Sign in
Sign up
home
>
Invitrogen
> Invitrogen STAT3 antibody
STAT3 Monoclonal Antibody (9D8)
Invitrogen
catalog: MA1-13042
mouse monoclonal (9D8)
reactivity:
human
,
mouse
,
rat
application:
western blot
,
immunohistochemistry
,
immunocytochemistry
,
immunoprecipitation
,
chromatin immunoprecipitation
,
immunohistochemistry - paraffin section
citations: 22
Immunofluorescent analysis of STAT3 using anti-STAT3 (9D8) monoclonal antibody (Product# MA1-13042) (shown in green) in HeLa cells. Formalin fixed cells were permeabilized with 0.1% Triton X-100 in TBS for 10 minutes at room temperature. Cells were then blocked with 1% Blocker BSA (Product #37525) for 15 minutes at room temperature. Cells were probed with a mouse monoclonal antibody recognizing STAT3 (Product# MA1-13042), at a dilution of 1:100 for at least 1 hour at room temperature. Cells were then washed with PBS and incubated with DyLight 488 goat-anti-mouse secondary antibody (Product# 35503) at a dilution of 1:400 for 30 minutes at room temperature. Nuclei (blue) were stained with Hoechst 33342 dye (Product# 62249). Images were taken on a Thermo Scientific ArrayScan at 20X magnification.
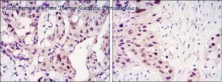
Immunohistochemistry was performed on biopsies of normal and cancer tissues. To expose target proteins heat induced antigen retrieval was performed using 10mM sodium citrate (pH6.0) buffer for 20 minutes at 95°C. Following antigen retrieval tissues were blocked in 10% normal goat serum (Product #31873) for 20 minutes at room temperature. Tissues were then probed at a dilution of 1:1600 with a mouse monoclonal antibody recognizing STAT3 (Product # MA1-13042) overnight at 4°C in a humidified chamber. Detection was performed using a goat anti-mouse HRP secondary antibody followed by colorimetric detection using DAB substrate. Tissues were counterstained with hematoxylin and prepped for mounting. Images were taken at 400X magnification. Results demonstrate both nuclear and cytoplasmic localization of STAT3.
Western blot analysis of STAT3 was performed by loading 25ug of various whole cell lysates onto a 4-20% Tris-HCl polyacrylamide gel. Proteins were transferred to a PVDF membrane and blocked with 5% Milk/TBST for at least 1 hour. Membranes were probed with a mouse monoclonal antibody recognizing STAT3 (Product # MA1-13042) at a dilution of 1:5000 overnight at 4°C on a rocking platform. Membranes were washed in TBS-0.1%Tween 20 and probed with a goat anti-mouse-HRP secondary antibody (Product # 32430) at a dilution of 1:20,000 for at least one hour. Membranes were washed and chemiluminescent detection performed using Pierce Super Signal West Dura (Product #34075).
quantity: 100 uL
price: US 520.00
to the supplier
Phospho-STAT3 (Ser727) Polyclonal Antibody
Invitrogen
catalog: 44-384G
domestic rabbit polyclonal
reactivity:
human
,
mouse
,
rat
modification: phosphorylated
application:
western blot
,
immunohistochemistry
,
immunohistochemistry - paraffin section
citations: 9
quantity: 100 uL
price: US 520.00
to the supplier
Phospho-STAT3 (Tyr705) Monoclonal Antibody (LUVNKLA), APC, eBioscience
Invitrogen
catalog: 17-9033-41
mouse monoclonal (LUVNKLA)
reactivity:
human
,
mouse
conjugate: APC
application:
flow cytometry
citations: 13
quantity: 25 Tests
price: US 174.00
to the supplier
Phospho-STAT3 (Tyr705) Monoclonal Antibody (LUVNKLA), APC, eBioscience
Invitrogen
catalog: 17-9033-42
mouse monoclonal (LUVNKLA)
reactivity:
human
,
mouse
conjugate: APC
application:
flow cytometry
citations: 13
quantity: 100 Tests
price: US 431.00
to the supplier
Phospho-STAT3 (Tyr705) Monoclonal Antibody (LUVNKLA), PE, eBioscience
Invitrogen
