Sign in
Sign up
home
>
LifeSpan Biosciences
> LifeSpan Biosciences FGR antibody
IHC-plus™ FGR Antibody (clone 6G2) LS-B4106
LifeSpan Biosciences
catalog: LS-B4106
mouse monoclonal (6G2)
reactivity:
human
application:
western blot
,
ELISA
,
immunohistochemistry
,
immunohistochemistry - paraffin section
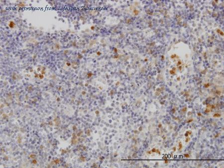
Anti-FGR antibody IHC of human spleen. Immunohistochemistry of formalin-fixed, paraffin-embedded tissue after heat-induced antigen retrieval. Antibody dilution 1:200.
quantity:
price:
to the supplier
FGR Antibody (clone 3B11) LS-C133192
LifeSpan Biosciences
catalog: LS-C133192
mouse monoclonal (3B11)
reactivity:
human
application:
western blot
,
ELISA
,
immunohistochemistry
,
immunohistochemistry - paraffin section
FGR monoclonal antibody (M02), clone 3B11 Western blot of FGR expression in HeLa.
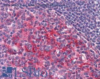
Immunoperoxidase of monoclonal antibody to FGR on formalin-fixed paraffin-embedded human lymph node. [antibody concentration 3 ug/ml]
Detection limit for recombinant GST tagged FGR is approximately 0.1 ng/ml as a capture antibody.
quantity:
price:
to the supplier
FGR Antibody (aa517-529) LS-C54837
LifeSpan Biosciences
catalog: LS-C54837
domestic goat polyclonal
reactivity:
human
application:
western blot
Antibody staining (0.5 ug/ml) of Mouse Spleen extracts (RIPA buffer, 35 ug total protein per lane). Primary incubated for 1 hour. Detected by Western blot of chemiluminescence.
quantity:
price:
to the supplier
FGR Antibody (aa3-33) LS-C99377
LifeSpan Biosciences
catalog: LS-C99377
domestic rabbit polyclonal
reactivity:
human
application:
western blot
,
immunohistochemistry
,
immunocytochemistry
,
immunohistochemistry - paraffin section
Western blot of FGR (arrow) using FGR Antibody. 293 cell lysates (2 ug/lane) either nontransfected (Lane 1) or transiently transfected with the FGR gene (Lane 2) (Origene Technologies).
Formalin-fixed and paraffin-embedded human cancer tissue reacted with the primary antibody, which was peroxidase-conjugated to the secondary antibody, followed by AEC staining. This data demonstrates the use of this antibody for immunohistochemistry; clinical relevance has not been evaluated. BC = breast carcinoma; HC = hepatocarcinoma.
Confocal immunofluorescence of FGR Antibody with MDA-MB231 cell followed by Alexa Fluor 488-conjugated goat anti-rabbit lgG (green). DAPI was used to stain the cell nuclear (blue).
quantity:
price:
to the supplier
FGR Antibody (C-Terminus) LS-C116584
LifeSpan Biosciences
catalog: LS-C116584
domestic rabbit polyclonal
reactivity:
human
application:
western blot
quantity:
price:
to the supplier
FGR Antibody (aa61-110) LS-C118770
LifeSpan Biosciences
catalog: LS-C118770
domestic rabbit polyclonal
reactivity:
human
application:
western blot
Western blot analysis of lysates from HUVEC and COLO205 cells, using FGR Antibody. The lane on the right is blocked with the synthesized peptide.
quantity:
price:
to the supplier
FGR Antibody (clone 1B12) LS-C133193
LifeSpan Biosciences
catalog: LS-C133193
mouse monoclonal (1B12)
reactivity:
human
application:
western blot
,
ELISA
,
immunohistochemistry
,
immunohistochemistry - paraffin section
Western blot of FGR expression in transfected 293T cell line by FGR monoclonal antibody (M03), clone 1B12.
Immunoperoxidase of monoclonal antibody to FGR on formalin-fixed paraffin-embedded human spleen. [antibody concentration 3 ug/ml]
Detection limit for recombinant GST tagged FGR is approximately 0.3 ng/ml as a capture antibody.
quantity:
price:
to the supplier
FGR Antibody (clone 4C12) LS-C133194
LifeSpan Biosciences
catalog: LS-C133194
mouse monoclonal (4C12)
reactivity:
human
application:
western blot
,
ELISA
,
immunohistochemistry
,
immunohistochemistry - paraffin section
Immunoperoxidase of monoclonal antibody to FGR on formalin-fixed paraffin-embedded human spleen. [antibody concentration 3 ug/ml]
Detection limit for recombinant GST tagged FGR is approximately 0.3 ng/ml as a capture antibody.
quantity:
price:
to the supplier
FGR Antibody (clone 3F2) LS-C133195
LifeSpan Biosciences
catalog: LS-C133195
mouse monoclonal (3F2)
reactivity:
human
application:
western blot
,
ELISA
,
immunohistochemistry
,
immunohistochemistry - paraffin section
Immunoperoxidase of monoclonal antibody to FGR on formalin-fixed paraffin-embedded human lymph node. [antibody concentration 3 ug/ml]
Detection limit for recombinant GST tagged FGR is approximately 0.3 ng/ml as a capture antibody.
