Sign in
Sign up
home
>
LifeSpan Biosciences
> LifeSpan Biosciences apolipoprotein F antibody
APOF / Apolipoprotein F Antibody (clone 1D5) LS-C133048
LifeSpan Biosciences
catalog: LS-C133048
mouse monoclonal (1D5)
reactivity:
human
application:
western blot
,
ELISA
Western blot of APOF expression in transfected 293T cell line by APOF antibody.
Detection limit for recombinant GST tagged APOF is 0.1 ng/ml as a capture antibody.
quantity:
price:
to the supplier
APOF / Apolipoprotein F Antibody (aa221-270) LS-C119732
LifeSpan Biosciences
catalog: LS-C119732
domestic rabbit polyclonal
reactivity:
human
application:
western blot
Western blot analysis of lysates from HeLa, Jurkat, COLO, and A549 cells, using APOF Antibody. The lane on the right is blocked with the synthesized peptide.
quantity:
price:
to the supplier
APOF / Apolipoprotein F Antibody (aa175-224) LS-C135000
LifeSpan Biosciences
catalog: LS-C135000
domestic rabbit polyclonal
reactivity:
human
,
rat
application:
western blot
quantity:
price:
to the supplier
IHC-plus™ APOF / Apolipoprotein F Antibody (aa313-325) LS-B6477
LifeSpan Biosciences
catalog: LS-B6477
domestic goat polyclonal
reactivity:
human
application:
western blot
,
immunohistochemistry
,
immunohistochemistry - paraffin section
Antibody (0.5 ug/ml) staining of Human Liver lysate (35 ug protein in RIPA buffer). Primary incubation was 1 hour. Detected by chemiluminescence.
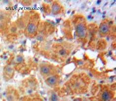
Anti-APOF / Apolipoprotein F antibody IHC of human liver. Immunohistochemistry of formalin-fixed, paraffin-embedded tissue after heat-induced antigen retrieval. Antibody concentration 1.25 ug/ml.
quantity:
price:
to the supplier
APOF / Apolipoprotein F Antibody (aa111-138) LS-C156422
LifeSpan Biosciences
catalog: LS-C156422
domestic rabbit polyclonal
reactivity:
human
application:
western blot
,
immunohistochemistry
,
immunohistochemistry - paraffin section
APOF Antibody western blot of CEM cell line lysates (35 ug/lane). The APOF antibody detected the APOF protein (arrow).
APOF antibody immunohistochemistry of formalin-fixed and paraffin-embedded human hepatocarcinoma followed by peroxidase-conjugated secondary antibody and DAB staining.
quantity:
price:
to the supplier
APOF / Apolipoprotein F Antibody (Glu258) LS-C192112
LifeSpan Biosciences
catalog: LS-C192112
domestic rabbit polyclonal
reactivity:
human
application:
western blot
quantity:
price:
to the supplier
APOF / Apolipoprotein F Antibody (aa209-258) LS-C200135
LifeSpan Biosciences
catalog: LS-C200135
domestic rabbit polyclonal
reactivity:
human
application:
western blot
Western blot analysis of the lysates from COLO205 cells using APOF antibody.
