Sign in
Sign up
home
>
LifeSpan Biosciences
> LifeSpan Biosciences Akt antibody
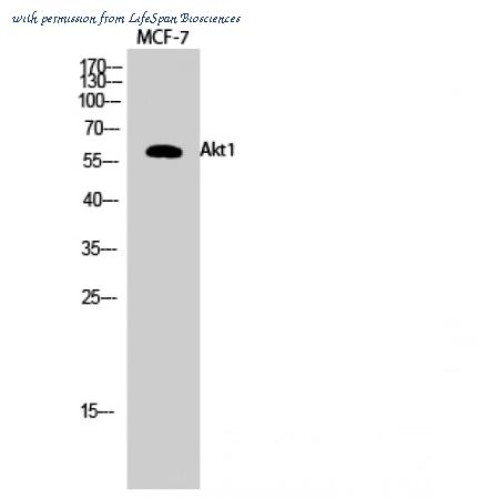
AKT1 Antibody (phospho-Thr308) LS-C122634
LifeSpan Biosciences
catalog: LS-C122634
domestic rabbit polyclonal
reactivity:
human
modification: phosphorylated
application:
western blot
,
immunohistochemistry
,
immunocytochemistry
quantity:
price:
to the supplier
AKT1 Antibody (phospho-Ser473) LS-C48275
LifeSpan Biosciences
catalog: LS-C48275
domestic rabbit polyclonal
reactivity:
human
,
mouse
modification: phosphorylated
application:
western blot
,
immunoprecipitation
quantity:
price:
to the supplier
IHC-plus™ AKT1 + AKT2 Antibody LS-B3688
LifeSpan Biosciences
catalog: LS-B3688
domestic rabbit polyclonal
reactivity:
human
application:
western blot
,
immunohistochemistry
,
immunoprecipitation
,
immunohistochemistry - paraffin section
Anti-AKT antibody IHC of human heart. Immunohistochemistry of formalin-fixed, paraffin-embedded tissue after heat-induced antigen retrieval. Antibody concentration 10 ug/ml.
Western blot of Akt Polyclonal Antibody: Lane 1: MWM, Lane 2: Mouse Brain, Lane 3: Rat Brain, Lane 4: HeLa Cell Lysate, Lane 5: Hs-67 Cell Lysate
quantity:
price:
to the supplier
AKT1 Antibody (phospho-Ser129) LS-C97407
LifeSpan Biosciences
catalog: LS-C97407
domestic rabbit polyclonal
reactivity:
human
modification: phosphorylated
Dot blot of anti-AKT1-pS129 Phospho-specific antibody on nitrocellulose membrane. 50ng of Phospho-peptide or Non Phospho-peptide per dot were adsorbed. Antibody working concentrations are 0.5ug per ml.
quantity:
price:
to the supplier
AKT1 Antibody (aa438-468) LS-C98936
LifeSpan Biosciences
catalog: LS-C98936
domestic rabbit polyclonal
reactivity:
human
application:
western blot
,
flow cytometry
Western blot of AKT1 (arrow) using rabbit polyclonal hAKT1-D453. 293 cell lysates (2 ug/lane) either nontransfected (Lane 1) or transiently transfected with the AKT1 gene (Lane 2) (Origene Technologies).
AKT1 Antibody flow cytometry of MDA-MB435 cells (right histogram) compared to a negative control cell (left histogram). FITC-conjugated goat-anti-rabbit secondary antibodies were used for the analysis.
quantity:
price:
to the supplier
AKT1 Antibody (phospho-Ser473, clone 104A282) LS-C581
LifeSpan Biosciences
catalog: LS-C581
mouse monoclonal (104A282)
reactivity:
human
modification: phosphorylated
application:
western blot
,
immunoprecipitation
quantity:
price:
to the supplier
AKT1 Antibody (aa464-477) LS-C619
LifeSpan Biosciences
catalog: LS-C619
domestic rabbit polyclonal
reactivity:
human
application:
western blot
quantity:
price:
to the supplier
AKT1 Antibody (aa121-170) LS-C31151
LifeSpan Biosciences
catalog: LS-C31151
domestic rabbit polyclonal
reactivity:
human
application:
western blot
quantity:
price:
to the supplier
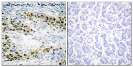
IHC-plus™ AKT1 + AKT2 + AKT3 Antibody (phospho-Ser473) LS-B1183
LifeSpan Biosciences
catalog: LS-B1183
domestic rabbit polyclonal
reactivity:
human
modification: phosphorylated
application:
western blot
,
ELISA
,
immunohistochemistry
,
immunocytochemistry
,
immunohistochemistry - paraffin section
Anti-AKT1 antibody IHC of human skeletal muscle. Immunohistochemistry of formalin-fixed, paraffin-embedded tissue after heat-induced antigen retrieval. Antibody concentration 5 ug/ml.
quantity:
price:
to the supplier
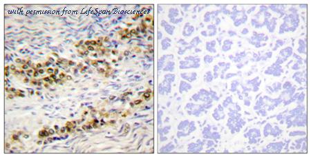
IHC-plus™ AKT1 Antibody (phospho-Thr308) LS-B1190
LifeSpan Biosciences
catalog: LS-B1190
domestic rabbit polyclonal
reactivity:
human
modification: phosphorylated
application:
western blot
,
ELISA
,
immunohistochemistry
,
flow cytometry
,
immunohistochemistry - paraffin section
Anti-AKT1 antibody IHC of human brain, cortex. Immunohistochemistry of formalin-fixed, paraffin-embedded tissue after heat-induced antigen retrieval. Antibody concentration 5 ug/ml.
quantity:
price:
to the supplier
IHC-plus™ AKT1 Antibody LS-B1327
LifeSpan Biosciences
catalog: LS-B1327
domestic rabbit polyclonal
reactivity:
human
application:
western blot
,
ELISA
,
immunohistochemistry
,
immunocytochemistry
,
immunoprecipitation
,
immunohistochemistry - paraffin section
Anti-AKT1 antibody IHC of human adrenal. Immunohistochemistry of formalin-fixed, paraffin-embedded tissue after heat-induced antigen retrieval. Antibody concentration 5 ug/ml.
Immunofluorescence of Akt1 in Human Liver cells with Akt1 antibody at 20 ug/ml.
quantity:
price:
to the supplier
IHC-plus™ AKT1 Antibody (aa121-170) LS-B1510
LifeSpan Biosciences
catalog: LS-B1510
domestic rabbit polyclonal
reactivity:
human
application:
western blot
,
immunohistochemistry
,
immunohistochemistry - paraffin section
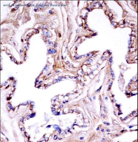
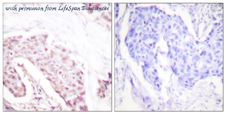
Anti-AKT1 antibody IHC of human prostate. Immunohistochemistry of formalin-fixed, paraffin-embedded tissue after heat-induced antigen retrieval. Antibody concentration 5 ug/ml. This image was taken for the unconjugated form of this product. Other forms have not been tested.
quantity:
price:
to the supplier
AKT1 Antibody (aa80) LS-C48268
LifeSpan Biosciences
catalog: LS-C48268
domestic rabbit polyclonal
reactivity:
human
application:
western blot
,
immunohistochemistry
,
immunoprecipitation
quantity:
price:
to the supplier
AKT1 Antibody (Internal) LS-C60161
LifeSpan Biosciences
catalog: LS-C60161
domestic sheep polyclonal
reactivity:
human
application:
western blot
,
ELISA
,
immunohistochemistry
,
immunocytochemistry
,
flow cytometry
quantity:
price:
to the supplier
AKT1 Antibody (C-Terminus) LS-C93916
LifeSpan Biosciences
catalog: LS-C93916
domestic rabbit polyclonal
reactivity:
human
,
mouse
application:
western blot
,
immunohistochemistry
quantity:
price:
to the supplier
AKT1 Antibody (phospho-Ser473) LS-C93919
LifeSpan Biosciences
catalog: LS-C93919
domestic sheep polyclonal
reactivity:
human
,
mouse
modification: phosphorylated
application:
western blot
,
immunohistochemistry
quantity:
price:
to the supplier
AKT1 Antibody LS-C96005
LifeSpan Biosciences
catalog: LS-C96005
chicken polyclonal
reactivity:
human
application:
ELISA
quantity:
price:
to the supplier
AKT1 Antibody (phospho-Ser473) LS-C96773
LifeSpan Biosciences
catalog: LS-C96773
domestic rabbit polyclonal
reactivity:
human
modification: phosphorylated
application:
western blot
Dot blot of anti-AKT1-pS473 Phospho-specific antibody on nitrocellulose membrane. 50ng of Phospho-peptide or Non Phospho-peptide per dot were adsorbed. Antibody working concentrations are 0.5ug per ml.
Western blot of extracts from NIH-3T3 cells,untreated or treated with PDGF,using Phospho-Akt(Ser473)(left) or Akt antibody(right).
quantity:
price:
to the supplier
AKT1 Antibody (aa115-144) LS-C98346
LifeSpan Biosciences
catalog: LS-C98346
domestic rabbit polyclonal
reactivity:
human
application:
western blot
,
immunohistochemistry
,
immunocytochemistry
,
flow cytometry
,
immunohistochemistry - paraffin section
Western blot of AKT1 Antibody polyclonal antibody(arrow). 293 cell lysates (2 ug/lane) either nontransfected (Lane 1) or transiently transfected with the AKT1 gene (Lane 2) (Origene Technologies).
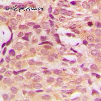
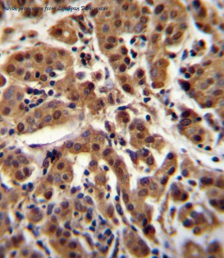
Formalin-fixed and paraffin-embedded human breast carcinoma reacted with AKT1 antibody , which was peroxidase-conjugated to the secondary antibody, followed by DAB staining. This data demonstrates the use of this antibody for immunohistochemistry; clinical relevance has not been evaluated.
Confocal immunofluorescence of AKT1 Antibody with MDA-MB435 cell followed by Alexa Fluor 488-conjugated goat anti-rabbit lgG (green). Actin filaments have been labeled with Alexa Fluor 555 phalloidin (red). DAPI was used to stain the cell nuclear (blue).
quantity:
price:
to the supplier
AKT1 Antibody (aa90-139) LS-C117590
LifeSpan Biosciences
catalog: LS-C117590
domestic rabbit polyclonal
reactivity:
human
application:
western blot
Western blot analysis of lysates from NIH/3T3 cells, treated with PDGF 50ng/ml 20', using Akt Antibody. The lane on the right is blocked with the synthesized peptide.
quantity:
price:
to the supplier
AKT1 Antibody (aa431-480) LS-C117733
LifeSpan Biosciences
catalog: LS-C117733
domestic rabbit polyclonal
reactivity:
human
application:
immunohistochemistry
,
immunohistochemistry - paraffin section
Immunohistochemistry analysis of paraffin-embedded human ovary tissue, using Akt Antibody. The picture on the right is blocked with the synthesized peptide.
quantity:
price:
to the supplier
AKT1 Antibody (aa38-87) LS-C117736
LifeSpan Biosciences
catalog: LS-C117736
domestic rabbit polyclonal
reactivity:
human
application:
western blot
,
immunohistochemistry
,
immunohistochemistry - paraffin section
Immunohistochemistry analysis of paraffin-embedded human ovary tissue, using Akt Antibody. The picture on the right is blocked with the synthesized peptide.
