Sign in
Sign up
home
>
LifeSpan Biosciences
> LifeSpan Biosciences MAP3K8 antibody
MAP3K8 / TPL2 Antibody (aa396-445) LS-C31112
LifeSpan Biosciences
catalog: LS-C31112
domestic rabbit polyclonal
reactivity:
human
application:
western blot
quantity:
price:
to the supplier
MAP3K8 / TPL2 Antibody (aa256-305) LS-C117557
LifeSpan Biosciences
catalog: LS-C117557
domestic rabbit polyclonal
reactivity:
human
application:
western blot
,
immunohistochemistry
,
immunocytochemistry
,
immunohistochemistry - paraffin section
Immunofluorescence analysis of HUVEC cells, using COT Antibody. The picture on the right is blocked with the synthesized peptide.
Immunohistochemistry analysis of paraffin-embedded human brain tissue, using COT Antibody. The picture on the right is blocked with the synthesized peptide.
Western blot analysis of lysates from 293 cells, treated with LPS 100ng/ml 30', using COT Antibody. The lane on the right is blocked with the synthesized peptide.
quantity:
price:
to the supplier
MAP3K8 / TPL2 Antibody (phospho-Thr290) LS-C96753
LifeSpan Biosciences
catalog: LS-C96753
domestic rabbit polyclonal
reactivity:
human
modification: phosphorylated
quantity:
price:
to the supplier
MAP3K8 / TPL2 Antibody (aa414-445) LS-C99478
LifeSpan Biosciences
catalog: LS-C99478
domestic rabbit polyclonal
reactivity:
human
application:
western blot
,
immunohistochemistry
,
immunohistochemistry - paraffin section
Western blot of MEKK8 (arrow) using MEKK8 Antibody. 293 cell lysates (2 ug/lane) either nontransfected (Lane 1) or transiently transfected with the MAP3K8 gene (Lane 2) (Origene Technologies).
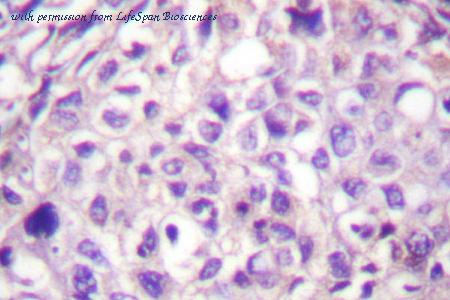
Formalin-fixed and paraffin-embedded human cancer tissue reacted with the primary antibody, which was peroxidase-conjugated to the secondary antibody, followed by DAB staining. This data demonstrates the use of this antibody for immunohistochemistry; clinical relevance has not been evaluated. BC = breast carcinoma; HC = hepatocarcinoma.
quantity:
price:
to the supplier
MAP3K8 / TPL2 Antibody (aa368-397) LS-C99755
LifeSpan Biosciences
catalog: LS-C99755
domestic rabbit polyclonal
reactivity:
human
application:
western blot
,
immunohistochemistry
,
immunohistochemistry - paraffin section
The anti-COT antibody is used in Western blot to detect COT in HeLa cell lysate.
Formalin-fixed and paraffin-embedded human cancer tissue reacted with the primary antibody, which was peroxidase-conjugated to the secondary antibody, followed by DAB staining. This data demonstrates the use of this antibody for immunohistochemistry; clinical relevance has not been evaluated. BC = breast carcinoma; HC = hepatocarcinoma.
quantity:
price:
to the supplier
MAP3K8 / TPL2 Antibody (aa35-84) LS-C109573
LifeSpan Biosciences
catalog: LS-C109573
domestic rabbit polyclonal
reactivity:
human
application:
western blot
quantity:
price:
to the supplier
MAP3K8 / TPL2 Antibody (aa366-415) LS-C118311
LifeSpan Biosciences
catalog: LS-C118311
domestic rabbit polyclonal
reactivity:
human
application:
western blot
,
immunohistochemistry
,
immunohistochemistry - paraffin section
Immunohistochemistry analysis of paraffin-embedded human brain tissue, using MAP3K8 Antibody. The picture on the right is blocked with the synthesized peptide.
