Sign in
Sign up
home
>
LifeSpan Biosciences
> LifeSpan Biosciences RCC1 antibody
IHC-plus™ RCC1 Antibody LS-B2881
LifeSpan Biosciences
catalog: LS-B2881
domestic rabbit polyclonal
reactivity:
human
application:
western blot
,
immunohistochemistry
,
immunocytochemistry
,
immunoprecipitation
,
immunohistochemistry - paraffin section
Anti-RCC1 antibody IHC staining of human skin. Immunohistochemistry of formalin-fixed, paraffin-embedded tissue after heat-induced antigen retrieval. Antibody dilution 1:100.
quantity:
price:
to the supplier
IHC-plus™ RCC1 Antibody (clone 2F1) LS-B6024
LifeSpan Biosciences
catalog: LS-B6024
mouse monoclonal (2F1)
reactivity:
human
application:
western blot
,
ELISA
,
immunohistochemistry
,
immunocytochemistry
,
immunohistochemistry - paraffin section
Western blot of RCC1 expression in transfected 293T cell line. Lane 1: RCC1 transfected lysate (45 KDa). Lane 2: Non-transfected lysate.
Immunofluorescence of monoclonal antibody to RCC1 on HeLa cell. [antibody concentration 10 ug/ml]
Anti-RCC1 antibody IHC of human spleen. Immunohistochemistry of formalin-fixed, paraffin-embedded tissue after heat-induced antigen retrieval. Antibody concentration 5 ug/ml.
quantity:
price:
to the supplier
RCC1 Antibody LS-C82249
LifeSpan Biosciences
catalog: LS-C82249
domestic rabbit polyclonal
reactivity:
human
application:
western blot
,
immunohistochemistry
,
immunocytochemistry
,
immunoprecipitation
,
immunohistochemistry - paraffin section
Immunohistochemistry of RanGEF (RCC1) on formalin fixed paraffin embedded skin tissue at 1:100
quantity:
price:
to the supplier
RCC1 Antibody (phospho-Ser11) LS-C131814
LifeSpan Biosciences
catalog: LS-C131814
domestic rabbit polyclonal
reactivity:
human
modification: phosphorylated
application:
western blot
quantity:
price:
to the supplier
RCC1 Antibody (C-Terminus) LS-C145502
LifeSpan Biosciences
catalog: LS-C145502
domestic rabbit polyclonal
reactivity:
human
application:
western blot
quantity:
price:
to the supplier
RCC1 Antibody (clone 3D11) LS-C179782
LifeSpan Biosciences
catalog: LS-C179782
mouse monoclonal (3D11)
reactivity:
human
application:
western blot
,
immunocytochemistry
,
immunoprecipitation
quantity:
price:
to the supplier
RCC1 Antibody (aa1-50) LS-C287714
LifeSpan Biosciences
catalog: LS-C287714
domestic goat polyclonal
reactivity:
human
application:
western blot
,
immunoprecipitation
quantity:
price:
to the supplier
RCC1 Antibody (aa200-250) LS-C289336
LifeSpan Biosciences
catalog: LS-C289336
domestic rabbit polyclonal
reactivity:
human
application:
immunoprecipitation
quantity:
price:
to the supplier
RCC1 Antibody (aa371-421) LS-C289337
LifeSpan Biosciences
catalog: LS-C289337
domestic rabbit polyclonal
reactivity:
human
application:
western blot
quantity:
price:
to the supplier
RCC1 Antibody LS-C162515
LifeSpan Biosciences
catalog: LS-C162515
domestic rabbit polyclonal
reactivity:
human
application:
western blot
,
immunohistochemistry
,
flow cytometry
Western blot analysis of RCC1 Antibody in 293, MDA-MB231 cell line lysates (35 ug/lane). RCC1 (arrow) was detected using the purified Pab.
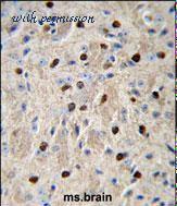
RCC1 Antibody IHC analysis in formalin fixed and paraffin embedded mouse brain followed by peroxidase conjugation of the secondary antibody and DAB staining. This demonstrates the use of the RCC1 Antibody for immunohistochemistry.
RCC1 Antibody flow cytometric analysis of 293 cells (right histogram) compared to a negative control cell (left histogram).FITC-conjugated goat-anti-rabbit secondary antibodies were used for the analysis.
quantity:
price:
to the supplier