Western blot analysis of lysates from NIH/3T3 cells, treated with TNF-a 20ng/ml 30', using Akt Antibody. The lane on the right is blocked with the synthesized peptide.
quantity:
price:
to the supplier
AKT1 Antibody (aa292-341) LS-C117826
LifeSpan Biosciences
catalog: LS-C117826
domestic rabbit polyclonal
reactivity:
human
application:
western blot
,
immunohistochemistry
,
immunocytochemistry
,
immunohistochemistry - paraffin section
Immunofluorescence analysis of HeLa cells, using Akt Antibody. The picture on the right is blocked with the synthesized peptide.
Immunohistochemistry analysis of paraffin-embedded human brain tissue, using Akt Antibody. The picture on the right is blocked with the synthesized peptide.
Western blot analysis of lysates from HeLa cells, treated with Insulin 0.01U/ml 15', using Akt Antibody. The lane on the right is blocked with the synthesized peptide.
quantity:
price:
to the supplier
AKT1 Antibody (aa11-60) LS-C118857
LifeSpan Biosciences
catalog: LS-C118857
domestic rabbit polyclonal
reactivity:
human
application:
western blot
Western blot analysis of lysates from 293 cells and HepG2 cells, using Akt Antibody. The lane on the right is blocked with the synthesized peptide.
quantity:
price:
to the supplier
AKT1 Antibody (phospho-Ser473) LS-C121352
LifeSpan Biosciences
catalog: LS-C121352
mouse monoclonal
reactivity:
human
modification: phosphorylated
application:
western blot
,
ELISA
,
immunohistochemistry
,
immunoprecipitation
,
immunohistochemistry - paraffin section
quantity:
price:
to the supplier
AKT1 Antibody (C-Terminus) LS-C122630
LifeSpan Biosciences
catalog: LS-C122630
mouse monoclonal
reactivity:
human
application:
western blot
,
ELISA
,
immunohistochemistry
,
immunoprecipitation
quantity:
price:
to the supplier
AKT1 Antibody LS-C122635
LifeSpan Biosciences
catalog: LS-C122635
domestic rabbit polyclonal
reactivity:
human
application:
western blot
,
immunohistochemistry
quantity:
price:
to the supplier
AKT1 Antibody (phospho-Ser473) LS-C122636
LifeSpan Biosciences
catalog: LS-C122636
domestic rabbit polyclonal
reactivity:
human
modification: phosphorylated
application:
western blot
,
immunohistochemistry
quantity:
price:
to the supplier
AKT1 Antibody (aa2-480) LS-C125031
LifeSpan Biosciences
catalog: LS-C125031
mouse monoclonal
reactivity:
human
application:
western blot
,
ELISA
,
immunocytochemistry
,
flow cytometry
quantity:
price:
to the supplier
AKT1 Antibody (aa74-89) LS-C125033
LifeSpan Biosciences
catalog: LS-C125033
domestic rabbit polyclonal
reactivity:
human
application:
western blot
quantity:
price:
to the supplier
AKT1 Antibody (phospho-Ser473, Agarose) LS-C126652
LifeSpan Biosciences
catalog: LS-C126652
domestic rabbit monoclonal
reactivity:
human
conjugate: agarose
modification: phosphorylated
application:
immunoprecipitation
quantity:
price:
to the supplier
AKT1 Antibody (phospho-Ser473, Biotin) LS-C126654
LifeSpan Biosciences
catalog: LS-C126654
mouse monoclonal
reactivity:
human
conjugate: biotin
modification: phosphorylated
application:
immunoprecipitation
quantity:
price:
to the supplier
AKT1 Antibody (phospho-Thr308) LS-C126657
LifeSpan Biosciences
catalog: LS-C126657
mouse monoclonal
reactivity:
human
modification: phosphorylated
application:
western blot
quantity:
price:
to the supplier
AKT1 Antibody (phospho-Thr450) LS-C126658
LifeSpan Biosciences
catalog: LS-C126658
domestic rabbit polyclonal
reactivity:
human
modification: phosphorylated
application:
western blot
,
immunoprecipitation
quantity:
price:
to the supplier
AKT1 Antibody LS-C126664
LifeSpan Biosciences
catalog: LS-C126664
domestic rabbit polyclonal
reactivity:
human
application:
western blot
,
immunocytochemistry
quantity:
price:
to the supplier
AKT1 Antibody (phospho-Ser473) LS-C126669
LifeSpan Biosciences
catalog: LS-C126669
domestic rabbit monoclonal
reactivity:
human
modification: phosphorylated
application:
western blot
quantity:
price:
to the supplier
AKT1 Antibody (aa404-418) LS-C126670
LifeSpan Biosciences
catalog: LS-C126670
domestic rabbit monoclonal
reactivity:
human
application:
western blot
,
immunoprecipitation
quantity:
price:
to the supplier
AKT1 Antibody (clone 2E11) LS-C133038
LifeSpan Biosciences
catalog: LS-C133038
mouse monoclonal (2E11)
reactivity:
human
application:
western blot
,
ELISA
,
immunocytochemistry
,
immunoprecipitation
Western blot of AKT1 expression in transfected 293T cell line by AKT1 monoclonal antibody, clone 2E11.
Immunofluorescence of monoclonal antibody to AKT1 on HeLa cell. [antibody concentration 20 ug/ml]
Immunoprecipitation of AKT1 transfected lysate using anti-AKT1 monoclonal antibody and Protein A Magnetic Bead.
quantity:
price:
to the supplier
AKT1 Antibody (clone 6D6) LS-C133039
LifeSpan Biosciences
catalog: LS-C133039
mouse monoclonal (6D6)
reactivity:
human
application:
western blot
,
ELISA
Western blot of AKT1 expression in HeLa cell lysates.
Detection limit for recombinant GST tagged AKT1 is approximately 1 ng/ml as a capture antibody.
quantity:
price:
to the supplier
AKT1 Antibody (clone 6G6) LS-C133040
LifeSpan Biosciences
catalog: LS-C133040
mouse monoclonal (6G6)
reactivity:
human
application:
western blot
,
ELISA
Western blot of AKT1 expression in HeLa cell lysates.
Detection limit for recombinant GST tagged AKT1 is approximately 3 ng/ml as a capture antibody.
quantity:
price:
to the supplier
AKT1 Antibody (clone 2H1) LS-C133041
LifeSpan Biosciences
catalog: LS-C133041
mouse monoclonal (2H1)
reactivity:
human
application:
western blot
,
ELISA
Western blot of AKT1 expression in HL-60 cell lysates.
Detection limit for recombinant GST tagged AKT1 is approximately 3 ng/ml as a capture antibody.
quantity:
price:
to the supplier
AKT1 Antibody (clone 4B9) LS-C133042
LifeSpan Biosciences
catalog: LS-C133042
mouse monoclonal (4B9)
reactivity:
human
application:
western blot
,
ELISA
Western blot of AKT1 expression in HeLa cell lysates.
Detection limit for recombinant GST tagged AKT1 is 1 ng/ml as a capture antibody.
quantity:
price:
to the supplier
AKT1 Antibody LS-C136835
LifeSpan Biosciences
catalog: LS-C136835
domestic rabbit polyclonal
reactivity:
human
application:
western blot
,
ELISA
,
immunocytochemistry
quantity:
price:
to the supplier
AKT1 Antibody (phospho-Ser473) LS-C137457
LifeSpan Biosciences
catalog: LS-C137457
domestic rabbit polyclonal
reactivity:
human
modification: phosphorylated
application:
western blot
quantity:
price:
to the supplier
AKT1 Antibody (phospho-Ser473) LS-C153537
LifeSpan Biosciences
catalog: LS-C153537
domestic rabbit polyclonal
reactivity:
human
modification: phosphorylated
application:
western blot
,
ELISA
quantity:
price:
to the supplier
AKT1 Antibody (phospho-Thr450) LS-C153539
LifeSpan Biosciences
catalog: LS-C153539
domestic rabbit polyclonal
reactivity:
human
modification: phosphorylated
application:
western blot
,
ELISA
quantity:
price:
to the supplier
AKT1 Antibody (phospho-Ser473, clone 17F6.B11, Biotin) LS-C153789
LifeSpan Biosciences
catalog: LS-C153789
mouse monoclonal (17F6.B11)
reactivity:
human
conjugate: biotin
modification: phosphorylated
application:
western blot
,
ELISA
,
immunohistochemistry
,
immunocytochemistry
,
immunoprecipitation
,
flow cytometry
quantity:
price:
to the supplier
AKT1 Antibody (phospho-Thr308, clone 18F3.H11, Biotin) LS-C153790
LifeSpan Biosciences
catalog: LS-C153790
mouse monoclonal (18F3.H11)
reactivity:
human
conjugate: biotin
modification: phosphorylated
application:
western blot
,
ELISA
,
immunohistochemistry
,
immunoprecipitation
,
flow cytometry
quantity:
price:
to the supplier
AKT1 Antibody (phospho-Ser473, clone 17F6.B11, Atto 594) LS-C153792
LifeSpan Biosciences
catalog: LS-C153792
mouse monoclonal (17F6.B11)
reactivity:
human
conjugate: ATTO 594
modification: phosphorylated
application:
western blot
,
ELISA
,
immunocytochemistry
,
flow cytometry
quantity:
price:
to the supplier
AKT1 Antibody (phospho-Ser473, clone 17F6.B11) LS-C153997
LifeSpan Biosciences
catalog: LS-C153997
mouse monoclonal (17F6.B11)
reactivity:
human
modification: phosphorylated
application:
western blot
,
ELISA
,
immunohistochemistry
,
immunocytochemistry
,
immunoprecipitation
,
flow cytometry
quantity:
price:
to the supplier
AKT1 Antibody (phospho-Thr308, clone 18F3.H11) LS-C153998
LifeSpan Biosciences
catalog: LS-C153998
mouse monoclonal (18F3.H11)
reactivity:
human
modification: phosphorylated
application:
western blot
,
ELISA
,
immunohistochemistry
,
immunoprecipitation
,
flow cytometry
quantity:
price:
to the supplier
AKT1 Antibody (Internal, clone 14E5.16C8.25F6) LS-C154001
LifeSpan Biosciences
catalog: LS-C154001
mouse monoclonal (14E5.16C8.25F6)
reactivity:
human
application:
western blot
,
ELISA
,
immunohistochemistry
,
flow cytometry
quantity:
price:
to the supplier
AKT1 Antibody (Thr308) LS-C156221
LifeSpan Biosciences
catalog: LS-C156221
domestic rabbit polyclonal
reactivity:
human
application:
western blot
,
immunohistochemistry
,
flow cytometry
,
immunohistochemistry - paraffin section
AKT1 (Thr308) Antibody western blot of MDA-MB435 cell line lysates (35 ug/lane). The AKT1 antibody detected the AKT1 protein (arrow).
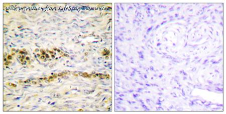
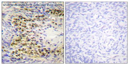
AKT1 antibody (Thr308) immunohistochemistry of formalin-fixed and paraffin-embedded human breast carcinoma followed by peroxidase-conjugated secondary antibody and DAB staining.
AKT1 Antibody (Thr308) flow cytometry of MDA-MB435 cells (right histogram) compared to a negative control cell (left histogram). FITC-conjugated goat-anti-rabbit secondary antibodies were used for the analysis.
quantity:
price:
to the supplier
AKT1 Antibody (aa428-457) LS-C156225
LifeSpan Biosciences
catalog: LS-C156225
domestic rabbit polyclonal
reactivity:
human
application:
western blot
,
immunohistochemistry
,
immunocytochemistry
,
flow cytometry
,
immunohistochemistry - paraffin section
AKT1 Antibody (pT450) western blot of MCF-7 cell line lysates (35 ug/lane). The AKT1 antibody detected the AKT1 protein (arrow).
