Sign in
Sign up
home
>
LifeSpan Biosciences
> LifeSpan Biosciences FGFR1 antibody
IHC-plus™ FGFR / FGF Receptor Antibody (phospho-Tyr653/Tyr654) LS-B2833
LifeSpan Biosciences
catalog: LS-B2833
mouse monoclonal
reactivity:
human
modification: phosphorylated
application:
western blot
,
immunohistochemistry
,
immunohistochemistry - paraffin section
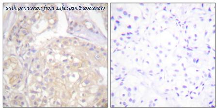
Anti-FGFR1 antibody IHC of human pancreas. Immunohistochemistry of formalin-fixed, paraffin-embedded tissue after heat-induced antigen retrieval. Antibody dilution 1:50.
quantity:
price:
to the supplier
FGFR1 / FGF Receptor 1 Antibody (N-Terminus) LS-C66134
LifeSpan Biosciences
catalog: LS-C66134
mouse monoclonal
reactivity:
human
application:
western blot
,
immunoprecipitation
,
flow cytometry
quantity:
price:
to the supplier
FGFR1 / FGF Receptor 1 Antibody (aa736-785) LS-C117645
LifeSpan Biosciences
catalog: LS-C117645
domestic rabbit polyclonal
reactivity:
human
application:
western blot
,
immunohistochemistry
,
immunohistochemistry - paraffin section
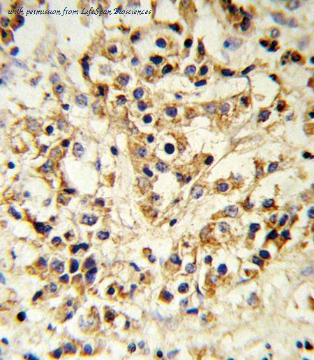
Immunohistochemistry analysis of paraffin-embedded human breast carcinoma tissue, using FGFR1 Antibody. The picture on the right is blocked with the synthesized peptide.
Western blot analysis of lysates from HepG2 cells, using FGFR1 Antibody. The lane on the right is blocked with the synthesized peptide.
quantity:
price:
to the supplier
FGFR1 / FGF Receptor 1 Antibody (aa23-325) LS-C23658
LifeSpan Biosciences
catalog: LS-C23658
mouse monoclonal
reactivity:
human
application:
western blot
,
immunoprecipitation
citations: 1
quantity:
price:
to the supplier
IHC-plus™ FGFR1 / FGF Receptor 1 Antibody (N-Terminus, clone M2F12) LS-B6232
LifeSpan Biosciences
catalog: LS-B6232
mouse monoclonal (M2F12)
reactivity:
human
application:
western blot
,
immunohistochemistry
,
immunoprecipitation
,
immunohistochemistry - paraffin section
,
immunohistochemistry - frozen section
citations: 1
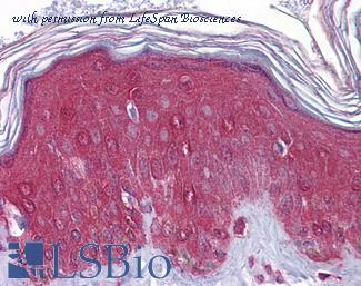
Anti-FGFR1 antibody IHC of human skin. Immunohistochemistry of formalin-fixed, paraffin-embedded tissue after heat-induced antigen retrieval. Antibody concentration 10 ug/ml.
quantity:
price:
to the supplier
FGFR / FGF Receptor Antibody (Extracellular Domain) LS-C23659
LifeSpan Biosciences
catalog: LS-C23659
mouse monoclonal
reactivity:
human
application:
western blot
quantity:
price:
to the supplier
FGFR1 / FGF Receptor 1 Antibody (N-Terminus) LS-C23654
LifeSpan Biosciences
catalog: LS-C23654
domestic rabbit polyclonal
reactivity:
human
application:
western blot
,
immunoprecipitation
quantity:
price:
to the supplier
FGFR1 / FGF Receptor 1 Antibody (phospho-Tyr653/Tyr654) LS-C23655
LifeSpan Biosciences
catalog: LS-C23655
domestic rabbit polyclonal
reactivity:
human
modification: phosphorylated
application:
western blot
quantity:
price:
to the supplier
FGFR1 / FGF Receptor 1 Antibody (clone VBS-7) LS-C23660
LifeSpan Biosciences
catalog: LS-C23660
mouse monoclonal (VBS-7)
reactivity:
human
,
bovine
application:
western blot
,
ELISA
,
immunohistochemistry
,
immunoprecipitation
,
immunohistochemistry - frozen section
quantity:
price:
to the supplier
FGFR1 / FGF Receptor 1 Antibody (C-Terminus) LS-C66136
LifeSpan Biosciences
catalog: LS-C66136
domestic rabbit polyclonal
reactivity:
human
application:
western blot
,
immunohistochemistry
,
immunoprecipitation
quantity:
price:
to the supplier
FGFR1 / FGF Receptor 1 Antibody (N-Terminus, clone M5G 10) LS-C83403
LifeSpan Biosciences
catalog: LS-C83403
mouse monoclonal (M5G 10)
reactivity:
human
application:
western blot
,
ELISA
,
immunohistochemistry
,
immunoprecipitation
,
immunohistochemistry - paraffin section
quantity:
price:
to the supplier
FGFR1 / FGF Receptor 1 Antibody (clone M 1 C4) LS-C83406
LifeSpan Biosciences
catalog: LS-C83406
mouse monoclonal (M 1 C4)
reactivity:
human
application:
western blot
,
immunohistochemistry
,
immunoprecipitation
quantity:
price:
to the supplier
FGFR1 / FGF Receptor 1 Antibody (N-Terminus, Azide-free) LS-C66129
LifeSpan Biosciences
catalog: LS-C66129
domestic rabbit polyclonal
reactivity:
human
application:
western blot
,
immunoprecipitation
quantity:
price:
to the supplier
IHC-plus™ FGFR1 / FGF Receptor 1 Antibody (aa837-852) LS-B3031
LifeSpan Biosciences
catalog: LS-B3031
domestic goat polyclonal
reactivity:
human
application:
western blot
,
immunohistochemistry
,
immunohistochemistry - paraffin section
Antibody (0.3 ug/ml) staining of human breast lysate (35 ug protein in RIPA buffer). Primary incubation was 1 hour. Detected by chemiluminescence.
