Sign in
Sign up
home
>
LifeSpan Biosciences
> LifeSpan Biosciences ARPC2 antibody
ARPC2 / p34-Arc Antibody (aa285-298) LS-C35053
LifeSpan Biosciences
catalog: LS-C35053
domestic rabbit polyclonal
reactivity:
human
application:
western blot
,
immunohistochemistry
,
immunocytochemistry
,
immunohistochemistry - paraffin section
quantity:
price:
to the supplier
IHC-plus™ ARPC2 / p34-Arc Antibody (aa288-300) LS-B2742
LifeSpan Biosciences
catalog: LS-B2742
domestic goat polyclonal
reactivity:
human
application:
western blot
,
immunohistochemistry
,
immunohistochemistry - paraffin section
Staining (0.2 ug/ml) of HeLa lysate (RIPA buffer, 35 ug total protein per lane). Primary incubated for 1 hour. Detected by chemiluminescence.
Anti-ARPC2 antibody IHC of human spleen. Immunohistochemistry of formalin-fixed, paraffin-embedded tissue after heat-induced antigen retrieval. Antibody concentration 75 ug/ml.
quantity:
price:
to the supplier
ARPC2 / p34-Arc Antibody (N-Terminus) LS-C102803
LifeSpan Biosciences
catalog: LS-C102803
domestic rabbit polyclonal
reactivity:
human
application:
western blot
quantity:
price:
to the supplier
ARPC2 / p34-Arc Antibody (aa263-291) LS-C159123
LifeSpan Biosciences
catalog: LS-C159123
domestic rabbit polyclonal
reactivity:
human
application:
western blot
ARPC2 Antibody western blot of WiDr cell line lysates (35 ug/lane). The ARPC2 antibody detected the ARPC2 protein (arrow).
quantity:
price:
to the supplier
ARPC2 / p34-Arc Antibody (aa14-300) LS-C185452
LifeSpan Biosciences
catalog: LS-C185452
domestic rabbit polyclonal
reactivity:
human
application:
western blot
,
immunohistochemistry
,
immunocytochemistry
,
immunohistochemistry - paraffin section
Immunofluorescence of paraformaldehyde-fixed HeLa using ARPC2 antibody at 1:200 dilution.
ARPC2 antibody detects ARPC2 protein by Western blot analysis. A. 50 ug rat kidney lysate/extract. 10 % SDS-PAGE. ARPC2 antibody dilution:1:5000
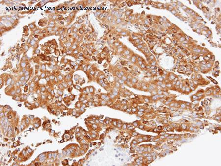
IHC of paraffin-embedded OVCA xenograft using ARPC2 antibody at 1:100 dilution.
quantity:
price:
to the supplier
ARPC2 / p34-Arc Antibody (aa263-291, APC) LS-C232854
LifeSpan Biosciences
catalog: LS-C232854
domestic rabbit polyclonal
reactivity:
human
conjugate: APC
application:
western blot
,
ELISA
quantity:
price:
to the supplier
ARPC2 / p34-Arc Antibody (aa263-291, AP) LS-C232855
LifeSpan Biosciences
catalog: LS-C232855
domestic rabbit polyclonal
reactivity:
human
conjugate: AP
application:
western blot
,
ELISA
quantity:
price:
to the supplier
ARPC2 / p34-Arc Antibody (aa263-291, Biotin) LS-C232856
LifeSpan Biosciences
catalog: LS-C232856
domestic rabbit polyclonal
reactivity:
human
conjugate: biotin
application:
western blot
,
ELISA
quantity:
price:
to the supplier
ARPC2 / p34-Arc Antibody (aa263-291, FITC) LS-C232857
LifeSpan Biosciences
catalog: LS-C232857
domestic rabbit polyclonal
reactivity:
human
conjugate: FITC
application:
western blot
,
ELISA
quantity:
price:
to the supplier
ARPC2 / p34-Arc Antibody (aa263-291, PE) LS-C232858
LifeSpan Biosciences
catalog: LS-C232858
domestic rabbit polyclonal
reactivity:
human
conjugate: PE
application:
western blot
,
ELISA
quantity:
price:
to the supplier
ARPC2 / p34-Arc Antibody (aa263-291, Azide-free, HRP) LS-C249462
LifeSpan Biosciences
catalog: LS-C249462
domestic rabbit polyclonal
reactivity:
human
conjugate: HRP
application:
western blot
,
ELISA
quantity:
price:
to the supplier
ARPC2 / p34-Arc Antibody LS-C306375
LifeSpan Biosciences
catalog: LS-C306375
mouse monoclonal
reactivity:
human
application:
western blot
,
ELISA
quantity:
price:
to the supplier
ARPC2 / p34-Arc Antibody (aa263-291) LS-C319615
LifeSpan Biosciences
catalog: LS-C319615
domestic rabbit polyclonal
reactivity:
human
application:
western blot
,
ELISA
quantity:
price:
to the supplier
ARPC2 / p34-Arc Antibody (aa278-311) LS-C344377
LifeSpan Biosciences
catalog: LS-C344377
domestic rabbit polyclonal
reactivity:
human
application:
western blot
Western blot of lysate from HT-1080 cell line with ARPC2 Antibody. Antibody was diluted at 1:1000. A goat anti-rabbit IgG H&L (HRP) at 1:5000 dilution was used as the secondary antibody. Lysate at 35 ug.
quantity:
price:
to the supplier