catalog: 12-9033-41
mouse monoclonal (LUVNKLA)
reactivity:
human
,
mouse
conjugate: PE
application:
flow cytometry
citations: 12
quantity: 25 Tests
price: US 174.00
to the supplier
Phospho-STAT3 (Tyr705) Monoclonal Antibody (LUVNKLA), PE, eBioscience
Invitrogen
catalog: 12-9033-42
mouse monoclonal (LUVNKLA)
reactivity:
human
,
mouse
conjugate: PE
application:
flow cytometry
citations: 12
quantity: 100 Tests
price: US 427.00
to the supplier
STAT3 Recombinant Superclonal Antibody
Invitrogen
catalog: 710077
domestic rabbit monoclonal (3HCLC)
reactivity:
human
,
mouse
application:
western blot
,
ELISA
,
immunohistochemistry
,
immunocytochemistry
,
immunohistochemistry - paraffin section
citations: 4
quantity: 100 ug
price: US 520.00
to the supplier
Phospho-STAT3 (Tyr705) Recombinant Superclonal Antibody (3HCLC)
Invitrogen
catalog: 710093
domestic rabbit monoclonal (3HCLC)
reactivity:
human
modification: phosphorylated
application:
western blot
,
immunohistochemistry
,
immunohistochemistry - paraffin section
citations: 4
quantity: 100 ug
price: US 520.00
to the supplier
Phospho-STAT3 (Tyr705) Polyclonal Antibody
Invitrogen
catalog: 44-380G
domestic rabbit polyclonal
reactivity:
human
,
mouse
,
rat
modification: phosphorylated
application:
western blot
citations: 4
quantity: 100 uL
price: US 520.00
to the supplier
Phospho-STAT3 (Tyr705) Monoclonal Antibody (LUVNKLA), FITC, eBioscience
Invitrogen
catalog: 11-9033-41
mouse monoclonal (LUVNKLA)
reactivity:
human
,
mouse
conjugate: FITC
application:
flow cytometry
citations: 6
quantity: 25 Tests
price: US 177.00
to the supplier
Phospho-STAT3 (Tyr705) Monoclonal Antibody (LUVNKLA), PE-Cyanine7, eBioscience
Invitrogen
catalog: 25-9033-41
mouse monoclonal (LUVNKLA)
reactivity:
human
,
mouse
conjugate: PE/Cy7
application:
flow cytometry
citations: 6
quantity: 25 Tests
price: US 188.00
to the supplier
Phospho-STAT3 (Tyr705) Monoclonal Antibody (LUVNKLA), FITC, eBioscience
Invitrogen
catalog: 11-9033-42
mouse monoclonal (LUVNKLA)
reactivity:
human
,
mouse
conjugate: FITC
application:
flow cytometry
citations: 6
quantity: 100 Tests
price: US 421.00
to the supplier
Phospho-STAT3 (Tyr705) Monoclonal Antibody (LUVNKLA), eFluor 450, eBioscience
Invitrogen
catalog: 48-9033-42
mouse monoclonal (LUVNKLA)
reactivity:
human
,
mouse
conjugate: eFluor 450
application:
flow cytometry
citations: 6
quantity: 100 Tests
price: US 434.00
to the supplier
Phospho-STAT3 (Tyr705) Monoclonal Antibody (LUVNKLA), PE-Cyanine7, eBioscience
Invitrogen
catalog: 25-9033-42
mouse monoclonal (LUVNKLA)
reactivity:
human
,
mouse
conjugate: PE/Cy7
application:
flow cytometry
citations: 6
quantity: 100 Tests
price: US 446.00
to the supplier
STAT3 Polyclonal Antibody
Invitrogen
catalog: PA1-86605
domestic goat polyclonal
reactivity:
human
,
mouse
application:
western blot
,
ELISA
,
immunohistochemistry
,
immunohistochemistry - paraffin section
,
immunohistochemistry - frozen section
citations: 2
quantity: 100 ug
price: US 522.00
to the supplier
Phospho-STAT3 (Tyr705) Monoclonal Antibody (R.263.6)
Invitrogen
catalog: MA5-15193
mouse monoclonal (R.263.6)
reactivity:
human
,
mouse
,
rat
modification: phosphorylated
application:
western blot
,
immunoprecipitation
,
flow cytometry
citations: 2
quantity: 100 uL
price: US 524.00
to the supplier
Phospho-STAT3 (Ser727) Polyclonal Antibody
Invitrogen
catalog: PA5-17876
domestic rabbit polyclonal
reactivity:
human
,
mouse
,
rat
modification: phosphorylated
application:
western blot
,
immunocytochemistry
,
immunoprecipitation
citations: 3
quantity: 100 uL
price: US 514.00
to the supplier
Phospho-STAT3 (Tyr705) Monoclonal Antibody (LUVNKLA), PerCP-eFluor 710, eBiosci ...