Anti-FGFR1 antibody IHC of human kidney. Immunohistochemistry of formalin-fixed, paraffin-embedded tissue after heat-induced antigen retrieval. Antibody concentration 4 ug/ml.
quantity:
price:
to the supplier
FGFR1 / FGF Receptor 1 Antibody (phospho-Tyr307) LS-C97018
LifeSpan Biosciences
catalog: LS-C97018
domestic rabbit polyclonal
reactivity:
human
modification: phosphorylated
Dot blot of Phospho-FGFR1-Y307 polyclonal antibody on nitrocellulose membrane. 50ng of Phospho-peptide or Non Phospho-peptide per dot were adsorbed. Antibody working concentration was 0.5ug per ml. P-antibody: phospho-antibody; P-Peptide: phospho-peptide; NP-Peptide: non-phospho-peptide.
quantity:
price:
to the supplier
FGFR1 / FGF Receptor 1 Antibody (Tyr463) LS-C97514
LifeSpan Biosciences
catalog: LS-C97514
domestic rabbit polyclonal
reactivity:
human
application:
western blot
Western blot of FGFR1 (arrow) using rabbit polyclonal FGFR1 Antibody (Y463) (RB11175). 293 cell lysates (2 ug/lane) either nontransfected (Lane 1) or transiently transfected with the FGFR1 gene (Lane 2) (Origene Technologies).
quantity:
price:
to the supplier
FGFR1 / FGF Receptor 1 Antibody (Tyr766) LS-C97516
LifeSpan Biosciences
catalog: LS-C97516
domestic rabbit polyclonal
reactivity:
human
application:
western blot
Western blot of FGFR1 (arrow) using rabbit polyclonal FGFR1 Antibody (Y766) (RB11274). 293 cell lysates (2 ug/lane) either nontransfected (Lane 1) or transiently transfected with the FGFR1 gene (Lane 2) (Origene Technologies).
quantity:
price:
to the supplier
FGFR1 / FGF Receptor 1 Antibody (Tyr653) LS-C97517
LifeSpan Biosciences
catalog: LS-C97517
domestic rabbit polyclonal
reactivity:
human
application:
western blot
Western blot of FGFR1 (arrow) using rabbit polyclonal FGFR1 Antibody (Y653) (RB11303). 293 cell lysates (2 ug/lane) either nontransfected (Lane 1) or transiently transfected with the FGFR1 gene (Lane 2) (Origene Technologies).
quantity:
price:
to the supplier
FGFR1 / FGF Receptor 1 Antibody (Tyr154) LS-C97518
LifeSpan Biosciences
catalog: LS-C97518
domestic rabbit polyclonal
reactivity:
human
application:
western blot
Western blot of FGFR1 (arrow) using rabbit polyclonal FGFR1-pY154. 293 cell lysates (2 ug/lane) either nontransfected (Lane 1) or transiently transfected with the FGFR1 gene (Lane 2).
quantity:
price:
to the supplier
FGFR1 / FGF Receptor 1 Antibody (clone 3D4F7) LS-C108814
LifeSpan Biosciences
catalog: LS-C108814
mouse monoclonal (3D4F7)
reactivity:
human
application:
western blot
,
ELISA
quantity:
price:
to the supplier
FGFR1 / FGF Receptor 1 Antibody (phospho-Tyr154) LS-C117357
LifeSpan Biosciences
catalog: LS-C117357
domestic rabbit polyclonal
reactivity:
human
modification: phosphorylated
application:
western blot
Western blot analysis of lysates from 293 cells, using FGFR1 (Phospho-Tyr154) Antibody. The lane on the right is blocked with the phospho peptide.
quantity:
price:
to the supplier
FGFR1 / FGF Receptor 1 Antibody (aa626-675) LS-C117646
LifeSpan Biosciences
catalog: LS-C117646
domestic rabbit polyclonal
reactivity:
human
application:
western blot
,
immunocytochemistry
Immunofluorescence analysis of HUVEC cells, using FGFR1 Antibody. The picture on the right is blocked with the synthesized peptide.
Western blot analysis of lysates from 293 cells, using FGFR1 Antibody. The lane on the right is blocked with the synthesized peptide.
quantity:
price:
to the supplier
FGFR1 / FGF Receptor 1 Antibody (aa121-170) LS-C118118
LifeSpan Biosciences
catalog: LS-C118118
domestic rabbit polyclonal
reactivity:
human
application:
western blot
Western blot analysis of lysates from 293 cells, treated with EGF 200ng/ml 30', using FGFR1 Antibody. The lane on the right is blocked with the synthesized peptide.
quantity:
price:
to the supplier
FGFR1 / FGF Receptor 1 Antibody LS-C121820
LifeSpan Biosciences
catalog: LS-C121820
mouse monoclonal
reactivity:
human
application:
western blot
,
ELISA
,
immunoprecipitation
quantity:
price:
to the supplier
FGFR1 / FGF Receptor 1 Antibody (phospho-Tyr154) LS-C123557
LifeSpan Biosciences
catalog: LS-C123557
domestic rabbit polyclonal
reactivity:
human
modification: phosphorylated
application:
western blot
,
ELISA
quantity:
price:
to the supplier
FGFR1 / FGF Receptor 1 Antibody LS-C123558
LifeSpan Biosciences
catalog: LS-C123558
domestic rabbit polyclonal
reactivity:
human
application:
western blot
,
ELISA
,
immunohistochemistry
quantity:
price:
to the supplier
FGFR1 / FGF Receptor 1 Antibody LS-C129088
LifeSpan Biosciences
catalog: LS-C129088
domestic rabbit polyclonal
reactivity:
human
application:
western blot
quantity:
price:
to the supplier
IHC-plus™ FGFR1 / FGF Receptor 1 Antibody (N-Terminus, clone M 17A3) LS-B6233
LifeSpan Biosciences
catalog: LS-B6233
mouse monoclonal (M 17A3)
reactivity:
human
application:
western blot
,
immunohistochemistry
,
immunoprecipitation
,
immunohistochemistry - paraffin section
Anti-FGFR1 antibody IHC of human kidney. Immunohistochemistry of formalin-fixed, paraffin-embedded tissue after heat-induced antigen retrieval. Antibody concentration 10 ug/ml.
quantity:
price:
to the supplier
IHC-plus™ FGFR1 / FGF Receptor 1 Antibody (N-Terminus, clone M19B2) LS-B6250
LifeSpan Biosciences
catalog: LS-B6250
mouse monoclonal (M19B2)
reactivity:
human
application:
western blot
,
immunohistochemistry
,
immunoprecipitation
,
immunohistochemistry - paraffin section
Anti-FGFR1 antibody IHC of human skin. Immunohistochemistry of formalin-fixed, paraffin-embedded tissue after heat-induced antigen retrieval. Antibody concentration 10 ug/ml.