AKT1 Antibody (C-term T450) immunohistochemistry of formalin-fixed and paraffin-embedded human breast carcinoma followed by peroxidase-conjugated secondary antibody and DAB staining.
Confocal immunofluorescence of AKT1 Antibody (C-term T450) with MCF-7 cell followed by Alexa Fluor 488-conjugated goat anti-rabbit lgG (green). DAPI was used to stain the cell nuclear (blue).
quantity:
price:
to the supplier
AKT1 Antibody (aa49-76) LS-C156226
LifeSpan Biosciences
catalog: LS-C156226
domestic rabbit polyclonal
reactivity:
human
application:
western blot
,
immunocytochemistry
,
flow cytometry
Western blot of AKT1 Antibody in MCF-7 cell line lysates (35 ug/lane). AKT1 (arrow) was detected using the purified antibody.
Confocal immunofluorescence of AKT1 Antibody with MDA-MB435 cell followed by Alexa Fluor 488-conjugated goat anti-rabbit lgG (green). DAPI was used to stain the cell nuclear (blue).
AKT1 Antibody flow cytometry of MDA-MB435 cells (right histogram) compared to a negative control cell (left histogram). FITC-conjugated goat-anti-rabbit secondary antibodies were used for the analysis.
quantity:
price:
to the supplier
AKT1 Antibody (Ser129) LS-C156227
LifeSpan Biosciences
catalog: LS-C156227
domestic rabbit polyclonal
reactivity:
human
application:
western blot
AKT1-S129 antibody western blot of Jurkat,A375,Y79 cell line lysates (35 ug/lane). The AKT1 antibody detected the AKT1 protein (arrow).
quantity:
price:
to the supplier
AKT1 Antibody (phospho-Thr308) LS-C163581
LifeSpan Biosciences
catalog: LS-C163581
domestic rabbit polyclonal
reactivity:
human
application:
immunocytochemistry
Dot blot of anti-Phospho-AKT1 (Thr308) Antibody Phospho-specific antibody on nitrocellulose membrane. 50ng of Phospho-peptide or Non Phospho-peptide per dot were adsorbed. Antibody working concentrations are 0.6ug per ml.
Confocal immunofluorescence of Phospho-AKT1 (Thr308) Antibody with MCF-7 cell followed by Alexa Fluor 488-conjugated goat anti-rabbit lgG (green). Actin filaments have been labeled with Alexa Fluor 555 phalloidin (red). DAPI was used to stain the cell nuclear (blue).
quantity:
price:
to the supplier
AKT1 Antibody (phospho-Thr450) LS-C163583
LifeSpan Biosciences
catalog: LS-C163583
domestic rabbit polyclonal
reactivity:
human
modification: phosphorylated
Dot blot of anti-Phospho-AKT1-T450 Antibody Phospho-specific antibody on nitrocellulose membrane. 50ng of Phospho-peptide or Non Phospho-peptide per dot were adsorbed. Antibody working concentrations are 0.6ug per ml.
quantity:
price:
to the supplier
AKT1 Antibody (aa22-49) LS-C164295
LifeSpan Biosciences
catalog: LS-C164295
domestic rabbit polyclonal
reactivity:
human
,
mouse
application:
western blot
,
immunohistochemistry
,
immunohistochemistry - paraffin section
Mouse Akt1 Antibody western blot of mouse heart tissue lysates (35 ug/lane). The Akt1 antibody detected the Akt1 protein (arrow).
Mouse Akt1 Antibody immunohistochemistry of formalin-fixed and paraffin-embedded mouse gallbladder tissue followed by peroxidase-conjugated secondary antibody and DAB staining.
quantity:
price:
to the supplier
AKT1 Antibody (clone 3A3) LS-C169204
LifeSpan Biosciences
catalog: LS-C169204
mouse monoclonal (3A3)
reactivity:
human
application:
western blot
,
ELISA
quantity:
price:
to the supplier
AKT1 Antibody (aa461-477, clone IML-26) LS-C171258
LifeSpan Biosciences
catalog: LS-C171258
mouse monoclonal (IML-26)
reactivity:
human
application:
western blot
quantity:
price:
to the supplier
AKT1 Antibody (aa461-477, clone IML-26, Magnetic beads) LS-C171259
LifeSpan Biosciences
catalog: LS-C171259
mouse monoclonal (IML-26)
reactivity:
human
conjugate: Bead
application:
immunoprecipitation
quantity:
price:
to the supplier
AKT1 Antibody (aa461-477, clone IML-26, Sepharose) LS-C171260
LifeSpan Biosciences
catalog: LS-C171260
mouse monoclonal (IML-26)
reactivity:
human
application:
immunoprecipitation
quantity:
price:
to the supplier
AKT1 Antibody (clone OTI4D6) LS-C173708
LifeSpan Biosciences
catalog: LS-C173708
mouse monoclonal (OTI4D6)
reactivity:
human
application:
western blot
,
immunohistochemistry
,
immunocytochemistry
,
flow cytometry
,
immunohistochemistry - paraffin section
Western blot of extracts (35 ug) from 9 different cell lines by using anti-AKT1 monoclonal antibody.
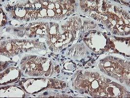
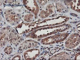
IHC of paraffin-embedded Human Kidney tissue using anti-AKT1 mouse monoclonal antibody.
Anti-AKT1 mouse monoclonal antibody immunofluorescent staining of COS7 cells transiently transfected by pCMV6-ENTRY AKT1.
quantity:
price:
to the supplier
AKT1 Antibody (clone OTI3E3) LS-C173709
LifeSpan Biosciences
catalog: LS-C173709
mouse monoclonal (OTI3E3)
reactivity:
human
application:
western blot
,
immunohistochemistry
,
immunocytochemistry
,
flow cytometry
,
immunohistochemistry - paraffin section
Western blot of extracts (35 ug) from 9 different cell lines by using anti-AKT1 monoclonal antibody.
IHC of paraffin-embedded Adenocarcinoma of Human breast tissue using anti-AKT1 mouse monoclonal antibody.
Anti-AKT1 mouse monoclonal antibody immunofluorescent staining of COS7 cells transiently transfected by pCMV6-ENTRY AKT1.
quantity:
price:
to the supplier
AKT1 Antibody (clone OTI3B4) LS-C173710
LifeSpan Biosciences
catalog: LS-C173710
mouse monoclonal (OTI3B4)
reactivity:
human
application:
western blot
,
immunohistochemistry
,
immunocytochemistry
,
flow cytometry
,
immunohistochemistry - paraffin section
Western blot of extracts (35 ug) from 9 different cell lines by using anti-AKT1 monoclonal antibody.
IHC of paraffin-embedded Adenocarcinoma of Human breast tissue using anti-AKT1 mouse monoclonal antibody.
Anti-AKT1 mouse monoclonal antibody immunofluorescent staining of COS7 cells transiently transfected by pCMV6-ENTRY AKT1.
quantity:
price:
to the supplier
AKT1 Antibody (clone OTI4E10) LS-C173711
LifeSpan Biosciences
catalog: LS-C173711
mouse monoclonal (OTI4E10)
reactivity:
human
application:
western blot
,
immunohistochemistry
,
immunocytochemistry
,
flow cytometry
,
immunohistochemistry - paraffin section
Western blot of extracts (35 ug) from 9 different cell lines by using anti-AKT1 monoclonal antibody.
IHC of paraffin-embedded Adenocarcinoma of Human breast tissue using anti-AKT1 mouse monoclonal antibody.
Anti-AKT1 mouse monoclonal antibody immunofluorescent staining of COS7 cells transiently transfected by pCMV6-ENTRY AKT1.
quantity:
price:
to the supplier
AKT1 Antibody (clone OTI4C11) LS-C173712
LifeSpan Biosciences
catalog: LS-C173712
mouse monoclonal (OTI4C11)
reactivity:
human
application:
western blot
,
immunohistochemistry
,
immunocytochemistry
,
flow cytometry
,
immunohistochemistry - paraffin section
Western blot of extracts (35 ug) from 9 different cell lines by using anti-AKT1 monoclonal antibody.
IHC of paraffin-embedded Human Kidney tissue using anti-AKT1 mouse monoclonal antibody.
Anti-AKT1 mouse monoclonal antibody immunofluorescent staining of COS7 cells transiently transfected by pCMV6-ENTRY AKT1.
quantity:
price:
to the supplier
AKT1 Antibody (clone OTI1G5) LS-C173713
LifeSpan Biosciences
catalog: LS-C173713
mouse monoclonal (OTI1G5)
reactivity:
human
application:
western blot
,
immunohistochemistry
,
immunocytochemistry
,
flow cytometry
,
immunohistochemistry - paraffin section
Western blot of extracts (35 ug) from 9 different cell lines by using anti-AKT1 monoclonal antibody.
IHC of paraffin-embedded Human endometrium tissue using anti-AKT1 mouse monoclonal antibody.
Anti-AKT1 mouse monoclonal antibody immunofluorescent staining of COS7 cells transiently transfected by pCMV6-ENTRY AKT1.
quantity:
price:
to the supplier
AKT1 Antibody LS-C175843
LifeSpan Biosciences
catalog: LS-C175843
domestic rabbit polyclonal
reactivity:
human
application:
western blot
Western blot of AKT pAb in extracts from HeLa cells, rat brain tissues and raw264.7 cells.
quantity:
price:
to the supplier
AKT1 Antibody (Glu242) LS-C176378
LifeSpan Biosciences
catalog: LS-C176378
domestic rabbit polyclonal
reactivity:
human
application:
western blot
,
immunohistochemistry
Western blot of Akt (E242) pAb in extracts from HeLa cells.
quantity:
price:
to the supplier
AKT1 Antibody (Met118) LS-C176650
LifeSpan Biosciences
catalog: LS-C176650
domestic rabbit polyclonal
reactivity:
human
application:
western blot
Western blot of Akt (M118) pAb in extracts from NIH/3T3 cells.
quantity:
price:
to the supplier
AKT1 Antibody (Glu40) LS-C176747
LifeSpan Biosciences
catalog: LS-C176747
domestic rabbit polyclonal
reactivity:
human
application:
western blot
,
immunohistochemistry
Western blot of Akt1 (E40) pAb in extracts from HepG2 cells.
quantity:
price:
to the supplier
AKT1 Antibody (Pro125) LS-C177321
LifeSpan Biosciences
catalog: LS-C177321
domestic rabbit polyclonal
reactivity:
human
modification: phosphorylated
application:
western blot
,
immunohistochemistry
,
immunocytochemistry
,
immunohistochemistry - paraffin section
Western blot of Akt (P125) pAb in extracts from HUVEC cells treated with Serum 30% 30'.
IHC of Akt (P125) pAb in paraffin-embedded human skeletal muscle tissue.
quantity:
price:
to the supplier
AKT1 Antibody (aa465-479) LS-C189367
LifeSpan Biosciences
catalog: LS-C189367
domestic rabbit polyclonal
reactivity:
human
application:
western blot
,
ELISA
quantity:
price:
to the supplier
AKT1 Antibody (aa461-477, clone SPM178) LS-C189368
LifeSpan Biosciences
catalog: LS-C189368
mouse monoclonal (SPM178)
reactivity:
human
application:
western blot
quantity:
price:
to the supplier
AKT1 Antibody (aa5-30, clone 1D4B) LS-C189774
LifeSpan Biosciences
catalog: LS-C189774
mouse monoclonal (1D4B)
reactivity:
human
application:
western blot
,
immunocytochemistry
quantity:
price:
to the supplier
AKT1 Antibody (Internal, clone 14E5.A2.B2.H9) LS-C196584
LifeSpan Biosciences
catalog: LS-C196584
mouse monoclonal (14E5.A2.B2.H9)
reactivity:
human
application:
western blot
,
ELISA
,
immunohistochemistry
,
flow cytometry
quantity:
price:
to the supplier
AKT1 Antibody (phospho-Ser124) LS-C198608
LifeSpan Biosciences
catalog: LS-C198608
domestic rabbit polyclonal
reactivity:
human
modification: phosphorylated
application:
western blot
,
immunohistochemistry
,
immunohistochemistry - paraffin section
Immunohistochemistry analysis of paraffin-embedded human breast carcinoma, using Akt (Phospho-Ser124) Antibody. The picture on the right is blocked with the phospho peptide.
