Sign in
Sign up
home
>
LifeSpan Biosciences
> LifeSpan Biosciences HER2 antibody
IHC-plus™ ERBB2 / HER2 Antibody (Cytoplasmic Domain) LS-A9398
LifeSpan Biosciences
catalog: LS-A9398
domestic rabbit polyclonal
reactivity:
human
application:
immunohistochemistry
,
immunohistochemistry - paraffin section
Anti-ERBB2 / HER2 antibody IHC of human breast carcinoma, neoplastic cells. Immunohistochemistry of formalin-fixed, paraffin-embedded tissue after heat-induced antigen retrieval.
quantity:
price:
to the supplier
ERBB2 / HER2 Antibody (clone ICR55) LS-C11576
LifeSpan Biosciences
catalog: LS-C11576
rat monoclonal (ICR55)
reactivity:
human
application:
western blot
,
immunohistochemistry
,
immunoprecipitation
,
flow cytometry
,
immunohistochemistry - paraffin section
,
immunohistochemistry - frozen section
quantity:
price:
to the supplier
ERBB2 / HER2 Antibody (clone 9B9D8) LS-C41478
LifeSpan Biosciences
catalog: LS-C41478
mouse monoclonal (9B9D8)
reactivity:
human
application:
western blot
,
ELISA
,
immunohistochemistry
quantity:
price:
to the supplier
PathPlus™ ERBB2 / HER2 Antibody (aa1243-1255) LS-B2133
LifeSpan Biosciences
catalog: LS-B2133
domestic rabbit polyclonal
reactivity:
human
application:
western blot
,
immunohistochemistry
,
immunoprecipitation
,
immunohistochemistry - paraffin section
,
immunohistochemistry - frozen section
Anti-ERBB2 / HER2 antibody IHC of human breast, carcinoma. Immunohistochemistry of formalin-fixed, paraffin-embedded tissue after heat-induced antigen retrieval. Antibody concentration 5 ug/ml.
quantity:
price:
to the supplier
ERBB2 / HER2 Antibody (Extracellular Domain, clone L26) LS-C85333
LifeSpan Biosciences
catalog: LS-C85333
mouse monoclonal (L26)
reactivity:
human
application:
western blot
quantity:
price:
to the supplier
ERBB2 / HER2 Antibody (phospho-Tyr1248, clone PN2A) LS-C85334
LifeSpan Biosciences
catalog: LS-C85334
mouse monoclonal (PN2A)
reactivity:
human
modification: phosphorylated
application:
western blot
,
immunocytochemistry
quantity:
price:
to the supplier
ERBB2 / HER2 Antibody (Extracellular Domain, clone 9G6.10) LS-C85336
LifeSpan Biosciences
catalog: LS-C85336
mouse monoclonal (9G6.10)
reactivity:
human
application:
immunocytochemistry
,
immunoprecipitation
,
flow cytometry
quantity:
price:
to the supplier
ERBB2 / HER2 Antibody (Extracellular Domain, clone N28) LS-C85340
LifeSpan Biosciences
catalog: LS-C85340
mouse monoclonal (N28)
reactivity:
human
application:
immunoprecipitation
quantity:
price:
to the supplier
ERBB2 / HER2 Antibody (Extracellular Domain, clone SP3) LS-C95808
LifeSpan Biosciences
catalog: LS-C95808
domestic rabbit monoclonal (SP3)
reactivity:
human
application:
immunohistochemistry
quantity:
price:
to the supplier
ERBB2 / HER2 Antibody (clone 9G6.10) LS-C87962
LifeSpan Biosciences
catalog: LS-C87962
mouse monoclonal (9G6.10)
reactivity:
human
application:
immunohistochemistry
,
immunocytochemistry
,
immunoprecipitation
,
flow cytometry
,
immunohistochemistry - frozen section
Paraformaldehyde-fixed, human colon cancer cells (LS174T) stained with peroxidase-conjugate and AEC chromogen. Note cell membrane staining of cultured cells. This image was taken for the unmodified form of this product. Other forms have not been tested.
quantity:
price:
to the supplier
ERBB2 / HER2 Antibody (clone 9G6.10, Azide-free) LS-C87963
LifeSpan Biosciences
catalog: LS-C87963
mouse monoclonal (9G6.10)
reactivity:
human
application:
immunohistochemistry
,
immunocytochemistry
,
immunoprecipitation
,
flow cytometry
,
immunohistochemistry - frozen section
Paraformaldehyde-fixed, human colon cancer cells (LS174T) stained with peroxidase-conjugate and AEC chromogen. Note cell membrane staining of cultured cells. This image was taken for the unmodified form of this product. Other forms have not been tested.
