Sign in
Sign up
home
>
LifeSpan Biosciences
> LifeSpan Biosciences glucose 6 phosphate dehydrogenase antibody
G6PD Antibody (HRP) LS-C36455
LifeSpan Biosciences
catalog: LS-C36455
domestic goat polyclonal
reactivity:
human
conjugate: HRP
application:
western blot
,
ELISA
,
immunohistochemistry
quantity:
price:
to the supplier
IHC-plus™ G6PD Antibody (clone AT2F6) LS-B3587
LifeSpan Biosciences
catalog: LS-B3587
mouse monoclonal (AT2F6)
reactivity:
human
application:
western blot
,
ELISA
,
immunohistochemistry
,
immunohistochemistry - paraffin section
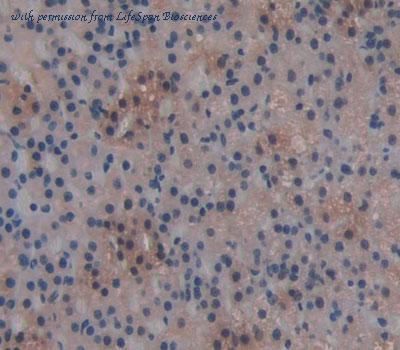
Anti-G6PD antibody IHC of human spleen. Immunohistochemistry of formalin-fixed, paraffin-embedded tissue after heat-induced antigen retrieval. Antibody concentration 5 ug/ml.
Western analysis of MCF7 cell lysates.
quantity:
price:
to the supplier
IHC-plus™ G6PD Antibody (aa305-318) LS-B3252
LifeSpan Biosciences
catalog: LS-B3252
domestic goat polyclonal
reactivity:
human
application:
western blot
,
immunohistochemistry
,
immunohistochemistry - paraffin section
Antibody (0.1 ug/ml) staining of Human Placenta lysate (35 ug protein in RIPA buffer). Primary incubation was 1 hour. Detected by chemiluminescence.
Anti-G6PD antibody IHC of human spleen. Immunohistochemistry of formalin-fixed, paraffin-embedded tissue after heat-induced antigen retrieval. Antibody concentration 5 ug/ml.
quantity:
price:
to the supplier
G6PD Antibody (Biotin) LS-C36454
LifeSpan Biosciences
catalog: LS-C36454
domestic goat polyclonal
reactivity:
human
conjugate: biotin
application:
western blot
,
ELISA
,
immunohistochemistry
,
immunocytochemistry
quantity:
price:
to the supplier
IHC-plus™ G6PD Antibody (aa308-320) LS-B3253
LifeSpan Biosciences
catalog: LS-B3253
domestic goat polyclonal
reactivity:
human
application:
western blot
,
ELISA
,
immunohistochemistry
,
immunohistochemistry - paraffin section
Antibody (0.03 ug/ml) staining of Human Testis lysate (35 ug protein in RIPA buffer). Primary incubation was 1 hour. Detected by chemiluminescence.
Anti-G6PD antibody IHC of human spleen. Immunohistochemistry of formalin-fixed, paraffin-embedded tissue after heat-induced antigen retrieval. Antibody concentration 5 ug/ml.
quantity:
price:
to the supplier
G6PD Antibody LS-C36452
LifeSpan Biosciences
catalog: LS-C36452
domestic goat polyclonal
reactivity:
human
application:
western blot
,
ELISA
quantity:
price:
to the supplier
G6PD Antibody LS-C59231
LifeSpan Biosciences
catalog: LS-C59231
domestic goat polyclonal
reactivity:
human
application:
western blot
,
ELISA
quantity:
price:
to the supplier
G6PD Antibody LS-C86093
LifeSpan Biosciences
catalog: LS-C86093
domestic rabbit polyclonal
reactivity:
human
application:
western blot
,
ELISA
quantity:
price:
to the supplier
G6PD Antibody LS-C96052
LifeSpan Biosciences
catalog: LS-C96052
domestic rabbit monoclonal
reactivity:
human
application:
western blot
quantity:
price:
to the supplier
G6PD Antibody LS-C96053
LifeSpan Biosciences
catalog: LS-C96053
domestic rabbit polyclonal
reactivity:
human
application:
western blot
quantity:
price:
to the supplier
G6PD Antibody (aa180-229) LS-C112198
LifeSpan Biosciences
catalog: LS-C112198
domestic rabbit polyclonal
reactivity:
human
application:
western blot
quantity:
price:
to the supplier
G6PD Antibody (aa35-506) LS-C129264
LifeSpan Biosciences
catalog: LS-C129264
mouse monoclonal
reactivity:
human
application:
western blot
,
ELISA
quantity:
price:
to the supplier
G6PD Antibody LS-C129265
LifeSpan Biosciences
catalog: LS-C129265
domestic goat polyclonal
reactivity:
human
application:
western blot
,
ELISA
quantity:
price:
to the supplier
G6PD Antibody (aa297-326) LS-C166304
LifeSpan Biosciences
catalog: LS-C166304
domestic rabbit polyclonal
reactivity:
human
application:
western blot
,
immunohistochemistry
,
flow cytometry
,
immunohistochemistry - paraffin section
Western blot of G6PD Antibody in K562,MCF-7 cell line lysates (35 ug/lane). G6PD (arrow) was detected using the purified antibody.
