Sign in
Sign up
home
>
LifeSpan Biosciences
> LifeSpan Biosciences GFAP antibody
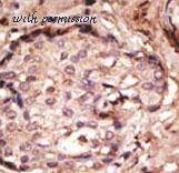
PathPlus™ GFAP Antibody (aa417-430) LS-B2192
LifeSpan Biosciences
catalog: LS-B2192
domestic goat polyclonal
reactivity:
human
application:
western blot
,
immunohistochemistry
,
immunohistochemistry - paraffin section
Anti-GFAP antibody IHC of human brain, cortex, astrocytes. Immunohistochemistry of formalin-fixed, paraffin-embedded tissue after heat-induced antigen retrieval. Antibody concentration 5 ug/ml.
GFAP antibody (0.01µg/ml) staining of Human (A), Mouse (B) and (0.003ug/ml) Rat (C) Brain lysate (35µg protein in RIPA buffer). Detected by chemiluminescence.
GFAP antibody (5ug/ml) as the reporter with EB002015 as the capture rabbit antibody (5ug/ml).
quantity:
price:
to the supplier
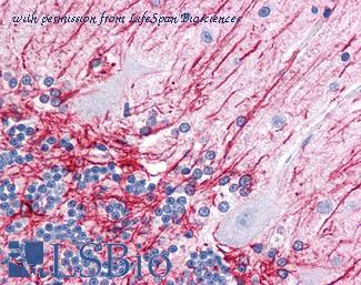
IHC-plus™ GFAP Antibody LS-B4775
LifeSpan Biosciences
catalog: LS-B4775
chicken polyclonal
reactivity:
human
,
bovine
application:
western blot
,
immunohistochemistry
,
immunocytochemistry
,
immunohistochemistry - paraffin section
Anti-GFAP antibody IHC of human cerebellum. Immunohistochemistry of formalin-fixed, paraffin-embedded tissue after heat-induced antigen retrieval. Antibody dilution 1:100.
quantity:
price:
to the supplier
GFAP Antibody LS-C7082
LifeSpan Biosciences
catalog: LS-C7082
mouse monoclonal
reactivity:
human
application:
western blot
,
immunohistochemistry
,
immunocytochemistry
,
immunohistochemistry - paraffin section
quantity:
price:
to the supplier
GFAP Antibody LS-C7108
LifeSpan Biosciences
catalog: LS-C7108
mouse monoclonal
reactivity:
human
application:
immunohistochemistry
,
immunocytochemistry
quantity:
price:
to the supplier
GFAP Antibody LS-C7109
LifeSpan Biosciences
catalog: LS-C7109
domestic rabbit polyclonal
reactivity:
human
,
bovine
application:
immunohistochemistry
,
immunocytochemistry
quantity:
price:
to the supplier
GFAP Antibody LS-C7112
LifeSpan Biosciences
catalog: LS-C7112
domestic rabbit polyclonal
reactivity:
human
application:
western blot
,
ELISA
,
immunohistochemistry
,
immunocytochemistry
,
immunohistochemistry - paraffin section
,
immunohistochemistry - frozen section
quantity:
price:
to the supplier
GFAP Antibody LS-C23810
LifeSpan Biosciences
catalog: LS-C23810
domestic rabbit polyclonal
reactivity:
human
,
bovine
application:
western blot
,
immunohistochemistry
quantity:
price:
to the supplier
IHC-plus™ GFAP Antibody LS-B285
LifeSpan Biosciences
catalog: LS-B285
domestic rabbit polyclonal
reactivity:
human
application:
immunohistochemistry
,
immunohistochemistry - paraffin section
Anti-GFAP antibody IHC of human brain, cortex. Immunohistochemistry of formalin-fixed, paraffin-embedded tissue after heat-induced antigen retrieval. Antibody dilution 1:500.
quantity:
price:
to the supplier
GFAP Antibody LS-C36441
LifeSpan Biosciences
catalog: LS-C36441
mouse monoclonal
reactivity:
human
application:
western blot
,
immunocytochemistry
quantity:
price:
to the supplier
GFAP Antibody (clone GF-02) LS-C46103
LifeSpan Biosciences
catalog: LS-C46103
mouse monoclonal (GF-02)
reactivity:
human
application:
western blot
,
immunohistochemistry
,
immunocytochemistry
,
immunohistochemistry - frozen section
quantity:
price:
to the supplier
GFAP Antibody (clone GF5) LS-C52093
LifeSpan Biosciences
catalog: LS-C52093
mouse monoclonal (GF5)
reactivity:
human
application:
ELISA
,
immunohistochemistry
,
immunocytochemistry
quantity:
price:
to the supplier
GFAP Antibody LS-C61852
LifeSpan Biosciences
catalog: LS-C61852
domestic rabbit polyclonal
reactivity:
human
,
bovine
application:
western blot
,
immunocytochemistry
quantity:
price:
to the supplier
GFAP Antibody LS-C61853
LifeSpan Biosciences
catalog: LS-C61853
chicken polyclonal
reactivity:
human
,
bovine
application:
western blot
,
immunocytochemistry
quantity:
price:
to the supplier
GFAP Antibody (clone GF 12.24) LS-C85137
LifeSpan Biosciences
catalog: LS-C85137
mouse monoclonal (GF 12.24)
reactivity:
human
application:
immunohistochemistry
,
immunocytochemistry
quantity:
price:
to the supplier
GFAP Antibody LS-C95861
LifeSpan Biosciences
catalog: LS-C95861
domestic rabbit polyclonal
reactivity:
human
,
bovine
application:
immunohistochemistry
,
immunohistochemistry - paraffin section
quantity:
price:
to the supplier
GFAP Antibody LS-C86096
LifeSpan Biosciences
catalog: LS-C86096
domestic rabbit polyclonal
reactivity:
human
application:
immunohistochemistry
,
immunohistochemistry - paraffin section
,
immunohistochemistry - frozen section
quantity:
price:
to the supplier
GFAP Antibody (clone ASTRO6) LS-C87728
LifeSpan Biosciences
catalog: LS-C87728
mouse monoclonal (ASTRO6)
reactivity:
human
application:
western blot
,
immunohistochemistry
,
immunocytochemistry
,
immunohistochemistry - paraffin section
Formalin-fixed, paraffin-embedded human brain stained with peroxidase-conjugate and DAB chromogen. Note cytoplasmic staining of astrocytes. This image was taken for the unmodified form of this product. Other forms have not been tested.
quantity:
price:
to the supplier
IHC-plus™ GFAP Antibody LS-B2801
LifeSpan Biosciences
catalog: LS-B2801
mouse monoclonal
reactivity:
human
application:
western blot
,
immunohistochemistry
,
immunocytochemistry
,
immunoprecipitation
,
immunohistochemistry - paraffin section
Anti-GFAP antibody IHC of human brain, cortex. Immunohistochemistry of formalin-fixed, paraffin-embedded tissue after heat-induced antigen retrieval. Antibody concentration 2 ug/ml.
quantity:
price:
to the supplier
GFAP Antibody (clone GF-01) LS-C96290
LifeSpan Biosciences
catalog: LS-C96290
mouse monoclonal (GF-01)
reactivity:
human
application:
immunohistochemistry
,
immunohistochemistry - frozen section
quantity:
price:
to the supplier
GFAP Antibody (phospho-Ser8) LS-C97082
LifeSpan Biosciences
catalog: LS-C97082
domestic rabbit polyclonal
reactivity:
human
modification: phosphorylated
Dot blot of anti-Phospho-GFAP-S8 Antibody on nitrocellulose membrane. 50ng of Phospho-peptide or Non Phospho-peptide per dot were adsorbed. Antibody working concentrations are 0.5ug per ml.
quantity:
price:
to the supplier
GFAP Antibody (aa10-40) LS-C97676
LifeSpan Biosciences
catalog: LS-C97676
domestic rabbit polyclonal
reactivity:
human
application:
western blot
,
immunohistochemistry
,
immunohistochemistry - paraffin section
Formalin-fixed and paraffin-embedded human cancer tissue reacted with the primary antibody, which was peroxidase-conjugated to the secondary antibody, followed by DAB staining. This data demonstrates the use of this antibody for immunohistochemistry; clinical relevance has not been evaluated. BC = breast carcinoma; HC = hepatocarcinoma.
