
catalog: LS-C322190
domestic rabbit polyclonal
reactivity:
human
application:
ELISA
quantity:
price:
to the supplier
IKBKB / IKK2 / IKK Beta Antibody (phospho-Ser672) LS-C322191
LifeSpan Biosciences
catalog: LS-C322191
domestic rabbit polyclonal
reactivity:
human
application:
ELISA
quantity:
price:
to the supplier
IKBKB / IKK2 / IKK Beta Antibody (phospho-Ser689) LS-C322192
LifeSpan Biosciences
catalog: LS-C322192
domestic rabbit polyclonal
reactivity:
human
application:
ELISA
quantity:
price:
to the supplier
IKBKB / IKK2 / IKK Beta Antibody (phospho-Ser692) LS-C322193
LifeSpan Biosciences
catalog: LS-C322193
domestic rabbit polyclonal
reactivity:
human
application:
ELISA
quantity:
price:
to the supplier
IKBKB / IKK2 / IKK Beta Antibody (phospho-Ser705) LS-C322196
LifeSpan Biosciences
catalog: LS-C322196
domestic rabbit polyclonal
reactivity:
human
application:
ELISA
quantity:
price:
to the supplier
IKBKB / IKK2 / IKK Beta Antibody (phospho-Thr180) LS-C322197
LifeSpan Biosciences
catalog: LS-C322197
domestic rabbit polyclonal
reactivity:
human
application:
ELISA
quantity:
price:
to the supplier
IKBKB / IKK2 / IKK Beta Antibody (phospho-Tyr609) LS-C322198
LifeSpan Biosciences
catalog: LS-C322198
domestic rabbit polyclonal
reactivity:
human
application:
ELISA
quantity:
price:
to the supplier
IKBKB / IKK2 / IKK Beta Antibody (phospho-Ser733) LS-C322200
LifeSpan Biosciences
catalog: LS-C322200
domestic rabbit polyclonal
reactivity:
human
application:
ELISA
quantity:
price:
to the supplier
IKBKB / IKK2 / IKK Beta Antibody (phospho-Tyr199) LS-C327613
LifeSpan Biosciences
catalog: LS-C327613
domestic rabbit polyclonal
reactivity:
human
application:
western blot
,
ELISA
quantity:
price:
to the supplier
IKBKB / IKK2 / IKK Beta Antibody (clone 62AT216) LS-C329168
LifeSpan Biosciences
catalog: LS-C329168
mouse monoclonal (62AT216)
reactivity:
human
application:
western blot
,
ELISA
quantity:
price:
to the supplier
IKBKB / IKK2 / IKK Beta Antibody (phospho-Ser701) LS-C329679
LifeSpan Biosciences
catalog: LS-C329679
domestic rabbit polyclonal
reactivity:
human
,
mouse
application:
ELISA
quantity:
price:
to the supplier
IKBKB / IKK2 / IKK Beta Antibody LS-C331088
LifeSpan Biosciences
catalog: LS-C331088
domestic rabbit polyclonal
reactivity:
human
application:
western blot
,
immunohistochemistry
,
immunocytochemistry
Western blot analysis of extracts of K-562 cells, using IKBKB antibody. The secondary antibody used was an HRP Goat Anti-Rabbit IgG (H+L) at 1:10000 dilution. Lysates were loaded 25ug per lane and 3% nonfat dry milk in TBST was used for blocking.
quantity:
price:
to the supplier
IKBKB / IKK2 / IKK Beta Antibody LS-C331887
LifeSpan Biosciences
catalog: LS-C331887
domestic rabbit polyclonal
reactivity:
human
application:
western blot
,
immunohistochemistry
,
immunocytochemistry
Western blot analysis of extracts of various cell lines.
Immunohistochemistry of paraffin-embedded human lung cancer tissue.