Western blot analysis of lysates from mouse brain, using Akt (Phospho-Ser124) Antibody. The lane on the right is blocked with the phospho peptide.
quantity:
price:
to the supplier
AKT1 Antibody (phospho-Ser246) LS-C198610
LifeSpan Biosciences
catalog: LS-C198610
domestic rabbit polyclonal
reactivity:
human
modification: phosphorylated
application:
western blot
,
immunohistochemistry
,
immunocytochemistry
,
immunohistochemistry - paraffin section
Immunofluorescence analysis of NIH/3T3 cells, using Akt (Phospho-Ser246) Antibody. The picture on the right is blocked with the phospho peptide.
Immunohistochemistry analysis of paraffin-embedded human ovary, using Akt (Phospho-Ser246) Antibody. The picture on the right is blocked with the phospho peptide.
Western blot analysis of lysates from HeLa cells treated with Etoposide 25uM 24h, using Akt (Phospho-Ser246) Antibody. The lane on the right is blocked with the phospho peptide.
quantity:
price:
to the supplier
AKT1 Antibody (phospho-Thr72) LS-C198611
LifeSpan Biosciences
catalog: LS-C198611
domestic rabbit polyclonal
reactivity:
human
modification: phosphorylated
application:
western blot
,
immunohistochemistry
,
immunohistochemistry - paraffin section
Immunohistochemistry analysis of paraffin-embedded human ovary, using Akt (Phospho-Thr72) Antibody. The picture on the right is blocked with the phospho peptide.
Western blot analysis of lysates from NIH/3T3 cells treated with TNF-a 20ng/ml 30', using Akt (Phospho-Thr72) Antibody. The lane on the right is blocked with the phospho peptide.
quantity:
price:
to the supplier
AKT1 Antibody (phospho-Tyr326) LS-C198612
LifeSpan Biosciences
catalog: LS-C198612
domestic rabbit polyclonal
reactivity:
human
modification: phosphorylated
application:
western blot
Western blot analysis of lysates from mouse liver, using Akt (Phospho-Tyr326) Antibody. The lane on the right is blocked with the phospho peptide.
quantity:
price:
to the supplier
AKT1 Antibody (phospho-Tyr474) LS-C198613
LifeSpan Biosciences
catalog: LS-C198613
domestic rabbit polyclonal
reactivity:
human
modification: phosphorylated
application:
western blot
,
immunohistochemistry
,
immunohistochemistry - paraffin section
Immunohistochemistry analysis of paraffin-embedded human ovary, using Akt (Phospho-Tyr474) Antibody. The picture on the right is blocked with the phospho peptide.
Western blot analysis of lysates from COS7 cells treated with UV 15', using Akt (Phospho-Tyr474) Antibody. The lane on the right is blocked with the phospho peptide.
quantity:
price:
to the supplier
AKT1 Antibody (phospho-Thr308) LS-C198614
LifeSpan Biosciences
catalog: LS-C198614
domestic rabbit polyclonal
reactivity:
human
modification: phosphorylated
application:
western blot
Western blot analysis of lysates from Jurkat cells treated with EGF 200ng/ml 5', using AKT1 (Phospho-Thr308) Antibody. The lane on the right is blocked with the phospho peptide.
quantity:
price:
to the supplier
AKT1 Antibody (phospho-Thr450) LS-C198615
LifeSpan Biosciences
catalog: LS-C198615
domestic rabbit polyclonal
reactivity:
human
modification: phosphorylated
application:
western blot
,
immunohistochemistry
,
immunohistochemistry - paraffin section
Immunohistochemistry analysis of paraffin-embedded human lung carcinoma, using Akt1 (Phospho-Thr450) Antibody. The picture on the right is blocked with the phospho peptide.
Western blot analysis of lysates from NIH/3T3 cells treated with PDGF 50ng/ml 20', using Akt1 (Phospho-Thr450) Antibody. The lane on the right is blocked with the phospho peptide.
quantity:
price:
to the supplier
AKT1 Antibody (clone 960CT4.5.1) LS-C204030
LifeSpan Biosciences
catalog: LS-C204030
mouse monoclonal (960CT4.5.1)
reactivity:
human
application:
western blot
AKT1 Antibody(MS4188) western blot of HL-60 cell line lysates (35 ug/lane). The AKT1 antibody detected the AKT1 protein (arrow).
quantity:
price:
to the supplier
AKT1 Antibody (Internal, clone 14E5.A2.B2.H9) LS-C209206
LifeSpan Biosciences
catalog: LS-C209206
mouse monoclonal (14E5.A2.B2.H9)
reactivity:
human
application:
western blot
,
ELISA
,
immunohistochemistry
,
flow cytometry
quantity:
price:
to the supplier
AKT1 Antibody (Internal, clone 5E5.F5.D7) LS-C209208
LifeSpan Biosciences
catalog: LS-C209208
mouse monoclonal (5E5.F5.D7)
reactivity:
human
application:
western blot
,
ELISA
,
immunohistochemistry
,
flow cytometry
quantity:
price:
to the supplier
AKT1 Antibody (Internal, clone 5E5.F5.D7) LS-C209209
LifeSpan Biosciences
catalog: LS-C209209
mouse monoclonal (5E5.F5.D7)
reactivity:
human
application:
western blot
,
ELISA
,
immunohistochemistry
,
flow cytometry
quantity:
price:
to the supplier
AKT1 Antibody (Ser129, AP) LS-C251128
LifeSpan Biosciences
catalog: LS-C251128
domestic rabbit polyclonal
reactivity:
human
conjugate: AP
application:
western blot
,
ELISA
quantity:
price:
to the supplier
AKT1 Antibody (Ser129, APC) LS-C251129
LifeSpan Biosciences
catalog: LS-C251129
domestic rabbit polyclonal
reactivity:
human
conjugate: APC
application:
western blot
,
ELISA
quantity:
price:
to the supplier
AKT1 Antibody (Ser129, Biotin) LS-C251130
LifeSpan Biosciences
catalog: LS-C251130
domestic rabbit polyclonal
reactivity:
human
conjugate: biotin
application:
western blot
,
ELISA
quantity:
price:
to the supplier
AKT1 Antibody (Ser129, FITC) LS-C251131
LifeSpan Biosciences
catalog: LS-C251131
domestic rabbit polyclonal
reactivity:
human
conjugate: FITC
application:
western blot
,
ELISA
quantity:
price:
to the supplier
AKT1 Antibody (Ser129, Azide-free, HRP) LS-C251132
LifeSpan Biosciences
catalog: LS-C251132
domestic rabbit polyclonal
reactivity:
human
conjugate: HRP
application:
western blot
,
ELISA
quantity:
price:
to the supplier
AKT1 Antibody (Ser129, PE) LS-C251133
LifeSpan Biosciences
catalog: LS-C251133
domestic rabbit polyclonal
reactivity:
human
conjugate: PE
application:
western blot
,
ELISA
quantity:
price:
to the supplier
AKT1 Antibody (Thr308, AP) LS-C251134
LifeSpan Biosciences
catalog: LS-C251134
domestic rabbit polyclonal
reactivity:
human
conjugate: AP
application:
western blot
,
ELISA
,
immunohistochemistry
,
flow cytometry
quantity:
price:
to the supplier
AKT1 Antibody (Thr308, APC) LS-C251135
LifeSpan Biosciences
catalog: LS-C251135
domestic rabbit polyclonal
reactivity:
human
conjugate: APC
application:
western blot
,
ELISA
,
immunohistochemistry
,
flow cytometry
quantity:
price:
to the supplier
AKT1 Antibody (Thr308, Biotin) LS-C251136
LifeSpan Biosciences
catalog: LS-C251136
domestic rabbit polyclonal
reactivity:
human
conjugate: biotin
application:
western blot
,
ELISA
,
immunohistochemistry
,
flow cytometry
quantity:
price:
to the supplier
AKT1 Antibody (Thr308, FITC) LS-C251137
LifeSpan Biosciences
catalog: LS-C251137
domestic rabbit polyclonal
reactivity:
human
conjugate: FITC
application:
western blot
,
ELISA
,
immunohistochemistry
,
flow cytometry
quantity:
price:
to the supplier
AKT1 Antibody (Thr308, Azide-free, HRP) LS-C251138
LifeSpan Biosciences
catalog: LS-C251138
domestic rabbit polyclonal
reactivity:
human
conjugate: HRP
application:
western blot
,
ELISA
,
immunohistochemistry
,
flow cytometry
quantity:
price:
to the supplier
AKT1 Antibody (Thr308, PE) LS-C251139
LifeSpan Biosciences
catalog: LS-C251139
domestic rabbit polyclonal
reactivity:
human
conjugate: PE
application:
western blot
,
ELISA
,
immunohistochemistry
,
flow cytometry
quantity:
price:
to the supplier
AKT1 Antibody (aa428-457, APC) LS-C251140
LifeSpan Biosciences
catalog: LS-C251140
domestic rabbit polyclonal
reactivity:
human
conjugate: APC
application:
western blot
,
ELISA
,
immunohistochemistry
,
immunocytochemistry
,
flow cytometry
quantity:
price:
to the supplier
AKT1 Antibody (aa428-457, Biotin) LS-C251141
LifeSpan Biosciences
catalog: LS-C251141
domestic rabbit polyclonal
reactivity:
human
conjugate: biotin
application:
western blot
,
ELISA
,
immunohistochemistry
,
immunocytochemistry
,
flow cytometry
quantity:
price:
to the supplier
AKT1 Antibody (aa428-457, AP) LS-C251142
LifeSpan Biosciences
catalog: LS-C251142
domestic rabbit polyclonal
reactivity:
human
conjugate: AP
application:
western blot
,
ELISA
,
immunohistochemistry
,
immunocytochemistry
,
flow cytometry
quantity:
price:
to the supplier
AKT1 Antibody (aa428-457, FITC) LS-C251143
LifeSpan Biosciences
catalog: LS-C251143
domestic rabbit polyclonal
reactivity:
human
conjugate: FITC
application:
western blot
,
ELISA
,
immunohistochemistry
,
immunocytochemistry
,
flow cytometry
quantity:
price:
to the supplier
AKT1 Antibody (aa428-457, Azide-free, HRP) LS-C251144
LifeSpan Biosciences
catalog: LS-C251144
domestic rabbit polyclonal
reactivity:
human
conjugate: HRP
application:
western blot
,
ELISA
,
immunohistochemistry
,
immunocytochemistry
,
flow cytometry
quantity:
price:
to the supplier
AKT1 Antibody (aa428-457, PE) LS-C251145
LifeSpan Biosciences
catalog: LS-C251145
domestic rabbit polyclonal
reactivity:
human
conjugate: PE
application:
western blot
,
ELISA
,
immunohistochemistry
,
immunocytochemistry
,
flow cytometry
quantity:
price:
to the supplier
AKT1 Antibody (aa22-49, AP) LS-C251146
LifeSpan Biosciences
catalog: LS-C251146
domestic rabbit polyclonal
reactivity:
human
,
mouse
conjugate: AP
application:
western blot
,
ELISA
,
immunohistochemistry
quantity:
price:
to the supplier