Western blot analysis of lysates from COLO205 cells, treated with Insulin 0.01U/ml 15', using MAP3K8 Antibody. The lane on the right is blocked with the synthesized peptide.
quantity:
price:
to the supplier
IHC-plus™ MAP3K8 / TPL2 Antibody (C-Terminus) LS-A6858
LifeSpan Biosciences
catalog: LS-A6858
domestic rabbit polyclonal
reactivity:
human
application:
immunohistochemistry
,
immunohistochemistry - paraffin section
Anti-MAP3K8 antibody IHC of human colon. Immunohistochemistry of formalin-fixed, paraffin-embedded tissue after heat-induced antigen retrieval.
quantity:
price:
to the supplier
IHC-plus™ MAP3K8 / TPL2 Antibody (N-Terminus) LS-A6991
LifeSpan Biosciences
catalog: LS-A6991
domestic rabbit polyclonal
reactivity:
human
application:
immunohistochemistry
,
immunohistochemistry - paraffin section
Anti-MAP3K8 antibody IHC of human colon. Immunohistochemistry of formalin-fixed, paraffin-embedded tissue after heat-induced antigen retrieval.
quantity:
price:
to the supplier
MAP3K8 / TPL2 Antibody (Pro284) LS-C175974
LifeSpan Biosciences
catalog: LS-C175974
domestic rabbit polyclonal
reactivity:
human
modification: phosphorylated
application:
western blot
,
immunohistochemistry
,
immunocytochemistry
,
immunohistochemistry - paraffin section
Western blot of COT (P284) pAb in extracts from 293 treated with LPS 100ng/ml 30' cells.
IHC of COT (P284) pAb in paraffin-embedded human brain tissue.
quantity:
price:
to the supplier
MAP3K8 / TPL2 Antibody (phospho-Thr290) LS-C198825
LifeSpan Biosciences
catalog: LS-C198825
domestic rabbit polyclonal
reactivity:
human
modification: phosphorylated
application:
western blot
,
immunohistochemistry
,
immunocytochemistry
,
immunohistochemistry - paraffin section
Immunofluorescence analysis of HUVEC cells, using COT (Phospho-Thr290) Antibody. The picture on the right is blocked with the phospho peptide.
Immunohistochemistry analysis of paraffin-embedded human brain, using COT (Phospho-Thr290) Antibody. The picture on the right is blocked with the phospho peptide.
Western blot analysis of lysates from 293 cells treated with UV 15', using COT (Phospho-Thr290) Antibody. The lane on the right is blocked with the phospho peptide.
quantity:
price:
to the supplier
MAP3K8 / TPL2 Antibody (phospho-Ser400) LS-C199222
LifeSpan Biosciences
catalog: LS-C199222
domestic rabbit polyclonal
reactivity:
human
modification: phosphorylated
application:
immunohistochemistry
,
immunohistochemistry - paraffin section
Immunohistochemistry analysis of paraffin-embedded human brain, using MAP3K8 (Phospho-Ser400) Antibody. The picture on the right is blocked with the phospho peptide.