quantity:
price:
to the supplier
IHC-plus™ FGFR1 / FGF Receptor 1 Antibody (aa179-195, clone M17D10) LS-B6251
LifeSpan Biosciences
catalog: LS-B6251
mouse monoclonal (M17D10)
reactivity:
human
application:
western blot
,
immunohistochemistry
,
immunoprecipitation
,
immunohistochemistry - paraffin section
Anti-FGFR1 antibody IHC of human skin. Immunohistochemistry of formalin-fixed, paraffin-embedded tissue after heat-induced antigen retrieval. Antibody concentration 10 ug/ml.
quantity:
price:
to the supplier
FGFR1 / FGF Receptor 1 Antibody (phospho-Tyr651/652) LS-C148577
LifeSpan Biosciences
catalog: LS-C148577
domestic rabbit polyclonal
reactivity:
human
application:
western blot
,
immunohistochemistry
,
immunohistochemistry - paraffin section
quantity:
price:
to the supplier
FGFR1 / FGF Receptor 1 Antibody (aa87-98) LS-C154933
LifeSpan Biosciences
catalog: LS-C154933
domestic goat polyclonal
reactivity:
human
application:
western blot
quantity:
price:
to the supplier
FGFR1 / FGF Receptor 1 Antibody (aa756-784) LS-C164386
LifeSpan Biosciences
catalog: LS-C164386
domestic rabbit polyclonal
reactivity:
human
,
mouse
application:
western blot
,
immunohistochemistry
,
immunohistochemistry - paraffin section
Mouse Fgfr1 Antibody western blot of NCI-H460 cell line lysates (35 ug/lane). The Fgfr1 antibody detected the Fgfr1 protein (arrow).
Mouse Fgfr1 Antibody immunohistochemistry of formalin-fixed and paraffin-embedded mouse adrenal glands followed by peroxidase-conjugated secondary antibody and DAB staining.
quantity:
price:
to the supplier
FGFR1 / FGF Receptor 1 Antibody LS-C166142
LifeSpan Biosciences
catalog: LS-C166142
domestic rabbit polyclonal
reactivity:
human
application:
western blot
,
immunohistochemistry
,
flow cytometry
,
immunohistochemistry - paraffin section
Western blot of FGFR1 Antibody in mouse liver tissue lysates (35 ug/lane). FGFR1 (arrow) was detected using the purified antibody.
FGFR1 Antibody IHC of formalin-fixed and paraffin-embedded human breast carcinoma followed by peroxidase-conjugated secondary antibody and DAB staining.
FGFR1 Antibody FC of MCF-7 cells (bottom histogram) compared to a negative control cell (top histogram). FITC-conjugated goat-anti-rabbit secondary antibodies were used for the analysis.
quantity:
price:
to the supplier
FGFR1 / FGF Receptor 1 Antibody (aa285-314) LS-C166143
LifeSpan Biosciences
catalog: LS-C166143
domestic rabbit polyclonal
reactivity:
human
application:
western blot
Western blot of FGFR1 (arrow) using rabbit polyclonal FGFR1-Y307. 293 cell lysates (2 ug/lane) either nontransfected (Lane 1) or transiently transfected with the FGFR1 gene (Lane 2).
quantity:
price:
to the supplier
FGFR1 / FGF Receptor 1 Antibody (Ile648) LS-C176317
LifeSpan Biosciences
catalog: LS-C176317
domestic rabbit polyclonal
reactivity:
human
application:
western blot
,
immunocytochemistry
Western blot of FGFR1 (I648) pAb in extracts from RAW264.7 cells.
quantity:
price:
to the supplier
FGFR1 / FGF Receptor 1 Antibody (Leu760) LS-C176623
LifeSpan Biosciences
catalog: LS-C176623
domestic rabbit polyclonal
reactivity:
human
application:
western blot
,
immunohistochemistry
,
immunohistochemistry - paraffin section
Western blot of Flg (L760) pAb in extracts from HepG2 cells.
IHC of Flg (L760) pAb in paraffin-embedded human breast carcinoma tissue.
quantity:
price:
to the supplier
FGFR1 / FGF Receptor 1 Antibody (Arg148) LS-C177668
LifeSpan Biosciences
catalog: LS-C177668
domestic rabbit polyclonal
reactivity:
human
application:
western blot
,
immunocytochemistry
Western blot of Flg (R148) pAb in extracts from 293 cells.
quantity:
price:
to the supplier
FGFR1 / FGF Receptor 1 Antibody (phospho-Tyr154) LS-C178136
LifeSpan Biosciences
catalog: LS-C178136
domestic rabbit polyclonal
reactivity:
human
modification: phosphorylated
application:
immunohistochemistry
,
immunohistochemistry - paraffin section
IHC of p-FGFR1 (Y154) pAb in paraffin-embedded human lung adenocarcinoma tissue.
quantity:
price:
to the supplier
FGFR1 / FGF Receptor 1 Antibody (aa112-161) LS-C186727
LifeSpan Biosciences
catalog: LS-C186727
domestic rabbit polyclonal
reactivity:
human
,
mouse
application:
western blot
quantity:
price:
to the supplier
FGFR1 / FGF Receptor 1 Antibody (aa22-376, clone GF1) LS-C190286
LifeSpan Biosciences
catalog: LS-C190286
mouse monoclonal (GF1)
reactivity:
human
application:
ELISA
quantity:
price:
to the supplier
FGFR1 / FGF Receptor 1 Antibody (phospho-Tyr154) LS-C192206
LifeSpan Biosciences
catalog: LS-C192206
domestic rabbit polyclonal
reactivity:
human
modification: phosphorylated
application:
western blot
quantity:
price:
to the supplier
FGFR1 / FGF Receptor 1 Antibody (clone 5E9) LS-C197216
LifeSpan Biosciences
catalog: LS-C197216
mouse monoclonal (5E9)
reactivity:
human
application:
western blot
,
ELISA
Western Blot analysis of FGFR1 expression in transfected 293T cell line by FGFR1 monoclonal antibody (M03), clone 5E9.Lane 1: FGFR1 transfected lysate(92 KDa).Lane 2: Non-transfected lysate.
Detection limit for recombinant GST tagged FGFR1 is approximately 0.03 ng/ml as a capture antibody.
quantity:
price:
to the supplier
FGFR1 / FGF Receptor 1 Antibody (phospho-Tyr654) LS-C198957
LifeSpan Biosciences
catalog: LS-C198957
domestic rabbit polyclonal
reactivity:
human
modification: phosphorylated
application:
western blot
,
immunocytochemistry
Immunofluorescence analysis of COS7 cells, using FGFR1 (Phospho-Tyr654) Antibody. The picture on the right is blocked with the phospho peptide.
