Sign in
Sign up
home
>
LifeSpan Biosciences
> LifeSpan Biosciences NRG1 antibody
NRG1 / Heregulin / Neuregulin Antibody (clone 7D5) LS-C88005
LifeSpan Biosciences
catalog: LS-C88005
mouse monoclonal (7D5)
reactivity:
human
,
rat
application:
western blot
,
immunohistochemistry
,
immunoprecipitation
,
immunohistochemistry - paraffin section
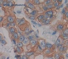
Formalin-fixed, paraffin-embedded human prostate carcinoma stained with peroxidase-conjugate and DAB chromogen. Note cytoplasmic staining of tumor cells. This image was taken for the unmodified form of this product. Other forms have not been tested.
quantity:
price:
to the supplier
NRG1 / Heregulin / Neuregulin Antibody (clone 7D5, Biotin) LS-C88006
LifeSpan Biosciences
catalog: LS-C88006
mouse monoclonal (7D5)
reactivity:
human
,
rat
conjugate: biotin
application:
western blot
,
immunohistochemistry
,
immunoprecipitation
,
immunohistochemistry - paraffin section
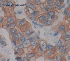
Formalin-fixed, paraffin-embedded human prostate carcinoma stained with peroxidase-conjugate and DAB chromogen. Note cytoplasmic staining of tumor cells. This image was taken for the unmodified form of this product. Other forms have not been tested.
quantity:
price:
to the supplier
NRG1 / Heregulin / Neuregulin Antibody LS-C86129
LifeSpan Biosciences
catalog: LS-C86129
domestic rabbit polyclonal
reactivity:
human
application:
western blot
quantity:
price:
to the supplier
NRG1 / Heregulin / Neuregulin Antibody (Biotin) LS-C88724
LifeSpan Biosciences
catalog: LS-C88724
domestic rabbit polyclonal
reactivity:
human
conjugate: biotin
application:
western blot
,
neutralization
quantity:
price:
to the supplier
NRG1 / Heregulin / Neuregulin Antibody (aa614-639) LS-C92619
LifeSpan Biosciences
catalog: LS-C92619
domestic rabbit polyclonal
reactivity:
human
application:
western blot
,
ELISA
quantity:
price:
to the supplier
NRG1 / Heregulin / Neuregulin Antibody (Biotin) LS-C104552
LifeSpan Biosciences
catalog: LS-C104552
domestic rabbit polyclonal
reactivity:
human
conjugate: biotin
application:
western blot
,
ELISA
quantity:
price:
to the supplier
IHC-plus™ NRG1 / Heregulin / Neuregulin Antibody (aa1-50) LS-B4958
LifeSpan Biosciences
catalog: LS-B4958
domestic rabbit polyclonal
reactivity:
human
application:
western blot
,
immunohistochemistry
,
immunohistochemistry - paraffin section
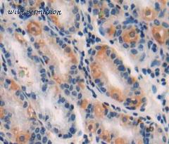
Anti-NRG1 antibody IHC of human tonsil. Immunohistochemistry of formalin-fixed, paraffin-embedded tissue after heat-induced antigen retrieval. Antibody dilution 1:200.
Western blot analysis of lysates from SKOV3 cells, using NRG1 isoform-10 Antibody. The lane on the right is blocked with the synthesized peptide.
quantity:
price:
to the supplier
IHC-plus™ NRG1 / Heregulin / Neuregulin Antibody (aa198-229) LS-B6911
LifeSpan Biosciences
catalog: LS-B6911
domestic rabbit polyclonal
reactivity:
human
application:
western blot
,
immunohistochemistry
,
flow cytometry
,
immunohistochemistry - paraffin section
Anti-NRG1 antibody IHC of human periadrenal brown fat. Immunohistochemistry of formalin-fixed, paraffin-embedded tissue after heat-induced antigen retrieval. Antibody concentration 10 ug/ml.
Western blot of anti-NRG1 Antibody in SK-BR-3 cell line lysates (35 ug/lane). NRG1 (arrow) was detected using the purified antibody.