quantity:
price:
to the supplier
MAP3K8 / TPL2 Antibody (phospho-Thr290, AP) LS-C206486
LifeSpan Biosciences
catalog: LS-C206486
domestic rabbit polyclonal
reactivity:
human
conjugate: AP
modification: phosphorylated
application:
ELISA
quantity:
price:
to the supplier
MAP3K8 / TPL2 Antibody (phospho-Thr290, Biotin) LS-C206487
LifeSpan Biosciences
catalog: LS-C206487
domestic rabbit polyclonal
reactivity:
human
conjugate: biotin
modification: phosphorylated
application:
ELISA
quantity:
price:
to the supplier
MAP3K8 / TPL2 Antibody (phospho-Thr290, APC) LS-C206488
LifeSpan Biosciences
catalog: LS-C206488
domestic rabbit polyclonal
reactivity:
human
conjugate: APC
modification: phosphorylated
application:
ELISA
quantity:
price:
to the supplier
MAP3K8 / TPL2 Antibody (phospho-Thr290, FITC) LS-C206490
LifeSpan Biosciences
catalog: LS-C206490
domestic rabbit polyclonal
reactivity:
human
conjugate: FITC
modification: phosphorylated
application:
ELISA
quantity:
price:
to the supplier
MAP3K8 / TPL2 Antibody (phospho-Thr290, PE) LS-C206491
LifeSpan Biosciences
catalog: LS-C206491
domestic rabbit polyclonal
reactivity:
human
conjugate: PE
modification: phosphorylated
application:
ELISA
quantity:
price:
to the supplier
MAP3K8 / TPL2 Antibody (aa414-445, AP) LS-C206492
LifeSpan Biosciences
catalog: LS-C206492
domestic rabbit polyclonal
reactivity:
human
conjugate: AP
application:
western blot
,
ELISA
,
immunohistochemistry
quantity:
price:
to the supplier
MAP3K8 / TPL2 Antibody (aa414-445, APC) LS-C206493
LifeSpan Biosciences
catalog: LS-C206493
domestic rabbit polyclonal
reactivity:
human
conjugate: APC
application:
western blot
,
ELISA
,
immunohistochemistry
quantity:
price:
to the supplier
MAP3K8 / TPL2 Antibody (aa414-445, Biotin) LS-C206494
LifeSpan Biosciences
catalog: LS-C206494
domestic rabbit polyclonal
reactivity:
human
conjugate: biotin
application:
western blot
,
ELISA
,
immunohistochemistry
quantity:
price:
to the supplier
MAP3K8 / TPL2 Antibody (aa414-445, FITC) LS-C206495
LifeSpan Biosciences
catalog: LS-C206495
domestic rabbit polyclonal
reactivity:
human
conjugate: FITC
application:
western blot
,
ELISA
,
immunohistochemistry
quantity:
price:
to the supplier
MAP3K8 / TPL2 Antibody (aa414-445, PE) LS-C206496
LifeSpan Biosciences
catalog: LS-C206496
domestic rabbit polyclonal
reactivity:
human
conjugate: PE
application:
western blot
,
ELISA
,
immunohistochemistry
quantity:
price:
to the supplier
MAP3K8 / TPL2 Antibody (aa368-397, AP) LS-C206497
LifeSpan Biosciences
catalog: LS-C206497
domestic rabbit polyclonal
reactivity:
human
conjugate: AP
application:
western blot
,
ELISA
,
immunohistochemistry
quantity:
price:
to the supplier
MAP3K8 / TPL2 Antibody (aa368-397, Biotin) LS-C206498
LifeSpan Biosciences
catalog: LS-C206498
domestic rabbit polyclonal
reactivity:
human
conjugate: biotin
application:
western blot
,
ELISA
,
immunohistochemistry
quantity:
price:
to the supplier
MAP3K8 / TPL2 Antibody (aa368-397, APC) LS-C206499
LifeSpan Biosciences
catalog: LS-C206499
domestic rabbit polyclonal
reactivity:
human
conjugate: APC
application:
western blot
,
ELISA
,
immunohistochemistry
quantity:
price:
to the supplier
MAP3K8 / TPL2 Antibody (aa368-397, FITC) LS-C206500
LifeSpan Biosciences
catalog: LS-C206500
domestic rabbit polyclonal
reactivity:
human
conjugate: FITC