quantity:
price:
to the supplier
FGR Antibody (aa381-430) LS-C198959
LifeSpan Biosciences
catalog: LS-C198959
domestic rabbit polyclonal
reactivity:
human
application:
western blot
Western blot analysis of lysates from RAW264.7 cells, using FGR Antibody. The lane on the right is blocked with the synthesized peptide.
quantity:
price:
to the supplier
FGR Antibody (aa3-33, AP) LS-C277336
LifeSpan Biosciences
catalog: LS-C277336
domestic rabbit polyclonal
reactivity:
human
conjugate: AP
application:
western blot
,
ELISA
,
immunohistochemistry
quantity:
price:
to the supplier
FGR Antibody (aa3-33, APC) LS-C277337
LifeSpan Biosciences
catalog: LS-C277337
domestic rabbit polyclonal
reactivity:
human
conjugate: APC
application:
western blot
,
ELISA
,
immunohistochemistry
quantity:
price:
to the supplier
FGR Antibody (aa3-33, Biotin) LS-C277338
LifeSpan Biosciences
catalog: LS-C277338
domestic rabbit polyclonal
reactivity:
human
conjugate: biotin
application:
western blot
,
ELISA
,
immunohistochemistry
quantity:
price:
to the supplier
FGR Antibody (aa3-33, FITC) LS-C277339
LifeSpan Biosciences
catalog: LS-C277339
domestic rabbit polyclonal
reactivity:
human
conjugate: FITC
application:
western blot
,
ELISA
,
immunohistochemistry
quantity:
price:
to the supplier
FGR Antibody (aa3-33, PE) LS-C277340
LifeSpan Biosciences
catalog: LS-C277340
domestic rabbit polyclonal
reactivity:
human
conjugate: PE
application:
western blot
,
ELISA
,
immunohistochemistry
quantity:
price:
to the supplier
FGR Antibody (aa3-33, Azide-free, HRP) LS-C277341
LifeSpan Biosciences
catalog: LS-C277341
domestic rabbit polyclonal
reactivity:
human
conjugate: HRP
application:
western blot
,
ELISA
,
immunohistochemistry
quantity:
price:
to the supplier
FGR Antibody LS-C307544
LifeSpan Biosciences
catalog: LS-C307544
mouse polyclonal
reactivity:
human
application:
western blot
quantity:
price:
to the supplier
FGR Antibody LS-C311141
LifeSpan Biosciences
catalog: LS-C311141
domestic rabbit polyclonal
reactivity:
human
application:
western blot
quantity:
price:
to the supplier
FGR Antibody (aa3-33) LS-C327374
LifeSpan Biosciences
catalog: LS-C327374
domestic rabbit polyclonal
reactivity:
human
application:
western blot
,
ELISA
,
immunohistochemistry
quantity:
price:
to the supplier
FGR Antibody LS-C331873
LifeSpan Biosciences
catalog: LS-C331873
domestic rabbit polyclonal
reactivity:
human
application:
western blot
,
immunohistochemistry
Western blot analysis of extracts of HL60 cell lines.
quantity:
price:
to the supplier
FGR Antibody (aa232-265) LS-C356304
LifeSpan Biosciences
catalog: LS-C356304
domestic rabbit polyclonal
reactivity:
human
,
mouse
application:
western blot
Western blot of lysate from rat L6 cell line, using Fgr antibody diluted at 1:1000. A goat anti-rabbit IgG H&L (HRP) at 1:10000 dilution was used as the secondary antibody. Lysate at 20 ug.
quantity:
price:
to the supplier
IHC-plus™ FGR Antibody (clone 3G10) LS-B12872
LifeSpan Biosciences
catalog: LS-B12872
mouse monoclonal (3G10)
reactivity:
human
application:
western blot
,
ELISA
,
immunohistochemistry
,
immunohistochemistry - paraffin section
FGR monoclonal antibody (M01), clone 3G10 Western blot of FGR expression in HeLa.
Detection limit for recombinant GST tagged FGR is approximately 0.3 ng/ml as a capture antibody.
Human Spleen: Formalin-Fixed, Paraffin-Embedded (FFPE)
quantity:
price:
to the supplier
FGR Antibody (30-110 aa, Internal) LS-C382667
LifeSpan Biosciences
catalog: LS-C382667
domestic rabbit polyclonal
reactivity:
human
application:
western blot
,
ELISA
,
immunohistochemistry
Western blot of c-Fgr antibody
quantity:
price:
to the supplier
FGR Antibody (350-430 aa) LS-C382668
LifeSpan Biosciences
catalog: LS-C382668
domestic rabbit polyclonal
reactivity:
human
application:
western blot
,
ELISA
,
immunohistochemistry
Western blot of c-Fgr antibody
quantity:
price:
to the supplier