Flow cytometric of NCI-H460 cells using NRG1 Antibody (bottom histogram) compared to a negative control cell (top histogram). FITC-conjugated goat-anti-rabbit secondary antibodies were used for the analysis.
quantity:
price:
to the supplier
IHC-plus™ NRG1 / Heregulin / Neuregulin Antibody LS-B7486
LifeSpan Biosciences
catalog: LS-B7486
domestic rabbit polyclonal
reactivity:
human
application:
western blot
,
ELISA
,
immunohistochemistry
,
immunohistochemistry - paraffin section
Anti-NRG1 antibody IHC of human brain, cortex. Immunohistochemistry of formalin-fixed, paraffin-embedded tissue after heat-induced antigen retrieval. Antibody concentration 5 ug/ml.
quantity:
price:
to the supplier
IHC-plus™ NRG1 / Heregulin / Neuregulin Antibody (N-Terminus) LS-A9687
LifeSpan Biosciences
catalog: LS-A9687
domestic rabbit polyclonal
reactivity:
human
application:
immunohistochemistry
,
immunohistochemistry - paraffin section
Anti-NRG1 antibody IHC of human skeletal muscle. Immunohistochemistry of formalin-fixed, paraffin-embedded tissue after heat-induced antigen retrieval.
quantity:
price:
to the supplier
IHC-plus™ NRG1 / Heregulin / Neuregulin Antibody (Internal) LS-A9688
LifeSpan Biosciences
catalog: LS-A9688
domestic rabbit polyclonal
reactivity:
human
application:
immunohistochemistry
,
immunohistochemistry - paraffin section
Anti-NRG1 antibody IHC of human skeletal muscle. Immunohistochemistry of formalin-fixed, paraffin-embedded tissue after heat-induced antigen retrieval.
quantity:
price:
to the supplier
NRG1 / Heregulin / Neuregulin Antibody LS-C155180
LifeSpan Biosciences
catalog: LS-C155180
domestic rabbit polyclonal
reactivity:
human
application:
western blot
Sample (30 ug of whole cell lysate) A: 293T 7.5% SDS PAGE NRG1 antibody diluted at 1:2000
quantity:
price:
to the supplier
NRG1 / Heregulin / Neuregulin Antibody (Tyr4) LS-C176066
LifeSpan Biosciences
catalog: LS-C176066
domestic rabbit polyclonal
reactivity:
human
application:
western blot
,
immunohistochemistry
,
immunocytochemistry
,
immunohistochemistry - paraffin section
Western blot of SMDF/Neuregulin 1 (Y4) pAb in extracts from SKOV3 cells.
IHC of SMDF/Neuregulin 1 (Y4) pAb in paraffin-embedded human brain tissue.
quantity:
price:
to the supplier
NRG1 / Heregulin / Neuregulin Antibody (aa198-229, AP) LS-C223502
LifeSpan Biosciences
catalog: LS-C223502
domestic rabbit polyclonal
reactivity:
human
conjugate: AP
application:
western blot
,
ELISA
,
immunohistochemistry
,
flow cytometry
quantity:
price:
to the supplier
NRG1 / Heregulin / Neuregulin Antibody (aa198-229, APC) LS-C223503
LifeSpan Biosciences
catalog: LS-C223503
domestic rabbit polyclonal
reactivity:
human
conjugate: APC
application:
ELISA
,
immunohistochemistry
,
flow cytometry
quantity:
price:
to the supplier
NRG1 / Heregulin / Neuregulin Antibody (aa198-229, PE) LS-C223508
LifeSpan Biosciences
catalog: LS-C223508
domestic rabbit polyclonal
reactivity:
human
conjugate: PE
application:
western blot
,
ELISA
,
immunohistochemistry
,
flow cytometry
quantity:
price:
to the supplier
NRG1 / Heregulin / Neuregulin Antibody (aa20-242) LS-C295569
LifeSpan Biosciences
catalog: LS-C295569
domestic rabbit polyclonal
reactivity:
human
application:
western blot
Western blot of recombinant NRG1 / Heregulin / Neuregulin. This image was taken for the unconjugated form of this product. Other forms have not been tested.
quantity:
price:
to the supplier
NRG1 / Heregulin / Neuregulin Antibody (aa264-393) LS-C295570
LifeSpan Biosciences
catalog: LS-C295570
domestic rabbit polyclonal
reactivity:
human
application:
western blot
Western blot of recombinant NRG1 / Heregulin / Neuregulin. This image was taken for the unconjugated form of this product. Other forms have not been tested.
quantity:
price:
to the supplier
NRG1 / Heregulin / Neuregulin Antibody (aa264-393) LS-C295571
LifeSpan Biosciences
catalog: LS-C295571
domestic rabbit polyclonal
reactivity:
human
,
rat
application:
western blot
Western blot of recombinant NRG1 / Heregulin / Neuregulin. This image was taken for the unconjugated form of this product. Other forms have not been tested.