quantity:
price:
to the supplier
ERBB2 / HER2 Antibody (clone N12, Biotin) LS-C88044
LifeSpan Biosciences
catalog: LS-C88044
mouse monoclonal (N12)
reactivity:
human
conjugate: biotin
application:
immunohistochemistry
,
immunocytochemistry
,
immunohistochemistry - frozen section
quantity:
price:
to the supplier
ERBB2 / HER2 Antibody (clone e2-4001) LS-C88082
LifeSpan Biosciences
catalog: LS-C88082
mouse monoclonal (e2-4001)
reactivity:
human
application:
western blot
,
immunohistochemistry
,
immunoprecipitation
,
immunohistochemistry - paraffin section
Formalin-fixed, paraffin-embedded human breast carcinoma stained with peroxidase-conjugate and AEC chromogen. Note intense cell membrane staining of tumor cells. This image was taken for the unmodified form of this product. Other forms have not been tested.
quantity:
price:
to the supplier
ERBB2 / HER2 Antibody (clone e2-4001, Biotin) LS-C88083
LifeSpan Biosciences
catalog: LS-C88083
mouse monoclonal (e2-4001)
reactivity:
human
conjugate: biotin
application:
western blot
,
immunohistochemistry
,
immunoprecipitation
,
immunohistochemistry - paraffin section
Formalin-fixed, paraffin-embedded human breast carcinoma stained with peroxidase-conjugate and AEC chromogen. Note intense cell membrane staining of tumor cells. This image was taken for the unmodified form of this product. Other forms have not been tested.
quantity:
price:
to the supplier
ERBB2 / HER2 Antibody (clone 3B5, Biotin) LS-C88271
LifeSpan Biosciences
catalog: LS-C88271
mouse monoclonal (3B5)
reactivity:
human
conjugate: biotin
application:
western blot
,
immunohistochemistry
,
immunoprecipitation
quantity:
price:
to the supplier
ERBB2 / HER2 Antibody (clone L26) LS-C88273
LifeSpan Biosciences
catalog: LS-C88273
mouse monoclonal (L26)
reactivity:
human
application:
immunoprecipitation
quantity:
price:
to the supplier
ERBB2 / HER2 Antibody (Azide-free) LS-C88611
LifeSpan Biosciences
catalog: LS-C88611
domestic rabbit polyclonal
reactivity:
human
application:
western blot
,
immunohistochemistry
,
immunoprecipitation
,
immunohistochemistry - paraffin section
Formalin-fixed, paraffin-embedded human breast cancer stained with peroxidase-conjugate and AEC chromogen. Note membrane staining of tumor cells. This image was taken for the unmodified form of this product. Other forms have not been tested.
quantity:
price:
to the supplier
ERBB2 / HER2 Antibody (aa146-195) LS-C96189
LifeSpan Biosciences
catalog: LS-C96189
chicken polyclonal
reactivity:
human
application:
western blot
,
immunohistochemistry
quantity:
price:
to the supplier
ERBB2 / HER2 Antibody (aa21-52) LS-C97500
LifeSpan Biosciences
catalog: LS-C97500
domestic rabbit polyclonal
reactivity:
human
application:
western blot
,
immunohistochemistry
,
flow cytometry
,
immunohistochemistry - paraffin section
Western blot of ErbB2 (arrow) in T47D cell lysates, either non-induced (Lane 1) or induced with HRG (Lane 2).
Flow cytometric of MCF-7 cells using HER2/ErbB2 Antibody (bottom histogram) compared to a negative control cell (top histogram). FITC-conjugated goat-anti-rabbit secondary antibodies were used for the analysis.
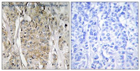
Formalin-fixed and paraffin-embedded human cancer tissue reacted with the primary antibody, which was peroxidase-conjugated to the secondary antibody, followed by AEC staining. This data demonstrates the use of this antibody for immunohistochemistry; clinical relevance has not been evaluated. BC = breast carcinoma; HC = hepatocarcinoma.
quantity:
price:
to the supplier
ERBB2 / HER2 Antibody LS-C97503
LifeSpan Biosciences
catalog: LS-C97503
domestic rabbit polyclonal
reactivity:
human
application:
western blot
,
immunohistochemistry
,
immunocytochemistry
,
flow cytometry
,
immunohistochemistry - paraffin section
Western blot of HER2(arrow) using rabbit polyclonal HER2 antibody. 293 cell lysates (2 ug/lane) either nontransfected (Lane 1) or transiently transfected with the HER2 gene (Lane 2) (Origene Technologies).
Formalin-fixed and paraffin-embedded human breast carcinoma tissue reacted with HER2 antibody , which was peroxidase-conjugated to the secondary antibody, followed by DAB staining. This data demonstrates the use of this antibody for immunohistochemistry; clinical relevance has not been evaluated.