G6PD Antibody IHC of formalin-fixed and paraffin-embedded testis followed by peroxidase-conjugated secondary antibody and DAB staining.
G6PD Antibody flow cytometry of MCF-7 cells (bottom histogram) compared to a negative control cell (top histogram). FITC-conjugated goat-anti-rabbit secondary antibodies were used for the analysis.
quantity:
price:
to the supplier
G6PD Antibody (clone 5E+12) LS-C169433
LifeSpan Biosciences
catalog: LS-C169433
mouse monoclonal (5E+12)
reactivity:
human
application:
western blot
,
ELISA
,
immunohistochemistry
,
flow cytometry
quantity:
price:
to the supplier
G6PD Antibody LS-C185054
LifeSpan Biosciences
catalog: LS-C185054
domestic rabbit polyclonal
reactivity:
human
application:
western blot
,
ELISA
quantity:
price:
to the supplier
G6PD Antibody (Biotin) LS-C185056
LifeSpan Biosciences
catalog: LS-C185056
domestic rabbit polyclonal
reactivity:
human
conjugate: biotin
application:
western blot
,
ELISA
quantity:
price:
to the supplier
G6PD Antibody LS-C185057
LifeSpan Biosciences
catalog: LS-C185057
domestic rabbit polyclonal
reactivity:
human
application:
western blot
,
ELISA
quantity:
price:
to the supplier
G6PD Antibody LS-C185058
LifeSpan Biosciences
catalog: LS-C185058
domestic rabbit polyclonal
reactivity:
human
application:
western blot
,
ELISA
quantity:
price:
to the supplier
G6PD Antibody (Biotin) LS-C185059
LifeSpan Biosciences
catalog: LS-C185059
domestic rabbit polyclonal
reactivity:
human
conjugate: biotin
application:
western blot
,
ELISA
quantity:
price:
to the supplier
G6PD Antibody (clone 3H5) LS-C197258
LifeSpan Biosciences
catalog: LS-C197258
mouse monoclonal (3H5)
reactivity:
human
application:
western blot
,
ELISA
G6PD monoclonal antibody (M01), clone 3H5. Western Blot analysis of G6PD expression in human kidney.
Detection limit for recombinant GST tagged G6PD is 3 ng/ml as a capture antibody.
quantity:
price:
to the supplier
G6PD Antibody (Lyophilized) LS-C209622
LifeSpan Biosciences
catalog: LS-C209622
domestic goat polyclonal
reactivity:
human
application:
western blot
,
ELISA
quantity:
price:
to the supplier
G6PD Antibody (Lyophilized, HRP) LS-C209625
LifeSpan Biosciences
catalog: LS-C209625
domestic goat polyclonal
reactivity:
human
conjugate: HRP
application:
western blot
,
ELISA
quantity:
price:
to the supplier
G6PD Antibody (Lyophilized, Biotin) LS-C209630
LifeSpan Biosciences
catalog: LS-C209630
domestic goat polyclonal
reactivity:
human
conjugate: biotin
application:
western blot
,
ELISA
quantity:
price:
to the supplier
G6PD Antibody (aa50-100) LS-C285927
LifeSpan Biosciences
catalog: LS-C285927
domestic rabbit polyclonal
reactivity:
human
application:
immunohistochemistry
,
immunohistochemistry - paraffin section
quantity:
price:
to the supplier
G6PD Antibody (aa1-515) LS-C294210
LifeSpan Biosciences
catalog: LS-C294210
domestic rabbit polyclonal
reactivity:
human
application:
western blot
,
immunocytochemistry
,
immunoprecipitation
Western Blot; Sample: Human Hela cell lysate; Primary Ab: 1µg/ml Rabbit Anti-Human G6PD Antibody Second Ab: 0.2µg/mL HRP-Linked Caprine Anti-Rabbit IgG Polyclonal Antibody
quantity:
price:
to the supplier
G6PD Antibody (aa1-515) LS-C294211
