Sign in
Sign up
home
>
LifeSpan Biosciences
> LifeSpan Biosciences CDKN2C antibody
CDKN2C / p18 INK4c Antibody (aa111-160) LS-C118543
LifeSpan Biosciences
catalog: LS-C118543
domestic rabbit polyclonal
reactivity:
human
application:
western blot
,
immunohistochemistry
,
immunohistochemistry - paraffin section
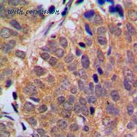
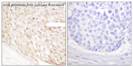
Immunohistochemistry analysis of paraffin-embedded human breast carcinoma tissue, using p18 INK Antibody. The picture on the right is blocked with the synthesized peptide.
Western blot analysis of lysates from COS7 cells, using p18 INK Antibody. The lane on the right is blocked with the synthesized peptide.
quantity:
price:
to the supplier
CDKN2C / p18 INK4c Antibody (Azide-free) LS-C37970
LifeSpan Biosciences
catalog: LS-C37970
mouse monoclonal
reactivity:
human
application:
western blot
,
immunohistochemistry
,
immunocytochemistry
,
immunoprecipitation
,
immunohistochemistry - paraffin section
quantity:
price:
to the supplier
CDKN2C / p18 INK4c Antibody (aa113-139) LS-C168628
LifeSpan Biosciences
catalog: LS-C168628
domestic rabbit polyclonal
reactivity:
human
application:
western blot
,
immunohistochemistry
,
immunohistochemistry - paraffin section
Western blot of CDKN2C (arrow) using rabbit polyclonal CDKN2C Antibody. 293 cell lysates (2 ug/lane) either nontransfected (Lane 1) or transiently transfected (Lane 2) with the CDKN2C gene.
CDKN2C Antibody immunohistochemistry of formalin-fixed and paraffin-embedded human skeletal muscle followed by peroxidase-conjugated secondary antibody and DAB staining.
Human Skin: Formalin-Fixed, Paraffin-Embedded (FFPE)
quantity:
price:
to the supplier
CDKN2C / p18 INK4c Antibody (clone OTI2E1) LS-C175545
LifeSpan Biosciences
catalog: LS-C175545
mouse monoclonal (OTI2E1)
reactivity:
human
application:
western blot
HEK293T cells were transfected with the pCMV6-ENTRY control (Left lane) or pCMV6-ENTRY CDKN2C (Right lane) cDNA for 48 hrs and lysed. Equivalent amounts of cell lysates (5 ug per lane) were separated by SDS-PAGE and immunoblotted with anti-CDKN2C.
quantity:
price:
to the supplier
CDKN2C / p18 INK4c Antibody (clone OTI6D3) LS-C175546
LifeSpan Biosciences
catalog: LS-C175546
mouse monoclonal (OTI6D3)
reactivity:
human
application:
western blot
HEK293T cells were transfected with the pCMV6-ENTRY control (Left lane) or pCMV6-ENTRY CDKN2C (Right lane) cDNA for 48 hrs and lysed. Equivalent amounts of cell lysates (5 ug per lane) were separated by SDS-PAGE and immunoblotted with anti-CDKN2C.
quantity:
price:
to the supplier
CDKN2C / p18 INK4c Antibody (clone OTI1E4) LS-C175547
LifeSpan Biosciences
catalog: LS-C175547
mouse monoclonal (OTI1E4)
reactivity:
human
application:
western blot
HEK293T cells were transfected with the pCMV6-ENTRY control (Left lane) or pCMV6-ENTRY CDKN2C (Right lane) cDNA for 48 hrs and lysed. Equivalent amounts of cell lysates (5 ug per lane) were separated by SDS-PAGE and immunoblotted with anti-CDKN2C.
quantity:
price:
to the supplier
CDKN2C / p18 INK4c Antibody (clone OTI6B3) LS-C175548
LifeSpan Biosciences
catalog: LS-C175548
mouse monoclonal (OTI6B3)
reactivity:
human
application:
western blot
HEK293T cells were transfected with the pCMV6-ENTRY control (Left lane) or pCMV6-ENTRY CDKN2C (Right lane) cDNA for 48 hrs and lysed. Equivalent amounts of cell lysates (5 ug per lane) were separated by SDS-PAGE and immunoblotted with anti-CDKN2C.