Immunofluorescence analysis of HeLa cells.
quantity:
price:
to the supplier
IKBKB / IKK2 / IKK Beta Antibody (phospho-Tyr199) LS-C336012
LifeSpan Biosciences
catalog: LS-C336012
domestic rabbit polyclonal
reactivity:
human
application:
immunocytochemistry
Immunofluorescence staining of methanol-fixed HeLa cells.
quantity:
price:
to the supplier
IKBKB / IKK2 / IKK Beta Antibody (phospho-Tyr199) LS-C340886
LifeSpan Biosciences
catalog: LS-C340886
domestic rabbit polyclonal
reactivity:
human
application:
western blot
,
immunohistochemistry
quantity:
price:
to the supplier
IKBKB / IKK2 / IKK Beta Antibody (phospho-Tyr188) LS-C342097
LifeSpan Biosciences
catalog: LS-C342097
domestic rabbit polyclonal
reactivity:
human
application:
western blot
,
immunohistochemistry
quantity:
price:
to the supplier
IKBKB / IKK2 / IKK Beta Antibody (aa588-604) LS-C343915
LifeSpan Biosciences
catalog: LS-C343915
domestic rabbit polyclonal
reactivity:
human
application:
western blot
IKBKB antibody Western blot. All lanes: Anti IKBKB at 0.5 ug/ml. Lane 1: Rat Cardiac Muscle Tissue Lysate at 50 ug. Lane 2: Rat Skeletal Muscle Tissue Lysate at 50 ug. Lane 3: PANC Whole Cell Lysate at 40 ug. Lane 4: MCF-7Whole Cell Lysate at 40 ug. Lane 5: HEPG2 Whole Cell Lysate at 40 ug. Lane 6: COLO320 Cell Lysate at 40 ug. Predicted band size: 87 kD. Observed band size: 87 kD.
quantity:
price:
to the supplier
IKBKB / IKK2 / IKK Beta Antibody (aa398-756) LS-C344081
LifeSpan Biosciences
catalog: LS-C344081
domestic rabbit polyclonal
reactivity:
human
application:
western blot
,
immunohistochemistry
,
immunohistochemistry - paraffin section
IKK beta antibody Western blot. All lanes: Anti IKK beta at 0.5 ug/ml. Lane 1: HEPG2 Whole Cell Lysate at 40 ug. Lane 2: COLO320 Whole Cell Lysate at 40 ug. Lane 3: M231 Whole Cell Lysate at 40 ug. Lane 4: HT1080 Whole Cell Lysate at 40 ug. Predicted band size: 87 kD. Observed band size: 87 kD.
IKK beta antibody IHC-paraffin. IHC(P): Human Lung Cancer Tissue.
quantity:
price:
to the supplier
IKBKB / IKK2 / IKK Beta Antibody (phospho-Tyr188) LS-C352369
LifeSpan Biosciences
catalog: LS-C352369
domestic rabbit polyclonal
reactivity:
human
modification: phosphorylated
application:
western blot
,
immunohistochemistry
,
immunohistochemistry - paraffin section
Western blot analysis of IKK beta (pY188) expression in HeLa LPS-treated (A); Raw264.7 LPS-treated (B); PC12 LPS-treated (C) whole cell lysates.
Immunohistochemical analysis of IKK beta (pY188) staining in human breast cancer formalin fixed paraffin embedded tissue section. The section was pre-treated using heat mediated antigen retrieval with sodium citrate buffer (pH 6.0). The section was then incubated with the antibody at room temperature and detected using an HRP conjugated compact polymer system. DAB was used as the chromogen. The section was then counterstained with hematoxylin and mounted with DPX.
quantity:
price:
to the supplier
IKBKB / IKK2 / IKK Beta Antibody (phospho-Tyr199) LS-C352372
LifeSpan Biosciences
catalog: LS-C352372
domestic rabbit polyclonal
reactivity:
human
modification: phosphorylated
application:
western blot
,
immunohistochemistry
,
immunoprecipitation
,
immunohistochemistry - paraffin section
Western blot analysis of IKK beta (pY199) expression in HeLa LPS-treated (A); Raw264.7 LPS-treated (B); PC12 LPS-treated (C) whole cell lysates.
