Sign in
Sign up
home
>
LifeSpan Biosciences
> LifeSpan Biosciences PIK3R5 antibody
PIK3R5 Antibody (aa110-159) LS-C81980
LifeSpan Biosciences
catalog: LS-C81980
domestic rabbit polyclonal
reactivity:
human
application:
western blot
quantity:
price:
to the supplier
PIK3R5 Antibody (aa695-744) LS-C120217
LifeSpan Biosciences
catalog: LS-C120217
domestic rabbit polyclonal
reactivity:
human
application:
immunohistochemistry
,
immunohistochemistry - paraffin section
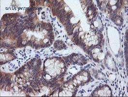
Immunohistochemistry analysis of paraffin-embedded human colon carcinoma tissue, using PIK3R5 Antibody. The picture on the right is blocked with the synthesized peptide.
quantity:
price:
to the supplier
PIK3R5 Antibody (aa392-421) LS-C101098
LifeSpan Biosciences
catalog: LS-C101098
domestic rabbit polyclonal
reactivity:
human
application:
western blot
Western blot of PIK3R5 (arrow) using rabbit polyclonal PIK3R5 Antibody. 293 cell lysates (2 ug/lane) either nontransfected (Lane 1) or transiently transfected with the PIK3R5 gene (Lane 2).
quantity:
price:
to the supplier
PIK3R5 Antibody (aa471-520) LS-C117128
LifeSpan Biosciences
catalog: LS-C117128
domestic rabbit polyclonal
reactivity:
human
application:
western blot
quantity:
price:
to the supplier
PIK3R5 Antibody LS-C144105
LifeSpan Biosciences
catalog: LS-C144105
mouse monoclonal
reactivity:
human
application:
western blot
quantity:
price:
to the supplier
PIK3R5 Antibody (aa763-792) LS-C163729
LifeSpan Biosciences
catalog: LS-C163729
domestic rabbit polyclonal
reactivity:
human
application:
western blot
,
immunohistochemistry
,
flow cytometry
,
immunohistochemistry - paraffin section
PIK3R5 Antibody western blot of WiDr cell line lysates (35 ug/lane). The PIK3R5 antibody detected the PIK3R5 protein (arrow).
PIK3R5 Antibody immunohistochemistry of formalin-fixed and paraffin-embedded human tonsil tissue followed by peroxidase-conjugated secondary antibody and DAB staining.
PIK3R5 Antibody flow cytometry of WiDr cells (right histogram) compared to a negative control cell (left histogram). FITC-conjugated goat-anti-rabbit secondary antibodies were used for the analysis.
quantity:
price:
to the supplier
PIK3R5 Antibody (clone OTI2A3) LS-C174524
LifeSpan Biosciences
catalog: LS-C174524
mouse monoclonal (OTI2A3)
reactivity:
human
application:
western blot
,
immunocytochemistry
HEK293T cells were transfected with the pCMV6-ENTRY control (Left lane) or pCMV6-ENTRY PIK3R5 (Right lane) cDNA for 48 hrs and lysed. Equivalent amounts of cell lysates (5 ug per lane) were separated by SDS-PAGE and immunoblotted with anti-PIK3R5.
Anti-PIK3R5 mouse monoclonal antibody immunofluorescent staining of COS7 cells transiently transfected by pCMV6-ENTRY PIK3R5.
quantity:
price:
to the supplier
PIK3R5 Antibody (clone OTI5B1) LS-C174530
LifeSpan Biosciences
catalog: LS-C174530
mouse monoclonal (OTI5B1)
reactivity:
human
application:
western blot
,
immunohistochemistry
,
immunocytochemistry
,
immunohistochemistry - paraffin section
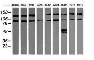
Western blot of extracts (35 ug) from 9 different cell lines by using g anti-PIK3R5 monoclonal antibody (HepG2: human; HeLa: human; SVT2: mouse; A549: human; COS7: monkey; Jurkat: human; MDCK: canine; PC12: rat; MCF7: human).
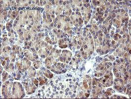
IHC of paraffin-embedded Human pancreas tissue using anti-PIK3R5 mouse monoclonal antibody.