Western blot of GFAP (arrow) using GFAP Antibody. 293 cell lysates (2 ug/lane) either nontransfected (Lane 1) or transiently transfected with the GFAP gene (Lane 2) (Origene Technologies).
quantity:
price:
to the supplier
GFAP Antibody (aa381-410) LS-C97677
LifeSpan Biosciences
catalog: LS-C97677
domestic rabbit polyclonal
reactivity:
human
application:
western blot
Western blot of GFAP (arrow) using rabbit polyclonal GFAP Antibody (T396). 293 cell lysates (2 ug/lane) either nontransfected (Lane 1) or transiently transfected (Lane 2) with the GFAP gene.
quantity:
price:
to the supplier
PathPlus™ GFAP Antibody (clone GF-01) LS-B3727
LifeSpan Biosciences
catalog: LS-B3727
mouse monoclonal (GF-01)
reactivity:
human
application:
western blot
,
immunohistochemistry
,
immunocytochemistry
,
immunoprecipitation
,
immunohistochemistry - paraffin section
Anti-GFAP antibody IHC of human brain, cerebellum. Immunohistochemistry of formalin-fixed, paraffin-embedded tissue after heat-induced antigen retrieval. Antibody concentration 10 ug/ml.
quantity:
price:
to the supplier
IHC-plus™ GFAP Antibody (clone GA-5) LS-B4512
LifeSpan Biosciences
catalog: LS-B4512
mouse monoclonal (GA-5)
reactivity:
human
application:
western blot
,
immunohistochemistry
,
immunocytochemistry
,
immunoprecipitation
,
immunohistochemistry - paraffin section
Anti-GFAP antibody IHC of human brain, cerebellum. Immunohistochemistry of formalin-fixed, paraffin-embedded tissue after heat-induced antigen retrieval. Antibody concentration 10 ug/ml.
quantity:
price:
to the supplier
GFAP Antibody LS-C121854
LifeSpan Biosciences
catalog: LS-C121854
mouse monoclonal
reactivity:
human
application:
western blot
,
immunohistochemistry
,
immunohistochemistry - paraffin section
,
immunohistochemistry - frozen section
quantity:
price:
to the supplier
GFAP Antibody (C-Terminus) LS-C121855
LifeSpan Biosciences
catalog: LS-C121855
domestic rabbit polyclonal
reactivity:
human
application:
western blot
,
immunohistochemistry
,
immunohistochemistry - paraffin section
quantity:
price:
to the supplier
GFAP Antibody LS-C121856
LifeSpan Biosciences
catalog: LS-C121856
domestic rabbit polyclonal
reactivity:
human
,
bovine
application:
western blot
,
immunohistochemistry
,
immunohistochemistry - paraffin section
quantity:
price:
to the supplier
GFAP Antibody (clone GFA-02) LS-C121875
LifeSpan Biosciences
catalog: LS-C121875
mouse monoclonal (GFA-02)
reactivity:
human
application:
western blot
,
immunohistochemistry
,
flow cytometry
,
immunohistochemistry - paraffin section
,
immunohistochemistry - frozen section
quantity:
price:
to the supplier
GFAP Antibody LS-C121876
LifeSpan Biosciences
catalog: LS-C121876
domestic rabbit polyclonal
reactivity:
human
application:
immunohistochemistry
,
immunohistochemistry - paraffin section
,
immunohistochemistry - frozen section
quantity:
price:
to the supplier
GFAP Antibody LS-C121877
LifeSpan Biosciences
catalog: LS-C121877
mouse monoclonal
reactivity:
human
application:
western blot
,
immunohistochemistry
,
immunocytochemistry
,
immunohistochemistry - paraffin section
,
immunohistochemistry - frozen section
quantity:
price:
to the supplier
GFAP Antibody (clone GF-01) LS-C121878
LifeSpan Biosciences
catalog: LS-C121878
mouse monoclonal (GF-01)
reactivity:
human
application:
western blot
,
ELISA
,
immunohistochemistry
,
immunocytochemistry
,
immunohistochemistry - paraffin section
,
immunohistochemistry - frozen section
quantity:
price:
to the supplier
GFAP Antibody LS-C123602
LifeSpan Biosciences
catalog: LS-C123602
chicken polyclonal
reactivity:
human
,
rat
application:
western blot
,
immunohistochemistry
,
immunocytochemistry
quantity:
price:
to the supplier
GFAP Antibody LS-C123603
LifeSpan Biosciences
catalog: LS-C123603
mouse monoclonal
reactivity:
human
application:
immunohistochemistry
quantity:
price:
to the supplier
PathPlus™ GFAP Antibody LS-B5176
LifeSpan Biosciences
catalog: LS-B5176
domestic rabbit polyclonal
reactivity:
human
,
bovine
application:
immunohistochemistry
,
immunohistochemistry - paraffin section
Anti-GFAP antibody IHC of human brain, cortex. Immunohistochemistry of formalin-fixed, paraffin-embedded tissue after heat-induced antigen retrieval. Antibody dilution 1:50.
quantity:
price:
to the supplier
GFAP Antibody (aa49-98) LS-C135318
LifeSpan Biosciences
catalog: LS-C135318
domestic rabbit polyclonal
reactivity:
human
,
mouse
application:
western blot
quantity:
price:
to the supplier
PathPlus™ GFAP Antibody (clone GFA-02) LS-B5556
LifeSpan Biosciences
catalog: LS-B5556
mouse monoclonal (GFA-02)
reactivity:
human
application:
western blot
,
immunohistochemistry
,
immunoprecipitation
,
flow cytometry
,
immunohistochemistry - paraffin section
,
immunohistochemistry - frozen section
Anti-GFAP antibody IHC of human brain, cerebellum. Immunohistochemistry of formalin-fixed, paraffin-embedded tissue after heat-induced antigen retrieval. Antibody dilution 1:100.
quantity:
price:
to the supplier
GFAP Antibody (clone 2A5) LS-C136776
LifeSpan Biosciences
catalog: LS-C136776
mouse monoclonal (2A5)
reactivity:
human
application:
western blot
,
immunocytochemistry
quantity:
price:
to the supplier
GFAP Antibody LS-C137460
LifeSpan Biosciences
catalog: LS-C137460
domestic rabbit polyclonal
reactivity:
human
application:
western blot
quantity:
price:
to the supplier
GFAP Antibody (clone 5C10) LS-C142476
LifeSpan Biosciences
catalog: LS-C142476
mouse monoclonal (5c10)
reactivity:
human
,
chicken
application:
western blot
,
immunohistochemistry
,
immunocytochemistry
quantity:
price:
to the supplier
GFAP Antibody (clone 6F2) LS-C146753
LifeSpan Biosciences
catalog: LS-C146753
mouse monoclonal (6F2)
reactivity:
human
application:
western blot
,
immunohistochemistry
,
immunohistochemistry - frozen section
quantity:
price:
to the supplier
GFAP Antibody LS-C147836
LifeSpan Biosciences
catalog: LS-C147836
domestic rabbit polyclonal
reactivity:
human
application:
western blot
,
immunohistochemistry
,
immunohistochemistry - paraffin section
,
immunohistochemistry - frozen section
quantity:
price:
to the supplier
GFAP Antibody LS-C149106
LifeSpan Biosciences
catalog: LS-C149106
chicken polyclonal
reactivity:
human
application:
western blot
,
immunohistochemistry
,
immunocytochemistry
quantity:
price:
to the supplier
GFAP Antibody (Preservative Free) LS-C149200
LifeSpan Biosciences
catalog: LS-C149200
domestic rabbit polyclonal
reactivity:
human
application:
ELISA
quantity:
price:
to the supplier
GFAP Antibody (clone SB61b) LS-C149703
LifeSpan Biosciences
catalog: LS-C149703
mouse monoclonal (SB61b)
reactivity:
human
application:
western blot
,
immunohistochemistry
quantity:
price:
to the supplier
GFAP Antibody (clone SB61b, HRP) LS-C149704
LifeSpan Biosciences
catalog: LS-C149704
mouse monoclonal (SB61b)
reactivity:
human
conjugate: HRP
application:
western blot
quantity:
price:
to the supplier
GFAP Antibody (clone SB61b, Biotin) LS-C149705
LifeSpan Biosciences
catalog: LS-C149705
mouse monoclonal (SB61b)
reactivity:
human
conjugate: biotin
application:
western blot
,
ELISA
,
immunohistochemistry
,
immunocytochemistry
quantity:
price:
to the supplier
GFAP Antibody LS-C166439
LifeSpan Biosciences
catalog: LS-C166439
mouse monoclonal
reactivity:
human
application:
western blot
,
immunohistochemistry
,
immunocytochemistry
,
immunohistochemistry - paraffin section
GFAP Antibody western blot of MCF-7 cell line lysates (35 ug/lane). The GFAP antibody detected the GFAP protein (arrow).