quantity:
price:
to the supplier
NRG1 / Heregulin / Neuregulin Antibody (aa13-259) LS-C295572
LifeSpan Biosciences
catalog: LS-C295572
domestic rabbit polyclonal
reactivity:
human
,
rat
application:
western blot
Western Blot; Sample: Recombinant protein.
quantity:
price:
to the supplier
NRG1 / Heregulin / Neuregulin Antibody (aa13-259) LS-C295573
LifeSpan Biosciences
catalog: LS-C295573
domestic rabbit polyclonal
reactivity:
human
,
rat
application:
western blot
Western Blot; Sample: Recombinant protein.
quantity:
price:
to the supplier
NRG1 / Heregulin / Neuregulin Antibody (aa20-242, Biotin) LS-C299578
LifeSpan Biosciences
catalog: LS-C299578
domestic rabbit polyclonal
reactivity:
human
conjugate: biotin
application:
western blot
Western blot of recombinant NRG1 / Heregulin / Neuregulin. This image was taken for the unconjugated form of this product. Other forms have not been tested.
quantity:
price:
to the supplier
NRG1 / Heregulin / Neuregulin Antibody (aa264-393, Biotin) LS-C299580
LifeSpan Biosciences
catalog: LS-C299580
domestic rabbit polyclonal
reactivity:
human
,
rat
conjugate: biotin
application:
western blot
Western blot of recombinant NRG1 / Heregulin / Neuregulin. This image was taken for the unconjugated form of this product. Other forms have not been tested.
quantity:
price:
to the supplier
NRG1 / Heregulin / Neuregulin Antibody (aa13-259, Biotin) LS-C301245
LifeSpan Biosciences
catalog: LS-C301245
domestic rabbit polyclonal
reactivity:
human
,
rat
conjugate: biotin
application:
western blot
Western Blot; Sample: Recombinant protein.
quantity:
price:
to the supplier
NRG1 / Heregulin / Neuregulin Antibody (aa13-259, FITC) LS-C302199
LifeSpan Biosciences
catalog: LS-C302199
domestic rabbit polyclonal
reactivity:
human
,
rat
conjugate: FITC
application:
western blot
Western Blot; Sample: Recombinant protein.
quantity:
price:
to the supplier
NRG1 / Heregulin / Neuregulin Antibody (aa617-636) LS-C313102
LifeSpan Biosciences
catalog: LS-C313102
domestic rabbit polyclonal
reactivity:
human
application:
western blot
,
immunohistochemistry
,
immunocytochemistry
,
immunohistochemistry - paraffin section
,
immunohistochemistry - frozen section
NRG1 / Heregulin / Neuregulin antibody. IHC(F): Rat Intestine Tissue.
WB of NRG1 / Heregulin / Neuregulin antibody. Lane 1: Rat Spleen Tissue Lysate. Lane 2: Rat Kidney Tissue Lysate. Lane 3: Rat Brain Tissue Lysate. Lane 4: HELA Cell Lysate. Lane 5: SMMC Cell Lysate.
quantity:
price:
to the supplier
NRG1 / Heregulin / Neuregulin Antibody (aa20-242, clone C3) LS-C314261
LifeSpan Biosciences
catalog: LS-C314261
mouse monoclonal (C3)
reactivity:
human
application:
western blot
Western Blot; Sample: Human Liver lysate; Primary Ab: 2µg/ml Mouse Anti-Human NRG1 Antibody Second Ab: 0.2µg/mL HRP-Linked Caprine Anti-Mouse IgG Polyclonal Antibody
quantity:
price:
to the supplier
NRG1 / Heregulin / Neuregulin Antibody LS-C192259
LifeSpan Biosciences
catalog: LS-C192259
domestic rabbit polyclonal
reactivity:
human
application:
western blot
,
immunohistochemistry
quantity:
price:
to the supplier
NRG1 / Heregulin / Neuregulin Antibody (aa198-229) LS-C329920
LifeSpan Biosciences
catalog: LS-C329920
domestic rabbit polyclonal
reactivity:
human
application:
western blot
,
ELISA
,
immunohistochemistry
quantity:
price:
to the supplier
NRG1 / Heregulin / Neuregulin Antibody LS-C331068
LifeSpan Biosciences
catalog: LS-C331068
domestic rabbit polyclonal
reactivity:
human
application:
western blot
,
immunohistochemistry
Western blot analysis of extracts of MCF-7 cells, using NRG1 antibody. The secondary antibody used was an HRP Goat Anti-Rabbit IgG (H+L) at 1:10000 dilution. Lysates were loaded 25ug per lane and 3% nonfat dry milk in TBST was used for blocking.