Anti-PIK3R5 mouse monoclonal antibody immunofluorescent staining of COS7 cells transiently transfected by pCMV6-ENTRY PIK3R5.
quantity:
price:
to the supplier
PIK3R5 Antibody (clone OTI2A6) LS-C174531
LifeSpan Biosciences
catalog: LS-C174531
mouse monoclonal (OTI2A6)
reactivity:
human
application:
western blot
,
immunohistochemistry
,
immunocytochemistry
,
immunohistochemistry - paraffin section
Western blot of extracts (35 ug) from 9 different cell lines by using g anti-PIK3R5 monoclonal antibody (HepG2: human; HeLa: human; SVT2: mouse; A549: human; COS7: monkey; Jurkat: human; MDCK: canine; PC12: rat; MCF7: human).
IHC of paraffin-embedded Human colon tissue using anti-PIK3R5 mouse monoclonal antibody.
Anti-PIK3R5 mouse monoclonal antibody immunofluorescent staining of COS7 cells transiently transfected by pCMV6-ENTRY PIK3R5.
quantity:
price:
to the supplier
PIK3R5 Antibody (clone OTI6C5) LS-C174533
LifeSpan Biosciences
catalog: LS-C174533
mouse monoclonal (OTI6C5)
reactivity:
human
application:
western blot
,
immunohistochemistry
,
immunocytochemistry
,
immunohistochemistry - paraffin section
HEK293T cells were transfected with the pCMV6-ENTRY control (Left lane) or pCMV6-ENTRY PIK3R5 (Right lane) cDNA for 48 hrs and lysed. Equivalent amounts of cell lysates (5 ug per lane) were separated by SDS-PAGE and immunoblotted with anti-PIK3R5.
IHC of paraffin-embedded Human pancreas tissue using anti-PIK3R5 mouse monoclonal antibody.
Anti-PIK3R5 mouse monoclonal antibody immunofluorescent staining of COS7 cells transiently transfected by pCMV6-ENTRY PIK3R5.
quantity:
price:
to the supplier
PIK3R5 Antibody (clone OTI4C12) LS-C174534
LifeSpan Biosciences
catalog: LS-C174534
mouse monoclonal (OTI4C12)
reactivity:
human
application:
western blot
,
immunocytochemistry
HEK293T cells were transfected with the pCMV6-ENTRY control (Left lane) or pCMV6-ENTRY PIK3R5 (Right lane) cDNA for 48 hrs and lysed. Equivalent amounts of cell lysates (5 ug per lane) were separated by SDS-PAGE and immunoblotted with anti-PIK3R5.
Anti-PIK3R5 mouse monoclonal antibody immunofluorescent staining of COS7 cells transiently transfected by pCMV6-ENTRY PIK3R5.
quantity:
price:
to the supplier
PIK3R5 Antibody (clone OTI2E4) LS-C174535
LifeSpan Biosciences
catalog: LS-C174535
mouse monoclonal (OTI2E4)
reactivity:
human
application:
western blot
,
immunohistochemistry
,
immunocytochemistry
,
immunohistochemistry - paraffin section
HEK293T cells were transfected with the pCMV6-ENTRY control (Left lane) or pCMV6-ENTRY PIK3R5 (Right lane) cDNA for 48 hrs and lysed. Equivalent amounts of cell lysates (5 ug per lane) were separated by SDS-PAGE and immunoblotted with anti-PIK3R5.
IHC of paraffin-embedded Human pancreas tissue using anti-PIK3R5 mouse monoclonal antibody.
Anti-PIK3R5 mouse monoclonal antibody immunofluorescent staining of COS7 cells transiently transfected by pCMV6-ENTRY PIK3R5.
quantity:
price:
to the supplier
PIK3R5 Antibody (clone OTI4B11) LS-C174562
LifeSpan Biosciences
catalog: LS-C174562
mouse monoclonal (OTI4B11)
reactivity:
human
application:
western blot
,
immunohistochemistry
,
immunocytochemistry
,
immunohistochemistry - paraffin section
HEK293T cells were transfected with the pCMV6-ENTRY control (Left lane) or pCMV6-ENTRY PIK3R5 (Right lane) cDNA for 48 hrs and lysed. Equivalent amounts of cell lysates (5 ug per lane) were separated by SDS-PAGE and immunoblotted with anti-PIK3R5.