Immunohistochemical analysis of IKK beta (pY199) staining in human breast cancer formalin fixed paraffin embedded tissue section. The section was pre-treated using heat mediated antigen retrieval with sodium citrate buffer (pH 6.0). The section was then incubated with the antibody at room temperature and detected using an HRP conjugated compact polymer system. DAB was used as the chromogen. The section was then counterstained with hematoxylin and mounted with DPX.
quantity:
price:
to the supplier
IKBKB / IKK2 / IKK Beta Antibody (clone IKB355) LS-C357936
LifeSpan Biosciences
catalog: LS-C357936
mouse monoclonal (IKB355)
reactivity:
human
application:
western blot
quantity:
price:
to the supplier
IKBKB / IKK2 / IKK Beta Antibody LS-C357937
LifeSpan Biosciences
catalog: LS-C357937
domestic rabbit polyclonal
reactivity:
human
application:
western blot
,
immunohistochemistry
,
immunohistochemistry - paraffin section
quantity:
price:
to the supplier
IKBKB / IKK2 / IKK Beta Antibody (Internal) LS-C359032
LifeSpan Biosciences
catalog: LS-C359032
domestic rabbit polyclonal
reactivity:
human
application:
western blot
,
immunohistochemistry
,
immunohistochemistry - paraffin section
Western blot analysis of IKK beta expression in THP1 (A); K562 (B); Raw264.7 (C); PC12 (D) whole cell lysates.
Immunohistochemical analysis of IKK beta staining in human prostate cancer formalin fixed paraffin embedded tissue section. The section was pre-treated using heat mediated antigen retrieval with sodium citrate buffer (pH 6.0). The section was then incubated with the antibody at room temperature and detected using an HRP conjugated compact polymer system. DAB was used as the chromogen. The section was then counterstained with hematoxylin and mounted with DPX.
quantity:
price:
to the supplier
IKBKB / IKK2 / IKK Beta Antibody (clone 10A9B6, Azide-free) LS-C368305
LifeSpan Biosciences
catalog: LS-C368305
mouse monoclonal (10A9B6)
reactivity:
human
application:
western blot
,
flow cytometry
quantity:
price:
to the supplier
IKBKB / IKK2 / IKK Beta Antibody (aa1-231) LS-C373753
LifeSpan Biosciences
catalog: LS-C373753
domestic rabbit polyclonal
reactivity:
human
,
mouse
application:
western blot
Western blot of IKBKB / IKK2 / IKK Beta antibody.
quantity:
price:
to the supplier
IKBKB / IKK2 / IKK Beta Antibody (130-210 aa) LS-C381247
LifeSpan Biosciences
catalog: LS-C381247
domestic rabbit polyclonal
reactivity:
human
modification: phosphorylated
application:
western blot
,
ELISA
,
immunohistochemistry
quantity:
price:
to the supplier
IKBKB / IKK2 / IKK Beta Antibody (140-220 aa) LS-C381265
LifeSpan Biosciences
catalog: LS-C381265
domestic rabbit polyclonal
reactivity:
human
modification: phosphorylated
application:
western blot
,
ELISA
,
immunohistochemistry
quantity:
price:
to the supplier
IKBKB / IKK2 / IKK Beta Antibody (140-220 aa) LS-C384107
LifeSpan Biosciences
catalog: LS-C384107
domestic rabbit polyclonal
reactivity:
human
application:
ELISA
,
immunohistochemistry
quantity:
price:
to the supplier
IKBKB / IKK2 / IKK Beta Antibody (130-210 aa) LS-C384111
LifeSpan Biosciences
catalog: LS-C384111
domestic rabbit polyclonal
reactivity:
human
application:
western blot
,
ELISA
,
immunohistochemistry
Western blot of IKKbeta antibody
quantity:
price:
to the supplier