quantity:
price:
to the supplier
APOF / Apolipoprotein F Antibody (aa111-138, AP) LS-C251543
LifeSpan Biosciences
catalog: LS-C251543
domestic rabbit polyclonal
reactivity:
human
conjugate: AP
application:
western blot
,
ELISA
,
immunohistochemistry
quantity:
price:
to the supplier
APOF / Apolipoprotein F Antibody (aa111-138, APC) LS-C251544
LifeSpan Biosciences
catalog: LS-C251544
domestic rabbit polyclonal
reactivity:
human
conjugate: APC
application:
western blot
,
ELISA
,
immunohistochemistry
quantity:
price:
to the supplier
APOF / Apolipoprotein F Antibody (aa111-138, Biotin) LS-C251545
LifeSpan Biosciences
catalog: LS-C251545
domestic rabbit polyclonal
reactivity:
human
conjugate: biotin
application:
western blot
,
ELISA
,
immunohistochemistry
quantity:
price:
to the supplier
APOF / Apolipoprotein F Antibody (aa111-138, FITC) LS-C251546
LifeSpan Biosciences
catalog: LS-C251546
domestic rabbit polyclonal
reactivity:
human
conjugate: FITC
application:
western blot
,
ELISA
,
immunohistochemistry
quantity:
price:
to the supplier
APOF / Apolipoprotein F Antibody (aa111-138, Azide-free, HRP) LS-C251547
LifeSpan Biosciences
catalog: LS-C251547
domestic rabbit polyclonal
reactivity:
human
conjugate: HRP
application:
western blot
,
ELISA
,
immunohistochemistry
quantity:
price:
to the supplier
APOF / Apolipoprotein F Antibody (aa111-138, PE) LS-C251548
LifeSpan Biosciences
catalog: LS-C251548
domestic rabbit polyclonal
reactivity:
human
conjugate: PE
application:
western blot
,
ELISA
,
immunohistochemistry
quantity:
price:
to the supplier
APOF / Apolipoprotein F Antibody (aa122-307) LS-C292908
LifeSpan Biosciences
catalog: LS-C292908
domestic rabbit polyclonal
reactivity:
human
application:
western blot
Western Blot; Sample: Mouse Cerebrum lysate; ;Primary Ab: 2µg/mL Rabbit Anti-Human APOF Antibody;Second Ab: 0.2µg/mL HRP-Linked Caprine Anti-Rabbit IgG Polyclonal Antibody;
quantity:
price:
to the supplier
APOF / Apolipoprotein F Antibody (aa111-314) LS-C292909
LifeSpan Biosciences
catalog: LS-C292909
domestic rabbit polyclonal
reactivity:
human
,
mouse
application:
western blot
Western Blot; Sample: Mouse Lung lysate; Primary Ab: 2µg/mL Rabbit Anti-Mouse APOF Antibody Second Ab: 0.2µg/mL HRP-Linked Caprine Anti-Rabbit IgG Polyclonal Antibody
quantity:
price:
to the supplier
APOF / Apolipoprotein F Antibody LS-C309479
LifeSpan Biosciences
catalog: LS-C309479
domestic rabbit polyclonal
reactivity:
human
application:
western blot
quantity:
price:
to the supplier
APOF / Apolipoprotein F Antibody (aa111-138) LS-C319546
LifeSpan Biosciences
catalog: LS-C319546
domestic rabbit polyclonal
reactivity:
human
application:
western blot
,
ELISA
,
immunohistochemistry
quantity:
price:
to the supplier
APOF / Apolipoprotein F Antibody LS-C347611
LifeSpan Biosciences
catalog: LS-C347611
domestic rabbit polyclonal
reactivity:
human
application:
western blot
,
immunohistochemistry
quantity:
price:
to the supplier
APOF / Apolipoprotein F Antibody (C-Terminus) LS-C351824
LifeSpan Biosciences
catalog: LS-C351824
domestic rabbit polyclonal
reactivity:
human
application:
western blot
,
immunoprecipitation
Western blot analysis of Apolipoprotein F expression in HeLa (A); NIH3T3 (B); H9C2 (C) whole cell lysates.
quantity:
price:
to the supplier
APOF / Apolipoprotein F Antibody LS-C356821
LifeSpan Biosciences
catalog: LS-C356821
domestic rabbit polyclonal
reactivity:
human
application:
western blot
All lanes : Anti-Apolipoprotein F Antibody at 1:1000 dilution Lane 1: human liver lysates Lane 2: HeLa whole cell lysates Lysates/proteins at 20 ug per lane. Secondary Goat Anti-Rabbit IgG, (H+L),Peroxidase conjugated at 1/10000 dilution Predicted band size : 35 kDa Blocking/Dilution buffer: 5% NFDM/TBST.
quantity:
price:
to the supplier
APOF / Apolipoprotein F Antibody (190-270 aa, C-terminal) LS-C382065
LifeSpan Biosciences
catalog: LS-C382065
domestic rabbit polyclonal
reactivity:
human
application:
western blot
,
ELISA
Western blot of ApoF antibody
quantity:
price:
to the supplier