Invitrogen
catalog: 46-9033-42
mouse monoclonal (LUVNKLA)
reactivity:
human
,
mouse
conjugate: Percp/efluor 710
application:
flow cytometry
citations: 2
quantity: 100 Tests
price: US 434.00
to the supplier
STAT3 Polyclonal Antibody
Invitrogen
catalog: PA1-9105
domestic goat polyclonal
reactivity:
human
application:
immunohistochemistry
,
immunocytochemistry
,
flow cytometry
,
immunohistochemistry - paraffin section
citations: 1
IHC illustrates specific staining of 4% PFA-fixed mouse thymus using PA1-9105.
quantity: 100 ug
price: US 514.00
to the supplier
Phospho-STAT3 (Ser727) Monoclonal Antibody (E.35.9)
Invitrogen
catalog: MA5-15208
mouse monoclonal (E.35.9)
reactivity:
human
,
mouse
modification: phosphorylated
application:
western blot
,
immunocytochemistry
citations: 1
quantity: 100 uL
price: US 524.00
to the supplier
Acetyl-STAT3 (Lys685) Polyclonal Antibody
Invitrogen
catalog: PA5-17429
domestic rabbit polyclonal
reactivity:
human
application:
western blot
citations: 1
quantity: 100 uL
price: US 454.00
to the supplier
STAT3 Monoclonal Antibody (3B5)
Invitrogen
catalog: MA5-15712
mouse monoclonal (3B5)
reactivity:
human
,
mouse
,
rat
application:
western blot
,
ELISA
,
immunohistochemistry
,
immunocytochemistry
,
immunohistochemistry - paraffin section
citations: 1
Immunofluorescence analysis of Hela cells using STAT3 antibody (green). Blue: DRAQ5 fluorescent DNA dye. Red: Actin filaments have been labeled with Alexa Fluor-555 phalloidin.
Immunohistochemical analysis of paraffin-embedded mammary cancer tissues (left) and lung cancer tissues (right) using STAT3 antibody with DAB staining.
quantity: 100 uL
price: US 542.00
to the supplier
STAT3 Monoclonal Antibody (232209), PE
Invitrogen
catalog: MA5-23569
mouse monoclonal (232209)
reactivity:
human
,
mouse
,
rat
conjugate: PE
application:
flow cytometry
citations: 1
quantity: 100 Tests
price: US 350.00
to the supplier
STAT3 Monoclonal Antibody (232209), FITC
Invitrogen
catalog: MA5-23635
mouse monoclonal (232209)
reactivity:
human
,
mouse
,
rat
conjugate: FITC
application:
flow cytometry
citations: 1
quantity: 100 Tests
price: US 442.00
to the supplier
STAT3 Polyclonal Antibody
Invitrogen
catalog: PA5-84386
domestic rabbit polyclonal
reactivity:
human
application:
western blot
,
immunohistochemistry
,
immunohistochemistry - paraffin section
citations: 1
quantity: 100 uL
price: US 514.00
to the supplier
STAT3 Monoclonal Antibody (7G3H4)
Invitrogen
catalog: MA5-15473
mouse monoclonal (7G3H4)
reactivity:
human
application:
western blot
,
ELISA
,
immunohistochemistry
,
immunohistochemistry - paraffin section
Immunohistochemical analysis of paraffin-embedded human Liver tissues using STAT3 antibody
quantity: 100 uL
price: US 491.00
to the supplier
STAT3 Polyclonal Antibody
Invitrogen
catalog: PA5-18562
domestic goat polyclonal
reactivity:
human
,
mouse
application:
western blot
,
immunohistochemistry
,
flow cytometry
,
immunohistochemistry - paraffin section
Western Blot staining of Human Liver lysate using PA5-18562 at a concentration of 1.0 ug/ml, the primary antibody incubation was 1 hour and the detection method was chemiluminescence.