Flow cytometric of MCF-7 cells using HER2 Antibody (bottom histogram) compared to a negative control cell (top histogram). FITC-conjugated goat-anti-rabbit secondary antibodies were used for the analysis.
quantity:
price:
to the supplier
IHC-plus™ ERBB2 / HER2 Antibody (N-Terminus) LS-A9396
LifeSpan Biosciences
catalog: LS-A9396
domestic rabbit polyclonal
reactivity:
human
application:
immunohistochemistry
,
immunohistochemistry - paraffin section
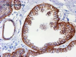
Anti-ERBB2 / HER2 antibody IHC of human prostate. Immunohistochemistry of formalin-fixed, paraffin-embedded tissue after heat-induced antigen retrieval.
quantity:
price:
to the supplier
ERBB2 / HER2 Antibody (aa641-690) LS-C119532
LifeSpan Biosciences
catalog: LS-C119532
domestic rabbit polyclonal
reactivity:
human
application:
western blot
,
immunohistochemistry
,
immunocytochemistry
,
immunohistochemistry - paraffin section
Immunofluorescence analysis of HeLa cells, using HER2 Antibody. The picture on the right is blocked with the synthesized peptide.
Immunohistochemistry analysis of paraffin-embedded human breast carcinoma tissue, using HER2 Antibody. The picture on the right is blocked with the synthesized peptide.
Western blot analysis of lysates from 293 cells, using HER2 Antibody. The lane on the right is blocked with the synthesized peptide.
quantity:
price:
to the supplier
ERBB2 / HER2 Antibody (aa23-419) LS-C122771
LifeSpan Biosciences
catalog: LS-C122771
mouse monoclonal
reactivity:
human
application:
immunohistochemistry
quantity:
price:
to the supplier
ERBB2 / HER2 Antibody (aa23-652) LS-C128811
LifeSpan Biosciences
catalog: LS-C128811
mouse monoclonal
reactivity:
human
application:
western blot
,
ELISA
quantity:
price:
to the supplier
ERBB2 / HER2 Antibody (clone 3B1) LS-C133884
LifeSpan Biosciences
catalog: LS-C133884
mouse monoclonal (3B1)
reactivity:
human
application:
western blot
,
ELISA
,
immunocytochemistry
Immunofluorescence of monoclonal antibody to ERBB2 on HeLa cell. [antibody concentration 10 ug/ml].
Detection limit for recombinant GST tagged ERBB2 is 0.3 ng/ml as a capture antibody.
quantity:
price:
to the supplier
IHC-plus™ ERBB2 / HER2 Antibody (clone 3B5) LS-B7205
LifeSpan Biosciences
catalog: LS-B7205
mouse monoclonal (3B5)
reactivity:
human
application:
western blot
,
immunohistochemistry
,
immunoprecipitation
,
immunohistochemistry - paraffin section
,
immunohistochemistry - frozen section
Anti-ERBB2 / HER2 antibody IHC of human placenta. Immunohistochemistry of formalin-fixed, paraffin-embedded tissue after heat-induced antigen retrieval. Antibody concentration 10 ug/ml.
quantity:
price:
to the supplier
ERBB2 / HER2 Antibody (aa23-653, clone 12K88) LS-C182844
LifeSpan Biosciences
catalog: LS-C182844
rat monoclonal (12K88)
reactivity:
human
,
mouse
application:
flow cytometry
quantity:
price:
to the supplier
ERBB2 / HER2 Antibody (Cytoplasmic Domain) LS-C12217
LifeSpan Biosciences
catalog: LS-C12217
mouse monoclonal
reactivity:
human
application:
western blot
,
immunohistochemistry
,
immunoprecipitation
quantity:
price:
to the supplier
ERBB2 / HER2 Antibody (Internal, clone CB11, Concentrated) LS-C202461
LifeSpan Biosciences
catalog: LS-C202461
mouse monoclonal (CB11)
reactivity:
human
application:
immunohistochemistry
,
immunohistochemistry - paraffin section
,
immunohistochemistry - frozen section
quantity:
price:
to the supplier
ERBB2 / HER2 Antibody (aa531-559, FITC) LS-C213840
LifeSpan Biosciences
catalog: LS-C213840
domestic rabbit polyclonal
reactivity:
human
,
mouse
conjugate: FITC
application:
western blot
,
ELISA
quantity:
price:
to the supplier