Western blot analysis of lysates from 293 cells treated with Insulin 0.01U/ml 15', using FGFR1 (Phospho-Tyr654) Antibody. The lane on the right is blocked with the phospho peptide.
quantity:
price:
to the supplier
FGFR1 / FGF Receptor 1 Antibody (phospho-Tyr766) LS-C198958
LifeSpan Biosciences
catalog: LS-C198958
domestic rabbit polyclonal
reactivity:
human
modification: phosphorylated
application:
western blot
,
immunohistochemistry
,
immunohistochemistry - paraffin section
Immunohistochemistry analysis of paraffin-embedded human breast carcinoma, using FGFR1 (Phospho-Tyr766) Antibody. The picture on the right is blocked with the phospho peptide.
Western blot analysis of lysates from HepG2 cells treated with EGF 200ng/ml 30', using FGFR1 (Phospho-Tyr766) Antibody. The lane on the right is blocked with the phospho peptide.
quantity:
price:
to the supplier
FGFR1 / FGF Receptor 1 Antibody (phospho-Tyr766, Biotin) LS-C257244
LifeSpan Biosciences
catalog: LS-C257244
domestic rabbit polyclonal
reactivity:
human
conjugate: biotin
modification: phosphorylated
application:
western blot
,
ELISA
,
immunohistochemistry
quantity:
price:
to the supplier
FGFR1 / FGF Receptor 1 Antibody (phospho-Tyr766, FITC) LS-C257245
LifeSpan Biosciences
catalog: LS-C257245
domestic rabbit polyclonal
reactivity:
human
conjugate: FITC
modification: phosphorylated
application:
western blot
,
ELISA
,
immunohistochemistry
quantity:
price:
to the supplier
FGFR1 / FGF Receptor 1 Antibody (phospho-Tyr766, PE) LS-C257246
LifeSpan Biosciences
catalog: LS-C257246
domestic rabbit polyclonal
reactivity:
human
conjugate: PE
modification: phosphorylated
application:
western blot
,
ELISA
,
immunohistochemistry
quantity:
price:
to the supplier
FGFR1 / FGF Receptor 1 Antibody (phospho-Tyr766, Azide-free, HRP) LS-C257247
LifeSpan Biosciences
catalog: LS-C257247
domestic rabbit polyclonal
reactivity:
human
conjugate: HRP
modification: phosphorylated
application:
western blot
,
ELISA
,
immunohistochemistry
quantity:
price:
to the supplier
FGFR1 / FGF Receptor 1 Antibody (aa285-314, AP) LS-C257248
LifeSpan Biosciences
catalog: LS-C257248
domestic rabbit polyclonal
reactivity:
human
conjugate: AP
application:
western blot
,
ELISA
quantity:
price:
to the supplier
FGFR1 / FGF Receptor 1 Antibody (aa285-314, APC) LS-C257249
LifeSpan Biosciences
catalog: LS-C257249
domestic rabbit polyclonal
reactivity:
human
conjugate: APC
application:
western blot
,
ELISA
quantity:
price:
to the supplier
FGFR1 / FGF Receptor 1 Antibody (aa285-314, Biotin) LS-C257250
LifeSpan Biosciences
catalog: LS-C257250
domestic rabbit polyclonal
reactivity:
human
conjugate: biotin
application:
western blot
,
ELISA
quantity:
price:
to the supplier
FGFR1 / FGF Receptor 1 Antibody (aa285-314, Azide-free, HRP) LS-C257251
LifeSpan Biosciences
catalog: LS-C257251
domestic rabbit polyclonal
reactivity:
human
conjugate: HRP
application:
western blot
,
ELISA
quantity:
price:
to the supplier
FGFR1 / FGF Receptor 1 Antibody (aa285-314, FITC) LS-C257252
LifeSpan Biosciences
catalog: LS-C257252
domestic rabbit polyclonal
reactivity:
human
conjugate: FITC
application:
western blot
,
ELISA
quantity:
price:
to the supplier
FGFR1 / FGF Receptor 1 Antibody (aa285-314, PE) LS-C257253
LifeSpan Biosciences
catalog: LS-C257253
domestic rabbit polyclonal
reactivity:
human
conjugate: PE
application:
western blot
,
ELISA
quantity:
price:
to the supplier
FGFR1 / FGF Receptor 1 Antibody (aa756-784, AP) LS-C257254
LifeSpan Biosciences
catalog: LS-C257254
domestic rabbit polyclonal
reactivity:
human
conjugate: AP
application:
western blot
,
ELISA
,
immunohistochemistry
quantity:
price:
to the supplier
FGFR1 / FGF Receptor 1 Antibody (aa756-784, Biotin) LS-C257255
LifeSpan Biosciences
catalog: LS-C257255
domestic rabbit polyclonal
reactivity:
human
conjugate: biotin
application:
western blot
,
ELISA
,
immunohistochemistry
quantity:
price:
to the supplier
FGFR1 / FGF Receptor 1 Antibody (aa756-784, APC) LS-C257256
LifeSpan Biosciences
catalog: LS-C257256
domestic rabbit polyclonal
reactivity:
human
conjugate: APC
application:
western blot
,
ELISA
,
immunohistochemistry
quantity:
price:
to the supplier
FGFR1 / FGF Receptor 1 Antibody (aa756-784, FITC) LS-C257257
LifeSpan Biosciences
catalog: LS-C257257
domestic rabbit polyclonal
reactivity:
human
conjugate: FITC
application:
western blot
,
ELISA
,
immunohistochemistry
quantity:
price:
to the supplier
FGFR1 / FGF Receptor 1 Antibody (aa756-784, Azide-free, HRP) LS-C257258
LifeSpan Biosciences
catalog: LS-C257258
domestic rabbit polyclonal
reactivity:
human
conjugate: HRP
application:
western blot
,
ELISA
,
immunohistochemistry
quantity:
price:
to the supplier
FGFR1 / FGF Receptor 1 Antibody (aa756-784, PE) LS-C257259
LifeSpan Biosciences
catalog: LS-C257259
domestic rabbit polyclonal
reactivity:
human
conjugate: PE
application:
western blot
,
ELISA
,
immunohistochemistry
quantity:
price:
to the supplier
FGFR1 / FGF Receptor 1 Antibody (N-Terminus, AP) LS-C257260
LifeSpan Biosciences
catalog: LS-C257260
domestic rabbit polyclonal
reactivity:
human
conjugate: AP
application:
western blot
,
ELISA
,
immunohistochemistry
,
immunocytochemistry
,
immunoprecipitation