GFAP Monoclonal antibody immunohistochemistry of formalin-fixed and paraffin-embedded human brain tissue followed by peroxidase-conjugated secondary antibody and DAB staining. This data demonstrates the use of the GFAP Monoclonal antibody( Ascites) for immunohistochemistry.
Confocal immunofluorescence of GFAP Antibody with brain tissue followed by Alexa Fluor 488-conjugated goat anti-mouse lgG (green). DAPI was used to stain the cell nuclear (blue).
quantity:
price:
to the supplier
GFAP Antibody (clone 6A6) LS-C169258
LifeSpan Biosciences
catalog: LS-C169258
mouse monoclonal (6A6)
reactivity:
human
application:
western blot
,
ELISA
,
immunohistochemistry
,
immunocytochemistry
quantity:
price:
to the supplier
GFAP Antibody (clone OTI2C4) LS-C114453
LifeSpan Biosciences
catalog: LS-C114453
mouse monoclonal (OTI2C4)
reactivity:
human
application:
western blot
,
immunohistochemistry
,
immunocytochemistry
,
immunohistochemistry - paraffin section
HEK293T cells were transfected with the pCMV6-ENTRY control (Left lane) or pCMV6-ENTRY GFAP (Right lane) cDNA for 48 hrs and lysed. Equivalent amounts of cell lysates (5 ug per lane) were separated by SDS-PAGE and immunoblotted with anti-GFAP.
IHC of paraffin-embedded Ovary tissue using anti-GFAP mouse monoclonal antibody. (Dilution 1:50).
Anti-GFAP mouse monoclonal antibody immunofluorescent staining of COS7 cells transiently transfected by pCMV6-ENTRY GFAP.
quantity:
price:
to the supplier
GFAP Antibody (clone OTI4C10) LS-C114454
LifeSpan Biosciences
catalog: LS-C114454
mouse monoclonal (OTI4C10)
reactivity:
human
application:
western blot
,
immunohistochemistry
,
immunocytochemistry
,
immunohistochemistry - paraffin section
HEK293T cells were transfected with the pCMV6-ENTRY control (Left lane) or pCMV6-ENTRY GFAP (Right lane) cDNA for 48 hrs and lysed. Equivalent amounts of cell lysates (5 ug per lane) were separated by SDS-PAGE and immunoblotted with anti-GFAP.
IHC of paraffin-embedded colon tissue using anti-GFAP mouse monoclonal antibody. (Dilution 1:50).
Anti-GFAP mouse monoclonal antibody immunofluorescent staining of COS7 cells transiently transfected by pCMV6-ENTRY GFAP. (The nuclei were counter-stained in blue.).
quantity:
price:
to the supplier
GFAP Antibody (clone OTI4D11) LS-C114456
LifeSpan Biosciences
catalog: LS-C114456
mouse monoclonal (OTI4D11)
reactivity:
human
application:
western blot
,
immunohistochemistry
,
immunohistochemistry - paraffin section
HEK293T cells were transfected with the pCMV6-ENTRY control (Left lane) or pCMV6-ENTRY GFAP (Right lane) cDNA for 48 hrs and lysed. Equivalent amounts of cell lysates (5 ug per lane) were separated by SDS-PAGE and immunoblotted with anti-GFAP.
IHC of paraffin-embedded colon tissue using anti-GFAP mouse monoclonal antibody. (Dilution 1:50).
quantity:
price:
to the supplier
GFAP Antibody (clone OTI5B1) LS-C114457
LifeSpan Biosciences
catalog: LS-C114457
mouse monoclonal (OTI5B1)
reactivity:
human
application:
western blot
,
immunocytochemistry
HEK293T cells were transfected with the pCMV6-ENTRY control (Left lane) or pCMV6-ENTRY GFAP (Right lane) cDNA for 48 hrs and lysed. Equivalent amounts of cell lysates (5 ug per lane) were separated by SDS-PAGE and immunoblotted with anti-GFAP.
Anti-GFAP mouse monoclonal antibody immunofluorescent staining of COS7 cells transiently transfected by pCMV6-ENTRY GFAP. (The nuclei were counter-stained in blue.).
quantity:
price:
to the supplier
GFAP Antibody (clone OTI5D7) LS-C114458
LifeSpan Biosciences
catalog: LS-C114458
mouse monoclonal (OTI5D7)
reactivity:
human
application:
western blot
,
immunohistochemistry
,
immunohistochemistry - paraffin section
HEK293T cells were transfected with the pCMV6-ENTRY control (Left lane) or pCMV6-ENTRY GFAP (Right lane) cDNA for 48 hrs and lysed. Equivalent amounts of cell lysates (5 ug per lane) were separated by SDS-PAGE and immunoblotted with anti-GFAP.
IHC of paraffin-embedded breast tissue using anti-GFAP mouse monoclonal antibody. (Dilution 1:50).
quantity:
price:
to the supplier
GFAP Antibody (clone OTI1B3) LS-C114460
LifeSpan Biosciences
catalog: LS-C114460
mouse monoclonal (OTI1B3)
reactivity:
human
application:
western blot
HEK293T cells were transfected with the pCMV6-ENTRY control (Left lane) or pCMV6-ENTRY GFAP (Right lane) cDNA for 48 hrs and lysed. Equivalent amounts of cell lysates (5 ug per lane) were separated by SDS-PAGE and immunoblotted with anti-GFAP.
quantity:
price:
to the supplier
GFAP Antibody (clone OTI1E11) LS-C114461
LifeSpan Biosciences
catalog: LS-C114461
mouse monoclonal (OTI1E11)
reactivity:
human
application:
western blot
,
immunocytochemistry
HEK293T cells were transfected with the pCMV6-ENTRY control (Left lane) or pCMV6-ENTRY GFAP (Right lane) cDNA for 48 hrs and lysed. Equivalent amounts of cell lysates (5 ug per lane) were separated by SDS-PAGE and immunoblotted with anti-GFAP.
Anti-GFAP mouse monoclonal antibody immunofluorescent staining of COS7 cells transiently transfected by pCMV6-ENTRY GFAP. (The nuclei were counter-stained in blue.).
quantity:
price:
to the supplier
GFAP Antibody (clone OTI2F7) LS-C114462
LifeSpan Biosciences
catalog: LS-C114462
mouse monoclonal (OTI2F7)
reactivity:
human
application:
western blot
,
immunocytochemistry
HEK293T cells were transfected with the pCMV6-ENTRY control (Left lane) or pCMV6-ENTRY GFAP (Right lane) cDNA for 48 hrs and lysed. Equivalent amounts of cell lysates (5 ug per lane) were separated by SDS-PAGE and immunoblotted with anti-GFAP.