quantity: 100 ug
price: US 474.00
to the supplier
Phospho-STAT3 (Tyr705) Recombinant Rabbit Monoclonal Antibody (3H16L22)
Invitrogen
catalog: 701062
domestic rabbit recombinant (3H16L22)
reactivity:
human
modification: phosphorylated
application:
western blot
,
ELISA
quantity: 100 ug
price: US 450.00
to the supplier
Phospho-STAT3 (Ser727) Recombinant Rabbit Monoclonal Antibody (SY24-09)
Invitrogen
catalog: MA5-32089
domestic rabbit recombinant (SY24-09)
reactivity:
human
,
mouse
,
rat
application:
western blot
,
immunohistochemistry
,
immunocytochemistry
,
immunohistochemistry - paraffin section
quantity: 100 uL
price: US 484.00
to the supplier
STAT3 Polyclonal Antibody
Invitrogen
catalog: PA5-85199
domestic rabbit polyclonal
reactivity:
human
,
mouse
,
rat
application:
western blot
,
immunocytochemistry
quantity: 100 uL
price: US 464.00
to the supplier
STAT3 Polyclonal Antibody
Invitrogen
catalog: PA5-85258
domestic rabbit polyclonal
reactivity:
human
,
zebrafish
application:
western blot
,
immunocytochemistry
,
immunoprecipitation
quantity: 100 uL
price: US 464.00
to the supplier
Phospho-STAT3 (Tyr705) Polyclonal Antibody
Invitrogen
catalog: PA5-85445
domestic rabbit polyclonal
reactivity:
human
,
mouse
application:
western blot
,
immunohistochemistry
,
immunocytochemistry
,
flow cytometry
,
immunohistochemistry - paraffin section
quantity: 100 uL
price: US 460.00
to the supplier
Phospho-STAT3 (Tyr705) Polyclonal Antibody
Invitrogen
catalog: PA5-85801
domestic rabbit polyclonal
reactivity:
human
,
mouse
application:
western blot
quantity: 100 uL
price: US 464.00
to the supplier
STAT3 Polyclonal Antibody
Invitrogen
catalog: PA5-86074
domestic rabbit polyclonal
reactivity:
human
,
mouse
,
rat
application:
western blot
,
immunocytochemistry
,
immunoprecipitation
quantity: 100 uL
price: US 464.00
to the supplier
STAT3 Polyclonal Antibody
Invitrogen
catalog: PA5-86075
domestic rabbit polyclonal
reactivity:
human
,
mouse
,
rat
application:
western blot
,
immunocytochemistry
,
immunoprecipitation
quantity: 100 uL
price: US 464.00
to the supplier
STAT3 Polyclonal Antibody
Invitrogen
catalog: PA5-86208
domestic rabbit polyclonal
reactivity:
human
,
mouse
,
rat
application:
western blot
,
immunohistochemistry
,
immunocytochemistry
,
immunohistochemistry - paraffin section
quantity: 100 uL
price: US 454.00
to the supplier
Phospho-STAT3 (Ser727) Recombinant Rabbit Monoclonal Antibody (2A9)
Invitrogen
catalog: MA5-33199
domestic rabbit recombinant (2A9)
reactivity:
human
application:
western blot
,
ELISA
,
immunohistochemistry
,
immunoprecipitation
,
immunohistochemistry - paraffin section
quantity: 100 uL
price: US 491.00
to the supplier
Phospho-STAT3 (Ser727) Recombinant Rabbit Monoclonal Antibody (ARC0150)
Invitrogen
catalog: MA5-35836
domestic rabbit recombinant (ARC0150)
reactivity:
human
,
mouse
,
rat
application:
western blot
,
ELISA
,
immunohistochemistry
,
immunohistochemistry - paraffin section
quantity: 100 uL
price: US 480.00
to the supplier
STAT3 Recombinant Rabbit Monoclonal Antibody (6W3L3)
Invitrogen
catalog: MA5-35302
domestic rabbit recombinant (6W3L3)
reactivity:
human
,
mouse
,
rat
application:
western blot
,
ELISA
,
immunohistochemistry
,
immunohistochemistry - paraffin section
quantity: 100 uL
price: US 464.00
to the supplier
Phospho-STAT3 (Tyr539) Polyclonal Antibody
Invitrogen
catalog: PA5-105568
domestic rabbit polyclonal
reactivity:
human
,
mouse
,
rat
application:
western blot
,
immunohistochemistry
,
immunocytochemistry
,
immunohistochemistry - paraffin section
quantity: 100 uL
price: US 464.00
to the supplier
Phospho-Stat3 (Tyr705) Recombinant Rabbit Monoclonal Antibody (Stat3Y705-B12)
Invitrogen
catalog: MA5-36899
domestic rabbit recombinant (Stat3Y705-B12)
reactivity:
human
,
mouse
application:
flow cytometry
quantity: 200 uL
price: US 626.00
to the supplier
Phospho-Stat3 (Tyr705) Recombinant Rabbit Monoclonal Antibody (Stat3Y705-B12), P ...
