domestic rabbit polyclonal
reactivity: human
application: western blot, ELISA, immunohistochemistry, immunohistochemistry - paraffin section
reactivity: human
application: western blot, ELISA, immunohistochemistry, immunohistochemistry - paraffin section

Western blot. All lanes: NAIF1 antibody at 6 ug/ml. Lane 1: Mouse brain tissue. Lane 2: Mouse heart tissue. Secondary Goat polyclonal to Rabbit IgG at 1:10000 dilution. Predicted band size: 35 kDa. Observed band size: 35 kDa.

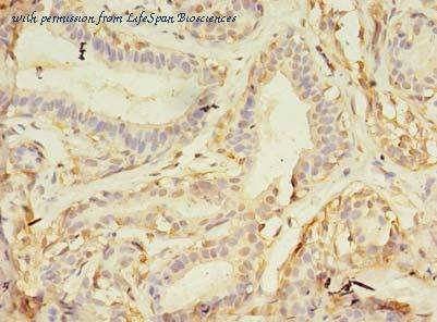
Immunohistochemistry of paraffin-embedded human breast cancer using antibody at dilution of 1:100.
quantity:
price:
to the supplier
domestic rabbit polyclonal
reactivity: human
conjugate: HRP
application: western blot, ELISA, immunohistochemistry
reactivity: human
conjugate: HRP
application: western blot, ELISA, immunohistochemistry
domestic rabbit polyclonal
reactivity: human
conjugate: FITC
application: western blot, ELISA, immunohistochemistry
reactivity: human
conjugate: FITC
application: western blot, ELISA, immunohistochemistry
domestic rabbit polyclonal
reactivity: human
conjugate: biotin
application: western blot, ELISA, immunohistochemistry
reactivity: human
conjugate: biotin
application: western blot, ELISA, immunohistochemistry