Anti-GFAP mouse monoclonal antibody immunofluorescent staining of COS7 cells transiently transfected by pCMV6-ENTRY GFAP. (The nuclei were counter-stained in blue.).
quantity:
price:
to the supplier
GFAP Antibody (Ready-to-Use) LS-C170861
LifeSpan Biosciences
catalog: LS-C170861
domestic rabbit polyclonal
reactivity:
human
,
bovine
application:
immunohistochemistry
quantity:
price:
to the supplier
GFAP Antibody (clone GA-8) LS-C170995
LifeSpan Biosciences
catalog: LS-C170995
mouse monoclonal (GA-8)
reactivity:
human
application:
western blot
,
immunohistochemistry
,
immunohistochemistry - paraffin section
,
immunohistochemistry - frozen section
quantity:
price:
to the supplier
GFAP Antibody (clone GA-8, Magnetic beads) LS-C170996
LifeSpan Biosciences
catalog: LS-C170996
mouse monoclonal (GA-8)
reactivity:
human
conjugate: Bead
application:
immunoprecipitation
quantity:
price:
to the supplier
GFAP Antibody (clone GA-8, Sepharose) LS-C170997
LifeSpan Biosciences
catalog: LS-C170997
mouse monoclonal (GA-8)
reactivity:
human
application:
immunoprecipitation
quantity:
price:
to the supplier
GFAP Antibody (C-Terminus) LS-C172054
LifeSpan Biosciences
catalog: LS-C172054
domestic rabbit polyclonal
reactivity:
human
application:
western blot
,
immunohistochemistry
,
immunohistochemistry - paraffin section
This image was taken for the unconjugated form of this product. Other forms have not been tested.
This image was taken for the unconjugated form of this product. Other forms have not been tested.
quantity:
price:
to the supplier
GFAP Antibody (C-Terminus, Magnetic beads) LS-C172055
LifeSpan Biosciences
catalog: LS-C172055
domestic rabbit polyclonal
reactivity:
human
conjugate: Bead
application:
immunoprecipitation
This image was taken for the unconjugated form of this product. Other forms have not been tested.
This image was taken for the unconjugated form of this product. Other forms have not been tested.
quantity:
price:
to the supplier
GFAP Antibody (phospho-Ser38) LS-C175855
LifeSpan Biosciences
catalog: LS-C175855
domestic rabbit polyclonal
reactivity:
human
modification: phosphorylated
application:
western blot
Western blot of p-GFAP(Ser38) pAb in extracts from HeLa cells and rat brain tissue.
quantity:
price:
to the supplier
GFAP Antibody (Ser38) LS-C175860
LifeSpan Biosciences
catalog: LS-C175860
domestic rabbit polyclonal
reactivity:
human
application:
western blot
Western blot of GFAP(Ser38) pAb in extracts from HeLa cells and rat brain tissue.
quantity:
price:
to the supplier
GFAP Antibody (clone MO389) LS-C179370
LifeSpan Biosciences
catalog: LS-C179370
mouse monoclonal (MO389)
reactivity:
human
application:
western blot
,
immunocytochemistry
quantity:
price:
to the supplier
GFAP Antibody (phospho-Ser8, clone YC10) LS-C179887
LifeSpan Biosciences
catalog: LS-C179887
mouse monoclonal (YC10)
reactivity:
human
modification: phosphorylated
application:
western blot
,
immunocytochemistry
quantity:
price:
to the supplier
GFAP Antibody (clone 4A11) LS-C185314
LifeSpan Biosciences
catalog: LS-C185314
mouse monoclonal (4A11)
reactivity:
human
,
bovine
application:
western blot
,
immunohistochemistry
quantity:
price:
to the supplier
GFAP Antibody (clone 13A187, Biotin) LS-C183382
LifeSpan Biosciences
catalog: LS-C183382
mouse monoclonal (13A187)
reactivity:
human
,
mouse
conjugate: biotin
application:
immunohistochemistry
quantity:
price:
to the supplier
GFAP Antibody (clone 13A188, Cy3) LS-C183383
LifeSpan Biosciences
catalog: LS-C183383
mouse monoclonal (13A188)
reactivity:
human
,
mouse
conjugate: Cy3
application:
immunohistochemistry
,
immunocytochemistry
quantity:
price:
to the supplier
GFAP Antibody (clone 4A11) LS-C188530
LifeSpan Biosciences
catalog: LS-C188530
mouse monoclonal (4A11)
reactivity:
human
,
bovine
application:
western blot
,
radioimmunoassay
,
immunohistochemistry - paraffin section
,
immunohistochemistry - frozen section
quantity:
price:
to the supplier
GFAP Antibody (clone 1B4) LS-C188569
LifeSpan Biosciences
catalog: LS-C188569
mouse monoclonal (1B4)
reactivity:
human
,
bovine
application:
western blot
,
radioimmunoassay
,
immunohistochemistry - paraffin section
,
immunohistochemistry - frozen section
quantity:
price:
to the supplier
GFAP Antibody (clone 2E1) LS-C188570
LifeSpan Biosciences
catalog: LS-C188570
mouse monoclonal (2E1)
reactivity:
human
,
bovine
application:
western blot
,
radioimmunoassay
,
immunohistochemistry - paraffin section
,
immunohistochemistry - frozen section
quantity:
price:
to the supplier
GFAP Antibody (C-Terminus, Sepharose) LS-C172056
LifeSpan Biosciences
catalog: LS-C172056
domestic rabbit polyclonal
reactivity:
human
application:
immunoprecipitation
This image was taken for the unconjugated form of this product. Other forms have not been tested.
This image was taken for the unconjugated form of this product. Other forms have not been tested.
quantity:
price:
to the supplier
GFAP Antibody (clone GF 12.24) LS-C193362
LifeSpan Biosciences
catalog: LS-C193362
mouse monoclonal (GF 12.24)
reactivity:
human
application:
western blot
,
immunohistochemistry
,
immunocytochemistry
quantity:
price:
to the supplier
GFAP Antibody LS-C193740
LifeSpan Biosciences
catalog: LS-C193740
guinea-pigs polyclonal
reactivity:
human
,
bovine
application:
western blot
,
immunohistochemistry
quantity:
price:
to the supplier
GFAP Antibody LS-C195018
LifeSpan Biosciences
catalog: LS-C195018
domestic rabbit polyclonal
reactivity:
human
application:
western blot
,
immunocytochemistry
quantity:
price:
to the supplier
GFAP Antibody LS-C195019
LifeSpan Biosciences
catalog: LS-C195019
chicken polyclonal
reactivity:
human
application:
western blot
,
immunocytochemistry
quantity:
price:
to the supplier
GFAP Antibody LS-C195150
LifeSpan Biosciences
catalog: LS-C195150
chicken polyclonal
reactivity:
human
application:
western blot
,
immunohistochemistry
,
immunocytochemistry
quantity:
price:
to the supplier
GFAP Antibody LS-C195175
LifeSpan Biosciences
catalog: LS-C195175
domestic rabbit polyclonal
reactivity:
human
application:
immunohistochemistry
,
immunocytochemistry
quantity:
price:
to the supplier
GFAP Antibody (clone 8H3) LS-C197290
LifeSpan Biosciences
catalog: LS-C197290
mouse monoclonal (8H3)
reactivity:
human
application:
western blot
,
ELISA
Western Blot analysis of GFAP expression in transfected 293T cell line by GFAP monoclonal antibody (M06), clone 8H3.Lane 1: GFAP transfected lysate (Predicted MW: 49.9 KDa).Lane 2: Non-transfected lysate.
Detection limit for recombinant GST tagged GFAP is 0.3 ng/ml as a capture antibody.
quantity:
price:
to the supplier
GFAP Antibody (aa11-60) LS-C198996
LifeSpan Biosciences
catalog: LS-C198996
domestic rabbit polyclonal
reactivity:
human
application:
western blot
,
immunohistochemistry
,
immunocytochemistry
,
immunohistochemistry - paraffin section
Immunofluorescence analysis of COS7 cells, using GFAP Antibody. The picture on the right is blocked with the synthesized peptide.
Immunohistochemistry analysis of paraffin-embedded human brain tissue, using GFAP Antibody. The picture on the right is blocked with the synthesized peptide.