,
flow cytometry
quantity:
price:
to the supplier
FGFR1 / FGF Receptor 1 Antibody (N-Terminus, APC) LS-C257261
LifeSpan Biosciences
catalog: LS-C257261
domestic rabbit polyclonal
reactivity:
human
conjugate: APC
application:
western blot
,
ELISA
,
immunohistochemistry
,
immunocytochemistry
,
immunoprecipitation
,
flow cytometry
quantity:
price:
to the supplier
FGFR1 / FGF Receptor 1 Antibody (N-Terminus, FITC) LS-C257262
LifeSpan Biosciences
catalog: LS-C257262
domestic rabbit polyclonal
reactivity:
human
conjugate: FITC
application:
western blot
,
immunohistochemistry
,
immunocytochemistry
,
flow cytometry
quantity:
price:
to the supplier
FGFR1 / FGF Receptor 1 Antibody (N-Terminus, Biotin) LS-C257263
LifeSpan Biosciences
catalog: LS-C257263
domestic rabbit polyclonal
reactivity:
human
conjugate: biotin
application:
western blot
,
ELISA
,
immunohistochemistry
,
immunocytochemistry
,
immunoprecipitation
,
flow cytometry
quantity:
price:
to the supplier
FGFR1 / FGF Receptor 1 Antibody (N-Terminus, Azide-free, HRP) LS-C257268
LifeSpan Biosciences
catalog: LS-C257268
domestic rabbit polyclonal
reactivity:
human
conjugate: HRP
application:
western blot
,
ELISA
,
immunohistochemistry
,
immunocytochemistry
,
immunoprecipitation
,
flow cytometry
quantity:
price:
to the supplier
FGFR1 / FGF Receptor 1 Antibody (N-Terminus, PE) LS-C257270
LifeSpan Biosciences
catalog: LS-C257270
domestic rabbit polyclonal
reactivity:
human
conjugate: PE
application:
western blot
,
ELISA
,
immunohistochemistry
,
immunocytochemistry
,
immunoprecipitation
,
flow cytometry
quantity:
price:
to the supplier
FGFR1 / FGF Receptor 1 Antibody (phospho-Tyr766, AP) LS-C259390
LifeSpan Biosciences
catalog: LS-C259390
domestic rabbit polyclonal
reactivity:
human
conjugate: AP
modification: phosphorylated
application:
western blot
,
ELISA
,
immunohistochemistry
quantity:
price:
to the supplier
FGFR1 / FGF Receptor 1 Antibody (phospho-Tyr766, APC) LS-C259392
LifeSpan Biosciences
catalog: LS-C259392
domestic rabbit polyclonal
reactivity:
human
conjugate: APC
modification: phosphorylated
application:
western blot
,
ELISA
,
immunohistochemistry
quantity:
price:
to the supplier
FGFR1 / FGF Receptor 1 Antibody (phospho-Tyr307, AP) LS-C277372
LifeSpan Biosciences
catalog: LS-C277372
domestic rabbit polyclonal
reactivity:
human
conjugate: AP
application:
western blot
,
ELISA
quantity:
price:
to the supplier
FGFR1 / FGF Receptor 1 Antibody (phospho-Tyr307, APC) LS-C277373
LifeSpan Biosciences
catalog: LS-C277373
domestic rabbit polyclonal
reactivity:
human
conjugate: APC
application:
western blot
,
ELISA
quantity:
price:
to the supplier
FGFR1 / FGF Receptor 1 Antibody (phospho-Tyr307, Biotin) LS-C277374
LifeSpan Biosciences
catalog: LS-C277374
domestic rabbit polyclonal
reactivity:
human
conjugate: biotin
application:
western blot
,
ELISA
quantity:
price:
to the supplier
FGFR1 / FGF Receptor 1 Antibody (phospho-Tyr307, FITC) LS-C277375
LifeSpan Biosciences
catalog: LS-C277375
domestic rabbit polyclonal
reactivity:
human
conjugate: FITC
application:
western blot
,
ELISA
quantity:
price:
to the supplier
FGFR1 / FGF Receptor 1 Antibody (phospho-Tyr307, Azide-free, HRP) LS-C277376
LifeSpan Biosciences
catalog: LS-C277376
domestic rabbit polyclonal
reactivity:
human
conjugate: HRP
application:
western blot
,
ELISA
quantity:
price:
to the supplier
FGFR1 / FGF Receptor 1 Antibody (Tyr463, AP) LS-C277377
LifeSpan Biosciences
catalog: LS-C277377
domestic rabbit polyclonal
reactivity:
human
conjugate: AP
application:
western blot
,
ELISA
quantity:
price:
to the supplier
FGFR1 / FGF Receptor 1 Antibody (Tyr463, APC) LS-C277378
LifeSpan Biosciences
catalog: LS-C277378
domestic rabbit polyclonal
reactivity:
human
conjugate: APC
application:
western blot
,
ELISA
quantity:
price:
to the supplier
FGFR1 / FGF Receptor 1 Antibody (phospho-Tyr307, PE) LS-C277379
LifeSpan Biosciences
catalog: LS-C277379
domestic rabbit polyclonal
reactivity:
human
conjugate: PE
application:
western blot
,
ELISA
quantity:
price:
to the supplier
FGFR1 / FGF Receptor 1 Antibody (Tyr463, Biotin) LS-C277380
LifeSpan Biosciences
catalog: LS-C277380
domestic rabbit polyclonal
reactivity:
human
conjugate: biotin
application:
western blot
,
ELISA
quantity:
price:
to the supplier
FGFR1 / FGF Receptor 1 Antibody (Tyr463, FITC) LS-C277381
LifeSpan Biosciences
catalog: LS-C277381
domestic rabbit polyclonal
reactivity:
human
conjugate: FITC
application:
western blot
,
ELISA
quantity:
price:
to the supplier
FGFR1 / FGF Receptor 1 Antibody (Tyr463, Azide-free, HRP) LS-C277382
LifeSpan Biosciences
catalog: LS-C277382
domestic rabbit polyclonal
reactivity:
human
conjugate: HRP
application:
western blot
,
ELISA
quantity:
price:
to the supplier
FGFR1 / FGF Receptor 1 Antibody (Tyr463, PE) LS-C277383
LifeSpan Biosciences
catalog: LS-C277383
domestic rabbit polyclonal
reactivity:
human
conjugate: PE
application:
western blot
,
ELISA
quantity:
price:
to the supplier
FGFR1 / FGF Receptor 1 Antibody (Tyr766, AP) LS-C277384
LifeSpan Biosciences
catalog: LS-C277384
domestic rabbit polyclonal
reactivity:
human
conjugate: AP
application:
western blot
,
ELISA
quantity:
price:
to the supplier