AKT1 Antibody (aa22-49, APC) LS-C251147
LifeSpan Biosciences
catalog: LS-C251147
domestic rabbit polyclonal
reactivity:
human
,
mouse
conjugate: APC
application:
western blot
,
ELISA
,
immunohistochemistry
quantity:
price:
to the supplier
AKT1 Antibody (aa22-49, Biotin) LS-C251148
LifeSpan Biosciences
catalog: LS-C251148
domestic rabbit polyclonal
reactivity:
human
,
mouse
conjugate: biotin
application:
western blot
,
ELISA
,
immunohistochemistry
quantity:
price:
to the supplier
AKT1 Antibody (aa22-49, FITC) LS-C251149
LifeSpan Biosciences
catalog: LS-C251149
domestic rabbit polyclonal
reactivity:
human
,
mouse
conjugate: FITC
application:
western blot
,
ELISA
,
immunohistochemistry
quantity:
price:
to the supplier
AKT1 Antibody (aa22-49, Azide-free, HRP) LS-C251150
LifeSpan Biosciences
catalog: LS-C251150
domestic rabbit polyclonal
reactivity:
human
,
mouse
conjugate: HRP
application:
western blot
,
ELISA
,
immunohistochemistry
quantity:
price:
to the supplier
AKT1 Antibody (aa22-49, PE) LS-C251151
LifeSpan Biosciences
catalog: LS-C251151
domestic rabbit polyclonal
reactivity:
human
,
mouse
conjugate: PE
application:
western blot
,
ELISA
,
immunohistochemistry
quantity:
price:
to the supplier
AKT1 Antibody (phospho-Thr450, AP) LS-C251158
LifeSpan Biosciences
catalog: LS-C251158
domestic rabbit polyclonal
reactivity:
human
conjugate: AP
modification: phosphorylated
application:
ELISA
quantity:
price:
to the supplier
AKT1 Antibody (phospho-Thr450, APC) LS-C251159
LifeSpan Biosciences
catalog: LS-C251159
domestic rabbit polyclonal
reactivity:
human
conjugate: APC
modification: phosphorylated
application:
ELISA
quantity:
price:
to the supplier
AKT1 Antibody (phospho-Thr450, Biotin) LS-C251160
LifeSpan Biosciences
catalog: LS-C251160
domestic rabbit polyclonal
reactivity:
human
conjugate: biotin
modification: phosphorylated
application:
ELISA
quantity:
price:
to the supplier
AKT1 Antibody (phospho-Thr308, FITC) LS-C251161
LifeSpan Biosciences
catalog: LS-C251161
domestic rabbit polyclonal
reactivity:
human
conjugate: FITC
application:
ELISA
,
immunocytochemistry
quantity:
price:
to the supplier
AKT1 Antibody (phospho-Thr308, Biotin) LS-C251162
LifeSpan Biosciences
catalog: LS-C251162
domestic rabbit polyclonal
reactivity:
human
conjugate: biotin
application:
ELISA
,
immunocytochemistry
quantity:
price:
to the supplier
AKT1 Antibody (phospho-Thr308, Azide-free, HRP) LS-C251172
LifeSpan Biosciences
catalog: LS-C251172
domestic rabbit polyclonal
reactivity:
human
conjugate: HRP
application:
ELISA
,
immunocytochemistry
quantity:
price:
to the supplier
AKT1 Antibody (phospho-Thr308, PE) LS-C251173
LifeSpan Biosciences
catalog: LS-C251173
domestic rabbit polyclonal
reactivity:
human
conjugate: PE
application:
ELISA
,
immunocytochemistry
quantity:
price:
to the supplier
AKT1 Antibody (phospho-Thr450, Azide-free, HRP) LS-C252842
LifeSpan Biosciences
catalog: LS-C252842
domestic rabbit polyclonal
reactivity:
human
conjugate: HRP
modification: phosphorylated
application:
ELISA
quantity:
price:
to the supplier
AKT1 Antibody (phospho-Thr450, FITC) LS-C252843
LifeSpan Biosciences
catalog: LS-C252843
domestic rabbit polyclonal
reactivity:
human
conjugate: FITC
modification: phosphorylated
application:
ELISA
quantity:
price:
to the supplier
AKT1 Antibody (phospho-Thr308, AP) LS-C252844
LifeSpan Biosciences
catalog: LS-C252844
domestic rabbit polyclonal
reactivity:
human
conjugate: AP
application:
ELISA
,
immunocytochemistry
quantity:
price:
to the supplier
AKT1 Antibody (phospho-Thr450, PE) LS-C252845
LifeSpan Biosciences
catalog: LS-C252845
domestic rabbit polyclonal
reactivity:
human
conjugate: PE
modification: phosphorylated
application:
ELISA
quantity:
price:
to the supplier
AKT1 Antibody (phospho-Thr308, APC) LS-C252848
LifeSpan Biosciences
catalog: LS-C252848
domestic rabbit polyclonal
reactivity:
human
conjugate: APC
application:
ELISA
,
immunocytochemistry
quantity:
price:
to the supplier
AKT1 Antibody (phospho-Ser129, AP) LS-C274997
LifeSpan Biosciences
catalog: LS-C274997
domestic rabbit polyclonal
reactivity:
human
conjugate: AP
application:
western blot
,
ELISA
,
immunohistochemistry
quantity:
price:
to the supplier
AKT1 Antibody (phospho-Ser129, Biotin) LS-C274998
LifeSpan Biosciences
catalog: LS-C274998
domestic rabbit polyclonal
reactivity:
human
conjugate: biotin
application:
western blot
,
ELISA
,
immunohistochemistry
quantity:
price:
to the supplier
AKT1 Antibody (phospho-Ser129, APC) LS-C274999
LifeSpan Biosciences
catalog: LS-C274999
domestic rabbit polyclonal
reactivity:
human
conjugate: APC
application:
western blot
,
ELISA
,
immunohistochemistry
quantity:
price:
to the supplier
AKT1 Antibody (phospho-Ser129, Azide-free, HRP) LS-C275000
LifeSpan Biosciences
catalog: LS-C275000
domestic rabbit polyclonal
reactivity:
human
conjugate: HRP
application:
western blot
,
ELISA
,
immunohistochemistry
quantity:
price:
to the supplier
AKT1 Antibody (phospho-Ser129, FITC) LS-C275001
LifeSpan Biosciences
catalog: LS-C275001
domestic rabbit polyclonal
reactivity:
human
conjugate: FITC
application:
western blot
,
ELISA
,
immunohistochemistry
quantity:
price:
to the supplier
AKT1 Antibody (phospho-Tyr326, AP) LS-C275002
LifeSpan Biosciences
catalog: LS-C275002
domestic rabbit polyclonal
reactivity:
human
conjugate: AP
application:
western blot
,
ELISA
quantity:
price:
to the supplier
AKT1 Antibody (phospho-Tyr326, APC) LS-C275003
LifeSpan Biosciences
catalog: LS-C275003
domestic rabbit polyclonal
reactivity:
human
conjugate: APC
application:
western blot
,
ELISA
quantity:
price:
to the supplier
AKT1 Antibody (phospho-Ser129, PE) LS-C275004
LifeSpan Biosciences
catalog: LS-C275004
domestic rabbit polyclonal
reactivity:
human
conjugate: PE
application:
western blot
,
ELISA
,
immunohistochemistry
quantity:
price:
to the supplier
AKT1 Antibody (phospho-Tyr326, Biotin) LS-C275005
LifeSpan Biosciences
catalog: LS-C275005
domestic rabbit polyclonal
reactivity:
human
conjugate: biotin
application:
western blot
,
ELISA
quantity:
price:
to the supplier
AKT1 Antibody (phospho-Tyr326, FITC) LS-C275006
LifeSpan Biosciences
catalog: LS-C275006
domestic rabbit polyclonal
reactivity:
human
conjugate: FITC
application:
western blot
,
ELISA
quantity:
price:
to the supplier
AKT1 Antibody (phospho-Tyr326, Azide-free, HRP) LS-C275007
LifeSpan Biosciences
catalog: LS-C275007
domestic rabbit polyclonal
reactivity:
human
conjugate: HRP
application:
western blot
,
ELISA
quantity:
price:
to the supplier
AKT1 Antibody (phospho-Tyr326, AP) LS-C275008
LifeSpan Biosciences
catalog: LS-C275008
domestic rabbit polyclonal
reactivity:
human
conjugate: AP
application:
western blot
,
ELISA
quantity:
price:
to the supplier
AKT1 Antibody (phospho-Tyr326, PE) LS-C275009
LifeSpan Biosciences
catalog: LS-C275009
domestic rabbit polyclonal
reactivity:
human
conjugate: PE
application:
western blot
,
ELISA
quantity:
price:
to the supplier
AKT1 Antibody (phospho-Tyr326, APC) LS-C275010
LifeSpan Biosciences
catalog: LS-C275010
domestic rabbit polyclonal
reactivity:
human
conjugate: APC
application:
western blot
,
ELISA
quantity:
price:
to the supplier
AKT1 Antibody (phospho-Tyr326, Biotin) LS-C275011
LifeSpan Biosciences
catalog: LS-C275011
domestic rabbit polyclonal
reactivity:
human
conjugate: biotin
application:
western blot
,
ELISA
quantity:
price:
to the supplier
AKT1 Antibody (phospho-Tyr326, FITC) LS-C275012
LifeSpan Biosciences
catalog: LS-C275012
domestic rabbit polyclonal
reactivity:
human
conjugate: FITC
application:
western blot
,
ELISA
quantity:
price:
to the supplier
AKT1 Antibody (phospho-Tyr326, PE) LS-C275013
LifeSpan Biosciences
catalog: LS-C275013
domestic rabbit polyclonal
reactivity:
human
conjugate: PE
application:
western blot
,
ELISA
quantity:
price:
to the supplier
AKT1 Antibody (phospho-Tyr326, Azide-free, HRP) LS-C275014
LifeSpan Biosciences
catalog: LS-C275014
domestic rabbit polyclonal
reactivity:
human
conjugate: HRP
application:
western blot
,
ELISA
quantity:
price:
to the supplier
AKT1 Antibody (phospho-Ser473, AP) LS-C275015
LifeSpan Biosciences
catalog: LS-C275015
domestic rabbit polyclonal
reactivity:
human
conjugate: AP
application:
ELISA
quantity:
price:
to the supplier
AKT1 Antibody (phospho-Ser473, APC) LS-C275016
LifeSpan Biosciences
catalog: LS-C275016
domestic rabbit polyclonal
reactivity:
human
conjugate: APC
application:
ELISA
quantity:
price:
to the supplier
AKT1 Antibody (phospho-Ser473, Biotin) LS-C275017
LifeSpan Biosciences
catalog: LS-C275017
domestic rabbit polyclonal
reactivity:
human
conjugate: biotin
application:
ELISA
quantity:
price:
to the supplier
AKT1 Antibody (phospho-Ser473, Azide-free, HRP) LS-C275018
LifeSpan Biosciences
catalog: LS-C275018
domestic rabbit polyclonal
reactivity:
human
conjugate: HRP
application:
ELISA
quantity:
price:
to the supplier
AKT1 Antibody (phospho-Ser473, FITC) LS-C275019
LifeSpan Biosciences
catalog: LS-C275019
domestic rabbit polyclonal
reactivity:
human
conjugate: FITC
application:
ELISA
quantity:
price:
to the supplier
AKT1 Antibody (phospho-Ser473, PE) LS-C275020
LifeSpan Biosciences
catalog: LS-C275020
domestic rabbit polyclonal
reactivity:
human
conjugate: PE
application:
ELISA
quantity:
price:
to the supplier
AKT1 Antibody (aa438-468, AP) LS-C275021
LifeSpan Biosciences
catalog: LS-C275021
domestic rabbit polyclonal