Western blot analysis of lysates from COLO205 cells, using GFAP Antibody. The lane on the right is blocked with the synthesized peptide.
quantity:
price:
to the supplier
GFAP Antibody (phospho-Ser38) LS-C198997
LifeSpan Biosciences
catalog: LS-C198997
domestic rabbit polyclonal
reactivity:
human
modification: phosphorylated
application:
western blot
,
immunohistochemistry
,
immunocytochemistry
,
immunohistochemistry - paraffin section
Immunofluorescence analysis of COS7 cells, using GFAP (Phospho-Ser38) Antibody. The picture on the right is blocked with the phospho peptide.
Immunohistochemistry analysis of paraffin-embedded human brain, using GFAP (Phospho-Ser38) Antibody. The picture on the right is blocked with the phospho peptide.
Western blot analysis of lysates from HeLa cells, using GFAP (Phospho-Ser38) Antibody. The lane on the right is blocked with the phospho peptide.
quantity:
price:
to the supplier
GFAP Antibody (clone GF-01, Concentrated) LS-C202199
LifeSpan Biosciences
catalog: LS-C202199
mouse monoclonal (GF-01)
reactivity:
human
application:
western blot
,
ELISA
,
immunohistochemistry
,
immunocytochemistry
,
immunohistochemistry - paraffin section
,
immunohistochemistry - frozen section
quantity:
price:
to the supplier
GFAP Antibody (Concentrated) LS-C202539
LifeSpan Biosciences
catalog: LS-C202539
domestic rabbit polyclonal
reactivity:
human
application:
immunohistochemistry
,
immunohistochemistry - paraffin section
,
immunohistochemistry - frozen section
quantity:
price:
to the supplier
GFAP Antibody LS-C203117
LifeSpan Biosciences
catalog: LS-C203117
domestic rabbit polyclonal
reactivity:
human
application:
western blot
,
ELISA
,
immunohistochemistry
,
immunohistochemistry - paraffin section
Immunohistochemistry of human brain tissue slide (Paraffin embedded) using Rabbit Anti-GFAP Polyclonal Antibody. (Left) and Purified Rabbit IgG (Whole molecule) Control (Right).
Western blot of lysates using Rabbit Anti-GFAP Polyclonal Antibody(1 ug/ml). The signal was developed with IRDye 800 Conjugated Goat Anti-Rabbit IgG. Predicted size: 50 KD. Observed size: 50 KD.
quantity:
price:
to the supplier
GFAP Antibody LS-C204526
LifeSpan Biosciences
catalog: LS-C204526
chicken polyclonal
reactivity:
human
application:
western blot
,
immunohistochemistry
,
immunocytochemistry
Western blot of whole rat cerebellum homogenate stained with GFAP antibody, at dilution of 1:100000. A prominent band running with an apparent SDS-PAGE molecular weight of ~50kDa corresponds to rodent GFAP. A lower band at ~45kDa is derived from the GFAP molecule.
Mixed cultures of neurons and glia stained with GFAP antibody (red), and DNA (blue). Astrocytes stain strongly and specifically in a clearly filamentous fashion with this antibody.
quantity:
price:
to the supplier
GFAP Antibody (aa411-422, clone S206A-8) LS-C209542
LifeSpan Biosciences
catalog: LS-C209542
mouse monoclonal (S206A-8)
reactivity:
human
application:
western blot
,
immunohistochemistry
,
immunocytochemistry
quantity:
price:
to the supplier
GFAP Antibody (aa411-422, clone S206A-8, AP) LS-C229111
LifeSpan Biosciences
catalog: LS-C229111
mouse monoclonal (S206A-8)
reactivity:
human
conjugate: AP
application:
western blot
,
immunohistochemistry
,
immunocytochemistry
quantity:
price:
to the supplier
GFAP Antibody (aa411-422, clone S206A-8, APC) LS-C229112
LifeSpan Biosciences
catalog: LS-C229112
mouse monoclonal (S206A-8)
reactivity:
human
conjugate: APC
application:
western blot
,
immunohistochemistry
,
immunocytochemistry
quantity:
price:
to the supplier
GFAP Antibody (aa411-422, clone S206A-8, Biotin) LS-C229113
LifeSpan Biosciences
catalog: LS-C229113
mouse monoclonal (S206A-8)
reactivity:
human
conjugate: biotin
application:
western blot
,
immunohistochemistry
,
immunocytochemistry
quantity:
price:
to the supplier
GFAP Antibody (aa411-422, clone S206A-8, FITC) LS-C229115
LifeSpan Biosciences
catalog: LS-C229115
mouse monoclonal (S206A-8)
reactivity:
human
conjugate: FITC
application:
western blot
,
immunohistochemistry
,
immunocytochemistry
quantity:
price:
to the supplier
GFAP Antibody (aa411-422, clone S206A-8, PerCP) LS-C229116
LifeSpan Biosciences
catalog: LS-C229116
mouse monoclonal (S206A-8)
reactivity:
human
conjugate: PerCP
application:
western blot
,
immunohistochemistry
,
immunocytochemistry
quantity:
price:
to the supplier
GFAP Antibody (aa411-422, clone S206A-8, RPE) LS-C229118
LifeSpan Biosciences
catalog: LS-C229118
mouse monoclonal (S206A-8)
reactivity:
human
conjugate: RPE
application:
western blot
,
immunohistochemistry
,
immunocytochemistry
quantity:
price:
to the supplier
GFAP Antibody (aa411-422, clone S206A-8, Atto 390) LS-C229120
LifeSpan Biosciences
catalog: LS-C229120
mouse monoclonal (S206A-8)
reactivity:
human
application:
western blot
,
immunohistochemistry
,
immunocytochemistry
quantity:
price:
to the supplier
GFAP Antibody (aa411-422, clone S206A-8, Atto 488) LS-C229121
LifeSpan Biosciences
catalog: LS-C229121
mouse monoclonal (S206A-8)
reactivity:
human
conjugate: ATTO 488
application:
western blot
,
immunohistochemistry
,
immunocytochemistry
quantity:
price:
to the supplier
GFAP Antibody (aa411-422, clone S206A-8, Atto 594) LS-C229123
LifeSpan Biosciences
catalog: LS-C229123
mouse monoclonal (S206A-8)
reactivity:
human
conjugate: ATTO 594
application:
western blot
,
immunohistochemistry
,
immunocytochemistry
quantity:
price:
to the supplier
GFAP Antibody (aa411-422, clone S206A-8, APC) LS-C229128
LifeSpan Biosciences
catalog: LS-C229128
mouse monoclonal (S206A-8)
reactivity:
human
conjugate: APC
application:
western blot
,
immunohistochemistry
,
immunocytochemistry
quantity:
price:
to the supplier
GFAP Antibody (aa411-422, clone S206A-8, AP) LS-C229129
LifeSpan Biosciences
catalog: LS-C229129
mouse monoclonal (S206A-8)
reactivity:
human
conjugate: AP
application:
western blot
,
immunohistochemistry
,
immunocytochemistry
quantity:
price:
to the supplier
GFAP Antibody (aa411-422, clone S206A-8, Biotin) LS-C229130
LifeSpan Biosciences
catalog: LS-C229130
mouse monoclonal (S206A-8)
reactivity:
human
conjugate: biotin
application:
western blot
,
immunohistochemistry
,
immunocytochemistry
quantity:
price:
to the supplier
GFAP Antibody (aa411-422, clone S206A-8, FITC) LS-C229131
LifeSpan Biosciences
catalog: LS-C229131
mouse monoclonal (S206A-8)
reactivity:
human
conjugate: FITC
application:
western blot
,
immunohistochemistry
,
immunocytochemistry
quantity:
price:
to the supplier
GFAP Antibody (aa411-422, clone S206A-8, RPE) LS-C229135
LifeSpan Biosciences
catalog: LS-C229135
mouse monoclonal (S206A-8)
reactivity:
human
conjugate: RPE
application:
western blot
,
immunohistochemistry