quantity:
price:
to the supplier
CDKN2C / p18 INK4c Antibody (clone OTI2D7) LS-C175549
LifeSpan Biosciences
catalog: LS-C175549
mouse monoclonal (OTI2D7)
reactivity:
human
application:
western blot
HEK293T cells were transfected with the pCMV6-ENTRY control (Left lane) or pCMV6-ENTRY CDKN2C (Right lane) cDNA for 48 hrs and lysed. Equivalent amounts of cell lysates (5 ug per lane) were separated by SDS-PAGE and immunoblotted with anti-CDKN2C.
quantity:
price:
to the supplier
CDKN2C / p18 INK4c Antibody (clone OTI1C12) LS-C175550
LifeSpan Biosciences
catalog: LS-C175550
mouse monoclonal (OTI1C12)
reactivity:
human
application:
western blot
HEK293T cells were transfected with the pCMV6-ENTRY control (Left lane) or pCMV6-ENTRY CDKN2C (Right lane) cDNA for 48 hrs and lysed. Equivalent amounts of cell lysates (5 ug per lane) were separated by SDS-PAGE and immunoblotted with anti-CDKN2C.
quantity:
price:
to the supplier
CDKN2C / p18 INK4c Antibody (clone OTI4G10) LS-C175567
LifeSpan Biosciences
catalog: LS-C175567
mouse monoclonal (OTI4G10)
reactivity:
human
application:
western blot
HEK293T cells were transfected with the pCMV6-ENTRY control (Left lane) or pCMV6-ENTRY CDKN2C (Right lane) cDNA for 48 hrs and lysed. Equivalent amounts of cell lysates (5 ug per lane) were separated by SDS-PAGE and immunoblotted with anti-CDKN2C.
quantity:
price:
to the supplier
CDKN2C / p18 INK4c Antibody (Asp142) LS-C176156
LifeSpan Biosciences
catalog: LS-C176156
domestic rabbit polyclonal
reactivity:
human
application:
western blot
,
immunohistochemistry
,
immunohistochemistry - paraffin section
Western blot of p18 INK (D142) pAb in extracts from HeLa cells.
IHC of p18 INK (D142) pAb in paraffin-embedded human breast carcinoma tissue.
quantity:
price:
to the supplier
CDKN2C / p18 INK4c Antibody (clone 2148C1a) LS-C184620
LifeSpan Biosciences
catalog: LS-C184620
mouse monoclonal (2148C1a)
reactivity:
human
application:
western blot
,
immunocytochemistry
quantity:
price:
to the supplier
CDKN2C / p18 INK4c Antibody (aa113-139, AP) LS-C208387
LifeSpan Biosciences
catalog: LS-C208387
domestic rabbit polyclonal
reactivity:
human
conjugate: AP
application:
western blot
,
ELISA
,
immunohistochemistry
quantity:
price:
to the supplier
CDKN2C / p18 INK4c Antibody (aa113-139, APC) LS-C208388
LifeSpan Biosciences
catalog: LS-C208388
domestic rabbit polyclonal
reactivity:
human
conjugate: APC
application:
western blot
,
ELISA
,
immunohistochemistry
quantity:
price:
to the supplier
CDKN2C / p18 INK4c Antibody (aa113-139, Biotin) LS-C208393
LifeSpan Biosciences
catalog: LS-C208393
domestic rabbit polyclonal
reactivity:
human
conjugate: biotin
application:
western blot
,
ELISA
,
immunohistochemistry
quantity:
price:
to the supplier
CDKN2C / p18 INK4c Antibody (aa113-139, FITC) LS-C208394
LifeSpan Biosciences
catalog: LS-C208394
domestic rabbit polyclonal
reactivity:
human
conjugate: FITC
application:
western blot
,
ELISA
,
immunohistochemistry
quantity:
price:
to the supplier
CDKN2C / p18 INK4c Antibody (aa113-139, Azide-free, HRP) LS-C208395
LifeSpan Biosciences
catalog: LS-C208395
domestic rabbit polyclonal
reactivity:
human
conjugate: HRP
application:
western blot
,
ELISA
,
immunohistochemistry
quantity:
price:
to the supplier
CDKN2C / p18 INK4c Antibody (aa113-139, PE) LS-C208396
LifeSpan Biosciences
catalog: LS-C208396
domestic rabbit polyclonal
reactivity:
human
conjugate: PE
application:
western blot
,
ELISA
,
immunohistochemistry
quantity:
price:
to the supplier
CDKN2C / p18 INK4c Antibody (aa113-139) LS-C320290
LifeSpan Biosciences
catalog: LS-C320290
domestic rabbit polyclonal
reactivity:
human
application:
western blot
,
ELISA
,
immunohistochemistry
quantity:
price:
to the supplier
CDKN2C / p18 INK4c Antibody (clone OTI5G1) LS-C336322
LifeSpan Biosciences
catalog: LS-C336322
mouse monoclonal (OTI5G1)
reactivity:
human
application:
western blot
HEK293T cells were transfected with the pCMV6-ENTRY control (Left lane) or pCMV6-ENTRY CDKN2C (Right lane) cDNA for 48 hrs and lysed. Equivalent amounts of cell lysates (5 ug per lane) were separated by SDS-PAGE and immunoblotted with anti-CDKN2C.