reactivity:
human
conjugate: AP
application:
western blot
,
ELISA
quantity:
price:
to the supplier
AKT1 Antibody (aa438-468, Biotin) LS-C275022
LifeSpan Biosciences
catalog: LS-C275022
domestic rabbit polyclonal
reactivity:
human
conjugate: biotin
application:
western blot
,
ELISA
quantity:
price:
to the supplier
AKT1 Antibody (aa438-468, Azide-free, HRP) LS-C275023
LifeSpan Biosciences
catalog: LS-C275023
domestic rabbit polyclonal
reactivity:
human
conjugate: HRP
application:
western blot
,
ELISA
quantity:
price:
to the supplier
AKT1 Antibody (aa438-468, APC) LS-C275024
LifeSpan Biosciences
catalog: LS-C275024
domestic rabbit polyclonal
reactivity:
human
conjugate: APC
application:
western blot
,
ELISA
quantity:
price:
to the supplier
AKT1 Antibody (aa438-468, FITC) LS-C275025
LifeSpan Biosciences
catalog: LS-C275025
domestic rabbit polyclonal
reactivity:
human
conjugate: FITC
application:
western blot
,
ELISA
quantity:
price:
to the supplier
AKT1 Antibody (aa438-468, PE) LS-C275026
LifeSpan Biosciences
catalog: LS-C275026
domestic rabbit polyclonal
reactivity:
human
conjugate: PE
application:
western blot
,
ELISA
quantity:
price:
to the supplier
AKT1 Antibody (aa115-144, AP) LS-C275027
LifeSpan Biosciences
catalog: LS-C275027
domestic rabbit polyclonal
reactivity:
human
conjugate: AP
application:
western blot
,
ELISA
,
immunohistochemistry
quantity:
price:
to the supplier
AKT1 Antibody (aa115-144, APC) LS-C275028
LifeSpan Biosciences
catalog: LS-C275028
domestic rabbit polyclonal
reactivity:
human
conjugate: APC
application:
western blot
,
ELISA
,
immunohistochemistry
quantity:
price:
to the supplier
AKT1 Antibody (aa115-144, Biotin) LS-C275029
LifeSpan Biosciences
catalog: LS-C275029
domestic rabbit polyclonal
reactivity:
human
conjugate: biotin
application:
western blot
,
ELISA
,
immunohistochemistry
quantity:
price:
to the supplier
AKT1 Antibody (aa115-144, FITC) LS-C275030
LifeSpan Biosciences
catalog: LS-C275030
domestic rabbit polyclonal
reactivity:
human
conjugate: FITC
application:
western blot
,
ELISA
,
immunohistochemistry
quantity:
price:
to the supplier
AKT1 Antibody (aa115-144, Azide-free, HRP) LS-C275031
LifeSpan Biosciences
catalog: LS-C275031
domestic rabbit polyclonal
reactivity:
human
conjugate: HRP
application:
western blot
,
ELISA
,
immunohistochemistry
quantity:
price:
to the supplier
AKT1 Antibody (aa115-144, PE) LS-C275047
LifeSpan Biosciences
catalog: LS-C275047
domestic rabbit polyclonal
reactivity:
human
conjugate: PE
application:
western blot
,
ELISA
,
immunohistochemistry
quantity:
price:
to the supplier
AKT1 Antibody (aa25-75) LS-C286739
LifeSpan Biosciences
catalog: LS-C286739
domestic rabbit polyclonal
reactivity:
human
application:
immunohistochemistry
quantity:
price:
to the supplier
AKT1 Antibody (aa25-75) LS-C288836
LifeSpan Biosciences
catalog: LS-C288836
domestic rabbit polyclonal
reactivity:
human
application:
western blot
,
immunohistochemistry
quantity:
price:
to the supplier
AKT1 Antibody (aa274-323) LS-C291278
LifeSpan Biosciences
catalog: LS-C291278
domestic rabbit polyclonal
reactivity:
human
application:
western blot
quantity:
price:
to the supplier
AKT1 Antibody (aa122-443) LS-C296125
LifeSpan Biosciences
catalog: LS-C296125
domestic rabbit polyclonal
reactivity:
human
application:
western blot
Western blot of recombinant AKT1 / AKT. This image was taken for the unconjugated form of this product. Other forms have not been tested.
quantity:
price:
to the supplier
AKT1 Antibody LS-C309413
LifeSpan Biosciences
catalog: LS-C309413
domestic rabbit polyclonal
reactivity:
human
application:
western blot
quantity:
price:
to the supplier
AKT1 Antibody (phospho-Thr308) LS-C313559
LifeSpan Biosciences
catalog: LS-C313559
domestic rabbit polyclonal
reactivity:
human
modification: phosphorylated
application:
western blot
,
immunohistochemistry
,
immunocytochemistry
,
immunoprecipitation
quantity:
price:
to the supplier
AKT1 Antibody (phospho-Tyr315) LS-C313566
LifeSpan Biosciences
catalog: LS-C313566
domestic rabbit polyclonal
reactivity:
human
modification: phosphorylated
application:
western blot
quantity:
price:
to the supplier
AKT1 Antibody (Biotin) LS-C317184
LifeSpan Biosciences
catalog: LS-C317184
domestic rabbit polyclonal
reactivity:
human
conjugate: biotin
application:
western blot
,
ELISA
quantity:
price:
to the supplier
AKT1 Antibody (HRP) LS-C317186
LifeSpan Biosciences
catalog: LS-C317186
domestic rabbit polyclonal
reactivity:
human
conjugate: HRP
application:
western blot
,
ELISA
quantity:
price:
to the supplier
AKT1 Antibody (FITC) LS-C318848
LifeSpan Biosciences
catalog: LS-C318848
domestic rabbit polyclonal
reactivity:
human
conjugate: FITC
application:
western blot
,
ELISA
quantity:
price:
to the supplier
AKT1 Antibody (Thr308) LS-C319403
LifeSpan Biosciences
catalog: LS-C319403
domestic rabbit polyclonal
reactivity:
human
application:
western blot
,
ELISA
,
immunohistochemistry
,
flow cytometry
quantity:
price:
to the supplier
AKT1 Antibody (Ser129) LS-C319404
LifeSpan Biosciences
catalog: LS-C319404
domestic rabbit polyclonal
reactivity:
human
application:
western blot
,
ELISA
quantity:
price:
to the supplier
AKT1 Antibody (phospho-Thr450) LS-C319405
LifeSpan Biosciences
catalog: LS-C319405
domestic rabbit polyclonal
reactivity:
human
application:
ELISA
quantity:
price:
to the supplier
AKT1 Antibody (aa428-457) LS-C319407
LifeSpan Biosciences
catalog: LS-C319407
domestic rabbit polyclonal
reactivity:
human
application:
western blot
,
ELISA
,
immunohistochemistry
,
immunocytochemistry
,
flow cytometry
quantity:
price:
to the supplier
AKT1 Antibody (aa22-49) LS-C319416
LifeSpan Biosciences
catalog: LS-C319416
domestic rabbit polyclonal
reactivity:
human
,
mouse
application:
western blot
,
ELISA
,
immunohistochemistry
quantity:
price:
to the supplier
AKT1 Antibody (phospho-Thr308) LS-C319423
LifeSpan Biosciences
catalog: LS-C319423
domestic rabbit polyclonal
reactivity:
human
application:
ELISA
,
immunocytochemistry
quantity:
price:
to the supplier
AKT1 Antibody (phospho-Tyr326) LS-C326808
LifeSpan Biosciences
catalog: LS-C326808
domestic rabbit polyclonal
reactivity:
human
application:
western blot
,
ELISA
quantity:
price:
to the supplier
AKT1 Antibody (phospho-Tyr326) LS-C326809
LifeSpan Biosciences
catalog: LS-C326809
domestic rabbit polyclonal
reactivity:
human
application:
western blot
,
ELISA
quantity:
price:
to the supplier
AKT1 Antibody (aa438-468) LS-C326810
LifeSpan Biosciences
catalog: LS-C326810
domestic rabbit polyclonal
reactivity:
human
application:
western blot
,
ELISA
quantity:
price:
to the supplier
AKT1 Antibody (aa115-144) LS-C326811
LifeSpan Biosciences
catalog: LS-C326811
domestic rabbit polyclonal
reactivity:
human
application:
western blot
,
ELISA
,
immunohistochemistry
quantity:
price:
to the supplier
AKT1 Antibody (phospho-Ser473) LS-C326813
LifeSpan Biosciences
catalog: LS-C326813
domestic rabbit polyclonal
reactivity:
human
application:
ELISA
quantity:
price:
to the supplier
AKT1 Antibody LS-C334123
LifeSpan Biosciences
catalog: LS-C334123
domestic rabbit polyclonal
reactivity:
human
application:
western blot
,
immunohistochemistry
Western blot analysis of extracts of HeLa cells.
Immunohistochemistry of paraffin-embedded human prostate tissue.
quantity:
price:
to the supplier
AKT1 Antibody (phospho-Ser473) LS-C335005
LifeSpan Biosciences
catalog: LS-C335005
domestic rabbit polyclonal
reactivity:
human
application:
western blot
,
immunohistochemistry
Western blot analysis of extracts from NIH/3T3.
quantity:
price:
to the supplier
AKT1 Antibody (phospho-Thr450) LS-C335022
LifeSpan Biosciences
catalog: LS-C335022
domestic rabbit polyclonal
reactivity:
human
application:
western blot
Western blot analysis of extracts from 293 cells.
quantity:
price:
to the supplier
AKT1 Antibody (phospho-Thr450) LS-C335719
LifeSpan Biosciences
catalog: LS-C335719
domestic rabbit polyclonal
reactivity:
human
application:
western blot
,
immunocytochemistry
Western blot analysis of extracts of various cell lines.
Immunofluorescence analysis of MCF7 cells.
quantity:
price:
to the supplier
AKT1 Antibody (phospho-Thr308) LS-C335955
LifeSpan Biosciences
catalog: LS-C335955
domestic rabbit polyclonal
reactivity:
human
application:
western blot
Western blot analysis of extracts from HeLa cells.
quantity:
price:
to the supplier
AKT1 Antibody (clone OTI4G4) LS-C337637
LifeSpan Biosciences
catalog: LS-C337637
mouse monoclonal (OTI4G4)
reactivity:
human
application:
western blot
,
immunohistochemistry
,
immunocytochemistry
,
flow cytometry
,
immunohistochemistry - paraffin section
Western blot of extracts (35ug) from 9 different cell lines by using anti-AKT1 monoclonal antibody.
IHC of paraffin-embedded Adenocarcinoma of Human breast tissue using anti-AKT1 mouse monoclonal antibody. (Heat-induced epitope retrieval by 10mM citric buffer, pH6.0, 100C for 10min).
Anti-AKT1 mouse monoclonal antibody immunofluorescent staining of COS7 cells transiently transfected by pCMV6-ENTRY AKT1.
quantity:
price:
to the supplier
AKT1 Antibody (clone OTI2B9) LS-C337639
LifeSpan Biosciences
catalog: LS-C337639
mouse monoclonal (OTI2B9)
reactivity:
human
application:
western blot
,
immunocytochemistry
Western blot of extracts (35ug) from 9 different cell lines by using anti-AKT1 monoclonal antibody.