,
immunocytochemistry
quantity:
price:
to the supplier
GFAP Antibody (aa411-422, clone S206A-8, PerCP) LS-C229136
LifeSpan Biosciences
catalog: LS-C229136
mouse monoclonal (S206A-8)
reactivity:
human
conjugate: PerCP
application:
western blot
,
immunohistochemistry
,
immunocytochemistry
quantity:
price:
to the supplier
GFAP Antibody (aa411-422, clone S206A-8, Atto 488) LS-C230086
LifeSpan Biosciences
catalog: LS-C230086
mouse monoclonal (S206A-8)
reactivity:
human
conjugate: ATTO 488
application:
western blot
,
immunohistochemistry
,
immunocytochemistry
quantity:
price:
to the supplier
GFAP Antibody (aa411-422, clone S206A-8, Atto 390) LS-C230087
LifeSpan Biosciences
catalog: LS-C230087
mouse monoclonal (S206A-8)
reactivity:
human
application:
western blot
,
immunohistochemistry
,
immunocytochemistry
quantity:
price:
to the supplier
GFAP Antibody (clone 183CT3.1.5, AP) LS-C250233
LifeSpan Biosciences
catalog: LS-C250233
mouse monoclonal (183CT3.1.5)
reactivity:
human
conjugate: AP
application:
western blot
,
ELISA
,
immunohistochemistry
,
immunocytochemistry
quantity:
price:
to the supplier
GFAP Antibody (clone 183CT3.1.5, FITC) LS-C250234
LifeSpan Biosciences
catalog: LS-C250234
mouse monoclonal (183CT3.1.5)
reactivity:
human
conjugate: FITC
application:
western blot
,
ELISA
,
immunohistochemistry
,
immunocytochemistry
quantity:
price:
to the supplier
GFAP Antibody (clone 183CT3.1.5, Azide-free, HRP) LS-C250235
LifeSpan Biosciences
catalog: LS-C250235
mouse monoclonal (183CT3.1.5)
reactivity:
human
conjugate: HRP
application:
western blot
,
ELISA
,
immunohistochemistry
,
immunocytochemistry
quantity:
price:
to the supplier
GFAP Antibody (clone 183CT3.1.5, PE) LS-C250236
LifeSpan Biosciences
catalog: LS-C250236
mouse monoclonal (183CT3.1.5)
reactivity:
human
conjugate: PE
application:
western blot
,
ELISA
,
immunohistochemistry
,
immunocytochemistry
quantity:
price:
to the supplier
GFAP Antibody (clone 183CT3.1.5, APC) LS-C250241
LifeSpan Biosciences
catalog: LS-C250241
mouse monoclonal (183CT3.1.5)
reactivity:
human
conjugate: APC
application:
western blot
,
ELISA
,
immunohistochemistry
,
immunocytochemistry
quantity:
price:
to the supplier
GFAP Antibody (aa10-40, Biotin) LS-C277608
LifeSpan Biosciences
catalog: LS-C277608
domestic rabbit polyclonal
reactivity:
human
conjugate: biotin
application:
western blot
,
ELISA
,
immunohistochemistry
quantity:
price:
to the supplier
GFAP Antibody (aa10-40, APC) LS-C277609
LifeSpan Biosciences
catalog: LS-C277609
domestic rabbit polyclonal
reactivity:
human
conjugate: APC
application:
western blot
,
ELISA
,
immunohistochemistry
quantity:
price:
to the supplier
GFAP Antibody (aa10-40, AP) LS-C277610
LifeSpan Biosciences
catalog: LS-C277610
domestic rabbit polyclonal
reactivity:
human
conjugate: AP
application:
western blot
,
ELISA
,
immunohistochemistry
quantity:
price:
to the supplier
GFAP Antibody (aa10-40, FITC) LS-C277611
LifeSpan Biosciences
catalog: LS-C277611
domestic rabbit polyclonal
reactivity:
human
conjugate: FITC
application:
western blot
,
ELISA
,
immunohistochemistry
quantity:
price:
to the supplier
GFAP Antibody (aa10-40, Azide-free, HRP) LS-C277612
LifeSpan Biosciences
catalog: LS-C277612
domestic rabbit polyclonal
reactivity:
human
conjugate: HRP
application:
western blot
,
ELISA
,
immunohistochemistry
quantity:
price:
to the supplier
GFAP Antibody (aa381-410, AP) LS-C277613
LifeSpan Biosciences
catalog: LS-C277613
domestic rabbit polyclonal
reactivity:
human
conjugate: AP
application:
western blot
,
ELISA
quantity:
price:
to the supplier
GFAP Antibody (aa381-410, Biotin) LS-C277614
LifeSpan Biosciences
catalog: LS-C277614
domestic rabbit polyclonal
reactivity:
human
conjugate: biotin
application:
western blot
,
ELISA
quantity:
price:
to the supplier
GFAP Antibody (aa10-40, PE) LS-C277615
LifeSpan Biosciences
catalog: LS-C277615
domestic rabbit polyclonal
reactivity:
human
conjugate: PE
application:
western blot
,
ELISA
,
immunohistochemistry
quantity:
price:
to the supplier
GFAP Antibody (aa381-410, APC) LS-C277616
LifeSpan Biosciences
catalog: LS-C277616
domestic rabbit polyclonal
reactivity:
human
conjugate: APC
application:
western blot
,
ELISA
quantity:
price:
to the supplier
GFAP Antibody (aa381-410, FITC) LS-C277617
LifeSpan Biosciences
catalog: LS-C277617
domestic rabbit polyclonal
reactivity:
human
conjugate: FITC
application:
western blot
,
ELISA
quantity:
price:
to the supplier
GFAP Antibody (aa381-410, Azide-free, HRP) LS-C277618
LifeSpan Biosciences
catalog: LS-C277618
domestic rabbit polyclonal
reactivity:
human
conjugate: HRP
application:
western blot
,
ELISA
quantity:
price:
to the supplier
GFAP Antibody (aa381-410, PE) LS-C277619
LifeSpan Biosciences
catalog: LS-C277619
domestic rabbit polyclonal
reactivity:
human
conjugate: PE
application:
western blot
,
ELISA
quantity:
price:
to the supplier
GFAP Antibody (phospho-Ser8, AP) LS-C277620
LifeSpan Biosciences
catalog: LS-C277620
domestic rabbit polyclonal
reactivity:
human
conjugate: AP
modification: phosphorylated
application:
ELISA
quantity:
price:
to the supplier
GFAP Antibody (phospho-Ser8, APC) LS-C277621
LifeSpan Biosciences
catalog: LS-C277621
domestic rabbit polyclonal
reactivity:
human
conjugate: APC
modification: phosphorylated
application:
ELISA
quantity:
price:
to the supplier
GFAP Antibody (phospho-Ser8, Biotin) LS-C277622
LifeSpan Biosciences
catalog: LS-C277622
domestic rabbit polyclonal
reactivity:
human
conjugate: biotin
modification: phosphorylated
application:
ELISA
quantity:
price:
to the supplier
GFAP Antibody (phospho-Ser8, FITC) LS-C277629
LifeSpan Biosciences
catalog: LS-C277629
domestic rabbit polyclonal
reactivity:
human
conjugate: FITC
modification: phosphorylated
application:
ELISA
quantity:
price:
to the supplier
GFAP Antibody (phospho-Ser8, PE) LS-C277630
LifeSpan Biosciences
catalog: LS-C277630
domestic rabbit polyclonal
reactivity:
human
conjugate: PE
modification: phosphorylated
application:
ELISA
quantity:
price:
to the supplier
GFAP Antibody (phospho-Ser8, Azide-free, HRP) LS-C277631
LifeSpan Biosciences
catalog: LS-C277631
domestic rabbit polyclonal
reactivity:
human
conjugate: HRP
modification: phosphorylated
application:
ELISA
quantity:
price:
to the supplier
GFAP Antibody LS-C285518
LifeSpan Biosciences
catalog: LS-C285518
domestic rabbit polyclonal
reactivity:
human
application:
western blot
,
ELISA
,
immunohistochemistry
quantity:
price:
to the supplier
GFAP Antibody (aa254-374) LS-C294198
LifeSpan Biosciences
catalog: LS-C294198
domestic rabbit polyclonal
reactivity:
human
application:
western blot
Western Blot; Sample: Lane1: Mouse Brain Tissue; Lane2: Rat Brain Tissue.