ERBB2 / HER2 Antibody (aa21-52, APC) LS-C213845
LifeSpan Biosciences
catalog: LS-C213845
domestic rabbit polyclonal
reactivity:
human
conjugate: APC
application:
western blot
,
ELISA
,
immunohistochemistry
,
flow cytometry
quantity:
price:
to the supplier
ERBB2 / HER2 Antibody (aa21-52, PE) LS-C213848
LifeSpan Biosciences
catalog: LS-C213848
domestic rabbit polyclonal
reactivity:
human
conjugate: PE
application:
western blot
,
ELISA
,
immunohistochemistry
,
flow cytometry
quantity:
price:
to the supplier
ERBB2 / HER2 Antibody (aa1200-C-term) LS-C286243
LifeSpan Biosciences
catalog: LS-C286243
domestic rabbit polyclonal
reactivity:
human
application:
western blot
,
immunohistochemistry
,
immunoprecipitation
,
immunohistochemistry - paraffin section
quantity:
price:
to the supplier
ERBB2 / HER2 Antibody (aa1200-C-term) LS-C286320
LifeSpan Biosciences
catalog: LS-C286320
domestic rabbit polyclonal
reactivity:
human
application:
immunohistochemistry
,
immunocytochemistry
,
immunohistochemistry - paraffin section
quantity:
price:
to the supplier
ERBB2 / HER2 Antibody (aa182-194) LS-C305886
LifeSpan Biosciences
catalog: LS-C305886
domestic goat polyclonal
reactivity:
human
application:
immunohistochemistry
,
immunohistochemistry - paraffin section
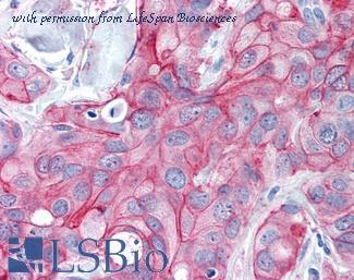
ERBB2 antibody (4 ug/ml) staining of paraffin embedded Human breast cancer (Her+ left, triple negative right). Steamed antigen retrieval with citrate buffer pH 6, HRP-staining.
quantity:
price:
to the supplier
ERBB2 / HER2 Antibody (Biotin) LS-C316944
LifeSpan Biosciences
catalog: LS-C316944
domestic rabbit polyclonal
reactivity:
human
conjugate: biotin
application:
western blot
,
ELISA
,
immunohistochemistry
,
immunohistochemistry - paraffin section
quantity:
price:
to the supplier
ERBB2 / HER2 Antibody (aa676-1255, clone OTI11A7) LS-C337488
LifeSpan Biosciences
catalog: LS-C337488
mouse monoclonal (OTI11A7)
reactivity:
human
application:
western blot
,
immunohistochemistry
,
immunocytochemistry
,
immunohistochemistry - paraffin section
HEK293T cells were transfected with the pCMV6-ENTRY control (Left lane) or pCMV6-ENTRY ERBB2 (Right lane) cDNA for 48 hrs and lysed. Equivalent amounts of cell lysates (5 ug per lane) were separated by SDS-PAGE and immunoblotted with anti-ERBB2.
IHC of paraffin-embedded Human breast tissue using anti-ERBB2 mouse monoclonal antibody. (Heat-induced epitope retrieval by 10mM citric buffer, pH6.0, 100C for 10min).
Anti-ERBB2 mouse monoclonal antibody immunofluorescent staining of COS7 cells transiently transfected by pCMV6-ENTRY ERBB2.
quantity:
price:
to the supplier
ERBB2 / HER2 Antibody (clone 1423CT594.76.52) LS-C356286
LifeSpan Biosciences
catalog: LS-C356286
mouse monoclonal (1423CT594.76.52)
reactivity:
human
application:
western blot
Western blot of lysate from MDA-MB-453, SK-BR-3 cell line (from left to right), using ERBB2 Antibody (1423CT594. 76. 52). 1423CT594. 76. 52 was diluted at 1:1000. A goat anti-rabbit IgG H&L (HRP) at 1:10000 dilution was used as the secondary antibody. Lysate at 20 ug per lane.
quantity:
price:
to the supplier
ERBB2 / HER2 Antibody (clone HRB2/718) LS-C357930
LifeSpan Biosciences
catalog: LS-C357930
mouse monoclonal (HRB2/718)
reactivity:
human
application:
immunohistochemistry
,
immunocytochemistry
,
flow cytometry
,
immunohistochemistry - frozen section
quantity:
price:
to the supplier
ERBB2 / HER2 Antibody (clone 5J297, FITC) LS-C533753
LifeSpan Biosciences
catalog: LS-C533753
mouse monoclonal (5J297)
reactivity:
human
conjugate: FITC
application:
western blot
,
ELISA
,
immunohistochemistry
,
immunoprecipitation
quantity:
price:
to the supplier