Anti-AKT1 mouse monoclonal antibody immunofluorescent staining of COS7 cells transiently transfected by pCMV6-ENTRY AKT1.
quantity:
price:
to the supplier
AKT1 Antibody (clone OTI1B2) LS-C339855
LifeSpan Biosciences
catalog: LS-C339855
mouse monoclonal (OTI1B2)
reactivity:
human
application:
western blot
HEK293T cells were transfected with the pCMV6-ENTRY control (Left lane) or pCMV6-ENTRY AKT1 (Right lane) cDNA for 48 hrs and lysed. Equivalent amounts of cell lysates (5 ug per lane) were separated by SDS-PAGE and immunoblotted with anti-AKT1.
quantity:
price:
to the supplier
AKT1 Antibody (aa278-312) LS-C344311
LifeSpan Biosciences
catalog: LS-C344311
domestic rabbit polyclonal
reactivity:
human
application:
western blot
,
immunohistochemistry
,
immunohistochemistry - paraffin section
Immunohistochemical of paraffin-embedded H. prostate carcinoma section using AKT1/2/3 Antibody. Antibody was diluted at 1:25 dilution. A peroxidase-conjugated goat anti-rabbit IgG at 1:400 dilution was used as the secondary antibody, followed by DAB staining.
Western blot of lysates from Jurkat, PC-3, C6 cell line (from left to right) with AKT1/2/3 Antibody. Antibody was diluted at 1:1000 at each lane. A goat anti-rabbit IgG H&L (HRP) at 1:5000 dilution was used as the secondary antibody. Lysates at 35 ug per lane.
quantity:
price:
to the supplier
AKT1 Antibody LS-C346342
LifeSpan Biosciences
catalog: LS-C346342
domestic rabbit polyclonal
reactivity:
human
application:
western blot
,
immunohistochemistry
Western blot analysis of extracts of various cell lines.
quantity:
price:
to the supplier
AKT1 Antibody LS-C347637
LifeSpan Biosciences
catalog: LS-C347637
domestic rabbit polyclonal
reactivity:
human
application:
western blot
,
immunohistochemistry
,
flow cytometry
quantity:
price:
to the supplier
AKT1 Antibody (C-Terminus) LS-C347639
LifeSpan Biosciences
catalog: LS-C347639
domestic rabbit polyclonal
reactivity:
human
application:
western blot
,
immunohistochemistry
,
immunocytochemistry
,
flow cytometry
quantity:
price:
to the supplier
AKT1 Antibody (N-Terminus) LS-C347645
LifeSpan Biosciences
catalog: LS-C347645
domestic rabbit polyclonal
reactivity:
human
application:
western blot
,
immunohistochemistry
,
immunocytochemistry
,
flow cytometry
quantity:
price:
to the supplier
AKT1 Antibody (C-Terminus) LS-C348892
LifeSpan Biosciences
catalog: LS-C348892
domestic rabbit polyclonal
reactivity:
human
application:
western blot
,
ELISA
,
immunoprecipitation
quantity:
price:
to the supplier
AKT1 Antibody (N-Terminus) LS-C351852
LifeSpan Biosciences
catalog: LS-C351852
domestic rabbit polyclonal
reactivity:
human
application:
western blot
,
immunohistochemistry
,
immunohistochemistry - paraffin section
Western blot analysis of AKT expression in HeLa (A); A549 (B); Raw264.7 (C); NIH3T3 (D); mouse lung (E); PC12 (F); rat heart (G) whole cell lysates.
Immunohistochemical analysis of AKT staining in human brain formalin fixed paraffin embedded tissue section. The section was pre-treated using heat mediated antigen retrieval with sodium citrate buffer (pH 6.0). The section was then incubated with the antibody at room temperature and detected using an HRP conjugated compact polymer system. DAB was used as the chromogen. The section was then counterstained with hematoxylin and mounted with DPX.
quantity:
price:
to the supplier
AKT1 Antibody (C-Terminus) LS-C351854
LifeSpan Biosciences
catalog: LS-C351854
domestic rabbit polyclonal
reactivity:
human
application:
western blot
,
immunohistochemistry
,
immunoprecipitation
,
immunohistochemistry - paraffin section
Western blot analysis of AKT expression in A549 (A); mouse brain (B); rat lung (C) whole cell lysates.
Immunohistochemical analysis of AKT staining in human brain formalin fixed paraffin embedded tissue section. The section was pre-treated using heat mediated antigen retrieval with sodium citrate buffer (pH 6.0). The section was then incubated with the antibody at room temperature and detected using an HRP conjugated compact polymer system. DAB was used as the chromogen. The section was then counterstained with hematoxylin and mounted with DPX.
quantity:
price:
to the supplier
AKT1 Antibody (C-Terminus) LS-C353925
LifeSpan Biosciences
catalog: LS-C353925
domestic rabbit polyclonal
reactivity:
human
application:
western blot
,
immunohistochemistry
,
immunohistochemistry - paraffin section
Western blot analysis of AKT expression in MCF7 (A); mouse lung (B); rat heart (C); rat brain (D) whole cell lysates.
Immunohistochemical analysis of AKT staining in human breast cancer formalin fixed paraffin embedded tissue section. The section was pre-treated using heat mediated antigen retrieval with sodium citrate buffer (pH 6.0). The section was then incubated with the antibody at room temperature and detected using an HRP conjugated compact polymer system. DAB was used as the chromogen. The section was then counterstained with hematoxylin and mounted with DPX.
quantity:
price:
to the supplier
IHC-plus™ AKT1 Antibody (aa95-144) LS-B12420
LifeSpan Biosciences
catalog: LS-B12420
domestic rabbit polyclonal
reactivity:
human
application:
western blot
,
immunohistochemistry
,
immunocytochemistry
,
immunohistochemistry - paraffin section
Human Tonsil: Formalin-Fixed, Paraffin-Embedded (FFPE)
Immunofluorescence analysis of HeLa cells, using Akt Antibody. The picture on the right is blocked with the synthesized peptide.
Western blot analysis of lysates from HepG2 cells, treated with Serum 30% 30', using Akt Antibody. The lane on the right is blocked with the synthesized peptide.
quantity:
price:
to the supplier
PathPlus™ AKT1 Antibody (aa416-465) LS-B12519
LifeSpan Biosciences
catalog: LS-B12519
domestic rabbit polyclonal
reactivity:
human
application:
western blot
,
immunohistochemistry
,
immunohistochemistry - paraffin section
Human Prostate: Formalin-Fixed, Paraffin-Embedded (FFPE)
Western blot analysis of lysates from NIH/3T3 cells, treated with Serum 10% 30', using Akt Antibody. The lane on the right is blocked with the synthesized peptide.
quantity:
price:
to the supplier
AKT1 Antibody (C-Terminus) LS-C358423
LifeSpan Biosciences
catalog: LS-C358423
domestic rabbit polyclonal
reactivity:
human
application:
western blot
,
immunohistochemistry
,
immunocytochemistry
,
immunohistochemistry - paraffin section
Western blot analysis of AKT (pS473) expression in MCF7 PDGF-treated (A); NIH3T3 PDGF-treated (B) whole cell lysates.
Immunohistochemical analysis of AKT (pS473) staining in human breast cancer formalin fixed paraffin embedded tissue section. The section was pre-treated using heat mediated antigen retrieval with sodium citrate buffer (pH 6.0). The section was then incubated with the antibody at room temperature and detected using an HRP-conjugated compact polymer system. DAB was used as the chromogen. The section was then counterstained with hematoxylin and mounted with DPX.
Immunofluorescent analysis of AKT (pS473) staining in MCF7 cells. Formalin-fixed cells were permeabilized with 0.1% Triton X-100 in TBS for 5-10 minutes and blocked with 3% BSA-PBS for 30 minutes at room temperature. Cells were probed with the primary antibody in 3% BSA-PBS and incubated overnight at 4 deg C in a humidified chamber. Cells were washed with PBST and incubated with a DyLight 594-conjugated secondary antibody (red) in PBS at room temperature in the dark. DAPI was used to stain the cell nuclei (blue).
quantity:
price:
to the supplier
AKT1 Antibody (C-Terminus) LS-C358425
LifeSpan Biosciences
catalog: LS-C358425
domestic rabbit polyclonal
reactivity:
human
application:
western blot
,
immunohistochemistry
,
immunohistochemistry - paraffin section
Western blot analysis of AKT (pY474) expression in HEK293T UV-treated (A) whole cell lysates.
Immunohistochemical analysis of AKT (pY474) staining in human breast cancer formalin fixed paraffin embedded tissue section. The section was pre-treated using heat mediated antigen retrieval with sodium citrate buffer (pH 6.0). The section was then incubated with the antibody at room temperature and detected using an HRP-conjugated compact polymer system. DAB was used as the chromogen. The section was then counterstained with hematoxylin and mounted with DPX.
quantity:
price:
to the supplier
AKT1 + AKT2 + AKT3 Antibody (N-Terminus) LS-C358908
LifeSpan Biosciences
catalog: LS-C358908
domestic rabbit polyclonal
reactivity:
human
application:
western blot
,
immunohistochemistry
,
immunohistochemistry - paraffin section
Western blot analysis of AKT expression in MCF7 (A); A549 (B); NIH3T3 (C); rat muscle (D) whole cell lysates.
Immunohistochemical analysis of AKT staining in human breast cancer formalin fixed paraffin embedded tissue section. The section was pre-treated using heat mediated antigen retrieval with sodium citrate buffer (pH 6.0). The section was then incubated with the antibody at room temperature and detected using an HRP conjugated compact polymer system. DAB was used as the chromogen. The section was then counterstained with hematoxylin and mounted with DPX.
quantity:
price:
to the supplier
AKT1 + AKT2 + AKT3 Antibody (C-Terminus) LS-C358909
LifeSpan Biosciences
catalog: LS-C358909
domestic rabbit polyclonal
reactivity:
human
application:
western blot
,
immunohistochemistry
,
immunohistochemistry - paraffin section
Western blot analysis of AKT (pT450) expression in HeLa (A); HepG2 colchicine-treated (B); NIH3T3 UV-treated (C); PC12 H2O2-treated (D) whole cell lysates.
Immunohistochemical analysis of AKT (pT450) staining in human breast cancer formalin fixed paraffin embedded tissue section. The section was pre-treated using heat mediated antigen retrieval with sodium citrate buffer (pH 6.0). The section was then incubated with the antibody at room temperature and detected using an HRP conjugated compact polymer system. DAB was used as the chromogen. The section was then counterstained with hematoxylin and mounted with DPX.
quantity:
price:
to the supplier
AKT1 + AKT2 + AKT3 Antibody (phospho-Ser246) LS-C358910
LifeSpan Biosciences
catalog: LS-C358910
domestic rabbit polyclonal
reactivity:
human
modification: phosphorylated
application:
western blot
,
immunohistochemistry
,
immunocytochemistry
,
immunohistochemistry - paraffin section
Western blot analysis of AKT (pS246) expression in HepG2 (A); K562 (B); NIH3T3 (C) whole cell lysates.
Immunohistochemical analysis of AKT (pS246) staining in human breast cancer formalin fixed paraffin embedded tissue section. The section was pre-treated using heat mediated antigen retrieval with sodium citrate buffer (pH 6.0). The section was then incubated with the antibody at room temperature and detected using an HRP conjugated compact polymer system. DAB was used as the chromogen. The section was then counterstained with hematoxylin and mounted with DPX.