application:
western blot
,
ELISA
,
immunohistochemistry
quantity:
price:
to the supplier
MAP3K8 / TPL2 Antibody (aa368-397, PE) LS-C206505
LifeSpan Biosciences
catalog: LS-C206505
domestic rabbit polyclonal
reactivity:
human
conjugate: PE
application:
western blot
,
ELISA
,
immunohistochemistry
quantity:
price:
to the supplier
MAP3K8 / TPL2 Antibody (phospho-Thr290, Azide-free, HRP) LS-C207956
LifeSpan Biosciences
catalog: LS-C207956
domestic rabbit polyclonal
reactivity:
human
conjugate: HRP
modification: phosphorylated
application:
ELISA
quantity:
price:
to the supplier
MAP3K8 / TPL2 Antibody (aa414-445, Azide-free, HRP) LS-C207958
LifeSpan Biosciences
catalog: LS-C207958
domestic rabbit polyclonal
reactivity:
human
conjugate: HRP
application:
western blot
,
ELISA
,
immunohistochemistry
quantity:
price:
to the supplier
MAP3K8 / TPL2 Antibody (aa368-397, Azide-free, HRP) LS-C207959
LifeSpan Biosciences
catalog: LS-C207959
domestic rabbit polyclonal
reactivity:
human
conjugate: HRP
application:
western blot
,
ELISA
,
immunohistochemistry
quantity:
price:
to the supplier
MAP3K8 / TPL2 Antibody (aa345-394) LS-C292161
LifeSpan Biosciences
catalog: LS-C292161
domestic rabbit polyclonal
reactivity:
human
application:
western blot
,
immunohistochemistry
Western blot analysis of the lysates from HeLa cells using MAP3K8 antibody.
quantity:
price:
to the supplier
MAP3K8 / TPL2 Antibody (aa414-445) LS-C327109
LifeSpan Biosciences
catalog: LS-C327109
domestic rabbit polyclonal
reactivity:
human
application:
western blot
,
ELISA
,
immunohistochemistry
quantity:
price:
to the supplier
MAP3K8 / TPL2 Antibody (aa368-397) LS-C327111
LifeSpan Biosciences
catalog: LS-C327111
domestic rabbit polyclonal
reactivity:
human
application:
western blot
,
ELISA
,
immunohistochemistry
quantity:
price:
to the supplier
MAP3K8 / TPL2 Antibody (phospho-Thr290) LS-C330397
LifeSpan Biosciences
catalog: LS-C330397
domestic rabbit polyclonal
reactivity:
human
application:
ELISA
quantity:
price:
to the supplier
MAP3K8 / TPL2 Antibody (aa277-461, clone OTI3D9) LS-C340483
LifeSpan Biosciences
catalog: LS-C340483
mouse monoclonal (OTI3D9)
reactivity:
human
application:
western blot
HEK293T cells were transfected with the pCMV6-ENTRY control (Left lane) or pCMV6-ENTRY MAP3K8 (Right lane) cDNA for 48 hrs and lysed. Equivalent amounts of cell lysates (5 ug per lane) were separated by SDS-PAGE and immunoblotted with anti-MAP3K8 (1:500).
quantity:
price:
to the supplier
MAP3K8 / TPL2 Antibody (aa277-461, clone OTI2E10) LS-C340504
LifeSpan Biosciences
catalog: LS-C340504
mouse monoclonal (OTI2E10)
reactivity:
human
application:
western blot
HEK293T cells were transfected with the pCMV6-ENTRY control (Left lane) or pCMV6-ENTRY MAP3K8 (Right lane) cDNA for 48 hrs and lysed. Equivalent amounts of cell lysates (5 ug per lane) were separated by SDS-PAGE and immunoblotted with anti-MAP3K8 (1:2000).
quantity:
price:
to the supplier
MAP3K8 / TPL2 Antibody (phospho-Thr290) LS-C353944
LifeSpan Biosciences
catalog: LS-C353944
domestic rabbit polyclonal
reactivity:
human
modification: phosphorylated
application:
western blot
,
immunohistochemistry
,
immunocytochemistry
,
immunohistochemistry - paraffin section
Western blot analysis of TPL2 (pT290) expression in HepG2 (A); mouse liver (B); rat liver (C) whole cell lysates.