FGFR1 / FGF Receptor 1 Antibody (Tyr766, APC) LS-C277385
LifeSpan Biosciences
catalog: LS-C277385
domestic rabbit polyclonal
reactivity:
human
conjugate: APC
application:
western blot
,
ELISA
quantity:
price:
to the supplier
FGFR1 / FGF Receptor 1 Antibody (Tyr766, Biotin) LS-C277386
LifeSpan Biosciences
catalog: LS-C277386
domestic rabbit polyclonal
reactivity:
human
conjugate: biotin
application:
western blot
,
ELISA
quantity:
price:
to the supplier
FGFR1 / FGF Receptor 1 Antibody (Tyr766, Azide-free, HRP) LS-C277387
LifeSpan Biosciences
catalog: LS-C277387
domestic rabbit polyclonal
reactivity:
human
conjugate: HRP
application:
western blot
,
ELISA
quantity:
price:
to the supplier
FGFR1 / FGF Receptor 1 Antibody (Tyr766, FITC) LS-C277388
LifeSpan Biosciences
catalog: LS-C277388
domestic rabbit polyclonal
reactivity:
human
conjugate: FITC
application:
western blot
,
ELISA
quantity:
price:
to the supplier
FGFR1 / FGF Receptor 1 Antibody (Tyr766, PE) LS-C277389
LifeSpan Biosciences
catalog: LS-C277389
domestic rabbit polyclonal
reactivity:
human
conjugate: PE
application:
western blot
,
ELISA
quantity:
price:
to the supplier
FGFR1 / FGF Receptor 1 Antibody (Tyr653, AP) LS-C277390
LifeSpan Biosciences
catalog: LS-C277390
domestic rabbit polyclonal
reactivity:
human
conjugate: AP
application:
western blot
,
ELISA
quantity:
price:
to the supplier
FGFR1 / FGF Receptor 1 Antibody (Tyr653, APC) LS-C277391
LifeSpan Biosciences
catalog: LS-C277391
domestic rabbit polyclonal
reactivity:
human
conjugate: APC
application:
western blot
,
ELISA
quantity:
price:
to the supplier
FGFR1 / FGF Receptor 1 Antibody (Tyr653, FITC) LS-C277392
LifeSpan Biosciences
catalog: LS-C277392
domestic rabbit polyclonal
reactivity:
human
conjugate: FITC
application:
western blot
,
ELISA
quantity:
price:
to the supplier
FGFR1 / FGF Receptor 1 Antibody (Tyr653, Azide-free, HRP) LS-C277393
LifeSpan Biosciences
catalog: LS-C277393
domestic rabbit polyclonal
reactivity:
human
conjugate: HRP
application:
western blot
,
ELISA
quantity:
price:
to the supplier
FGFR1 / FGF Receptor 1 Antibody (Tyr653, Biotin) LS-C277394
LifeSpan Biosciences
catalog: LS-C277394
domestic rabbit polyclonal
reactivity:
human
conjugate: biotin
application:
western blot
,
ELISA
quantity:
price:
to the supplier
FGFR1 / FGF Receptor 1 Antibody (Tyr653, PE) LS-C277395
LifeSpan Biosciences
catalog: LS-C277395
domestic rabbit polyclonal
reactivity:
human
conjugate: PE
application:
western blot
,
ELISA
quantity:
price:
to the supplier
FGFR1 / FGF Receptor 1 Antibody (Tyr154, AP) LS-C277396
LifeSpan Biosciences
catalog: LS-C277396
domestic rabbit polyclonal
reactivity:
human
conjugate: AP
application:
western blot
,
ELISA
quantity:
price:
to the supplier
FGFR1 / FGF Receptor 1 Antibody (Tyr154, APC) LS-C277397
LifeSpan Biosciences
catalog: LS-C277397
domestic rabbit polyclonal
reactivity:
human
conjugate: APC
application:
western blot
,
ELISA
quantity:
price:
to the supplier
FGFR1 / FGF Receptor 1 Antibody (Tyr154, Biotin) LS-C277398
LifeSpan Biosciences
catalog: LS-C277398
domestic rabbit polyclonal
reactivity:
human
conjugate: biotin
application:
western blot
,
ELISA
quantity:
price:
to the supplier
FGFR1 / FGF Receptor 1 Antibody (Tyr154, FITC) LS-C277399
LifeSpan Biosciences
catalog: LS-C277399
domestic rabbit polyclonal
reactivity:
human
conjugate: FITC
application:
western blot
,
ELISA
quantity:
price:
to the supplier
FGFR1 / FGF Receptor 1 Antibody (Tyr154, Azide-free, HRP) LS-C277400
LifeSpan Biosciences
catalog: LS-C277400
domestic rabbit polyclonal
reactivity:
human
conjugate: HRP
application:
western blot
,
ELISA
quantity:
price:
to the supplier
FGFR1 / FGF Receptor 1 Antibody (Tyr154, PE) LS-C277401
LifeSpan Biosciences
catalog: LS-C277401
domestic rabbit polyclonal
reactivity:
human
conjugate: PE
application:
western blot
,
ELISA
quantity:
price:
to the supplier
FGFR1 / FGF Receptor 1 Antibody (aa236-362) LS-C292431
LifeSpan Biosciences
catalog: LS-C292431
mouse monoclonal
reactivity:
human
application:
western blot
Western blot of recombinant FGFR1. This image was taken for the unconjugated form of this product. Other forms have not been tested.
quantity:
price:
to the supplier
FGFR1 / FGF Receptor 1 Antibody (aa236-362) LS-C293919
LifeSpan Biosciences
catalog: LS-C293919
domestic rabbit polyclonal
reactivity:
human
application:
western blot
Western blot of recombinant FGFR1. This image was taken for the unconjugated form of this product. Other forms have not been tested.
quantity:
price:
to the supplier
FGFR1 / FGF Receptor 1 Antibody (aa236-362, Biotin) LS-C300837
LifeSpan Biosciences
catalog: LS-C300837
mouse monoclonal
reactivity:
human
conjugate: biotin
application:
western blot
Western blot of recombinant FGFR1. This image was taken for the unconjugated form of this product. Other forms have not been tested.
quantity:
price:
to the supplier
FGFR1 / FGF Receptor 1 Antibody (aa236-362, Biotin) LS-C300838
LifeSpan Biosciences
catalog: LS-C300838
domestic rabbit polyclonal
reactivity:
human
conjugate: biotin
application:
western blot
Western blot of recombinant FGFR1. This image was taken for the unconjugated form of this product. Other forms have not been tested.