LifeSpan Biosciences
catalog: LS-C294211
domestic rabbit polyclonal
reactivity:
human
,
rat
application:
western blot
Western Blot; Sample: Rat Colon lysate; Primary Ab: 2µg/ml Rabbit Anti-Rat G6PD Antibody Second Ab: 0.2µg/mL HRP-Linked Caprine Anti-Rabbit IgG Polyclonal Antibody
quantity:
price:
to the supplier
G6PD Antibody (aa1-515, Biotin) LS-C297566
LifeSpan Biosciences
catalog: LS-C297566
domestic rabbit polyclonal
reactivity:
human
conjugate: biotin
application:
western blot
Western Blot; Sample: Human Hela cell lysate; Primary Ab: 1µg/ml Rabbit Anti-Human G6PD Antibody Second Ab: 0.2µg/mL HRP-Linked Caprine Anti-Rabbit IgG Polyclonal Antibody
quantity:
price:
to the supplier
G6PD Antibody (aa1-515, Biotin) LS-C297567
LifeSpan Biosciences
catalog: LS-C297567
domestic rabbit polyclonal
reactivity:
human
,
rat
conjugate: biotin
application:
western blot
Western Blot; Sample: Rat Colon lysate; Primary Ab: 2µg/ml Rabbit Anti-Rat G6PD Antibody Second Ab: 0.2µg/mL HRP-Linked Caprine Anti-Rabbit IgG Polyclonal Antibody
quantity:
price:
to the supplier
G6PD Antibody (aa1-515, FITC) LS-C305660
LifeSpan Biosciences
catalog: LS-C305660
domestic rabbit polyclonal
reactivity:
human
,
rat
conjugate: FITC
application:
western blot
Western Blot; Sample: Rat Colon lysate; Primary Ab: 2µg/ml Rabbit Anti-Rat G6PD Antibody Second Ab: 0.2µg/mL HRP-Linked Caprine Anti-Rabbit IgG Polyclonal Antibody
quantity:
price:
to the supplier
G6PD Antibody LS-C310420
LifeSpan Biosciences
catalog: LS-C310420
domestic rabbit polyclonal
reactivity:
human
application:
western blot
quantity:
price:
to the supplier
G6PD Antibody LS-C192780
LifeSpan Biosciences
catalog: LS-C192780
domestic rabbit polyclonal
reactivity:
human
application:
western blot
,
immunohistochemistry
Western blot of extracts of various cell lines, using G6PD antibody.
quantity:
price:
to the supplier
G6PD Antibody LS-C331523
LifeSpan Biosciences
catalog: LS-C331523
domestic rabbit polyclonal
reactivity:
human
application:
western blot
,
immunohistochemistry
Western blot analysis of extracts of various cell lines, using G6PD antibody at 1:1000 dilution. The secondary antibody used was an HRP Goat Anti-Rabbit IgG (H+L) at 1:10000 dilution. Lysates were loaded 25ug per lane and 3% nonfat dry milk in TBST was used for blocking.
quantity:
price:
to the supplier
G6PD Antibody (aa315-515) LS-C344048
LifeSpan Biosciences
catalog: LS-C344048
domestic rabbit polyclonal
reactivity:
human
application:
western blot
G6PD antibody Western blot. All lanes: Anti G6PD at 0.5 ug/ml. Lane 1: HELA Whole Cell Lysate at 40 ug. Lane 2: MCF-7 Whole Cell Lysate at 40 ug. Lane 3: SKOV Whole Cell Lysate at 40 ug. Lane 4: HEPG2 Whole Cell Lysate at 40 ug. Predicted band size: 59 kD. Observed band size: 59 kD.
quantity:
price:
to the supplier
G6PD Antibody (aa258-350) LS-C372588
LifeSpan Biosciences
catalog: LS-C372588
domestic rabbit polyclonal
reactivity:
human
,
mouse
application:
western blot
Western Blot; Sample: Mouse Spleen lysate; Primary Ab: 1µg/ml Rabbit Anti-Mouse G6PD Antibody Second Ab: 0.2µg/mL HRP-Linked Caprine Anti-Rabbit IgG Polyclonal Antibody
quantity:
price:
to the supplier