Immunofluorescent analysis of AKT (pS246) staining in HepG2 cells. Formalin-fixed cells were permeabilized with 0.1% Triton X-100 in TBS for 5-10 minutes and blocked with 3% BSA-PBS for 30 minutes at room temperature. Cells were probed with the primary antibody in 3% BSA-PBS and incubated overnight at 4 ??C in a humidified chamber. Cells were washed with PBST and incubated with a DyLight 594-conjugated secondary antibody (red) in PBS at room temperature in the dark. DAPI was used to stain the cell nuclei (blue).
quantity:
price:
to the supplier
AKT1 + AKT2 + AKT3 Antibody (Internal) LS-C358911
LifeSpan Biosciences
catalog: LS-C358911
domestic rabbit polyclonal
reactivity:
human
application:
western blot
,
immunohistochemistry
,
immunohistochemistry - paraffin section
Western blot analysis of AKT expression in MCF7 (A); NIH3T3 (B); PC12 (C) whole cell lysates.
Immunohistochemical analysis of AKT staining in human breast cancer formalin fixed paraffin embedded tissue section. The section was pre-treated using heat mediated antigen retrieval with sodium citrate buffer (pH 6.0). The section was then incubated with the antibody at room temperature and detected using an HRP conjugated compact polymer system. DAB was used as the chromogen. The section was then counterstained with hematoxylin and mounted with DPX.
quantity:
price:
to the supplier
AKT1 Antibody LS-C370913
LifeSpan Biosciences
catalog: LS-C370913
domestic rabbit polyclonal
reactivity:
human
application:
ELISA
,
immunohistochemistry
,
immunohistochemistry - paraffin section
Immunohistochemistry of paraffin-embedded human tonsil tissue using CSB-PA15905A0Rb at 1:100 dilution. This image was taken for the unconjugated form of this product. Other forms have not been tested.
quantity:
price:
to the supplier
AKT1 Antibody (FITC) LS-C370930
LifeSpan Biosciences
catalog: LS-C370930
domestic rabbit polyclonal
reactivity:
human
conjugate: FITC
application:
ELISA
,
immunohistochemistry
,
immunohistochemistry - paraffin section
Immunohistochemistry of paraffin-embedded human tonsil tissue using CSB-PA15905A0Rb at 1:100 dilution. This image was taken for the unconjugated form of this product. Other forms have not been tested.
quantity:
price:
to the supplier
AKT1 Antibody (HRP) LS-C370936
LifeSpan Biosciences
catalog: LS-C370936
domestic rabbit polyclonal
reactivity:
human
conjugate: HRP
application:
ELISA
,
immunohistochemistry
,
immunohistochemistry - paraffin section
Immunohistochemistry of paraffin-embedded human tonsil tissue using CSB-PA15905A0Rb at 1:100 dilution. This image was taken for the unconjugated form of this product. Other forms have not been tested.
quantity:
price:
to the supplier
AKT1 Antibody (aa1-480, Biotin) LS-C370972
LifeSpan Biosciences
catalog: LS-C370972
domestic rabbit polyclonal
reactivity:
human
conjugate: biotin
application:
ELISA
,
immunohistochemistry
,
immunohistochemistry - paraffin section
Immunohistochemistry of paraffin-embedded human tonsil tissue using CSB-PA15905A0Rb at 1:100 dilution. This image was taken for the unconjugated form of this product. Other forms have not been tested.
quantity:
price:
to the supplier
AKT1 Antibody (180-260 aa) LS-C380617
LifeSpan Biosciences
catalog: LS-C380617
domestic rabbit polyclonal
reactivity:
human
modification: phosphorylated
application:
western blot
,
ELISA
,
immunohistochemistry
,
immunocytochemistry
Western blot of Phospho-Akt1 (S246) antibody
quantity:
price:
to the supplier
AKT1 Antibody (250-330 aa) LS-C380620
LifeSpan Biosciences
catalog: LS-C380620
domestic rabbit polyclonal
reactivity:
human
modification: phosphorylated
application:
western blot
,
ELISA
,
immunohistochemistry
Western blot of Phospho-Akt (T308) antibody
quantity:
price:
to the supplier
AKT1 Antibody (410-490 aa) LS-C380625
LifeSpan Biosciences
catalog: LS-C380625
domestic rabbit polyclonal
reactivity:
human
modification: phosphorylated
application:
western blot
,
ELISA
,
immunohistochemistry
Western blot of Phospho-Akt (S473) antibody
quantity:
price:
to the supplier
AKT1 Antibody (390-470 aa) LS-C380626
LifeSpan Biosciences
catalog: LS-C380626
domestic rabbit polyclonal
reactivity:
human
modification: phosphorylated
application:
western blot
,
ELISA
,
immunohistochemistry
Western blot of Phospho-Akt1 (T450) antibody
quantity:
price:
to the supplier
AKT1 Antibody (70-150 aa) LS-C380958
LifeSpan Biosciences
catalog: LS-C380958
domestic rabbit polyclonal
reactivity:
human
modification: phosphorylated
application:
western blot
,
ELISA
Western blot of Phospho-Akt1 (S129) antibody
quantity:
price:
to the supplier
AKT1 Antibody (270-350 aa) LS-C380983
LifeSpan Biosciences
catalog: LS-C380983
domestic rabbit polyclonal
reactivity:
human
modification: phosphorylated
application:
western blot
,
ELISA
Western blot of Phospho-Akt (Y326) antibody
quantity:
price:
to the supplier
AKT1 Antibody (250-330 aa) LS-C381126
LifeSpan Biosciences
catalog: LS-C381126
domestic rabbit polyclonal
reactivity:
human
modification: phosphorylated
application:
western blot
,
ELISA
Western blot of Phospho-Akt (T308) antibody
quantity:
price:
to the supplier
AKT1 Antibody (240-320 aa) LS-C381234
LifeSpan Biosciences
catalog: LS-C381234
domestic rabbit polyclonal
reactivity:
human
modification: phosphorylated
application:
western blot
,
ELISA
,
immunohistochemistry
Western blot of Phospho-Akt (T308) antibody
quantity:
price:
to the supplier
AKT1 Antibody (60-140 aa) LS-C381254
LifeSpan Biosciences
catalog: LS-C381254
domestic rabbit polyclonal
reactivity:
human
modification: phosphorylated
application:
western blot
,
ELISA
,
immunohistochemistry
Western blot of Phospho-Akt (S124) antibody
quantity:
price:
to the supplier
AKT1 Antibody (410-490 aa) LS-C381314
LifeSpan Biosciences
catalog: LS-C381314
domestic rabbit polyclonal
reactivity:
human
modification: phosphorylated
application:
western blot
,
ELISA
,
immunohistochemistry
Western blot of Phospho-Akt1 (Y474) antibody
quantity:
price:
to the supplier
AKT1 Antibody (10-90 aa) LS-C381320
LifeSpan Biosciences
catalog: LS-C381320
domestic rabbit polyclonal
reactivity:
human
modification: phosphorylated
application:
western blot
,
ELISA
,
immunohistochemistry
Western blot of Phospho-Akt1 (T72) antibody
quantity:
price:
to the supplier
AKT1 Antibody (400-480 aa) LS-C381496
LifeSpan Biosciences
catalog: LS-C381496
domestic rabbit polyclonal
reactivity:
human
modification: phosphorylated
application:
western blot
,
ELISA
,
immunohistochemistry
,
immunocytochemistry
Western blot of Phospho-Akt (S473) antibody
quantity:
price:
to the supplier
AKT1 Antibody (250-330 aa) LS-C381664
LifeSpan Biosciences
catalog: LS-C381664
domestic rabbit polyclonal
reactivity:
human
modification: phosphorylated
application:
ELISA
,
immunohistochemistry
quantity:
price:
to the supplier
AKT1 Antibody (70-150 aa) LS-C381973
LifeSpan Biosciences
catalog: LS-C381973
domestic rabbit polyclonal
reactivity:
human
application:
western blot
,
ELISA
,
immunohistochemistry
,
immunocytochemistry
Western blot of Akt1 antibody
quantity:
price:
to the supplier
AKT1 Antibody (180-260 aa) LS-C381974
LifeSpan Biosciences
catalog: LS-C381974
domestic rabbit polyclonal
reactivity:
human
application:
western blot
,
ELISA
,
immunohistochemistry
Western blot of Akt1 antibody
quantity:
price:
to the supplier
AKT1 Antibody (10-90 aa) LS-C381975
LifeSpan Biosciences
catalog: LS-C381975
domestic rabbit polyclonal
reactivity:
human
application:
western blot
,
ELISA
,
immunohistochemistry
Western blot of Akt1 antibody
quantity:
price:
to the supplier
AKT1 Antibody (270-350 aa) LS-C381976
LifeSpan Biosciences
catalog: LS-C381976
domestic rabbit polyclonal
reactivity:
human
application:
western blot
,
ELISA
,
immunohistochemistry
,
immunocytochemistry
Western blot of Akt antibody
quantity:
price:
to the supplier
AKT1 Antibody (400-480 aa) LS-C381977
LifeSpan Biosciences
catalog: LS-C381977
domestic rabbit polyclonal
reactivity:
human
application:
western blot
,
ELISA
,
immunohistochemistry
Western blot of Akt antibody
quantity:
price:
to the supplier
AKT1 Antibody (240-320 aa) LS-C381978
LifeSpan Biosciences
catalog: LS-C381978
domestic rabbit polyclonal
reactivity:
human
application:
western blot
,
ELISA
,
immunohistochemistry
Western blot of Akt antibody
quantity:
price:
to the supplier
AKT1 Antibody (400-480 aa) LS-C381980
LifeSpan Biosciences
catalog: LS-C381980
domestic rabbit polyclonal
reactivity:
human
application:
western blot
,
ELISA
,
immunohistochemistry
Western blot of Akt antibody
quantity:
price:
to the supplier
AKT1 Antibody (410-490 aa) LS-C381981
LifeSpan Biosciences
catalog: LS-C381981
domestic rabbit polyclonal
reactivity:
human
application:
ELISA
,
immunohistochemistry
quantity:
price:
to the supplier
AKT1 Antibody (250-330 aa) LS-C381982
LifeSpan Biosciences
catalog: LS-C381982
domestic rabbit polyclonal
reactivity:
human
application:
western blot
,
ELISA
,
immunohistochemistry
quantity:
price:
to the supplier
AKT1 Antibody (250-330 aa) LS-C381985
LifeSpan Biosciences
catalog: LS-C381985
domestic rabbit polyclonal
reactivity:
human
application:
western blot
,
ELISA
Western blot of Akt1 antibody
quantity:
price:
to the supplier
AKT1 Antibody (250-330 aa) LS-C381993
LifeSpan Biosciences
catalog: LS-C381993
domestic rabbit polyclonal
reactivity:
human
application:
western blot
,
ELISA
,
immunohistochemistry
Western blot of Akt antibody
quantity:
price:
to the supplier
AKT1 Antibody (30-110 aa, N-terminal) LS-C381994
LifeSpan Biosciences
catalog: LS-C381994
domestic rabbit polyclonal
reactivity:
human
application:
western blot
,
ELISA
,
immunohistochemistry
Western blot of Akt1 antibody
quantity:
price:
to the supplier
AKT1 Antibody (390-470 aa) LS-C381995
LifeSpan Biosciences
catalog: LS-C381995
domestic rabbit polyclonal
reactivity:
human
application:
western blot
,
ELISA
,
immunohistochemistry
Western blot of Akt1 antibody
quantity:
price:
to the supplier
AKT1 Antibody (60-140 aa) LS-C382001
LifeSpan Biosciences
catalog: LS-C382001
domestic rabbit polyclonal
reactivity:
human
application:
western blot
,
ELISA
Western blot of Akt1 antibody
quantity:
price:
to the supplier
AKT1 Antibody LS-C387896
LifeSpan Biosciences
catalog: LS-C387896
domestic rabbit polyclonal
reactivity:
human
application:
western blot
quantity:
price:
to the supplier