Invitrogen
catalog: MA5-36900
domestic rabbit recombinant (Stat3Y705-B12)
reactivity:
human
,
mouse
conjugate: PE
application:
flow cytometry
quantity: 100 Tests
price: US 474.00
to the supplier
Phospho-Stat3 (Tyr705) Recombinant Rabbit Monoclonal Antibody (Stat3Y705-B12), F ...
Invitrogen
catalog: MA5-36901
domestic rabbit recombinant (Stat3Y705-B12)
reactivity:
human
,
mouse
conjugate: FITC
application:
flow cytometry
quantity: 100 Tests
price: US 484.00
to the supplier
Phospho-Stat3 (Tyr705) Recombinant Rabbit Monoclonal Antibody (Stat3Y705-B12), A ...
Invitrogen
catalog: MA5-36902
domestic rabbit recombinant (Stat3Y705-B12)
reactivity:
human
,
mouse
conjugate: APC
application:
flow cytometry
quantity: 100 Tests
price: US 484.00
to the supplier
Phospho-Stat3 (Tyr705) Recombinant Rabbit Monoclonal Antibody (Stat3Y705-B12)
Invitrogen
catalog: MA5-37216
domestic rabbit recombinant (Stat3Y705-B12)
reactivity:
human
,
mouse
application:
flow cytometry
quantity: 20 uL
price: US 329.00
to the supplier
Phospho-Stat3 (Tyr705) Recombinant Rabbit Monoclonal Antibody (Stat3Y705-B12), P ...
Invitrogen
catalog: MA5-37217
domestic rabbit recombinant (Stat3Y705-B12)
reactivity:
human
,
mouse
conjugate: PE
application:
flow cytometry
quantity: 10 Tests
price: US 191.00
to the supplier
Phospho-Stat3 (Tyr705) Recombinant Rabbit Monoclonal Antibody (Stat3Y705-B12), F ...
Invitrogen
catalog: MA5-37218
domestic rabbit recombinant (Stat3Y705-B12)
reactivity:
human
,
mouse
conjugate: FITC
application:
flow cytometry
quantity: 10 Tests
price: US 197.00
to the supplier
Phospho-Stat3 (Tyr705) Recombinant Rabbit Monoclonal Antibody (Stat3Y705-B12), A ...
Invitrogen
catalog: MA5-37219
domestic rabbit recombinant (Stat3Y705-B12)
reactivity:
human
,
mouse
conjugate: APC
application:
flow cytometry
quantity: 10 Tests
price: US 191.00
to the supplier
STAT3 Recombinant Rabbit Monoclonal Antibody (3A9)
Invitrogen
catalog: MA5-38322
domestic rabbit recombinant (3A9)
reactivity:
human
application:
western blot
,
immunohistochemistry
,
immunohistochemistry - paraffin section
quantity: 100 uL
price: US 530.00
to the supplier
STAT3 Recombinant Rabbit Monoclonal Antibody (SY34-01)
Invitrogen
catalog: MA5-41110
domestic rabbit recombinant (SY34-01)
reactivity:
human
,
mouse
,
rat
application:
western blot
,
immunohistochemistry
,
immunocytochemistry
,
immunohistochemistry - paraffin section
quantity: 100 uL
price: US 470.00
to the supplier
STAT3 Recombinant Rabbit Monoclonal Antibody (SY34-01)
Invitrogen
catalog: MA5-41116
domestic rabbit recombinant (SY34-01)
reactivity:
human
,
mouse
,
rat
,
zebrafish
application:
western blot
,
immunohistochemistry
,
immunocytochemistry
,
immunohistochemistry - paraffin section
quantity: 100 uL
price: US 470.00
to the supplier
Phospho-STAT3 (Tyr705) Recombinant Rabbit Monoclonal Antibody (SZ43-01)
Invitrogen
catalog: MA5-41192
domestic rabbit recombinant (SZ43-01)
reactivity:
human
,
mouse
,
rat
application:
western blot
,
immunohistochemistry
,
immunohistochemistry - paraffin section
quantity: 100 uL
price: US 470.00
to the supplier
Phospho-STAT3 (Tyr705) Recombinant Rabbit Monoclonal Antibody (6T6X9)
Invitrogen
catalog: MA5-42949
domestic rabbit recombinant (6T6X9)
reactivity:
human
,
mouse
,
rat
application:
western blot
,
ELISA
,
immunohistochemistry
,
immunocytochemistry
,
immunohistochemistry - paraffin section
quantity: 100 uL
price: US 470.00
to the supplier
STAT3 Recombinant Rabbit Monoclonal Antibody (BLR098G)
Invitrogen
catalog: MA5-44387
domestic rabbit recombinant (BLR098G)
reactivity:
human
application:
western blot
,
immunohistochemistry
,
immunocytochemistry
,
immunoprecipitation
,
immunohistochemistry - paraffin section
quantity: 100 uL
price: US 444.00
to the supplier
STAT3 Recombinant Rabbit Monoclonal Antibody (BLR098G)
Invitrogen
catalog: MA5-44388
domestic rabbit recombinant (BLR098G)
reactivity:
human
application:
western blot
,
immunohistochemistry
,
immunocytochemistry
,
immunoprecipitation
,
immunohistochemistry - paraffin section
quantity: 10 uL
price: US 147.00
to the supplier
Phospho-STAT3 (Ser727) Recombinant Rabbit Monoclonal Antibody (BLR160J)
Invitrogen
catalog: MA5-44505
domestic rabbit recombinant (BLR160J)
reactivity:
human
application:
western blot
,
immunoprecipitation
quantity: 100 uL
price: US 369.00
to the supplier
Phospho-STAT3 (Ser727) Recombinant Rabbit Monoclonal Antibody (BLR160J)
Invitrogen
catalog: MA5-44506
domestic rabbit recombinant (BLR160J)
reactivity:
human
application:
western blot
,
immunoprecipitation
quantity: 20 uL
price: US 147.00
to the supplier
STAT3 Recombinant Human Monoclonal Antibody (28H4)
Invitrogen
catalog: MA5-50214
human recombinant (28H4)
reactivity:
human
application:
ELISA
quantity: 100 uL
price: US 414.00
to the supplier
Phospho-STAT3 (Tyr705) Recombinant Rabbit Monoclonal Antibody (HL1464)
Invitrogen
catalog: MA5-50314
domestic rabbit recombinant (HL1464)
reactivity:
human
,
rat
application:
western blot
quantity: 100 uL
price: US 460.00
to the supplier
STAT3 Polyclonal Antibody
Invitrogen
catalog: PA5-120138
domestic rabbit polyclonal
reactivity:
human
,
mouse
,
rat
application:
western blot
,
ELISA
,
immunohistochemistry
,
immunocytochemistry
,
immunohistochemistry - paraffin section
quantity: 100 uL
price: US 460.00
to the supplier
Phospho-STAT3 (Tyr705) Polyclonal Antibody
Invitrogen
catalog: PA5-121259
domestic rabbit polyclonal
reactivity:
human
,
mouse
application:
western blot
,
ELISA
,
immunohistochemistry
,
immunohistochemistry - paraffin section
quantity: 100 uL
price: US 460.00
to the supplier
Phospho-STAT3 (Ser727) Polyclonal Antibody
Invitrogen
catalog: PA5-121277
domestic rabbit polyclonal
reactivity:
human
,
mouse
,
rat
application:
western blot
,
ELISA
,
immunohistochemistry
,
immunoprecipitation
,
immunohistochemistry - paraffin section
quantity: 100 uL
price: US 460.00
to the supplier
STAT3 Polyclonal Antibody
Invitrogen
catalog: PA5-144228
domestic rabbit polyclonal
reactivity:
human
application:
ELISA
,
immunohistochemistry
,
immunocytochemistry
,
immunoprecipitation
,
immunohistochemistry - paraffin section
quantity: 100 ug
price: US 353.00
to the supplier
Phospho-STAT3 (Thr705) Recombinant Rabbit Monoclonal Antibody (23GB4205)
Invitrogen
catalog: MA5-53710
domestic rabbit recombinant (23GB4205)
reactivity:
human
,
mouse
,
rat
application:
western blot
quantity: 100 uL
price: US 539.00
to the supplier
Phospho-STAT3 (Thr705) Recombinant Rabbit Monoclonal Antibody (23GB4205)