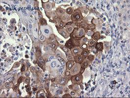
IHC of paraffin-embedded Carcinoma of Human lung tissue using anti-PIK3R5 mouse monoclonal antibody.
Anti-PIK3R5 mouse monoclonal antibody immunofluorescent staining of COS7 cells transiently transfected by pCMV6-ENTRY PIK3R5.
quantity:
price:
to the supplier
PIK3R5 Antibody (clone OTI2C6) LS-C174566
LifeSpan Biosciences
catalog: LS-C174566
mouse monoclonal (OTI2C6)
reactivity:
human
application:
western blot
,
immunohistochemistry
,
immunocytochemistry
,
immunohistochemistry - paraffin section
HEK293T cells were transfected with the pCMV6-ENTRY control (Left lane) or pCMV6-ENTRY PIK3R5 (Right lane) cDNA for 48 hrs and lysed. Equivalent amounts of cell lysates (5 ug per lane) were separated by SDS-PAGE and immunoblotted with anti-PIK3R5.
IHC of paraffin-embedded Adenocarcinoma of Human ovary tissue using anti-PIK3R5 mouse monoclonal antibody.
Anti-PIK3R5 mouse monoclonal antibody immunofluorescent staining of COS7 cells transiently transfected by pCMV6-ENTRY PIK3R5.
quantity:
price:
to the supplier
PIK3R5 Antibody (clone D32A5) LS-C184086
LifeSpan Biosciences
catalog: LS-C184086
domestic rabbit monoclonal (D32A5)
reactivity:
human
application:
western blot
quantity:
price:
to the supplier
PIK3R5 Antibody (aa392-421, AP) LS-C239015
LifeSpan Biosciences
catalog: LS-C239015
domestic rabbit polyclonal
reactivity:
human
conjugate: AP
application:
western blot
,
ELISA
quantity:
price:
to the supplier
PIK3R5 Antibody (aa392-421, APC) LS-C239016
LifeSpan Biosciences
catalog: LS-C239016
domestic rabbit polyclonal
reactivity:
human
conjugate: APC
application:
western blot
,
ELISA
quantity:
price:
to the supplier
PIK3R5 Antibody (aa392-421, Biotin) LS-C239017
LifeSpan Biosciences
catalog: LS-C239017
domestic rabbit polyclonal
reactivity:
human
conjugate: biotin
application:
western blot
,
ELISA
quantity:
price:
to the supplier
PIK3R5 Antibody (aa392-421, FITC) LS-C239019
LifeSpan Biosciences
catalog: LS-C239019
domestic rabbit polyclonal
reactivity:
human
conjugate: FITC
application:
western blot
,
ELISA
quantity:
price:
to the supplier
PIK3R5 Antibody (aa392-421, PE) LS-C239020
LifeSpan Biosciences
catalog: LS-C239020
domestic rabbit polyclonal
reactivity:
human
conjugate: PE
application:
western blot
,
ELISA
quantity:
price:
to the supplier
PIK3R5 Antibody (aa763-792, APC) LS-C239069
LifeSpan Biosciences
catalog: LS-C239069
domestic rabbit polyclonal
reactivity:
human
conjugate: APC
application:
western blot
,
ELISA
,
immunohistochemistry
,
flow cytometry
quantity:
price:
to the supplier
PIK3R5 Antibody (aa763-792, AP) LS-C239071
LifeSpan Biosciences
catalog: LS-C239071
domestic rabbit polyclonal
reactivity:
human
conjugate: AP
application:
western blot
,
ELISA
,
immunohistochemistry
,
flow cytometry
quantity:
price:
to the supplier
PIK3R5 Antibody (aa763-792, Biotin) LS-C239072
LifeSpan Biosciences
catalog: LS-C239072
domestic rabbit polyclonal
reactivity:
human
conjugate: biotin
application:
western blot
,
ELISA
,
immunohistochemistry
,
flow cytometry
quantity:
price:
to the supplier
PIK3R5 Antibody (aa763-792, FITC) LS-C239073
LifeSpan Biosciences
catalog: LS-C239073
domestic rabbit polyclonal
reactivity:
human
conjugate: FITC
application:
western blot
,
ELISA
,
immunohistochemistry
,
flow cytometry
quantity:
price:
to the supplier
PIK3R5 Antibody (aa763-792, PE) LS-C239076
LifeSpan Biosciences
catalog: LS-C239076
domestic rabbit polyclonal
reactivity:
human
conjugate: PE
application:
western blot
,
ELISA
,
immunohistochemistry
,
flow cytometry
quantity:
price:
to the supplier
PIK3R5 Antibody (aa392-421, Azide-free, HRP) LS-C248468
LifeSpan Biosciences
catalog: LS-C248468
domestic rabbit polyclonal
reactivity:
human
conjugate: HRP
application:
western blot
,
ELISA
quantity:
price:
to the supplier
PIK3R5 Antibody (aa763-792, Azide-free, HRP) LS-C248481
LifeSpan Biosciences
catalog: LS-C248481
domestic rabbit polyclonal
reactivity:
human
conjugate: HRP
application:
western blot
,
ELISA
,
immunohistochemistry
,
flow cytometry
quantity:
price:
to the supplier
PIK3R5 Antibody (aa392-421) LS-C324017
LifeSpan Biosciences
catalog: LS-C324017
domestic rabbit polyclonal
reactivity:
human
application:
western blot
,
ELISA
quantity:
price:
to the supplier
PIK3R5 Antibody (aa763-792) LS-C324051
LifeSpan Biosciences
catalog: LS-C324051
domestic rabbit polyclonal
reactivity:
human
application:
western blot
,
ELISA
,
immunohistochemistry
,
flow cytometry
quantity:
price:
to the supplier
PIK3R5 Antibody (clone OTI4G9) LS-C337980
LifeSpan Biosciences
catalog: LS-C337980
mouse monoclonal (OTI4G9)
reactivity:
human
application:
western blot
,
immunohistochemistry
,
immunocytochemistry
,
immunohistochemistry - paraffin section
Western blot of extracts (35ug) from 9 different cell lines by using anti-PIK3R5 monoclonal antibody (HepG2: human; HeLa: human; SVT2: mouse; A549: human; COS7: monkey; Jurkat: human; MDCK: canine; PC12: rat; MCF7: human).
IHC of paraffin-embedded Adenocarcinoma of Human ovary tissue using anti-PIK3R5 mouse monoclonal antibody. (Heat-induced epitope retrieval by 10mM citric buffer, pH6.0, 120°C for 3min).
Anti-PIK3R5 mouse monoclonal antibody immunofluorescent staining of COS7 cells transiently transfected by pCMV6-ENTRY PIK3R5.
quantity:
price:
to the supplier
PIK3R5 Antibody (aa1-494, Biotin) LS-C371769
LifeSpan Biosciences
catalog: LS-C371769
domestic rabbit polyclonal
reactivity:
human
conjugate: biotin
application:
ELISA
quantity:
price:
to the supplier
PIK3R5 Antibody (aa1-494, HRP) LS-C371770
LifeSpan Biosciences
catalog: LS-C371770
domestic rabbit polyclonal
reactivity:
human
conjugate: HRP
application:
ELISA
quantity:
price:
to the supplier
PIK3R5 Antibody (aa1-494, FITC) LS-C371771
LifeSpan Biosciences
catalog: LS-C371771
domestic rabbit polyclonal
reactivity:
human
conjugate: FITC
application:
ELISA
quantity:
price:
to the supplier
PIK3R5 Antibody (670-750 aa, C-terminal) LS-C385481
LifeSpan Biosciences
catalog: LS-C385481
domestic rabbit polyclonal
reactivity:
human
application:
western blot
,
ELISA
,
immunohistochemistry
quantity:
price:
to the supplier