quantity:
price:
to the supplier
CDKN2C / p18 INK4c Antibody (clone OTI1H1) LS-C336323
LifeSpan Biosciences
catalog: LS-C336323
mouse monoclonal (OTI1H1)
reactivity:
human
application:
western blot
HEK293T cells were transfected with the pCMV6-ENTRY control (Left lane) or pCMV6-ENTRY CDKN2C (Right lane) cDNA for 48 hrs and lysed. Equivalent amounts of cell lysates (5 ug per lane) were separated by SDS-PAGE and immunoblotted with anti-CDKN2C.
quantity:
price:
to the supplier
CDKN2C / p18 INK4c Antibody LS-C346057
LifeSpan Biosciences
catalog: LS-C346057
domestic rabbit polyclonal
reactivity:
human
application:
western blot
,
immunohistochemistry
,
immunocytochemistry
Western blot analysis of extracts of various cell lines.
Immunohistochemistry of paraffin-embedded rat lung tissue.
Immunofluorescence analysis of HeLa cells.
quantity:
price:
to the supplier
CDKN2C / p18 INK4c Antibody (C-Terminus) LS-C351980
LifeSpan Biosciences
catalog: LS-C351980
domestic rabbit polyclonal
reactivity:
human
application:
western blot
,
immunohistochemistry
,
immunohistochemistry - paraffin section
Western blot analysis of p18 INK4c expression in HeLa (A); NIH3T3 (B); COLO205 (C) whole cell lysates.
Immunohistochemical analysis of p18 INK4c staining in human breast cancer formalin fixed paraffin embedded tissue section. The section was pre-treated using heat mediated antigen retrieval with sodium citrate buffer (pH 6.0). The section was then incubated with the antibody at room temperature and detected using an HRP conjugated compact polymer system. DAB was used as the chromogen. The section was then counterstained with hematoxylin and mounted with DPX.
quantity:
price:
to the supplier
CDKN2C / p18 INK4c Antibody LS-C356850
LifeSpan Biosciences
catalog: LS-C356850
domestic rabbit polyclonal
reactivity:
human
application:
western blot
,
immunohistochemistry
,
immunohistochemistry - paraffin section
Anti-p18 INK4c Antibody at 1:1000 dilution + HeLa whole cell lysates Lysates/proteins at 20 ug per lane. Secondary Goat Anti-Rabbit IgG, (H+L),Peroxidase conjugated at 1/10000 dilution Predicted band size : 18 kDa Blocking/Dilution buffer: 5% NFDM/TBST.
Human Skeletal Muscle: Formalin-Fixed, Paraffin-Embedded (FFPE)
quantity:
price:
to the supplier
CDKN2C / p18 INK4c Antibody (80-160 aa, C-terminal) LS-C385267
LifeSpan Biosciences
catalog: LS-C385267
domestic rabbit polyclonal
reactivity:
human
application:
western blot
,
ELISA
,
immunohistochemistry
Western blot of p18 antibody
quantity:
price:
to the supplier