Invitrogen
catalog: MA5-53711
domestic rabbit recombinant (23GB4205)
reactivity:
human
,
mouse
,
rat
application:
western blot
quantity: 20 uL
price: US 199.00
to the supplier
STAT3 Recombinant Rabbit Monoclonal Antibody (23GB990)
Invitrogen
catalog: MA5-54216
domestic rabbit recombinant (23GB990)
reactivity:
human
,
mouse
,
rat
application:
western blot
,
flow cytometry
quantity: 100 uL
price: US 539.00
to the supplier
STAT3 Recombinant Rabbit Monoclonal Antibody (23GB990)
Invitrogen
catalog: MA5-54217
domestic rabbit recombinant (23GB990)
reactivity:
human
,
mouse
,
rat
application:
western blot
,
flow cytometry
quantity: 20 uL
price: US 199.00
to the supplier
STAT3 Humanized Recombinant Human Monoclonal Antibody (Iv0126)
Invitrogen
catalog: MA5-54812
human recombinant (Iv0126)
reactivity:
human
application:
ELISA
,
neutralization
,
flow cytometry
quantity: 100 ug
price: US 429.00
to the supplier
Phospho-STAT3 (Tyr705) Recombinant Mouse Monoclonal Antibody (LUVNKLA)
Invitrogen
catalog: 740067M
mouse recombinant (LUVNKLA)
reactivity:
human
,
mouse
application:
western blot
,
flow cytometry
quantity: 100 uL
price: US 349.00
to the supplier
Phospho-STAT3 (Tyr705) Recombinant Mouse Monoclonal Antibody (LUVNKLA), Alexa Fl ...
Invitrogen
catalog: 740067MP488
mouse recombinant (LUVNKLA)
reactivity:
human
,
mouse
application:
flow cytometry
quantity: 50 uL
price: US 329.00
to the supplier
Phospho-STAT3 (Tyr705) Recombinant Mouse Monoclonal Antibody (LUVNKLA), Alexa Fl ...
Invitrogen
catalog: 740067MP488XS
mouse recombinant (LUVNKLA)
reactivity:
human
,
mouse
application:
flow cytometry
quantity: 20 uL
price: US 199.00
to the supplier
Phospho-STAT3 (Tyr705) Recombinant Mouse Monoclonal Antibody (LUVNKLA), Alexa Fl ...
Invitrogen
catalog: 740067MP555
mouse recombinant (LUVNKLA)
reactivity:
human
,
mouse
application:
flow cytometry
quantity: 50 uL
price: US 329.00
to the supplier
Phospho-STAT3 (Tyr705) Recombinant Mouse Monoclonal Antibody (LUVNKLA), Alexa Fl ...
Invitrogen
catalog: 740067MP555XS
mouse recombinant (LUVNKLA)
reactivity:
human
,
mouse
application:
flow cytometry
quantity: 20 uL
price: US 189.00
to the supplier
Phospho-STAT3 (Tyr705) Recombinant Mouse Monoclonal Antibody (LUVNKLA), Alexa Fl ...
Invitrogen
catalog: 740067MP647
mouse recombinant (LUVNKLA)
reactivity:
human
,
mouse
application:
flow cytometry
quantity: 50 uL
price: US 329.00
to the supplier
Phospho-STAT3 (Tyr705) Recombinant Mouse Monoclonal Antibody (LUVNKLA), Alexa Fl ...
Invitrogen
catalog: 740067MP647XS
mouse recombinant (LUVNKLA)
reactivity:
human
,
mouse
application:
flow cytometry
quantity: 20 uL
price: US 189.00
to the supplier
Phospho-STAT3 (Tyr705) Recombinant Mouse Monoclonal Antibody (LUVNKLA)
Invitrogen
catalog: 740067MXS
mouse recombinant (LUVNKLA)
reactivity:
human
,
mouse
application:
western blot
,
flow cytometry
quantity: 20 uL
price: US 189.00
to the supplier
STAT3 Recombinant Rabbit Monoclonal Antibody (HL1134)
Invitrogen
catalog: MA5-56887
domestic rabbit recombinant (HL1134)
reactivity:
human
,
mouse
,
rat
,
dogs
,
cat
application:
western blot
,
immunohistochemistry
,
immunohistochemistry - paraffin section
quantity: 100 uL
price: US 479.00
to the supplier