quantity:
price:
to the supplier
NRG1 / Heregulin / Neuregulin Antibody LS-C341079
LifeSpan Biosciences
catalog: LS-C341079
domestic rabbit polyclonal
reactivity:
human
application:
western blot
quantity:
price:
to the supplier
NRG1 / Heregulin / Neuregulin Antibody LS-C344269
LifeSpan Biosciences
catalog: LS-C344269
domestic rabbit polyclonal
reactivity:
human
application:
western blot
Western blot of lysate from RD cell line with NRG1 Antibody (Q212). Antibody was diluted at 1:1000. A goat anti-rabbit IgG H&L (HRP) at 1:5000 dilution was used as the secondary antibody. Lysate at 35 ug.
quantity:
price:
to the supplier
NRG1 / Heregulin / Neuregulin Antibody (aa177-237) LS-C347566
LifeSpan Biosciences
catalog: LS-C347566
domestic rabbit polyclonal
reactivity:
human
application:
western blot
quantity:
price:
to the supplier
NRG1 / Heregulin / Neuregulin Antibody (aa177-241) LS-C347569
LifeSpan Biosciences
catalog: LS-C347569
domestic rabbit polyclonal
reactivity:
human
application:
western blot
quantity:
price:
to the supplier
NRG1 / Heregulin / Neuregulin Antibody (N-Terminus) LS-C352317
LifeSpan Biosciences
catalog: LS-C352317
domestic rabbit polyclonal
reactivity:
human
application:
western blot
,
immunocytochemistry
Western blot analysis of Neuregulin SMDF expression in A431 (A); A673 (B); SKNMC (C) whole cell lysates.
Immunofluorescent analysis of Neuregulin SMDF staining in A431 cells. Formalin-fixed cells were permeabilized with 0.1% Triton X-100 in TBS for 5-10 minutes and blocked with 3% BSA-PBS for 30 minutes at room temperature. Cells were probed with the primary antibody in 3% BSA-PBS and incubated overnight at 4 C in a humidified chamber. Cells were washed with PBST and incubated with a DyLight 594-conjugated secondary antibody (red) in PBS at room temperature in the dark. DAPI was used to stain the cell nuclei (blue).
quantity:
price:
to the supplier
NRG1 / Heregulin / Neuregulin Antibody (N-Terminus) LS-C353742
LifeSpan Biosciences
catalog: LS-C353742
domestic rabbit polyclonal
reactivity:
human
application:
western blot
Western blot analysis of NRG1 expression in HEK293T (A); A549 (B); H9C2 (C) whole cell lysates.
quantity:
price:
to the supplier
NRG1 / Heregulin / Neuregulin Antibody (aa2-241) LS-C357491
LifeSpan Biosciences
catalog: LS-C357491
domestic rabbit polyclonal
reactivity:
human
application:
western blot
NRG1 antibody Western blot. All lanes: Anti NRG1 at 0.5 ug/ml. Lane 1: MCF-7 Whole Cell Lysate at 40 ug. Lane 2: SKOV Whole Cell Lysate at 40 ug. Lane 3: 22RV1 Whole Cell Lysate at 40 ug. Lane 4: COLO320 Whole Cell Lysate at 40 ug. Predicted band size: 70 kD. Observed band size: 70 kD.
quantity:
price:
to the supplier
NRG1 / Heregulin / Neuregulin Antibody (1-80 aa, N-terminal) LS-C384831
LifeSpan Biosciences
catalog: LS-C384831
domestic rabbit polyclonal
reactivity:
human
application:
western blot
,
ELISA
,
immunohistochemistry
,
immunocytochemistry
quantity:
price:
to the supplier
NRG1 / Heregulin / Neuregulin Antibody (N-Terminal) LS-C387089
LifeSpan Biosciences
catalog: LS-C387089
domestic rabbit polyclonal
reactivity:
human
application:
western blot
,
ELISA
Western blot of Neuregulin-1 antibody
quantity:
price:
to the supplier