quantity:
price:
to the supplier
GFAP Antibody (aa253-354) LS-C294200
LifeSpan Biosciences
catalog: LS-C294200
domestic rabbit polyclonal
reactivity:
human
,
mouse
application:
western blot
Western Blot; Sample: Lane1: Mouse Brian Tissue; Lane2: Mouse Cerebellum Tissue; Lane3: Mouse Heart Tissue.
quantity:
price:
to the supplier
GFAP Antibody (aa113-211) LS-C294201
LifeSpan Biosciences
catalog: LS-C294201
domestic rabbit polyclonal
reactivity:
human
,
rat
application:
western blot
Western Blot; Sample: Rat Cerebrum lysate; Primary Ab: 2µg/ml Rabbit Anti-Rat GFAP Antibody Second Ab: 0.2µg/mL HRP-Linked Caprine Anti-Rabbit IgG Polyclonal Antibody
quantity:
price:
to the supplier
GFAP Antibody (aa108-211) LS-C294203
LifeSpan Biosciences
catalog: LS-C294203
domestic rabbit polyclonal
reactivity:
human
,
mouse
application:
western blot
Western Blot; Sample: Mouse Cerebrum lysate; Primary Ab: 2µg/mL Rabbit Anti-Mouse GFAP Antibody Second Ab: 0.2µg/mL HRP-Linked Caprine Anti-Rabbit IgG Polyclonal Antibody
quantity:
price:
to the supplier
GFAP Antibody (aa254-374, Biotin) LS-C299437
LifeSpan Biosciences
catalog: LS-C299437
domestic rabbit polyclonal
reactivity:
human
conjugate: biotin
application:
western blot
Western Blot; Sample: Lane1: Mouse Brain Tissue; Lane2: Rat Brain Tissue.
quantity:
price:
to the supplier
GFAP Antibody (aa113-211, Biotin) LS-C299438
LifeSpan Biosciences
catalog: LS-C299438
domestic rabbit polyclonal
reactivity:
human
,
rat
conjugate: biotin
application:
western blot
Western Blot; Sample: Rat Cerebrum lysate; Primary Ab: 2µg/ml Rabbit Anti-Rat GFAP Antibody Second Ab: 0.2µg/mL HRP-Linked Caprine Anti-Rabbit IgG Polyclonal Antibody
quantity:
price:
to the supplier
GFAP Antibody (aa254-374, FITC) LS-C305066
LifeSpan Biosciences
catalog: LS-C305066
domestic rabbit polyclonal
reactivity:
human
conjugate: FITC
application:
western blot
Western Blot; Sample: Lane1: Mouse Brain Tissue; Lane2: Rat Brain Tissue.
quantity:
price:
to the supplier
GFAP Antibody (aa113-211, FITC) LS-C305067
LifeSpan Biosciences
catalog: LS-C305067
domestic rabbit polyclonal
reactivity:
human
,
rat
conjugate: FITC
application:
western blot
Western Blot; Sample: Rat Cerebrum lysate; Primary Ab: 2µg/ml Rabbit Anti-Rat GFAP Antibody Second Ab: 0.2µg/mL HRP-Linked Caprine Anti-Rabbit IgG Polyclonal Antibody
quantity:
price:
to the supplier
GFAP Antibody (aa300) LS-C305902
LifeSpan Biosciences
catalog: LS-C305902
domestic rabbit polyclonal
reactivity:
human
application:
western blot
quantity:
price:
to the supplier
GFAP Antibody LS-C307695
LifeSpan Biosciences
catalog: LS-C307695
mouse polyclonal
reactivity:
human
application:
western blot
quantity:
price:
to the supplier
GFAP Antibody LS-C310484
LifeSpan Biosciences
catalog: LS-C310484
domestic rabbit polyclonal
reactivity:
human
application:
western blot
,
immunoprecipitation
quantity:
price:
to the supplier
GFAP Antibody LS-C310486
LifeSpan Biosciences
catalog: LS-C310486
domestic rabbit polyclonal
reactivity:
human
application:
western blot
quantity:
price:
to the supplier
GFAP Antibody (clone G-A-5) LS-C312054
LifeSpan Biosciences
catalog: LS-C312054
mouse monoclonal (G-A-5)
reactivity:
human
application:
immunohistochemistry - paraffin section
,
immunohistochemistry - frozen section
IHC of GFAP on FFPE on a Brain tissue.
quantity:
price:
to the supplier
GFAP Antibody (aa292-432, Biotin) LS-C316904
LifeSpan Biosciences
catalog: LS-C316904
domestic rabbit polyclonal
reactivity:
human
conjugate: biotin
application:
western blot
,
ELISA
,
immunohistochemistry
quantity:
price:
to the supplier
GFAP Antibody (FITC) LS-C317122
LifeSpan Biosciences
catalog: LS-C317122
domestic rabbit polyclonal
reactivity:
human
conjugate: FITC
application:
western blot
,
ELISA
,
immunohistochemistry
quantity:
price:
to the supplier
GFAP Antibody (HRP) LS-C317130
LifeSpan Biosciences
catalog: LS-C317130
domestic rabbit polyclonal
reactivity:
human
conjugate: HRP
application:
western blot
,
ELISA
,
immunohistochemistry
quantity:
price:
to the supplier
GFAP Antibody LS-C192644
LifeSpan Biosciences
catalog: LS-C192644
domestic rabbit polyclonal
reactivity:
human
application:
western blot
,
immunohistochemistry
,
immunohistochemistry - paraffin section
Western blot of GFAP pAb in extracts from mouse brain and spinal cord tissues.
Immunohistochemistry (IHC) analysis of p42 MAPK (erk2) pAb in paraffin-embedded Breast cancer tissue.
quantity:
price:
to the supplier
GFAP Antibody (clone 183CT3.1.5) LS-C319161
LifeSpan Biosciences
catalog: LS-C319161
mouse monoclonal (183CT3.1.5)
reactivity:
human
application:
western blot
,
immunohistochemistry
,
immunocytochemistry
quantity:
price:
to the supplier
GFAP Antibody (phospho-Ser8) LS-C327456
LifeSpan Biosciences
catalog: LS-C327456
domestic rabbit polyclonal
reactivity:
human
application:
ELISA
quantity:
price:
to the supplier
GFAP Antibody (aa381-410) LS-C327457
LifeSpan Biosciences
catalog: LS-C327457
domestic rabbit polyclonal
reactivity:
human
application:
western blot
,
ELISA
quantity:
price:
to the supplier
GFAP Antibody (aa10-40) LS-C327460
LifeSpan Biosciences
catalog: LS-C327460
domestic rabbit polyclonal
reactivity:
human
application:
western blot
,
ELISA
,
immunohistochemistry
quantity:
price:
to the supplier
GFAP Antibody LS-C330862
LifeSpan Biosciences
catalog: LS-C330862
domestic rabbit polyclonal
reactivity:
human
application:
western blot
,
immunohistochemistry
,
immunocytochemistry
Immunohistochemistry of paraffin-embedded rat brain using GFAP antibodyat dilution of 1:75 (40x lens).
Western blot analysis of extracts of various cell lines, using GFAP antibody at 1:1000 dilution. The secondary antibody used was an HRP Goat Anti-Rabbit IgG (H+L) at 1:10000 dilution. Lysates were loaded 25ug per lane and 3% nonfat dry milk in TBST was used for blocking. An ECL Kit was used for detection and the exposure time was 90s.