Immunohistochemical analysis of TPL2 (pT290) staining in human breast cancer formalin fixed paraffin embedded tissue section. The section was pre-treated using heat mediated antigen retrieval with sodium citrate buffer (pH 6.0). The section was then incubated with the antibody at room temperature and detected using an HRP conjugated compact polymer system. DAB was used as the chromogen. The section was then counterstained with hematoxylin and mounted with DPX.
Immunofluorescent analysis of TPL2 (pT290) staining in HepG2 cells. Formalin-fixed cells were permeabilized with 0.1% Triton X-100 in TBS for 5-10 minutes and blocked with 3% BSA-PBS for 30 minutes at room temperature. Cells were probed with the primary antibody in 3% BSA-PBS and incubated overnight at 4 C in a humidified chamber. Cells were washed with PBST and incubated with a DyLight 594-conjugated secondary antibody (red) in PBS at room temperature in the dark. DAPI was used to stain the cell nuclei (blue).
quantity:
price:
to the supplier
MAP3K8 / TPL2 Antibody (Internal) LS-C358799
LifeSpan Biosciences
catalog: LS-C358799
domestic rabbit polyclonal
reactivity:
human
application:
western blot
,
immunohistochemistry
,
immunocytochemistry
,
immunohistochemistry - paraffin section
Western blot analysis of TPL2 expression in HEK293T (A); mouse brain (B); rat liver (C) whole cell lysates.
Immunohistochemical analysis of TPL2 staining in human breast cancer formalin fixed paraffin embedded tissue section. The section was pre-treated using heat mediated antigen retrieval with sodium citrate buffer (pH 6.0). The section was then incubated with the antibody at room temperature and detected using an HRP conjugated compact polymer system. DAB was used as the chromogen. The section was then counterstained with hematoxylin and mounted with DPX.
Immunofluorescent analysis of TPL2 staining in HEK293T cells. Formalin-fixed cells were permeabilized with 0.1% Triton X-100 in TBS for 5-10 minutes and blocked with 3% BSA-PBS for 30 minutes at room temperature. Cells were probed with the primary antibody in 3% BSA-PBS and incubated overnight at 4 deg C in a humidified chamber. Cells were washed with PBST and incubated with a DyLight 594-conjugated secondary antibody (red) in PBS at room temperature in the dark. DAPI was used to stain the cell nuclei (blue).
quantity:
price:
to the supplier
MAP3K8 / TPL2 Antibody (230-310 aa) LS-C381455
LifeSpan Biosciences
catalog: LS-C381455
domestic rabbit polyclonal
reactivity:
human
modification: phosphorylated
application:
western blot
,
ELISA
,
immunohistochemistry
,
immunocytochemistry
Western blot of Phospho-Cot (T290) antibody
quantity:
price:
to the supplier
MAP3K8 / TPL2 Antibody (340-420 aa) LS-C381639
LifeSpan Biosciences
catalog: LS-C381639
domestic rabbit polyclonal
reactivity:
human
modification: phosphorylated
application:
ELISA
,
immunohistochemistry
quantity:
price:
to the supplier
MAP3K8 / TPL2 Antibody (230-310 aa) LS-C382864
LifeSpan Biosciences
catalog: LS-C382864
domestic rabbit polyclonal
reactivity:
human
application:
western blot
,
ELISA
,
immunohistochemistry
,
immunocytochemistry
Western blot of COT antibody
quantity:
price:
to the supplier
MAP3K8 / TPL2 Antibody (340-420 aa) LS-C382866
LifeSpan Biosciences
catalog: LS-C382866
domestic rabbit polyclonal
reactivity:
human
application:
western blot
,
ELISA
,
immunohistochemistry
Western blot of Cot antibody
quantity:
price:
to the supplier