quantity:
price:
to the supplier
FGFR1 / FGF Receptor 1 Antibody (aa236-362, FITC) LS-C303284
LifeSpan Biosciences
catalog: LS-C303284
mouse monoclonal
reactivity:
human
conjugate: FITC
application:
western blot
Western blot of recombinant FGFR1. This image was taken for the unconjugated form of this product. Other forms have not been tested.
quantity:
price:
to the supplier
FGFR1 / FGF Receptor 1 Antibody LS-C310379
LifeSpan Biosciences
catalog: LS-C310379
domestic rabbit polyclonal
reactivity:
human
application:
western blot
quantity:
price:
to the supplier
FGFR1 / FGF Receptor 1 Antibody (phospho-Tyr654) LS-C313589
LifeSpan Biosciences
catalog: LS-C313589
domestic rabbit polyclonal
reactivity:
human
modification: phosphorylated
application:
western blot
quantity:
price:
to the supplier
FGFR1 / FGF Receptor 1 Antibody (clone VBS1) LS-C11327
LifeSpan Biosciences
catalog: LS-C11327
mouse monoclonal (VBS1)
reactivity:
human
application:
western blot
,
ELISA
,
immunohistochemistry
,
immunoprecipitation
,
immunohistochemistry - paraffin section
,
immunohistochemistry - frozen section
quantity:
price:
to the supplier
FGFR1 / FGF Receptor 1 Antibody (phospho-Tyr766) LS-C321376
LifeSpan Biosciences
catalog: LS-C321376
domestic rabbit polyclonal
reactivity:
human
application:
western blot
,
ELISA
,
immunohistochemistry
quantity:
price:
to the supplier
FGFR1 / FGF Receptor 1 Antibody (aa756-784) LS-C321380
LifeSpan Biosciences
catalog: LS-C321380
domestic rabbit polyclonal
reactivity:
human
,
mouse
application:
western blot
,
ELISA
,
immunohistochemistry
quantity:
price:
to the supplier
FGFR1 / FGF Receptor 1 Antibody (aa285-314) LS-C321387
LifeSpan Biosciences
catalog: LS-C321387
domestic rabbit polyclonal
reactivity:
human
application:
western blot
,
ELISA
quantity:
price:
to the supplier
FGFR1 / FGF Receptor 1 Antibody (phospho-Tyr307) LS-C327382
LifeSpan Biosciences
catalog: LS-C327382
domestic rabbit polyclonal
reactivity:
human
application:
ELISA
quantity:
price:
to the supplier
FGFR1 / FGF Receptor 1 Antibody (Tyr463) LS-C327383
LifeSpan Biosciences
catalog: LS-C327383
domestic rabbit polyclonal
reactivity:
human
application:
western blot
,
ELISA
quantity:
price:
to the supplier
FGFR1 / FGF Receptor 1 Antibody (Tyr766) LS-C327385
LifeSpan Biosciences
catalog: LS-C327385
domestic rabbit polyclonal
reactivity:
human
application:
western blot
,
ELISA
quantity:
price:
to the supplier
FGFR1 / FGF Receptor 1 Antibody (Tyr653) LS-C327386
LifeSpan Biosciences
catalog: LS-C327386
domestic rabbit polyclonal
reactivity:
human
application:
western blot
,
ELISA
quantity:
price:
to the supplier
FGFR1 / FGF Receptor 1 Antibody (Tyr154) LS-C327387
LifeSpan Biosciences
catalog: LS-C327387
domestic rabbit polyclonal
reactivity:
human
application:
western blot
,
ELISA
quantity:
price:
to the supplier
FGFR1 / FGF Receptor 1 Antibody LS-C331878
LifeSpan Biosciences
catalog: LS-C331878
domestic rabbit polyclonal
reactivity:
human
application:
western blot
,
immunohistochemistry
Western blot analysis of extracts of various cell lines.
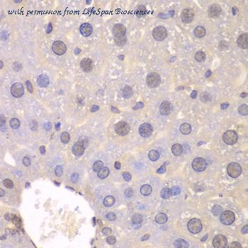
Immunohistochemistry of paraffin-embedded mouse liver tissue.
quantity:
price:
to the supplier
FGFR1 / FGF Receptor 1 Antibody (aa1-376, clone OTI6F8) LS-C336770
LifeSpan Biosciences
catalog: LS-C336770
mouse monoclonal (OTI6F8)
reactivity:
human
application:
western blot
HEK293T cells were transfected with the pCMV6-ENTRY control (Left lane) or pCMV6-ENTRY FGFR1 (Right lane) cDNA for 48 hrs and lysed. Equivalent amounts of cell lysates (5 ug per lane) were separated by SDS-PAGE and immunoblotted with anti-FGFR1.
quantity:
price:
to the supplier
FGFR1 / FGF Receptor 1 Antibody (aa1-376, clone OTI1A3) LS-C336772
LifeSpan Biosciences
catalog: LS-C336772
mouse monoclonal (OTI1A3)
reactivity:
human
application:
western blot
HEK293T cells were transfected with the pCMV6-ENTRY control (Left lane) or pCMV6-ENTRY FGFR1 (Right lane) cDNA for 48 hrs and lysed. Equivalent amounts of cell lysates (5 ug per lane) were separated by SDS-PAGE and immunoblotted with anti-FGFR1.
quantity:
price:
to the supplier
FGFR1 / FGF Receptor 1 Antibody (aa1-376, clone OTI3C4) LS-C338632
LifeSpan Biosciences
catalog: LS-C338632
mouse monoclonal (OTI3C4)
reactivity:
human
application:
western blot
HEK293T cells were transfected with the pCMV6-ENTRY control (Left lane) or pCMV6-ENTRY FGFR1 (Right lane) cDNA for 48 hrs and lysed. Equivalent amounts of cell lysates (5 ug per lane) were separated by SDS-PAGE and immunoblotted with anti-FGFR1.
quantity:
price:
to the supplier
FGFR1 / FGF Receptor 1 Antibody (aa1-376, clone OTI5D5) LS-C338652
LifeSpan Biosciences
catalog: LS-C338652
mouse monoclonal (OTI5D5)
reactivity:
human
application:
western blot
HEK293T cells were transfected with the pCMV6-ENTRY control (Left lane) or pCMV6-ENTRY FGFR1 (Right lane) cDNA for 48 hrs and lysed. Equivalent amounts of cell lysates (5 ug per lane) were separated by SDS-PAGE and immunoblotted with anti-FGFR1.
