domestic rabbit polyclonal
reactivity: human, mouse
application: western blot, immunohistochemistry, immunohistochemistry - paraffin section
reactivity: human, mouse
application: western blot, immunohistochemistry, immunohistochemistry - paraffin section

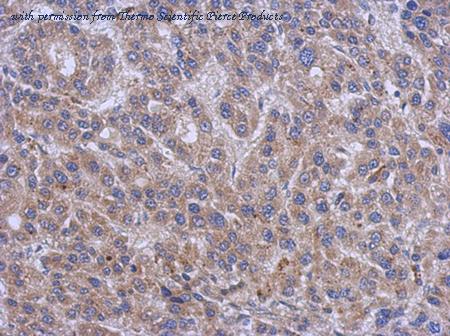
Immunohistochemical analysis of paraffin-embedded Hepatoma using Serine palmitoyltransferase 2 (PA5-31130) antibody at 1:500 dilution.

Western Blot analysis of Serine palmitoyltransferase 2 using anti-Serine palmitoyltransferase 2 Polyclonal Antibody (PA5-31130), in IMR32 Cell Lysate (30 ug of cell lysate) and at a dilution of 1:1000.

Western Blot analysis of Serine palmitoyltransferase 2 using anti-Serine palmitoyltransferase 2 Polyclonal Antibody (PA5-31130), in Mouse Liver (50 ug of cell lysate) and at a dilution of 1:500.
quantity: 100 uL
price: US 474.00
to the supplier
domestic rabbit polyclonal
reactivity: human, mouse
application: western blot, immunocytochemistry
reactivity: human, mouse
application: western blot, immunocytochemistry
domestic rabbit polyclonal
reactivity: human, mouse
application: western blot, ELISA
reactivity: human, mouse
application: western blot, ELISA
domestic rabbit polyclonal
reactivity: human, mouse
application: western blot, immunohistochemistry, immunocytochemistry, immunohistochemistry - paraffin section
reactivity: human, mouse
application: western blot, immunohistochemistry, immunocytochemistry, immunohistochemistry - paraffin section