Immunofluorescence analysis of U-251MG cells using GFAP antibodyat dilution of 1:100 (40x lens). Blue: DAPI for nuclear staining.
quantity:
price:
to the supplier
IHC-plus™ GFAP Antibody LS-B11738
LifeSpan Biosciences
catalog: LS-B11738
mouse monoclonal
reactivity:
human
application:
western blot
,
immunohistochemistry
,
immunohistochemistry - paraffin section
,
immunohistochemistry - frozen section
Human Brain, Cerebellum: Formalin-Fixed, Paraffin-Embedded (FFPE)
quantity:
price:
to the supplier
GFAP Antibody (Preservative Free, Biotin) LS-C342898
LifeSpan Biosciences
catalog: LS-C342898
domestic rabbit polyclonal
reactivity:
human
conjugate: biotin
application:
ELISA
quantity:
price:
to the supplier
GFAP Antibody (aa93-432) LS-C343953
LifeSpan Biosciences
catalog: LS-C343953
domestic rabbit polyclonal
reactivity:
human
application:
western blot
,
immunohistochemistry
,
immunohistochemistry - paraffin section
GFAP antibody IHC-paraffin: Mouse Brain Tissue.
quantity:
price:
to the supplier
GFAP Antibody (aa2-36) LS-C344273
LifeSpan Biosciences
catalog: LS-C344273
domestic rabbit polyclonal
reactivity:
human
,
zebrafish
application:
western blot
,
immunohistochemistry
,
immunohistochemistry - paraffin section
Immunohistochemical of paraffin-embedded Z.muscle section using (DANRE) gfap Antibody. Antibody was diluted at 1:25 dilution. A peroxidase-conjugated goat anti-rabbit IgG at 1:400 dilution was used as the secondary antibody, followed by DAB staining.
Western blot of lysates from zebrafish brain, Zebrafish tissue lysate (from left to right) with (DANRE) gfap Antibody. Antibody was diluted at 1:1000 at each lane. A goat anti-rabbit IgG H&L (HRP) at 1:5000 dilution was used as the secondary antibody. Lysates at 35 ug per lane.
quantity:
price:
to the supplier
GFAP Antibody (clone G-A-5) LS-C347458
LifeSpan Biosciences
catalog: LS-C347458
mouse monoclonal (G-A-5)
reactivity:
human
application:
western blot
,
immunohistochemistry
,
immunocytochemistry
,
immunohistochemistry - paraffin section
,
immunohistochemistry - frozen section
quantity:
price:
to the supplier
GFAP Antibody (clone G-A-5, Ready-to-Use) LS-C348468
LifeSpan Biosciences
catalog: LS-C348468
mouse monoclonal (G-A-5)
reactivity:
human
application:
immunohistochemistry - paraffin section
,
immunohistochemistry - frozen section
IHC of GFAP on FFPE on a Brain tissue. This image was taken for the unmodified form of this product. Other forms have not been tested.
quantity:
price:
to the supplier
GFAP Antibody (clone SB16a) LS-C349992
LifeSpan Biosciences
catalog: LS-C349992
mouse monoclonal (SB16a)
reactivity:
human
application:
ELISA
quantity:
price:
to the supplier
GFAP Antibody (clone SB61b, Cy3) LS-C350002
LifeSpan Biosciences
catalog: LS-C350002
mouse monoclonal (SB61b)
reactivity:
human
conjugate: Cy3
application:
immunocytochemistry
quantity:
price:
to the supplier
GFAP Antibody (aa417-432) LS-C357892
LifeSpan Biosciences
catalog: LS-C357892
domestic rabbit polyclonal
reactivity:
human
application:
western blot
,
immunohistochemistry
,
immunohistochemistry - paraffin section
quantity:
price:
to the supplier
GFAP Antibody LS-C357893
LifeSpan Biosciences
catalog: LS-C357893
domestic rabbit polyclonal
reactivity:
human
application:
western blot
,
immunohistochemistry
,
immunohistochemistry - paraffin section
quantity:
price:
to the supplier
GFAP Antibody (clone GA-5) LS-C357895
LifeSpan Biosciences
catalog: LS-C357895
mouse monoclonal (GA-5)
reactivity:
human
application:
western blot
,
ELISA
,
immunohistochemistry
,
immunocytochemistry
,
immunoprecipitation
,
flow cytometry
,
immunohistochemistry - paraffin section
quantity:
price:
to the supplier
GFAP Antibody (N-Terminus) LS-C358771
LifeSpan Biosciences
catalog: LS-C358771
domestic rabbit polyclonal
reactivity:
human
application:
western blot
,
immunocytochemistry
Western blot analysis of GFAP expression in HeLa (A); mouse brain (B); rat muscle (C) whole cell lysates.
Immunofluorescent analysis of GFAP staining in HeLa cells. Formalin-fixed cells were permeabilized with 0.1% Triton X-100 in TBS for 5-10 minutes and blocked with 3% BSA-PBS for 30 minutes at room temperature. Cells were probed with the primary antibody in 3% BSA-PBS and incubated overnight at 4 deg C in a humidified chamber. Cells were washed with PBST and incubated with a DyLight 594-conjugated secondary antibody (red) in PBS at room temperature in the dark. DAPI was used to stain the cell nuclei (blue).
quantity:
price:
to the supplier
GFAP Antibody (N-Terminus) LS-C359007
LifeSpan Biosciences
catalog: LS-C359007
domestic rabbit polyclonal
reactivity:
human
application:
western blot
,
immunohistochemistry
,
immunocytochemistry
,
immunohistochemistry - paraffin section
Western blot analysis of GFAP (pS38) expression in COLO205 (A); mouse brain (B) whole cell lysates.
Immunohistochemical analysis of GFAP (pS38) staining in human brain formalin fixed paraffin embedded tissue section. The section was pre-treated using heat mediated antigen retrieval with sodium citrate buffer (pH 6.0). The section was then incubated with the antibody at room temperature and detected using an HRP conjugated compact polymer system. DAB was used as the chromogen. The section was then counterstained with hematoxylin and mounted with DPX.
Immunofluorescent analysis of GFAP (pS38) staining in COLO205 cells. Formalin-fixed cells were permeabilized with 0.1% Triton X-100 in TBS for 5-10 minutes and blocked with 3% BSA-PBS for 30 minutes at room temperature. Cells were probed with the primary antibody in 3% BSA-PBS and incubated overnight at 4 ??C in a humidified chamber. Cells were washed with PBST and incubated with a DyLight 594-conjugated secondary antibody (red) in PBS at room temperature in the dark. DAPI was used to stain the cell nuclei (blue).
quantity:
price:
to the supplier
GFAP Antibody (30-110 aa) LS-C381565
LifeSpan Biosciences
catalog: LS-C381565
domestic rabbit polyclonal
reactivity:
human
modification: phosphorylated
application:
western blot
,
ELISA
,
immunohistochemistry
,
immunocytochemistry
quantity:
price:
to the supplier
GFAP Antibody (30-110 aa) LS-C383727
LifeSpan Biosciences
catalog: LS-C383727
domestic rabbit polyclonal
reactivity:
human
application:
western blot
,
ELISA
,
immunohistochemistry
,
immunocytochemistry
Western blot of GFAP antibody
quantity:
price:
to the supplier
GFAP Antibody (clone 5C8) LS-C387363
LifeSpan Biosciences
catalog: LS-C387363
mouse monoclonal (5C8)
reactivity:
human
,
rat
application:
western blot
Western blot of GFAP antibody
quantity:
price:
to the supplier
GFAP Antibody LS-C413545
LifeSpan Biosciences
catalog: LS-C413545
mouse monoclonal
reactivity:
human
,
mouse
application:
western blot
,
immunohistochemistry
,
immunohistochemistry - paraffin section
Western blot analysis of GFAP expression in mouse brain (A); rat brain (B) whole cell lysates.
Immunohistochemical analysis of GFAP staining in rat brain formalin fixed paraffin embedded tissue section. The section was pre-treated using heat mediated antigen retrieval with sodium citrate buffer (pH 6.0). The section was then incubated with the antibody at room temperature and detected using an HRP conjugated compact polymer system. DAB was used as the chromogen. The section was then counterstained with hematoxylin and mounted with DPX.
quantity:
price:
to the supplier