quantity:
price:
to the supplier
FGFR1 / FGF Receptor 1 Antibody (phospho-Tyr766) LS-C340885
LifeSpan Biosciences
catalog: LS-C340885
domestic rabbit polyclonal
reactivity:
human
application:
western blot
,
immunohistochemistry
quantity:
price:
to the supplier
FGFR1 / FGF Receptor 1 Antibody (N-Terminus) LS-C97512
LifeSpan Biosciences
catalog: LS-C97512
domestic rabbit polyclonal
reactivity:
human
application:
western blot
,
immunocytochemistry
,
immunoprecipitation
,
flow cytometry
quantity:
price:
to the supplier
FGFR1 / FGF Receptor 1 Antibody (aa291-324) LS-C344515
LifeSpan Biosciences
catalog: LS-C344515
domestic rabbit polyclonal
reactivity:
human
application:
western blot
Western blot of lysates from HeLa, HepG2, MCF-7, SH-SY5Y, mouse NIH/3T3 cell line (from left to right) with FGFR1 Antibody. Antibody was diluted at 1:1000 at each lane. A goat anti-rabbit IgG H&L (HRP) at 1:10000 dilution was used as the secondary antibody. Lysates at 20 ug per lane.
quantity:
price:
to the supplier
FGFR1 / FGF Receptor 1 Antibody (phospho-Tyr654) LS-C352209
LifeSpan Biosciences
catalog: LS-C352209
domestic rabbit polyclonal
reactivity:
human
modification: phosphorylated
application:
western blot
Western blot analysis of FGFR1 (pY654) expression in HEK293T (A); Raw264.7 (B); PC12 (C) whole cell lysates.
quantity:
price:
to the supplier
FGFR1 / FGF Receptor 1 Antibody (phospho-Tyr766) LS-C352215
LifeSpan Biosciences
catalog: LS-C352215
domestic rabbit polyclonal
reactivity:
human
modification: phosphorylated
application:
western blot
,
immunohistochemistry
,
immunohistochemistry - paraffin section
Western blot analysis of FGFR1 (pY766) expression in HepG2 EGF-treated (A); SP2/0 EGF-treated (B); PC12 EGF-treated (C) whole cell lysates.
Immunohistochemical analysis of FGFR1 (pY766) staining in human breast cancer formalin fixed paraffin embedded tissue section. The section was pre-treated using heat mediated antigen retrieval with sodium citrate buffer (pH 6.0). The section was then incubated with the antibody at room temperature and detected using an HRP conjugated compact polymer system. DAB was used as the chromogen. The section was then counterstained with hematoxylin and mounted with DPX.
quantity:
price:
to the supplier
FGFR1 / FGF Receptor 1 Antibody (C-Terminus) LS-C354005
LifeSpan Biosciences
catalog: LS-C354005
domestic rabbit polyclonal
reactivity:
human
application:
western blot
Western blot analysis of FGFR1 expression in Saos2 (A); Raw264.7 (B) whole cell lysates.
quantity:
price:
to the supplier
FGFR1 / FGF Receptor 1 Antibody (aa806-842, clone 1440CT772.50.23) LS-C356270
LifeSpan Biosciences
catalog: LS-C356270
mouse monoclonal (1440CT772.50.23)
reactivity:
human
application:
western blot
Western blot of lysate from HeLa cell line, using FGFR1 antibody diluted at 1:2000. A goat anti-mouse IgG H&L (HRP) at 1:3000 dilution was used as the secondary antibody. Lysate at 20 ug.
quantity:
price:
to the supplier
FGFR1 / FGF Receptor 1 Antibody (C-Terminus) LS-C358997
LifeSpan Biosciences
catalog: LS-C358997
domestic rabbit polyclonal
reactivity:
human
application:
western blot
,
immunohistochemistry
,
immunohistochemistry - paraffin section
Western blot analysis of FGFR1 expression in HepG2 (A); SHSY5Y (B) whole cell lysates.
Immunohistochemical analysis of FGFR1 staining in human breast cancer formalin fixed paraffin embedded tissue section. The section was pre-treated using heat mediated antigen retrieval with sodium citrate buffer (pH 6.0). The section was then incubated with the antibody at room temperature and detected using an HRP conjugated compact polymer system. DAB was used as the chromogen. The section was then counterstained with hematoxylin and mounted with DPX.
quantity:
price:
to the supplier
FGFR1 / FGF Receptor 1 Antibody (aa22-376) LS-C372829
LifeSpan Biosciences
catalog: LS-C372829
domestic rabbit polyclonal
reactivity:
human
,
rat
application:
western blot
Western blot of FGFR1 / FGF Receptor 1 antibody.
quantity:
price:
to the supplier
FGFR1 / FGF Receptor 1 Antibody (90-170 aa) LS-C381123
LifeSpan Biosciences
catalog: LS-C381123
domestic rabbit polyclonal
reactivity:
human
modification: phosphorylated
application:
western blot
,
ELISA
,
immunocytochemistry
Western blot of Phospho-Flg (Y154) antibody
quantity:
price:
to the supplier
FGFR1 / FGF Receptor 1 Antibody (600-680 aa) LS-C381134
LifeSpan Biosciences
catalog: LS-C381134
domestic rabbit polyclonal
reactivity:
human
modification: phosphorylated
application:
western blot
,
ELISA
,
immunocytochemistry
Western blot of Phospho-Flg (Y654) antibody
quantity:
price:
to the supplier
FGFR1 / FGF Receptor 1 Antibody (710-790 aa) LS-C381251
LifeSpan Biosciences
catalog: LS-C381251
domestic rabbit polyclonal
reactivity:
human
modification: phosphorylated
application:
western blot
,
ELISA
,
immunohistochemistry
quantity:
price:
to the supplier
FGFR1 / FGF Receptor 1 Antibody (600-680 aa) LS-C383518
LifeSpan Biosciences
catalog: LS-C383518
domestic rabbit polyclonal
reactivity:
human
application:
western blot
,
ELISA
,
immunocytochemistry
Western blot of Flg antibody
quantity:
price:
to the supplier
FGFR1 / FGF Receptor 1 Antibody (710-790 aa) LS-C383523
LifeSpan Biosciences
catalog: LS-C383523
domestic rabbit polyclonal
reactivity:
human
application:
western blot
,
ELISA
,
immunohistochemistry
Western blot of Flg antibody
quantity:
price:
to the supplier
FGFR1 / FGF Receptor 1 Antibody (90-170 aa) LS-C383524
LifeSpan Biosciences
catalog: LS-C383524
domestic rabbit polyclonal
reactivity:
human
application:
western blot
,
ELISA
,
immunocytochemistry
Western blot of Flg antibody
quantity:
price:
to the supplier